IN the Preface to Volume II published in 1910 I rashly stated that it was my intention “to devote such space as is available within the limits of a text-book to the neglected subject of the geographical distribution of plants at different stages in the history of the earth,” also that Volume III would be completed with as little delay as possible. Though nearly seven years have elapsed since the publication of the second volume it may fairly be said that the delay is not entirely due to causes which it was in my power to control. The subject of geographical distribution receives no connected treatment in Volumes III and IV for the simple reason that I underestimated the space required for the description of the Gymnosperms. The alternatives were either to insert a greatly compressed survey of the successive floras of the world at the end of Volume IV or to attempt a fuller and less technical treatment of the subject in a separate book. In choosing the latter course I am conscious that a further obligation is undertaken which it may not be possible to fulfil; but the risk is deliberately taken. Volume IV is in the press and will, it is hoped, be published before the end of 1917.
It is a pleasant duty to repeat my thanks to many friends who have helped me in various ways. Dr Kidston generously and without reserve allowed me access to his splendid collection of Palaeozoic plants, and the frequent occurrence of his name in the list of illustrations shows how freely I have availed myself viof his kindness. He has read some of the chapters and greatly assisted me by his friendly criticism and encouragement. By reading the proofs of this volume Dr Scott has further increased my already large debt to him. It is impossible to thank him adequately; he not only corrected many careless mistakes but by wise counsel and advice he rendered me a service which I greatly appreciate.
The exchange of views with Prof. Zeiller has been a constant source of profit and enjoyment, and it is hard to realise that the completed book will not receive his kindly criticism. He was a singularly unselfish and generous colleague, always ready to help fellow workers, and he had the faculty in an unusual degree of influencing those who had the privilege of his friendship by his sound advice and lovable personality.
The death of Count Solms-Laubach has deprived Palaeobotany of one of its most learned and strongest supporters. In common with all students of fossil plants I owe much to the critical treatment of the subject in the Einleitung in die Paläophytologie. Prof. Jeffrey has very kindly given me several photographs and sections which have been of great service, and I am similarly indebted to Prof. Zalessky. To Prof. Nathorst my thanks are due for the great interest he has taken in my work and for his generosity in providing drawings and showing to me many of the treasures in the famous Stockholm Museum. Prof. Bertrand and Prof. Lignier freely supplied photographs and drawings of specimens in their possession, and I am particularly grateful to them for the willingness with which they always responded to my requests.
Through the death of Prof. Lignier in March 1916 Palaeobotany has been deprived of another original thinker who devoted himself with whole-hearted enthusiasm to botanical research and for many years faithfully served the University viiof Caen: he was a generous friend to whom one never appealed in vain for assistance. Through the kindness of the Director of the Indian Geological Survey I have been able to examine several fossils from the Calcutta Museum described by Oldham and Morris and by Feistmantel. With the Director’s permission several photographs and drawings made for a forthcoming paper to be published by the Indian Survey are reproduced in this volume. I take this opportunity of thanking friends in Australia who recently afforded me facilities for examining fossil plants in their charge, and I would especially thank Mr A. B. Walkom of the University of Brisbane, who has recently undertaken an investigation of the rich plant-beds in the Ipswich district, for all that he did to enable me to make the most of a very short time available for palaeobotanical work.
For the loan of specimens and for other help I am indebted to Prof. Bayly Balfour, Prof. Bower, Prof. Margaret Benson, Prof. Oliver, Sir David Prain, Dr Smith Woodward, Prof. Weiss, the Director of the Geological Survey, Dr A. H. Church, Dr Arber, and other friends. I would also acknowledge a debt, by no means inconsiderable, to my Colleague Mr Hamshaw Thomas. Among younger friends in the Cambridge Botany School to whom I am indebted I wish particularly to thank Miss Ruth Holden, Miss Bancroft, Mr Sayers, Mr Dutt and others who have rendered me willing help.
In the List of Illustrations mention is made of Corporate Bodies and individuals from whom blocks have been obtained, and I am grateful to them for readily responding to my applications.
My Wife, though prevented by more urgent calls in the later stages of my task from giving as much time to the illustrations as in the two former volumes, has contributed several viiidrawings, and my daughter Phyllis Seward has also given me much help in preparing drawings from previously published figures.
In spite of the vigilance and wise counsel of many friends numerous blemishes remain and for these the author is alone responsible.
A. C. SEWARD.
Downing College Lodge,
February 10, 1917.
Note. The letters A and B added to references in the footnotes indicate that the works will be found in the Bibliographies at the end of Volumes I and II.
Several of the illustrations are printed from blocks for which I am indebted to learned societies or to individuals. The sources from which clichés were obtained are mentioned within square brackets. The names of donors of photographs or drawings are added after the descriptions of the figures.
Frontispiece. Charles René Zeiller. From a photograph given to me by Madame Zeiller.
| FIG. | PAGE | |
|---|---|---|
| 377. | Cycas circinalis. A. Malins Smith | 2 |
| 378. | Cycas revoluta. [G. R. Wieland.] | 3 |
| 379. | Encephalartos horridus | 3 |
| 380. | Cycas circinalis. [Encyclopaedia Britannica.] | 4 |
| 381. | Cycas revoluta and Zamia Loddigesii | 5 |
| 382. | Encephalartos Ghellinckii. [Camb. Phil. Soc.] | 11 |
| 383. | Cycas siamensis. [Encyclopaedia Britannica.] | 12 |
| 384. | Cycas circinalis | 13 |
| 385. | Cycas Micholitzii and Zamia angustifolia | 14 |
| 386. | Encephalartos Altensteinii; Dioon edule. S. M. Wadham. | 15 |
| 387. | Cycadean Fronds | 16 |
| 388. | Zamia Wallisii | 17 |
| 389. | Zamia integrifolia. [Camb. Univ. Press.] | 18 |
| 390. | Zamia Loddigesii | 18 |
| 391. | Bowenia spectabilis. [Encyclopaedia Britannica.] | 20 |
| 392. | Cycas pectinata, C. Riuminiana, C. angulata, Encephalartos, and Stangeria | 21 |
| 393. | Stangeria, Encephalartos, and Ceratozamia | 22 |
| 394. | Macrozamia Preissii. [Camb. Univ. Press.] | 23 |
| 395. | Zamia floridana. [G. R. Wieland.] | 24 |
| 396. | Dioon edule, Cycas circinalis, etc., Encephalartos, Bowenia, Macrozamia, Microcycas | 26 |
| 397. | Stangeria paradoxa. [New Phytologist; A. G. Tansley.] | 29 |
| 398. | Macrozamia | 29 |
| 399. | Cycadean foliar bundles | 31 |
| 400. | Cycas Micholitzii. [Camb. Phil. Soc.] | 33 |
| 401. | xivLyginodendron Landsburgii. R. Kidston | 37 |
| 402. | Lyginopteris oldhamia. [Camb. Phil Soc.] | 39 |
| 403–405. | Lyginopteris oldhamia | 41, 44, 48 |
| 406. | Lyginopteris oldhamia. F. W. Oliver | 49 |
| 407. | Crossotheca Hoeninghausi. R. Kidston and other sources | 53 |
| 408. | Lagenospermum Sinclairi; Lagenostoma; Calymmatotheca Stangeri; Crossotheca Hoeninghausi | 57 |
| 409. | Lagenostoma | 58 |
| 410. | Lyginopteris oldhamia | 69 |
| 411, 412. | Heterangium Grievii | 73, 76 |
| 413. | Sphenopteris elegans | 78 |
| 414. | Sphaerostoma ovale | 79 |
| 415. | Heterangium Grievii; H. tiliaeoides; Lyginopteris root | 82 |
| 416. | Medullosa (stem-anatomy) | 92 |
| 417. | Medullosa centrofilis | 96 |
| 418. | Myeloxylon radiatum; Medullosa stellata; M. Leuckarti | 103 |
| 419. | Medullosa Leuckarti | 104 |
| 420. | Myeloxylon radiatum; Medullosa anglica, and Medullosa sp. | 107 |
| 421. | Potoniea adiantiformis; Linopteris obliqua; Neuropteris heterophylla | 111 |
| 422. | Neuropterocarpus Kidstoni. [Edinburgh Royal Society.] | 114 |
| 423–426. | Trigonocarpus Parkinsoni | 118, 120, 121 |
| 427. | Codonotheca caduca. [New Phytologist.] | 125 |
| 428. | Whittleseya elegans; W. brevifolia | 128 |
| 429. | Whittleseya elegans | 130 |
| 430–432. | Dolerophyllum Goepperti | 133, 134, 137 |
| 433. | Ottokaria bengalensis. [Indian Geol. Survey.] | 140 |
| 434. | Strobilites Milleryensis | 141 |
| 435, 436. | Colpoxylon aeduense | 143 |
| 437, 438. | Rhexoxylon africanum | 146, 148 |
| 439, 440. | Sutcliffia insignis | 150, 151 |
| 441. | Steloxylon Ludwigii | 163 |
| 442. | Pecopteris Pluckeneti | 167 |
| 443. | Eremopteris artemisaefolia; Samaropsis acuta | 170 |
| 444. | Samaropsis acuta. R. Kidston | 171 |
| 445. | Wardia fertilis | 172 |
| 446–448. | Megaloxylon Scotti. [Camb. Phil. Soc.] | 176–178 |
| 449, 450. | Rhetinangium Arberi. W. T. Gordon | 182 |
| 451. | Stenomyelon tuedianum | 183 |
| 452. | Stenomyelon tuedianum. R. Kidston | 185 |
| 453. | Ptychoxylon Levyi; Cycadoxylon Fremyi; C. robustum | 188 |
| 454, 455. | Calamopitys Saturni. M. Zalessky | 191, 192 |
| 456. | Kalymma grandis | 195 |
| 457. | xvEristophyton fasciculare | 197 |
| 458. | Eristophyton Beinertianum. M. Zalessky | 199 |
| 459. | Cladoxylon mirabile; C. dubium; C. taeniatum; Syncardia pusilla | 202 |
| 460. | Cladoxylon Kidstoni; C. mirabile | 206 |
| 461. | Völkelia refracta | 209 |
| 462. | Protopitys Buchiana | 211 |
| 463. | Poroxylon Edwardsii. C. E. Bertrand and F. W. Oliver | 216 |
| 464. | Poroxylon Edwardsii; P. Boysseti. C. E. Bertrand | 218 |
| 465. | Cordaites leaf. (C. Felicis.) R. Kidston | 228 |
| 466. | Cordaites principalis; Artisia transversa. R. Kidston | 231 |
| 467. | Cordaites lingulatus | 234 |
| 468. | Cordaites (Rhizo-Cordaites); Cordaites circularis; Cordaites sp. cf. C. Lacoei; C. crassifolius | 237 |
| 469. | Cordaites aequalis; C. Clerci. M. Zalessky | 239 |
| 470. | Cordaites (Noeggerathiopsis) Hislopi. G. R. Wieland. | 241 |
| 471. | Cordaites (Noeggerathiopsis) Hislopi. [Geological Society.] | 241 |
| 472. | Cordaites (Noeggerathiopsis) Hislopi. [Geol. Surv. India.] | 242 |
| 473. | Cordaites stem | 246 |
| 474, 475. | Dadoxylon materiarum | 257 |
| 476. | Dadoxylon Pedroi | 259 |
| 477. | Cordaites root | 262 |
| 478. | Cordaites? root. T. N. Leslie | 263 |
| 479. | Cordaianthus. F. E. Weiss | 265 |
| 480. | Cordaianthus Pitcairniae; C. Volkmanni | 266 |
| 481. | Cordaianthus Grand’Euryi; C. Williamsoni; C. Zeilleri. C. E. Bertrand | 268 |
| 482. | Cordaianthus microsporangia | 270 |
| 483. | Mesoxylon Sutcliffii | 272 |
| 484. | Pelourdea vogesiaca. [Geologists’ Assoc.] | 279 |
| 485. | Titanophyllum Grand’Euryi | 284 |
| 486, 487. | Pitys antiqua | 286, 287 |
| 488. | Pitys primaeva | 288 |
| 489. | Callixylon Trifilievi. M. Zalessky | 292 |
| 490. | Mesopitys Tchihatcheffi | 296 |
| 491. | Antarcticoxylon Priestleyi | 298 |
| 492. | Diagram of a synthetic type of seed | 303 |
| 493. | Lagenostoma ovoides; L. Lomaxi; Physostoma elegans; Telangium Scotti; Stephanospermum akenioides | 311 |
| 494. | Stephanospermum akenioides; Conostoma oblonga; Gnetopsis elliptica; Physostoma elegans; Mitrospermum compressum | 314 |
| 495. | xviPolypterospermum Renaultii; Ptychotesta tenuis; Polylophospermum stephanense; Hexapterospermum stenopterum; Diplotesta avellana; D. Grand’Euryana; Taxospermum Grüneri | 322 |
| 496. | Pachytesta incrassata; Polypterocarpus anglicus | 324 |
| 497. | Pachytesta | 325 |
| 498. | Codonospermum olivaeforme; Aetheotesta elliptica | 330 |
| 499. | Samaropsis emarginata | 337 |
| 500. | Cardiocarpus drupaceus var. expansus | 339 |
| 501. | Cardiocarpus sclerotesta; Rhabdocarpus cyclocaryon | 340 |
| 502. | Samaropsis fluitans; S. emarginata; S. bicaudata; S. Seixasi; S. barcellosa; S. Newberryi; Cordaicarpus Cordai | 350 |
| 503. | Samaropsis Leslii | 352 |
| 504. | Samaropsis Milleri. [Geol. Surv. India.] | 353 |
| 505. | Cordaicarpus Cordai | 355 |
| 506. | Holcospermum sulcatum; Codonospermum anomalum; Diplopterotesta spitzbergensis; Gnetopsis elliptica; Thysanotesta sagittula; Rhynchogonium costatum; Boroviczia Karpinskii; Hexagonocarpus Noeggerathi; Rhabdospermum tunicatum | 359 |
| 507. | Cycadeoidea marylandica. [G. R. Wieland.] | 373 |
| 508, 509. | Cycadeoidea Wielandi [G. R. Wieland.] | 375, 376 |
| 510. | Cycadeoidea sp. | 377 |
| 511. | Cycadeoidea Gibsoniana | 377 |
| 512. | Cycadeoidea ingens. [G. R. Wieland.] | 378 |
| 513–515. | Cycadeoidea. [G. R. Wieland.] | 380–383 |
| 516. | Cycadeoidea Dartoni | 384 |
| 517–523. | Cycadeoidea Gibsoniana | 387–394 |
| 524–527. | Cycadeoidea (Bennettites) Morierei. [O. Lignier.] | 397–402 |
| 528–532. | Cycadeoidea dacotensis. [G. R. Wieland.] | 404–408 |
| 533. | Cycadeoidea colossalis. [G. R. Wieland.] | 410 |
| 534. | Cycadeoidea Reichenbachiana. [A. Rothpletz.] | 411 |
| 535–537. | Cycadeoidea gigantea. [Geological Soc.] | 413, 414 |
| 538. | Cycadeoidea micromyela | 415 |
| 539. | Cycadeoidea Jenneyana (?) [G. R. Wieland.] | 416 |
| 540. | Vectia luccombensis. [Trustees of the British Museum.] | 419 |
| 541–543. | Williamsonia gigas | 424–427 |
| 544. | Williamsonia gigas. [Yorkshire Nat. Union.] | 428 |
| 545. | Williamsonia gigas. A. G. Nathorst. | 429 |
| 546, 547. | Williamsonia gigas | 430, 431 |
| 548. | Williamsonia gigas. O. Lignier. | 432 |
| 549, 550. | Williamsonia gigas. [Cambridge Phil. Soc.] | 435, 436 |
| 551. | Williamsonia spectabilis. A. G. Nathorst. | 437 |
| 552. | Williamsonia spectabilis. [Geological Soc.] | 438 |
| 553, 554. | xviiWilliamsonia Leckenbyi. A. G. Nathorst. | 439, 440 |
| 555, 556. | Williamsonia whitbiensis. A. G. Nathorst. | 441 |
| 557. | Williamsonia sp. [Indian Geol. Survey.] | 444 |
| 558. | Williamsonia Blandfordi. [Indian Geol. Survey.] | 446 |
| 559. | Williamsonia Carruthersi | 447 |
| 560. | Williamsonia Bucklandi | 449 |
| 561. | Williamsonia scotica | 450 |
| 562–564. | Williamsonia scotica. [Royal Society.] | 451–453 |
| 565. | Williamsonia spectabilis; W. whitbiensis; W. mexicana | 459 |
| 566, 567. | Wielandiella angustifolia | 463, 464 |
| 568. | Wielandiella angustifolia. A. G. Nathorst. | 466 |
| 569–573. | Williamsoniella coronata. [Royal Society.] | 468–471 |
| 574. | Cycadocephalus Sewardi. A. G. Nathorst. | 474 |
| 575. | Bucklandia anomala | 482 |
| 576. | Bucklandia Milleriana | 484 |
| 577. | Bucklandia Yatesii | 485 |
| 578. | Bucklandia buzzardensis. [Trustees of the British Museum.] | 486 |
| 579. | Bucklandia indica. [Trustees of the British Museum.] | 488 |
| 580, 581. | Colymbetes Edwardsi [Trustees of the British Museum.] | 492, 493 |
| 582, 583. | Cycadolepis sp. | 495 |
| 584, 585. | Carpolithus conicus [Trustees of the British Museum.] | 498 |
| 586. | Beania gracilis. [W. G. Carruthers.] | 502 |
| 587. | Ptilophyllum pecten. [Trustees of the British Museum.] | 513 |
| 588, 589. | Ptilophyllum pecten [Geological Surv. India.] | 514, 516 |
| 590. | Ptilophyllum pecten and Williamsonia Blandfordi [Geological Surv. India.] | 517 |
| 591. | Ptilophyllum cutchense. [Geological Society.] | 518 |
| 592. | Ptilophyllum pecten | 519 |
| 593. | Ptilophyllum pecten. [Geological Society.] | 519 |
| 594. | Ptilophyllum pecten | 520 |
| 595. | Ptilophyllum pecten | 523 |
| 596. | Ptilophyllum pecten. [Trustees of the British Museum.] | 523 |
| 597. | Ptilophyllum boreale. A. G. Nathorst. | 526 |
| 598. | Ptilophyllum antarcticum; P. Anderssoni | 527 |
| 599. | Zamites gigas. [Encyclopaedia Britannica.] | 533 |
| 600. | Zamites recta | 534 |
| 601. | Zamites Buchianus; Z. Carruthersi; Z. Zitteli | 535 |
| 602. | Zamites Buchianus | 536 |
| 603. | Otozamites Goeppertianus; O. Bechei | 538 |
| 604. | Otozamites Bechei | 539 |
| 605. | xviiiOtozamites Bechei | 541 |
| 606. | Otozamites Beani; O. Bunburyanus [Encyclopaedia Britannica.] | 542 |
| 607. | Otozamites bengalensis. [Geological Surv. India.] | 542 |
| 608. | Otozamites Kliptsteini. [Geological Society.] | 545 |
| 609. | Dictyozamites Hawelli | 548 |
| 610. | Pterophyllum Jaegeri | 549 |
| 611. | Pterophyllum Nilssoni; Nilssonia mediana | 551 |
| 612. | Pterophyllum Fayoli | 552 |
| 613. | Pterophyllum Braunianum | 554 |
| 614. | Pterophyllum Nathorsti; Nilssonia tenuicaulis [Royal Society of Scotland.] | 556 |
| 615. | Pterophyllum Nilssoni [Trustees of the British Museum.] | 557 |
| 616. | Pterophyllum Lyellianum [Trustees of the British Museum.] | 557 |
| 617. | Pseudocycas insignis | 562 |
| 618. | Pseudocycas Saportae. [Encyclopaedia Britannica.] | 564 |
| 619. | Nilssonia pterophylloides; N. brevis; N. polymorpha | 567 |
| 620. | Nilssonia brevis; N. saighensis | 570 |
| 621. | Nilssonia rajmahalensis. [Geological Surv. India.] | 571 |
| 622. | Nilssonia compta. [Trustees of the British Museum.] | 574 |
| 623. | Nilssonia princeps. [Geological Surv. India.] | 577 |
| 624, 625. | Ctenis sp. [Manchester Phil. Lit. Society.] | 579 |
| 626. | Ctenis sulcicaulis | 583 |
| 627. | Pseudoctenis eathiensis [Trustees of the British Museum.] | 584 |
| 628. | Sphenozamites Rochei | 588 |
| 629. | Sphenozamites Belli. [Trustees of the British Museum.] | 588 |
Among the fossil genera described in the last chapter of the second volume some were spoken of as true Ferns though most of them, it was added, ‘may safely be regarded as plants which will ultimately be shown to belong to some other group, in most cases that of the Pteridosperms.’ Since this was written additional evidence has been obtained in favour of the inclusion of certain genera in the Pteridosperms. In the case of Taeniopteris, one of the genera already described, there is reason to believe that at least one species is a member of the Cycadales and not a true Fern as formerly supposed.
The Pteridosperms so far described are represented for the most part by sterile leaves preserved as impressions, the genera founded on more satisfactory material having been reserved for treatment in this volume. As these genera are founded to a large extent on anatomical characters oscillating in their essential features between recent Ferns and Cycads, it is important that the student should be in possession of the anatomical characteristics of both of these classes; and for this reason a general account of recent Cycads is intercalated between the Pteridosperms already described and those reserved for treatment in this volume.
The section of the Gymnosperms known as the Cycadales, represented by nine recent genera and less than 100 species, is of exceptional importance phylogenetically and demands special attention from palaeobotanical students. Familiarity with the morphology of recent forms is essential not only in relation to extinct cycadean plants but also to types which, though not sufficiently close 2to surviving species to be included with them in one class, exhibit features regarded by many botanists as indications of an affinity either to true Cycads or to some generalised stock of which they are an offshoot. The Cycads of to-day may fairly be spoken of as anachronisms, plants appropriate to a former age but out of harmony with the present. They are confined to tropical and sub-tropical regions in both the old and new world. In habit many of them resemble tree-ferns, but the columnar stem, which may live to a great age and attain a height of 20 metres, differs from that of ferns in its gradually tapered form consequent on the presence of one or more cambial cylinders. Though often unbranched (fig. 377) branching of the main trunk is by no means 4unusual (fig. 378; fig. 381, B). Many Cycads are geophilous and have short tuberous stems (figs. 383, 395, 1a; 396, E): the genus Zamia includes a few epiphytic forms[1]. The typical cycadean stem is covered with persistent petiole-bases with or without an admixture of smaller scale-leaf bases (figs. 379, 380), while in several species a transversely wrinkled or irregularly fissured periderm forms the superficial tissue (figs. 381, B; 383). The foliage-leaves are relatively large and, with the exception of the bipinnate fronds of Bowenia (fig. 391), they are always pinnate. The fronds usually form a terminal crown (figs. 377, 379) and as many as 100 may be produced from one bud. In Zamia pygmaea[2] the fronds are only 10–12 cm. long, but in some cycads they reach a length of several metres. On both young foliage-leaves and scale-leaves long and very rarely branched[3] unicellular hairs (fig. 396, N) form a characteristic feature and take the place of the ramental scales of the majority of ferns. The apex of the stem shown in fig. 386, A is covered with a mass of woolly hairs and several scale-leaves are seen on the lower part of the bud.
All recent Cycads are dioecious. The reproductive shoots, except the megasporophylls of Cycas—which have departed to a less extent than those of other genera from the foliage-leaf plan (fig. 381, A; fig. 392, A–C) and are borne in a terminal cluster 5through which the stem subsequently pushes its way—consist of a varying number of micro- or mega-sporophylls in dense spirals on the axis of an elongated or oval strobilus (figs. 386, B, 393, 394). The microsporophylls are occasionally verticillate[4]. The strobili are sometimes though rarely branched[5] and generally but by no means invariably[6] terminal on the main stem which branches sympodially[7]. A striking example of 6lateral strobili has recently been described by Chamberlain[8] who figures a stem of Macrozamia Moorei with fertile shoots wedged among the persistent petiole-bases, a condition very similar to that in the Mesozoic Bennettitales. Pearson has also described clear cases of laterally-borne cones in Encephalartos. Cycas exhibits two kinds of branching, the female plants being monopodial while in the male the branching is sympodial. The microspores are produced in sporangia grouped in more or less well defined sori (figs. 389, A; 392, E–G). There is no definite annulus, but in the occurrence of groups of thick-walled cells some microsporangia recall those of certain ferns[9]. The ovules vary considerably in size, sometimes exceeding 5 cm. in diameter: there are usually two on each megasporophyll (figs. 393, C; 394; 395, 1d) but in most species of Cycas (fig. 392, B) and occasionally in other genera the number is larger[10]. A thick integument encloses the nucellus with which it is fused except in the apical region (fig. 396, A, B). Below the comparatively long micropylar tube is a well-developed pollen-chamber (fig. 396, B′, p), a striking feature of Cycadean ovules, immediately above the megaspore; the latter is filled with prothallus-tissue and bears a small apical group of archegonia on the floor of a depression (fig. 396, A–B′). In Microcycas[11] as many as 200 archegonia are recorded—a very exceptional case—and these are not confined to the apical region, though only the apical archegonia are functional. Each archegonium is characterised by a very large oval egg-cell and a much reduced neck[12]. The microspores usually produce a single prothallus-cell, a stalk-cell, and body-cell, and from the body-cell are developed two spirally ciliated spermatozoids (fig. 396, M). In this respect also the monotypic genus Microcycas is peculiar: it may have as many as 8 body-cells and 16 male gametes in a single pollen-tube (fig. 396, G), while in Ceratozamia[13] 4 gametes have been seen in one tube. The pollen-tube grows like a fungal mycelium into the nucellar tissue and the male gametes are formed in the distended proximal end 7which on bursting liberates the motile sperms with the watery cell-sap. Fertilisation is succeeded by the development of a homogeneous proembryo partially or completely filling the zygote (fertilised egg): by the formation of long suspensors the embryo is brought into contact with the food-store of the prothallus. In some Cycads, e.g. Encephalartos, the embryogeny exhibits a close resemblance to that of Ginkgo[14]. The embryo is dicotyledonous[15].
The single stele of the stem is characterised by a large pith which in some genera (e.g. Encephalartos, Macrozamia) contains an anastomosing system of collateral bundles. The vascular tissue of a cycadean stem forms a cylinder of secondary xylem and phloem, the primary xylem being represented only by a few, usually crushed, protoxylem elements on the inner margin of the reticulately pitted or scalariform tracheids. Both xylem and phloem are traversed by numerous broad and deep medullary rays[16]. The looser texture and more parenchymatous structure of Cycadean wood afford a ready means of distinguishing it from the wood of Conifers: for the Cycadean type the term manoxylic is proposed and pycnoxylic for the more compact coniferous wood[17]. Rims (or ‘bars’) of Sanio, of which much has been said in discussions on the phylogeny of Conifers, have recently been described in the petiolar xylem of Cycas revoluta: the rims are short and ‘cling closely to the borders of the pits,’ features which also characterise the rims found in the cones of the Araucarineae and in the root- and cone-wood of certain Pines[18]. In some Cycads the secondary xylem and phloem form a single cylinder, but in others (Cycas, Encephalartos, Macrozamia, Bowenia) the cambium is succeeded by one or several concentric cylinders of meristem which have their origin in the pericycle. The spasmodic occurrence of separate arcs of inversely orientated secondary xylem and phloem between the normal cylinders is a feature of importance from the point of view of comparison 8with the Palaeozoic Medulloseae[19]. The occurrence of concentric cauline strands in the cortex of Cycas is also a peculiarity worthy of notice. Successive bands of periderm, and occasionally a considerable amount of phelloderm[20], are formed in the peripheral region of the stem.
The leaf-traces in an adult stem exhibit a striking feature in their indirect or girdle-like course to the leaves (fig. 396, H, g) and in the gradual change from an endarch (fig. 396, O) to an apparently mesarch structure (fig. 400) as they pass from the perimedullary zone to the petiole: except at the base of the petiole the vascular bundles of the frond-axis consist of (i) centripetally developed xylem with a median protoxylem and a much smaller amount of centrifugal xylem (fig. 400) separated by a few parenchymatous elements from the centripetal xylem, (ii) an external arc of protophloem and within this metaphloem and parenchyma[21]. In the slender petiole of Bowenia there are a few collateral bundles arranged in the form of a circle or ellipse[22]; in Cycas and some other genera the more numerous bundles form a pattern like an inverted U, and in some species of Encephalartos the number is greater and the strands more irregularly scattered[23]. In the vegetative stems there is no centripetal xylem in the stele, but scattered centripetal tracheids occasionally occur internal to the protoxylem in the steles of the peduncles[24].
Cycadeae. Megasporophylls each bearing 2–8 ovules, borne separately like foliage-leaves and not in strobili. Pinnae have a midrib but no lateral veins (figs. 384, 387, A). Cycas (fig. 377).
Zamieae. Both kinds of sporophylls form strobili. Pinnae have several dichotomously branched, more or less parallel veins. Zamia (figs. 388–390), Macrozamia, Encephalartos (figs. 379, 386, C), Ceratozamia, Dioon (fig. 386, B), Microcycas.
Stangerieae. Strobili as in Zamieae. Pinnae fern-like, numerous dichotomously branched lateral veins given off from a midrib. Stangeria.
Bowenieae. Leaves bipinnate (fig. 391), strobili as in Zamieae. Bowenia.
Distribution. The most widely spread genus, Cycas, occurs in Siam, India, the Nicobar Islands, Ceylon, Madagascar, and 9Australia, in many of the islands in the Indian and Pacific oceans, in New Guinea, Borneo, New Caledonia, New Britain, China and Japan[25]. Zamia, the most northerly genus, extends from North Mexico and Florida through Central America and some of the West Indian islands to Ecuador, Bolivia, Chile, and Peru. Dioon and Ceratozamia are confined to South Mexico, and Microcycas flourishes on the Cuban mountains. The continent of Africa possesses two endemic genera Encephalartos and Stangeria. Encephalartos extends from Cape Colony through Natal and Zululand to Zanzibar and Mombasa[26]: a specimen in the Kew Herbarium (probably E. Hildebrandti) is said to have been collected as far north as the Soudan. Two species are recorded from the Congo[27] and E. Barteri, discovered by Barter in Central Africa, is recorded from the Gold Coast[28]. Stangeria has a much more limited range in S.E. Africa[29]; Australia possesses Macrozamia, represented by several species in Western Australia, New South Wales and Queensland, Cycas in Queensland and the Northern territory and the Queensland genus Bowenia. There are no Cycads in New Zealand. As a whole Cycads have a limited range and with the exception of Cycas and Zamia none of them extend beyond the limits of a single continent. They are as a rule not gregarious plants and play a subordinate part in the facies of the vegetation. Macrozamia forms dense thickets[30] in some districts and occurs both in exposed situations and in association with Palms in damp Queensland forests. Chamberlain[31] speaks of 100 plants of Dioon edule as visible in one view in South Mexico where the species forms a mountain forest. In Florida Zamia pumila[32] grows in dense moist woods, a habitat in contrast to that of many Cycads. The Mexican Ceratozamia is associated with luxuriant vegetation, while its compatriot Dioon[33] lives in blazing sunshine. 10Sir Joseph Hooker[34] speaks of Cycas living in the deepest and hottest valleys in Sikkim. Encephalartos is essentially a xerophilous genus. Stangeria paradoxa is said to be confined to forests in Cape Colony, and another species grows among the grass of the Park-lands in open country[35]. While it is true that many Cycads are characteristic of dry regions some species flourish in places where shade and moisture are abundant.
Though it is impossible in many cases to form an estimate of the age of individual plants, there are clear indications that some specimens afford notable instances of longevity. Chamberlain estimates the age of some plants of Dioon spinulosum as exceeding 400 years and mentions an example of D. edule that is probably 1000 years old. An unusually tall plant of Encephalartos in the Botanic Garden of Amsterdam is believed by Prof. de Vries to have reached the venerable age of 2000 years[36]. The restricted range and in many cases the solitary existence of recent Cycads, with their tall stems clothed with the persistent cork-covered stumps of thousands of fronds, deepens the impression of antiquity derived from a study of the geological history of this dwindling race.
Stems. The tall columnar stems of some species of Cycas, often branched or bearing numerous ovoid buds like enlarged bulbils[37], are characterised by the regular alternation of large and small leaf-bases as seen in the stem of C. circinalis reproduced in fig. 380. In older stems of this species the leaf-bases are exfoliated and the stem is covered with wrinkled and fissured cork; but in Cycas revoluta the leaf-bases are even more persistent. The columnar but relatively stout stems of Encephalartos (figs. 379, 382, 386, A) and Ceratozamia are similarly encased in a covering of petiole-bases, but in these genera the differences between foliage-leaves and bud-scales is much less obvious and there is no zonal alternation. On the stems of Macrozamia the rhomboidal leaf-bases are more uniform in size and there are no scale-leaves. The tall and often palm-like stems of Microcycas 11sometimes show transverse rings on the bark marking the position of former terminal buds, and in older trunks these may disappear, leaving a fissured bark[38]. In Cycas siamensis the tuberous stem is similarly covered with a rough bark (fig. 383) and the stems of Zamia are also characterised by an absence of persistent leaf-bases (figs. 381, B; 395, Ia, a). It is pertinent to remind the 12palaeobotanical student of the occurrence of flowering plants with stems closely simulating those of some Cycads. Prof. Bower[39] in describing Rhynchopetalum montanum, an Abyssinian Lobeliaceous plant, drew attention to the similarity in surface-features and to some extent in anatomical structure to cycadean stems. The resemblances are further emphasised in a more recently published account of the same species under a different name, Lobelia Rhynchopetalum[40].
Fronds. A general acquaintance with the various types of fronds illustrated by recent Cycads is important to the student of fossils not only to enable him to compare existing and extinct forms but as affording safeguards against possible sources of error in the description and identification of impressions[41]. The vernation exhibits less uniformity than in Ferns: in Cycas the rachis is straight and the pinnae circinately coiled (fig. 220, B, vol. ii. p. 283); in Zamia and Stangeria the rachis is bent and the pinnae straight, while in Ceratozamia and other genera both the axis and leaflets are straight. As Braun pointed out, there is as a rule no terminal leaflet, or it may be pushed to one side giving a forked appearance to the frond apex[42].
13
Cycas. The presence of a strong midrib and the absence of lateral veins are distinguishing features: the lower margin of the lamina is frequently decurrent (fig. 387, A). In C. circinalis the pinnae may reach 40 cm. in length with a fairly uniform breadth of 2 cm. A frond of this species in the British Museum, not quite complete, has a length of 112 cm.: on the lower part of the rachis strong spines replace the leaflets and near the apex of the leaf concrescent pinnae form a continuous lamina traversed by seven ribs and dissected at the margin into acuminate teeth (fig. 384): some of the pinnae are forked as in Cycas Micholitzii[43] (fig. 385). Several years ago I noticed a similar instance of concrescence in a small plant of C. circinalis in the Royal Gardens, Kew (fig. 387, I). In Cycas Micholitzii the pinnae, reaching a length of 20 cm., are repeatedly and deeply forked (fig. 385, A, B; fig. 400): the pinnae of C. Rumphii var. bifida[44] are also deeply dissected. Cycas Beddomei has very narrow pinnae (15 cm. × 2 mm.) similar to those of the Wealden 14species Cycadites Saportae, and it is noteworthy that narrow leaflets with a strongly revolute lamina would produce casts with two parallel ribs (the grooves between the midrib and the edge of the lamina) simulating the double midrib of the fossil genus Pseudocycas. In some fronds, e.g. C. Cairnsiana, the midrib is hardly visible on the upper face of a dried pinna which shows a longitudinal wrinkling simulating parallel venation.
Encephalartos. The fronds of this genus, in Encephalartos Laurentianus[45] reaching the exceptional length of 7 metres, bear alternate pinnae exhibiting a considerable range in form and breadth. In E. longifolius, E. Altensteinii (fig. 386, C), E. Lehmanni, etc., the pinnae are for the most part linear, reaching a length of 20 cm. and a breadth of 2 cm.: in E. caffer (fig. 387, D), E. latifolius, and others the pinnae are broader and shorter and often spinous. A frond of E. longifolius or E. Altensteinii may bear both entire and lobed, spinous pinnae. In E. Frederici-Guilielmi (fig. 387, G) and E. Ghellinckii[46] (fig. 382) the pinnae are very narrow and almost filiform, with revolute edges. The thick and leathery pinnae of some species are attached obliquely to the edge or 16to the upper sloping sides of the rachis which forms a prominent ridge between the rows of leaflets, and characteristic oval scars are left on the fall of the pinnae (fig. 387, D, G′). The lamina in most species contains several veins more or less parallel to the margins and often much more prominent on the lower than on the upper surface.
Zamia. In Zamia angustifolia (fig. 385, C) and Z. linifolia the pinnae are long and very narrow: the other extreme is represented by Z. Wallisii[47] (fig. 388) with broad ovate segments reaching a length of nearly ·5 metre and attached to the rachis by a short stalk; the veins are prominent and dichotomously branched. Other forms of pinnae are represented by Z. integrifolia, Z. floridana, and Z. Loddigesii (figs. 389, 390, 395). The 19broad and short pinnae of Z. furfuracea[48] bear a close resemblance, except in the absence of an auriculate base, to those of some species of the fossil genus Otozamites. The broadly linear pinnae of Z. pseudoparasitica (45 cm. × 3 cm.) often show longitudinal wrinklings on drying which suggest comparison with the corrugated lamina of the fossil species Nilssonia brevis. A basal pad or callosity on the slender bases of the pinnae is characteristic of many Zamia fronds.
Ceratozamia. The fronds bear a fairly close resemblance to those of Macrozamia: in Ceratozamia mexicana the linear pinnae reach a length of over 30 cm. and a breadth of 2–3 cm.; the lamina tapers to a narrow apex and is more abruptly contracted at the base (fig. 387, H). The veins in Ceratozamia are sub-parallel and dichotomy occurs up to the middle of the lamina[49]. A striking feature is the occurrence of two opposite stipule-like projections a short distance above the base of the petiole.
Macrozamia. A noteworthy feature in some species is the attachment of the linear pinnae along the middle line of the rachis (fig. 387, C); in others (fig. 387, B) the leaflets are attached laterally and may have a basal callosity. The parallel veins, which branch dichotomously near the base of the lamina, are often much more prominent on the lower than on the upper face. In M. heteromera[50] (fig. 396, F, F′) the narrow pinnae are deeply forked and strongly revolute. The spirally twisted rachis of M. spiralis, M. heteromera, etc., is a striking feature recalling the Rhaetic fern Camptopteris spiralis Nath[51].
Dioon. The arrangement of the linear pinnae of D. edule (fig. 386, B), D. spinulosum, and D. Purpusii[52] forms a ready means of distinguishing the fronds of this genus: the pinnae, often contiguous and at right-angles to the rachis, are attached in a lateral groove by an expanded and slightly decurrent base. The difference between the lower and upper face of a frond (fig. 387, E, F) affords a good illustration of a common source of error in the identification of fossil specimens. The leaflets of D. spinulosum, which except in their spinous margin are very similar to those of D. edule, may reach a length of 15 cm. and a breadth of 8 mm. The parallel veins are unbranched[53].
Microcycas[54]. The pinnae of this genus, very like those of the Wealden species Zamites Buchianus, reach a length of 20 cm. and a breadth of 8 mm.: on falling they leave oblong scars resembling those on the rachis of Encephalartos.
Stangeria. This genus is particularly interesting because of its fern-like habit and venation. The large fronds of S. paradoxa[55] bear broadly linear 20acuminate pinnae with entire, unevenly lobed, serrate, or pinnatifid margins. Some leaflets are so deeply dissected as almost to justify the appellation pinnate. Both entire and dissected leaflets may occur on one frond and the lower ones may be stalked while the upper pinnae are sessile. The venation agrees closely with that of the genus Taeniopteris[56].
Bowenia. The large fronds of this genus (fig. 391) are peculiar in being bipinnate; they may reach a length of 2 metres and have a long slender petiole: the asymmetrical lamina of the segments, entire or deeply serrate, is attached by a very short stalk; the veins branch dichotomously[57] and diverge slightly. Both entire and serrate pinnae may occur on the same plant, but Chamberlain has revived André’s specific term serrulata in preference to the generally adopted designation for the serrate forms, B. spectabilis var. serrata[58].
Reproductive shoots[59]. In Cycas circinalis, C. Rumphii, and other species the megasporophylls reach a considerable length and bear several lateral ovules each of which may be as large as a 22goose’s egg: the sterile distal end has the form of a spear-point with an irregularly serrate edge. In C. revoluta, C. pectinata, etc., the sterile part is deeply dissected and may break off (fig. 392, A) from the fertile portion of the sporophyll. The megasporophylls of C. Riuminiana exhibit a striking variation in form (fig. 392, B, C); some are 15 cm. long with several ovules, while others, reduced to 8 cm., bear only two ovules and resemble the sporophylls of Dioon. In all other genera the megasporophylls are 23aggregated into cones, but in Dioon the strobili are characterised by their more ovoid form and by the looser arrangement of the sporophylls (fig. 386, B), each of which consists of a horizontal stalk expanded distally into a broadly lanceolate upturned end covered with a thick felt of hairs and bearing at its base usually 2, rarely 5–6, ovules on cushion-like swellings. In Dioon spinulosum the cones may be 50 cm. long. Between the cones of Microcycas, over 90 cm. long, and those of some Zamias, a few centimetres long, there are many intermediate forms. The large strobilus of an Encephalartos reproduced in fig. 393, D, shows the convex ends of the sporophylls with a jagged edge, and in monstrous cones the marginal lobes may be abnormally developed and assume the appearance of pinnae[60]. Each megasporophyll bears two large ovules (fig. 393, B). In certain species of Encephalartos the swollen ends of the sporophylls have a truncate centre like the flattened umbo of some Pines (fig. 392, D). The presence of two divergent spines is a peculiarity of the megasporophylls24 of Ceratozamia (fig. 393, C): in Macrozamia (fig. 394) the distal ends are prolonged as tapered processes. The surface of the strobilus of Stangeria is formed by imbricate and rounded ends of sporophylls (fig. 392, H) not unlike the cone-scales of Pinus excelsa or P. cembra. The megasporophylls of Zamia are expanded into regular cushion-like hexagons with a flat central area (figs. 389, B; 395, Ib).
The microsporophylls (figs. 389, A; 392, E) are in all genera 25aggregated into strobili which often bear a close resemblance to seed-cones (fig. 393, A). On a single sporophyll of Cycas circinalis there may be as many as 700 sporangia while in Zamia floridana there are only two microsporangia. The spore-output is large and in extreme cases, e.g. in Dioon spinulosum, the average number of spores in a sporangium is said to be 30,000[61].
Seeds. In the great majority of recent species the seeds may be described as large and afford a striking contrast to the small seeds of the Mesozoic Bennettitales. A feature of interest from the point of view of comparison with Palaeozoic seeds is the absence of a resting stage, germination in some cases following seed-fall without an interval. As Warming pointed out, the embryo is often undeveloped when the seeds are shed. An interesting fact is recorded by Capt. Dorrien-Smith[62] with regard to seed-dispersal: he describes the heavy pebble-like seeds of a Macrozamia as being hurled from the ripe cones a distance of 12 ft. The seeds of Cycas are platyspermic; the woody shell exposed on removal of the outer flesh is slightly flattened and has two prominent angles, but three-angled seeds may occur as in Ginkgo biloba (fig. 631, C). In other genera the seeds are radiospermic. The seed of Encephalartos Altensteinii[63] (fig. 396, D) has a square-cut distal end with a small papilla at the summit of the unusually long micropylar canal (17 mm.). The stone of this seed (fig. 396, C) shows parallel curved ridges which mark the position of vascular strands in the inner region of the outer flesh. The large ovules of Cycas circinalis[64] have an integument 1 cm. thick consisting of an outer and inner flesh and an intervening stony layer which reaches its greatest development at the base and apex. Three vascular strands enter the base of the seed, the concentric strand breaks up in the broad inner flesh into a group of bundles which embrace but do not penetrate the lower end of the nucellus. Each of the two lateral strands branches in the outer flesh near its entrance into the seed; the outer and larger collateral and mesarch bundle passes up close to the surface of the shell to the seed-apex, while the inner branch penetrates the shell and, occasionally branching, passes up the inner region of the inner 27flesh as far as the micropyle. In other seeds the tracheal supply of the outer flesh consists of several bundles and not two as in Cycas. The inner flesh abuts on the nucellus and is connected with it except at the apex (fig. 396, B). In ripe seeds the nucellus is reduced to a thin membrane enclosing the large megaspore at the upper end of which is a depression (fig. 396, B′) or sometimes two depressions (fig. 396, I) in the prothallus containing the archegonia. In the seed of Dioon edule[65] (fig. 396, A) the position of the absciss-layer (s) is indicated by a slight transverse constriction. In the seeds of Bowenia, constructed on the same plan, the inner series of vascular strands appears to be nucellar in position, thus differing from the strands in Dioon, Cycas, and other genera which are confined to the integument. Miss Kershaw[66] in describing Bowenia speaks of an upper and a lower pollen-chamber; the former serves as a storage-place for the microspores 28prior to their further development in the lower chamber. Dr Stopes[67] regards the integument as double in origin, a view suggested by Griffith[68] in 1835, and as homologous with the single integument plus the cupule of Lagenostoma. This view is supported by Mrs Thoday[69]: on the other hand Miss Kershaw’s investigation of Bowenia seeds leads her to regard the integument as single. Although there would seem to be a prima facie case in favour of the dual nature of the integument, the arguments on the other side have greater weight[70].
Recent observations point to the probability that insects play a part in the pollination of cycadean ovules. Kraus[71] drew attention to the strong smell emitted by the microstrobili of Dioon edule and noticed that small bees were attracted to the ripe strobili of Macrozamia, while odourless cones of a neighbouring Ceratozamia received no attention. Pearson[72] and Rattray[73] have obtained evidence that beetles and weevils act as pollinators to species of Encephalartos.
Anatomical features. Allusion has already been made to some of the more striking anatomical features; the large pith, the occasional occurrence of medullary vascular bundles, the presence of one or more cambiums, the large size of the medullary rays, etc. It is worthy of remark that the occurrence of an anastomosing system of medullary bundles is not a constant feature within a genus; in Macrozamia Fraseri such a system is present, but absent in M. Denisoni[74]. In the pith of stems with no medullary bundles cylinders of collateral bundles may occur in connexion with a fertile shoot. These bundles arise from the inner face of the main cylinder and pass upwards as a domical system into the base of the terminal strobilus which is eventually pushed to one side by the growth of a lateral bud[75]. The secondary xylem tracheids are usually provided with several rows of bordered pits on the radial walls and resemble those of the Araucarieae[76], but in Cycads the pits are often not contiguous and less compact 29in their distribution. The wood of Stangeria is peculiar in consisting of scalariform tracheids[77] (fig. 397). Chamberlain describes growth-rings in the wood of Dioon; but this is exceptional. In tangential sections of the stele leaf-trace bundles are constantly seen passing horizontally through the broad and deep medullary rays. The pith-cast of a cycadean stem reproduced in fig. 398 shows the wide meshes in the reticulum of tracheal tissue originally occupied by parenchyma, which on decay left lenticular depressions represented on the cast by tapered convex areas occasionally bearing the impress of an outgoing trace in the form of a narrow groove. The secondary phloem often rivals the xylem in breadth and is not always easily distinguishable from it; it consists of sieve-tubes, parenchyma, and fibres. The secondary cambial cylinders characteristic of Cycas, Encephalartos, Macrozamia, and Bowenia, to which reference was made in the summary of anatomical features, arise in the pericycle, and a few layers of 30pericyclic parenchyma occur between adjacent extrafascicular cylinders of xylem and phloem. In a stem of Cycas media 35 cm. in diameter examined by Worsdell there were 12 concentric cylinders. Matte[78] and Miss Dorety[79] have described partially flattened arcs of extrafascicular xylem and phloem in the hypocotyl of Ceratozamia mexicana. Worsdell[80] first drew attention to the occasional occurrence of short tracheids on the inner edge of the secondary wood and to the spasmodic development of cambial arcs in the tissue between the extrafascicular cylinders forming strands of inversely orientated xylem and phloem. More recent work by Matte gives support to Worsdell’s comparison between Medullosan stems and those of recent Cycads with inversely orientated arcs or concentric vascular cylinders. The French author draws attention to the close resemblance between the seedling stems of such species as Encephalartos Barteri (fig. 396, K) and Cycas siamensis (fig. 396, L) with their polystelic type of structure and the adult stems of Medullosa[81]. In the stems of Dioon, Microcycas, Stangeria, and Zamia no extrafascicular cylinders are recorded. Two main vascular bundles enter the cortex from each leaf-base and in most stems these diverge right and left and more or less completely encircle the stele before passing through the medullary rays and joining the inner portion of the xylem of the stele either as double or single bundles. These girdle-bundles (fig. 396, H) first described by Karsten and Mettenius form a very characteristic cycadean feature[82]. Adjacent girdles are joined by connecting cortical bundles and, in addition, there are cauline collateral bundles in the cortex which form an anastomosing system. In some cases, e.g. species of Macrozamia and occasionally in Stangeria, the female peduncle of a Ceratozamia, and in seedlings of Bowenia and Cycas revoluta[83], the leaf-traces pursue a direct course from petiole to stele as in stems of Bennettitales. It is noteworthy that in seedlings of Microcycas[84], a genus characterised by a large number of male gametes—presumably a primitive feature—the leaf-traces are of the girdle-type. The two bundles at the base of a petiole by repeated 31subdivision give rise to the numerous collateral strands of the rachis. A leaf-trace in its passage to the leaf is like that of a Conifer in having the protoxylem on its inner edge, whereas in the petiole and elsewhere in the frond it is characterised by an arrangement of the xylem that has usually been described as mesarch. A typical vascular bundle from a cycadean frond is seen in fig. 399, C; by far the greater part of the xylem is centripetal, the centrifugal xylem being confined to an arc of scattered tracheids or a small strand separated by a few parenchymatous cells from the protoxylem.
As considerable stress has been laid on the anatomical features of the cycadean foliar bundles in discussions on the affinities and phylogeny of certain Palaeozoic genera, it is important to consider the facts more closely[85]. French anatomists described the cycadean bundle as diploxylic on the ground that the centripetal and centrifugal xylems are distinctly different things, the centripetal xylem being primary—a relic of a former organisation—and the centrifugal xylem secondary and homologous with the normal 32wood of the cauline bundle. The term mesarch has in recent years been applied to the cycadean type of bundle. A mesarch bundle is, however, one in which centripetal and centrifugal xylem are alike in origin, both being primary structures derived from a desmogen strand. Typical mesarch bundles occur in several recent ferns; in the stele of the Osmundaceae, Gleichenia, and other genera; but in these plants the xylem is all produced directly from one primary desmogen region and there is no question of ‘primary’ and ‘secondary’ as in the two portions of the xylem of a cycadean bundle. Recent researches into the development of cycadean foliar bundles show that they do not conform to the mesarch type as generally understood. A leaf-trace at the base of a petiole (fig. 399, A) comprises centrifugal xylem only, and this consists of regular rows of tracheids separated by medullary rays: in the lower part of the petiole the structure is gradually modified, the centrifugal xylem is reduced and the formation of centripetal xylem is initiated. At a higher level (fig. 399, B) the centripetal xylem is in excess of the centrifugal and the latter, for a time connected with the former, eventually becomes separated by a few parenchymatous cells from the protoxylem and persists as a small strand or arc of tracheids. Fig. 399 illustrates stages in the transformation of a typical collateral bundle, at the base of a Stangeria petiole, into one in which the xylem is almost wholly centripetal at a higher level in the axis of the frond. A cambium is present in all: in B the centrifugal xylem is more or less clearly differentiated into two portions, loosely arranged tracheids near the phloem, and the more compact groups abutting on the centripetal xylem: figs. C–E show a further reduction in the centrifugal tracheids. The conclusion drawn from developmental study is that the two xylem portions of the bundle are independent in origin[86]. Marsh has, however, shown that in Stangeria bundles near the base of the petiole the centrifugal xylem consists of rows of secondary tracheids and an inner portion not in rows which connects the centrifugal with the centripetal elements; this connecting portion, he adds, is ‘probably primary and connects up the Cycadean foliar bundle with the truly mesarch bundle of the Cycadofilices.’
33
In the xylem portion of the bundle from the midrib of a forked pinna of Cycas Micholitzii shown in fig. 400 the centrifugal xylem elements are unusually numerous: the space between the two xylems is occupied by parenchyma and the whole strand is enclosed by a sheath of crystal-containing cells, s, with thick inner walls. Fig. 400, 1–4, illustrates the gradual change in the form of the bundle in the region of dichotomy[87]. The ground-tissue of the petiole is abundantly supplied with secretory canals and in the hypodermal region is a cylinder of stereome. In some petioles, e.g. Macrozamia heteromera[88], the ground-tissue cells are lignified and reticulately pitted, a feature met with in some Mesozoic cycadean leaves[89]. In Cycas media Worsdell noticed a tendency 34of the leaf-trace bundles towards a concentric arrangement and similar vascular strands are recorded in the peduncle of Dioon edule, in various sporophylls[90] and in other cases. It is possible, as Worsdell believes, that the fairly frequent occurrence of concentric bundles in plants characterised by collateral bundles may have a phylogenetic significance.
The pinnae are dorsiventral and the veins exarch or pseudomesarch: secretory canals occur between (Encephalartos), above, or below the veins. The mesophyll of Cycas is characterised by the presence of isolated xylem-elements passing from the midrib to the edge of the lamina and, as Lignier[91] suggests, these may be regarded as a reduced system of lateral conducting strands.
The epidermal cells of the leaflets have straight or slightly curved walls except in Stangeria where they are undulate and fern-like[92]. The stomata, with few exceptions confined to the lower epidermis, are larger than in other gymnosperms (on the average ·075 × ·034 mm.) and are more or less depressed below the surface; the guard-cells are usually surrounded by 4–6 subsidiary cells.
The roots exhibit no feature to which attention need be called: the pericycle is several cells broad and as in the stem there may be extrafascicular cylinders of xylem and phloem.
The genus Lyginopteris is selected for the first place in this chapter simply on the ground that we have a fuller knowledge of its morphology than in the case of other types. It is not regarded as the most primitive member of its class. Lyginopteris may be described in a few words as a plant having the habit and to a large extent the anatomical features of a Fern, but differing from existing ferns in the possession of integumented megasporangia or seeds and in the power of secondary growth in thickness by means of a cambium in both stem and root. The seed (Lagenostoma) agrees with those of recent Cycads and Gnetales more closely than with the corresponding organs in Conifers or any other group, while the structure of the secondary wood is practically identical with that of Cycads. The microsporangia occur as groups of small bilocular sporangia, or synangia, at the tips of fertile pinnae of highly compound fronds.
Nomenclature and Historical Summary. In 1866 E. W. Binney[93] of Manchester published a short description of a small petrified stem from the Lower Coal Measures of Lancashire and named it Dadoxylon oldhamium, employing Endlicher’s term Dadoxylon which that author substituted for Pinites as previously used by Witham[94]. Three years later Williamson[95] drew attention to certain features in which Binney’s type differs from the genus Dadoxylon and substituted a new name Dictyoxylon, suggested by the reticulate pitting on the walls of the tracheids. In a 36subsequent paper Williamson[96] gave a fuller description of Binney’s species and spoke of it as ‘one of the most common plants in the calcareous nodules of the Lower Coal Measures’ of Lancashire and Yorkshire. He connected certain casts of arborescent dimensions with Binney’s type on the ground that the surface-features of the casts are such as would be produced by partially decorticated stems having a hypodermal reticulum of mechanical tissue like that preserved in the small petrified specimen described by Binney (fig. 402). Mr Carruthers called Williamson’s attention to a paper by Mr Gourlie[97] in which the generic name Lyginodendron is instituted for stem-casts identical in surface-features with the fossils figured by Williamson. In spite of the much larger dimensions of the reticulum on the casts described by Gourlie as compared with that in the outer cortex of Binney’s stem, Williamson concluded that Lyginodendron is ‘undoubtedly an inorganic cast of the prosenchymatous layer of the bark of Dictyoxylon.’ It is but fair to add that Williamson was influenced in coming to this conclusion by a discovery by Mr Nield of a piece of a large petrified stem believed to be generically identical with Binney’s type, but subsequently referred to a distinct genus[98], which was comparable in size with the stems responsible for Gourlie’s Lyginodendron casts. The type-specimen of Gourlie’s Lyginodendron Landsburgii[99], from Carboniferous rocks at Stevenston in Ayrshire, Scotland, is represented in fig. 401. The convex areas represent casts of depressions in a reticulum of cortical tissue, originally occupied by comparatively delicate cells, which decayed or shrunk more quickly than the enclosing framework of stronger fibrous elements that remained as a prominent reticulum and produced the depressions bounding the raised portions of the cast. Such a cast would undoubtedly be formed by the stem on which Binney founded his species: the radially disposed bands of thick-walled cells seen in the outer part of the section (fig. 402) are portions of an irregular anastomosing mechanical system, the reticulate arrangement of which is seen in the impression of a rachis of a Lyginopteris frond shown in fig. 405, E, and indicated in the more slender axis reproduced in fig. 404, A, b. This reticulate form of 37cortical stereome on which Brongniart founded the genus Dictyoxylon[100], a term since applied by Solms-Laubach and other authors to a certain type of cortex not confined to a single genus of plants, occurs also in some Palaeozoic lycopodiaceous stems[101] and in itself cannot be regarded as a safe criterion of botanical affinity. The largest example of Gourlie’s Lyginodendron that has come under my notice is an incomplete sandstone cast from Upper Carboniferous strata near Harrogate reaching a length of 100 cm. and 38with convex areas 13 cm. long. A similar cast, 36 cm. broad, has recently been figured by Nathorst[102] from the Culm of Spitzbergen, and from the Upper Devonian of Ellesmere Land the same author has described impressions of a cortical reticulum under the name Lyginodendron Sverdrupi[103]. These specimens are interesting as pointing to the former occurrence in the Arctic regions of stems—probably Lepidodendroid—reaching the dimensions of a fairly large tree. As Potonié[104] pointed out, Gourlie’s generic name serves a useful purpose for casts of stems of the type shown in fig. 401 that cannot be assigned to a definite systematic position. The genus was first used for a specimen which has nothing to do with the plant usually spoken of as Lyginodendron oldhamium (Binney). Though loath to give up a name by which Binney’s type has long been known, in spite of its retention in the second volume of this work I feel compelled so far to conform to the recognised principles governing nomenclature as to adopt Potonié’s generic term Lyginopteris.
| i. | Stem. |
| 1866. | Dadoxylon oldhamium, Binney, Proc. Lit. Phil. Manchester, vol. v. p. 113. |
| 1869. | Dictyoxylon oldhamium, Williamson, Monthly Micros. Journ. vol. ii. p. 66. |
| 1873. | Lyginodendron oldhamium, Williamson, Phil. Trans. Roy. Soc. vol. clxiii. p. 404. |
| 1899. | Lyginopteris oldhamia, Potonié, Lehrbuch der Pflanzenpalaeontologie, p. 171. |
| ii. | Leaf. |
| 1828. | Sphenopteris Hoeninghausi, Brongniart, Prodrome, p. 51. |
| 1872. | Edraxylon, Williamson, Proc. R. Soc. vol. xx. p. 438. |
| 1874. | Rachiopteris aspera, Williamson, Phil. Trans. R. Soc. vol. clxiv. p. 684. |
| 1877. | Calymmatotheca Hoeninghausi, Stur, Culm Flora, ii. p. 266. |
| 1905. | Crossotheca Hoeninghausi, Kidston, Proc. R. Soc. vol. lxxvi. p. 358. |
| iii. | Seed. |
| 1877. | Lagenostoma, Williamson, Phil. Trans. R. Soc. vol. clxvii. p. 234. |
| 1903. | Lagenostoma Lomaxi, Oliver and Scott, Proc. R. Soc. vol. lxxi. p. 477. |
| iv. | Root. |
| 1876. | Kaloxylon Hookeri, Williamson, Phil. Trans. R. Soc. vol. clxvi. p. 23. |
39
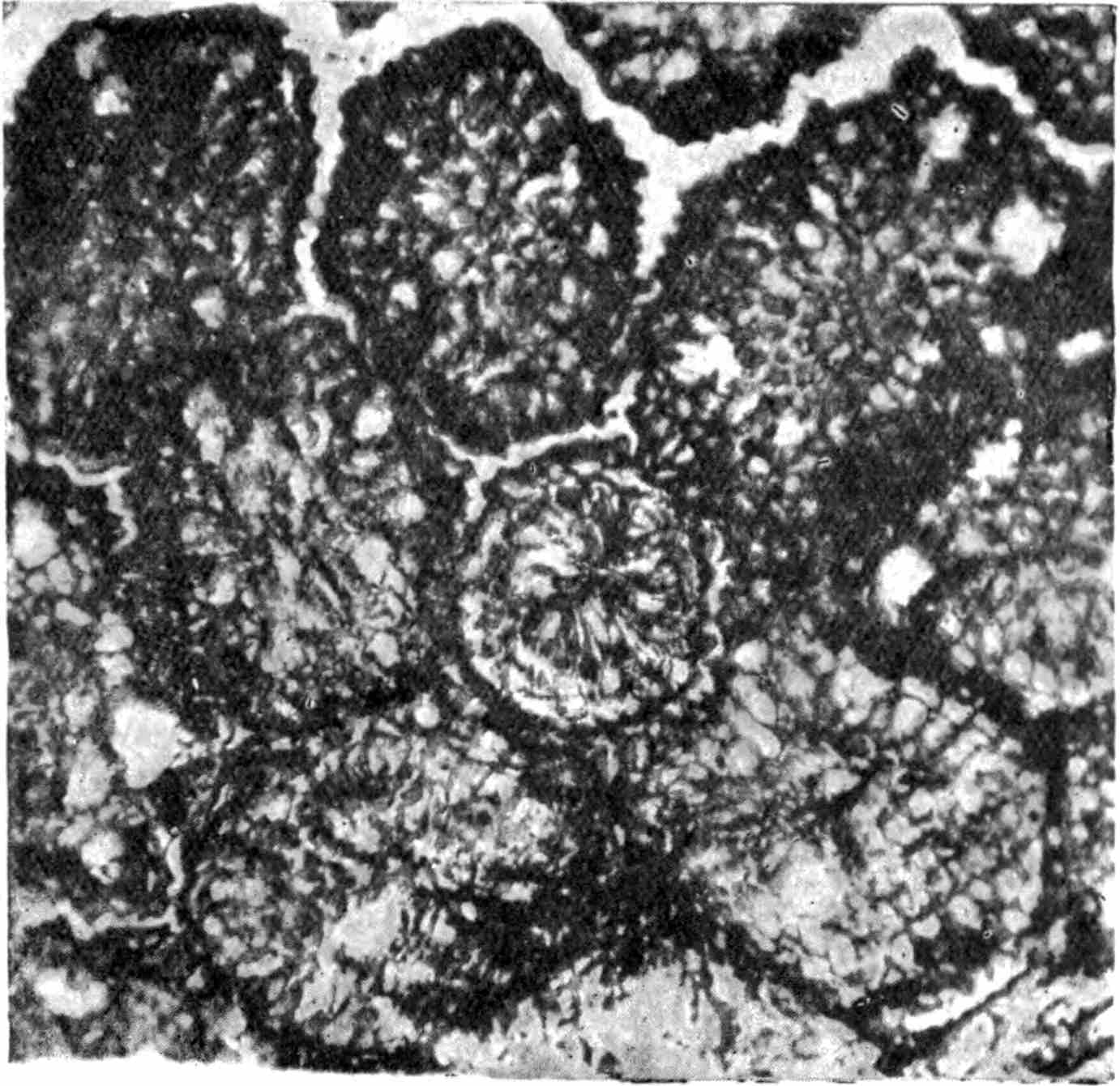
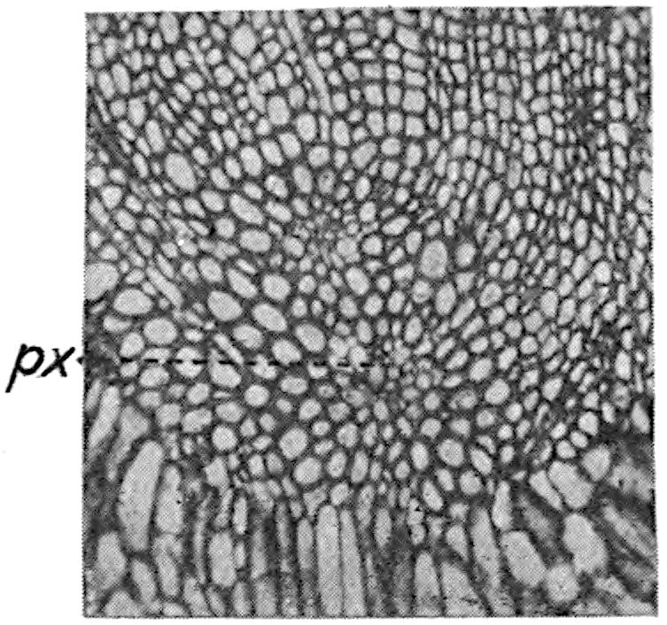
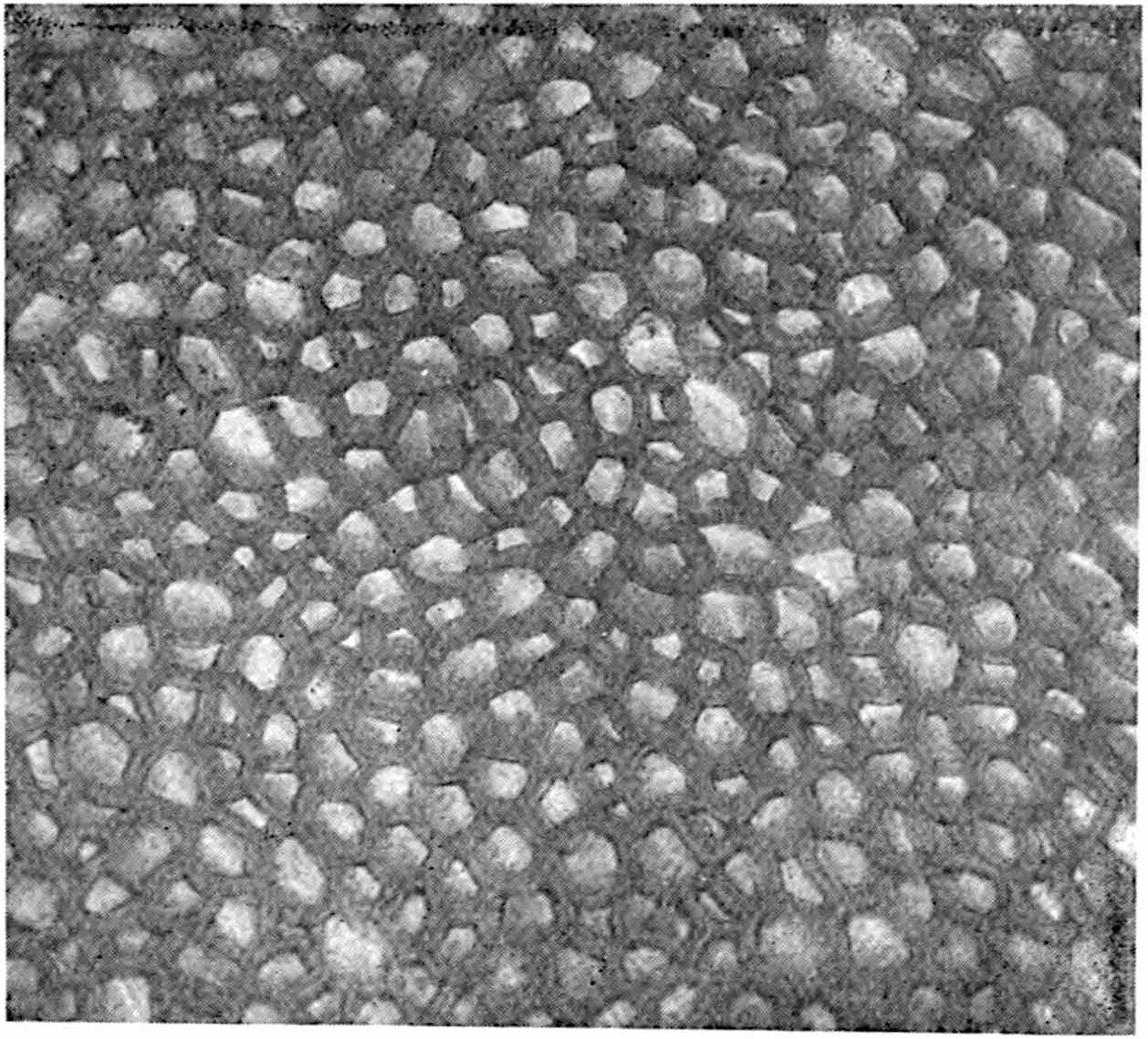
The petrified stem on which Binney founded the species was first figured by Dr Arber[105] from a section in the Binney collection in the Sedgwick Museum, Cambridge: this section (13 mm. in diameter) is reproduced in fig. 402. The most striking features are: (i) the pith consisting of an unusually large and irregular group of dark thick-walled parenchyma, (ii) the broad cylinder of manoxylic secondary xylem characterised by multiseriate medullary rays, (iii) the outer cortex composed of dark radially disposed and oblique bands of mechanical tissue separated from one another by partially destroyed and tangentially elongated parenchymatous elements. It is this outer cortex that Williamson aptly compared with the Roman numerals on a clock-face. In the perimedullary region and in contact with the inner edge of the secondary-xylem cylinder are six strands of primary xylem 40representing the xylem halves of collateral bundles separated from the primary phloem strands by the intervening cylinder of secondary wood. Two of the primary xylem strands in lateral contact are seen in fig. 404, C; the other four occur as separate bundles. Each primary xylem strand contains a small group of spirally thickened protoxylem elements (px) associated with a few parenchymatous cells. The large primary tracheids internal to the protoxylem are characterised by multiseriate bordered pits on their walls, while those external to the protoxylem, which are in contact with the innermost secondary tracheids, have scalariform pitting. The dark patch s (fig. 404, C) is a portion of the large group of sclerenchymatous cells, shown in figs. 402, 403. The perimedullary xylem strands of mesarch structure are the lower portions of leaf-traces and, as Scott points out, ‘each of the bundles surrounding the pith is, in fact, a sympodium, composed of the united lower ends of successive adjacent leaf-traces.’ The larger of the two bundles shown in fig. 404, C, is on the point of passing out to a leaf, while the smaller strand is on its way to a higher level before bending outwards through the secondary wood. Slightly beyond the middle of the secondary xylem there is an arc of narrower tracheids comparable with an incomplete annual ring. Although zones or arcs of narrow tracheids are not uncommon in the wood of Lyginopteris there is no satisfactory evidence of regularly recurring seasonal changes. On the outer face of the secondary wood are a few leaf-trace strands pursuing a vertical course in the pericycle region; but the structure and behaviour of these bundles are more clearly illustrated in the stem reproduced in fig. 403. The tissue between the crushed phloem and pericycle and the outer cortex (fig. 402) consists of radially compressed parenchyma with scattered secretory cells separated from the more internal tissue by a narrow band of periderm formed by a phellogen in the outer part of the pericycle.
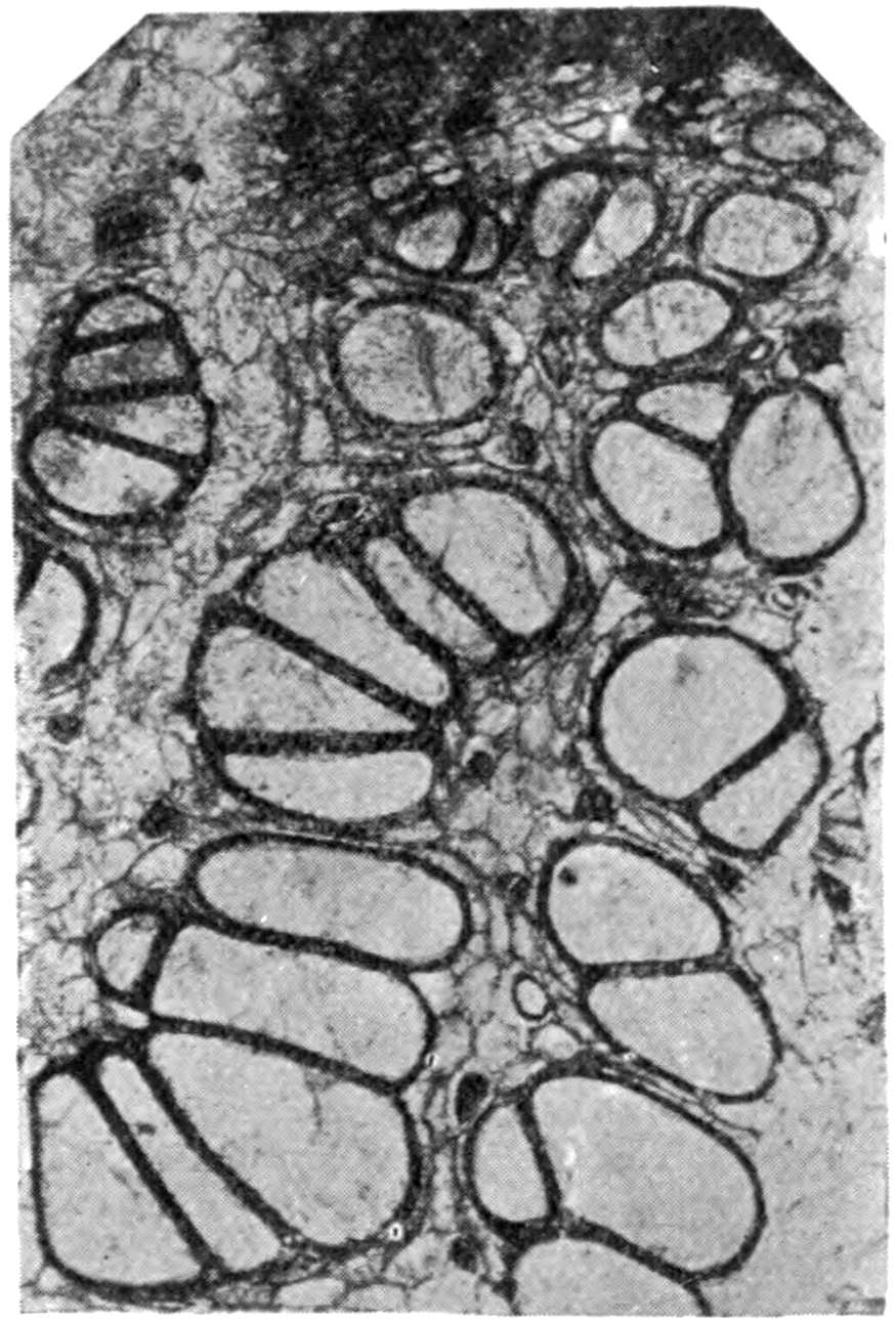
A larger and better preserved stem, 3·7 cm. in diameter, is seen in fig. 403. In this stem the pith of parenchyma and scattered sclerenchymatous nests is larger in proportion to the stele than in Binney’s type-specimen. From the inner edge of the secondary xylem several primary xylem-strands project as rounded wedges or tangentially elongated groups where two traces are laterally 42united in the perimedullary zone. The cylinder of secondary wood is partially interrupted at r by the bending outwards of the stele of an adventitious root cut across transversely as it bends down after emerging from the outer cortical region. In more or less close association with the outer surface of the secondary xylem are four pairs of leaf-trace bundles and one larger trace at d containing two widely separated protoxylem strands and faced externally with an arc of secondary xylem: this is a leaf-trace which shows by the slight constriction on the outer edge of its primary xylem that it is beginning to divide into a pair of equal strands. A precisely similar strand is shown on a larger scale in fig. 404, D. The twin bundles seen at b, fig. 403, represent a divided leaf-trace at a slightly higher level than the partially severed trace at d, and the arcs of secondary xylem are narrower. The appearance of the double leaf-trace at a still higher level is shown at c: the two strands are farther apart and the secondary xylem has almost disappeared, while those at e, nearer their entrance into the leaf-stalk, consist exclusively of primary xylem and phloem. At a the two strands of a leaf-trace, still nearer to the petiole, are inclined towards one another preparatory to reunion after reaching the leaf-stalk. A slender root is seen in transverse section at r′ immediately outside the two leaf-bundles. As Williamson and Scott[106] have pointed out, there are always five leaf-traces beyond the xylem cylinder of a Lyginopteris stem as seen in transverse section, and these traces in the pericycle, separated from one another by ⅔ of the circumference, alternate in position with the lower portions of leaf-traces in the perimedullary region of the same stem. The phyllotaxis is thus seen to be ⅖.
The secondary wood is succeeded by a cambium of normal structure passing gradually into a narrow band of secondary phloem which in well-preserved stems is seen to consist of sieve-tubes and parenchyma with medullary rays rather broader than those in the xylem. Beyond the phloem is the comparatively broad pericycle consisting of parenchyma with nests of sclerenchyma like those in the pith and scattered secretory cells. In the outer layers of the pericycle a phellogen was formed at an 43early stage in the growth of the plant, producing several layers of secondary tissue, which is regarded as periderm and forms a conspicuous feature in Lyginopteris stems; it appears as a comparatively dark sinuous band where it bends outwards to wrap round the leaf-traces in their almost vertical course through the pericyclic region (fig. 403). The periderm is clearly seen at p close to the crushed secondary phloem of the dividing leaf-trace in fig. 404, D. All the leaf-traces seen in fig. 403 beyond the secondary wood are still within the deep-seated periderm and, as Williamson and Scott showed, each leaf-trace after emerging from the secondary wood remains in the pericycle-zone for a length of five internodes as it very gradually inclines outwards. Once free from this region the twin bundles bend more sharply towards the petiole. Stated briefly, the history of each leaf-trace from the perimedullary region to the leaf-base is as follows: at the outer edge of the pith a single trace consists of a mesarch xylem bundle with one protoxylem strand; it passes vertically through five internodes and then bends out through a foliar gap in the xylem-cylinder, and the primary tracheids receive additions from the cambium of the stele on their outer face. As the trace leaves the secondary xylem it bends upwards and, as seen at d, fig. 403, begins to divide into twin bundles. As the trace passes higher the bisection of the protoxylem and metaxylem is completed and the secondary xylem-arcs are gradually lost until the separate strands of each pair are reduced to single mesarch bundles composed wholly of primary tracheids. As the trace bends outwards through the cortex the phloem gradually encircles each xylem-strand until a concentric structure is substituted for the collateral disposition of the conducting tissue. At the same time the protoxylem strands divide and occupy a position near the inner edge of the metaxylem. On reaching the petiole or after passing some distance up the axis of the frond, the twin bundles unite and usually form a V-shaped vascular strand (figs. 404, E; 405, A). The single meristele subsequently divides into two equal portions preparatory to the bifurcation of the petiole (fig. 406).
The inner cortex, consisting of parenchymatous tissue and many secretory cells with an occasional group of sclerenchymatous elements in place of the abundant nests of this tissue in the pericycle, 45has been invaded in the stem shown in fig. 403 by numerous rootlets of Stigmaria and Lyginopteris, some of which are seen interrupting the continuity of the outer cortex. The greater width of the cortical region at f, fig. 403, is due to the decurrent base of a petiole the meristele of which is not included in the section. The lighter and broader bands between the cross-sections of the stereome-network in the outer cortex are occupied by remains of tangentially stretched parenchymatous cells, and beyond this zone in a younger stem there are a few layers of parenchyma forming the superficial tissue, but there appears to be no well-defined epidermal layer.
Young stems have been recognised in which there is very little secondary xylem and phloem: in these the stereome bands in the outer cortex are closer together than in the stretched hypodermal tissue of older shoots and the scattered sclerous nests are represented by unthickened cells. In addition to young stems Williamson and Scott described a distinct type of small stem in which the primary xylem forms an almost complete ring[107] comparable with the primary xylem of some adult Sigillarian stems (vol. ii. p. 220) but distinguished by its mesarch structure and by the reticulate pitting of the centripetal xylem.
A characteristic feature of the stem is the occurrence of emergences from the outer cortex which have the structure either of spinous processes, broadly linear or flask-shaped, or of stalked glands[108]. A portion of a glandular emergence is shown in fig. 405, B: the group of small cells immediately below the blunt apex is in this instance still intact though showing signs of disorganisation in the centre; but in many cases the secretory tissue has not been preserved and the head of the emergence is occupied by a space. A single stoma is seen at s in longitudinal section. Further reference to the emergences is made in the description of the leaf.
It occasionally happens that a meristematic layer is formed in the parenchymatous tissue immediately internal to some of the perimedullary xylem strands of a Lyginopteris stem from which either secondary parenchyma is produced or a zone of secondary xylem and phloem, the phloem facing the centre of the pith. An example of such internal xylem was figured by 46Williamson[109] and similar occurrences are more fully dealt with by Williamson and Scott[110] who consider that the perimedullary cambium may represent an internal extension through a leaf-gap of the normal cambial cylinder. In the stem represented in fig. 403 there are two perimedullary xylem strands to the left of the bottom of the V-shaped gap in the secondary xylem-cylinder, r, and on the inner face of one of these, as shown in fig. 405, C, there is a narrow arc of internal secondary xylem, c, between the xylem-strand and the outer edge of one of the sclerous nests. The sporadic occurrence of arcs of inversely orientated secondary vascular tissue affords an interesting parallel with a similar morphological feature in some recent Dicotyledonous genera such as Tecoma and Iodes. As Williamson and Scott point out, this similarity affords ‘a striking warning against the indiscriminate use of even conspicuous anatomical characters[111].’ While admitting the necessity of guarding against the danger of attaching importance to occasional and abnormal characters they may have some significance as collateral evidence in comparisons of different types of stems. It is conceivable that these anomalous arcs of secondary tissue on the inner side of the primary xylem strands may, as Worsdell[112] maintains, be reversions to an ancestral character and in this sense comparable with the strands of inverted vascular tissue in some recent Cycadean stems. The question of relationship of Lyginopteris and allied types to recent Cycads and the Palaeozoic Medulloseae is considered in a later chapter.
In 1902 Lomax[113] described two branching specimens of Lyginopteris, and more recently two others have been discovered at a locality near Bacup in Lancashire which have been thoroughly investigated by Miss Brenchley[114] who constructed models from drawings of serial sections[115]. One specimen shows six leaf-bases in a length of 4¾ inches and branches spring from the axils of five of them: some of the branches show secondary ramifications. The phyllotaxis of the leaf-bases on a branch is always the reverse of that on the main stem, a divergence to which no parallel was 47found in a selection of trees and shrubs examined by Miss Brenchley. The secondary wood of the stem swells below the point of exit of a branch and frequently a fairly large amount of wood occurs in the pith when a branch is given off: this anomalous wood may help to close the branch-gap.
In his account of Lyginopteris stems published in 1873 Williamson[116] suggested that the vascular bundles met with outside the xylem-cylinder might be the leaf-traces of large fronds and expressed the opinion that the ‘stems or petioles’ previously described by him under the generic name Edraxylon might belong to Lyginopteris. A year later he substituted the name Rachiopteris aspera for the petioles previously referred to Edraxylon and inclined to the view that this type of Rachiopteris may be the petiole of the Carboniferous fronds known as Sphenopteris Hoeninghausi Brongn., an inference based to a large extent on the occurrence of emergences on Rachiopteris aspera (fig. 404, E) preserved as petrifactions like those on impressions of Sphenopteris Hoeninghausi as figured by Brongniart (figs. 404, A; 405, D, D’). In 1890 Williamson was able to demonstrate the truth of the surmise that Rachiopteris aspera and Lyginopteris oldhamia are respectively the petiole and stem of the same plant, which he believed to be an arborescent fern[117]. The petioles of Lyginopteris fronds, which may reach a diameter of 1 cm., are attached by a broad base to the stem, and as already suggested by the number of internodes traversed by each leaf-trace, the leaves are comparatively far apart. A transverse section of a petiole is shown diagrammatically in fig. 405 A. The hypodermal stereome is a prominent feature, but the narrow radial plates of the stem-cortex tend to be replaced in the rachis by broader and confluent masses of strengthening elements: the upper surface of the petiole is slightly grooved. Glandular and spinous emergences are often very abundant, as in the section reproduced in fig. 404, E. A glandular emergence is seen at a in fig. 405, A. The spinous emergences may be compared with 48those of Davallia (Odontosoria) aculeata[118], a West Indian fern of climbing habit and with the prickles on Hemitelia and other recent Cyatheaceous fronds[119], while capitate glands, though simpler than those of Lyginopteris, occur on the leaf-stalks of some recent Polypodiaceous species[120]. The concentric meristele may consist in the lower part of the petiole of two separate and slightly curved strands like those seen in fig. 404, E, m: sooner or later the two strands unite to form a wide-open V or a W-shaped bundle with several slightly internal protoxylem groups close to the lower edge. The two sections represented in fig. 406, A and 49B show the gradual divergence of the two meristeles of a petiole as they approach the level where it divides into two equal branches, a characteristic feature of Sphenopteris Hoeninghausi and allied fronds. At a lower level than that represented in fig. 406 the vascular strand of the petiole would have the form of a W as figured by Williamson in one of his earlier memoirs[121]. The phloem with scattered secretory sacs and the adjacent tissue of the leaf-stalk are occasionally preserved in wonderful perfection[122]. No endodermis has been recognised. Sclerous nests are scattered in the ground-tissue as are also secretory sacs (figs. 404, E; 405, A). A small root r has penetrated the parenchyma of the rachis shown in fig. 405, A.
Sphenopteris Hoeninghausi Brongn.[123], founded on material from English Coal Measures, was regarded by Williamson as the foliage of Lyginopteris chiefly on the ground of the occurrence of emergences on the axes (figs. 404, A, B) and laminae of the impressions like those on the petrified stems, and this comparison received support from the resemblance of the fragments of pinnules associated with Lyginopteris and its petioles in the calcareous nodules 50to the leaflets of Brongniart’s type. This identification is supported by subsequent work. The quadripinnate fronds, which attain a considerable size, resemble those of recent species of Davallia and other ferns, but the forking of the rachis and branches of the frond is a striking feature: the pinnae may reach a length of 15 cm.[124] The portion of carbonised rachis shown in fig. 405, E, reveals the existence of a hypodermal reticulum like that in the outer cortex of a Lyginopteris stem and the same feature is seen in the more slender axis represented in fig. 404, A, at b.[125] The pinnules are usually deeply lobed and the segments may be comparatively broad and blunt or narrow[126] (fig. 290, C, vol. ii. p. 399; fig. 404, A, a, B; fig. 405, D’). The lamina has a well marked dorsiventral structure: the palisade-tissue next the upper surface is separated from the epidermis by small hypodermal cells, possibly functioning as a water-storage layer, and the central part of the mesophyll consists of loose aerenchyma: the veins are collateral as in recent ferns and stomata occur in the lower epidermis. Emergences are seen both on impressions (fig. 405, D’) and on petrified specimens. A striking feature of the pinnules is the rounded surface caused by the revolute edge of the lamina as seen in the section reproduced in fig. 404, B. This character coupled with the occasional occurrence of groups of short tracheal elements at the termination of the veins denotes a tendency to a xerophilous habit.
On the strength of a very close resemblance between Sphenopteris Hoeninghausi and Calymmatotheca Stangeri (fig. 408, E, F)—characterised by fertile pinnules bearing stellate groups of small linear valves, regarded by Stur as the open lobes of an indusium—Zeiller included Brongniart’s type in the genus Calymmatotheca. The resemblance in general habit between the two species extends to the presence in their rachises of the Dictyoxylon form of cortex[127]. The view formerly held by some authors that the valve-like appendages to the fertile segments of Calymmatotheca are sporangia is incorrect: a re-examination of Stur’s 51specimen (fig. 408, E, F) has confirmed the original description[128]. The stellate lobes are now regarded as portions of a cupular investment of a seed similar to Lagenostoma Lomaxi, the female reproductive apparatus of Lyginopteris oldhamia. The axes of the fertile pinnae bear small thorn-like emergences probably identical with those on the cupule of Lagenostoma and on the petioles of Lyginopteris oldhamia. It was stated in vol. ii that the fronds known as Sphenopteris Linkii (Goepp.) represent, with other closely allied forms, leaves belonging to Heterangium stems. This statement was based on a misconception: the rachis of Sphenopteris Linkii, as I have satisfied myself by an examination of impressions shown to me by Dr Kidston, exhibits the reticulate pattern characteristic of Lyginopteris and not the transverse ribs characteristic of Heterangium.
It is not an easy task even for those most familiar with Carboniferous fronds to distinguish clearly between species agreeing generally with Sphenopteris Hoeninghausi, a species regarded by some authors as the type of a group of very similar and closely allied forms all of which were probably borne on stems referable to the genus Lyginopteris. The species Lyginopteris oldhamia as generally understood probably includes more than one specific type, and it is safe to assert that in the Carboniferous period Lyginopteris was represented by several forms characterised by highly compound fronds with forked rachises like Sphenopteris Linkii, S. Hoeninghausi, and others. The features characteristic of fronds included in the Sphenopteris Hoeninghausi group have recently been described by Gothan[129]. Stur’s generic name Calymmatotheca originally applied to the species C. Stangeri was applied to Sphenopteris Hoeninghausi by Zeiller, and although the fronds of the latter type have not been found with fertile appendages of the Calymmatotheca type there can be no doubt as to the generic identity of these, barely distinguishable, species both of which belong to stems of Lyginopteris. Prof. Johnson[130] has recently described some impressions from the Coal Measures of Ireland, which he refers to S. Hoeninghausi, bearing stellate groups of lobes like those of Calymmatotheca, and in one case he describes a seed in the middle of the carbonised 52remains of a stellate group of cupular segments. An examination of the specimen in Dublin convinced me that there is no satisfactory evidence of the seed-nature of the appearance on the rock believed by Johnson to be an elliptical Lagenostoma-like seed. The actual attachment of the stellate lobes to the pinnae of the frond is not clearly demonstrated.
In 1905 Kidston[131] announced the discovery of microsporangia on fronds of Lyginopteris: he described specimens from the Coal Measures of Dudley identified by him with Sphenopteris Hoeninghausi showing sterile and fertile pinnae in organic connexion. The fertile pinnules (fig. 407, B) are slightly expanded distally into an oval limb about 2 mm. long bearing 6 to 7 bilocular fusiform microsporangia 3 mm. long and 1·5 mm. broad: in the immature condition the sorus is hemispherical, the summit being formed of the incurved apices of the sporangia. At maturity the sporangia spread out, the sorus assuming the form of an epaulet. Fig. 408, H, shows a sorus in transverse section and in fig. 408, G, the limb and two pendulous sporangia are shown. The microspores, 50–70 µ in diameter, are studded with numerous blunt spines and each spore shows a triradiate ridge. The section reproduced in fig. 407, A, from the Coal Measures of Oldham is probably a bilocular sporangium of the same type as those described by Kidston from Dudley. Dr Kidston[132] describes a second type of microsporangial sorus as Crossotheca Hughesiana which agrees closely with C. Hoeninghausi, but the fertile segments are not associated with any sterile pinnae. The generic name Crossotheca, founded by Zeiller[133] in 1883, was substituted for Sphenopteris on the ground that Brongniart’s species S. Hoeninghausi is shown to possess sporangia of the Crossotheca type. If Kidston’s specific determination is correct, his discovery demonstrates that Lyginopteris fronds bore microsporangia having the characters of Crossotheca, a type characteristic of several Carboniferous species belonging both to the form-genera Sphenopteris and Pecopteris. Reference has already been made to the difficulty of distinguishing between impressions of fronds of the Sphenopteris 53Hoeninghausi group, a difficulty that is illustrated by Dr Gothan’s statement[134] that the Dudley specimens of Crossotheca are not identical in the character of the sterile pinnules with Sphenopteris Hoeninghausi. An examination of Dr Kidston’s specimens led me to agree with his determination; but, it may be asked, have we any evidence of the association with Lyginopteris fronds of sporangia other than those of the Crossotheca type? Prof. Chodat[135] believes that certain petrified fragments of pinnules occasionally met with in the calcareous nodules bearing sessile and apparently annulate sporangia belong to Lyginopteris fronds. These sporangia appear to be identical with those named by 54Scott Pteridotheca Butterworthi[136] and regarded by him as filicean sporangia that cannot be referred to any known Carboniferous genus. The piece of lamina bearing an empty sporangium, which may or may not have possessed an annulus, reproduced in fig. 407, C, occurs in association with the larger specimen shown in fig. 404, B, and it would seem not unreasonable to regard both as parts of the same frond, namely a frond of Lyginopteris. As Prof. Weiss[137] points out, the accurate determination of small pieces of petrified pinnules is exceedingly difficult and without more decisive evidence we are hardly justified in asserting that the sporangia figured by Chodat and Scott and that shown in fig. 407 belong to the genus Lyginopteris. Although the available data appear to favour the view generally held that Kidston’s conclusion is correct additional evidence would be welcome.
Telangium. Reference was made in vol. ii.[138] to the genus Telangium instituted by Dr Benson for some petrified sporangia from the Coal Measures regarded by her as the microsporangia of a Pteridosperm, probably Lyginopteris. The sporangia of Telangium are similar to those of Crossotheca. Scott points out that they are borne on a flat disc or lamina ‘quite comparable to a fertile pinna of Crossotheca[139],’ and he concludes that these sporangia are not generically distinct from the impressions on which the genus Crossotheca was founded. Kidston[140] regards Telangium Scotti, Benson, as the microsporangium of a Pteridosperm though not of Lyginopteris, on the ground that the microsporangia described by Miss Benson are not attached to a limb and that they have a single loculus in place of the double loculus (fig. 407, A) of Crossotheca. The presence of a limb in Telangium recognised by Scott removes one of these distinguishing features. There are, however, no adequate reasons for regarding Telangium Scotti as specifically identical with Crossotheca Hoeninghausi. The synangium of Telangium Scotti, 5 mm. in length, consists of 6–12 sporangia united basally and opening when ripe by longitudinal dehiscence. Fig. 493, E, shows eight sporangia of a synangium in transverse section: the two sporangia at the lower end of the section are less distinct than the others, some are full of spores 55and others have shed their contents by the splitting of the thin inner walls of the loculi. The sporangial walls are composed of an outer layer of large cells with dark contents succeeded by 2–3 layers of smaller and crushed cells. The spores, 5–6 µ × 3·5–4 µ in diameter, have a reticulately sculptured exine: Dr Benson[141] states that they agree closely with pollen-grains found in the pollen-chamber of Lagenostoma ovoides except in their slightly smaller size; she notes the association of Telangium with fragments of the vegetative organs of Lyginopteris and draws attention to resemblances in the structure of the tissues; but the most interesting comparison, at least in an academic sense, is with the seed Lagenostoma, the integumented megasporangium of Lyginopteris. Dr Benson points out that a transverse section of a Lagenostoma in the plane of the canopy, showing the nucellar apex surrounded by radially disposed chambers (fig. 409), presents a certain resemblance to a synangium of Telangium Scotti; and it is suggested that the chambers encircling the nucellus may represent sterilised sister-sporangia[142]. ‘The seed in fact is assumed to be a synangium in which all but one of the sporangia are sterile, and form an integument to the one fertile sporangium which has become a megasporangium with one large megaspore.’ This view, though clearly incapable of confirmation in the present state of our knowledge, is not merely an ingenious hypothesis but a stimulating suggestion as to possible homologies: as an argument in favour of associating Lagenostoma and Telangium as the spore-bearing organs of the same plant it has but little weight.
In 1877 Williamson[143] proposed the generic name Lagenostoma for some petrified seeds from the Lower Coal Measures of Lancashire and described two species, Lagenostoma ovoides and L. physoides: in his MS. Catalogue a third type is referred to as Lagenostoma Lomaxi. It is this third type that Prof. Oliver 56was the first to recognise as the megaspore-bearing organ of Lyginopteris oldhamia. Its structure has been thoroughly described by Oliver and Scott[144] and these authors contribute a judicial summary of the evidence on which Lagenostoma and Lyginopteris are believed to stand for one and the same plant. The evidence is based chiefly on the following considerations: an agreement in the structure of the vascular bundles in the investments of the seed with those in the leaves of Lyginopteris; the presence in the outer envelope of the seed of stalked glands identical with those on the stems and petioles. The evidence does not as yet amount to absolute proof, as the seeds, which occur either with or without a stalk, have not been found attached to a Lyginopteris frond. But ‘where vegetative and reproductive organs presenting identical structural features, not known to occur in other plants, are thus found in close and constant association, the inference that the one belonged to the other appears irresistible.’ While most botanists believe that a satisfactory case is established there are a few[145] who refuse to believe in a connexion between Lagenostoma and Lyginopteris until an actual union has been demonstrated. The discovery by Kidston[146] of seeds attached to pinnae bearing Neuropteris pinnules and the demonstration of organic continuity between seeds and the pinnules of other Palaeozoic fern-like fronds supply abundant confirmatory evidence that leaves no doubt as to the occurrence of seeds on modified pinnae of Sphenopteris Hoeninghausi and of other closely allied fronds which represent the foliage of different forms of Lyginopteris. In this connexion it is pertinent to add that Grand’Eury[147] has found seeds of the Lagenostoma type in close association with impressions of Sphenopteris Dubuissonis and other leaves of similar habit.
A seed of Lagenostoma Lomaxi reaches a length of 5·5 mm. with a maximum diameter of 4·4 mm.; it is broadly oval or barrel-like (fig. 408, C) and when immature was invested by a loose irregularly lobed glandular envelope (fig. 408, B) from which the seed eventually freed itself by a natural process of abscission. The central body or nucellus, except in the apical region, is concrescent with a fairly stout integument or testa (fig. 408, C, f) the outer 58portion of which is characterised by regular longitudinal rows of palisade-like cells comparable with the broad palisade-layer in the sporocarp of Pilularia. On the exposed surface of this palisade-tissue are small dark structureless pegs[148], possibly the remains of a mucilaginous layer such as occurs on the seed-coats of some recent Flowering plants. At the base of the nucellus the chalazal region, fig. 408, C, ch, is provided with sclerous elements and forms a hard investment to the axial vascular strand from the pedicel. It is at the base of this chalazal region that the seed is eventually cut off by an absciss-layer. The integument is supplied throughout its length by nine vascular bundles of endarch, or approximately endarch, structure. The free portion of the integument seen from the outside (fig. 408, B) has the form of a fluted cone with a circular opening at its summit. The greater part of this domical apex, as seen in longitudinal section in fig. 408, C, appears to be hollow, but in the living state the dome, or canopy as Williamson called it, was filled with parenchyma in which the vascular bundles were embedded and, as shown in the transverse section in fig. 409, the canopy is divided into compartments by radial septa which in its basal region are replaced 59by regular and deep furrows on the inner face. Enclosed by the canopy, with its outer surface fluted as the result of the partial collapse of the outer wall of each compartment due to the decay of the filling tissue, is the flask-shaped apex of the nucellus; between the apical cone of nucellar parenchyma and the superficial layer is an annular cavity which Williamson[149] called the lagenostome. The parenchymatous core tapers to a narrow summit which slightly overtops the integument and is constricted at the broad base (fig. 493, A, B; page 311). The bottle-shaped apical tissue is separated by an annular space, c, fig. 493, B, from the limiting layer of the nucellus: this space is the pollen-chamber formed in the living seed by the disorganisation of the subepidermal cells of the nucellar apex. The pollen-chamber is a feature characteristic of recent cycadean ovules (see p. 6). In Lagenostoma the annular form of the pollen-chamber is a peculiarity distinguishing this type of seed from those of recent Gymnosperms and most other Palaeozoic seeds. As Oliver says, it marks an ‘advance in precision’[150] over other forms as the microspores which fall into the chamber are brought direct to the surface of the underlying megaspore and presumably to the archegonia which, it is reasonable to believe, were disposed in a circle at the base of the annular crevice. Microspores frequently occur in the pollen-chamber and some have been discovered apparently in the act of liberating male gametes[151].
The outer wall of the nucellus is bounded externally by a similar circular space (d, figs. 408, C; 493, B) which separates it from the domical canopy. In the great majority of specimens the central tissue of the seed is not preserved and an empty sac supported from the base of the nucellus-apex occupies nearly the whole of the interior: the shrunken wall of the sac is all that remains of the large megaspore. It would seem, then, that the nucellus was almost completely destroyed as a consequence of the growth of the megaspore or embryo-sac, which eventually occupied nearly the whole of the seed-body.
In an exceptionally well preserved specimen recently described and admirably illustrated by Mr McLean[152] part of the parenchymatous tissue of the prothallus which originally filled the megaspore 60is clearly seen: its surface-layer consists of small cells succeeded by a broad band of radially elongated elements closely resembling the alveoli in the prothalli of some recent Gymnosperms, particularly certain Conifers. No archegonia have been discovered. The cupular envelope of immature seeds, compared by Oliver and Scott with the lobed and glandular husk of Corylus colurna L.[153], receives several vascular bundles of collateral and mesarch structure from the axial strand, and these subdivide as they ascend. The glands which occur on all parts of the cupule are sessile or stalked and identical with those on the vegetative organs of Lyginopteris. Assuming that pollination occurred at a comparatively early stage in the development of the seed when the cupule was still intact, it is conceivable, as Sir Joseph Hooker suggested, that the glandular secretion may have attracted insects and so aided in the transport of pollen which were perhaps drawn down the narrow pollen-chamber by exuded mucilage as in recent Conifers. The evidence obtained in recent years in favour of insect-pollination in certain Cycads and in Welwitschia lends support to this view: the dragon flies hovering over a fertile Lyginopteris frond in a recent restoration[154] may be a legitimate addition.
A striking feature of Lagenostoma as of other Palaeozoic seeds is the absence of an embryo: this and other considerations have led certain authors, notably Chodat[155], to question the justification for the use of the term seed. Various suggestions have been offered in explanation of this fact. In recent Cycads, as already pointed out, the development of the embryo does not always occur before seed-fall. It may be that these older seeds had no resting-period or there may have been a period of rest after fertilisation and not as now at a stage subsequent to the formation of the embryo[156]; it is also suggested by Scott that ‘the nursing of the embryo had not yet come to be one of the functions of the seed, and that the whole embryonic development was relegated to the germination stage[157].’ In this connexion 61reference may be made to a statement by Miss Gibbs[158] who speaks of seeds of a Podocarpus picked up from the ground in apparently a mature state and with the associated bracts coloured and swollen as though ready to aid in dispersal but with no embryo: the seeds had matured before fertilisation and fell from the tree after pollination. Whatever may be the true explanation of the absence of embryos this negative character should not be allowed to outweigh the evidence furnished by morphological features as to the applicability of the term seed. As Prof. Oliver says, ‘there is a long chapter in evolution to be deciphered before we can connect ... the seed of Lyginodendron with the sporangium of any fern at present known to us’[159].
The cupule of Lagenostoma has been homologised with the outer part of the integument of a recent cycadean seed[160] which, it is suggested, consists of an inner and an outer envelope that have become concrescent, and this hypothesis is supported by another author by a comparison between Lagenostoma and Gnetalean seeds[161]. A comparison has also been made between the collar of a Ginkgo seed and the much more conspicuous cupule of Lagenostoma[162]. Dr Benson and Miss Welsford[163] institute a comparison between the vascular supply of the outer integument of the ovules of Carpinus and Morus and that of the cupule of Lagenostoma, a comparison suggested by Miss Kershaw’s remarks[164] on the similarity between the vascular system of the ovules of Myrica Gale and Trigonocarpus. In 1908 Dr Benson[165] described some germinating microspores in the pollen-chamber of another species of Lagenostoma, L. ovoides, and recognised what she believed to be antherozoids. I am indebted to this author for allowing me to make a drawing from her section (fig. 408, D). Two microspores are seen with thick outer walls showing irregular holes probably of secondary origin and not part of a regular reticulum as Dr Benson suggests. Close to the upper microspore is a hemispherical body, s, described as a male gamete, and a 62similar body is seen still enclosed by the lower microspore. It is by no means improbable that these are antherozoids: they were presumably ciliate like those of Ginkgo and recent Cycads (fig. 396, M). The microspores are approximately 70μ in length and the supposed antherozoids have a maximum diameter of 45μ, the latter being about ⅔ the size of the sperms of Microcycas and ⅙ the diameter of those of Zamia. The smaller and more delicate cells near the lower microspore (fig. 408, D) are no doubt fungal cells as Miss Benson suggests. With reference to the difficulty of determining the nature of Miss Benson’s supposed gametes it is worth calling attention to some figures given by Zopf[166] of vesicular cells and sporangia of the Phycomycetous genera Rhizophidium and Lagenidium in the pollen of Flowering plants and Pines. It has been suggested by Burlingame[167] that the ‘gametes’ may be prothallial cells; but this is very improbable.
In the memoir in which the genus was founded Williamson described two species from the Lower Coal Measures of Lancashire, Lagenostoma ovoides and L. physoides[168]. The seeds described under the latter name had previously been assigned by him to another new genus, Physostoma, and named P. elegans[169]. Lagenostoma physoides was afterwards figured by Butterworth[170] who recognised some new features. For this species Prof. Oliver[171] has adopted Williamson’s earlier name, Physostoma elegans. The former species, which has recently received exhaustive treatment by Miss Prankerd[172], agrees generally in its morphological characters with L. Lomaxi, but differs in the structure of the surface-tissue of the integument and in some anatomical features. Moreover no cupules have been found and there is ‘very little trace of a layer of separation’ such as occurs in L. Lomaxi. Over the surface of the integument is a layer of prismatic cells, much shorter and less palisade-like than those in L. Lomaxi, and there are none of the pegs which are a constant feature in that species. There 63are, however, indications that mucilage was poured out by the rupture of the distended cells. Some microspores were found in the pollen-chamber with an average size of 72 × 53μ; they may be as much as 90μ long. None were observed with sperm-like contents like those described by Dr Benson. Miss Prankerd discusses the morphology of the integument in relation to that of cycadean seeds and makes an instructive comparison between the lagenostome (that is the modified nucellar apex) and such fern sporangia as those of Angiopteris, Osmunda, and Schizaea, but especially the sporangia of Senftenbergia[173] with their multiseriate annulus.
An interesting feature is shown in the longitudinal section reproduced in fig. 493, A (p. 311). The apex of the nucellar cone appears to be composed of thick-walled, dark cells and it is suggested that this may have served as a stopper blocking up the circular orifice of the pollen-chamber (seen below the apex between the nucellar cone and the thick surface-layer of the nucellus) and serving as a protection to the embryo. A comparable closing-up of the micropyle occurs in the seeds of Gnetum Gnemon[174] and in the beak of cycadean seeds. At the time of pollination, when the pollen-chamber must have extended to the apex of the lagenostome, the tip of the nucellar cone may have secreted some sticky substance to which the microspores would adhere.
Prof. Lignier[175] has recently described some large megasporangia from the Westphalian Coalfield of Ostrau in Austrian Silesia which he made the type of a new genus Mittagia, after Herr Mittag, Director of Mines. Two sporangia, between 2 and 3 mm. in diameter, were found in close association as though belonging to a single sorus; one was empty and the other contained four megaspores. The structure of the thick wall of the sporangia is very similar to that of the testa of Lagenostoma Lomaxi, but it apparently split into two valves. Lignier refers the new type, Mittagia seminiformis, to some unknown Palaeozoic group of heterosporous Filicineae, possibly the ancestral stock of the Pteridosperms, and he thinks it probable that the sporangia resembled seeds in their facilities for dispersal. In the structure 64of the sporangial wall Mittagia also resembles the sporocarp of Pilularia.
Seeds presented as impressions, without internal structure, superficially resembling Lagenostoma.
This generic name is adopted for seeds represented by casts or impressions agreeing in external features with Lagenostoma but which on the available evidence cannot be confidently assigned to that genus[176]. Two types of seed were described by Arber[177] from the Lower Coal Measures of Scotland as Lagenostoma Kidstoni and L. Sinclairi: the former has been removed by Oliver[178] to Physostoma and both are included by Arber[179] in a recent paper in the genus Radiospermum. This new generic term is proposed by Arber for a number of small sub-cylindrical seeds founded on impressions including ‘small seeds which, when the structure is preserved, are known as Lagenostoma, Physostoma, and Conostoma.’ The question of nomenclature is invariably raised by cases in which impressions resemble in their superficial characters genera founded on anatomical characters: the seeds originally referred to Lagenostoma Sinclairi afford a good example of this difficulty. Nathorst has recently proposed the generic name Lagenospermum as preferable to Lagenostoma and Radiospermum in the case of Lagenostoma Sinclairi and similar seeds which afford no proof of the possession of such morphological characters as would justify their inclusion in the genus Lagenostoma but which may be examples of that genus. As Nathorst points out, the adoption of Radiospermum for L. Sinclairi is inadvisable on the ground that it is also applied to seeds of a different type. The type-species of Lagenospermum is L. Sinclairi and Nathorst describes additional species from Lower Carboniferous rocks in Spitzbergen.
Although it is not certain that these seeds are morphologically identical with the genus Lagenostoma, a brief description is intercalated65 here as the habit of the seed-bearing axes supplies a probable key to the habit of the fertile fronds of Lyginopteris. The type-specimens were collected by Mr Sinclair from the Lower Coal Measures of Ayrshire, Scotland, and recorded by Kidston as Lagenostoma sp.: they were afterwards named by him in manuscript L. Sinclairi and handed to Dr Arber for description. The seeds are elliptical-oblong, 4–5·5 × 1·5–3 mm., radially symmetrical and enclosed by a loose envelope which is longitudinally ribbed and divided distally into several linear-lanceolate lobes (fig. 408, A, A′). This covering, though much longer than the cupule of Lagenostoma Lomaxi, is probably a homologous structure. The most interesting point is the attachment of the seeds to slender branches of a compound axis (fig. 408, A). It is probable that the seeds were borne on a frond characterised by the reduction or complete abortion of the sterile lamina or perhaps, as in the recent Fern Thyrsopteris elegans[180], some of the pinnae of a large compound frond were fertile. It is worthy of note that Arber recognised pinnules of Sphenopteris obtusiloba[181] in association with L. Sinclairi, a fact, as he says, in itself of no value but which acquires significance in view of the discovery by Carpentier[182] of cupules in close proximity to the same species of frond. Specimens described by Dr Stopes from Westphalian rocks of New Brunswick as Pterispermostrobus bifurcatus[183] bear a close resemblance to L. Sinclairi.
The species recently described by Dr Kidston[184] as Lagenostoma oblonga from the South Staffordshire coal-field appears to be closely allied to Arber’s L. Sinclairi: it is represented by pairs of seeds borne at the ends of forked branchlets: the seed is 2·5 mm. long by 1·5 mm. broad and is surrounded by a longer oblong cupule divided distally into 6 free lobes.
A larger type of seed, 3 cm. long and 2·5 cm. broad, is described by Kidston[185] from the same coal-field as Lagenostoma? urceolaris. A characteristic feature is the truncate apex surrounded by a prominent canopy formed of the expanded apical free portion of 66the integument. The lack of anatomical data in both these seeds is a reason for the substitution of some less committal term than Lagenostoma.
Grand’Eury[186] and Carpentier[187] have published accounts of impressions of seeds from the Coal Measures of France compared by them with species of Lagenostoma though not assigned to new species. These and similar seeds should be referred to Nathorst’s genus Lagenospermum.
The difficulty of recognising the true nature of seed-like impressions is illustrated by some specimens in the Goldenberg collection in Stockholm described by Arber[188] as Carpolithus Nathorsti: these consist of pieces of Sphenopteris pinnae probably, as Zeiller suggested, Sphenopteris Schaumburg-Lippeana (Stur) bearing at the ends of the segments of deeply divided pinnules what appeared to be seeds 1 mm. long, oval and longitudinally ribbed, and possibly enclosed in a cupule. Arber considered the ‘seeds’ to be related to Lagenostoma, probably belonging to some member of the Lyginopterideae. An examination of the specimens by Nathorst[189] showed that the supposed seeds are collections of spores; but whether the spores of a true Fern or the microspores of a Pteridosperm cannot be determined.
Dr Stopes[190] has recently called attention to a resemblance between specimens from the Westphalian of New Brunswick, described by her as Pterispermostrobus bifurcatus, and Lagenospermum Sinclairi. The New Brunswick fossil is made the type of a new genus Pterispermostrobus, which is employed for fructifications of Pteridosperms that cannot be associated with a known species of parent and may be either seeds or complex male organs borne on a definitely branched rachis. The type-species is represented by a slender axis bearing lateral branches divided into two widely divergent arms each of which bears a terminal body, 674 × 3 mm., characterised by 3–5 apical lobes extending 2 mm. beyond the distal end of the seed-like organ and resembling a cupule. In this as in many other cases it is impossible to determine the true nature of the reproductive bodies, whether they are small seeds or groups of microsporangia: the new generic name serves a useful purpose though it is not always possible definitely to refer doubtful fructifications of this kind to a Pteridosperm. The organs in question may also be compared with Codonotheca[191].
The name, Codonotheca pusilla, is given by Nathorst[192] to some doubtful specimens from the Culm of Spitzbergen representing short stalks bearing linear-lanceolate scale-like bodies, 9–10 mm. long by 1 mm. broad, coalescent at the base. Nathorst compares them with Sellard’s species, Codonotheca caduca, but adds that they may be cupules of some Pteridosperm and calls attention to their resemblance to some fossils figured by Carpentier as Calymmatotheca acuta. Both Nathorst’s species and the French specimens described by Carpentier[193] as cupules may be referred to Dr Stopes’ genus Pterispermostrobus as their morphological nature cannot be determined.
In 1876 Williamson[194] described some petrified vegetative organs from the Lower Coal Measures of Lancashire under the name Kaloxylon Hookeri characterised by a division of the secondary xylem into cuneate masses (fig. 415, C) like those in some recent Bignoniaceous stems. Williamson at first believed Kaloxylon to be a stem, but in a later memoir he expressed the opinion that ‘it is difficult to believe that these organs have been other than roots’[195]. Felix[196] had meanwhile described a specimen from the Coal Measures of Westphalia as Kaloxylon cf. Hookeri and suggested that it might be a waterplant. In 1894 Williamson and Scott[197] demonstrated that Kaloxylon Hookeri is the root of Lyginopteris, a conclusion independently reached by Hick[198].
68
The roots of Lyginopteris arise on all sides of the radially symmetrical stem in the pericycle region; they are copiously branched as is shown by the abundance of roots of various sizes in close association. No roots have been discovered exceeding 1 cm. in diameter nor have any been recorded with secondary periderm-tissue. The absence of root-hairs and the more or less lacunar structure of the cortex are indicative of swampy ground. It is seldom that the palaeobotanist has an opportunity of investigating the growing-points of Palaeozoic plants, and for this reason some well-preserved apices of Lyginopteris roots, attributed to that genus on the ground of constant association with fragments of stems in the calcareous nodules of Dulesgate, are of special interest. One of these specimens was figured by Dr Stopes and Mr Watson[199] in their account of plant-bearing nodules, and a description of that and other examples has since been published by Prof. Weiss[200]. A longitudinal section of a root-tip, ·21 mm. in diameter at its broadest part, shows a root-cap which suggests an origin from a single cell, but an examination of the plerome-cylinder in a slightly tangential section does not afford conclusive evidence of the occurrence of a single initial cell. Weiss on the whole inclines to the view that Lyginopteris possessed a single apical cell like the roots of Leptosporangiate Ferns, though he prefers to leave the decision open. Attention is drawn to the fact that the plate of tracheidal tissue in emerging lateral rootlets is vertical as in Phanerogams and not horizontal as in recent Pteridophyta.
The vascular tissue of a Lyginopteris root (fig. 410) consists of from three to eight alternate strands of centripetal xylem and phloem, and with the metaxylem is associated a small amount of conjunctive parenchyma which does not form a central pith. The pericycle, one to several layers broad, is succeeded by an endodermis which occasionally shows the characteristic thickenings on the radial walls. A broad cortex of thin-walled lacunar tissue with numerous secretory cells is bounded externally by a superficial cylinder of two or more layers of comparatively large and thin cells, the outermost of which are radially elongated. This 69superficial tissue forms a striking feature by which a Lyginopteris root may often be recognised at a glance. The root represented in fig. 410, approximately 2 mm. in diameter, has a heptarch stele divided into seven xylem-groups by crushed bands of parenchyma and a protoxylem strand occupies the apex of each projecting angle (fig. 410, px). The superficial cylinder of clear cells is seen at a. A very small root is seen at r in fig. 410.
Fig. 415, C, represents part of an older root in which the pentarch primary xylem is enclosed by broad wedge-like groups of secondary xylem and phloem separated by conspicuous medullary rays opposite the protoxylem strands (px). Crushed primary phloem arcs, p, are often clearly recognisable beyond the cambium. The secondary thickening, as Williamson and Scott state, ‘takes place exactly in the manner typical of roots of Dicotyledons, so that this fossil might very well be used for purposes of demonstration as illustrating the secondary growth of a root with diagrammatic clearness’[201]. The young roots of Lyginopteris resemble in many respects those of Marattiaceous Ferns, though the presence of a single apical cell, if such occurs, is a distinguishing 70feature; but in the presence of secondary conducting tissue they agree with those of Phanerogams.
The frequency with which petrified fragments of Lyginopteris stems occur in the calcareous nodules of the English coal seams shows that the genus must have been plentifully represented in the Upper Carboniferous vegetation, and the occurrence in both North American[202] and European localities of fronds identical with or closely resembling Sphenopteris Hoeninghausi affords evidence of wide geographical range. Petrified specimens were recorded by Felix[203] from Westphalia in 1886, and Zalessky[204] has recently discovered Lyginopteris in the Donetz coal-basin of Russia. An investigation by Kubart[205] of the calcareous nodules, to which attention was first drawn by Stur, in the Ostrau Coal Measures led to the discovery of several examples of Lyginopteris stems. The descriptions and figures so far published are hardly sufficient to enable us to estimate the degree of relationship to the English type, but some of the stems appear to be new species and Kubart considers them all to be specifically distinct from Lyginopteris oldhamia. Lyginopteris heterangioides contains scattered tracheids in the pith and thus affords an interesting transitional type between Lyginopteris and Heterangium. In L. lacunosum the inner cortex is lacunar and the primary xylem bundles pursue an independent course in the stele in contrast to the anastomosing arrangement in L. oldhamia and in another Hungarian species L. tristichum. The species recorded by Kubart occur in the Millstone grit and the Coal Measures.
The geological range of Lyginopteris as represented by petrified stems does not extend beyond the limits of the Carboniferous system.
The generic name Heterangium was first used by Corda[206] for a piece of stem from the Coal Measures of Radnitz, Bohemia, represented by part of the vascular axis of a stem consisting 71of strands of large reticulately pitted tracheids intermixed with parenchyma and exhibiting structural features differing apparently from those of any known type. Corda’s material has been re-examined by Kubart[207] who figures a section from it. Heterangium is a genus closely allied to Lyginopteris both in habit and in general anatomical characters. The stem is monostelic; the vascular cylinder prior to secondary thickening resembles the protostele of certain recent species of Gleichenia and may be compared also with Trichomanes scandens[208]. It agrees with that of Lyginopteris in the possession of primary mesarch bundles but differs in the substitution of a cauline axial mass of metaxylem for the pith of Lyginopteris. The secondary vascular tissue agrees closely with that of recent Cycads and Lyginopteris. A characteristic feature is the occurrence of numerous horizontal bands of sclerous cells in the cortex (fig. 412) of the stem and in the ground-tissue of the rachis and larger branches of the fronds. The stem was erect and rarely branched ‘giving off large foliar appendages at somewhat distant intervals and from its entire circumference’[209]. Our knowledge of the reproductive organs is less precise than in the case of Lyginopteris; but we are justified in asserting that Heterangium is a Pteridosperm which in all probability bore fern-like microsporangia and seeds similar in general plan to Lagenostoma.
The association of some seeds included in Williamson’s genus Conostoma with Heterangium Grievii in the Pettycur beds and their resemblance to Lagenostoma, the seed of Lyginopteris, suggested the possibility of actual connexion: further evidence in support of this view has recently been brought forward by Dr Benson[210] in the case of a species of Conostoma which she transfers to a new genus Sphaerostoma.
The two species Heterangium Grievii and H. tiliaeoides are described in illustration of the genus and reference is made to a few other types.
72
| (Stem.) | |
| 1872. | Dictyoxylon Grievii, Williamson, Brit. Ass. Rep. (Edinburgh Meeting), p. 112. |
| 1873. | Heterangium Grievii, Williamson, Phil. Trans. R. Soc. Vol. 162, p. 404. |
| (Leaf.) | |
| [1720. | Fumaria officinalis, Volkmann, Silesia subterranea, p. 111, Pl. xiv. fig. 2.] |
| 1822. | Filicites (Sphenopteris) elegans, Brongniart, Class. Vég. p. 233. |
| 1828. | Sphenopteris elegans, Brongniart, Hist. Vég. Foss. p. 172. |
| 1836. | Cheilanthites elegans, Goeppert, Foss. Farnkr. p. 233. |
| 1877. | Diplothmema elegans, Stur, Culm Flora, ii. p. 130. |
At the Edinburgh meeting of the British Association Williamson[211] gave a brief account of some petrified stems from the Lower Carboniferous strata of Burntisland on the Firth of Forth which he included in the genus Dictyoxylon. One of these was named D. Grievii after Mr Grieve the discoverer of the specimens. In a later and more complete description Williamson adopted Corda’s generic name on the ground of the close resemblance of the Scotch stem to the Bohemian fragment Heterangium paradoxum. In 1873[212] Williamson added new facts in regard to H. Grievii and in 1890[213] he described a very closely allied type from the Lower Coal Measures of Lancashire. Five years later his descriptions were considerably extended and modified in the joint memoir with Dr Scott[214].
The great difference in age between the English Upper Carboniferous stem and the Scotch specimens from the Lower Carboniferous beds of Burntisland suggests a probable specific difference. Dr Scott has recently adopted the name Heterangium Lomaxi, proposed but not published by Williamson, for the English type. Though in the following account the species Heterangium Grievii is treated in the broader sense it should be recognised that the geologically younger stem is worthy of specific recognition; it is characterised, to quote Scott[215], by ‘the great distinctness of the primary xylem strands, by their nearly exarch structure, 73with little primary centrifugal wood, by the abundant secretory sacs of the stele, and by the rather scattered leaves.’
Heterangium Grievii has a radially symmetrical stem bearing compound leaves with decurrent petioles which give to the otherwise cylindrical axis an angular outline as seen in transverse section (fig. 411, A). The phyllotaxis appears to be ⅜. The stem rarely exceeds 1·5 cm. in diameter: in the centre is a comparatively large stele consisting in young stems of primary xylem and phloem, but in older stems these are separated by a cylinder of secondary vascular tissue which in this species is always narrower than in Lyginopteris oldhamia and, as Williamson pointed out, often of unequal thickness on different radii. The medullated stele 74of Lyginopteris is replaced by a solid xylem-cylinder consisting mainly of groups of large tracheids, reaching ·3 mm. in diameter, with multiseriate bordered pits (fig. 411, D) embedded in an anastomosing parenchymatous tissue-system. In the stele reproduced in fig. 411, B, which with the exception of a very narrow zone of secondary xylem, x2, consists entirely of primary xylem, x1, the parenchyma is represented by a darker reticulum (cf. fig. 415, B) dividing the metaxylem into islands as in Gleichenia. In the peripheral portion of the xylem the tracheids are rather narrower and arranged in more definite groups in many of which is a single strand of narrow spiral elements (fig. 411, A′, px) close to the outer margin. These peripheral primary bundles in which protoxylem is recognisable may be described as leaf-traces of mesarch structure consisting of centripetal xylem and, to a much less extent, of smaller centrifugal elements for the most part with dense spiral bands in place of the multiseriate pits of the rest of the metaxylem. The structure of these leaf-traces is practically identical with that of the primary bundles of Lyginopteris. There is, however, a difference to which attention is drawn by Williamson and Scott. While in Lyginopteris in any transverse section the primary bundles in the stele are equal in number to the leaf-traces in the pericycle and cortex, in Heterangium the peripheral groups in the stele may be as many as twenty, a number considerably in excess of the leaf-traces beyond the limits of the primary xylem of the stele. It may be that the leaf-trace of each leaf, which joins the stele at a distance of 6–10 internodes below its entrance into the cortex from the leaf-stalk, may branch in its descent in the axial region, or some of the primary groups of xylem may be confined to the axial region and independent of the leaf-traces. Portions of the peripheral region of the stele may be occupied by metaxylem groups without protoxylem and identical with those which make up the bulk of the metaxylem.
Scott[216] has recently published a note in which he states that most of the British Coal Measures Heterangiums were polydesmic. Two bundles, and not a single strand as in the Scotch H. Grievii, leave the stele for each leaf, and these divide into four, in some cases at least, before entering the petiole.
75
The secondary xylem is continuous at its inner edge with the outermost primary tracheids (fig. 411, A′) and consists of rows of tracheids, 1–3 elements broad, alternating with numerous broad medullary rays of radially elongated parenchyma. Beyond a typical cambium-zone the secondary phloem consists of parenchyma and sieve-tubes bounded by crushed arcs of primary phloem. Abutting on the phloem is a pericycle composed of several layers of small parenchymatous cells (fig. 411, A, p) and in the outer layers of this tissue a phellogen (fig. 411, C, p) and some periderm are usually present though, as Williamson and Scott point out, the periderm is less regular and narrower than in Lyginopteris. The inner cortex, composed of short parenchymatous cells, is traversed by numerous narrow bands of dark, thick-walled cells similar in the structure of the elements, though peculiar in the horizontal elongation of the groups, to the sclerous nests in the pericycle and pith of Lyginopteris. These characteristic bands are chiefly seen in the oblique longitudinal section of a stem represented in fig. 412. In this section, 25 mm. in length, the lighter band, p, is the pericycle and in it a few obliquely cut leaf-traces are shown as dark patches. The horizontal bands are similar in structure and shape to the diaphragms of thick cells in the pith of Abies magnifica[217], and in both plants they probably serve as supports to the softer parenchyma. There may be as many as 46 bands in a vertical length of cortex of 1 inch (about 19 per centimetre). It was the occurrence of precisely similar transverse lines on the carbonised impressions of the rachis of Sphenopteris elegans that led Kidston[218] to suggest a connexion between that species and the stem of Heterangium Grievii.
The outer cortex, consisting of alternate strands of parenchyma and stereome similar to that of Lyginopteris, is much narrower and a less conspicuous feature than in Heterangium; the stereome bands do not form so regular a hypodermal network and extend much further vertically without anastomosing. The epidermis has been described as a layer of fairly thick cells showing in one case an appearance of a depressed stoma[219]. There are no secretory canals like those of Cycads but, as in Lyginopteris, scattered cells 76with dark contents in the stem-tissues probably represent secretory sacs.
The leaf-traces on leaving the stele pursue a very gradually ascending course to the petiole; they retain their collateral structure in the pericycle and cortex and have no secondary xylem, but become concentric as they enter the base of a leaf.
Before passing to the description of the leaves, the more striking features in the stem may be summarised with reference to the diagrammatic sketches shown in fig. 411. Fig. 411, A, represents a section of Heterangium Grievii approximately 2 cm. in its maximum diameter; at the periphery of the primary xylem, x1, and close to its outer margin are several protoxylem groups, not shown in the drawing, each of which marks the position of a mesarch trace. The zone of secondary xylem, x2, is interrupted by the exit of leaf-traces and one of these is seen at a in fig. 415, A, separated from the central primary xylem by a foliar gap filled with parenchyma. The pericycle is shown at p in fig. 412 and77 its outer boundary at p in fig. 411, A. Beyond the pericycle is the broad parenchymatous cortex with leaf-traces, lt, and some sclerenchymatous patches, s. The vascular strand a is passing into the base of a leaf-stalk. In the stem shown in fig. 411, B, 1·4 cm. × 7 mm., a decurrent petiole is seen at the upper end with its single vascular strand, a, and two sclerous nests; a similar though detached leaf-base occurs at the opposite end of the long diameter. Other leaf-traces are seen at b and c. From the left-hand side of the stele a curved strand of tracheids is passing out to supply a root, r.
Adventitious roots of endogenous origin are occasionally met with in Heterangium stems, but we have less information as to their anatomy than in the case of Lyginopteris. In a specimen of Heterangium Lomaxi figured by Williamson and Scott[220] three roots are seen in a vertical series growing outwards through the cortex of a stem. The roots agree generally with those of Lyginopteris but the outermost cortical layers possess no special features.
The large compound fronds long known as Sphenopteris elegans were recognised by Kidston as the leaves of Heterangium by the closely arranged transverse striae or narrow ribs on the rachis and pinnae which are the expression on the carbonised impressions of the horizontal plates of sclerous tissue in the petrified stems and petioles of Heterangium. The dichotomously branched fronds are included by Stur in his genus Diplotmema and that author figures several typical examples in his ‘Culm Flora’[221]. Fig. 413, A, shows a forked axis with the bases of more slender branches and the characteristic transverse bands and in fig. 413, B, part of a pinna is reproduced. In general appearance, except in the bifurcating pinnae, the fronds resemble those of Davallia tenuifolia with which Brongniart compared the Palaeozoic species. There is little doubt that Sphenopteris dissecta and some other species were also borne on Heterangium stems. The rachis and petioles 78differ from those of Lyginopteris fronds in the absence of emergences (cf. fig. 404, E). The petioles (fig. 411, B, a) have a single concentric vascular bundle with internal protoxylem.
As yet no satisfactory evidence has been published with regard to the nature of the microsporangia but in all probability these were constructed on the same plan as those of Lyginopteris. There is a strong prima facie case for assigning the seed Sphaerostoma to Heterangium: absolute proof of organic connexion is still lacking though Dr Benson’s recent account of the seeds79 associated with Heterangium Grievii almost amounts to demonstration of continuity between vegetative organs and seeds.
In 1877 Williamson described some detached petrified seeds from the Lower Carboniferous rocks of Fifeshire, Scotland, as Conostoma ovale and C. intermedium. Dr Benson’s investigation[222] of these two forms leads her to confirm Williamson’s doubts as to the validity of a specific separation and she assigns the single type to the new genus Sphaerostoma. The seeds are always associated with the vegetative organs of Heterangium Grievii. In 1909 Oliver[223] expressed the opinion that the Burntisland species of Conostoma (= Sphaerostoma) is probably the seed of Heterangium. The seed consists of a central body representing the nucellus, an inner integument, and an enveloping cupule or outer integument: most specimens have lost the cupule and in this condition they are 3·5 mm. long with a maximum breadth of 2·2 mm. In the 80middle the seed is circular in transverse section and octagonal near the base and apex. The free apical part of the integument forms a frill (canopy) round the micropyle and extends beyond the nucellar apex which consists of a relatively flat plinth surmounted by a central dome or lagenostome (fig. 414). The lagenostome is surrounded by an annular pollen-chamber on to the lower surface of which abuts the large embryo-sac, and remains of archegonia were noticed below the pollen-chamber. The roof of the chamber in the young state consists of a layer of thin-walled cells extending across the flattened apex of the nucellus, n, but as the pollen-chamber becomes differentiated from the nucellar tissue by the disorganisation of the zone of cells its roof-cells thicken their vertical walls and assume the structure of a multiseriate annulus, which acts as a mechanism for opening the pollen-chamber by a circular dehiscence in such a way that the edge of the ruptured roof of the pollen-chamber slightly overlaps the periphery of the central column of nucellar tissue after it has returned to its original position subsequent to the entrance of the microspores. The micropylar region is surrounded by eight lobes of the integument and each is characterised by a crest of radially elongated cells, fig. 414, f, especially prominent on the outer side. External to this is the slightly longer cupular sheath (fig. 414, c) which may also have been lobed. The surface of the integument below the terminal crests consists of a layer of cells with small papillae which eventually ruptured and discharged mucilage. Both integuments have a vascular supply, that of the inner integument being represented by eight vascular bundles, some of which were found to have mesarch xylem, given off from the single strand in the pedicel. Fig. 414 shows the apical region of a seed of Sphaerostoma: the flat-topped nucellar cap, n, is surrounded by the annular pollen-chamber, pc, below which are indicated the archegonia: the wall of the megaspore (embryo-sac) is seen at m and external to this vascular bundles, v, run up the inner portion of the integument accompanied by some large cells (aqueous tissue). The elongated epidermal cells at the apices of the lobes of the integument form the frill, f, and at a lower level the cells of the same layer are much smaller and papillate (e): the outer integument, c, forms the 81so-called cupule. The transverse section shown in fig. 414, B, is taken at the level of the roof of the pollen-chamber and of the nucellar cap; it illustrates the contrast between the ‘multiseriate annulus’ and the central column of small parenchyma.
Sphaerostoma differs from Lagenostoma in the whorl of crests around the micropyle, in the nearly hemispherical form of the lagenostome and in the relatively wider pollen-chamber with its peculiar form of dehiscence. Miss Benson, while regarding Sphaerostoma as similar to Lagenostoma in general plan, believes the distinguishing features of the former to be such as are consistent with a more primitive form.
An important argument in support of connecting this seed with Heterangium is derived from the juxtaposition of some seeds and portions of Heterangium petioles, a juxtaposition that is believed to demonstrate original continuity.
Grand’Eury[224] has recorded the association of two species of leaves, Sphenopteris elegans and S. dissecta, with small seeds compared by him with Lagenostoma. In the absence of petrified specimens it would be practically impossible to distinguish between Lagenostoma and Conostoma or Sphaerostoma.
Carpentier[225] has described some impressions from French Westphalian beds as Conostoma and he records cupules without seeds on fronds of Sphenopteris obtusifolia which he speaks of as having transverse striations like those of Heterangium. Dr Kidston pointed out to me that the surface-features of the Sphenopteris rachis are probably due to ramental scales and not to the presence of horizontal sclerous bands. Carpentier’s seeds may be compared with Lagenospermum Sinclairi.
This species, founded by Williamson on material from the Lower Coal Measures of Halifax, Yorkshire, while agreeing in the structure of the primary stele and in the general features of the cortex with the older Heterangium Grievii, is clearly distinguished by certain well-marked characters. Sclerous groups occur in the inner cortex as in H. Grievii but they are present also 83in the pericycle. The peripheral leaf-traces in the stele show the mesarch structure rather more distinctly than in H. Grievii, and the secondary xylem, which forms a much broader cylinder than in the Scotch type, is divided by broad medullary rays into characteristic cuneate masses each of which rests at its base on the centrifugal tracheids of a leaf-trace strand of xylem (fig. 415, B). The most striking distinctive feature is afforded by the secondary phloem, which is often preserved in wonderful perfection; this is unusually thick and owing to the tangential expansion of the principal medullary rays the secondary phloem is divided into separate masses which decrease in breadth towards the external arcs of primary phloem. The triangular form of the phloem rays, composed of tangentially stretched parenchyma, suggested the specific name tiliaeoides on account of their striking resemblance to the rays of Tilia. The leaf-traces are nearly always in pairs as they pass out through the cortex; they subsequently divide and appear as four vascular strands in the petiole. The portion of stem reproduced in fig. 415, B, 8 mm. broad, shows clearly the separation of the secondary xylem and phloem into wedge-shaped groups: in each group there are several narrow medullary rays. The extrastelar tissues are represented by a few fragments only. Several layers of crushed periderm occur in the pericyclic region but the more external tissues have been almost completely exfoliated[226].
Reference has already been made to Heterangium Lomaxi, the English type originally included by Williamson in Heterangium Grievii. The provisional species Heterangium cylindricum Williamson and Scott[227] differs, as Scott says, in no important respect from H. Lomaxi and should not be retained. A new species, H. minimum Scott[228], has been founded on a very small stem from the Coal Measures of Dulesgate in which the leaf-traces leave the stele as single bundles as in the Scotch H. Grievii.
The French species Heterangium Duchartrei[229] Ren. from Permian rocks was originally referred by Renault to the genus Poroxylon: it is represented by little more than the xylem of the stele and 84bears a close resemblance to H. tiliaeoides. Heterangium punctatum Ren. and H. Renaulti[230] (Brongn.) also from the Permian of France were originally placed in the genus Lycopodium and afterwards recognised as stems of Heterangium. A fourth French Permian species, H. bibractense[231], is peculiar in the possession of a very small primary stele encircled by deep wedges of secondary xylem, but without more information it is impossible to speak with confidence as to its systematic position. Kubart[232] has recently published brief descriptions of some stems from the Ostrauer coal-basin in Moravia all of which he regards as specifically distinct from the English types. In Heterangium Sturi the primary xylem is almost exarch and the peripheral xylem groups are not very clearly defined: in H. alatum, so called from the presence of lateral wings on the petioles, the leaf-trace strands are more sharply differentiated from the rest of the stele. H. polystichum is a similar type, and H. Andrei, with a relatively larger amount of parenchyma in the stele and thicker stems forms an additional link between Heterangium and Lyginopteris[233]. Prof. Johnson[234] has described a species of Heterangium, H. hibernicum, from Upper Devonian and Lower Carboniferous beds in Co. Cork, Ireland, based on some impressions of frond fragments without any pinnules. The occurrence of numerous transverse striae on the rachis and lateral branches suggests comparison with Heterangium fronds, but an examination of the specimens led me to suspect that some at least of the striae are cracks and not original features. The presence of spur-like appendages from the lower surface of the pinnae near their origin from the rachis is recorded as a peculiar character, and some obscure oval bodies, the nature of which is extremely doubtful, are considered to be seeds. The imperfection of the material hardly justifies the institution of a new species of Heterangium.
Heterangium ranges from the Lower Carboniferous to the Permian strata and is thus older than Lyginopteris which in the form of petrified stems is not recorded from the Lower beds of the Carboniferous system. Heterangium has been described as85 having a ‘great preponderance of fern-like characters,’ but having regard to the resemblance of the primary xylem of the latter to that of the Osmundaceae it would seem doubtful whether in their relation to the Ferns there is any important difference. Heterangium may safely be spoken of as the more primitive genus. The polydesmic character of the petioles of most species is particularly interesting as it brings the genus nearer to the Medulloseae and to Rhetinangium[235].
The term Medulloseae was first employed by Goeppert and Stenzel[236] for a family of Palaeozoic plants that appears to have reached its maximum development in the Permian period: the oldest representatives so far discovered are of Upper Carboniferous age. Our knowledge of the family is chiefly derived from a study of the anatomical characters of stems, and it is therefore on this basis that any grouping of genera or species should be attempted. Although there is little information with regard to the reproductive organs of Medullosa, the type-genus, it is certain that the Medulloseae are Pteridosperms differing from members of that group included in the Lyginopterideae in the presence of more than one stele in the stem, in the habit of the fronds, and in the structure of the rachis, as also in the structure of the seeds, though these organs bear a fairly close resemblance to the seeds of Lyginopteris and Heterangium. The fronds of the Lyginopterideae are of the Sphenopteris type while in the case of such species of Medullosa as afford evidence of connexion between stems and leaves the latter have the characters of Neuropteris, Alethopteris, Odontopteris, Linopteris, and other form-genera usually included in the Neuropterideae. Dr Lotsy[237] speaks of Lyginopteris and Heterangium as members of the Sphenopteridophylla and assigns species of Medullosa either to the Neuropteridophylla or to the Pecopteridophylla, the latter subdivision including species with fronds of the Alethopteris type. There is, however, little doubt that other forms of leaves, such as Odontopteris and possibly Taeniopteris, were borne on Medullosan stems. It is undesirable 87except in the absence of more trustworthy criteria to make use of so protean a feature as leaf-form as a basis of classification. The name Neuropterideae has been frequently employed for Pteridosperms other than the Lyginopterideae on the ground that the foliage of Medullosa is represented by species assigned to form-genera included in the Neuropterideae. It is, however, preferable to restrict the family-name Neuropterideae to fronds and to speak of the second family of Pteridosperms as the Medulloseae, including the genera Medullosa, Sutcliffia, and Rhexoxylon.
Some species of Medullosa probably resembled in habit Angiopteris evecta and the larger Marattias; they had short and relatively thick stems clothed with the large decurrent bases of long compound fronds superficially like those of some recent Ferns and the leaves of the Cycad Bowenia. It is probable that, as Zeiller[238] has pointed out, the fronds of Medullosa and of other Pteridosperms had a greater tendency than those of true Ferns to a dichotomy of the rachis. In other types the stems reached a considerable length and leaves and branches were separated by several feet of bare stem. The large size of the leaf-stalks in proportion to the diameter of the stem as shown by such species as Medullosa anglica and M. Leuckarti (fig. 416) suggests either a short and thick main axis or, in the case of long stems bearing scattered leaves, a plant that supported itself partially at least by a habit of growth comparable with that of tropical Aroids or other lianes. While Medullosa anglica with its contiguous leaf-bases affords an example of the first type, the occurrence of stems of a Permian species, M. stellata, 3½ metres long without branches or leaf-scars, suggests the habit of a liane; similarly a specimen of Medullosa Leuckarti in the Chemnitz Museum bearing a few spreading petioles but little narrower than the stem and given off at a wide angle would seem to favour the view that some species were ill adapted to be mechanically self-supporting plants. The longest piece of stem that has come under my notice is a specimen of M. stellata in the Chemnitz Museum reaching a length of nearly 8 metres: some species attained a diameter of about 50 centimetres.
88
Medullosa is always polystelic: the plan of the vascular system varies considerably as regards both the number and form of the steles, but there is a uniform type of structure within the limits of each stele that recalls the single stele of Heterangium. The steles consist of a central region composed of primary xylem, originally surrounded by phloem, which in its mesarch or exarch structure agrees with the vascular tissue of some species of Gleichenia or Lygodium. To this central region a cambium added secondary xylem and phloem either in the form of a cylinder of uniform breadth, or more frequently the centrifugally developed xylem exceeded in amount the secondary conducting tissue added to the inner side of the primary region. Apart from anatomical details a Medullosan stem with its several steles, each with secondary tissue, embedded in parenchymatous ground-tissue resembles the stems of some Dicotyledonous climbers such as Thinouia scandens, species of Serjania and Paullinia[239].
Anatomically the main features of the stelar system of Medullosa, neglecting the secondary xylem and phloem, are in closer agreement with the stems of Ferns than with those of any other plants. It has been shown that the genus Heterangium bears a close resemblance to Gleichenia in the structure of the primary stele (fig. 418, C): one of the oldest types of Medullosa, M. anglica, may be described as a Heterangium with three steles and may be compared with a dictyostelic Fern in which the irregular vascular framework is made up of three main strands. In certain types of Medullosa (fig. 416) the ground-plan of the vascular system recalls that of a solenostelic Fern, while in others the greater complexity suggests comparison with such Ferns as Matonia, Angiopteris, Psaronius, or Cyathea; ‘it is as though Nature were at the Carboniferous moment in the midst of a series of amazing engineering experiments, most of which were either buried deep in Palaeozoic oblivion, or permitted to survive only as vestigial relics and atavistic ghosts’[240]. Though many Medullosae resemble Ferns there is an important difference between the two groups in the origin of the various plans of Medullosan stelar systems: in Ferns the leaf is the determining factor in the evolution of stelar arrangement, while in Medullosa the occasional interruption 89of a solenostele or the development of an apparently complex dictyostele are features independent of the leaf and leaf-traces. In the structure of the secondary xylem and phloem and in root-structure Medullosa agrees with recent Cycads. The genus is in short a generalised type with filicinean and cycadean affinities. In the possession of seeds borne on modified pinnae of compound fronds, Medullosa resembles both Cycas and the Lyginopterideae. The seeds exhibit a fairly close agreement with those of Lyginopteris, Heterangium and recent Cycads, but they appear to have advanced further towards the cycadean type than is the case with the closely related seeds of the Lyginopterideae. The microsporophylls are very imperfectly known but they were undoubtedly much less advanced and more fern-like than the megasporophylls.
The genus Medullosa is recorded from the Permian strata of Saxony, France, and Bohemia[241]; also from the Coal Measures of England, and the discovery of petrified petioles of Myeloxylon, the type borne on Medullosan stems in European species, may be taken as evidence of the existence of the genus in North America during the Carboniferous period[242].
The name Medullosa was applied by Cotta[243] to three types, Medullosa elegans, M. stellata, and M. porosa, from the Rothliegende of the Chemnitz district. The first of these was recognised by Brongniart[244] as a distinct genus for which he proposed the designation Myeloxylon and this was afterwards identified by Renault, Williamson, and other palaeobotanists as a petiole and not a stem. Further reference is made to Myeloxylon on a later page. Cotta spoke of Medullosa as the most puzzling of the genera dealt with in his ‘Dendrolithen,’ and in spite of the many additions to our knowledge the position of this Palaeozoic genus is still a fertile source of speculation. The generic designation Medullosa is applied to stems, with or without petioles; petioles or rachises of fronds that frequently occur apart from stems are referred to the genus Myeloxylon. The leaves of Medullosa include several well-known species of Carboniferous and Permian genera such as Alethopteris, Neuropteris and others that have in 90recent years been transferred from the Filicales to the Pteridosperms. In a few instances seeds have been found in organic connexion with Medullosan foliage, and there can be no reasonable doubt that Trigonocarpus, some forms of Rhabdocarpus, Pachytesta, and other seeds represent the integumented megasporangia of Medullosa or some closely allied genus.
Before attempting to summarise the salient features of Medullosa a description of a few selected types will serve to place us in a better position to consider the genus as a whole. The British species are placed first on the ground that they are both geologically the oldest though, historically, the most recently described, representatives of the genus; and in the organisation of the stem they are simpler than the continental species. Their resemblance to Heterangium serves to some extent to bridge the gap between the majority of species of Medullosa and the simpler types of Pteridosperms represented by Heterangium and Lyginopteris.
Prior to the discovery of this species the genus Medullosa had not been recorded from Britain. A section in the Williamson collection recognised by Scott as that of a Medullosa had been identified by Williamson as a large Heterangium stem. An undescribed specimen was found by Arber[246] in the Binney collection at Cambridge which afforded some additional information as to the structure of the roots.
The specimens on which Scott’s thorough description is based were obtained by Messrs Wilde and Lomax from the Lower Coal Measures of Lancashire. The stem of this oldest species has the habit of a tree-fern and is almost completely invested by the stout decurrent bases of the petioles of large spirally disposed compound fronds with a phyllotaxis of ⅖, the leaves of the same orthostichy being separated from one another by a vertical distance of approximately 10 cm.
A transverse section of a slightly flattened stem is shown in fig. 416, A, the bases of three petioles give to it an angular form. Its dimensions are approximately 10 × 4 cm. The ground-tissue91 of two of the petioles is continuous with that of the stem, while that of the third leaf-stalk is cut through near its separation from the stem and its adaxial face is already defined by a hypodermal band of stereome, d. The surface of the stem is characterised by fine longitudinal ribs caused by the slightly projecting stereome in the outer cortex, and from the narrow furrows between the leaf-bases adventitious roots emerge in vertical series. The position of an interfoliar furrow is shown by a small arrow in fig. 416, A. There are three steles, 2–3 cm. × 6–10 mm. in diameter: each agrees very closely in structure with the single stele of Heterangium. Medullosa anglica may be described as a polystelic Heterangium and as having the same relation to Heterangium as regards the stelar system as Primula auricula bears to the monostelic Primula. The central core of the stele (the black patches in the diagram, fig. 416, A) consists of an anastomosing system of tracheal groups embedded in an irregular parenchymatous reticulum. The large primary tracheids reach a diameter of 150μ and have multiseriate pitting: at the periphery of the primary xylem there is a more definite grouping of tracheids as in Heterangium, and the slightly internal (mesarch) protoxylem elements are associated with scalariform and densely spiral tracheids (fig. 416, B, C) narrower than the more internal reticulate elements. The secondary xylem is manoxylic as in Cycads, tracheids in 2–4 radial series alternating with medullary rays 1–3 cells broad and usually of considerable depth (fig. 416, B). The principal rays are continuous with the parenchymatous matrix of the central core. Thick-walled tubular elements, no doubt of the nature of sieve-tubes, form a conspicuous feature in the phloem.
The three steles occasionally divide and fuse with one another. The tissue between the steles is crushed and disorganised and in the living plant was probably small in amount. In the imperfectly preserved inner cortical region there is a sinuous band of secondary parenchyma (periderm; fig. 416, A, c) developed from a deep-seated phellogen; in older stems this formed the superficial tissue after the fall of the leaves. There is no definite boundary between the cortex of the stem and the petiole-bases except when the hypoderm cuts across the cortex preparatory to 93the separation of a leaf-stalk. The stem-cortex and the ground-tissue of the petioles consist of parenchyma with numerous secretory canals, not sacs only as in Heterangium, and are abundantly supplied with scattered vascular bundles of collateral and exarch structure.
The leaf-traces are furnished by the peripheral tracheal groups at the free surface of the primary portion of each stele: each trace is at first concentric and consists of primary xylem with one or more protoxylem strands near the outer surface and is completely or partially enclosed by secondary xylem and phloem. In the course of its passage to the leaf a leaf-trace loses its secondary tissues, which were added by the cambium during the traverse of the zone of secondary wood, and divides into small collateral bundles consisting mainly of spiral and scalariform tracheids. The collateral bundles accompanied by some narrow fibres are of the Myeloxylon type (fig. 420), the xylem being wholly centripetal. In the behaviour of the leaf-traces and in the vascular system of the petioles Medullosa differs from Heterangium and Lyginopteris. Each leaf-base is supplied by sets of vascular strands which pass into it from the stem at different levels; a large leaf-base reaching 4 cm. in diameter receives as many as 70–80 bundles. The hypoderm is like that first described in the French species Myeloxylon Landriotii[247] and often spoken of as the Sparganum type of hypoderm. The branching of the rachises points to a compound frond, and the occurrence of numerous linear pinnules with revolute margins (fig. 420, D) in association with the stem suggests that the ultimate segments were of the Alethopteris form. This inference receives confirmation from the occurrence of petrified specimens of undoubted Alethopteris rachises with the structure of Myeloxylon. It is practically certain that the leaves borne on the stems of Medullosa anglica are those long known as Alethopteris lonchitica (Vol. ii. A, p. 553, fig. 364).
An interesting feature in the stems is the occurrence of cortical vascular strands (fig. 416, A, a, b), reaching a diameter of 7 mm., containing scattered tracheids in a parenchymatous core surrounded by secondary xylem and phloem. These cauline bundles are almost identical both in structure and distribution with the 94accessory steles in the stem of a recent Cycas, and the agreement is emphasised by the presence of short square-ended tracheids in the primary xylem.
The roots branch freely and may attain a diameter of more than 1 cm.: they are generally triarch and the triangular primary xylem is enclosed by secondary xylem except opposite the protoxylem. The cortex is like that of Lyginopteris roots and a conspicuous double layer of superficial tissue is another feature common to both (cf. fig. 410). The exceptionally well preserved specimens described by Arber[248] show very clearly the thick zone of periderm which forms the covering of older roots, and in some of the sieve-tubes groups of dark brown patches show the form and arrangement of the sieve-plates.
Reproductive organs. We have as yet no precise information in regard to the reproductive organs of Medullosa anglica, but there can be little or no doubt that the fronds bore seeds that have long been known under the generic name of Trigonocarpus. Many years ago Mr Hemingway noticed the almost constant association of the fronds of Alethopteris lonchitica with Trigonocarpus, and Dr Kidston’s discovery[249] of seed-bearing Neuropteris pinnae considerably strengthened the evidence derived from mere association. The structure of Trigonocarpus is described later (p. 117) in a section devoted to reproductive organs attributed to Medullosa. Nothing is known as to the microspore-bearing organs.
While in the structure of each of the steles Medullosa anglica agrees very closely with Heterangium, it differs from that genus in the presence of three steles and in the structure of the petioles which are much less fern-like than the simpler petioles of Heterangium and Lyginopteris. From the continental species the British species is distinguished by its simpler stelar system, though there is a close correspondence as regards individual steles.
This species, briefly referred to by Scott in 1909[250] and fully described in a recent paper[251], is founded on material from the 95Lower Coal Measures of Colne, Lancashire. It agrees in essential features with Medullosa anglica, but differs in the following particulars: the linear dimensions of the stem are about one quarter those of a typical stem of the older species; the leaf-traces possess little or no secondary xylem and the relatively large decurrent leaf-bases have a narrower and simpler hypoderm. The stem has a tri-stelar vascular system enclosed in a ring of internal periderm, and each stele (3 mm. in diameter) consists of a roughly triangular strand of reticulate tracheids and a small amount of scattered parenchyma. The protoxylem is either exarch or, as in M. anglica, mesarch, the exact position being difficult to determine in the available material. The secondary xylem closely resembles that of M. anglica.
Scott suggests the possibility that Alethopteris decurrens may be the foliage of Medullosa pusilla. It is possible that there is no specific difference between M. pusilla and M. anglica, but on the present evidence the employment of a distinctive name is desirable.
This species was founded by Miss de Fraine[252] on a petrified stem from the Lower Coal Measures of Lancashire. The maximum diameter of the flattened stem including four decurrent leaf-bases is 5 cm. The vascular system consists of an outer group of four steles, reduced to three by fusion in the upper part of the specimen, enclosing a central smaller stele or star-ring (fig. 417). It is the presence of the star-ring that distinguishes this type from the other two British species and forms a connecting link with certain continental Medullosae. The peripheral steles agree with the steles of M. anglica but, as in M. pusilla, there is some doubt as to the exarch or mesarch position of the protoxylem. In the structure of the xylem the central stele conforms to the rest of the vascular system and a strand of protoxylem is preserved that is almost certainly exarch. There is evidence that the peripheral steles occasionally anastomose, but the central stele follows an independent course at least in the piece of stem examined. Leaf-traces are furnished by the primary xylem of the outer steles, and 96they appear to be without secondary tracheids as in M. pusilla. A zone of secondary cortex encloses the vascular system as in the other British stems: it is pointed out by Miss de Fraine[253] that this tissue, usually described as a deep-seated periderm, must have differed from cork in that there is no sign of drying up or decay in the tissues external to it. The leaf-bases are of the usual Myeloxylon type. In size this species is intermediate between Medullosa anglica and M. pusilla.
Cotta[254] described Medullosa stellata as a stem characterised by the occurrence of several many-rayed stellate columns (‘vielstrahlige Sternsäule’) in a pith enclosed by a double cylinder of secondary xylem. The so-called pith is the central ground-tissue of the stem and the double ‘striated ring’ of Cotta is a cylindrical stele identical in structure with each of the steles of Medullosa anglica but having a tubular form instead of forming a relatively broad and short band (cf. fig. 416, D and A). Goeppert[255] in his Permian Flora gave a detailed account of the species, some of his sections being cut from Cotta’s material, and by the employment of varietal epithets emphasised the range of variation within the limits of the type. Goeppert and Stenzel[256] and, several 97years later, Weber and Sterzel[257] adopted the same plan as a convenient method of drawing attention to differences in anatomical characters. As Schenk[258] pointed out, there is a considerable risk in the case of small pieces of stems of attaching excessive importance to structural variations, and it is by no means improbable, as he said, that differences which are the expression of states of preservation or stages in development have been incorrectly regarded as distinguishing marks of individual plants. It is, however, convenient to recognise some of the more striking deviations from the type-species by speaking of the different forms as varieties though, as Weber and Sterzel fully admit, such varieties and even some of the species must be looked upon as provisional. Weber and Sterzel give expression to the provisional nature of their grouping by classifying the species with their varieties into form-cycles. Under the form-cycle Medullosa stellata five more or less well defined forms are recognised, the type-species being Medullosa stellata var. typica[259].
Part of a transverse section of a cylindrical stem is represented diagrammatically in fig. 416, D. Very little of the cortex is preserved: a parenchymatous axial region with scattered secretory canals contains four oval or cylindrical vascular steles, the stellate columns of Cotta or star-rings of later authors. These are of the same nature as the small central stele in the English Medullosa centrofilis. The central region of the stem in this specimen is completely surrounded by a narrow cylinder of inversely orientated secondary xylem and phloem (fig. 416, D), the phloem being on the inner side of the xylem. Beyond the xylem is a parenchymatous band containing scattered groups of primary xylem tracheids with spiral, scalariform, and reticulate pitting, and this zone, which is usually designated the ‘partial pith,’ is succeeded by a second and broader, normally orientated, cylinder of secondary xylem and phloem. In this section the two concentric cylinders separated by the partial pith form a solenostele like that of several recent Ferns except in the presence of secondary 98tissue. The term ‘partial pith’ applied to the tissue between the two cylinders of secondary tissue is misleading: this tissue (fig. 416, D, p) is the primary xylem of the stele and is homologous with the primary portion of the stele of Heterangium and of the steles of M. anglica. In many sections the continuity of the tubular stele is broken. In a section in the British Museum cut from one of Cotta’s specimens[260], 6 × 3·5 cm. in diameter to the outer edge of the vascular tissue, the cylindrical stele is interrupted at two places. An example of the interrupted type of stele is shown in fig. 416, F, and in fig. 416, H: the latter belongs to a distinct species. The complete type of cylindrical stele is exceptional and occurs occasionally at different levels in the stem. An important point is that the frequent breaks in the cylinder are not connected with the exit of leaf-traces and do not, therefore, correspond to the foliar gaps in the solenostele or dictyostele of a Fern.
The secondary xylem is of the cycadean type (fig. 418, B, D) like that of Heterangium and Lyginopteris and several other stems. Each of the star-rings in the axial region consists of a parenchymatous core with scattered primary tracheids enclosed by secondary vascular tissue (fig. 418, B). The star-ring shown in fig. 418, B, from a Chemnitz stem illustrates the characteristic cycadean character of the secondary xylem with broad medullary rays: some of the innermost elements are in contact with the primary tracheids. The phloem is rendered conspicuous by the black contents in some of the elements. Both the star-rings and the larger peripheral steles are constructed on the same plan and agree with the steles of M. anglica. The star-rings occasionally branch and anastomose with one another and with the encircling stele. The star-ring in fig. 416, D at a is about to give off a small strand.
Leaf-traces are furnished by the primary xylem at the edge of the ‘partial pith’ of the outer stele: as a leaf-trace passes outwards through the outer cylinder of secondary xylem the cambium invests it with secondary xylem and phloem, but as it passes through the cortex of the stem it becomes reduced to its primary elements, and by successive branching gives rise to99 small collateral bundles which enter the petioles. The piece of stem shown in fig. 416, G, illustrates the exit of leaf-traces from the stele and their subsequent division into several small bundles, v, which are scattered in the cortex with strands of sclerenchyma. In a specimen identified with Medullosa stellata, Schenk[261] found part of a leaf-base attached to the stem: its vascular system was of the Myeloxylon type, the bundles being identical with those in the cortex of the stem seen in fig. 416, G.
In some stems of M. stellata the outer, centrifugally developed, portion of the main stele is very much broader than in the example represented in fig. 416, D. The diagrammatic sketch reproduced in fig. 416, F, represents a section of a Chemnitz specimen in the British Museum[262] in which the axial region containing several star-rings is almost enclosed by an inner zone of secondary xylem, and beyond the narrow primary xylem (black in the sketch) the rest of the block consists exclusively of secondary xylem 5·5 cm. broad. This example illustrates a common tendency in Medullosa towards a large excess of centrifugal over centripetal secondary vascular tissue. A similar specimen of Medullosa stellata is figured by Mougeot[263] from the Vosges showing a considerable development of centrifugal xylem comparable with that in the British Museum stem. Weber and Sterzel[264] describe stems of Medullosa stellata showing slight periodic swellings which it is suggested, though there is no evidence in support of the opinion, may be connected with reproductive organs.
Medullosa stellata var. corticata[265]. The specimen referred to this variety, represented in fig. 416, G, has already been quoted as affording data with regard to the origin and behaviour of the leaf-traces. In this type of stem the outer portion of the main stele is narrower than in M. stellata var. typica and the stele never forms a complete tube. The star-rings in the centre of the stem are more numerous than in the type-species of the genus. In the axial region of some stems included in the form-cycle to which 100M. stellata belongs there may be flatter and tangentially elongated vascular strands in addition to the cylindrical star-rings; these are termed plate-rings.
In Medullosa stellata var. lignosa[266] the outer xylem reaches a breadth of 4 cm. and the star-rings are reduced to one. The form M. stellata var. gigantea[267] (fig. 416, K) is of special interest as an example of a stem reaching a diameter of nearly 50 cm. and having as many as 43 large and small star-rings in the axial region. A large tubular stele like that of the type-species (fig. 416, D) surrounds the central region, but in this form the cylindrical stele a is succeeded by concentric cylinders of normally orientated xylem and phloem (fig. 416, K, bb) produced by successive cambiums either cortical or pericyclic in origin. This type of stem presents a striking resemblance to stems of Cycas and Macrozamia except in the possession of a double cylindrical stele consisting of both centripetal and centrifugal secondary xylem and phloem separated by a zone of primary xylem (partial pith).
This species was founded on a piece of stem from the Permian of Autun[268], consisting almost entirely of secondary xylem, which Brongniart had previously placed in his genus Palaeoxylon[269]. The secondary xylem reaches a diameter of 45–50 cm. and in the portion of the central region preserved there are a few vascular strands like the star-rings of other species. The considerable development of secondary xylem indicates a form of stem similar to some forms of M. stellata (e.g. fig. 416, F), but as the available data are insufficient for accurate determination Renault’s specific name is retained. Renault describes the internal xylem cylinder (i.e. the centripetal xylem) as very slightly developed or as hardly visible, a feature in which the French specimen shows a nearer approach to the structure of a recent Cycad.
101
The second of Cotta’s species[270], which has been fully investigated by Weber and Sterzel, is constructed on the same plan as that of M. stellata, but the stem is distinguished by the greater number of star-rings and, more especially, by the presence of an outer system of vascular strands in the axial region (fig. 416, M): these form a frequently interrupted cylinder of anastomosing strands characterised by the feeble development of secondary xylem and phloem or by the absence of this tissue on the outer face of the strands. The component parts of this outer series occasionally fuse with the internal star-rings.
This type has a large axial region containing several very small star-rings enclosed by two concentric zones of separate plate-rings (fig. 416, E) each consisting of a complete flattened cylinder of secondary xylem and phloem enclosing primary xylem. As the complete cylindrical stele of the stem of Medullosa stellata shown in fig. 416, D, was compared with the solenostele of a Fern, so in this stem (fig. 416, E) the vascular cylinder may be compared at least superficially with a dictyostele. From the inner circle of plate-rings strands are given off in the form of star-rings and these pass through the gaps in the outer system, eventually breaking up in the cortex into numerous collateral bundles. In another form of this species, var. lignosa (fig. 416, L), the axial region is enclosed by a circle of plate-rings like those in the type-form, but these are succeeded by a circle of very asymmetrically developed and large steles with the outer xylem and phloem much broader than the inner. Moreover in this form additional cylinders of normally orientated vascular tissue are added as in M. stellata var. gigantea and in some recent Cycads. It is noteworthy that the secondary wood of Medullosa Solmsi is rather more compact than in other species, a feature in which it to some extent agrees with the South African genus Rhexoxylon.
102
In this species[273], also from the Permian of Saxony, the central region including some star-rings is surrounded by sinuous flattened concentric steles (snake-rings) agreeing anatomically with the steles of other species and characterised by the comparatively small breadth of the secondary xylem and phloem (fig. 416, H). Leaf-traces are given off, as in M. anglica and other species, from the outer edge of the primary xylem. In some forms there is a single set of snake-rings; in others there is a double series. Fig. 418, D, shows part of the secondary xylem of a stele of this species from Chemnitz: the tracheids are in some places continuous with the primary xylem, and on the outer edge of the secondary wood is a cylinder of phloem. A section of Medullosa Leuckarti figured by Goeppert and Stenzel[274] shows some radial rows of very thick-walled elements in the secondary phloem which they describe as bast sclerenchyma, but Solms-Laubach[275] believes them to be sieve-tubes. Precisely similar elements are figured by Scott[276] in M. anglica and as this author suggests the thick walls are probably not an original feature. The structure of the primary xylem is more clearly seen in fig. 418, C, and the relation between primary and secondary xylem is shown in fig. 416, I, where the position of the protoxylem may be either exarch or mesarch. The protoxylem is only occasionally recognisable but some of the peripheral primary tracheal groups are undoubtedly mesarch. External to the stele, a part of which is reproduced in fig. 418, D, are strands of stereome elements and beyond them a band of radially elongated cells that may be ‘periderm’: still farther out there are some imperfectly preserved vascular bundles that are leaf-traces. This species is important as affording a complete demonstration of the organic connexion between the stem and petioles of the Myeloxylon Landrioti type which indicate that the fronds were probably Alethopteroid.
The specimen on which the diagrammatic drawing reproduced 104in fig. 419 is based has been investigated by Weber and Sterzel[277] and by Solms-Laubach[278]. The figure is a slightly simplified version of that given by Weber and Sterzel; it represents the stem of Medullosa Leuckarti as a transparent object, the two lower transverse sections, B and C, being seen in perspective through the longitudinal faces. The steles are shaded obliquely in the longitudinal sections, and in the three transverse sections, A, B, C, the primary xylem (partial pith) is black and the enclosing secondary vascular tissue radially shaded. The whole block is 9 cm. in length and 6 cm. broad. Only a part of the axial region is shown internal to the peripheral snake-rings and in it are the star-rings S, S, b, and c. Outside the main steles is the narrow 105cortex R and portions of leaf-bases I–IV. The lowest section, C, shows part of a peripheral snake-ring with a slight swelling at f on its inner side which, as seen in sections B and A, foreshadows the separation of the star-ring S and the consequent break in the continuity of the snake-ring (d, e, sect. B). In section A the gap is closed: in the longitudinal section between B and A the star-ring S is seen to form two branches, a and b, the branch a closing the gap between d and e in section B. These sections demonstrate the formation of a star-ring from the main peripheral stele and the formation of additional star-rings by branching.
Numerous vascular bundles destined for the leaves are scattered in the cortex. The course of the decurrent leaf-base I is shown on the longitudinal faces, its boundary being marked by crowded stereome strands (of the Myeloxylon Landrioti type); other leaf-bases are represented by II, III, and IV.
In habit Medullosa Leuckarti differs from such a type as M. stellata in its relatively shorter and stouter stem and in the shorter internodes.
i. Leaves. It has already been stated that in some cases petioles occur in organic connexion with Medullosan stems, notably in M. anglica and M. Leuckarti: in the exceptionally rich collection in the Chemnitz Museum, which forms a fitting memorial of the work of the late Prof. Sterzel, there is a stem of M. Leuckarti bearing large petioles of the type known as Myeloxylon radiatum. The occurrence of vascular bundles in the cortex of other species of stem identical with those in the attached petioles points to a uniform type of leaf-structure so far as regards the petioles and rachises of Medullosa. While it is clearly unnecessary to distinguish by a special generic title the petrified portions of fronds known to belong to certain species of stems, the frequent occurrence of detached petioles necessitates some distinctive term. The name employed is Myeloxylon: the genus was instituted by Brongniart in 1849 for Cotta’s species Medullosa elegans the petiolar nature of which was suspected by Binney in 1872.
106
| 1832. | Medullosa elegans Cotta. |
| 1865. | Stenzelia Goeppert. |
| 1876. | Myelopteris Renault[279]; |
| 1877. | Aulacopteris Grand’Eury[280]. |
There is a very close agreement in general anatomical structure between the numerous specimens of Myeloxylon from the Permian strata of Saxony and France and the Coal Measures and Millstone Grit of England[281]; the genus is also recorded from the Upper Carboniferous of Kansas[282]. Two well-defined types instituted by Renault are, however, readily distinguished by the form of the hypodermal stereome strands. Myeloxylon may be defined as follows: Oval or cylindrical branched axes, reaching a diameter of 15 cm., bearing pinnae having the characters of Alethopteris, Neuropteris, Odontopteris, and some other genera that were formerly classed as Ferns. Below a single-layered epidermis, in which stomata have been recognised, occur a few layers of parenchyma: this superficial tissue, which is rarely preserved, is succeeded by a hypodermal region consisting of parenchymatous tissue and numerous vertical groups of narrow thick-walled fibres arranged as radial plates or circular, oval, or reniform strands (the Sparganum type of cortex). In the hypoderm as in the ground-tissue generally secretory canals, often accompanied by stereome, are a characteristic feature. The vascular system is represented by a considerable number of collateral bundles scattered through the ground-tissue and especially abundant in the outer region: the bundles sometimes assume a more or less regular disposition in concentric circles. Each bundle consists of a small group of xylem tracheids, for the most part spiral or scalariform, though reticulately pitted elements are by no means rare, with a single protoxylem group on the outer face next the phloem (fig. 420, B, C). As a rule the xylem is wholly centripetal, but occasionally the exarch structure becomes mesarch by the occurrence of a few centrifugal tracheids. The phloem, rarely preserved (fig. 420, B), consists of narrow sieve-tubes with parenchyma, and the bundle as a whole is often partially enclosed by a sheath of fibres.
107
Superficially the anatomical structure is similar to that of the petioles of Angiopteris or Marattia, and both Williamson[283] and Renault placed Myeloxylon in the Ferns; but the collateral form of the vascular bundles, the position of the protoxylem, and the arrangement of the hypoderm tissues, are cycadean features.
This type is characterised by the radially elongated stereome of the hypoderm. Prof. Zeiller[284], who has given a very clear and concise description of Myeloxylon, is disposed to regard Cotta’s Medullosa elegans as a specifically distinct form on the ground that there are two concentric zones of stereome in the hypoderm; 108but this feature is shown only in one of Cotta’s figures, and Weber and Sterzel[285] point out that a doubting of the hypoderm zone may be caused by accidental juxtaposition of two faulted pieces of peripheral tissue. The drawing reproduced in fig. 420, A, shows the structural plan of an unusually large petiole from the Permian of Autun: a portion of the outer tissue is seen in fig. 418, A. The vascular bundle, fig. 420, C, from a Millstone Grit specimen[286], shows the centripetal nature of the xylem and fragments of phloem in the outer half of the bundle, with imperfectly preserved fibres abutting on the xylem. The characteristic hypoderm is shown also in fig. 418, A; the double xylem strand on the left illustrates a common feature caused by the branching of vascular bundles. Several secretory canals are scattered in the ground-tissue. The pinnules of Myeloxylon radiatum, or at least of some specimens, have been shown by Renault to be of the Neuropteris type.
In this species the distinguishing feature is the occurrence of the hypodermal stereome in the form of circular, oval, or reniform strands in place of the radial plates of M. radiatum. It is this form of petiole that was borne by the stems of Medullosa anglica and M. Leuckarti. In M. anglica the pinnules (fig. 420, D) are of the Alethopteris type, almost certainly A. lonchitica. Renault and Zeiller have described French specimens of Myeloxylon Landrioti bearing pinnules like those of Alethopteris aquilina and A. Grandini.
The occurrence of Myeloxylon petioles in the New World was recorded by the late Prof. Penhallow[288] who founded this species on some imperfectly petrified specimens from Upper Carboniferous strata at Topeka, Kansas. Enough material was available to show the Myeloxylon characters, but the preservation is too imperfect to admit of a complete diagnosis. The hypodermal stereome shows a tendency to form tangentially extended strands in place of the more circular or radially elongated groups in the European species.
109
In addition to Alethopteris, Neuropteris (including Cyclopteris) and Odontopteris fronds, which are known to possess rachises with the Myeloxylon features, there is reason to believe that the Permian Callipteris fronds and possibly some of the older Taeniopteris leaves may also belong to Medullosa[289]. It is, however, unsafe to assume that the occurrence of Myeloxylon petioles necessarily denotes the existence of Medullosa. The French stem Colpoxylon aeduense Brongn.[290] bore leaves with the same general anatomical features as those of a typical Myeloxylon, and there can be little doubt that other genera of the Medulloseae also possessed fronds constructed on the same plan as those known to have been borne by Medullosa. An interesting illustration of an injured organ that had produced a wound-cambium is afforded by a Myeloxylon petiole from the Coal Measures described by Mr Holden[291].
Reference was made in volume ii. to the reasons which led to the removal of several genera of Carboniferous and Permian fronds from the Filicales to the Pteridosperms, and in Chapter xxix. of the present volume certain species of Sphenopteris are described as the foliage of Lyginopteris and Heterangium. It is with such genera as Neuropteris, Alethopteris, Linopteris and others that we are now more especially concerned, as they represent some of the types of leaves borne by Medullosa and other members of the Medulloseae. The absence of any specimens among the large number of these common genera bearing undoubted sporangia aroused suspicion as to the correctness of the generally accepted view that these fern-like fossils were the leaves of Palaeozoic Ferns. Subsequently the suspicion based on negative evidence was confirmed by researches into the anatomical structure of the leaf-bases, petioles, and fragments of pinnae attached to and associated with stems of Medullosa. It is only in a few cases that actual organic connexion between reproductive organs and Medullosan leaves has been demonstrated, but from such facts as are established it is safe to make the general statement that stems of Medullosa—a generic term that undoubtedly includes plants 110which, had we a fuller knowledge of them as complete individuals, would be assigned to more than one generic type—possessed fronds simulating in habit those of certain Ferns with some of the pinnae bearing seeds often of considerable size and in all cases of complex structure, agreeing in many respects with those of existing Cycads, while other fronds, or in some cases it may be other pinnae, bore microsporangia similar in form to the sporangia of Ferns.
Several examples of supposed fertile specimens of Neuropteris are recorded in palaeobotanical literature, but it was not until 1887 that any satisfactory specimen was discovered. In that year Kidston[293] described a specimen of Neuropteris heterophylla from the Lower Coal Measures of Scotland in which slender forked branchlets bear small bodies at their tips some of which appear to represent four-valved organs (fig. 421, D), though the imperfect state of preservation renders impossible any definite pronouncement as to their structure. To the specimen are attached a few sterile pinnules, showing that it is a portion of a frond of N. heterophylla characterised by the substitution of reproductive organs for pinnules. The subsequent discovery of seeds attached to pinnae of the same species afforded strong presumptive evidence, almost amounting to proof, of the microsporangial nature of the Scotch specimen. For this specimen, although no precise diagnosis is possible, Dr P. Bertrand[294] has proposed the generic name Neurotheca. In 1911 the Abbé Carpentier[295] described some small ovoid bodies, 1–1·5 mm. long, from the Coal Measures of France arranged in groups of 4 to 6 and in some cases said to be borne on a slender pedicel which he found in association with N. heterophylla and compared with sporangia described by Lesquereux from the Coal Measures of Arkansas as Sorocladus stellata[296]. These supposed microsporangia have recently been assigned by Bertrand[297] to Sphenophyllum.
111
In 1899 Zeiller[298] instituted the name Potoniea for some peculiar fertile leaves found in the Coal Measures of Heraclea consisting of a branched axis with cuneate segments, 7–10 × 6–8 mm., bearing numerous fusiform bodies, 1–1·5 mm. long, at the upper edge (fig. 421, A). These marginal bodies he regarded as sporangia and expressed the opinion that Potoniea may be the fructification of some form of Neuropteris, Mariopteris or Alethopteris. Carpentier[299] afterwards described similar though rather larger examples 112from the Pas-de-Calais coal-field as microsporophyll fragments of some Pteridosperm: he stated that similar specimens had been found by Kidston in England. In a later work Carpentier[300] described the sporangia as crowded in groups (fig. 421, B) in the substance of the thick lamina of Potoniea, and he connected the fertile segments with Neuropteris gigantea, N. pseudogigantea Pot. and Linopteris obliqua (Bunb.). Similar specimens are said to have been found in Holland and Silesia. Bertrand[301] also records the association of Potoniea with Neuropteris gigantea and N. pseudogigantea: he describes some specimens as belonging to N. gigantea Sternb. while others, distinguished only by small differences, he attributes to N. pseudogigantea. Kidston[302] has recently drawn attention to the inconstancy of the characters mentioned by Potonié as distinguishing features of N. pseudogigantea, and he shows good cause for referring the examples so named to N. gigantea. The fertile lamina is almost orbicular in surface-view and attached to a slightly excentric pedicel; the microsporangia are borne on the lower surface and probably in groups as described by Carpentier.
Neuropteris Carpentieri Kidston. Kidston[303] has recently described some fertile leaflets under this name from the Westphalian series of South Staffordshire which he identifies with French examples referred by Carpentier[304] to Potoniea adiantiformis Zeill. The fertile pinnules are thick and sub-cyclopteroid in form; the upper surface bears densely packed, narrow and long, microsporangia, 4 × 0·5 mm., containing more or less spherical microspores 45–60μ in diameter; the ventral face of the lamina on the removal of the spores shows several strong veins. With these are associated sterile pinnules of the Neuropteroid type, and examples are described intermediate between the sterile and fertile leaflets. Kidston believes the specimens to be microsporophylls of some species of Neuropteris, but as the material does not suffice for identification with any known species a new name is proposed. It is pointed out that in some states of 113preservation the leaflets resemble Goeppert’s Permian species Dictyothalamus Schrollianus[305].
No specimens of Alethopteris fronds have so far been described that afford any information as to the nature of the microsporangia, and we have no means of knowing whether they were borne on naked pedicels as in Neuropteris heterophylla, or on modified pinnules as in N. gigantea.
Zeiller in 1888[306] described some fertile pinnules of Dictyopteris Schützii Roem. from Commentry bearing two rows of long sporangia: he subsequently transferred this species to the genus Linopteris[307] and expressed the opinion that the sporangia occur singly and not in groups as he originally believed. Zeiller compares the fertile pinnules with the type Crossotheca. Bertrand[308], as the result of examining similar specimens, has suggested that the fringe of pendulous bodies regarded by Zeiller as sporangia may be tooth-like lobes of modified pinnules which served to protect microsporangia borne on the lower surface of the lamina. The nature of the impressions is not clear, though there is little doubt that they are microsporophylls. The fertile pinnae of Linopteris obliqua (Bunb.) described by Carpentier[309] and Bertrand[310] closely resemble the microspore-bearing organs which have been referred to Neuropteris gigantea; they have the characters of Potoniea and consist of oval laminae similar to the sterile pinnules but about half their size: the lamina was attached excentrically to a slender stalk (fig. 421, C, E) and traversed by numerous occasionally anastomosing veins. No actual microsporangia have been discovered in organic connexion with the lamina.
Kidston’s discovery of undoubted seeds attached to pinnae of Neuropteris[311] marked an important step in our more exact 114 knowledge of the morphology of Medullosan sporophylls. Specimens from the ironstone balls (Coal Measures) of Coseley near Dudley showed seeds attached to portions of pinnae bearing pinnules of Neuropteris heterophylla. The seeds are approximately 3 cm. long and from 1·10 to 1·40 cm. broad; oblong and gradually tapering from the middle to a slightly curved and obtuse apical snout (fig. 422). The outer surface shows numerous longitudinal ribs which no doubt represent hypodermal fibres. The preservation of the seeds, which appear to be circular in section, is not such as to render possible a description of structural features. In their asymmetrical form the seeds agree with the genus Platyspermum as recently defined by Arber, but Kidston’s specimens are in all probability radiospermic. Kidston compares the Neuropteris seeds 115with Rhabdocarpus tunicatus as figured from the Commentry coalfield[312] and with specimens from Gard named by Grand’Eury R. subtunicatus[313].
Additional proof of the occurrence of seeds on Neuropteris fronds is furnished by examples from the Coal Measures of Holland described by Kidston and Jongmans[314]: these seeds are of the same general type as those from Coseley but nearly twice as large, and they were borne at the tips of a dichotomously branched pedicel of Neuropteris obliqua. Grand’Eury in 1904[315] recorded the association of radiospermic seeds with Neuropteris fronds though no case of actual attachment was found. It is, however, noteworthy that he speaks of the frequent association with Neuropteris of seeds characterised by six or rarely twelve longitudinal keels, a feature recalling the sclerotesta of Trigonocarpus and allied seeds. Until petrified specimens are available it is impossible to refer the seeds of Neuropteris to a generic type founded on structural features: the seeds described by Kidston are, as he says, very similar in external characters to species assigned to Rhabdocarpus, and there can be little doubt as to the generic identity of the Neuropteris seeds and some of the impressions referred to Rhabdocarpus which are characterised by a similarity in form, an apical snout that gives an asymmetrical appearance to the specimens and the presence of numerous longitudinal striations[316]. It is, however, by no means certain that these seeds possessed the morphological features of Rhabdocarpus as described by Brongniart in petrified examples from St Étienne[317].
The seeds of Neuropteris may, as Kidston suggests, agree anatomically more closely with Pachytesta[318], a type that Grand’Eury associates with Alethopteris fronds. With a view to avoid the danger of incorrectly identifying petrified specimens and impressions that cannot be proved to belong to the same generic type, I have suggested the restriction of the name Rhabdocarpus[319] 116to seeds that do not furnish evidence as to internal structure, and the employment of the designation Rhabdospermum for seeds that conform to those described by Brongniart as Rhabdocarpus. The seeds of Neuropteris may be of the Rhabdospermum type or they may agree anatomically more closely with Trigonocarpus or Pachytesta; they are members of either the Trigonocarpales or the Cardiocarpales, probably the former group. Dr P. Bertrand[320] assigns to Neuropteris gigantea some seeds of the Hexapterospermum (= Hexagonocarpus[321]) type which occur in association with cupule-like organs. These supposed cupules resemble the Potoniea leaflets with microsporangia also referred to the same species of Neuropteris; they are characterised by a laciniate edge and may be compared with the Indian fossil described by Zeiller as Ottokaria bengalensis[322] (fig. 433). Dr Arber[323] and Dr P. Bertrand[324] have independently proposed the generic name Neurospermum for the seeds of Neuropteris heterophylla and N. obliqua in preference to Rhabdocarpus: the former author speaks of the seeds of N. heterophylla as Neurospermum Kidstoni. The generic term Neuropterocarpus used by Grand’Eury in 1904[325], though not defined by him, has priority and avoids the adoption of a new designation for seeds attached to Neuropteris fronds. In his definition of Neurospermum Arber makes no reference to the obliquity of the apical snout that is clearly shown in fig. 422. There is no evidence that Neuropterocarpus possessed a cupular investment comparable with that of Lagenostoma. Additional instances of the association of seeds with Neuropteris fronds are recorded by Renier from the Belgian Coal Measures, also by Bertrand and Chodat from France: Renier found seeds associated with N. Schlehani Stur and with the same species of frond Bertrand found impressions of oval ribbed seeds. Prof. Chodat[326] has figured some fragments of Neuropteris pinnules referred to N. auriculata Brongn. from the Stephanian of France which show small seed-like bodies apparently in organic connexion with the lamina; but the specimens are too imperfect to afford any 117satisfactory evidence as to the nature of the reproductive organs.
Lotsy[327] has expressed the opinion that the bodies attached to Neuropteris pinnae described by Kidston and other authors as seeds may possibly be vegetative buds, but if this were the case one would expect to find some evidence of the bud-nature in some at least of the specimens that have already been found.
It would seem that the microsporophylls of Neuropteris were constructed on different plans, some being of the type described by Zeiller and other observers as Potoniea, while others bore sporangia on pinnae without any accompanying laminae; but our knowledge of the latter form represented by Kidston’s specimen of Neuropteris heterophylla (fig. 421, D) is very incomplete. On the other hand the seeds appear to have been characterised by features suggesting a close affinity to Trigonocarpus and pointing to membership of the same family.
Although no specimens have been discovered showing actual connexion between fronds and seeds, it is practically certain that Alethopteris leaves, or at least some species of the genus, bore seeds of the Trigonocarpus type. The association of Trigonocarpus Parkinsoni with Alethopteris lonchitica is too frequent to be fortuitous and there is further evidence afforded by certain anatomical resemblances. In France other species of Alethopteris, e.g. Alethopteris Serlii and A. Grandini, occur in association with Pachytesta[328], a large seed similar to Trigonocarpus, and Trigonocarpus is found in the Pas-de-Calais coal-field with Alethopteris Serlii.
The generic name Trigonocarpum was instituted by Brongniart in 1828[329] for ovoid longitudinally ribbed ‘fruits’ from Upper Carboniferous strata, the type-species being named T. Parkinsoni. The generic name is often altered to Trigonocarpon: Williamson[330], 118who adopted this form, states that Brongniart substituted Trigonocarpon for Trigonocarpum in his Tableau[331], but in that work the original termination is used, the form Trigonocarpon, probably the result of a slip, appearing only in the index. In his later work on seeds Brongniart adopted the name Trigonocarpus, and in recent years this has been widely employed. Among other species named by Brongniart are two previously referred by Sternberg to Palmacites. Several examples of Brongniart’s genus were described by Lindley and Hutton, and in their description of T. Noeggerathii the statement is made that a fractured specimen demonstrated that ‘the fossil in its ordinary state is an interior part divested of fleshy covering’[332]; this suspicion of the true nature of the nut-like fossils was afterwards proved correct by the investigations of Hooker and Binney[333] and by the later work of Williamson. The specimens on which the genus was founded are casts of seed-cavities and it is in this state that the seeds are usually preserved, often in large numbers, in the sandstones of the Coal Measures, as in the block shown in fig. 423 from the famous quarry at Peel near Bolton, Lancashire. Another type of preservation is represented by the seeds figured by Lindley and Hutton as Carpolithes alata[334], but the generic identity of the two states was not recognised until the discovery of petrified material afforded the clue. Figs. 424, 1, 425 illustrate the appearance of Trigonocarpus when preserved as a carbonised impression 119showing a thick fleshy envelope enclosing an oval kernel with a hard wall prolonged upwards as a longer or shorter micropyle. Casts of the seed-cavity are represented in figs. 423; 424, 2, 3. The surface of these casts occasionally shows one or more short cylindrical projections which are probably extensions of the sand or mud into holes formed in the testa by boring insects. The view that Trigonocarpus seeds are ‘obviously Palm fruits’ was not accepted by Hooker and Binney who inclined to regard them as the seeds of Conifers and compared them especially with the similar nuts of Ginkgo seeds (cf. fig. 631, C). It was Mr Wild[335] who was first struck by the association of Trigonocarpus and the petioles of Medullosa (Myeloxylon) and by some resemblances in structure between the testa and the hypoderm of the petioles; though, as Scott and Maslen[336] point out, the agreement is not so close as Wild believed, his view of a possible connexion between the reproductive and vegetative organs has been confirmed. Williamson extended our knowledge of the genus by his account of Trigonocarpus olivaeformis Lind. and Hutt., a form that is specifically identical with T. Parkinsoni Brongn. This author also drew attention to the close resemblance between Brongniart’s three genera Trigonocarpus, Hexapterospermum, Tripterospermum and expressed doubts as to the possibility of founding specific differences on casts of the Trigonocarpus type without the evidence of anatomy. Our knowledge of the structure of Trigonocarpus has in recent years been considerably extended by the researches of Oliver, Scott and Maslen, and Salisbury.
The seeds of this species like all examples of the genus are radiospermic, that is radially symmetrical in contrast to the flattened or platyspermic seeds. The complete seed is elongate oval in form when preserved as an impression (fig. 425, A) and reaches a length of 4–5 cm.: the casts of the seed-cavity are ovoid and provided with three prominent ridges (fig. 424, 2, 3). The testa forms a thick covering differentiated into three regions, an outer flesh or sarcotesta, a sclerous shell or sclerotesta, and 120an inner flesh. Transverse sections show that the sclerotesta has three sharp longitudinal keels with corresponding furrows on the inner face, and between each pair of main ribs are 2–3 less prominent ridges, usually 12 in all (fig. 426). The sarcotesta consists of thin-walled parenchyma passing externally into a 121more lacunar tissue with a palisade-like hypoderm: the sclerotesta consists of thick cells which interlace and form an efficient protective shell. Both the sarcotesta and sclerotesta are continued into the apical region as the wall of the long micropyle, the sarcotesta being prolonged beyond the sclerotesta at the apex of 122the integument[338]. The micropyle is triangular in section and may exceed in length the whole seed (figs. 425; 426, A). Its form as seen in transverse section (fig. 426, B) suggests the presence of wings: this appearance may be deceptive and due to pressure or, more probably, it represents an original feature. The seed-body, that is the portion enclosed by the integument, consists of the nucellus, represented by a few crushed layers of cells, bounded by a well-defined epidermis; the nucellus is separated from the integument from the base of the seed upwards, an important feature in which this and some other Palaeozoic seeds differ from Lagenostoma and the seeds of recent Cycads which are characterised by an integument adnate to the nucellus up to the level of the shoulder; the seeds of the Conifer Phyllocladus afford an example of separation of integument and nucellus as in Trigonocarpus. The innermost layer of the nucellus consists mainly of tracheal tissue investing the large megaspore (fig. 426, A, C, m) which is preserved as a contracted membrane detached from the nucellus after the death of the seed. At the summit of the nucellus is a relatively small pollen-chamber (fig. 426, A, Pc) like a broad and low cupola bearing a terminal beak which extended some distance into the micropylar tube. No microspores have been found in this species, but Oliver[339] records the occurrence of multicellular microspores in Trigonocarpus pusillus. The pedicel of the seed had a central strand of sclerous tissue penetrated by a concentric vascular bundle which gives off six strands to supply the sarcotesta (fig. 426, C, v) and then passes into the nucellus where it forms a tracheal sheath (fig. 426, A, nt) surrounding the lower part of the megaspore and at a higher level breaks up into anastomosing strands of tracheids which reach up to the plane of insertion of the pollen-chamber.
A second species described by Scott and Maslen as Trigonocarpus Oliveri has been further investigated by Salisbury who finds that it is an 8-angled seed which cannot be retained in the genus Trigonocarpus: its systematic position ‘must for the present remain uncertain[340].’ Dr Arber has recently described a new species of Trigonocarpus, T. Moyseyi[341], from the Nottingham Coal-field 123(Middle Coal Measures), similar to T. Parkinsoni but much broader in proportion to its length: this species is founded on an impression without structure.
The species Trigonocarpus Dawesi Lind. and Hutt.[342], from the Middle Coal Measures of Lancashire, was founded on casts differing in their large dimensions from those of T. Parkinsoni: specimens referred to this species were described by Fiedler[343] from Saxony in 1857 and Lesquereux[344] figures similar casts from the Upper Carboniferous and Permian rocks of North America.
This species, founded on specimens from the Lower Coal Measures of Shore, Lancashire[345], may exceed 4 cm. in length and has a breadth of 2·5 cm. In general plan it agrees with T. Parkinsoni but there are certain well-marked differences: the micropyle is much shorter; the thick sarcotesta, attaining a breadth of 6 mm. at the base of the micropyle, is characterised by the presence of six peripherally placed vascular bundles (fig. 426, D, v) in contrast to the deeply embedded bundles of T. Parkinsoni. Below the epidermis of the sarcotesta is a hypoderm formed of radially disposed plates of sclerous tissue similar to that of Myeloxylon and different from the palisade-like hypoderm of the type-species. Within the sarcotesta is a hard shell, the sclerotesta, characterised by three prominent ribs extending from base to apex and three shorter ribs which reach from the chalaza to about a third of the length of the seed. The fact that the sarcotesta and sclerotesta pass gradually into one another is a point in favour of the view that the integument is a single structure. There appears to be good evidence of the restriction of an inner flesh to the micropylar region, whereas this tissue in T. Parkinsoni was probably continuous over the whole inner face of the sclerotesta. The sarcotesta is lacunar in its outer part as in some other types of Palaeozoic seeds, a feature probably connected with floating efficiency. Trigonocarpus shorensis occurs in association with Myeloxylon petioles, and there is a resemblance between 124the seed and the vegetative organs in the structure of the hypoderm as also in the structure of the secretory sacs which are particularly numerous in this species. Salisbury draws attention to the close resemblance between the form of T. shorensis and the seeds found in organic connexion with pinnae of Neuropteris obliqua[346].
The species T. corrugatus described by Renault[347] bears a close resemblance to T. shorensis.
Other Genera founded in part on Reproductive Organs which may belong to the Medulloseae.
Codonotheca, Schützia, Whittleseya, Dolerophyllum, Ottokaria, Strobilites.
Codonotheca caduca Sellards. This genus was founded on some spore-bearing bodies from the Coal Measures of Illinois[348]: nothing is known as to the plant which bore them, but Sellards is inclined to associate them with Neuropteris decipiens Lesq.[349], a species abundant in the same coal-field. Whatever may have been the parent-plant it is probable, as the author of the genus believes, that Codonotheca is the microspore-bearing organ of a Pteridosperm. As shown in fig. 427, 5, the form is that of a stalked cup consisting in the basal portion of a stout axis, the peripheral tissue of which is believed to have been fleshy, containing an axial rod of conducting tissue running up to the floor of the cup, c, and then dividing into six vascular strands, each of which forks into two branches. The upper part is composed of six linear segments united basally to form the sloping surface of the cup. On the inner face of each segment is a more or less well-defined depression covered with large elliptical spores ·29–·31 mm. long by ·18–·19 mm. broad (fig. 427, 6, 8). The presence of a median ridge (fig. 427, 8) indicates a bilateral origin. ‘There is no grouping of the spores or other indication of the location of the sporangia, which were doubtless more or less completely immersed in the tissue, the dividing wall disappearing at maturity.’ The spores 125are seen in fig. 427, 2, 3, on the inner face of the lobes. Some of the specimens have a fairly long pedicel: in the example shown in fig. 427, 1, the fleshy part of the basal portion is not preserved, only the more resistant vascular core. In a later account of these organs Sellards speaks of several lying by the side of a central stalk to which he thinks they were originally attached by slender pedicels. In view of Dr Benson’s interpretation of the morphology of Telangium it is permissible to suggest that if a central sporangium in such a synangium as that of Codonotheca developed a megaspore and the peripheral sporogenous lobes were sterilised, the result would be an arrangement not unlike the apical region of the seed Physostoma, the tentacles of which have been homologised with the canopy of Lagenostoma. There are obvious difficulties in the way of this, perhaps strained, comparison: the larger size of the spore-bearing linear segments of Codonotheca 126led Sellards to regard each as a synangium rather than a single sporangium. But precise information as to the structure of the American fossils is not as yet available. If the association of Codonotheca with Neuropteris fronds has any significance it would favour a reference of these organs to the Medulloseae. In the absence of anatomical data it is impossible in some cases to distinguish microspore-bearing organs of the Codonotheca type from small seeds enclosed in a lobed cupule or even seeds with a lobed integument: a case in point is the New Brunswick species Pterispermostrobus bifurcatus Stopes[350].
A Spitzbergen, Culm, fossil recently described by Nathorst[351] as Codonotheca (?) pusilla is briefly referred to under the genus Pterispermostrobus.
This generic name was instituted by Geinitz[352] for some Permian fossils obtained by Bergmeister Schütz and regarded by the author of the genus as probably fertile branches of some Conifer. A more complete account was published by Goeppert[353] in his ‘Permian Flora,’ where the name Anthodiopsis Beinertiana occurs on the Plates, printed before the publication of Geinitz’s description, but in the text the specimens are referred to Schützia anomala.
The type-species, recorded from Bohemia and Silesia, is represented by fertile shoots consisting of a thick main axis bearing apparently two-ranked though probably spirally disposed short lateral branches, each of which terminates in a receptacle with numerous crowded linear-lanceolate bracts superficially resembling a partially expanded inflorescence of a Composite. Goeppert believed that the branches bore seeds and he refers to this species a number of detached, longitudinally striated and bluntly terminated, seeds. The same author describes other specimens from 127the same localities associated with Schützia anomala, which he names Dictyothalamus Schrollianus[354]: in habit these agree closely with Schützia but the receptacles, the reticulate appearance of which suggested the generic name Dictyothalamus, bear a large number of small bodies regarded as seeds. The preservation of the fossils is not such as to enable us to determine their true nature but it is probable that Schützia and Dictyothalamus are not generically distinct. In his description of Dictyothalamus Goeppert suggests that the two associated types may be the male and female shoots of one plant, but he speaks of seeds in both cases. Schimper[355], who unites Dictyothalamus with Schützia, regards the latter as female and the former as male.
This species, described by Kidston[356] from the Calciferous series of Scotland, differs from S. anomala in its much more slender axis and in the relatively narrower and less globular clusters of bract-like appendages. The principal axis bears three lateral branches with terminal clusters of acute and narrow linear scale-leaves. No seeds were found in association with the specimens.
Renault founded this Permian species as Antholithus permiensis[357] on a specimen from Lodève; it consists of an incomplete inflorescence 6·4 cm. long bearing four lateral branches with stalks 1·5 to 2 cm. long terminated by clusters of small oval bracts 5 mm. long. Renault compares the fossil with the recent Conifers Glyptostrobus and Tsuga, but it exhibits a much closer resemblance to Schützia anomala.
The genus Schützia, originally described from Permian strata, is recorded also from Westphalian strata in North Africa[358] as well as from Lower Carboniferous rocks in Scotland. The data at present available are insufficient to determine the morphological nature of the fertile branches: the evidence adduced by Goeppert in support of the occurrence of seeds is not convincing and the 128interpretation of the bract-like appendages is still an open question; they may have formed a cupular investment to seeds, but in the Scotch species the general appearance rather suggests that they may be microspore-bearing organs comparable with those of Codonotheca[359]. There are no adequate grounds for supposing Schützia to belong to the Coniferales, a view advanced by some authors; it is much more likely to represent the fertile shoots of a Pteridosperm.
The genus Whittleseya, referred by many authors to the Ginkgoales, has no substantial claim to be regarded as allied to that group: its position is still uncertain, but the recent discovery of fertile specimens suggests the probability of a relationship to Potoniea and an identification of Whittleseya as another form of microsporophyll of a Pteridosperm.
The generic name was given by Newberry[360] to some leaves, or possibly leaflets, originally described by C. Whittlesey from 129the Coal Measures of Ohio. Whittleseya is represented by species from several North American localities[361] in Ohio, Pennsylvania, Arkansas, Nova Scotia, and New Brunswick[362]; it occurs in Silesia and has recently been found in the English Coal Measures[363]. The genus is confined to Upper Carboniferous strata.
The leaves are fairly thick; the lamina is oblong, cuneate, broadly triangular or linear, usually rounded and truncate (fig. 428, A, C), generally dentate at the distal end, the proximal portion being gradually or abruptly contracted and occasionally prolonged into a short pedicel. The veins or ribs are parallel to the sides of the lamina and except near the base unbranched.
The type-species, from North America and Europe, is characterised by its shovel-like lamina from 3 to 6 cm. long closely resembling in shape some lepidopterous scales; the surface is ribbed, each rib corresponding to a tooth on the distal margin; on each of the parallel ridges are 4–5 longitudinal lines indicating either veins or stereome strands (fig. 428, A, C). The examination of preparations made by Dr Kidston from a leaflet of this species enables me to add a few facts with regard to the microspores. The spores, which cover almost the whole surface of the lamina, show a tendency to a more or less definite arrangement in longitudinal rows. Two types of cuticularised membrane are represented among the associated fragments: in some pieces of cuticle the cells are short and have straight walls while in others the preservation is inferior and the cells appear to be longer and narrower. One or both of these membranes probably belong to the sporangia. The oval slit, which is a striking feature on several of the spores (fig. 429), points to their bilateral nature and dehiscence along the major axis. A comparison of these spores with those obtained by Kidston from the English species Whittleseya fertilis reveals a very close agreement both in size and shape and confirms the identification of the Staffordshire specimens as leaflets of Whittleseya. The large size of the microspores and the gaping oval aperture in some of them are features 130in which they agree closely with the spores of Dolerophyllum fertile described by Renault[364]. In both cases the spores tend to be arranged in long groups and they are practically identical in form and in the nature of the exine; those of Dolerophyllum are 280μ long while those of W. fertilis reach a length of 220μ. In some of the Whittleseya spores the exine has split as in the specimen shown in fig. 429, but in others there are two curved lines along which dehiscence has begun, a character in which the spores appear to be identical with those of Dolerophyllum described by Renault who speaks of dehiscence by means of an operculum. There is, I venture to think, little doubt as to the very close affinity of the two types. The systematic position of Dolerophyllum is not certainly established; if the generic identity of the leaves described as D. Berthieri Ren. and the petrified specimens named D. fertile is assumed, it is a legitimate inference that the genus is founded on fertile pinnules of a Pteridosperm with foliage of the Neuropteris or Cyclopteris form. It would seem probable that both Whittleseya and Dolerophyllum 131fertile are microspore-bearing leaflets of Pteridosperms, possibly of some Medullosan plants. The leaflets of Whittleseya agree in form fairly closely with those of Potoniea adiantiformis Zeill. described on a previous page[365] as the male organs of a Pteridosperm.
The specimens described by Lesquereux from Pennsylvania as W. integrifolia and W. undulata are less satisfactory than W. elegans. The Arkansas species W. microphylla[366], characterised by the obcuneate form of the lamina, is said to occur not only as detached leaflets but in loose bunches at the ends of slender axes, a circumstance favourable to the suggestion, based on the recently described English specimens, that the Whittleseya leaves may be fertile pinnules of a Pteridosperm frond. Among other species attributed to Newberry’s genus is W. brevifolia Wh. from Nova Scotia[367] with much smaller broadly triangular leaves 7 mm. long exclusive of the petiole and 8 mm. broad at the distal end (fig. 428, B). Dr Matthew[368] has also described a Canadian species W. concinna from New Brunswick in beds assigned by Dr Stopes[369] to the Westphalian series.
Since the discovery of Whittleseya elegans in the Coal Measures of Staffordshire recorded by Mr Thomas, Dr Kidston has published an account of some specimens from the same district under the name Whittleseya (?) fertilis[370]: these consist of smaller cuneate scale-leaves or leaflets 1·4–2·4 cm. long and 8–9 mm. broad; the lamina has a dentate upper margin and is longitudinally ribbed. The scales occur in superposed pairs, closely fitting but not organically connected, at least in the state in which they are preserved; each pair forms a sporangium-like case enclosing numerous spores but the actual sporangia or synangia have not been preserved. Kidston describes the spores as 210–222μ in length, elliptical, and characterised in many cases by an oval slit; they are practically identical with the microspores of W. elegans.
132
This name was proposed[371] primarily for a large ovoid petrified bud composed of rolled Cyclopteroid leaves from Permian rocks in the Ural Mountains, which had been previously described by more than one writer under different names and regarded as a young shoot of a Palm or other Monocotyledon. Eichwald[372], who published good drawings, called the fossil Noeggerathia Goepperti. Saporta connected with this species some leaf-impressions from the Permian of Bohemia described by Goeppert[373] as Noeggerathia cyclopteroides: in his family Dolerophylleae[374] the French author included other leaves which are probably not closely related to the type-species, Dolerophyllum Goepperti. The Dolerophylleae are spoken of by Saporta and Marion[375] as Progymnosperms. Before the publication of Saporta’s note Grand’Eury had instituted the genus Doleropteris[376] and the family Doleropteroideae; in the former he included several forms of leaves agreeing generally with Goeppert’s Noeggerathia cyclopteroides. Zeiller[377] adopts Grand’Eury’s designation for the Russian fossil in preference to Dolerophyllum, a choice justified by considerations of priority; but the latter name is retained in this account as it was assigned by Saporta to the specimen of greatest botanical interest, namely Dolerophyllum Goepperti, and because it does not suggest affinity to Ferns.
The type-species is from the Zechstein of Orenburg in the Urals and no specimens having precisely the same structure have been found elsewhere. Eichwald assigned it, with leaf-impressions of various kinds, to the Noeggerathieae and named it Noeggerathia Goepperti: it had previously been described by Kutorga[378] as Aroides crassispatha and Unger[379] included it among the Palms as Palaeospathe aroidea. The species has been described also by Saporta and Marion and by Renault[380]. The following account is 133based on sections cut from a specimen in the British Museum[381] which, though assigned on the label (within a query) to France and named Dolerophyllum Berthieri, is undoubtedly Eichwald’s species from East Russia.
The specimen (fig. 430) is 9 cm. long and 4·2 cm. broad: at the slightly contracted and broken base is a piece of immature axis (fig. 430, B, a) 12 mm. in diameter overtopped by a mass of closely packed leaves encircling one another like the bulb-scales of an Onion (fig. 430 A, C)[382]. Most of the leaves included in the bud were attached to the axis below the broken base. The curved, dichotomously branched, veins are seen on some of the pieces of lamina on the surface of the bud (fig. 430, A). The considerable breadth of the leaves is demonstrated by the longitudinal and transverse sections. In fig. C most of the laminae can be traced through the whole height of each of the steep-sided arches: a few overlapping margins are seen in fig. D. The veins are for the most part imperfectly preserved and appear as clear 134spaces at regular intervals in the brown mesophyll. The axis of the shoot consists of homogeneous parenchyma except near the sloping sides where narrow dark bands (fig. 430, B, a) mark the position of desmogen-strands of thin-walled elongated elements representing an early stage in the development of vascular bundles some of which have already produced spiral tracheids. Short secretory cells accompany the immature conducting elements. The lamina slightly exceeds 2 mm. in thickness in the broadest part: the mesophyll is composed of large parenchymatous cells 135of elliptical or spherical form often loosely attached owing to the well-developed system of intercellular spaces. The lower epidermis, assuming that the outer face of the rolled leaves is the morphologically lower surface, forms a uniform layer of palisade cells characterised by their free conical ends (fig. 431, A, B, e) which in some oblique sections appear as sharply pointed papillae with almost filiform apices; but while the cells were doubtless papillose like those of the epidermis of a velvety petal, the pointed form is due in part to the greater distinctness of the dark contents as compared with the lighter cell-walls. The upper epidermis is much less distinct; it consists of smaller flattened cells with occasional stomata. Renault[383] figures a specimen with stomata in a better state of preservation. The vascular bundles are rendered conspicuous by large secretory cells on the lower side, in the larger veins in the form of an arc or irregular group (fig. 432, A), but in the finer veins as single cells (fig. 431, A, B). These sacs resemble the tannin cells accompanying the veins in a leaf of Ginkgo (cf. fig. 631, G). The xylem-elements are of two kinds, (i) elongated spiral and scalariform conducting elements, forming a vertical plate of a few rows in the larger veins (figs. 431, 432) or a small compact group in the more slender veins (fig. 413, A, B); (ii) much larger isodiametric cells with reticulate or spiral thickening resembling the transfusion-tracheids of Conifers or, perhaps more closely, similar elements in the leaves of Lepidodendron. These short tracheids are especially abundant on the flanks of the conducting tracheids (figs. 431, t; 432, A, t), but they sometimes form a complete investment. In the obliquely cut vein reproduced in fig. 431, D, the transfusion-tracheids are abundant: a few are enlarged in fig. 431, E. In the smaller veins (fig. 431, A, B) they are represented by the larger elements, t, on the sides of the conducting strands. The protoxylem lies close to the upper edge in the middle line (px, figs. 431, A; 432, A); it is difficult to determine its precise position, but it would seem to be slightly internal, the bundle being not quite endarch. No phloem was recognised in the British Museum specimen, but it presumably occurred, if present, where the black patch is shown 136in fig. 432, A. Renault describes some phloem in sections which he examined.
The mesophyll next the upper surface is in most cases represented by spaces between the veins which give a crenulated outline to the parenchyma (fig. 430, C, D); in some places the spaces contain remains of very loose and crowded cells suggesting the original presence of very lacunar tissue or possibly of thin-walled storage-cells. The confinement of stomata to what is assumed to be the upper surface may, as Renault and others have suggested, indicate leaves which floated on water, an inference opposed to the view that the gaps in the mesophyll mark the position of water-tissue.
No specimens have been described which enable us to correlate with certainty mature leaves or foliage-shoots with the petrified bud. It is, however, not improbable that the impression from Mount Pelé near Epinac named by Renault Dolerophyllum Berthieri[384] may be correctly referred to the same genus. The type-specimen consists of an axis, whether a rachis of a compound leaf or a shoot with simple leaves cannot be determined, bearing partially overlapping more or less orbicular leaves 18–20 cm. in diameter, with a Cyclopteris venation. Among other leaves of unknown affinity referred to the same genus attention is drawn to Dolerophyllum pseudopeltatum (Grand’Eury)[385] with an orbicular lamina reaching in some specimens 22 × 19 cm. Specimens of Dolerophyllum pseudopeltatum are figured by Renault from the Commentry coal-field[386], some of which reach a diameter of 12 cm. The only British specimen of a leaflet of this type which I have seen is one in Dr Kidston’s collection from the Stephanian series, Glamorganshire. It is probable that some at least of the impressions assigned to Dolerophyllum or Doleropteris would be more appropriately included in Cyclopteris or Cardiopteris and may have been borne on the axis of large Pteridosperm fronds. Grand’Eury[387] has also called attention to the difficulty of distinguishing the larger Cyclopteris leaflets from Dolerophyllum. Some 137of the Cyclopteroid leaflets figured by Roehl[388] on Neuropteris fronds differ but slightly from those of D. pseudopeltatum. The shoot showing large leaf-scars figured by Saporta and Marion[389] as probably the axis of a Dolerophyllum may well be a piece of Cordaites.
Certain problematical fossils found in association with the sterile leaves of Dolerophyllum Berthieri have been described by Renault as the male organs of that species. These are elliptical discs, 6 × 5 cm., with an excentrically placed stalk: embedded in a carbonised lamina are numerous rows of elliptical bodies, 138410μ × 280μ, characterised by two curved longitudinal grooves on the surface and regarded by Renault as pollen-grains. The chains of these microspores radiate outwards from the neighbourhood of the stalk and cover most of the surface of the disc (fig. 432, B). Some silicified pieces of similar spore-bearing discs from Grand’ Croix named Dolerophyllum fertile[390] afford additional information as to these remarkable reproductive organs. The earlier account of this species by Renault is confirmed by Solms-Laubach[391] who examined the original sections. The peltate fleshy discs preserved as incomplete specimens consist of lacunar parenchyma 15–18 mm. thick traversed at right angles to the surface by numerous loculi (fig. 432, C), circular or oval in transverse section, containing large numbers of microspores, s, similar in size and form to those on the carbonised discs of the Mt Pelé specimen. Vascular strands occur between and parallel to the spore-chambers. The spores contain 8–10 cells (fig. 432, D) and Renault believes that dehiscence of the exine occurred along the two deep grooves which mark the limits of an operculum. He emphasises the peculiar structure of the microspores by speaking of them as prepollinia: in size and in the presence of internal cells (? male prothallus) they resemble the spores found in the pollen-chamber of a seed described by Renault as Aetheotesta elliptica[392] which he thinks may belong to a member of the Dolerophylleae. It has also been suggested that Codonospermum may be a seed of Dolerophyllum[393]. An unconvincing specimen described by Saporta and Marion[394] as a seed-bearing bract is regarded by them as referable to Dolerophyllum, but the evidence for any connexion is far from satisfactory.
There is nothing definite to be said with regard to the affinity of Dolerophyllum Goepperti or the microsporophylls represented by D. fertile and the specimens associated with D. Berthieri. Renault considers that both sterile and fertile specimens belong to the same genus, which he assigns to a position between Pteridophytes and Cycads. As Solms-Laubach says, the evidence supplied by the structure of the veins of D. Goepperti in favour of a 139cycadean alliance is not convincing. The type of vernation is unlike that of any known Cycad or indeed of any Gymnosperm: the large size of the leaves is another though weaker objection to this comparison, as the pinnae of Bowenia (fig. 391) and especially those of some species of Zamia (fig. 388), are of equal or larger dimensions. If, as seems probable, the xylem-strands are mesarch that is a point of contact with recent Cycads, but the bundle as a whole bears but a remote resemblance to that of a cycadean leaf and is much more like the veins of Ginkgo. The bud shown in fig. 430, A, is probably a young shoot and not merely a large compound leaf. If it were an unexpanded frond of Neuropteris bearing Cyclopteris pinnules we should expect to find indications of scattered desmogen-strands such as would occur in the Myeloxylon type of rachis. The resemblance to most forms of Cordaites is by no means close though a few leaves referred to that genus (e.g. C. circularis, fig. 468, B) are similar to those of Dolerophyllum[395].
The male organs are unlike those of any other plant: they may be described as sporophylls with microsporangia or perhaps synangia embedded in the mesophyll and containing microspores similar to those of some Pteridosperms or true Gymnosperms. Attention has been called to the close resemblance of the spores shown in fig. 432, C, D to those recently discovered by Kidston and referred to the genus Whittleseya (fig. 429), and it is very probable that the striking similarity is an index of affinity.
Ottokaria bengalensis Zeiller. A specimen of doubtful affinity from the Lower Gondwana (Karharbari beds) of Passerabhia, India, was originally described by Zeiller[396] as Feistmantelia bengalensis, but in a postscript he substituted the name Ottokaria on the ground that Feistmantelia had previously been employed by Lester Ward. Fig. 433 is drawn from the original specimen: it consists of a stalk attached in a slightly excentric position to an almost orbicular lamina, 2·5 cm. in diameter, with subacute marginal teeth and traversed by numerous radially disposed 140striations. Zeiller compares the fossil with Whittleseya elegans and Rhipidopsis ginkgoides and assigns it with some hesitation to the Salisburieae. An examination of the type-specimen led me to form the opinion that it may be a cupular organ of a Pteridosperm that enclosed a seed. The lamina is slightly concave and has the form of a shallow cup; moreover the surface-features resemble those of a bract rather than the regularly veined lamina of a foliage-leaf. The specimen bears a very close resemblance to one figured by Bertrand[397] as the cupule of Hexapterospermum modestae which he connects with fronds of Neuropteris gigantea.
Ottokaria occurs in association with fronds of Glossopteris indica and with the large seeds described by Zeiller[398] as Cardiocarpus indicus. I have lately obtained some evidence in favour 141of assigning Feistmantel’s seeds Carpolithes Milleri[399] to the genus Glossopteris: among several specimens from the Lower Gondwana rocks of India I found an example showing a seed partially covered by a scale-leaf in its natural position which appears to be identical with scale-leaves of Glossopteris. It may be that the specimen represented in fig. 433 belongs to Cardiocarpus indicus, though this is a mere guess: my belief is that Ottokaria is a cupular organ that enclosed the base of a seed borne on a Pteridosperm. There is little doubt that as additional data are obtained it will be found that Pteridosperms played no inconsiderable part in the vegetation of Gondwana Land.
This species, from the Permian of France, was placed by Renault in Cycadospadix[400], but having regard to the fact that it differs essentially in habit from Mesozoic examples of that genus the provisional name Strobilites[401] is suggested. The type-specimens are long and narrow spikes or loose strobili, 8–16 cm. long and 2–2·6 cm. broad; a stout axis bears spirally disposed bracts 8–10 mm. long attached by a slender decurrent pedicel expanded distally into a fan-shaped laciniate lamina with a convex upper 142face, and there are said to be two seeds attached to the sides of each pedicel (fig. 434). The oval seeds appear to be platyspermic and resemble Samaropsis fluitans Daws. Two of the strobili figured by Renault are attached at right angles to a second axis, a habit suggesting comparison with that of a large compound frond. Renault is inclined to regard these fertile shoots as cycadean and suggests a possible connexion with the Permian stems Ptychoxylon or Poroxylon, both of which are known to have produced fairly numerous branches. In habit the spikes are similar to some of the longer examples of Cordaianthus, but their preservation is not sufficiently good to afford accurate information as to the relation of seed to sporophyll. Strobilites Milleryensis is, perhaps, more likely to be the fertile branch of a compound frond of a Pteridosperm, and it is significant that the seeds have been found in association with Callipteris leaves.
Colpoxylon aeduense Brongniart. The genus was founded by Brongniart[402] on a piece of stem 15 cm. in diameter from the Permian of the Autun district and regarded by him as a distinct type, with certain resemblances to recent Cycads. A thick section in the British Museum, 13 cm. in diameter (fig. 435, A), illustrates the main anatomical features described by Renault[403], to whom our knowledge of the genus is chiefly due. There are two large steles of irregular outline closely resembling those of Medullosa Leuckarti (cf. fig. 416, H); each consists of a band of secondary xylem with broad medullary rays and a narrow zone of phloem enclosing a central region composed of parenchyma, in which strands of primary tracheids, both reticulate and spiral, pursue a more or less horizontal course, associated with a few small groups of vertical xylem-strands at the inner edge of the secondary wood. The manoxylic nature of the wood is clearly shown in fig. 436; the continuous ink-line marks the position of the cambium and the dots show the internal protoxylem. Homogeneous parenchyma surrounds the steles and beyond this is crushed tissue containing large secretory canals and nests of stereome 144fibres either as separate groups or in contact with the canals (fig. 435, C). In the same peripheral tissue occur scattered collateral vascular bundles (fig. 435, D) identical with those of Myeloxylon. The outer cortex of the stem is marked off from the more homogeneous inner region by a fairly distinct line where there is some indication of periderm. The anatomical features are clearly shown in fig. 436, a photograph from a section in Dr Kidston’s collection. At a is an imperfectly preserved vascular bundle with a crescentic group of secondary xylem which is probably a leaf-trace that has just emerged from the secondary cylinder. Renault speaks of these more or less circular strands as possibly connected with reproductive shoots, but it is more probable that they are homologous with the strands in the pericycle and inner cortex of Medullosa and represent leaf-traces before division into smaller collateral strands. Renault describes the stem as possessing seven vascular cylinders in the apical region and suggests branching of the main axis as the cause of the increase in number: there is, however, no evidence to support such correlation. The two steles seen in fig. 435, A, become merged at a lower level into a single stele of sinuous form (fig. 435, B).
Beyond the facts furnished by the leaf-trace bundles in the outer cortex and the occurrence of two large scars about 5 cm. in breadth on a stem figured by Renault, we have no positive information as to the form of the leaves or the structure of the reproductive organs. There is little doubt that the fronds were large and compound like those of most species of Medullosa. There is, however, some slight evidence that Alethopteris Grandini Brongn. and seeds of the Pachytesta type (fig. 497) were borne on Colpoxylon stems; this rests solely on the association in the Loire coal-basin[404] of Alethopteris fronds with stems presenting structural resemblances to Colpoxylon aeduense.
The striking resemblance between Colpoxylon and Medullosa Leuckarti has led certain authors[405] to propose the substitution of 145Medullosa for Colpoxylon. The resemblances though close are hardly sufficient to warrant this course. In Colpoxylon the stelar system is simpler; there is no central region with star- or plate-rings as in Medullosa Leuckarti but, as in Medullosa anglica, the vascular tissue consists only of large steles without a medullary system. Colpoxylon differs from M. anglica in the reduction in some parts of the stem of the vascular system to a single stele and, moreover, the primary portion of the steles is much more parenchymatous in structure and contains more irregularly anastomosing tracheal strands than is the case in M. anglica.
The alteration in the pattern formed by the vascular system at different levels in some Medullosan stems, especially in Colpoxylon, may be compared with the varying disposition of the vascular strands in the thick dorsiventral rhizomes of Polypodium heracleum Kunz. and P. quercifolium L. In the rhizome of P. heracleum there are two vascular systems, an outer, cortical, system in the form of a hollow cylinder composed of a lattice-work with polygonal meshes from which branches are given off to the roots, and a more complex medullary system that is concerned with the emission of leaf-traces. As shown by a series of drawings reproduced in an account by Klein[406] of the anatomy of these species of Polypodium, the inner system of steles consists of two cylinders connected towards the upper surface of the stem by a rounded arch of vascular strands; nearer the leaf-base the two cylinders meet and eventually a larger cylinder is produced partly from the upper halves of the two cylinders of the previous section and in part from the connecting arch: the remains of the two smaller cylinders become connected with the outer vascular system. These and other changes suggest comparison with Colpoxylon as also with the stelar changes in the stem of Ptychoxylon. The comparison cannot be carried beyond the grosser features and is chiefly interesting as affording a further illustration of a similarity in plan between some recent Ferns and extinct Pteridosperms and other Palaeozoic genera.
146
Rhexoxylon africanum Bancroft. The genus Rhexoxylon was instituted for a new type of stem represented by a single incomplete specimen from the Karroo series of South Africa: its precise geological horizon is not known but it may be referred provisionally to the lower or Palaeozoic portion of the series. Though our knowledge of the morphological features of the type-species is far from complete owing in part to the method of preservation of the specimen and in part to the destruction of the outer portion 147of the vascular tissue and the whole of the cortex, Miss Bancroft’s careful description[407] demonstrates the existence of characters which justify the employment of a new generic name. Rhexoxylon is more nearly related to the Medulloseae than to any other group and is particularly interesting as the first recorded example of this group from the Southern Hemisphere.
Fig. 437 shows a transverse section (7 × 5 cm.) of the stem. The ground-tissue consists of fairly large-celled parenchyma with sclerous nests and a few bands of periderm. At the periphery of the stem are radially disposed groups of vascular tissue varying in size and to some extent in shape. Unfortunately the stem is incomplete and it is impossible to say how much vascular or other tissue originally existed beyond the present corroded edge. The vascular groups, or steles as they may legitimately be called, follow a vertical course through the length of the block (6·5 cm.) and afford only slight evidence of branching or anastomosing. A close examination of the steles shows that they consist of portions of two series, an inner and outer set; there is also a curved vascular band in the central ground-tissue (fig. 437, c) and some isolated and scattered patches of vascular elements. Each stele of the inner series is made up of two parts, an outer smaller and normally orientated group of secondary xylem and a larger inversely orientated inner group of identical structure. A single stele of the inner series is shown in fig. 438, B, C; the larger inner portion consists of slightly divergent rows of tracheids and uniseriate medullary rays and is separated from the smaller portion by a narrow space, a, occupied by crushed tissue which may correspond to the ‘partial pith’ or primary xylem of a Medullosan stele. The two groups of xylem are no doubt the products of two cambium arcs, the protoxylem of each group being situated on the flat inner face. The cambium and phloem are represented only by crushed brown cells on the curved outer edge of the xylem. The separate individuality of the two portions of each stele is indicated not only by the presence of the ‘partial pith’ but by the discontinuity of the tissue at the ends of the narrow space. The tracheids seen at b, fig. C, are in oblique longitudinal section and are probably being detached to form a leaf-trace. This type of stele may be 148compared with the steles of Medullosa Solmsi (fig. 416, L) but those of Rhexoxylon differ in the lack of continuity of the secondary xylem round the narrow band of crushed primary xylem. The other steles of the inner ring exhibit the same dual nature though with local modifications. In the stele seen in fig. 438, B, there is a close approach to a continuous cylinder of secondary xylem especially on the right-hand side. External to the inner series are several portions of normally orientated secondary xylem-groups (fig. 437): these probably represent a second series of steles separated from the inner series by a narrow crushed arc of tissue on which the protoxylem strands of the outer groups abut. The xylem of the outer steles agrees in its normal orientation with the outer and smaller part of the inner steles and, as there is no accompanying group of inversely orientated xylem corresponding to the larger mass of secondary xylem of the inner series, the outer strands are designated partial steles. The central stele consists of two curved irregular bands composed of vertically and obliquely running tracheids: the central part of this stele consists of crushed tissue that probably represents primary xylem like that between the two parts of each of the peripheral steles.
Rhexoxylon differs from the usual Medullosan type in the structure of the secondary xylem which is composed of tracheids with an Araucarian form of pitting: there are usually two alternate rows of contiguous pits (fig. 438, A) and occasionally one or three rows. The medullary rays are uniseriate and 3 to 15 cells in depth, a feature characteristic of coniferous wood and not of the wood of the Medulloseae.
149
In the absence of more complete information as to the anatomical structure of this stem and of all information as to the leaves or reproductive organs it is impossible to fix with precision the systematic position of the genus. It is, however, clear that Rhexoxylon is closely connected with Medullosa in certain features though in the structure of the wood it exhibits important peculiarities. The imperfectly known stem Cladoxylon Kidstoni[408] shows a fairly close agreement with the African plant in the form of the steles (fig. 460) but the pitting is scalariform.
The generic name Sutcliffia was given by Dr Scott[409] to a peculiar type of stem from the Lower Coal Measures of Shore, Lancashire, in recognition of the valuable services rendered to Palaeobotany by the late Mr W. H. Sutcliffe, the owner of the colliery from which several new types of plants have been obtained. Two stems are recorded, the type-specimen and a more recently discovered stem, also from Shore, described by Miss de Fraine[410], which differs in several particulars from Dr Scott’s species. In view of the well-marked peculiarities of the second stem it is convenient to speak of it as forma β instead of including it without a distinctive epithet in Sutcliffia insignis. We know nothing of the reproductive organs of the genus.
This consists of a piece of stem approximately 12 × 7 cm. in diameter characterised by a broad cortex of parenchyma with secretory sacs and ducts and strands of mechanical tissue (fig. 439, A). Decurrent and massive leaf-bases form a prominent feature as in the stem of Medullosa anglica. The stele, though compressed before petrifaction, was probably not quite cylindrical but more or less polygonal or broadly triangular in section; it consists of groups of large primary tracheids (350μ in diameter) with numerous bordered pits (fig. 439, B, and fig. 440) embedded in an anastomosing system of parenchyma containing scattered secretory sacs, a type of protostele like that of Heterangium and Medullosa 151anglica except in the possession of exarch protoxylem strands. The metaxylem tracheids contiguous to the external protoxylem elements have a dense spiral or scalariform type of pitting. In the lower part of the stem the primary xylem is enclosed by a cambium which has added a few secondary tracheids (120μ in diameter), but in the upper part of the specimen the cambium is only partially developed and the addition of secondary xylem has hardly begun (fig. 440). A narrow band of secondary phloem was recognised in places consisting of small-celled parenchyma with some sieve-tubes and medullary rays continuous internally with the parenchyma of the primary stele. In close association and occasionally in organic connexion with the surface of the stele are several tangentially elongated and large groups of vascular tissue associated with smaller oval strands varying considerably in size. These groups, designated meristeles (fig. 439, A), are identical in structure with the main stele and are occasionally invested by a feebly developed zone of secondary xylem and phloem. The meristeles are detached at intervals from the parent stele around which they form by anastomoses an irregular network: the larger meristeles give off smaller strands and from these the 152actual leaf-traces are produced by subdivision. It appears, however, that in this type the meristeles are not completely used up in the production of the leaf-traces, portions of them behaving as cauline vascular strands. A protoxylem of a meristele still attached to the central protostele occupies an internal position, and at a higher level, as separation of the meristele is effected, the spiral tracheids occur on the inner face. New meristeles are given off at intervals from the main stele ‘to compensate for those parts of the reticulum which were used up in the formation of leaf-trace strands[411].’ The meristeles form the starting-point for the leaf-traces, an intermediate system between the main stele and the actual leaf-traces; they differ, therefore, from the parent leaf-traces of Medullosa anglica, which are completely used up by repeated subdivision. Moreover in Sutcliffia the leaf-bundles are concentric and not collateral.
A conspicuous feature of the stem of forma α is the occurrence of two double rows of vascular strands stretching across the cortex (fig. 439, A, a, b). These are interpreted by Scott as downward continuations in the stem of the inner surface of leaf-bases. The outer cortex of the stem and leaf-bases has hypodermal strands of stereome which remain separate or rarely anastomose, and form a superficial zone exactly like that of some species of Medullosa. The leaf-trace bundles may be radially symmetrical or unilateral in the arrangement of the xylem which is in all cases completely surrounded by phloem. Fig. 439, B, shows part of a longitudinal section of a large leaf-trace bundle: spiral protoxylem elements (px) abut on the phloem (ph) and are succeeded to the left by narrow scalariform and large reticulately pitted tracheids. In the larger and radially constructed traces there are several protoxylem-strands distributed over the surface of the xylem, while in the smaller unilateral traces there may be one or two protoxylem strands. A characteristic feature of the xylem of the leaf-traces is the admixture of parenchyma with the tracheids (fig. 439, B, E) and another noteworthy character is the occurrence of large thin-walled tubes in the phloem described by Scott as sieve-tubes and compared with the large sieve-tubes in Marattiaceous leaf-bundles. Immediately 153internal to the hypoderm is a row of leaf-bundles (fig. 439, A) each of which is accompanied by stereome strands.
The petioles, which reach a diameter of 12 cm., contain numerous, occasionally anastomosing, concentric bundles. Nothing is known of the fronds as a whole beyond the fact that they are spirally disposed and had decurrent bases of large dimensions in proportion to the stem.
This form, described by Miss de Fraine as Sutcliffia insignis[412], is represented by a stem rather smaller than the type-specimen described by Scott, though it is probably an older example of the same species. It is distinguished by a greater development of secondary xylem and phloem both on the main stele and the meristeles; it differs also in the absence of the greater part of the cortex and leaf-bases which have been cut off as the result of the formation of a deep-seated periderm (fig. 439, D, C). The meristeles are smaller and fewer than in the larger form and are distinguished by some other peculiarities. At m′ in fig. 439, D, a meristele is seen attached to the main stele. In Sutcliffia insignis forma α the main stele is enclosed by an irregular network of subsidiary steles or meristeles and these form the points of departure of the leaf-traces, but the meristeles are not completely used up in the process of conversion into leaf-traces. In Sutcliffia insignis forma β the meristeles agree in structure with the main stele except in the smaller amount of secondary tissue: they do not, however, form a network as in forma α but occur as strands parallel to the central stele, ‘giving off leaf-traces and ultimately dividing up into smaller strands, often unequal in size, the primary wood of the meristeles being entirely used up in the production of radially symmetrical or unilateral bundles.’ In this respect, as Miss de Fraine points out, forma β agrees more closely than forma α with Medullosa anglica and supports Scott’s view that Sutcliffia is a primitive type of Medullosan stem. The leaves were given off at fairly long intervals as in some species of Medullosa: the leaf-traces are exarch and similar to those of the type-species. The most striking feature of the new stem is the presence of a 154vascular network (fig. 439, D, e) which encloses both the main steles and the meristeles; it consists of extrafascicular strands composed of normally orientated bands of secondary xylem and phloem often assuming a fan-like arrangement and occasionally almost concentric or inversely orientated. These strands are always accompanied by short, usually reticulate, tracheids on the inner margin of the xylem: similar isodiametric tracheids also occur in the pericyclic region. The extrafascicular strands are believed to be secondary structures phylogenetically independent of the meristeles and main stele, comparable with the successive cylinders or arcs of secondary xylem and phloem in some recent Cycads and in some species of Medullosa[413].
The stele is exarch and roughly triangular; except in the broader zone of secondary tissue it agrees with the protostele of forma α. The secondary xylem (fig. 439, C) possesses numerous medullary rays 3–4 cells broad and of considerable depth: the secondary phloem is characterised by the presence of thick-walled elements, presumably sieve-tubes, like those of Medullosa Leuckarti and M. anglica.
The ground-tissue is rich in secretory tissue and the stem-surface, from which the leaf-bases have been detached, is limited by a wide zone of secondary tissue produced by a phellogen.
| 1876. | Myelopteris (pars) Williamson, Phil. Trans. R. Soc. Vol. 166, Pl. ii. figs. 7, 8; Pl. iv. fig. 17. |
| 1893. | Rachiopteris Williamsoni Seward, Ann. Bot. Vol. vii. p. 1. |
| 1894. | Rachiopteris Williamsoni Seward, ibid. Vol. viii. p. 207, Pl. xiii. |
| 1906. | Sutcliffia Williamsoni Scott, Trans. Linn. Soc. Vol. vii. pt iv. p. 62. |
In an account of Myelopteris (= Myeloxylon) published in 1876 Williamson included some sections of petioles from the Lower Coal Measures which I afterwards with his concurrence transferred to the genus Rachiopteris as R. Williamsoni. In Rachiopteris Williamsoni the vascular bundles are concentric and not collateral, and are further distinguished from those of Myeloxylon by the association of parenchyma with the tracheids. 155In the arrangement of the bundles and in the structure of the ground-tissue the petioles of Rachiopteris Williamsoni agree with those of Myeloxylon. An outstanding feature of the vascular strands of the former is the occurrence at fairly regular intervals in the peripheral part of the phloem of comparatively large tubes described by me as secretory canals on the ground that evidence was furnished of their development by the schizogenous separation of cells to form a central canal. The canals were compared with the large sieve-tubes of the Marattiaceae, but with the qualification that ‘their mature form and their manner of development are strongly suggestive of small secretory canals.’ Nothing was known as to the stem which bore these petioles until Scott’s discovery of Sutcliffia with vascular bundles in the cortex and leaf-bases of the same type as those of Rachiopteris Williamsoni. As Scott says, there are a few distinguishing features which suggest that R. Williamsoni is not specifically identical with the petioles of Sutcliffia insignis, though the agreement is such as to justify the substitution of Sutcliffia for Rachiopteris. The tubular elements in the phloem which I considered to be secretory canals are regarded by Scott and Miss de Fraine as sieve-tubes.
Miss de Fraine gives an excellent summary of our knowledge of the genus and discusses, in the light of the additional facts furnished by the second stem, the position of Sutcliffia in a phylogenetic series. The new form strengthens the comparison instituted by Scott between Sutcliffia and Medullosa and gives support to a close connexion between the Medulloseae and the Cycadaceae. Scott lays stress on the fact that the Medulloseae, except Sutcliffia, are polystelic, while the Cycads, at least the adult stems, are monostelic. The views of Worsdell and other botanists who believe that the Medulloseae and the Cycads are intimately related are discussed on another page: in reference to these views Miss de Fraine adds a caveat as to the danger of attaching excessive importance to evidence based on seedling anatomy when we are concerned with broad phylogenetic questions. The stele of a cycadean stem may be derived from a protostelic type such as that of Sutcliffia by the gradual disappearance of the internal tracheids: in Sutcliffia, as in some Cycads and species of Medullosa, 156extrafascicular strands and cylinders are a characteristic feature and these may well have arisen independently of the central stele in response to physiological requirements. From such a type as Sutcliffia evolution may have proceeded along two lines; in one direction new types were produced in which increasing complexity, as represented by a multiplication of steles, was an outstanding feature. These forms, illustrated by Medullosa anglica and other more elaborate species, proved inefficient and were unproductive. Along another line the protostelic condition was maintained though in some cases extrafascicular strands or cylinders and cortical steles were superadded: it was this line that led to the recent Cycads.
A comparison of the stems described under the generic name Medullosa reveals a considerable range in the grosser anatomical features superadded to certain fundamental characters denoting a common origin[414]. If additional data were available giving us a fuller knowledge of individual plants differences between species would be more clearly defined and would provide adequate grounds for the institution of new genera for some of the types now included in the comprehensive genus Medullosa. A proposal by Dr Lotsy[415] to adopt the names Pecopteromedullosa and Neuropteromedullosa rests primarily on the relatively unimportant difference between the fronds associated with certain Medullosan stems and, as Scott[416] points out, this two-fold division if applied to such a species as Medullosa Leuckarti would result in its separation from species which anatomically are clearly of the same generic type. In Medullosa anglica, one of the oldest and simplest types, there are three steles of equal importance, and each of them is practically identical with the single stele of Heterangium. Each stele—as indeed all Medullosan steles—consists of a strand of primary xylem enclosed by secondary xylem and phloem, and it is obvious that the development of a constantly increasing cylinder of 157secondary conducting tissue about three centres would lead to serious mechanical difficulty: a stem constructed on the plan of Medullosa anglica or the smaller M. pusilla could not increase the thickness of its secondary vascular tissue beyond a certain point without detriment to its efficiency. In some types this difficulty is partially overcome by the production of complete concentric cylinders of centrifugally developed conducting tissue external to an inner system of concentric steles agreeing individually with those of Heterangium (fig. 415, B). Medullosa anglica, regarded from the point of view of the architectural efficiency of its vascular system, affords a much less promising point d’appui for further evolution than some of the forms described under Medullosa stellata in which the mechanical impasse is avoided by the adoption of the cycadean plan as represented by such genera as Cycas and Macrozamia. The English species Medullosa centrofilis (fig. 417) affords the first example of a characteristic Medullosan feature, namely the presence of a small concentric stele in the central region of the stem: this so-called star-ring differs not only in its smaller dimensions but in its more cylindrical form from the larger peripheral steles. In the later Permian species, e.g. Medullosa porosa and M. Solmsi, the single star-ring of the older M. centrofilis is replaced by a large number of precisely similar conducting strands. These star-rings are structurally comparable with the cortical steles of Cycas and, in position, with the medullary system of bundles in a Macrozamia; they are essentially cauline and take no part in the emission of leaf-traces. Medullosa Leuckarti (fig. 416, H) resembles in its vascular plan M. centrofilis, but in this larger stem there are several star-rings and the enlarged peripheral steles are more or less sinuous. In Medullosa Solmsi (fig. 416, E) the star-rings are still more numerous and the main vascular system consists of a double series of concentric steles, each agreeing with the larger peripheral steles of M. Leuckarti.
Some of the forms included in Medullosa stellata appear to be very different from M. anglica and M. Leuckarti (cf. fig. 416, F, A, H), but their similarity is apparent if we imagine Medullosa anglica with only one main stele (with the addition of star-rings) which is stretched tangentially until it becomes a 158long and narrow plate-ring and is then rolled into a hollow cylinder like that in fig. 416, D. A modification of the tubular type of stele is seen in Medullosa stellata var. corticata (fig. 416, G) in which the vascular cylinder is broken up into two or more curved plate-rings, a change superficially similar to that by which a dictyostele is produced from a solenostele, but in Medullosa it is not the overlapping of leaf-gaps that is the cause of the change. A striking feature in the stem of Medullosa stellata represented in fig. 416, D and F (especially F), is the inequality in breadth of the centrifugal and centripetal xylem: this inequality is an expression of the difficulty caused by the presence of an internal as well as an external addition of secondary conducting tissue. A limit is set to the production of secondary centripetal xylem by the space available for extension, whereas there is unlimited room for increase in the case of the centrifugal tissue. This tendency to a greater development of xylem and phloem on the outer side of the primary portion of the steles is illustrated also in M. Solmsi var. lignosa (fig. 416, L) where the outer of the two series of peripheral steles has a much larger proportion of centrifugal xylem. In M. anglica the secondary xylem on the inner side of the steles is not infrequently broader than the corresponding tissue on the abaxial side[417]; but this is exceptional in the genus. A further development of centrifugal conducting tissue without any corresponding development of centripetal tissue is effected in certain cases (fig. 416, K, L) by the addition of concentric cylinders of centrifugal xylem and phloem beyond the original concentric steles. The type illustrated by Medullosa Solmsi var. lignosa and M. stellata var. gigantea (fig. 416, L, K) at once suggests comparison with stems of Cycas, Macrozamia, and Encephalartos, the chief difference being the presence in Medullosa of an inner series of concentric steles and a central ground-tissue containing star-rings, though the latter may be regarded as corresponding to the medullary system of bundles in Macrozamia. In Macrozamia the central region of the stem is considered to be the pith of a monostelic stem, whereas in Medullosa the stem is polystelic. In recent cycadean stems it is not uncommon to find patches of inversely orientated xylem and phloem internal to one or more 159of the cylinders of centrifugal vascular tissue. These abnormal developments are considered by Worsdell[418] to be relics of the inner portions of concentric steles possessed by the Medullosan ancestors of recent Cycads. This interpretation affords a means of bringing into closer relationship the polystelic Medulloseae and the monostelic Cycadaceae, the apparent simplicity of the latter being the result of the progressive loss of centripetal xylem and phloem, the normal cycadean cylinder being therefore regarded as a one-sided remnant of a concentric Medullosan stele. In other words, the Cycads are descended from polystelic ancestors. As further evidence in support of this view Worsdell points to the occurrence of concentric steles in the cortex of Cycas and their occasional presence in the pith of other genera. Matte[419] has shown that in the seedling stem of Encephalartos Barteri (fig. 396, K) there are three concentric steles each similar to a normal Medullosan stele: at a higher level in the axis the steles become ‘unrolled’ and assume the form of one-sided cylinders of centrifugal xylem and phloem.
In the peduncles of some recent Cycads, e.g. Stangeria, there is a tendency towards a somewhat irregular orientation of the collateral bundles that constitute the vascular cylinder, and tracheids occasionally occur internal to the protoxylem of the individual bundles[420]. Worsdell regards these features as evidence of a Medullosan ancestry. If the sinuous plate-rings of a stem of Medullosa Leuckarti (fig. 416, H) were broken up into separate portions and wholly or in part deprived of the centripetal xylem, the result would be an arrangement of bundles comparable with that in a Stangeria peduncle[421]. The scattered centripetal tracheids discovered by Scott in Stangeria and other cycadean peduncles are interpreted by Scott and by Worsdell as relics of some ancestral centripetal xylem, but with this important difference in the point of view; Scott believes that they represent the almost completely aborted centripetal xylem of a single stele like that of Lyginopteris, while Worsdell sees in them fragmentary vestiges of the central primary xylem of two or more Medullosan steles. 160An abnormal seedling of Araucaria Bidwillii described by Shaw[422] exhibits features analogous to those in some cycadean seedlings: within the normal stele a cambium forms an inversely orientated vascular cylinder which at a lower level becomes continuous with the outer centrifugal tissue, the whole vascular system being eventually represented by two concentric steles. The polystelic stage is a development of a monostelic condition, and the inner or inverted portion of each of the two concentric steles is derived from an inversely orientated cylinder in the central region of the root. This abnormal root does not, however, supply an argument in favour of the derivation of a monostelic type of stem from one that was polystelic, but it shows a close relation between the two plans in one organ. The seedling is not altogether normal in form apart from structure and it is not improbable that the anatomical abnormality is connected with some pathological cause.
It has been suggested[423] that Worsdell attaches too much phylogenetic significance to the irregularities in the disposition and form of the vascular bundles in the peduncle of Stangeria, and the criticism that insufficient allowance is made for the possible reaction on structure of the special physiological requirements of reproductive shoots is well founded. Granting an overestimate of the arguments drawn from the occasional occurrence of concentric vascular strands, a considerable body of evidence remains in favour of Worsdell’s main contention.
Mrs Thoday[424] has drawn attention to certain features exhibited by the inflorescence-axes of Welwitschia, particularly the occurrence of concentric and inversely orientated bundles, similar to those characteristic of the seedling of Cycas siamensis[425] described by Matte, and to anatomical characters occasionally present in adult cycadean stems and normally represented in Medullosa. She is of opinion that the occurrence in Welwitschia of certain Medullosan features has a phylogenetic significance. The differences between the Gnetales, Medulloseae, and Cycadales are considerable, and it would seem unlikely that the anatomical resemblances described by Mrs Thoday are of great value as criteria of close relationship. The comparison of Lagenostoma with 161gnetalean seeds is alluded to elsewhere. To the statement that the presence of concentric and inversely orientated steles in Welwitschia are reminiscent of the polystelic Medulloseae, Mrs Thoday adds the qualifying remark that the occurrence of four concentric groups of vascular tissue in the hypocotyl of Welwitschia is not sufficient to justify the conclusion that the ancestral type was polystelic. This reservation accords with the contention of Scott and other botanists, that the occasional occurrence in cycadean seedlings and adult stems of anatomical features suggestive of polystely does not in itself furnish an adequate reason for doubting that the apparent monostely of Cycads is phylogenetically what it seems to be, namely, an indication of monostelic ancestry. This brings us to the question of a possible monostelic ancestor. It may be that the Upper Carboniferous genus Sutcliffia affords a clue to the problem of the origin of the polystelic type illustrated in various forms by Medullosa. The protostele of Sutcliffia bears a close resemblance to each of the three steles of Medullosa anglica; the fact that Sutcliffia is exarch and that Medullosa anglica has mesarch xylem is of secondary importance, particularly as exarchy is represented within the genus Medullosa. The extrafascicular strands of xylem and phloem and the accessory strands are points in which Sutcliffia and Medullosa anglica agree and, as Miss de Fraine[426] adds, the meristeles of Sutcliffia may be homologous with the leaf-trace strands of Medullosa. Scott[427] gave expression to the characters shared by these two types by describing Sutcliffia as the most primitive of the Medulloseae. It is suggested that the protostelic axis of Sutcliffia may be regarded as the starting-point of the monostelic Cycads, the central mass of tracheal tissue being replaced by a parenchymatous pith, while the extrafascicular and accessory strands arose independently of the central stele in response to increased physiological demands consequent on the increase in size of the stem. From the same starting-point evolution may have progressed along another line through such a type as Medullosa anglica leading to the more complex Permian species of Medullosa. Chodat’s view[428] that the Medulloseae are Protocycadaceae, if we include Sutcliffia as well 162as Medullosa in the Medulloseae, is probably correct. There is clear evidence of a close bond of union between recent Cycads and the Medulloseae, and Sutcliffia offers a possible means of deriving complex polystelic types from a monostelic ancestor.
Worsdell’s opinion[429] that the stele of Lyginopteris affords evidence of derivation from a polystelic ancestor and is not homologous with the true monostele of Heterangium is opposed to the undoubted signs of intimate connexion exhibited by these genera. The Lyginopterideae are, as Scott[430] says, a less advanced group than the Medulloseae and, it may be added, they are more remote from the modern representatives of the Cycadales. The Lyginopterideae and the Medulloseae are probably offshoots of a common stock, but the Medulloseae occupy a position farther removed from the filicinean ancestry than Heterangium and Lyginopteris[431].
The relative meagreness of our knowledge of the reproductive organs of the Medulloseae gives precedence to anatomical data in phylogenetic considerations, but the evidence furnished by Trigonocarpus and other seeds that may fairly be assigned to Medullosan plants is in harmony with the conclusions based on vegetative characters with regard to a close affinity between the Medulloseae and Cycads.
The comparative examination of recent Cycads naturally suggested by any attempt to compare the group as a whole with Palaeozoic types leads to some apparently contradictory results. The habit of the megasporophyll of Cycas is usually quoted as a primitive attribute: the close resemblance in plan and in manner of occurrence on the stem between megasporophylls and foliage leaves recalls both Ferns and Medullosan fronds. On the other hand the production of eight body-cells in the pollen-tube of Microcycas[432] in place of the usual single cell may also be regarded as a primitive character. It is perhaps possible, as Miss Dorety[433] says, that the polyspermy may be a case of recurrence and not a direct inheritance. Microcycas differs from Cycas in having only one vascular cylinder, and if the presence of several concentric 163cylinders in Cycas be interpreted as an indication of a closer connexion with a Medullosan ancestry, the Microcycas type would represent a more advanced stage in evolution. Attempts to arrange plants according to a natural sequence are frequently frustrated by instances of unequal progress in the development of vegetative and reproductive organs; one or other set of members lags behind; some characters point to the retention of primitive traits while others indicate a marked progressive tendency. It is noteworthy that the Mesozoic Bennettitales are characterised by a greater simplicity of stem-structure than is the rule in recent Cycads, and both in their vegetative features and in the structure of the seeds they are further removed from the Medullosan type.
Steloxylon Ludwigii (Goeppert and Stenzel). The genus is founded on a piece of stem from Siberia, possibly of Permian age though not improbably older, which was originally described as Medullosa Ludwigii[434]. It is characterised by numerous 164cylindrical and band-like vascular strands forming an irregular anastomosing system (fig. 441, B) and by crowded spiral leaf-scars on the exposed face. The appearance presented by the transverse section figured by these authors, while suggesting comparison with Medullosa, reveals a distinctive character, namely the absence of a definite peripheral system of vascular rings such as forms a striking feature of the continental Medulloseae. A more complete description was afterwards published by Schenk[435] who recognised more fully the peculiar features and hinted at the possibility that the species might more appropriately be regarded as a member of a distinct group. Solms-Laubach[436] went a step further and instituted the generic name Steloxylon, and in a later publication gave a fuller account of the anatomical characters. The complete stem must have reached a diameter of approximately 13 cm. The homogeneous ground-tissue forms a matrix enclosing an anastomosing vascular system of cylindrical or oval steles (fig. 441, C). Each strand consists of a band of secondary xylem tracheids with one or several rows of circular or oval bordered pits on the radial walls and narrow medullary rays usually 1–2 cells broad and 1–4 cells deep, though occasionally deeper. No phloem is preserved. The tissue in the centre of each stele is very imperfectly preserved, but it is clear that the secondary xylem enclosed a central region (‘partial pith’) like that in the steles of a Medullosa, doubtless consisting of primary xylem and conjunctive parenchyma.
The stem is covered with leaf-bases of oval or circular section and between them are small organs, probably multicellular hairs (fig. 441, A). A leaf-base consists of an outer zone of strengthening tissue and a parenchymatous ground-tissue traversed by two or more small vascular strands which assume various forms. These petiolar strands are simply portions of the main vascular system which bend outwards at the periphery of the anastomosing network. The more noteworthy features in which Steloxylon differs from Medullosa, particularly such species as M. stellata and M. Leuckarti, are (i) the crowded and comparatively small leaf-bases in place of the massive decurrent petioles of Medullosa; (ii) the supply 165of the leaves by compact branches of the stelar network instead of the bundles detached as leaf-traces from a stem-stele of Medullosa (the origin of a leaf-trace in Steloxylon is shown in fig. 441, C); (iii) the absence of a peripheral system of vascular plate-rings and the irregular distribution of cylindrical and plate-steles in the ground-tissue. Nothing is known of the reproductive organs or leaves beyond the structure of the attached leaf-bases. The opinion expressed by P. Bertrand[437] that the fossil described by Stenzel as Asterochlaena (Clepsydropsis) kirgisica is the petiole of Steloxylon was abandoned after the additional facts published by Solms-Laubach.
As regards the affinities of Steloxylon: the structure of the steles agrees closely with that of the star- and plate-rings of a Medullosa, while the pitting of the tracheids is more like that in Medullosa than Cladoxylon. In the tendency to a more radial than tangential disposition of the band-like steles Steloxylon recalls Cladoxylon rather than Medullosa, but in Cladoxylon the vascular system does not form an irregular network as in Steloxylon. The information as to the structure of the primary xylem is very meagre, but it points to a closer connexion with Medullosa than with Cladoxylon. On the whole Steloxylon may perhaps be defined as a genus allied to the Medulloseae in the anatomical features of the stem more closely than to other genera, but sufficiently distinct to be excluded from the Medulloseae as at present understood[438].
Before describing other genera represented by petrified vegetative organs exhibiting in their anatomical features points of contact with the Medulloseae, a short account is intercalated of some imperfectly known seed-bearing fronds and seeds belonging to the Pteridosperms but which do not afford sufficient data to admit of their reference to a more precise position in a natural classification.
In the section in Volume ii. devoted to the genus Pecopteris reference was made to the species P. Pluckeneti[439], further treatment being deferred until other Pteridosperms had been described. The fern-like fronds originally described by Schlotheim as Filicites Pluckeneti[440] and afterwards transferred by Brongniart and other authors to Pecopteris[441] are now recognised as the leaves of a Pteridosperm. Some doubt has been expressed as to the specific identity of the specimens figured by Schlotheim and Brongniart respectively, but Potonié’s examination of the type-specimen of the earlier author convinced him that Brongniart’s leaves were correctly named. The large fronds of Pecopteris Pluckeneti are characterised by the bifurcation of the principal axis which bears opposite pairs of bi- or tri-pinnate branches and in the angles of the bifurcations of the rachis undeveloped buds occur on prolongations of the axis, a habit recalling recent species of Gleichenia[442] 167(figs. 225 and 226, vol. ii.). The variation in the form of the pinnules is shown in fig. 442, A, which represents both the apical portion and parts of pinnae 10 cm. lower on the rachis of a large leaf from the Coal Measures of Radstock. The species is characteristic of the Upper Coal Measures and is recorded also from Permian strata. In 1883 Sterzel adopted for this species the generic name Dicksonites because of the occurrence of shallow circular cups at the end of the lowest lateral vein on some of the pinnules which he believed to be sori of the Cyatheaceous type. The cups have an involute margin and occasionally a small scar in the centre (fig. 442, B). Stur[443] declined to accept Sterzel’s evidence as satisfactory and suggested a fungal origin for the sorus-like impressions, a view, as Sterzel objected, that is rendered improbable by the constant position of the single cups on several pinnules. The nature of Sterzel’s ‘sori’ has not been demonstrated: it is suggested by Grand’Eury[444] that they mark the position of microsporangia.168 Some seed-bearing specimens in Dr Kidston’s collection show cups, like those figured by Sterzel, on pinnules from which the seeds have fallen, and it is not improbable that they are the scars of seeds. In 1905 Grand’Eury published a description and photographs of specimens of P. Pluckeneti from the St Étienne coal-field showing hundreds of well-preserved seeds, many of them attached to pinnules characterised by a very slightly reduced lamina. Some fronds were found to be entirely fertile, while others bore both sterile and fertile pinnae. The smallest seeds, 5 mm. long and 3 mm. broad, were found at the tips of unexpanded leaves: the mature seeds, only slightly larger, agree in their broadly oval form and narrow marginal ‘wing’ with small examples of Samaropsis[445]. The seeds were figured by Grand’Eury[446] in an earlier work as Carpolithes granulatus. They are believed to have hung free from the lamina, a conclusion based on the position of the seeds relative to the plane of the pinnule in well-preserved examples. Prof. Zeiller informs me that he is by no means certain that Grand’Eury’s seed-bearing fronds should not be referred to Pecopteris Sterzeli; but as that species and P. Pluckeneti are very closely allied forms and may well have borne the same general type of fructification, the question of specific difference does not affect the significance of Grand’Eury’s discovery. A statement was made in vol. ii.[447], quoted from Grand’Eury, that the fronds of P. Sterzeli were borne on a Psaronius stem, but Prof. Zeiller told me that in his opinion the fronds and stem are merely in association and not in organic contact. It is probable that the Psaronius stem bore fronds of some species of Pecopteris with sori of the Asterotheca or Scolecopteris type and not seeds. Pecopteris Pluckeneti and P. Sterzeli are no doubt the fronds of a Pteridosperm[448], but apart from the seed-impressions there is no evidence as to the nature of the reproductive organs or stem. The form of the seeds with a fairly thick sarcotesta, which gives them a winged appearance, suggests a member of the Medulloseae rather than a plant with seeds like those of Lyginopteris and Heterangium.
169
Eremopteris artemisaefolia Steinberg with Samaropsis acuta Lindley and Hutton.
The generic name Eremopteris was instituted by Schimper for a type of frond from the Coal Measures of Newcastle described by Sternberg as Sphenopteris artemisaefolia. He included also a second species, E. Neesii, from the Permian of Bohemia: this was removed by Zeiller to Callipteris. The type-species of Eremopteris is included in this chapter on the ground that the almost constant association with the fronds of seeds comparable with those described by White as Aneimites (Wardia) fertilis affords a strong argument in favour of assigning Eremopteris artemisaefolia to the Pteridosperms.
| 1826. | Sphenopteris artemisaefolia Steinberg, Flor. Vorwelt, Fasc. iv. p. 15, Pl. lvi. fig. 1. |
| 1833. | Sphenopteris crithmifolia Lindley and Hutton, Foss. Flor. Vol. i. Pl. xlvi. |
| 1833. | Cardiocarpon acutum, Ibid. Pl. lxxvi. |
| 1869. | Eremopteris artemisaefolia Schimper, Trait. Pal. Vég. Vol. i. p. 416. |
| 1914. | Samaropsis acuta Kidston, Trans. R. Soc. Edinb. Vol. l. Pt i. p. 156. |
The large compound fronds of this species[449] are characterised by the regular dichotomy of the main branches, a feature frequently met with in Palaeozoic fern-like leaves: the cuneate or oval-cuneiform pinnules (fig. 443, A, C) vary considerably in breadth from the typical cuneate type of segment as figured by Brongniart[450] to narrow, almost linear, leaflets like those of Sphenopteris crithmifolia. Several spreading veins traverse the lamina. Lindley and Hutton, while admitting a very close resemblance between their species and S. artemisaefolia, adopted a distinctive name. The only evidence so far obtained as to the stem of the plant is furnished by some specimens in the Hutton collection (Newcastle-upon-Tyne) one of which shows a piece of rhizome bearing several petioles (fig. 443, B): there are no pinnules attached to the rachises but some occur in close association. Brongniart noticed the frequent association of Eremopteris fronds with small seeds, but he regarded it as accidental. Dr Kidston[451] has recently 170drawn attention to a note by Prof. Duns published in 1872 on the juxtaposition of seeds and fronds, and Mr Howse[452] in his Catalogue of the Hutton plants considers that the seeds were borne on the Eremopteris leaves; in his synonymy of E. artemisaefolia he includes Cardiocarpon acutum Lind. and Hutt. as the ‘spore-cases or sporangia.’ The Eremopteris seeds are of the platyspermic (Samaropsis) type, broadly oval and about 7 mm. long with an obtuse base and two slightly divergent acute processes at the apex (fig. 444). Some specimens in Dr Kidston’s collection from the Lower Coal Measures of Midlothian, which were associated with Eremopteris fronds, are preserved as mummified cuticular membranes and on microscopical examination they show clearly the presence of a pollen-chamber. The seeds are of the Samaropsis type. The drawings reproduced in fig. 444 were made for me by Dr Kidston from two specimens, in his collection, 171of exceptionally well-preserved seeds from Midlothian: the seeds of this species vary considerably in size and form; some are almost orbicular and show no distinction between nucule and border (fig. 444, A) while in others (B) the impression of the flattened and longitudinally striated sarcotesta is clearly distinguished. Kidston is of opinion that in younger seeds there is a single apical point replaced in a later stage of development by two cusps, as seen in figs. A and B, formed by the opening of the micropylar tube. A ridge in the middle of the flattened surface indicates the position of the vascular bundles in the principal plane as in Cardiocarpus. The fully developed seeds are 8–9 mm. long. The correlation of the seeds represented in figs. 443 and 444 with Eremopteris fronds furnishes an additional illustration of the impossibility of trusting to external form as a criterion of affinity, for it is known that seeds of the Samaropsis type were produced by Pteridosperms with foliage represented by Eremopteris artemisaefolia and Pecopteris Pluckeneti, also by some members of the Cordaitales (e.g. fig. 480). Dr Arber[453] has recently proposed a new generic name Cornucarpus for Cardiocarpon acutum, but the drawings that he gives of seeds from the Kent coal-field referred to this species suggest a type distinct from that of Lindley and Hutton. In the absence of specimens showing actual attachment it is impossible to say how the seeds were borne, but the analogy of Wardia fertilis and Pecopteris Pluckeneti lends support to the view that the seeds were attached to pinnules with a reduced lamina. Eremopteris artemisaefolia occurs in the Lower and Middle Coal Measures of England: a species recorded by 172Kidston from the Calciferous sandstone of Scotland as E. Macconochii[454] is now believed by that author to be generically distinct[455]. With the exception of the unsatisfactory specimen reproduced in fig. 443, B, we have no information with regard to the habit of the stem to which the Eremopteris leaves were attached.
Wardia fertilis (White). Another example of a fern-like frond bearing seeds is afforded by specimens from the Lower Pottsville series of Virginia (correlated with the Millstone grit of British geologists) described by Mr David White[456] as Aneimites (Wardia) fertilis. The compound fronds usually referred to the 173genus Adiantides or Adiantites[457] are characterised by cuneate pinnules with a thin lamina and forked, slightly divergent veins (fig. 445, A, D). White discards the name Adiantides in favour of Dawson’s genus Aneimites on the ground that Goeppert[458], who instituted the former term, applied it in the first instance to leaves of Ginkgo which he identified as simple Fern fronds. In spite of this misapplication of the name it has been constantly used and is well established. The discovery of seeds is, however, a reason for the adoption of a new generic name, and as White proposed Wardia for the seeds it may appropriately be extended to the fronds in place of the provisional term Aneimites. The seeds which occur at the apices of slender pedicels on pinnae bearing relatively small pinnules with a reduced lamina (fig. 445, B, C) are rhomboidal in shape, 4·5 mm. long and 2·5 mm. broad. The bilaterally symmetrical seeds were probably enclosed, as White suggests, in a fleshy integument which on pressure became laterally extended as a wing-like border. In some of the seeds there is an indication of a ‘slight collapse within the apex of the nutlet,’ which may mean the presence of a pollen-chamber; but while the preservation is too imperfect to afford any decisive evidence as to anatomical features, there is no reason to doubt the conclusion as to the seed-nature of the organs described by White. Nothing is known of the stem, though the opinion may be hazarded that Wardia is a member of the Medulloseae.
Reference is made to the genus Lagenospermum in the account of Lagenostoma[459]. The species Lagenospermum Arberi has recently been founded by Dr Nathorst[460] on some seeds obtained from Lower Carboniferous rocks in Spitzbergen: a brief description is intercalated here because it is probable that they were borne on fronds of the Adiantites type similar to those on which White found the seeds described by him as Wardia. The seeds of L. Arberi, 14–18 × 5 mm., are spindle-shaped with an obtuse apex and longitudinally ribbed with a stalk at least 7 mm. long. Nathorst considers that a cupule was probably present: the 174specimens do not convey the impression of naked seeds and in some examples there are indications of an investing envelope, though this may be the result of tearing of the testa. Nathorst regards the Spitzbergen seeds as probably specifically identical with a specimen described by Schmalhausen[461] from Carboniferous rocks in the Urals as Rhabdocarpus orientalis Eich., a species which agrees closely with Lagenospermum nitidulum as described by Heer[462] (under the name Carpolithes nitidulus) and Nathorst[463] from Spitzbergen. It is also possible that Kidston’s Rhabdocarpus elongatus[464], from the Lanarkshire coal-field and elsewhere, recently transferred by Arber[465] to Platyspermum, is an example of the same species. The chief interest of Lagenospermum lies in the fact, assuming Nathorst’s correlation of the seeds with Adiantites bellidulus Heer to be correct, that it is a typical radiospermic seed, while Wardia, borne on foliage of the same general type, is an equally typical platyspermic seed.
In this chapter are included several types represented by stems, but which in the absence of definite information with regard to the reproductive organs cannot be assigned to the Pteridosperms.
This genus is represented by a single species founded on a piece of stem from the Lower Coal Measures of Lancashire discovered in the Binney Collection in the Sedgwick Museum, Cambridge[466]. Nothing is known as to the leaves, reproductive organs, or roots. The type-specimen consists exclusively of primary and secondary xylem.
The type-specimen, reproduced natural size in fig. 446, A, B, consists of a fragment of stem which at first sight bears a close resemblance to Cordaites, but the apparent pith, 1·9 cm. in diameter, is the primary xylem of the stele and is enclosed by an incomplete cylinder of secondary xylem 2 cm. broad. The distinction between the lighter primary xylem and the darker secondary cylinder is especially well marked in the longitudinal section (fig. 446, B). The central region, shown on a larger scale in fig. 447, is occupied by groups of tracheids varying in size and shape associated with thin-walled parenchyma: the latter is represented by lighter patches in the section. The majority of the tracheids are characterised by their great breadth—in some 176cases ·4 mm.—and their isodiametric or even horizontally elongated and flattened form. Some of these large metaxylem elements are seen in longitudinal section at m in fig. 448 where the shrinkage and partial decay of the parenchymatous tissue have resulted in the separation of transverse bands of xylem simulating the discoid pith of a Cordaites. The walls of these tracheal cells are covered with multiseriate pits. With the short and sometimes flattened xylem elements occur others of greater length, but these are chiefly met with in the more peripheral part of the central region where some of the tracheids are 178much narrower and have the form of ordinary water-conducting elements. On one side of the primary xylem in fig. 447 an oval and more compact group of narrow and longer tracheids is seen at lt1; this is a leaf-trace about to enter the secondary-xylem cylinder on its outward course. The same leaf-trace is shown at lt in fig. 446, B; as it descends the trace becomes less distinct and its elongated elements gradually merge into the general mass of metaxylem. A portion of this leaf-trace is seen in fig. 179448, B, lt, close to the inner edge of the secondary xylem, x2, and abutting internally on the contracted tissue, m, which consists mainly of large and short tracheae with remains of associated parenchyma. The trace includes some conjunctive parenchyma interspersed with the tracheids: on its outer surface, that is on the abaxial edge of the ovate xylem strand as shown at lt1 in fig. 447, there are six external protoxylem strands. In the peripheral region of the primary xylem of the section reproduced in fig. 447 there are several more or less well-defined leaf-traces, e.g. lt2, lt3; these differ from that seen at lt1 in their greater tangential breadth and in the less compact arrangement of the tracheids. As each trace is followed downwards in the primary region of the stele it tends to become broader, especially in a tangential direction; the spiral protoxylem strands are more widely separated (fig. 448, A, px) and the elongated and comparatively narrow tracheids as they spread out fan-wise are reduced in length, finally passing over into the broad and short reticulately pitted cells. Each leaf-trace can be followed through approximately four internodes before its individuality is lost in the general mass of metaxylem. The disposition of the peripheral traces is such as to justify the conclusion that the phyllotaxis of the stem is ⅖.[467]
The secondary xylem (fig. 446, C) resembles that of Lyginopteris and Heterangium though it is less parenchymatous. The medullary rays are numerous and vary in breadth from 1 to 5 cells, while the tracheids, with multiseriate bordered pits on their radial walls, form bands 1 to 8 elements in breadth. There are no regular rings of growth but occasional arcs of narrow tracheids interfere slightly with the otherwise uniform structure of the wood. A leaf-trace in its oblique outward course through the wood becomes completely enclosed by a cylinder of secondary xylem and thus appears to be concentric. Owing to the absence of any tissue external to the secondary xylem of the stem, statements as to the subsequent behaviour of the leaf-traces on emerging from the stele are purely hypothetical. It is, however, not improbable that each concentric trace lost its secondary tissue 180and broke up into several collateral strands, a suggestion based on the behaviour of the leaf-traces in Medullosa anglica.
The most striking characteristics of Megaloxylon are: (i) the structure of the primary xylem, particularly the unusual form of the majority of the metaxylem tracheids, a form obviously correlated with storage rather than with conduction of water; (ii) the gradual spreading of the leaf-traces and their absorption as they descend into the main mass of the xylem; (iii) the exarch structure of the primary xylem. Confining our attention to the primary region of the stele; a comparison is at once suggested with Heterangium. In Megaloxylon the peculiarities are the substitution of the large storage-tracheids for the normal xylem-elements; the greater irregularity in the groups of metaxylem; and an exarch instead of a mesarch structure. In these last features the primary xylem agrees with that of recent species of the Schizaeaceous Fern Lygodium and the external protoxylem is a character shared with Rhetinangium. The occurrence of short tracheids similar to those of Megaloxylon in the inner portion of the stele of the Osmundaceous Fern Zalesskya gracilis (Eich.)[468] may be quoted as an example of parallel modification but, as Scott[469] points out, the resemblance has no phylogenetic significance. The secondary xylem though less parenchymatous than in recent Cycads agrees more closely with the manoxylic than with the pycnoxylic type.
Megaloxylon affords an interesting example of a combination of primary stelar anatomical features, comparable in the exarch position of the protoxylem with the stele of Lygodium, and secondary wood similar to that of Lyginopteris and Heterangium. The large metaxylem tracheids may be regarded as derivatives of elements which in some ancestral type were structurally fitted for the rôle of water-transport and made up the xylem of a Lygodium-like stele with little or no secondary xylem. As the cambial activity increased and centrifugal xylem became a prominent feature, usurping the function of the centripetal xylem, the latter became modified and fitted for a new service.
181
The stem on which this genus is founded was discovered by Dr Gordon[470] in the Calciferous Sandstone series of Pettycur: a specimen collected by Dr Kidston in Berwickshire may be specifically identical with the Pettycur plant. We know nothing of the leaves or reproductive organs of Rhetinangium. The stem, approximately 2 cm. in diameter, was probably cylindrical; it possesses a single stele consisting mainly of a central primary region occupied by anastomosing groups of tracheids, 130–150μ in diameter, embedded in parenchyma containing numerous secretory sacs and ducts. In the peripheral region of the stele the groups of tracheids consist of narrower elements characterised by exarch protoxylem. Each peripheral group forms the base of a wedge of secondary xylem (fig. 450, x2), the primary medullary rays being in direct connexion with some of the parenchyma of the primary xylem. The secondary tracheids, 45–85μ in diameter, have multiseriate bordered pits on their radial walls and the rays are broad and deep as in Heterangium and Lyginopteris. With the exception of the external position of the protoxylem, the stele of Rhetinangium is practically identical with that of Heterangium, though in Rhetinangium the primary tracheids form larger and fewer groups. The inner cortex is composed of thin-walled cells with many secretory sacs: there are no stereome elements. In the outer cortex (fig. 449, cr) radially disposed bands of stereome form a reticulum with narrow and very long meshes like that of Medullosan petioles.
The recently recorded occurrence of polydesmic petioles[471] in Heterangium is of special interest from the point of view of the comparison of that genus with Rhetinangium and the Medulloseae.
The very broad decurrent petiole-bases are a striking feature, the major diameter of the pulvinus-like base of the leaf-stalk exceeding that of the stem (fig. 449, p). Several xylem-strands 182from the peripheral region of the primary xylem go to form a single leaf-trace: these [** symbol U]-shaped strands of xylem destined for a leaf are connected laterally by parenchyma and form an irregularly corrugated band. Fig. 450 shows a petiole-trace still enclosed on each side by the secondary xylem cylinder x2.
There are several protoxylem groups in a leaf-trace, one on the outer face of each xylem-strand. In the petiole the xylem groups are more intimately connected and the trace has the form of a flat band with abaxial protoxylem. There is no indication that a leaf-trace undergoes division into separate strands. The roots are described as tetrarch with well-developed secondary xylem.
The primary xylem of Rhetinangium agrees in its exarch structure with the Palaeozoic genera Sutcliffia, Megaloxylon and Stenomyelon, also with Lygodium and some other recent Ferns: the secondary wood is of the manoxylic type like that of Lyginopteris, Heterangium and other genera. In the general structure of the stele Rhetinangium agrees with Sutcliffia and, except in the exarch structure of the primary xylem, with the steles of Heterangium and Medullosa anglica[472]; but the structure and origin of the leaf-traces are characters which mark it off 183from Sutcliffia. The sclerenchymatous bands in the inner cortex of Heterangium are unrepresented in Rhetinangium, and in the latter genus the abundance of secretory sacs and ducts is a characteristic feature, moreover in Rhetinangium, the leaf-trace consists of several groups of primary xylem-elements. Dr Gordon regards Megaloxylon as the type which comes nearest to Rhetinangium; but the differences in the structure of the secondary wood and the marked contrast between the leaf-traces are too pronounced to justify a preference for Megaloxylon over Heterangium in the order of affinity. Gordon considers that the undivided leaf-trace of Rhetinangium may represent a form transitional between the simple leaf-trace of Lyginopteris and the much divided type in Medullosa. The external position of the protoxylem is a character to which too much weight may easily be attached: the difference in position between the protoxylem of Rhetinangium and Heterangium is in some examples of the latter genus hardly perceptible. Kubart[473] speaks of the stele of his species Heterangium Sturi as being almost exarch. The inconstancy in the position of the protoxylem in the xylem of Osmundaceous stems and in the primary bundles of Eristophyton and other Palaeozoic genera is worthy of consideration in this connexion.
Stenomyelon tuedianum Kidston. The specimens on which this monotypic genus is founded[474] were obtained from the Lower Carboniferous rocks (Calciferous Sandstone series) at Norham Bridge, Berwickshire, Scotland. They consist of petrified pieces of a flattened stem, a fragment of a rachis and portions of laminae: 184there is no evidence as to the nature of the reproductive organs. The original form of the stem is obscured by the destruction of a considerable part of the cortex and the consequent flattening of the whole with the production of wing-like extensions of the imperfectly preserved tissues enclosing the almost cylindrical stele (figs. 451, 452).
The stele consists of a bluntly triangular core of primary xylem, 3–4 mm. in diameter, composed almost entirely of reticulately pitted tracheids reaching a diameter of 160μ: a few parenchymatous cells occur in the peripheral region and a band of parenchyma extends from the middle of each of the three sides of the xylem to the centre of the stele, thus dividing the primary conducting tissue into three groups which are the expression of a phyllotaxis of ⅓. The tracheids near the outer face of each xylem-group are narrower than the others and have scalariform pitting. The secondary xylem first appears along the slightly concave sides of the primary stele, eventually enclosing the whole: it consists of tracheids with multiseriate pits on the radial walls and numerous deep medullary rays 1–6 cells broad. No phloem is preserved though it is probable that a narrow band was originally present. A characteristic feature is afforded by a zone of thick-walled cells, regarded as periderm, encircling the stele and formed by a deep-seated phellogen. On the outer face of this band there are projecting bosses, and similar sclerous nests are scattered in the cortex. The outer cortex has a Sparganum[475] type of hypoderm, that is long vertical strands of fibres alternating with parenchyma. The leaf-traces are formed from the blunt angles of the primary xylem; an angle becomes nipped off as a more or less cylindrical strand enclosed by a zone of secondary tracheids which is very narrow on the adaxial side (fig. 452). Protoxylem was recognised only in the leaf-traces and not in the rest of the stele. A pair of protoxylem strands occurs on the outer edge of a prominent angle of xylem before it becomes detached from the stele, and these form a single strand at a lower level. As a leaf-trace passes outwards, the exarch xylem strand becomes mesarch and there is a single protoxylem group except at a point near the bifurcation 185of a trace. In its passage through the cortex a leaf-trace divides repeatedly, the secondary xylem on the outer face of each strand being retained for a considerable time.
Our meagre knowledge of the nature of the leaves is based on incomplete fragments found in association with the stem. The leaf is believed to have been simple and characterised by a thick lamina with a hypodermal zone of sclerous strands and several vascular bundles.
As Kidston and Gwynne-Vaughan[476] remark, Stenomyelon is a very distinct type; while resembling Sutcliffia in some respects it differs from that genus not only in the structure of the primary stele but in the absence of the system of meristeles which form so characteristic a feature of the latter genus.
This generic term[477] is applied to a few types of Permian and Upper Carboniferous stems possessing a vascular cylinder, which 186may reach a considerable breadth, of secondary centrifugally developed xylem and phloem enclosing a large pith containing either a narrow, peripherally placed, and more or less continuous cylinder of inversely orientated conducting tissue or scattered bands of centripetal xylem and phloem. The secondary xylem is manoxylic, while the internal vascular tissue recalls that of Ptychoxylon and to a less extent the inverted arcs that are rarely met with in Lyginopteris stems. A brief diagnosis of two species may serve to illustrate the genus: a third species is included in Cycadoxylon, but it is founded on material too incomplete to admit of satisfactory diagnosis.
This Permian species[478] is represented by a piece of stem 2–2·5 cm. in diameter (fig. 453, B) characterised by (i) a fairly broad parenchymatous cortex with secretory canals and several hypodermal nests of sclerous tissue, (ii) a cylinder of secondary xylem and phloem nearly the whole of which is centrifugal, (iii) a large pith containing several scattered narrower bands or arcs of centripetally developed xylem and phloem. The tracheids, with 4–6 series of hexagonal pits, form radially disposed rows, 1–4 elements broad, separated by broad and deep medullary rays. Renault does not mention the occurrence of any primary xylem as distinct from the secondary centrifugal xylem, but in a section which I examined some years ago in his laboratory there appeared to be a group of primary tracheids. There are no anastomoses between the main cylinder and the internal bands of inversely orientated tissue.
This species[479] is based on a piece of stem from the Lower Coal Measures of Lancashire first described by Williamson and identified as an unusually large example of Lyginopteris. Williamson and Scott, while recognising certain features in addition to the large size of the stem, which must have reached 14 cm. in diameter, expressed the view that ‘there is a presumption that it really belonged to a Lyginodendron, or to some plant of the same type of structure.’ The examination of additional material led me to 187adopt the name Lyginodendron robustum, though I suggested that possibly Cycadoxylon might be the more appropriate genus. Subsequently Scott[480] proposed the substitution of Cycadoxylon for Lyginodendron.
The type-specimen consists of secondary xylem agreeing closely in structure with Lyginopteris and recent Cycads: the pith, 2·9 cm. in breadth, is incompletely preserved; there is a narrow band of centripetal xylem[481] at the periphery of the perimedullary region and close to the inner face of the main mass of wood (fig. 453, C; the black line marks the position of the centripetal xylem). Nests of sclerous tissue and secretory canals are scattered in the medullary parenchyma and deeper in this region are arcs of secondary parenchyma, possibly periderm. In places the centripetal and centrifugal xylem are in contact and occasionally the tapered ends of the rows of centrifugal tracheids merge into groups of primary xylem elements. The preservation in the central region is far from complete, and although the occurrence of primary xylem groups is probable it cannot be said to be positively established. At the inner edge of the centrifugal xylem and in tangential longitudinal sections a few leaf-traces are seen, but nothing is known as to the nature of the leaf-traces in their course beyond the stele nor have we any data with regard to the leaves or reproductive organs.
This older species differs from Cycadoxylon Fremyi in the limitation of the centripetal xylem to the outer portion of the pith and in the presence of sclerous nests in the medullary region, though the latter character is probably of no great taxonomic value. Cycadoxylon robustum approaches more closely to Lyginopteris, and although the differences are sufficient to justify a distinctive generic name, there can be little doubt as to a fairly intimate relationship between this type of Cycadoxylon and Lyginopteris.
Ptychoxylon[482] Levyi Renault. Like many Palaeozoic genera founded on anatomical features, Ptychoxylon[483] is represented only 188by stems, our knowledge of the leaves being confined to the leaf-traces in the stem which appears to have a phyllotaxis of ⅜. The stem of this Permian species has a diameter of 5–6 cm.: the comparatively broad cortex contains numerous secretory canals, but in place of hypodermal strands of stereome there is a superficial periderm. The vascular tissue, consisting of secondary xylem and phloem, assumes different patterns at different levels. There is an outer vascular cylinder of centrifugally developed xylem and phloem; the xylem is manoxylic and the tracheids 189have 3–5 rows of bordered pits on the radial walls. At intervals the continuity of the main stele is broken by the formation of leaf-gaps and before one gap is repaired a second may be produced, thus converting the cylinder into two crescentic and infolded bands (fig. 453, A). A striking character is the occurrence in the large parenchymatous central region of internal vascular bands or arcs varying in size and number at different levels and composed of centripetally developed secondary xylem and phloem. These internal bands differ from the outer and broader cylinder both in their inverse orientation and their limited vertical range. The connexion between the inner and outer vascular tissue and the alteration in plan of the conducting tissue at different levels are illustrated by fig. 453, 1–4, simplified from some of Renault’s figures of successive sections through a vertical distance of 4–5 cm. In section 1 the main cylinder is continuous except for a small gap where a leaf-trace is about to be given off: there are three internal vascular bands similar in structure to the outer stele but inversely orientated. At a higher level (section 2) the leaf-gap is larger and in it is a double leaf-trace of two collateral strands consisting of primary centripetal xylem and a fan-like group of secondary xylem and phloem. The free edges of the outer stele of section 1 have curved inwards and united with the two lateral medullary bands, while the lower internal band of section 1 has increased in extent and forms a discontinuous arc with the upper portions enclosed by the loops formed by the infolded ends of the outer vascular tissue. In section 3 a second leaf-gap has been formed in the outer stele and its invaginated ends have fused with the internal bands. In section 4 the first leaf-gap is closed and the invaginated bands of section 3 have broken up into an irregular circle of shorter bands. The section reproduced in fig. 453, A, shows the main cylinder in the form of two curved and flattened loops, each composed partly of the centrifugally developed xylem and phloem of the main stele and in part of the inversely orientated tissue of the inner bands. At a lower level the two bands b, b, will become detached as the upper leaf-gap is closed and form part of an inner cylinder like the discontinuous ellipse formed by the two bands c. The section of a branch-stele is seen at a.
190
Ptychoxylon differs considerably from Medullosa, which Renault included in the Cycadoxyleae, in the plan of the vascular system: there is nothing corresponding to the ‘partial pith’ or primary region which forms the central portion of the plate- and snake-rings in Medullosa. The double leaf-trace and the absence of the Medullosa type of hypoderm are other distinguishing features. The paired leaf-bundles suggest comparison with Lyginopteris among other genera and, as Scott[484] points out, the internal arcs of inversely orientated tissue which sometimes occur in the peripheral region of the pith of Lyginopteris (fig. 405, C, c) behave like the internal bands of Ptychoxylon in occasionally joining the main cylinder at a leaf-gap; but the differences outweigh the resemblances. As regards the general arrangement of the vascular tissue in two irregular concentric circles and their connexions with one another, but not in the structure of the xylem and phloem, there is a similarity between this genus and such a Fern as Matonia. In the varying patterns formed by the vascular system at different levels in the stem Ptychoxylon resembles the Ferns Polypodium quercifolium and P. heracleum[485].
In 1856 Unger[486] described several fragmentary petrifactions from Thuringian strata of Upper Devonian age, the majority of which he referred to the Calamarieae and the Rhachiopterideae. In an earlier publication[487] he gave a list of species including two families, the Haplocalameae and the Calamoxyleae, assigned by him to the group Calamarieae: in the Haplocalameae he placed the new genera Kalymma, Calamosyrix, Calamopteris, and Haplocalamus. These were subsequently examined by Graf Solms-Laubach and identified as portions of petioles, for the most part belonging to unknown stems. In his second family, the Calamoxyleae, Unger included the single genus Calamopitys represented by the type-species C. Saturni. The type-specimens have been thoroughly investigated by Solms-Laubach[488] who instituted the 191family-name Calamopityeae and recognised a close anatomical affinity between Calamopitys and Lyginopteris, a conclusion which led to the incorporation of Unger’s genus in the Pteridosperms. Further data have been supplied by Zalessky[489] and, more recently, by Scott and Jeffrey[490] who have recognised Calamopitys in Lower Carboniferous beds in Kentucky.
Our knowledge of this and other species is confined to stems and petioles. One of the largest examples of the species is a piece of stem with a diameter of 1·5 cm.: the single stele consists of a parenchymatous pith enclosed by secondary xylem made up of tracheids with 4–8 rows of bordered pits and medullary rays more than one cell broad and of considerable depth. Between the inner edge of the wood and the pith are groups of primary xylem (fig. 454, B, x) which, like those in Lyginopteris, constitute the leaf-traces: each has a single internal protoxylem strand (fig. 455, B). The comparatively wide cortex consists of parenchyma with a hypoderm of the Sparganum type. Each primary xylem-strand passes out as a single leaf-trace through the secondary xylem and on emerging divides into two as in Lyginopteris: these branch in the cortex and the two are replaced by six in the leaf-base (fig. 454, B–D). As seen in figs. 454, C, 455, A, the boundary between the stem proper and the decurrent leaf-base is marked by a line of stereome strands. The petioles of Calamopitys192 Saturni agree generally in structure with the imperfect specimens on which Unger founded his genus Kalymma[491], so named in reference to the structure of the hypodermal zone. A specimen described by Solms-Laubach as a Kalymma petiole occurs in organic connexion with a stem of Calamopitys (fig. 454, C: a detached petiole is shown in fig. 454, D). The identification by White[492] of this attached petiole with Unger’s K. grandis has been confirmed by Scott and Jeffrey. A fuller account of Kalymma (fig. 456) is given on a later page, as the petioles so named belong to more than one species of stem.
In Calamopitys Saturni we have a plant agreeing with Lyginopteris in the possession of secondary xylem of the manoxylic type and in the structure of the common primary bundles, while it is distinguished from Lyginopteris by the greater number and by the structure of the bundles in the axis of the leaf.
193
This species, originally assigned to the genus Stigmaria, has a more strongly developed primary vascular system and there is a more decided tendency towards the formation of a continuous zone of primary xylem on the inner edge of the secondary wood; but where the protoxylem tracheids occur the metaxylem elements form definite strands, like those of C. Saturni. It has been pointed out by Scott and Jeffrey that there is some evidence of the occurrence of tracheids in the parenchymatous pith of this species, an important feature distinguishing it from C. Saturni and connecting it with C. americana. Information with regard to the behaviour of the leaf-traces is far from complete, but there are indications that each trace divides into two before emerging from the secondary xylem[494]. The leaf-traces in the cortex are concentric as in C. Saturni.
This Lower Carboniferous species[495] from the Waverley shales of Kentucky is represented by portions of stems and leaf-bases and detached petioles. The secondary wood consists of tracheids, 30–60μ in diameter, with deep and broad rays; the small pits on the tracheids form 5–6 alternating series. Phloem and cambium are very imperfectly preserved. The outer cortex is of the same type as in other species. At the inner edge of the secondary xylem there is a ring of primary xylem strands of mesarch structure composed of rather larger tracheids, 80–120μ in diameter, separated from one another by narrow strips of parenchyma. So far the vascular tissue agrees with that of C. annularis. In the American species the axial region is not a parenchymatous pith but a protostele, consisting of parenchyma and a larger or smaller number of tracheal groups, the number being less in stems with a larger central region. The peripheral strands alone are concerned with the emission of leaf-traces, as in Heterangium. Each primary xylem strand divides into two as it leaves the perimedullary zone and passes through the secondary xylem as two 194bundles, each being accompanied by an arc of secondary tracheids which, in the cortical region, completely surrounds the primary elements. At a later stage the single protoxylem of each trace divides into two and before entering the leaf-base there is a further division. In some specimens leaf-bases of the Kalymma type were found attached to the stem. The occurrence of tracheids in the axial region is a distinguishing feature and suggests a comparison with Heterangium, while C. Saturni agrees more closely with Lyginopteris; the species C. annularis would appear, from the recent observations of Scott and Jeffrey, to occupy an intermediate position.
Calamopitys, as the generic designation is here employed, is confined to central Germany and Kentucky and occurs in Upper Devonian and Lower Carboniferous strata. There is, however, some doubt as to the exact geological horizon of the rocks in both countries though in neither case is there any question of an horizon higher than Lower Carboniferous. Certain specimens from the Lower Carboniferous of Scotland described by Scott[496] as species of Calamopitys have been made by Zalessky the type of a new genus, Eristophyton, and are dealt with under that name.
Kalymma grandis (petiole of Calamopitys). Under the generic name Kalymma Unger described specimens from Thuringia of Upper Devonian age which he assigned to two species, K. grandis and K. striatum. Solms-Laubach has shown that Kalymma is not an independent stem as Unger believed but a petiole of Calamopitys, and this has been confirmed by Scott and Jeffrey who found a leaf-base with the Kalymma type of structure in connexion with a piece of Calamopitys stem, probably C. americana. An examination of a section (2·3 cm. broad) of Unger’s K. grandis in the collection of the Geological Survey enables me to confirm the conclusions recently published by Scott and Jeffrey. The best specimens of Kalymma, which appear to be identical in essential features with Unger’s type-species, are from Kentucky, some from the Genessee shales of Upper Devonian age and others from beds (Waverley shales) believed to be Lower Carboniferous. 196Through the kindness of Prof. Bower I have had an opportunity of examining sections from the older horizon in his possession. The transverse section reproduced in fig. 456 has a diameter of 3·8 × 2·2 cm.[497]: on one side the radially placed plates of stereome are clearly shown, and in the outer portion of the ground-tissue is a ring of vascular bundles varying in size and shape but with a general tendency to a radially elongated form. The ground-tissue consists of homogeneous parenchyma: in one place I noticed what appeared to be a large secretory canal, but secretory tissue, generally at least, is unrepresented. The xylem is composed of imperfectly preserved elements, which appear to have scalariform pits; spiral protoxylem strands, embedded in the metaxylem as two or four groups, occur near the ends of the long axis of the bundle and in some cases also near the centre. The phloem probably surrounded the xylem, though it is not certain whether the arrangement was collateral or concentric: there are no secondary-xylem tracheids, though in some places I noticed a tendency to a radial disposition of cells at the periphery of the vascular tissue simulating an early stage of secondary growth. Unger’s second species Kalymma striata is characterised by an arrangement of the bundles similar to that in a petiole described by Scott and Jeffrey as Calamopteris Hippocrepis which differs from Kalymma in the partial substitution of bands of vascular tissue for separate bundles and to some extent in the disposition of the bundles. The two types of petiole Kalymma and Calamopteris, as Scott and Jeffrey state, are very closely allied. Dawson and Penhallow[498] have also described Kalymma grandis from Kentucky but they, like Unger, mistook the hypodermal stereome for an outer zone of vascular bundles. The petioles from Germany and North America included under the name Kalymma grandis, though too similar to be referred to different species, no doubt represent petioles of stems which are unquestionably distinct types: as in the case of Myeloxylon in its relation to the genus Medullosa, Kalymma stands for several closely allied forms of petioles belonging to several species of Calamopitys.
197
Eristophyton fasciculare (Scott). The generic name Eristophyton[499] was proposed by Zalessky[500] for two incomplete stems of Lower Carboniferous age provisionally[501] referred by Scott to Araucarioxylon and subsequently to Calamopitys[502]. The species E. fasciculare was founded on material obtained by Dr Kidston from the Lower Carboniferous of Dumbarton, Scotland, and on a specimen in the Williamson collection from Northumberland. There is a small pith of parenchyma, 2–3 mm. in diameter, with eight strands of primary xylem of varying diameter (fig. 457) and in each a single protoxylem-group. The primary xylem elements are considerably larger than the secondary tracheids. These xylem-bundles are leaf-traces and their disposition points to a phyllotaxis of ⅖. The traces attain their maximum size when about to pass out through the secondary xylem. The tracheids are reticulate and scalariform while some have an intermediate type of pitting. A leaf-trace on reaching the pith gradually moves further from the xylem-cylinder and may be separated from it by 2–6 layers of parenchyma: as it passes down the pith the protoxylem strand assumes an almost endarch position consequent on the reduction of the centripetal xylem. In Scott’s words, ‘each circummedullary strand branches at regular 198intervals; the one branch, that on the anodic side [turned towards the course of the genetic spiral], becomes the leaf-trace and passes out, while the other continues its course up the stem as a reparatory strand, until the next leaf of the orthostichy has to be supplied[503].’ The secondary xylem consists almost entirely of tracheids with 3–4 rows of pits on the radial walls and medullary rays usually one cell broad varying in depth from 1 or 2 to 16 or more cells. A characteristic feature of the secondary xylem is the occurrence on its inner face of numerous short and broad tracheae similar to the still larger tracheae in the primary stele of Megaloxylon[504]. Nothing is known as to the behaviour of the leaf-trace in the extrastelar region, but the fact that an outgoing trace was found to have two protoxylems points to a subdivision similar to that of the foliar bundles of Calamopitys Saturni. A well-marked difference between Eristophyton fasciculare and Calamopitys and Lyginopteris is the more compact structure of the secondary wood; it is pycnoxylic and not manoxylic. Prof. Zalessky in criticising the use of the generic title Calamopitys puts forward several arguments in support of his institution of a new designation: (i) the primary xylem strands of Eristophyton are not confined to the periphery of the pith as is the case in Calamopitys Saturni, though he speaks of one leaf-trace in the latter species separated by several layers of cells from the xylem-cylinder; (ii) some of the pith-cells have thick walls and dark contents in distinction to the homogeneous parenchyma of Calamopitys, a feature of little importance; (iii) the difference in the structure of the secondary wood already alluded to, though this loses some of its significance by the occurrence of narrower rays, more like those of Eristophyton, in C. annularis; (iv) the more elliptical and broader pits in the secondary tracheids in place of the more regular hexagonal form in Calamopitys. While admitting a certain degree of relationship between the two types, Zalessky asserts that as yet we have insufficient evidence to justify their generic union. Scott[505] maintains that Zalessky does not attach sufficient weight to the form and mesarch structure of the primary xylem bundles as a feature common to both genera.
199
| 1850. | Araucarites Beinertianus Goeppert, Mon. Foss. Conif. p. 233, Pls. 42, 43. |
| 1872. | Araucarioxylon Beinertianum Kraus, in Schimper’s Trait. Pal. Vol. ii. p. 381. |
| 1888. | Araucarites Beinertianus Goeppert and Stenzel, Abh. K. Preuss. Akad. Wiss. p. 30, Pl. iv. |
| 1902. | Calamopitys Beinertiana Scott, Trans. R. Soc. Edinb. Vol. 40, p. 341, Pls. i., iv., v. |
| 1909[506]. | Ullmannites Beinertianus Tuzson, Result. Wiss. Erforsch. Balatonsees, Bd i. Teil i. p. 24. |
| 1911. | Eristophyton Beinertianum Zalessky, Com. Geol. St Pétersb. p. 24. |
The pith, 13–15 mm. in diameter, is rather larger than in E. fasciculare and is characterised by the occurrence of dark sclerotic nests surrounded by radially disposed rows of parenchyma. The primary xylem strands are more numerous and smaller than in E. fasciculare and these increase in diameter as they approach the secondary wood. In places the primary xylem elements form a more or less continuous band as in Calamopitys annularis. The largest leaf-trace bundles at the periphery of the pith are mesarch (fig. 458), but as each trace passes down the pith the reduction in the centripetal xylem is carried further than in E. fasciculare until the xylem-strand becomes endarch in the lower part of its course. The secondary tracheids have usually two contiguous rows of pits and the medullary rays are one cell broad.
There can be no doubt as to the generic identity of the two 200species referred to Eristophyton, but the question as to the degree of affinity to Calamopitys is more difficult to settle. There is force in Zalessky’s contention that these two stems should not be retained in Calamopitys: the recently described American species, C. americana Scott and Jeffrey, gives emphasis to the view that the restriction of Calamopitys to the German (and American) types is the safer course. While Calamopitys as thus restricted is almost certainly a Pteridosperm, the inclusion of the types referred to Eristophyton in the same category rests on a more slender basis.
This order was founded by Unger[507] for some imperfectly preserved stems from Palaeozoic strata in Thuringia and in it he included the two genera Cladoxylon and Schizoxylon. There is some doubt as to the precise age of the Thuringian beds; they were assigned by Richter to the Devonian system and subsequently placed in the Culm: Solms-Laubach in his later reference to Unger’s plants favours a Devonian horizon[508]. Unger included the Cladoxyleae in the Lycopodiales, and though this conclusion is not accepted the position of the order is still uncertain. His genus Schizoxylon has no claim to generic separation from Cladoxylon. An inspection of the illustrations in the memoir by Richter and Unger reveals a striking resemblance in the main anatomical features between several types assigned to different genera and distributed among the Cladoxyleae and Rhachiopterideae (a term first used by Corda for petrified rachises or petioles of ferns) and other orders. Solms-Laubach[509], to whom our more accurate information as to Unger’s plants is chiefly due, is inclined to regard the specimens referred by Unger to the genus Arctopodium as young stems of Cladoxylon, and he draws attention to a close similarity between Hierogramma, another of Unger’s genera, and Cladoxylon. Paul Bertrand[510] goes further in considering that the following genera represent one generic type, namely Syncardia (fig. 459, F), Hierogramma, Arctopodium, Cladoxylon, and Schizoxylon. The same author interprets the fossils so named by 201Unger as stems and does not agree with the inclusion of any of them in the Rhachiopterideae. Without losing sight of the fact that Bertrand’s conclusion is not based on proof but is the expression of a view suggested by a close agreement in general anatomical plan, I venture to adopt the designation Cladoxylon in a wide sense primarily on the ground that Bertrand’s view is probably correct and in part for the sake of convenience of description. As Unger’s species of Cladoxylon differ from one another in features which may fairly be regarded as of minor importance, they are included under one specific name.
Cladoxylon mirabile Unger[511]. The following are regarded as specifically identical with or closely allied to Cladoxylon mirabile: C. dubium, Schizoxylon taeniatum, Hierogramma mysticum, Syncardia pusilla, Arctopodium insigne and A. radiatum[512].
i. Stems. The stems assigned to Cladoxylon are characterised by a complex system of steles, either simple or branched and occasionally anastomosing, presenting in transverse section the form of oval or cylindrical strands or narrow, straight or curved bands arranged on a more or less clearly marked radial plan (fig. 459, A, B, D). In some stems the primary vascular tissue is enclosed by secondary xylem and phloem (fig. 460, B), while in others (Unger’s Arctopodium, Hierogramma[513], Syncardia) there is no evidence of secondary thickening. The diagrammatic drawing represented in fig. 459, F, shows a section of a small axis, regarded by Unger and Solms as a petiole (3 mm. in diameter), containing four vascular strands composed exclusively of primary xylem, each with one or, in the case of a double strand, two protoxylem groups. This type may be a slender stem or branch or possibly a petiole. The other extreme, as regards complexity of vascular structure, is represented by such stems as those shown in fig. 459, A, B, D. In Unger’s Cladoxylon mirabile (fig. 459, A; fig. 460, B) the stem reaches a diameter of 3 cm. and consists of several radially disposed plates of vascular tissue with an 202occasional smaller oval or cylindrical stele embedded in a ground-tissue composed of thick-walled cells. The plates are curved like a U or sinuous and not infrequently anastomosing. In a section of this type figured by Unger the vascular plates appear to form a complex anastomosing system, but Solms[514] states that the drawing exaggerates the amount of fusion between the strands, and an examination of a section in the collection of the English Geological Survey cut from Unger’s specimen enables me to confirm this statement. Each vascular plate consists of a narrow median region composed of primary tracheids with a scalariform type of pitting surrounded by secondary tracheids with interspersed medullary rays one cell broad. The thickness of the 203secondary xylem varies considerably in the same specimen and in places this tissue is hardly represented, a fact of importance in view of the very striking resemblance between Arctopodium and Cladoxylon, the sections referred by Unger to the former genus having steles without any secondary xylem. The occurrence of one or two elongated spaces (shown in black in fig. 459, A) near the distal end of each plate mark the position of the protoxylem tracheids. Fig. 459, C, represents a stele of a stem referred by Unger and by Solms to Cladoxylon dubium which shows the typical Cladoxylon structure, namely the central primary xylem with distally placed protoxylem and the enclosing sheath of secondary xylem. In the stem shown in fig. 459, D (C. dubium) there are 12 steles, each constructed on the plan already described, differing in their relatively broader and shorter form and in the greater breadth of the secondary xylem from those seen in fig. 459, A (C. mirabile). The black areas in fig. 459, A, show the primary xylem, and the protoxylem is seen in fig. 459, C. A stem described by Dawson[515] as Asteropteris noveboracensis from Devonian beds is compared by him with Unger’s Cladoxylon mirabile and regarded as possibly allied to it. The radial plates of xylem in Dawson’s plant meet in the centre like those of Asterochlaena and the leaf-traces are of the Clepsydropsoid type.
The type of stem for which Unger founded his genus Schizoxylon is represented in fig. 459, B; there are five small steles in the centre and external to these eleven radially arranged plates, with oval steles between them, in the peripheral region of the stem. Each stele consists of primary (black in the figure) and secondary xylem and agrees with the steles in the other stems.
From the type of stem illustrated by Cladoxylon mirabile to that on which the genera Arctopodium[516] and Hierogramma[517] were founded is a very small step: the vascular tissue has the same characters both as regards gross and minute anatomy, but there is no evidence of cambial activity in the stems referred to the two latter genera, a difference in itself hardly worthy of generic recognition.
204
ii. Leaves. Before describing a second type of stem referred to Cladoxylon it is important to consider briefly such evidence as we have as to the vascular supply of the leaves. Nothing is known of the reproductive organs and there is no satisfactory information with regard to the form of the fronds. Solms-Laubach has described the only known example of a lateral branch of a Cladoxylon stem (fig. 459, E): this has a single concentric vascular strand of plate-like form with two blunt projections and there are four protoxylem-groups, two in the angle of the plate and two at the base of the projections. The structure is essentially fern-like; the xylem is wholly primary. This type of vascular strand agrees fairly closely with that of a petiole described by Unger as Megalorhachis elliptica, a section of which is in the Museum of the Geological Survey[518]. The petiole is oval in section and laterally winged, and the meristele is tangentially elongated and has two blunt projections almost identical with those in fig. 459, F. There is no evidence as to the nature of the supporting stem, but there can be little doubt as to the close connexion with Megalorhachis and the section shown in fig. 459, F. In a note published in 1908 P. Bertrand stated that he had identified several of Unger’s genera as stems which bore leaf-traces having the form and structure of Clepsydropsis, one of the types referred by Unger to the Rhachiopterideae and described in the second volume of this work[519] as a Coenopteridean petiole. Bertrand points out that in the oval or plate-like steles of Cladoxylon, Arctopodium, Hierogramma, etc., there is a single protoxylem group near the distal end of the primary xylem, and he adds that the leaf-traces were formed of strands cut off from the distal portions of the vascular plates. Similarly the hour-glass-like leaf-trace in the primary rachis of Clepsydropsis gives off from each end a ring of xylem to supply a secondary rachis. These laterally detached annular strands are, he believes, similar to the leaf-trace cut off from the steles in a Cladoxylon stem. The conclusion is that Cladoxylon is a fern stem and its leaf-trace represents the simplest form of the Clepsydropsis type, namely an oval bundle of xylem with a central protoxylem, which is 205also the form of the trace given off from the stem of Asterochlaena. Solms[520], while admitting that Bertrand may be correct in uniting under one genus Cladoxylon and such types as Syncardia, Hierogramma, and Arctopodium, disagrees with the view that they are Clepsydropsis stems. A Clepsydropsoid leaf-trace has never been found in direct association with any of the stems of the Cladoxylon type and such evidence as there is indicates a leaf-trace of an entirely different form (fig. 459, E). In his more recent memoir on Asterochlaena Bertrand[521] draws attention to Solms’ figures of a stele of Cladoxylon (fig. 459, C) in which the distal portion is on the point of being separated as a small annular strand. This, Bertrand considers, would gradually become converted into a Clepsydropsis form of stele as it passed to the petiole. Bertrand’s drawings made from a section of Cladoxylon taeniatum (Ung.) (fig. 459, G) illustrate successive stages in the departure of a leaf-trace from one of the plate-like steles of the stem (fig. 459, B). In fig. 459, G, 1, a piece of the stele is detached and near its extremity is a group of thin-walled cells with protoxylem: a later stage is seen in fig. 2, and in fig. 3 a small ring of xylem is being detached which, Bertrand assumes, would later in its course be converted into the Clepsydropsoid strand (fig. 4), which consists of primary tissue. The weak point in Bertrand’s contention[522] is the absence of any proof of a true Clepsydropsoid trace in connexion with a Cladoxylon stem, and there is a strong probability that the leaf-trace of Cladoxylon has the form shown in fig. 459, E.
This species, founded on imperfectly preserved material in Dr Kidston’s collection from Lower Carboniferous rocks in Berwickshire, is referred to Cladoxylon on evidence that cannot be regarded 206as convincing. The type-specimen consists of a small piece of stem about 3 cm. in breadth showing three complete oval steles and portions of two others which seem to be in their original position and probably formed part of a series of peripheral steles such as those shown in fig. 459, D. Each stele consists mainly of secondary xylem (fig. 460, A) with some crushed tissue, presumably phloem, on its outer face. The secondary xylem is 207narrower on the inner side of each stele where a wedge-shaped piece is partially detached. In the centre there is a narrow area parallel to the long axis of the stele containing crushed tissue which probably consists of parenchyma and primary xylem, but the preservation is very imperfect. The secondary xylem has a fairly compact structure and the rays are narrow, 1–10 cells in depth. The pits of the tracheids are described by Solms as scalariform with occasionally two rows of elliptical pits on the radial walls. A careful examination of the type-specimen leads me to describe the pits as uniseriate and transversely elongated, very like those of Protopitys, or biseriate and almost circular like those of Conifers, the pits of the two rows being alternate or sometimes opposite (fig. 460, C): in places three rows of bordered pits are present. There is a certain degree of resemblance between the steles of this species and those of the South African stem Rhexoxylon[524], but the data are inadequate for a satisfactory comparison.
There is a close similarity between the vascular systems of Cladoxylon and Medullosa, but an obvious difference is the substitution of the oval, transversely elongated, pits on the xylem elements for the multiseriate pitting of Medullosa. In Cladoxylon Kidstoni the pitting shows transitional forms between a narrow scalariform uniseriate type and a biseriate or triseriate arrangement similar to that in the Araucarineae and Cordaitales. In Cladoxylon, as limited by Unger, the presence of secondary wood is a generic feature, but by the inclusion of Arctopodium and other forms this character no longer holds good. The inclusion of these more fern-like stems without secondary xylem brings Cladoxylon (in the wider sense) into closer contact with Asterochlaena, a comparison previously suggested by more than one author. In Medullosa the development of secondary xylem is on a larger scale than in Cladoxylon, and the vascular system of the former genus assumes a more complex form. Moreover the Myeloxylon type of petiole, which is a distinctive feature of Medullosa, differs widely from any form of leaf-trace associated with Cladoxylon.
208
Völkelia refracta (Goeppert). The generic name Völkelia[525] was proposed by Solms-Laubach[526] as a substitute for Sphenopteris[527] in the case of some petrified stems or petioles associated with fragmentary impressions of fronds from Lower Carboniferous rocks in Silesia. Both leaf-impressions and petrifactions were included in the genus Sphenopteris: Solms, while retaining Goeppert’s designation for the leaf fragments, proposed a new generic name for the petrifactions on the ground that there is insufficient evidence of their connexion with the leaves. The short account of Goeppert’s petrified specimen given by Graf Solms-Laubach in his ‘Fossil Botany[528]’ is supplemented by a fuller description in a later paper. The fragments of highly compound fronds are characterised by very small filiform ultimate segments, but the specimens are too imperfect to afford a clear idea of the habit of the leaf. The ‘stem’ bears a close superficial resemblance to that described by Unger as Cladoxylon dubium (fig. 459, C, D) and was regarded by him as an example of that species: it contains several radially placed steles represented by fairly well-preserved xylem, but no phloem has been recognised. The steles vary in size and shape: five reach almost to the centre (fig. 461, A) and smaller xylem groups occupy a peripheral position. Each stele is excentric in structure and consists of (i) an outer zone of secondary tracheids of horse-shoe form in transverse section, but the apparent gap in the secondary xylem on the outer edge of each stele is due to the crushing of the tracheal tissue and to its smaller breadth in the distal part of each group; this is shown in fig. 461, B, where the apparent gap is seen to be occupied by distorted and crushed tracheids, a, identical with those which form the rest of the outer zone (fig. 461, B, b); (ii) a zone of tracheal tissue continuous with and originally identical in appearance—except that the elements are rather narrower—with the outer secondary xylem; (iii) an excentrically situated island composed of tracheids enclosing a small central area occupied by thin-walled parenchyma. This third region, represented by 209black patches in fig. 461, A, in all probability represents the primary part of each stele to which the rest of the tissue has been added by the cambium. A striking feature of the secondary xylem is the absence of medullary rays: the tracheids resemble those of Cladoxylon and Protopitys in the transverse elongation of the pits (fig. 461, D) which form either a single row or several irregularly distributed rows. The primary xylem consists in the peripheral region of tracheids with very narrow scalariform pitting which at first sight suggest close spiral bands (fig. 461, C), while the inner tracheids are either annular or reticulate and associated with elongated parenchyma. The imperfectly preserved ground-tissue appears to consist of homogeneous parenchyma with radially disposed bands of stereome in the outer cortex.
Our knowledge of Völkelia, though far from complete, justifies its generic separation from Cladoxylon from which it differs in the lack of medullary rays and in the structure of the primary portion of each stele. In the form and arrangement of the pits in the secondary tracheids Völkelia differs from Medullosa and 210resembles Cladoxylon. The opinion expressed by P. Bertrand[529] that Völkelia is probably the stem of one of the Zygopterideae is based on the older accounts of the genus and not on the fuller description of 1910.
The only species so far described is that for which Goeppert founded the genus in 1850, substituting Protopitys[530] for the name Araucarites, adopted in an earlier paper, on the ground that the structure of the xylem denoted a distinct generic type. The type-species is from the Upper Devonian rocks of Falkenberg in Silesia.
| 1845. | Araucarites Buchianus Goeppert, in Wimmer’s Flor. Schlesien (edit. ii.) p. 218. |
| 1847. | Pinites Goepperti Unger, Chlor. Protog. p. 31. |
| 1847. | Dadoxylon Buchianum Endlicher, Syn. Conif. p. 300. |
| 1850. | Protopitys Buchiana Goeppert, Foss. Conif. p. 229, Pl. xxxvii. figs. 4–7; Pl. xxxviii. figs. 1, 2. |
In his Monograph of Fossil Conifers Goeppert figured a large piece of stem consisting mainly of secondary wood and described the more important anatomical features. He recognised the narrow, transversely elongated, pits on the radial walls of the tracheids as a feature of special interest indicating a type of pitting transitional between that of Ferns and Conifers. A further description was given by Kraus[531] who included under Goeppert’s name both the Falkenberg stem and a second specimen from Basel though the latter is Triassic in age and a distinct plant; he suggested a comparison of Protopitys with Sigillaria and Stigmaria rather than with Conifers. It is, however, to Graf Solms-Laubach[532] that we owe the most thorough account of this species. Nothing is known of the leaves or reproductive organs. The largest piece of stem is nearly 1 ft in diameter and consists mainly of secondary xylem resembling that of Conifers and Cordaites except in the 211form of the bordered pits on the radial walls of the tracheids (fig. 462, D). The centre of the stem is occupied by a parenchymatous pith, elliptical in transverse section, enclosed by a band of primary xylem composed of large polygonal tracheids (fig. 462, C, x1) characterised by a delicate scalariform pitting on all their walls (fig. 462, E). The primary xylem forms a narrow layer on the sides of the ellipse, 1–3 elements broad (fig. 462, A, B), but 212it increases in breadth at the ends of the long axis where the tracheids are intermixed with parenchyma. The primary xylem and pith-tissue at the ends of the major axis of the central region assume different forms at different levels, owing to the detachment of leaf-traces and the consequent formation of foliar gaps as portions of the primary xylem pass obliquely outwards into the secondary xylem on the way to the distichously arranged alternate leaves. The diagram, fig. 462, A, shows the inner part of the secondary xylem (see also fig. 462, C, x2) which at one end, lt, has formed an oval group about to pass out as a leaf-trace: at the opposite end the strand is detached and divided into two equal branches. The two swellings of the primary xylem ellipse shown at a in figs. 462, A and B, are a characteristic feature: these are clearly seen after the leaf-trace has become detached; at the inner edge of each of them there appears to be a protoxylem strand. After the formation of a foliar gap these swellings of the xylem gradually meet and so re-establish continuity below the outgoing leaf-trace. No protoxylem has been detected in the actual trace, which is believed to be concentric. The formation of the leaf-gap and the shoulders bordering it constitute interesting filicinean features, recalling corresponding characters in solenostelic Ferns. At the upper end of the diagram, fig. 462, B, the outgoing leaf-trace is undergoing dichotomy while at the opposite end the trace has passed out of view. The secondary xylem shows incomplete rings or arcs of narrower elements, which at first sight give the impression of annual rings: the occurrence of similar incomplete or pseudo-rings is a common feature in Lepidodendron and other Palaeozoic stems. The secondary tracheids (54·4μ in tangential diameter, 68·5μ in radial diameter) have usually a single series of broadly oval bordered pits on the radial walls with here and there two rows (fig. 462, D). In one case only were the pits of the medullary rays recognised (fig. 462, F). The rays are uniseriate, generally 1–2 cells deep, but occasionally 3 cells in depth and very rarely deeper. The cambium is of the normal type, and in some specimens secondary phloem was found consisting of bands, 4–5 layers broad, of stone-cells alternating with tubular thin-walled elements, presumably sieve-tubes.
213
As Solms-Laubach says, it is highly probable that each leaf-trace, which forks close to its exit from the primary xylem, became further subdivided before reaching the leaf. Morphologically, Protopitys is of special importance as a type possessing characters that indicate a connexion with Conifers or Cordaitean genera, notably the structure of the secondary wood, while the presence of foliar gaps is a feature reminiscent of Ferns. The primary xylem resembles that of some of the Palaeozoic arborescent Lycopodiales, but in Protopitys the interruptions in this tissue are due to the emission of leaf-bundles, whereas in the discontinuous primary xylem of some Sigillarias[533] the gaps have no connexion with leaf-traces. Moreover the distichous leaves of Protopitys and the larger, branched, leaf-traces are other distinguishing features. The pitting of the primary xylem is like that in the Lycopodiales and Filicales, while that of the secondary wood shows a closer approach to the coniferous type. A comparison may also be made with the transversely elongated pits of Cladoxylon Kidstoni[534].
A piece of wood agreeing anatomically with the Silesian species of Protopitys has been found in the Yoredale rocks of England[535].
The peculiarities of the genus have been emphasised by Solms-Laubach by the institution of a family-name Protopityeae: the genus is essentially a generalised type exhibiting in the structure of its stem both Filicean and Coniferous features. The bordered pits differ from those in recent Conifers in their flatter form, but in this respect they exhibit a closer agreement with the transversely stretched pits of Xenoxylon phyllocladoides Goth.[536], a Mesozoic species.
In 1879 Renault[537] briefly summarised the anatomical features of some silicified vegetative shoots from the Permian of Autun for which he instituted a new family, the Poroxyleae. The more complete account contains a description of two species, Poroxylon Boysseti and P. Duchartrei: the latter was afterwards recognised as a stem of Heterangium. Renault considered this new genus to be closely allied to Sigillaria and Sigillariopsis and pointed out its resemblance to Cordaites. Additional species have since been described but as yet the genus has not been found outside France in Permo-Carboniferous strata of Autun and the St Étienne district. The results of a more detailed investigation of the anatomy of the genus were published by Bertrand and Renault in 1882 and since then[538] Bertrand, Renault, and Scott have added to our knowledge of this interesting type. In several respects Poroxylon stems present a striking resemblance to Lyginopteris, but the recent discovery of the genus Mesoxylon has given greater significance to the characters in which Poroxylon agrees with representatives of the Cordaitales. Our knowledge of the genus, though exceptionally full with regard to the anatomy of vegetative shoots, does not include any precise information as to the reproductive organs.
215
The slender cylindrical stems, not exceeding 2–3 cm. in diameter in specimens so far recorded, bore large broadly linear leaves similar in form and venation to those of some species of Cordaites which were attached singly to slightly swollen nodes separated from one another by internodes several centimetres long. The base of the rather fleshy lamina passes imperceptibly from the narrow lower portion into a tangentially expanded petiole which forms a decurrent ridge on the stem. Axillary buds frequently occur. Little is known of the leaf-impressions, but if Grand’Eury[539] is correct in his identification of certain specimens from French Stephanian beds as the leaves of Poroxylon, the lamina reached a length of 1 met. and a breadth of 15–20 cm. In habit the stems probably resembled some of the larger-leaved Bamboos. The only evidence bearing on the nature of the reproductive organs is furnished by Grand’Eury who believes that some Rhabdocarpus seeds and bractless inflorescences associated with the leaves assigned to Poroxylon belong to that genus.
The single cylindrical stele has a relatively large solid pith, the perimedullary region being characterised by the occurrence of a row of primary crescentic strands of centripetal xylem of exarch type, though not improbably in some cases slightly mesarch, varying in size and shape and forming single or paired bundles. These strands represent the xylem of collateral leaf-traces similar to those of Lyginopteris but differing in the absence of well-defined centrifugal elements: the curved form of some of the xylem strands gives them an appearance similar to that of the leaf-traces of Lyginopteris. The leaf-traces, except in the lower part of their course through the pith, are double and pass through several internodes before the centripetal tracheids die out. The secondary xylem (fig. 463) is manoxylic and very similar to that of Lyginopteris though rather less parenchymatous. The secondary phloem and cambium are often very well preserved. No endodermis and no distinct pericycle has been recognised. The cortex is parenchymatous and, like the pith and to some extent the phloem, contains numerous secretory sacs; in the outer cortex the presence of hypodermal strands is a prominent 216feature. At an early stage in the growth of the stem a deep-seated phellogen forms secondary tissue both externally and internally and decortication ensues.
The bundle of each leaf-trace is accompanied by an arc of secondary centrifugal xylem as it passes through the secondary wood and this is retained in the leaf except in the finer veins. After entering the petiole the leaf-trace branches and an arc of 217bundles is produced, the concave side facing the upper surface of the thick lamina (fig. 464, A). Further reference is made to the structure of the leaves in the description of Poroxylon stephanense. The specimens of roots so far described are characterised by a diarch plate of primary xylem and two masses of secondary vascular tissue separated by two medullary rays opposite the protoxylems. Bertrand mentions the occurrence of roots of P. stephanense with more than two protoxylem strands. The phellogen was produced in the pericycle as in the roots of recent Gymnosperms. It is suggested by Lignier[540] that some silicified rootlets from Grand’ Croix (Loire) described by him as Radiculites reticulatus and at first compared with roots of Sequoia may belong to some Cordaitalean plant, possibly Poroxylon.
This species[541] affords a good illustration of the generic characters already summarised. The strap-like leaves are fleshy and the occasionally forked, parallel or slightly divergent, veins are embedded in a homogeneous mesophyll with hypodermal strands of mechanical tissue. The pith consists of parenchyma in vertical series with scattered secretory sacs and differs from that of Cordaites and Mesoxylon in the absence of transverse discs. There are 13 primary-xylem strands close to the inner edge of the secondary wood: the centripetal tracheids are scalariform or have multiseriate pitting like that in the secondary xylem. The structure of the leaf-traces is clearly shown in fig. 464: the double trace seen in fig. 464, C, has two protoxylem-strands accompanied by some parenchyma, and these are almost enveloped by the metaxylem tracheids which abut on the secondary wood. At this stage in its course, that is just before bending outwards, the centripetal xylem reaches its maximum development and the trace forms a prominent and broad twin-strand in striking contrast to the two narrower and tangentially extended strands shown in fig. 464, E, D. Each of these strands with a single protoxylem-group would at a higher level assume the broader and more compact form and contain two protoxylems as in fig. 464, C. The tracheids of the secondary xylem have 4–7 alternate 219rows of contiguous alternate pits on the radial walls: the medullary rays are 2–3 cells broad and may be 60 cells deep. According to Renault[542] several small oblique pits occur on the radial walls of the ray cells. The secondary phloem, separated by a normal cambium from the xylem, forms a broad band of sieve-tubes with lateral sieve-plates like those in Medullosa anglica alternating with tangential rows of parenchyma. The cortex is relatively narrow and in older stems is chiefly occupied by secondary tissue formed from deep-seated phellogens.
The stems of this species agree closely with those of P. Edwardsii, the chief difference being in the structure of the secondary phloem which does not show the regular concentric alternation of sieve-tubes and parenchyma.
This the oldest species, from Stephanian beds at Grand’ Croix, differs in no essential features from the other representatives of the genus. It is from a study of the leaves of this type that Bertrand and Renault have obtained most of the facts with regard to the anatomy of Poroxylon foliage. In the median region of the fleshy leaf the bundles are characterised by a comparatively large amount of centripetal xylem accompanied by a considerable development of secondary centrifugal tracheids: the bundles are connected laterally by both centripetal and centrifugal xylem and thus at certain levels in the lamina the vascular tissue has the form of a continuous plate (fig. 464, A, B). The veins become independent on branching and near the edge of the lamina they consist only of primary elements. Secretory sacs of elongated form are scattered in the homogeneous mesophyll, and thick stereome-strands underlie the epidermis. The epidermal cells are rectangular and rows of stomata occur on both surfaces.
A preliminary statement with regard to nomenclature may serve to remove possible misconceptions in connexion with the 220application of the generic name Cordaites. It has been the general practice to apply this name to certain forms of linear leaves which are particularly abundant in Carboniferous and Permian strata in Europe and North America, and in recent years a few palaeobotanists have substituted Cordaites for Noeggerathiopsis as the more suitable designation for Permo-Carboniferous specimens abundant in the rocks of Gondwana Land. It has been customary to assign to Cordaites certain reproductive shoots, seeds, and stems described under the generic names Cordaianthus, Cordaicarpus, Cordaicladus, Cordaioxylon, etc. Stems agreeing anatomically in their main features with those of recent Araucarineae have long been attributed to Cordaites, but a few years ago a new type of stem was discovered which, though almost identical with that of Cordaites, is distinguished by the character of the primary xylem. For this new type the name Mesoxylon[543] was proposed. Nothing is known as to the reproductive organs borne on Mesoxylon stems, but the leaves are externally at least indistinguishable from those referred to Cordaites. It is therefore obvious that when we apply the name Cordaites to leaves or other plant-organs, under that designation are undoubtedly included specimens belonging both to Mesoxylon stems and to stems with the characters of Cordaites (Cordaioxylon). Further research may enable us to subdivide Cordaites into more precisely defined types distinguished by well-marked morphological characters, but at present the only course would seem to be to restrict the term Mesoxylon to petrified stems exhibiting the features of that genus and to retain Cordaites as a comprehensive designation in accordance with the general account of the genus given in the following pages. This widely distributed and mainly Palaeozoic genus is especially well represented in the coalfields of France where in some localities it contributed largely to the formation of seams of coal[544], and it is chiefly from the researches of French Palaeobotanists that our knowledge of its morphology is derived. Cordaites has shared the fate of most other abundant fossil plants in the distribution of its disjuncta membra among several genera and classes, but on the whole the information that 221is now available enables us to reconstruct the complete plant with a greater degree of confidence than is usually attainable.
Cordaites may be described as a forest-tree closely resembling in habit and probably in size the recent Conifer Agathis, more especially such species as A. macrophyllus, A. vitiensis and others with leaves considerably longer than those of the Kauri Pine (A. australis)[545]. The main stem reached a considerable height before giving off scattered branches bearing spirally disposed, sessile, and often crowded leaves[546] like the foliage of Agathis. The absence of any evidence of a two-ranked arrangement of leaves on lateral branches suggests a general tendency towards a vertical rather than a horizontal direction of growth. The sessile and closely set leaves for the most part of leathery texture vary considerably in length and breadth in different types (figs. 466–472): in some the broadly linear lamina with its parallel veins and perfectly constructed [Symbol: I]-shaped girders (fig. 465) reached a length of nearly 100 cm., in shape like the blade of a straight broad-sword or the leaves of a Yucca, torn by the wind into strips; in other forms the lamina is shorter and more obovate, while in some the leafy shoots must have looked like slender stems of the smaller-leaved Bamboos. There is no proof that young vegetative branches with their spirally rolled leaves[547] were protected by bud-scales, but some oval triangular scales (fig. 468, C), occasionally found in association with larger foliage-leaves, may have served that purpose. The branches from which leaves had recently fallen at the time of fossilisation are characterised by transversely elongated oval scars, occasionally showing a slightly curved row of pits like the marks of leaf-traces on the scars of a Horse Chestnut, sometimes terminating a feebly projecting decurrent leaf-cushion (fig. 466, C). The leaves persisted for a comparatively long period as in Araucaria imbricata, and on older leafless branches the scars are transversely stretched; the leaf-cushion loses its individuality and eventually the development 222of secondary cortical tissue causes the exfoliation of the superficial bark.
In the form and structure of the fertile shoots Cordaites parts company with Agathis; the trees bore no cones in the ordinary sense, but unisexual inflorescences—whether on one plant or on different individuals is uncertain—were produced in the axils or from a supra-axillary position as compound spikes or compact racemes. Both the longer female shoots and the shorter and more compact male branches are constructed on a similar plan. The ovulate inflorescence may exceed 30 cm. in length (fig. 479); a stout axis bears two-ranked linear bracts subtending short lateral bud-like shoots with one or several sessile or stalked ovules (fig. 480) between the sterile scales. The seeds are platyspermic and agree much more closely with those of Cycads and Gingko than with the seeds of Conifers. The male inflorescence is on a smaller scale, in habit not unlike the elongated male shoot of Cephalotaxus pedunculata and some other Conifers; each bract subtends a small oval bud composed of imbricate scales and highly modified microsporophylls borne singly or in clusters (figs. 481, F; 482). A microsporophyll consists of a comparatively long pedicel bearing at its apex a few long microsporangia. The term microsporophyll implies a morphological interpretation which is not accepted by all palaeobotanists, some of whom prefer to regard the microsporangia as stamens or microsporophylls reduced to their simplest terms and sessile on an elongated flower-stalk.
The stem agrees very closely in its more important features with that of an Araucaria or an Agathis: the primary xylem forms the inner surface of the thick cylinder of secondary wood, merging gradually into it as in recent Conifers; there are no separate bundles of primary centripetal xylem. The medullary rays are narrow: in other words the secondary xylem is of the pycnoxylic type. The pitting of the tracheids is Araucarian and, as in Agathis, the leaf-traces arise as twin-bundles. The pith is larger than in the Araucarineae and more homogeneous in structure; it shares with the pith of Juglans and some other recent plants an almost constant tendency to assume a discoid structure. Anatomically the leaves agree more closely in the 223structure of the vascular bundles with Cycads than with Conifers though there are points of contact with both of these classes. The roots branch freely and their horizontally extended arms (figs. 468, A; 478) suggest growth in swampy ground; anatomically they conform to the recent Gymnospermous type and there is good evidence that in some cases fungal mycelia lived symbiotically in the cortex of coralline rootlets.
Sternberg[548] figured some leaves of Cordaites from Carboniferous rocks in Bohemia under the generic name Flabellaria in the belief that they belonged to a Palm. Brongniart substituted a new name Pycnophyllum[549] on the ground that Corda had disproved the supposed relationship with Monocotyledons. The name Cordaites was instituted by Unger[550], his definition being based on leaf-form as well as on stem-anatomy. It has recently been proposed to revive the forgotten designation Pycnophyllum[551], but the reasons given are hardly likely to induce botanists to discard the familiar generic name which perpetuates the memory of Corda. As already pointed out, the name Cordaites, even though employed in what has always been regarded a legitimate sense, is no doubt often given to specimens of some other allied member of the Cordaitales which can only be recognised as such in the case of more completely preserved material. The naming of wood of the Cordaitean type, but which may equally well belong to another genus, raises a difficult question: if there is satisfactory evidence from collateral sources that the wood is that of a Cordaites Grand’Eury’s name Cordaixylon[552] or Schenk’s form Cordaioxylon[553] may be used, though there seems to be no adequate reason against the use of the name Cordaites. If there is no confirmatory evidence available and it is impossible to say whether the wood is that of a Conifer or a Cordaites, or some other plant with the same type of secondary xylem, Endlicher’s term Dadoxylon[554] is most conveniently employed. The confusion liable to follow from the use of the two generic names Dadoxylon and 224Araucarioxylon for wood of the same type differing only in geological age is an argument in favour of extending Dadoxylon to all specimens having certain anatomical characters, which cannot be certainly assigned either to the Araucarineae or the Cordaitales, irrespective of geological age. The term Cordaicladus sometimes applied to branches is hardly necessary, but the subgeneric names Eu-Cordaites, Dory-Cordaites, and Poa-Cordaites, instituted by Grand’Eury for different forms of leaf, are frequently employed and serve a useful purpose as descriptive terms though the characters which they connote are of small importance and by no means always well defined or constant. For inflorescences it is customary to adopt the name Cordaianthus suggested by Grand’Eury as a substitute for Antholithus and some other terms. The same author uses Rhizo-Cordaites for roots.
The nomenclature of seeds is more difficult: in a few instances seeds occur in organic connexion with Cordaitean shoots, but there is no doubt that many platyspermic Palaeozoic seeds preserved as detached fossils belong to Cordaites or some other member of the group. The difficulty is that in the present state of knowledge we cannot definitely determine in many cases whether a seed is Cordaitean or whether it belonged to a genus of Pteridosperms. For this reason the account of several seeds that were probably borne on Cordaites or some allied genus is given in a later chapter devoted to Gymnospermous seeds. There is no doubt that under the generic names Cardiocarpus, Cordaicarpus, and Samaropsis are included true Cordaitean seeds, though it would be incorrect to say that all the seeds so named belong to members of the Cordaitales.
Cordaites reached its maximum development in the Carboniferous and Permian periods; the genus or some closely allied types persisted into the Triassic and Rhaetic periods, and there is reason to believe that the group was represented in some post-Rhaetic floras. The genus is one of many remarkable examples of the high degree of specialisation attained by Palaeozoic plants. The complex mechanisms represented by Cordaites and similar types give force to the conviction that we cannot hope to penetrate below the higher branches of the genealogical tree which had its roots in a period of the earth’s history inaccessible to botanical 225investigation. The plants of the present age are to a large extent the result of evolutionary tendencies more correctly described as the result of degeneration or simplification than as the latest phase in a series composed of a succession of types gradually growing in complexity. Cordaites is essentially a generalised type, a composite product of an age characterised by an activity in the elaboration of the complex from the simple. Botanical records furnished by the geological series available for investigation furnish evidence of the sorting of characters among gradually diverging races and of changes in plant-organisation tending towards simplification and increased efficiency.
Cordaites, using the generic designation in a wide sense, occurs in Carboniferous and Permian strata in Europe, North America, and China; it is recorded from several localities in Russia and Siberia for the most part from Permian rocks, from Permo-Carboniferous (Lower Gondwana) beds in India, Australia, South Africa, and South America. Wood agreeing generally in the structure of its secondary tracheids with that of Cordaites is represented in Devonian rocks, and there can be no doubt as to the existence of Cordaitalean plants in pre-Carboniferous floras. It is represented in the Rhaetic flora of Tonkin and has recently been discovered in strata probably of Rhaetic age in Mexico.
It is important to recognise the fact that leaves included under the generic name Cordaites were in many cases not borne on stems or branches with the anatomical characters of Cordaites. Scott in his account of the genus Mesoxylon says, ‘I feel no doubt that most of the British specimens of Cordaitean leaves really belong to Mesoxylon, which is a much commoner type of stem in the Coal Measure petrifications than that of Cordaites itself[555].’ Some of the Cordaitean leaves were probably attached to stems of the Poroxylon type[556] and it is not improbable that, as investigations are extended, additional genera of vegetative shoots will be discovered provided with leaves similar at least in external characters to those which it is customary to refer to Cordaites. In the present state of our knowledge we cannot make use of 226anatomical characters as criteria by which to distribute the foliage of the Cordaites form among the genera Cordaites, Mesoxylon, and Poroxylon, using these names as designations of certain types of anatomical structure. The specimen reproduced in fig. 465 is in all probability a piece of a leaf of Cordaites principalis, but on anatomical grounds Miss Benson[557] has made it the type of a new species, C. Felicis, and more recently Scott[558] has brought forward evidence supporting the view that it is a leaf of Mesoxylon. As, therefore, neither impressions nor petrifications of Cordaitean leaves can in the great majority of cases be referred with confidence to their respective genera of stems, pending fuller information the only course would seem to be to use the name Cordaites in a comprehensive sense indicating in special cases where evidence is available the more precise systematic position of the specimen. The classification of Cordaitean leaves proposed by Grand’Eury[559] is based partly on the form of the lamina and in part on the equality or inequality of the ‘veins.’ The actual veins, which are embedded in the fairly thick mesophyll, do not directly affect the superficial ribbing on the carbonised impression of the leaves and, as seen in fig. 465, the most prominent hypodermal strands of supporting tissue which would appear as the main veins or primary ribs on an impression do not correspond in position with the vascular bundles. Although in some cases the largest stereome-strands coincide with the veins, forming the upper and lower parts of [Symbol: I]-shaped girders the centre of which is occupied by the veins, this is by no means always the case. Grand’Eury has drawn attention to the difference between the upper and lower surface of some carbonised leaves: in C. crassifolius (fig. 468, D)[560] there are five to seven finer ribs between each pair of primary ribs on one face while the other shows ridges and grooves with a rib corresponding to each. Attention is called on a later page to the variable character of the ribbing even on different parts of the same lamina. The lower surface of the leaf, seen in section in fig. 465, would show a number of approximately equal ribs, or possibly primary ribs (midway between the veins) separated by two interstitial ribs, while on the upper face there would be 227three rather smaller secondary ribs. In a section of a leaf called by Renault C. crassus[561], a specific name used also by Lesquereux[562] for an impression of a leaf originally described by Goeppert as Noeggerathia crassa, there are deep stereome-strands between the veins next the lower epidermis alternating with single smaller strands, while on the upper surface the hypodermal strands occur only immediately above the veins. In a section figured by Felix[563] from North Germany as C. robustus, the hypodermal stereome forms continuous bands; on the upper face the bands are uniform in thickness but next the lower epidermis they form a series of ribs.
Grand’Eury’s subgeneric terms Cordaites, Dory-Cordaites, and Poa-Cordaites have therefore very little value as regards differences in the ribbing of leaf-impressions: the large size of leaves included in Dory-Cordaites and the more acute apex of the lamina as compared with the obtuse apex of smaller leaves of Cordaites are features of limited application and of minor importance as diagnostic characters. The name Poa-Cordaites is, however, usefully employed for the narrower linear leaves with an obtuse apex.
The structure of a Cordaites leaf is clearly shown in fig. 465; the lamina is approximately 1 mm. thick and there are about 30 veins in a breadth of 2 cm. Strong [Symbol: I]-shaped girders with the webbing composed of thick-walled cells divide the mesophyll into rectangular compartments: the intervening hypodermal strands differ in number and size on the two faces. The epidermis is not preserved: specimens of other leaves show that the stomata[564] occur in rows on the lower surface. The mesophyll shows no differentiation into palisade and spongy parenchyma, and in this respect the leaf agrees with many other forms; but in some leaves the palisade-tissue is well developed, as in C. lingulatus Ren.[565] The central region of the lamina consisted of lacunar tissue, portions of which are preserved, with a more compact sheath of parenchyma enclosing each vein. In some leaves there 228is a narrower sheath of thick-walled cells more sharply contrasted with the mesophyll. The vascular bundles agree in structure with those in the rachis of a Cycadean frond more closely than with the veins of an Araucarian or other Coniferous leaf. The xylem consists mainly of centripetal elements which form a deltoid strand with the protoxylem at the apex, and in close association with this is a larger or smaller amount of narrower centrifugal tracheids: in the section shown in fig. 465 the centrifugal xylem may extend all round the centripetal tracheids, but it usually forms an irregular arch with its base attached to the sides of the larger tracheal strand, cp, separated, except at the base of the arch, by a small amount of conjunctive parenchyma from the centripetal xylem. The phloem is not preserved and is represented only by a few patches, ph, below the centrifugal tracheids. Dr Benson[566] in her account of this type of leaf gives additional details and compares the anatomical features with those in other species. The dual nature of the xylem like that characteristic of recent Cycads has usually been regarded as a definite feature of Cordaites leaves; Dr Stopes, on the other hand, 229interprets the narrower tracheids (occupying a position similar to those in fig. 465) in some sections of a leaf identified with C. principalis from Grand’ Croix, as an inner sheath of transfusion elements (‘primitive transfusion tissue’) possibly derived from the centripetal xylem with which it is clearly connected at the sides precisely as in fig. 465; but in the Grand’ Croix leaf the phloem is enclosed within the sheath of narrower tracheids and not external to it as it is in the section shown in fig. 465 and in a section of C. lingulatus figured by Dr Stopes. It is, however, difficult to recognise any fundamental difference between the ‘inner transfusion tissue’ and centripetal xylem. The cells of the outer sheath in Dr Stopes’s specimens of C. principalis have bordered pits on their walls and this character is mentioned also by Renault in other specimens.
Prof. Lignier[567] has described the structure of fragments of adult leaves from the Stephanian of Grand’ Croix (Loire) which he refers to Cordaites lingulatus, and the same author gives an interesting account of the anatomical features of a bud of the same species. The bud, which resembles in general appearance that of Dolerophyllum (fig. 430, p. 133) is 3 cm. long, oval in transverse section—as the result of compression—and consists of four convolute leaves and a piece of a fifth. The outer leaves have 75 to 80 veins: the inner laminae are sinistral in their curvature while the three outer leaves are dextral. In the second, the first in which the tissues are recognisable, the small desmogen-strands afford some evidence that the phloem preceded the xylem in the order of differentiation as is often the case in recent plants. The first tracheids occur almost in the centre of the desmogen-strand and to these are added the other tracheids of the centripetal xylem, the oldest elements being spiral, the next scalariform and the later tracheids reticulate. The centrifugal xylem is formed at a later stage, and at about the same time are differentiated the elements called by Dr Stopes the inner sheath and by Lignier the ‘bois diaphragmatique.’ Lignier also describes the development and structural features of the other tissues of the young leaves and compares the anatomical features of the 230French leaves with those of Cordaites Felicis described by Prof. Benson.
The main features of Cordaites leaves are (i) the presence of two kinds of xylem in the veins, the larger centripetal tracheids, or chief water-conducting elements, and the narrower tracheids, in some cases attached to the sides of the centripetal xylem, in others forming free groups, usually between the protoxylem and the phloem, but sometimes enclosing the phloem; (ii) the frequent presence of a well-defined sheath of cells round each vein composed of comparatively thick-walled elements comparable with the transfusion-tracheids in Conifers; (iii) the presence of lacunar tissue in the centre of the mesophyll and in some cases of transversely extended tracheids similar to those in some Podocarp leaves; (iv) a well-developed system of stereome-strands and [Symbol: I]-shaped girders. The structural features on the whole suggest a xerophilous type, and the frequent absence or feeble development of palisade tissue points to diffused rather than to brilliant sunlight.
The considerable range in size and form among Cordaitean leaves as well as the obvious dependence on conditions of preservation or growth of such a relatively unimportant feature as the presence or absence of the so-called false or interstitial veins—the variability of which has been demonstrated in several instances—renders specific determination exceedingly difficult. The following species are briefly described rather with a view to illustrate the nature of the characters employed by authors than as implying the existence of so many well-defined types.
This species was founded[568] on a large specimen from the Coal Measures of Wettin showing a fan-like cluster of longitudinally torn and partially overlapping leaves spread out in the position that would be assumed on the compression of a shoot with a close spiral phyllotaxis. This form of Cordaites is the most abundant in the British Coal Measures. The broadly linear lamina is characterised by an obtuse apex (fig. 466, A), a tendency to split into strips, close-set parallel ribs, the stouter ribs or veins 232separated from one another by 2–3 or it may be as many as 5 finer ribs or interstitial ‘veins.’ A statement by Weiss that in Germar’s type-specimen the longitudinal ribbing of the lamina is very imperfectly preserved confirms the scepticism that is justly felt as to the validity of this character as a satisfactory specific criterion.
The incomplete example shown in fig. 466, A, is 19·5 cm. long and has a maximum breadth of 3·5 cm., but the complete leaf was much larger and tapered gradually to the comparatively broad and slightly concave or amplexicaul base. The narrow elliptical proximal end of a specimen figured by Kidston[569] from the Middle Coal Measures of Yorkshire is 2·8 cm. broad indicating that the tangentially expanded leaf-scars on a branch recently deprived of its foliage must have been a conspicuous feature. In his synonymy of this species Kidston[570] includes Knorria taxina, a species founded by Lindley and Hutton[571] on a piece of stem from the Coal Measures of Newcastle. The type-specimen, as Mr Howse[572] states, is much larger than the published drawing and closely resembles in the decurrent leaf-bases with broad apices the piece of stem represented in fig. 466, C, which Kidston identifies as C. principalis. Geinitz[573] refers to this species the seeds named Cordaicarpus Cordai (Gein.), but there is no evidence of connexion. Kidston[574] points out that this seed is rare in Britain: he believes that Cordaianthus Pitcairniae (Lind. and Hutt.) is probably the inflorescence of C. principalis.
Cordaites principalis occurs in both Carboniferous and Permian strata. The leaves described by Lesquereux[575] from Pennsylvania as C. Mansfieldi agree closely with C. principalis. Another similar or possibly identical form is represented by C. Ottonis Gein.[576]
233
The leaves of this species, originally referred to Flabellaria[577], resemble those of C. principalis but differ in the ovate-lanceolate and less obtuse apex and in the presence of only one or rarely two finer striations between the stronger ribs. Corda’s drawing[578] affords a good illustration of the crowded spiral disposition of the foliage comparable with that on an Agathis shoot. The lamina is usually 4–8 cm. broad but in exceptional cases may reach a breadth of 12 cm. The species occurs in the Coal Measures, especially in the Westphalian series and in Permian rocks. Feistmantel[579] unites with this type Cordaianthus Pitcairniae (fig. 480, A), but as in other cases there may be a confusion between C. borassifolius and C. principalis. Leaves described by Lesquereux as C. communis[580] are, as White says, not distinguished by any well-marked characters from this species. White[581] figures some good examples of C. borassifolius from Missouri, reaching in one case a length of 40 cm., showing on the lamina the fructifications of a fungus, Hysterites cordaitis[582] Grand’Eury. The leaves described from Canada and the United States as C. Robbii[583] Daws. are closely allied to if not identical with Sternberg’s type. Among other species differing in no definite character from C. borassifolius is C. lancifolius described by Schmalhausen[584] from the Permian of Russia.
The leaves of this species[585] are characterised by the obovate lamina and bluntly rounded or almost truncate apex; it affords a good illustration of the uncertainty of the ribbing as a diagnostic character. The lamina of a well-preserved specimen from the Blanzy coalfield described by Zeiller[586] reaches a length of 35 cm. and a breadth of 10–11 cm. decreasing to 4 cm. at the base (fig. 467). In the lower part of the lamina Zeiller describes the 235ribs as unequal in prominence, the stronger ones being separated by 1–3 finer ribs, while in the middle and upper portions the ribs appear to be of equal size. Some of the finer ribs are due to folding of the lamina and are not represented, as are the ribs due to the presence of stereome-strands, by dark streaks in the detached cuticle.
Reference has already been made to the anatomical features of leaves of this species described by Lignier[587] and other authors.
The leaves so named by Lesquereux[588], from the Coal Measures of Pennsylvania, are distinguished by the elongate cuneate lamina, which reaches a length of 38 cm. with a narrow base and a slightly rounded truncate distal end, 16 cm. broad, characterised by a few broad and shallow crenulations. By contrast with some American specimens in Dr Kidston’s collection Lesquereux’s figures convey an imperfect idea of the size of the leaf. A large leaf from the Coal Measures of Belgium described by Cambier and Renier as a new species of Psygmophyllum, P. Delvali[589], is perhaps identical with the American type; the lamina of sub-triangular form has approximately the same dimensions; the veins are numerous and repeatedly forked. The leaf is much longer than any known Psygmophyllum and the veins are much more numerous than in P. majus Arb.[590], the largest representative of that genus. Palaeobotanists who have seen the type-specimen inform me that they have no doubt as to the Cordaitean nature of the Belgian specimens, which may be designated Cordaites Delvali. It is, however, not impossible that Psygmophyllum and Cordaites are allied genera: our knowledge of the former is limited to unimportant characters.
This Permian type, originally described by Goeppert[591] as Noeggerathia palmaeformis, is characterised by numerous slender veins: according to Weiss[592] there may be as many as 3–5 in 1 mm. 236The leaf is broadly lanceolate; it tapers gradually to an acute apex reaching a length of 80 cm. and a breadth of 10 cm. In habit the young foliage-shoots[593] resemble those of C. principalis and C. borassifolius. Grand’Eury records the frequent association of Samaropsis seeds with this species; it occurs in Upper Carboniferous and in Permian strata and is recorded from a few British localities.
Weiss[594] first figured this species from drawings supplied by Goldenberg at whose suggestion the name C. microstachys was adopted. The type-specimen consists of a slender axis bearing numerous narrow linear leaves and a few imperfect fertile axillary shoots. A specimen is figured by Kidston[595] from the Upper Coal Measures of Radstock: it is a rare type in Britain. The species is readily distinguished from C. principalis and similar forms by the narrow lamina which varies considerably in length, rarely as long as 30 cm. and not exceeding 1 cm. in breadth. The apex is obtuse and the ribs are either equal in strength or 1–2 finer striae may alternate with the stronger ribs. The base of the lamina is 3–4 mm. wide and the leaf-scars have a slightly arched upper margin and an almost straight lower edge[596]. The foliage of this species, generally regarded as identical with C. linearis Grand’Eury, bears a close resemblance to that of the Mesozoic genus Phoenicopsis from which it is distinguished by the occurrence of the leaves in bunches.
C. gracilis Lesq.[597] is a similar type. The shoot on which Lesquereux founded his genus Desmiophyllum[598] may perhaps be an example of Poa-Cordaites. Poa-Cordaites tenuifolius Schmal.[599] from the Permian of Russia may be identical with C. microstachys.
As examples of other forms of leaf referred to Cordaites, though as in other cases without any proof of connexion with branches having the anatomical features of the genus, reference 237may be made to Cordaites circularis Grand’Eury[600] from Gard (fig. 468, B) and a smaller leaf from the same locality compared with C. Lacoei (fig. 468, C) Lesq. Cordaites circularis is characterised by the almost orbicular lamina traversed by slightly spreading veins; it recalls some of the larger Cyclopteris pinnules of Pteridosperm fronds and is indistinguishable from some leaves assigned to the genus Dolerophyllum[601].
The species C. Lacoei was founded by Lesquereux[602] on some detached specimens 3–12 cm. long and 1·5–5 cm. broad; it is by no means certain that a specimen referred by Grand’Eury[603] with some hesitation to this species is Cordaitean.
The generic name Scuto-Cordaites was proposed by Renault[604] for a specimen from Commentry consisting of a flattened branch bearing a few imperfectly preserved leaves. The surface of the branch shows semicircular leaf-scars on decurrent, spirally disposed leaf-cushions and bears a certain resemblance to a slender stem 238of a Clathrarian Sigillaria. The leaves of the type-specimen of Scuto-Cordaites Grand’Euryi appear to be broadly linear, 13 cm. long, the breadth gradually increasing from the base: a short distance from the proximal end the lamina is broken up into narrow segments; the veins are ·5 mm. apart with finer striations between them.
Some specimens from Pennsylvania made by Dawson[605] the type of a new sub-genus and named Dictyo-Cordaites Lecoi agree in shape and arrangement with some species of Cordaites, but differ in an occasional anastomosis of the veins as in Psygmophyllum flabellatum. It is, however, impossible to determine the true nature of the fossils from the published figures.
In 1845 Goeppert[606] instituted the species Noeggerathia aequalis (fig. 469) and N. distans for incomplete broadly linear and obovate leaves, from Siberian Permian strata, having a contracted base and equal parallel veins. The specimens so named are no doubt specifically identical. Goeppert’s species N. aequalis has recently been carefully investigated by Zalessky[607] who agrees with Kosmovsky[608] in identifying it with Noeggerathiopsis Hislopi (Bunb.) and Rhiptozamites Goepperti Schmal. Schmalhausen[609] had previously pointed out the probable identity of his species with Noeggerathia palmaeformis Goepp. (= Cordaites). The question of specific identity of these leaves from different localities and of other hardly distinguishable forms is of secondary importance; the main point is that they are all examples of Cordaitean leaves, Cordaites or some allied genus, and point to the existence of this group of Gymnosperms during Permo-Carboniferous times in Siberia, China, India, Australia, South Africa, and 240S. America, also in the Rhaetic floras of Tonkin[610] and Mexico[611]. The fragments from Devonian strata at Iguana Creek, Australia, named by McCoy[612] Cordaites australis are probably pieces of the rachis of some large frond.
Wieland[613] recently discovered Cordaitean leaves exhibiting a wide range in size and shape in the Mixteca flora of Mexico in the lower members of a series which extends from the ‘upper borders of the Rhaetic’ through the Liassic to the lower beds of the Inferior Oolite. These leaves are referred to Noeggerathiopsis Hislopi, and it is clear from an examination of photographs received from Dr Wieland, one of which is reproduced in fig. 470, that the Mexican Cordaites cannot be specifically distinguished from Bunbury’s type as represented by specimens described from India, South Africa, Siberia, Tonkin, and elsewhere.
The occurrence of Noeggerathiopsis is also recorded by Newberry from the Rhaetic series of Honduras[614].
Noeggerathiopsis. This genus was founded by Feistmantel[615] for some leaves from Lower Gondwana rocks in India originally described by Bunbury[616] as Noeggerathia (Cyclopteris?) Hislopi (figs. 470–472) and regarded by him as probably Cycadean. Several authors have added to our knowledge of this widely spread southern type and in many localities the leaves occur in association with platyspermic seeds of the Samaropsis or Cordaicarpus type, pieces of stems with Cordaitean leaf-scars, and petrified wood agreeing in the structure of the secondary xylem with that of European species of Cordaites. In some Permo-Carboniferous sandstones at Vereeniging, South Africa, stumps and spreading roots (fig. 478) resembling those described from France by Grand’Eury (cf. fig. 468, A) have also been discovered. A remarkable occurrence of roots and prostrate stems of some forest-tree was recorded some years ago in the bed of the Vaal river near Vereeniging where the surface of a seam of coal was exposed over an area of more than two acres[617]. Large 242branched roots (fig. 478) spreading over the coal for a distance of several feet and thick stems 40–50 ft in length with very few branches and but little decrease in diameter afford a striking picture of a forest-floor. The frequent occurrence of Cordaites (Noeggerathiopsis) Hislopi in the associated strata suggests a reference of the stems and roots to that species. Moreover the structure of the secondary xylem of some petrified pieces of stem sent to me by Mr Leslie from Vereeniging agrees closely with that of a European Cordaitean stem.
The leaves of Cordaites (Noeggerathiopsis) Hislopi vary considerably in size, in some cases reaching a length of 80 cm. (fig. 471); 243the lamina tapers gradually from a short distance behind the obtuse apex to a relatively narrow base: in venation and form the leaves are very similar to those of C. principalis and other European and North American species. The specimen from India represented in fig. 472 shows several spathulate leaves attached in a close spiral to a branch. As White[618] and Zalessky have shown, the stronger ribs are separated by less prominent striations indicating the presence of two sizes of hypodermal strands. The obvious resemblance between Noeggerathiopsis Hislopi and species of Cordaites has long been recognised and many authors have included Feistmantel’s genus in the Cordaitales[619]. Prof. Zeiller[620] preferred to retain the name Noeggerathiopsis as a precautionary measure, chiefly on the ground that the stomata appeared to be less definitely arranged in rows and more scattered than in the European leaves of Cordaites, and because of the absence of interstitial veins. We have as yet little information as to the arrangement of the stomata, but in view of the irregularity in stomatal grouping in recent leaves this feature is, perhaps, of minor importance. The presence of interstitial ‘veins’ has now been established in Indian[621] and South American[622] leaves. In a paper published in 1908[623] the name Cordaites was substituted for Noeggerathiopsis and Zalessky’s recent work supports this step. The description by Zalessky of the ribbing in Goeppert’s species Cordaites aequalis from Siberia shows how uncertain and variable a character the venation is even in different parts of the same leaf.
This species (fig. 469, D) was instituted for some small lanceolate or spathulate leaves from the Petschora basin (Adzva River)[624] reaching a length of 6 cm. and a breadth of 1 cm. It is separated from Cordaites aequalis on the ground that the veins are more numerous, as many as 44 in a breadth of 1 cm.
A recent investigation by Miss Holden[625] of the carbonised 244cuticles of some Indian specimens, sent to Cambridge by the Director of the Indian Geological Survey, and a comparison of them with preparations made from European Cordaites leaves, have revealed certain distinguishing features which support Zeiller’s view that the Gondwana-Land leaves, though similar superficially to those of Cordaites, are probably distinct. It is, however, impossible in many cases to obtain any information with regard to epidermal characters, and though it would seem probable that had we a fuller knowledge of the Indian and southern hemisphere plants represented for the most part by leaf-impressions well-defined distinguishing features would be recognised, the comprehensive name Cordaites may conveniently be retained on the ground that in the absence of well-preserved cuticles no satisfactory distinguishing features are exhibited by the impressions of Noeggerathiopsis.
Zalessky[626] founded this genus on some Permian leaves from the Petschora basin (Adzva River) which closely resemble those of Cordaites but are characterised by a coarser venation. The lanceolate lamina reaches a length of 18 cm. and a breadth of 4·2 cm.; the veins are 2 mm. apart and occasionally forked near the base of the leaf. The epidermal cells have straight walls and stomata are abundant on the lower surface. As Zalessky says, the systematic position of the leaves is uncertain though they are probably Cordaitean. The coarseness of the venation is a feature of minor importance and hardly worthy of generic recognition.
This genus was instituted by Schmalhausen[627] for leaves from beds in the Kusnezk basin regarded by him as Jurassic. These strata are now recognised as Permian[628] and homotaxial with those from which Schmalhausen[629] subsequently recorded the same species. The leaves, though smaller than many of the Indian and South African specimens of Cordaites (Noeggerathiopsis) 245Hislopi, may belong to that species. Zeiller and others definitely assigned the Russian leaves to Cordaites.
Euryphyllum. The Indian leaves for which Feistmantel[630] proposed this name are, as several writers have pointed out, in all probability referable to Cordaites.
The general conclusion to be drawn from this imperfect summary of an extensive literature is that the employment of the generic names Noeggerathiopsis, Rhiptozamites, Euryphyllum, and others has tended to exaggerate the difference between the European and Southern botanical provinces during the Permo-Carboniferous period.
The occurrence of small scale-like leaves of the type represented in fig. 468, C, in association with Cordaites (Noeggerathiopsis) Hislopi[631] in India, Brazil, Siberia, and elsewhere may mean that these organs are scales of large foliar buds. The occurrence of several forms of platyspermic seeds, in some cases apparently identical with European forms and sometimes distinct types, in close association with Cordaites (Noeggerathiopsis) Hislopi has already been mentioned. Examples of such seeds are described in Chapter xxxv. under the genus Samaropsis.
There are very few satisfactory examples of Cordaitean branches from the southern hemisphere. Schmalhausen[632] figures good specimens from Siberian rocks from which his Rhiptozamites leaves were obtained. Branches with spirally disposed leaf-scars figured by Zeiller[633] from the Rhaetic of Tonkin closely resemble Cordaicladus. Feistmantel’s drawing of a fossil from the Karharbari series, compared by him with a Fern rhizome[634], may be a Cordaitean branch, and the same author describes a stem[635] from New South Wales as Caulopteris Adamsi which bears a close resemblance to a branch of Cordaites. Similarly a leafy shoot described from India by Zeiller as Araucarites Oldhami[636] may be compared with branches of the Poa-Cordaites type.
246
A character to which authors tend to attach excessive importance as a diagnostic feature is the almost invariable tendency of the parenchymatous pith of Cordaites to break up on contraction into transverse diaphragms, thus producing what is known as a discoid pith. In the stem shown in fig. 473 the pith is represented by a more or less cylindrical cast characterised by fairly regular transverse ribs and narrow grooves; in the upper part of the fossil the peripheral tissue of the pith is preserved in the form of narrow plates projecting from the inner face of the wood. As Renault[637] pointed out, this type of pith is the expression of certain conditions of growth and is not a satisfactory distinguishing feature of any particular genus or family. The same tendency to form a discoid pith is characteristic of Mesoxylon, and it occurs also in some other Palaeozoic genera. Corda long ago figured a stem attributed by him to Lomatofloyos with a typical discoid pith, and a similar pith is recorded in a stem of Dicranophyllum[638]. Among recent plants Juglans regia affords perhaps the most familiar instance of an identical form of pith: the same type 247occurs in the white Jasmine, in Ceropegia peltata, and some other flowering plants. An interesting case is that of the tree Groundsel, Senecio praecox D.C.[639], of Mexico: in this plant, which grows in arid districts, the pith serves as a water-store and as the water is drawn off the thick turgescent discs contract and form thin transverse diaphragms separated by wide spaces, as is also the case on drying in some succulent Euphorbia stems. It may be that in Cordaites the medullary region also served as a water-reservoir and the depth of the medullary discs would vary according to the state of their contents.
The earlier writers regarded the pith-casts as stems with scars of amplexicaul leaves: Artis[640] described specimens from the English Coal Measures as Sternbergia, one of which he stated to be 6 ft long; a few years later Sternberg[641] proposed the name Artisia and this has been generally used on the ground that Sternbergia is the name of a recent flowering plant. A specimen of Artisia transversa (Art.) from the Coal Measures of Yorkshire is shown in fig. 466, B, and similar specimens varying considerably in diameter up to about 10 cm. are abundant in European and American Coal Measures. The prominence and depth of the transverse ridges, the presence or absence of anastomoses between adjacent discs are, as Zeiller[642] says, of very doubtful value as specific characters. Dawson in 1846[643] spoke of Artisia as probably the pith of a tree, a view suggested to him by Mr Dawes. In 1851 Williamson[644] published a description of some specimens in which a pith-cast, Artisia approximata Lind. and Hutt., was enclosed by wood showing very clearly Cordaitean characters. Further demonstration of the true nature of Artisia was supplied by Grand’Eury from St Étienne material. If the generic name Artisia is applied to all pith-casts showing the transverse ridges and grooves like those seen in fig. 466, B, it must be remembered that it is not safe to assume a connexion with Cordaites or Mesoxylon. A Liassic species described by Lignier[645] from France as 248Artisia alternans is quoted by authors as evidence of the persistence of Cordaites into the Jurassic period; but in view of the fact that the discoid type of pith is not by any means confined to Cordaites or even to the Cordaitales the occurrence of Artisia is in itself of no great botanical significance.
It is also true that a discoid pith is not an invariable attribute of stems closely allied to the genus Cordaites; but if these reservations are made the use of the generic term Artisia serves a useful purpose.
Palaeobotanical literature contains numerous descriptions of Palaeozoic petrified wood occasionally enclosing an Artisia pith-cast described under such names as Dadoxylon, Cordaioxylon, Araucarioxylon, etc., and regarded as portions of Cordaitean stems. It is, however, certain that much of this material belonged to stems other than those of Cordaites. Recent research has demonstrated the insufficiency of the secondary xylem alone, however well preserved, as a safe guide to generic position: stems identical in the structure of the secondary xylem differ in that of the primary portion of the stele, and it is on the characters of the latter tissues that several genera have recently been founded. Mesoxylon affords a striking example of the importance of the primary xylem as a distinctive feature. As Gothan[646] points out, the species of Calamopitys recently made the type of a new genus Eristophyton[647] would, in the absence of the primary xylem, probably be regarded as Cordaitean. It is important to recognise the limitations imposed by the imperfection of the material; we cannot in most cases determine whether a specimen should be referred to Cordaites or Mesoxylon, and while it may be described as probably Cordaitean in affinity there remains the possibility that some of the Palaeozoic plants with secondary wood like that of Cordaites, if their reproductive organs were known, would not be included in the Cordaitales. Goeppert’s species Araucarites Tchihatcheffi, which Renault[648] quotes as Cordaites, has recently been assigned to a new genus Mesopitys[649] because of certain 249distinctive features of the primary xylem. Additional examples might be quoted pointing to the tendency of recent and more thorough investigation to establish the fact that the occurrence of Permo-Carboniferous wood of the Araucarian type does not necessarily denote the existence of Cordaites. The question of nomenclature is necessarily raised in this connexion.
In recent years it has been customary to assign Palaeozoic wood with Araucarian pitting to the genus Dadoxylon, while wood of the same general type from more recent strata is by many authors referred to Araucarioxylon[650]. This arbitrary distinction based on a difference in age is open to serious objection. Fossil wood of the Araucarian type is widely scattered in strata ranging from Carboniferous to Jurassic periods; it also occurs in later formations. The fact that on the one hand Araucarian plants, as recognised by cones and foliage-shoots, are especially characteristic of Jurassic floras and occur more rarely in Rhaetic and Triassic floras, and on the other hand that Cordaites and its allies reached their greatest development in Permo-Carboniferous times, renders it probable that in the majority of cases a distinctive name based on geological age would be in accordance with botanical differences. But we have no satisfactory data as to the upper limits of the Cordaiteae or the lower limits of the Araucarineae: in all probability the two families overlapped and co-existed for more than one geological period. It is, moreover, the plants from formations where overlapping occurred that are the most critical from a botanical standpoint. The age-distinction is therefore at best an artificial one and may be seriously misleading. Potonié[651] and Gothan[652] have emphasised the desirability of adopting the name Dadoxylon for all wood of the Araucarian type irrespective of age. If a particular specimen can be correlated definitely with Cordaites or some other genus it should be so designated, but the fragmentary nature of the records usually precludes this simple course. The most logical plan is to use the name Dadoxylon for all woods with Araucarian characters if there is no sufficient reason for employing a less provisional term. If 250the evidence clearly points to the Araucarineae the generic name Araucarioxylon should be added in parentheses after Dadoxylon, but whether or not this is done, a statement as to the geological age of the fossil will in itself be some assistance in enabling the student to form an opinion on the balance of probability in favour of a Cordaitean or an Araucarian affinity. The course suggested by Gothan[653], namely to add Cordaites after Dadoxylon if an Artisia pith is present, is rendered inoperative now that we know that a discoid pith occurs in more than one genus. In this chapter we are concerned primarily with Cordaites and with such stems as may fairly be regarded as Cordaitean: examples of fossil wood from later formations are dealt with in another place. A distinction between Araucarioxylon and Cordaioxylon stems has been based by Felix on the nature of the pith-casts; those of the Artisia type he refers to Cordaioxylon, while Palaeozoic stems with Tylodendron pith-casts are assigned to Araucarioxylon[654]. This distinction can, however, only be made in the comparatively few cases in which the pith-cast is preserved. Its validity is, moreover, open to question. A Tylodendron (= Schizodendron) cast shows on its surface the characters of the inner face of the secondary xylem, projecting spindle-shaped areas representing the inner ends of medullary rays and a reticulum of grooves formed by the more resistant and prominent inner edges of the rows of tracheids (fig. 746). A pith-cast of a stem in which the destruction by decay of the medullary parenchyma had not extended to the edge of the xylem-cylinder might show transverse diaphragms. The occurrence of Tylodendron casts means that decay had extended to the surface of the wood. But in view of the occurrence of Tylodendron casts in stems that are not those of Cordaites a short account of the genus is given on another page[655].
The main features of the stem of Cordaites have already been enumerated. The stele agrees with that of Araucaria and Agathis and especially with Agathis in the double nature of the leaf-trace. Williamson[656] in 1877 described pieces of wood from the English 251Coal Measures and the Lower Carboniferous of Scotland which he referred to Dadoxylon but without any specific name. These include the Coalbrookdale stem in which he had previously demonstrated the connexion between Artisia and Dadoxylon. The structure of the xylem is like that in D. Brandlingii and the specimens may belong to that species. The most interesting fact recorded by Williamson is the occurrence of double leaf-traces, a feature which led him to suspect a remote generic affinity to Ginkgo. This double trace may be an important diagnostic feature but unfortunately the majority of descriptions of species of Dadoxylon throw no light on the character of the foliar bundles.
Thomson and Allin[657] have recently pointed out that a double leaf-trace occurs in a stem from the Permian of Kansas described by Penhallow[658] as Pityoxylon chasense and referred to that genus because of the supposed occurrence of resin-canals in some of the medullary rays: the canals are apparently leaf-traces traversing broad rays in the secondary wood.
The primary xylem of Cordaites is in direct continuity with the secondary tracheids and does not form mesarch strands as in Mesoxylon. The pith is usually discoid. The pitting on the tracheids is a character of special importance: while it is true to say that as a rule the number of pits on the radial walls of a single tracheid is larger than in the Araucarineae, this is not always the case. In Araucaria there are occasionally as many as five rows of alternate polygonal pits (fig. 691, A) and in some Palaeozoic Dadoxylons there are only one[659] or two rows. The very broad zone of transitional elements at the inner edge of the xylem-cylinder is a characteristic feature shared by the Araucarineae[660]; the spiral protoxylem-tracheids are succeeded by scalariform elements and these, by the gradual anastomosing of the transverse bars, pass into tracheids with multiseriate pitting. In this broad zone we probably have a primitive feature, an epitome in a single stem of the course of development of multiseriate from scalariform pitting. In some Palaeozoic species with wood of the pycnoxylic type and agreeing generally with typical Cordaites 252the bordered pits are sometimes separate and circular, and opposite pits occasionally replace the usual alternate arrangement. Another feature on which stress has been laid is that in Cordaites the pits occupy the whole breadth of the tracheal wall; but this, though frequently the case, is by no means a constant feature. In Dadoxylon Newberryi[661] the pits tend to form groups, leaving unpitted areas, as in the genus Coenoxylon[662]. In the stem of Dadoxylon materiarum Daws. represented in fig. 475 the pits do not always cover the whole of the tracheid-walls: this stem is also instructive as an example of the different appearance presented by pitted tracheids according to the state of preservation. In some places an oblique pore is well shown while in others only the outer border of the pit is seen. Gothan[663] has described a specimen in which some of the pits are circular and occupy only the central area of the xylem elements: separate circular pits occur also in D. Pedroi Zeill.[664] (fig. 476). Similar departures from the normal are illustrated by recent species of Araucarineae. The absence of a torus is another feature shared by Dadoxylon and true Araucarian wood. Annual rings other than incomplete and spasmodically formed rows of narrower tracheids are not as a rule present, and in this respect also Araucaria affords a close analogy. Thomson[665] has figured a transverse section of a root from English Coal Measures in which rings of growth are well defined; and other instances are recorded. In an Australian species named by Arber D. australe[666], there are well-marked rings of growth, and this is equally the case in some Indian wood[667] of Permo-Carboniferous age, more nearly allied to Mesoxylon than to Cordaites, and in a Dadoxylon of similar age from South Africa. On the other hand the statement that annual rings occur in Palaeozoic wood is often incorrect, partial rings having been confused with regular concentric cylinders of summer elements. Dawson and Matthew[668] described rings in D. ouangondianum, and Goeppert and Stenzel[669], who examined the Canadian material, 253refer to circles like annual rings; but Penhallow[670] states that there is no evidence of true growth-rings.
The medullary rays are uniseriate and consist of thin parenchymatous cells with unpitted walls; they vary considerably in depth, usually comparatively shallow but in some cases 40 or 50 cells deep. In recent Araucarineae the rays are generally shallower. The absence of special receptacles, other than occasional resiniferous tracheids, for products of secretion is a feature common to Dadoxylon and the Araucarineae. The phloem presents no features of special interest, but our knowledge of this tissue is comparatively meagre.
Among other examples of large Dadoxylon stems some of which no doubt bore Cordaitean foliage—though as a rule we have insufficient information as regards anatomical characters to enable a decision to be made between Cordaites and Mesoxylon—reference should be made to the imposing array of silicified trunks in the grounds of the Chemnitz Museum[671]. These were obtained from Lower Permian strata at Hilbersdorf near Chemnitz from beds overlain by porphyry tuff and resting on quartz porphyry, the volcanic material which furnished the siliceous solutions. Several large pieces of wood were found in association with stems of Medullosa and Psaronius, leaves of Cordaites, Artisia pith-casts, and Cardiocarpus seeds with specimens of Walchia, Gomphostrobus and other plants. Sterzel describes a stem 16·5 met. long and 1·5 met. in diameter; on the main trunk the branch-scars are scattered but on some branches there is a tendency to a whorled arrangement. This and many other stems are referred to Araucarioxylon (or Dadoxylon) saxonicum, a species first described by Reichenbach as Megadendron saxonicum. In one specimen Sterzel states that the bordered pits are generally in 1–2 rows, though rarely in 3–4 rows, on the radial walls of the tracheids which they do not completely cover: the medullary rays reach a depth of between 20 and 30 cells. It is noteworthy that the stem 16·5 met. long has a pith-cast of the Tylodendron type.
254
| 1831. | Pinites Brandlingii Lindley and Hutton, Foss. Flor. Vol. i. Pl. i. |
| 1850. | Araucarites Brandlingii Goeppert, Foss. Conif. p. 232, Pls. xxxix.–xli. |
| 1890. | Cordaioxylon Brandlingii Schenk, in Schimper and Schenk, p. 853, fig. 408. |
This species was founded on ‘a fossil giant of the vegetable kingdom’ discovered at Wideopen near Newcastle in Carboniferous strata on the estate of Mr Brandling. The stem, 72 ft long and far from complete, showed an irregular and not a whorled distribution of branch-scars. It is noteworthy that in D. medullaris (Goepp.)[672], a Permian species from Saxony, the branch-scars, while for the most part irregularly scattered, in one case showed an approach to a whorled disposition as in recent Araucarias. Witham[673] gave a fuller account of the structure of the stem than is included in the original description, and the species has been described by many later authors from both Permian and Carboniferous localities. The pith is discoid and the broad transitional region at the inner edge of the wood is a characteristic feature[674]. Thomson[675] points out that there is a tendency to a retention of the scalariform type of pitting in the region of the medullary rays. There are 1–5 rows of pits on the radial walls of the tracheids. The rays may reach a depth of 40 cells; they are usually one cell broad. It has recently been shown that as many as six vascular strands[676] may form one leaf-trace instead of the customary pair, a feature suggesting comparison with Metacordaites Rigolloti Ren. with its five foliar bundles. Other species agree very closely with D. Brandlingii and it is impossible to determine with accuracy the precise specific limits of stems agreeing generally with this type; but for the sake of emphasising the variation in anatomical structure it is worth while to draw attention to a few more or less divergent forms from different geographical areas.
255
An interesting feature in this Westphalian type from Germany is the occurrence of transversely elongated pits on the tracheids[677] associated with those of normal form closely simulating the pits in the xylem elements of Protopitys.
In this Brazilian wood[678] from Permo-Carboniferous beds the medullary rays are very numerous, mostly uniseriate and 1–30 cells in depth. The pits on the tracheids are in 1–2 rows and are often contiguous. In another type, D. meridionale, described by the same author[679], the pits are strictly uniseriate and generally contiguous. As White says, the absence of the pith and cortex and of any evidence as to the structure of the primary xylem renders impossible any definite expression of opinion as to the affinity of these and many other species.
Dr Arber[680] in naming this species, from the Newcastle (Permo-Carboniferous) Series of New South Wales, Dadoxylon australe, does not mention Crié’s earlier account of some wood from New Caledonia under the name Araucarioxylon australe[681]. The latter generic name according to the usage adopted in this volume should be superseded by Dadoxylon, and this necessitates a fresh specific name for Arber’s specimens. The name Nicoli is suggested in place of australe, as the sections on which Arber founded his species form part of the Nicol collection in the British Museum.
The xylem shows distinct rings of growth, a feature also seen in Indian stems of approximately the same geological age and recorded by Shirley[682] in wood from Queensland which needs more careful examination. The bordered pits, usually multiseriate and contiguous, are not infrequently in 1–2 rows and separate. The uniseriate medullary rays are very numerous as in White’s Brazilian species D. nummularium, and as a rule 6–12 cells deep. Some well-preserved specimens from Permo-Carboniferous strata 256in Natal and Zululand have been described by Warren[683] as Dadoxylon australe Arb., showing interesting anatomical features, but the material almost certainly includes more than one specific type and would repay more detailed investigation.
This species was described by Dawson[684] from Carboniferous strata in Nova Scotia and afterwards referred by Penhallow[685] to the genus Cordaites. In the transverse section reproduced in fig. 474, A, the tracheid-walls have been reduced in thickness by partial decay, but some of the bordered pits are clearly shown on the radial walls; the pits usually form 2–4 contiguous rows (fig. 475) in some cases with an oblique pore while others are represented either by the outer border of the pit or by the pore only. The narrow medullary rays are as a rule uniseriate and may be 60 cells deep (fig. 474, B). Dawson states that some specimens have large Artisia pith-casts, a fact that formerly would have been regarded as proof of the Cordaites nature of the wood, but in the absence of evidence with regard to the nature of the primary xylem it is impossible to say whether the stem is Cordaites or Mesoxylon.
Some wood received from Mr Leslie, collected at Vereeniging, South Africa, in Permo-Carboniferous rocks, shows well-defined rings of growth. The pits form either a single row, a double, alternate and contiguous row, or rarely three series on the tracheid walls. The medullary rays are usually uniseriate and 1–30 cells deep.
This species is represented by some large trunks, in some cases with a diameter of 40 cm., discovered by Mr Kay in the Coal Measures of Worcestershire[686]. The pith is very small and shows no indication of a discoid structure, but owing to its poor preservation no sections could be obtained of this region. The secondary wood is characterised by the large number of uniseriate medullary 258rays 1–27 cells in depth; the tracheids have usually two or sometimes three rows of alternate and contiguous bordered pits on the radial walls. Arber regards the absence of a discoid pith as a fatal objection to a reference of the stems to Cordaites and speaks of them as affording further evidence of the occurrence of Coniferae in the higher Coal Measures of the Midlands. It is, however, impossible to determine the position of the species in the absence of any data with regard to the structure of the perimedullary region, and without such information we are hardly justified in regarding Dadoxylon Kayi as a member of the Coniferales.
This species from Upper Carboniferous or possibly Lower Permian strata in Brazil[687] has a pith 3·8 cm. in diameter composed of parenchyma with scattered secretory sacs and characterised by the occurrence of three equidistant bays projecting into the cylinder of wood (fig. 476, A) which extend through the length of the specimen (6 cm.): these, as Zeiller suggests, may be connected with the departure of leaf-traces or branches. The xylem is entirely composed of centrifugal elements and shows a broad transitional zone (fig. 476, B) including spiral, scalariform, and reticulate tracheids, but the bordered pits are less numerous and less crowded than in many species of Dadoxylon. The rays are 1–2 cells broad and reach a depth of 50 cells. The most striking features are the solid and not discoid pith with its three rounded bays and secretory canals, also the smaller number and frequently circular form of the pits on the tracheids. Zeiller considers that the stem is that of some Cordaitean plant though probably not a true Cordaites. White[688] questions the advisability of adopting the generic name Dadoxylon and suggests the possibility, though without any satisfactory evidence, that it is the stem of a Gangamopteris. Failing further information, there would seem to be no sufficient reason for the institution of a distinctive generic name.
259
This Permian species from Autun[689] differs from typical examples of the genus in the differentiation of the pith into a central thin-walled region contracted into transverse diaphragms surrounded by a cylinder of stouter tissue and in the greater breadth of the medullary rays. The tracheids have 3–4 rows of pits of the usual type. Spirally disposed, decurrent, leaf-bases occur on the surface of the stem, and the cortex includes secretory canals and strands of hypodermal stereome. A small number of veins pass up the median part of the lamina which in this respect and in its 260greater thickness differs from that of Cordaites leaves. Renault speaks of the rays as a cycadean feature, but they are only two cells in width and shorter than in recent Cycads.
In this species[690] from Spitzbergen, of doubtful age though probably Palaeozoic, there is no xylem-parenchyma and the medullary rays are from 2 to 5 cells deep; the bordered pits occur in 1–2 or rarely 3 rows on the radial walls of the tracheids; they are alternate but not flattened and characterised by their small size (7μ high); they do not cover the whole face of the tracheids. It is pointed out that in many Palaeozoic and Mesozoic Dadoxylons the pits are larger than in recent species (16–17·5μ as compared with 9–12μ) while in D. spetsbergense they are still smaller. The large size of the medullary-ray cells is another noteworthy feature, also the absence of annual rings, a character possibly connected with conditions of growth in northern regions. It is, however, pointed out by Nathorst[691] that the fossil was not found in situ and, as he says, it may have been carried by currents from a more southern locality.
Renault founded this species[692] and genus on a stem from Autun which, like D. Pedroi, differs in certain respects from stems usually attributed to Cordaites. The pith is solid and contains secretory ducts and cells; the tracheids have often a single row of pits, and multiseriate pitting is much less common than in Dadoxylon. The medullary rays are generally 1–6 cells deep. A striking feature is the occurrence of groups of five vascular bundles penetrating the secondary wood in [Symbol: V]-shaped groups, each group being regarded as a multiple leaf-trace, a type recently recognised by Thomson in D. Brandlingii. In one of Renault’s figures a larger scar, presumably a branch-scar, is shown immediately above a group of foliar bundles. The genus Metacordaites is considered by its author to be intermediate between Conifers 261and the Cordaitales, but nearer to the former. This conclusion is, however, based on insufficient evidence, as nothing is known of the reproductive organs.
In 1871 Williamson[693] gave an account of a petrified plant from the Lancashire Coal Measures which he named Dictyoxylon radicans, but he afterwards came to the conclusion that the specimens so named were portions of the subterranean axis of some other plant, possibly Asterophyllites, and proposed a new generic term Amyelon[694]. In 1874 he brought forward fresh evidence in support of connecting Amyelon radicans with Asterophyllites or Sphenophyllum, genera which Williamson believed to be very closely related. It has since been recognised that Amyelon is the root of Cordaites or of some closely allied member of the Cordaitales. Our knowledge of Cordaitean roots is based chiefly on the work of Williamson and Renault[695], and more recently Osborne[696] has added new facts of considerable interest. In the larger roots the primary xylem may be diarch or there may be as many as four or five protoxylem groups (fig. 477). The primary tracheids are spiral or scalariform and the space, s, separating them from the surrounding secondary xylem seen in fig. 477, B, was no doubt originally occupied by conjunctive parenchyma. The secondary wood is composed of tracheids, with contiguous bordered pits identical with those in the xylem of the stem, and narrow medullary rays. The section, 4 mm. in diameter, represented in fig. 477, A, shows a tetrarch primary xylem strand enclosed by secondary wood composed of rather thin-walled elements succeeded by a zone of phloem including some secretory sacs, and beyond this is a cylinder of periderm, p. In a section of a root figured by Renault from Autun the periderm is separated from the stele by a broad band of parenchyma which appears to be cortical, but in the British specimens the deep-seated origin of the periderm is clearly shown: Osborne states that it arises in a layer immediately outside the endodermis. In one of the specimens figured 262by Williamson[697] the secondary wood shows clearly marked irregular concentric lines simulating rings of growth, but there is no evidence of any regularly recurring variation in the diameter of the xylem-elements. From the descriptions of Williamson and Osborne it is evident that the roots of Cordaites were profusely branched and, as the latter author has shown, the method of branching points to the formation of coralline roots like those of recent Cycads, some Conifers and Dicotyledons. Osborne found that the cortex 263of small rootlets is composed of two zones, an outer parenchyma without cell-contents and an inner parenchymatous tissue characterised by the occurrence in some of the cells of tangled masses of fungal hyphae almost always unseptate. In some cases the hyphae bear terminal vesicles similar to those observed on fungal hyphae in the cortex of Podocarpus roots. Osborne makes out a good case for regarding the fungus as symbiotically related to the tissues of the lateral roots, a relationship identical with that in many existing trees, particularly Myrica and Alnus. It is suggested that the formation of the coralline root-tubercles is a feature consistent with the view that Cordaites lived in saline marshes, a physiologically dry habitat favourable to the occurrence of mycorhiza.
Reference has already been made to the habit of Cordaitean roots in the general account of the genus (figs. 468, A, 478). The specimen shown in fig. 478 may be a root of Cordaites (Noeggerathiopsis) Hislopi, but nothing is known as to its structure[698].
264
We have as yet no definite knowledge of the nature of the reproductive organs of Mesoxylon and Poroxylon, but having regard to their close resemblance in other respects to Cordaites, particularly in the case of Mesoxylon, the presumption is that some of the seeds and fertile shoots attributed to Cordaites may belong to other members of the Cordaitales. Despite the abundance of Cordaites, or at least of material assigned to that genus, and the comparative frequency of fertile shoots in actual connexion with foliage-shoots, the practical identity of Mesoxylon and Cordaites leaves precludes any confident use of the latter name in a strict sense.
In 1822 Brongniart[699] described a small bud-like fossil of Tertiary age as Antholithes liliacea, and this generic name in the form Antholithus became widely used for fertile shoots or flowers from different geological horizons. As knowledge became more precise other names replaced Antholithus, though Renault[700] retained it for some inflorescences from Commentry which could not definitely be included in Cordaites. Lindley and Hutton[701] employed the genus for a specimen, now recognised as a Cordaitean fertile shoot, from the Coal Measures which they called Antholithus Pitcairniae, the specific name being chosen to indicate a possible affinity to the Bromeliaceous genus Pitcairnia. A few years later Morris[702] described a similar inflorescence as A. anomalus. In 1872 Carruthers[703] substituted Brongniart’s term Cardiocarpon for Antholithus and called A. Pitcairniae Cardiocarpon Lindleyi and Morris’s species C. anomalum. The specific name Lindleyi has been widely adopted, but there would seem to be no adequate reason for disregarding the priority-rule. It is, however, customary to use Grand’Eury’s term Cordaianthus for all Cordaitean inflorescences. Goeppert[704] suggested the name Botryoconus for an inflorescence similar to C. Pitcairniae and for this C. E. Weiss[705] substituted Noeggerathianthus on the ground that he considered Goeppert’s specimen to be the male inflorescence of Noeggerathia. 265Grand’Eury resuscitated Botryoconus[706] for some spikes from the Gard coalfield connected by him with Dory-Cordaites. The nature of the seeds borne by the inflorescences has largely influenced authors in the choice of a generic name: Carruthers used Cardiocarpon while Zeiller[707] speaks of Samaropsis Pitcairniae. The genus Cardiocarpon was founded by Brongniart for compressed cordiform seeds, but it was not until later that their gymnospermous nature was recognised. Further reference to the nomenclature of seeds of the Cardiocarpon type will be found in Chapter xxxv. The correlation by Grand’Eury and other authors of different species of inflorescences and species of Cordaites is frequently based on association, and in the absence of more satisfactory evidence the safer course is to deal with Cordaitean fertile shoots in a general sense.
(a) Ovulate shoots. These are represented by a considerable number of forms in both European and American localities. In rare cases the compound shoot reaches a length of 30 cm. (fig. 479), but it is usually much shorter; the lateral compact buds may be more or less widely separated: the seeds have long pedicels (fig. 480, A) or appear to be sessile (fig. 480, B) and there may be one or several seeds on a single lateral shoot. The seeds are platyspermic and, as seen in fig. 480, A, in some inflorescences they show very clearly the Samaropsis features. It would, however, be unsafe to assume that all Samaropsis seeds were borne on Cordaitean plants. Among other types of seed referred by authors to Cordaites are Cardiocarpus, Cordaicarpus, Sarcotaxus, Taxospermum, Diplotesta, and Leptocaryon. But in most cases there is no evidence of actual connexion 266between seeds and vegetative organs, and while it is possible to state with confidence that many of the seeds represented by impressions described as species of Samaropsis and Cordaicarpus are undoubtedly Cordaitean, it is certain that not all seeds referable to these genera were borne by Cordaitalean plants. Cordaitean seeds are characterised by certain morphological features recalling those found in recent Cycads and in the seeds of Ginkgo as illustrated by species of Cardiocarpus and some allied types. As most of the Palaeozoic seeds known in a petrified state cannot be assigned to their parent-plants they are dealt with in a separate chapter[708].
This type of inflorescence[709] is considered by Kidston to belong to the tree which bore leaves known as Cordaites principalis, but if this is the case it is probable that the stem possessed the anatomical characters of Mesoxylon.
The portion of an inflorescence shown in fig. 480, A, from the Middle Coal Measures of Yorkshire, illustrates the occurrence of 267the bud-like fertile shoots and the stalked Samaropsis seeds. A species described by Renault[710] from Commentry as Cordaianthus acicularis may be identical with the British species.
The example of this species[711] seen in fig. 480, B, shows the relatively small size of the lateral buds, presumably unexpanded, compared with the large subtending bracts.
Our knowledge of the structure of Cordaianthus is based on the researches of Renault[712], supplemented by those of Prof. Bertrand[713] to whose kindness I owe the photographs reproduced in fig. 481. The inflorescences described by Renault are referred by him to different species, but in the following brief account these are treated from a generic standpoint. The tangential section of Cordaianthus Williamsoni Ren. shown in fig. 481, D, was originally figured by Renault and more recently by Bertrand; it shows the spirally disposed leaf-traces in the lower part of a stout axis, and at the sides some vascular bundles are seen passing up into the bracts. A very small proportion of the bracts subtend ovules; two are seen at a and b, and at c is the tangentially cut micropylar canal of a third borne near the apex and covered by the terminal cluster of bracts. The ovule a, separated by a narrow space from its short stalk, consists of a thick single integument—not two as stated by Renault—extended at the apex as a micropylar canal: the apical extension is more completely shown in the tangentially cut ovule b. The central body is much contracted and the two spaces, s, at the base are regarded by Bertrand as cavities in the integument separated from one another by a central strand of conducting tissue which gives off two bundles to the integument, one at each end of the long axis of the seed (fig. 481, A, v). The dark patch, n (fig. D), is the upper and broader end of the shrunken nucellus the apex of which extends upwards as a slender beak, and this originally no doubt fitted into the micropyle. Fig. 481, C, shows a female inflorescence 269in transverse section; the stele consists of a ring of bundles separated by broad medullary rays and enclosing a comparatively large pith: the leaf-traces are seen in the cortex and one is cut through as it bends out into a bract which is not yet free from the axis. Two ovules, seen in section at a and b, are represented by the bilaterally symmetrical and compressed integument enclosing small pieces of nucellar tissue. Fig. 481, E, is a transverse section of an inflorescence at a higher level and above the apex of the axis: there are four large ovules and one aborted ovule, a. Bertrand describes two vascular bundles in the integument of the ovule a, one at each end of the long axis.
Fig. 481, A, B, Cordaianthus Grand’Euryi Ren., shows a longitudinal section of the nucellus, 1·5 × ·7 mm., and part of the integument of an ovule at the time of pollination, which was probably aided by the secretion of a drop of mucilage as in the ovules of recent Conifers. The integument, separated by a broad space from the nucellus, is cut in the plane of the two vascular strands, v. From the centre of its broad upper surface the nucellus projects upwards as a beak, b, and this originally engaged with the micropylar canal formed by the integument: the lighter patch below the beak is the pollen-chamber (fig. 481, B, pc) containing two microspores, and two more, p, are seen above the nucellar beak. In another species described by Renault, C. Lacattii, the nucellus fills the space bounded by the integument.
(b) Staminate inflorescences. The male inflorescence, though smaller, is similar in habit to the ovulate shoot: the secondary branch consists of a short axis bearing crowded, spirally disposed, bracts, and the actual flowers are represented by single stamens or groups of 2–3 highly specialised microsporophylls. Each microsporophyll consists of a long filament with a central vascular strand bearing at its apex 3–4 long microsporangia (fig. 481, F, m) which open longitudinally as seen in fig. 482, A. The microsporangia are 2·5–3 mm. long covered by dark palisade cells and thin-walled parenchyma, shown as indistinct patches in the photograph. Some of the elliptical and comparatively large microspores are seen in fig. 482, B; the exine is finely punctate and inside are the remains of a few thin cells in which presumably 270spermatozoids were developed. The microspores shown in fig. 482, B, have a maximum length of 0·1 mm.: Renault describes some as 0·9 mm. long while others are much smaller. Fig. 481, F, is a transverse section of a staminate inflorescence showing near the centre five groups of microsporangia, each sporangium having the form of a curved incomplete dark band indicating that dehiscence has occurred.
This generic name was instituted for stems obtained by Messrs Lomax from the Lower Coal Measures of Lancashire[714] previously referred by Scott[715] to Cordaites and Poroxylon. Further investigation showed that while agreeing closely with those genera they possessed certain distinctive features demanding recognition. The name chosen suggests the intermediate nature of the stems. The more striking features may be summarised as follows: In the largest specimens so far described the stem, 271including leaf-bases, reaches a diameter of 5 or 6 cm.; the large pith consists in the central region of diaphragms of parenchyma separated by horizontal spaces produced by splitting and shrinkage consequent on the failure of the tissue to keep pace with the general growth of the stem. The secondary xylem is of the Araucarian type and has narrow medullary rays varying in depth from 1 to 25 cells. The leaf-traces are represented by twin-bundles which fuse in the downward direction, the level at which fusion occurs being regarded as a specific character. The presence of centripetal xylem is an essential feature of the traces: the occurrence of single or double traces consisting of centripetal elements and, externally, a large amount of centrifugal xylem is an important feature in which Mesoxylon differs from Cordaites. The double leaf-traces divide after emerging from the secondary wood and each strap-like leaf receives several collateral bundles (fig. 483, C). An axillary bud may occur at the base of each leaf (fig. 483, A, b). The phloem, including sieve-tubes and secretory sacs, is succeeded by a broad pericycle, and the comparatively narrow cortex is traversed by successive bands of periderm. In the outer region of the cortex the presence of radial bands of fibres is a characteristic feature. The reproductive organs are unknown. The anatomical features are well illustrated by M. Sutcliffii first described by Scott, who provisionally placed it in Poroxylon, and afterwards more fully investigated by Maslen[716].
The average diameter of the stem is 3 cm.: the section reproduced in fig. 483, A, has a maximum breadth of 3·5 cm.; the leaf-bases cut at different levels give an irregular contour to the surface like that of a Lepidodendron. An axillary bud, either reproductive or vegetative, is seen at b consisting of a short axis bearing crowded bud-scales. The leaves are crowded and according to Maslen have a phyllotaxis of ⁸⁄₂₁: the lamina is linear like that of Cordaites with 16 collateral bundles in the petiole. The presence of a meristematic band at the base of the lamina affords evidence of a deciduous habit. The large size of the pith is a striking feature with its central tissues in the form of transverse diaphragms 273and a narrower peripheral zone of solid parenchyma (fig. 483, A, a). The secondary wood of the stele is composed of tracheids with 2–3 contiguous alternate rows of bordered pits on the radial walls, but none on the tangential walls. In the stem shown in fig. 483, A, the secondary wood is preserved only in patches. Numerous blunt teeth varying in prominence project into the pith; these consist chiefly of serially disposed centrifugal tracheids distinguished by their spiral and scalariform structure and by the medullary rays which are broader than those in the more external xylem. Further reference is made to these perimedullary strands in the description of the leaf-traces. The medullary rays are uniseriate and usually 1–6 cells in depth: beyond the secondary wood is a cambium and a cylinder of secondary phloem (fig. 483, D, ph2) consisting of tubular elements, presumably sieve-tubes, and elongated secretory sacs. The pericycle is composed of several rows of rather large and short cells and has an ill-defined outer boundary. A succession of arcs of periderm-like tissue and phellogen, which may invade the pericycle and phloem, forms a prominent feature in the cortex; radially placed bands of fibres similar to those in Lyginopteris and other genera occur in the outer cortex. At the edge of the pith the more prominent projections of xylem are arranged in pairs (fig. 483, B) and as each pair travels downwards the component strands gradually fuse[717]. Each bundle of a double trace consists internally of an arc of centripetal xylem, the elements of which are arranged in rows (fig. 483, B, cp), with a single protoxylem group in the middle of the inner face, px. It is not clear whether any primary centrifugal tracheids are present, but there are indications that such are occasionally represented. In most cases the primary xylem of the leaf-traces is exarch, but the existence of mesarch bundles is not improbable. The bulk of each foliar bundle is formed of a fan-shaped mass of secondary centrifugal xylem (fig. 483, B, cf) and an island of parenchyma occurs next the protoxylem. There is no clearly defined boundary between the outer or centrifugal xylem of the leaf-traces and the tracheids of the stem-wood; the latter may consist exclusively of tracheids 274with bordered pits or the inner rows of the xylem-cylinder may be of the scalariform or spiral type. Differences shown in transverse sections of the inner portion of the xylem are due to the circumstance that in certain parts of the inner face of the secondary wood leaf-traces are unrepresented, while in other places the dwindled remains of the outer, centrifugal, portions of a trace are still recognisable. As each double leaf-trace passes down the pith the bundles fuse and the single strand retains for a time some centripetal xylem; this gradually disappears and at a lower level the centripetal xylem also dies out. The space enclosing the obtuse apices of the bundles shown in fig. 483, B, was originally occupied by thin-walled tissue which accompanied the trace in its outward course. In Mesoxylon Sutcliffii the leaf-strands pass almost horizontally through the secondary wood, bend outwards in the phloem and follow a steeply ascending course to the leaves. In fig. 483, B, a double leaf-trace is seen at the inner edge of the secondary wood with the centrifugal xylem, cf, continuous with that of the stele: fig. 483, D, lt, shows a leaf-trace in the pericycle where one of the bundles has divided and the other is tangentially extended and partially divided. The branching is carried further in the cortex, as seen in fig. 483, C, where the trace is represented by a curved row of six bundles, lt, and at a higher level further subdivision may occur. The leaf-bundles are collateral and in the leaf retain both centripetal and centrifugal tracheids. In the section shown in fig. 483, C, the oval stele of an axillary shoot is seen at s subtended by the row of collateral bundles: the stele has a fairly large pith surrounded by a zone of secondary xylem with broad medullary rays.
Among other species of Mesoxylon mention may be made of M. Lomaxi and M. poroxyloides. M. Lomaxi Scott and Maslen[718] generally resembles M. Sutcliffii but shows the following distinctive features: the leaves are more scattered and less crowded; the twin-bundles of the leaf-traces fuse immediately on entering the pith, thus appearing for the most part as single and not double 275strands in the perimedullary zone; the centripetal xylem is well developed, the medullary rays are deeper and the outer cortex has shorter bands of mechanical tissue.
In Mesoxylon poroxyloides Scott and Maslen[719], the twin-bundles of the traces unite soon after reaching the pith as in M. Lomaxi, the secondary tracheids have only two rows, or sometimes a single row, of bordered pits and the tracheids are rather smaller than in M. Lomaxi (20–40μ as compared with 30–60μ) and the medullary rays are shallower. There is a particularly broad zone of spiral and reticulate transitional tracheids at the inner edge of the wood as in Cordaites and in Dadoxylon Pedroi (fig. 476). The leaves of this species are believed to be represented by the type described by Dr Benson as Cordaites Felicis (fig. 465)[720], but, as already suggested, it is very probable that many or possibly nearly all the leaves from British Coal Measures described as Cordaites may belong to Mesoxylon.
The chief interest of the genus Mesoxylon is its close resemblance in certain characters to Cordaites and Poroxylon: the presence of strands of centripetal xylem in the perimedullary region is an important feature in which Mesoxylon differs from stems assigned (under the generic name Dadoxylon) to Cordaites. Mesoxylon differs from Poroxylon in having a discoid pith like that of Cordaites, but a more important difference is the absence in the leaf-trace xylem of Mesoxylon of bordered pits of the Araucarian type, whereas in Poroxylon Araucarian pits occur in both the centripetal and centrifugal tracheids. In Poroxylon the secondary xylem is manoxylic; in Mesoxylon, as in Cordaites, it is pycnoxylic.
An increased precision in knowledge derived from anatomical investigation often tends to demonstrate the untrustworthiness of criteria based on external features previously employed with confidence. This inevitable though, from the point of view of the systematist, inconvenient result of intensive study is well illustrated by the recent discovery of the stems named by 276Scott and Maslen Mesoxylon[721]. A separation of Cordaites from Mesoxylon, which no doubt extended far beyond the British area, is possible only if well-preserved petrified material is available. The leaves of Mesoxylon, so far as our imperfect knowledge of them enables us to express an opinion, are constructed on a plan almost identical with those of Cordaites and, as already stated, it is almost certain that many of the impressions referred to Cordaites were borne on Mesoxylon stems. An additional source of confusion is supplied by the Cordaites-like leaves of Poroxylon. It is evident, therefore, that even within the limits of the Carboniferous and Permian formations the recognition of true Cordaites leaves must often be attended with considerable risk of error. Apart from the possible confusion between the foliage of Cordaites and Mesoxylon there are other difficulties as regards detached leaves which depart more or less widely from the typical Cordaitean form. Leaves such as C. circularis (fig. 468, B) and C. grandifolius emphasise the lack of any thoroughly satisfactory dividing line separating single pinnules of Cardiopteris or Cyclopteris on the one hand and leaves of Psygmophyllum on the other from Cordaites. The petrified buds described as Dolerophyllum[722] have been quoted by several authors as examples of unexpanded shoots of Cordaites though anatomical evidence warrants a generic separation. In the case of species founded on leaves described in this chapter as Cordaites it should be remembered that further research may necessitate an alteration in nomenclature.
Among the species included in Cordaites is Noeggerathiopsis Hislopi[723] (figs. 470–472), a type widely spread in India and in other parts of Gondwana-Land: if the change of generic name is accepted it involves the extension of the geographical range of Cordaites from Northern Europe and North America to the southern botanical province. We have as yet no proof of the existence of Cordaites in the Arctic regions. The range in time of Cordaites or of the Cordaitales has generally been stated to be from the Upper Devonian to the Permian. It is, however, by no means certain that the genus flourished before the Carboniferous period, though it is clear that closely allied types must have lived in 277pre-Carboniferous floras. The strata in New Brunswick from which Dawson recorded his supposed Devonian Cordaites have been shown to be Upper Carboniferous in age[724]. As regards the length of time during which the Cordaitales existed we have no decisive evidence. In recent years the tendency has been to extend their range into the Mesozoic era, and there are several pieces of evidence in favour of this. There is no doubt that considerations of age based on the arbitrary divisions of the geological scale sometimes insinuate themselves too thoroughly into questions connected with the duration of plant-types whether represented by families or genera. We have been accustomed to regard Cordaites as a genus confined to the Palaeozoic period, a type which with many others carried on the tradition of Upper Carboniferous forests to the Permian floras and then made way for the precursors of Mesozoic types. There is, however, no valid reason for supposing that Cordaites and other Palaeozoic genera did not survive as less prominent members in succeeding floras. It must be admitted that evidence in support of Mesozoic Cordaitales is not above suspicion, though the probability is that Cordaites or some allied genera still flourished in the earlier stages of the Mesozoic era. The data on which this opinion is based cannot be fully discussed in a general treatise, but a few of the facts may be briefly considered. Zeiller[725] and other authors have expressed the view that the Cordaitales were not exclusively Palaeozoic. In addition to Cordaites (Noeggerathiopsis) Hislopi recorded from Rhaetic floras, other possible representatives of the group are illustrated by specimens included in such genera as Yuccites, Bambusium and Krammera.
The name Yuccites[726] was given to some detached, broad, linear leaves from the Bunter sandstone of the Vosges which were compared with the foliage of Yucca and classed among Monocotyledons. The authors of the genus also described a cylindrical cast as a Yuccites stem, including both stem and leaves in Yuccites vogesiacus. 278The supposed stem, as Fliche[727] has shown, is a pith-cast and is appropriately named by him Endolepis vogesiacus. The Vosges leaves are assigned by this author to the genus Cordaites, a change of name which may eventually be justified though as yet based on insufficient evidence. There are objections to the institution of a new name in place of Yuccites, but it is undesirable to retain a designation suggesting false ideas with regard to affinity. A new name Pelourdea (after M. Pelourde of Paris, whose recent death deprives Palaeobotany of an able and promising investigator) is therefore proposed for leaves of the Yuccites type which in form, venation, and spiral phyllotaxis agree with those of Cordaites but cannot confidently be assigned to that genus or even to the Cordaitales. For linear leaves, especially from Jurassic strata, resembling those of Phoenicopsis the name Desmiophyllum[728] is employed: these are very similar to those of Pelourdea; they are characterised by their fairly uniform breadth and afford no indication of their arrangement on the supporting axis.
The linear-lanceolate leaves described by Schimper and Mougeot as Yuccites vogesiacus and transferred by Fliche to Cordaites are probably specifically identical with specimens described by Mr Wills[729] from Lower Keuper rocks in Worcestershire. The English leaves were described by Arber[730] as Zamites grandis,—the name Zamites vogesiacus having been previously used by Schimper and Mougeot,—on the ground that the supposed leaves were probably pinnae of a cycadean frond, a view in agreement with an opinion previously expressed with regard to similar leaves from Stonesfield[731]. A later discovery by Wills of specimens, on which the drawing reproduced in fig. 484 is based, of the same type of leaf showing the foliar nature of the fossils necessitated the abandonment of the pinna-hypothesis, and the original name Yuccites vogesiacus was resuscitated[732]. The leaves reach a length of 50 cm. and a maximum breadth of 6·5 cm.; the lamina is entire, lanceolate or linear-lanceolate, the apex 279acuminate, and the lower part rather abruptly contracted and attached by a broad crescentic base; veins numerous, parallel, and occasionally forked. Fliche records the occurrence of a small Artisia-like pith-cast and pieces of stem with leaf-scars (4 × 3 mm.) in association with leaves of Pelourdea vogesiaca in Triassic strata in Lorraine. An imperfectly preserved specimen described by Fliche as Cordaianthus Minieri[733] resembles an inflorescence of Cordaites. It consists of an axis 15 cm. long, the lower part forming a peduncle, and on the upper portion are linear bracts subtending oblong bodies which may be lateral fertile shoots.
280
Dr Halle[734] recently published an account of some imperfect leaves and stem-fragments from the Rhaetic of Scania which he named Phyllotenia (?) hadroclada, the generic name provisionally adopted having been proposed by Salfeld[735] for some rather obscure remains from the Corallian of Germany. It appears to have escaped the notice of both authors that Saporta[736] in 1894 had adopted the designation Phyllotenia for some examples of broad parallel-veined leaves from Lower Cretaceous rocks in Portugal very similar to Velenovský’s Krammera mirabilis[737]. Some other generic name must therefore be used. For the Rhaetic species the name Pelourdea would seem appropriate. The type-specimen consists of an axis 10–12 mm. in diameter with spirally disposed transversely elongated leaf-scars bearing sessile linear leaves similar to Poa-Cordaites; none of them are complete, the largest is 6 cm. long and 5–7 mm. broad with 8–12 parallel veins. An examination of the original specimens in the Stockholm Museum satisfied me that Dr Halle is justified in the opinion that they may be fragments of some Cordaitalean plant and that he was well advised to avoid the use of the name Cordaites. Salfeld’s species, Phyllotenia longifolia, may be an imperfectly preserved example of Phoenicopsis[738], but the material is too incomplete to be identified with any degree of confidence.
The Triassic leaves from Switzerland described by Heer[739], and more recently by Leuthardt[740], as Bambusium Imhofi, were referred by Fliche[741] to the genus Cordaites. The lamina is ensiform, 25 cm. long with a maximum breadth of 2·4 cm. Leuthardt’s photograph of aerial stems and rhizomes of this supposed Monocotyledon are far from convincing.
The leaves from the Lower Keuper of Thuringia assigned by Compter[742] to Cordaites without adequate evidence resemble those 281of P. vogesiaca, but there is no evidence as to their manner of attachment; they are 30–40 cm. long and from 1·5 to 2 cm. broad.
This species was first described by Phillips[743] from the Middle Jurassic Stonesfield Slate and afterwards referred to Zamites[744]: the leaves bear a striking resemblance to foliage of the type Cordaites borassifolius; the lamina is 30 cm. long and attains a breadth of 3 cm., the apex is acuminate and slightly contracted towards the broad concave base. My former comparison of these Stonesfield leaves with the long pinnae of Ceratozamia mexicana seemed to be supported by Phillips’s type-specimen of Palaeozamia longifolia. It may be that the supposed pinnae in Phillips’s type are spirally disposed leaves: if this is the case the specimen may be a fragment of a Podozamites; its specific identity with the larger detached specimens, though probable, cannot be demonstrated. Some leaves figured by Zigno[745] from Jurassic rocks of Italy as Yuccites Schimperianus may be identical with P. megaphylla.
The generic name Krammera, suggested by Corda, was employed by Velenovský[746] for large Cordaites-like leaves from the Lower Cretaceous of Bohemia, for casts of cones regarded by him as stems, and for fruit-like bodies. The leaves, previously described as Flabellaria chamaeropifolia Goepp., Dammara albens Presl, etc., bear a close resemblance to the large broadly linear leaves of Cordaites; the lamina reaches a length of 40 cm. and between the veins occur 1–4 finer striations. The fossils identified by Velenovský as stems bearing crowded imbricate scales, which he regarded as the persistent bases of Krammera leaves, are probably cones; they agree very closely in size and shape, also in the form of the scales, with cones of Agathis and some other recent Conifers. As the designation Krammera was instituted primarily for cones and not leaves the name Pelourdea is substituted for it.
282
The generic name Niponophyllum[747] was proposed for some petrified specimens of leaves or possibly leaflets from Upper Cretaceous beds in Japan which, though not definitely assigned to a group or family, are considered by the authors of the genus ‘to lie [anatomically] somewhere between Cordaites and Cycadeoidea’ ‘with a closer similarity to the former than to the latter if we compare the whole Cordaites leaf with our blade.’ The data on which this conclusion is based are, however, insufficient to justify a reference of Niponophyllum to the Cordaitales or indeed to lend any substantial support to the opinion that the Japanese specimens are anatomically more akin to Cordaites than to other plants. The type-species is represented by two specimens of leaf-fragments about 0·4 mm. thick and from 6 to 9 mm. broad containing from 21 to 33 vascular bundles; the upper part of the mesophyll is composed of palisade tissue and the stomata appear to be confined to the lower epidermis. Each bundle is accompanied by an I-shaped girder, and small patches of sclerenchyma occur next the upper epidermis between the girders; there are no resin-canals: the vascular bundles are collateral, the xylem is said to be almost entirely centripetal and exarch, but in the absence of evidence afforded by longitudinal sections the details of structure cannot be definitely determined. A comparison is made with Cycadean leaves and with leaves of Araucarineae and Podocarpeae, also with Cordaites; another type with which Niponophyllum may be compared is Desmiophyllum Solmsi[748].
The genus is interesting as an example of a petrified gymnospermous type of leaf characterised by the absence of resin-ducts and transfusion-tracheids, the possession of collateral, apparently exarch, bundles enclosed in a double sheath; but the data supplied are insufficient to enable us to allocate the specimens to a position within the class.
283
A specimen described by Schenk[749] as Eolirion primigenium from Lower Cretaceous beds in the Carpathian mountains closely resembles in habit a foliage-shoot of Poa-Cordaites; the leaves are narrow and linear with obtuse apices and attached, apparently, in a close spiral. Schenk assigns the plant to the Monocotyledons, but its systematic position must be left unsettled.
The list of Mesozoic specimens resembling Cordaites leaves might be extended. Apart from some Triassic and Rhaetic examples which may well be Cordaitalean, there are many others which, though similar in form and venation to Cordaites, are in all probability more closely related to Agathis and other genera; the species Dammarites Bayeri recently described by Zeiller[750] from the Upper Cretaceous of Bulgaria is a case in point. The Araucarian character of the wood of Cordaites precludes any satisfactory discrimination between Mesozoic Araucarian stems and those of Cordaitalean species, at least in the case of such material as is usually available.
Titanophyllum Grand’Euryi Renault. The remarkable leaves on which this genus and species are founded[751] were discovered in the Commentry coalfield; they occur as detached specimens and cannot be correlated with any known stem. Renault suggests that the Autun stems referred to Colpoxylon may have borne the Titanophyllum leaves, but this correlation rests only on the dimensions of the stems and the occurrence of transversely elongated scars on the surface. The lamina is thick and coriaceous, 70–75 cm. long and 20–25 cm. in breadth; the veins are parallel but not branched; numerous longitudinal striations on the upper surface indicate the presence of hypodermal stereome-strands; stomata are abundant on the lower surface and the more or less rectangular cells in the neighbourhood of the stomata appear to be papillose (fig. 485, A, B). The distal region of the lamina 284is often torn into strips (fig. 485, A); the approximately rectangular leaf has a broad elliptical base 9–10 × 3–4 cm.
Dr White[752] describes a specimen from the Lower Coal Measures of Missouri as ? Titanophyllum Brittsii which he speaks of as the thick base of a leaf similar to that described by Renault but, as White says, no formal diagnosis is possible without more satisfactory material. Such evidence as is available suggests that Titanophyllum is a type of Cordaitalean leaf probably closely allied to Cordaites.
This generic name in the form Pitus was first used by Witham[753] for some petrified pieces of large stems from Lower Carboniferous strata in the south of Scotland (Berwickshire). In an earlier paper Witham[754] gives an account of the beds on the banks of the Tweed from which the specimens of Pitys and other plants were obtained. The name was revived by Goeppert[755] as a substitute for Pissadendron[756] adopted by Endlicher and Unger: Scott[757] employed the older name in the account of his investigations, which have added greatly to our knowledge of Witham’s types. The distinguishing characters of Pitys are: the Araucarian pitting of the secondary xylem, the large pith, the occurrence of numerous small primary xylem strands of mesarch structure in the peripheral region of the pith, and the simple nature of the leaf-traces. Nothing is known of the extrastelar tissues, and beyond the fact that the species were arborescent we have no information with regard to the foliar[758] or reproductive organs.
In 1899 Scott[759] published a preliminary description of some sections in the possession of Dr Kidston from Lennel Braes (Berwickshire: Calciferous series) under the name Araucarioxylon antiquum, but in the more complete account the name Pitys[760] is adopted. The following description is based on Scott’s paper 286and on the examination of the sections. Fig. 486 represents a diagrammatic sketch of a section (2·7 × 2·7 cm.) of the central region of a stem which had lost most of its secondary wood. In some cases the pith reaches a diameter of 3 cm.; it consists of large parenchymatous cells broader than deep, several of which contain a black substance and are probably secretory elements: the intercellular spaces are fairly large. Horizontally extended gaps, due to shrinkage and collapse, occur in the pith and give to it an appearance not unlike that of Cordaites. Numerous small elliptical strands of primary xylem, 0·15–0·3 mm. in diameter, are scattered in the peripheral region (fig. 486) at varying distances from the inner edge of the secondary wood and occasionally, when about to bend outwards as a leaf-trace, a primary xylem-strand abuts directly on the secondary xylem. The protoxylem occupies a more or less central position in each mesarch strand (fig. 487, B, px): the centrifugal tracheids have the Araucarian pitting while the centripetal elements are spiral. A few parenchymatous cells are associated with the more central tracheids. A leaf-trace about to bend outwards into the zone of secondary wood is double, but at a slightly higher level in its course it assumes the form of a single strand. The foliar bundles are thus single and not true double traces. Scott recognised, at the extreme edge of the pith, an association with outgoing leaf-traces of a single reparatory strand deeper in the medullary tissue. In this species there is no evidence that an outgoing trace is accompanied by an arc of secondary xylem, but that such was the case is rendered highly probable by the discovery of an arc of wood added by the cambium to a leaf-trace in Pitys Withami[761]. The radial disposition of the pith-cells, many of which appear to be secretory, around each primary xylem-strand (fig. 487, B) is a characteristic feature. A difficult problem, namely the relation of primary xylem and 287phloem, is raised by the fact that the primary strands are composed exclusively of xylem and are in most cases separated from the secondary wood by several parenchymatous cells. Scott favours the view that the primary phloem was originally at some distance from the primary xylem, the cambium being formed nearer to the phloem, an arrangement foreign to recent Gymnosperms. It is perhaps conceivable that the primary conducting strands included no true phloem.
The secondary xylem consists of tracheids with 4–5 alternate rows of hexagonal pits on the radial walls (fig. 487, A) and not infrequently on the tangential faces. Near the ends of the tracheids the pits are occasionally more scattered and separate and may be reduced to a single row[762], but on the whole the pitting is essentially Araucarian. The medullary rays are generally 4 cells in breadth, but may be 7 cells broad. In depth the rays extend to 70 cells. As seen in fig. 487, B, the inner ends of the rays are especially broad owing to the tangential dilatation of the cells. The innermost secondary tracheids are characterised by pitting intermediate between spiral and reticulate. There are no regular rings of growth in the wood.
Pitys primaeva Witham. This species[763], also founded on material from the Calciferous sandstone of Berwickshire, differs 288from P. antiqua in the broader and shorter form and greater breadth of the medullary rays (fig. 488, A, B), also in the larger tracheids and in the less crowded arrangement of the bordered pits in which the circular form sometimes replaces the hexagonal type. The structure of the pith is not known, but Scott was able to recognise in the partially preserved pith of a branch indications of primary-xylem groups and other features pointing to a close resemblance to P. antiqua[764]. A piece of stem originally 289described by Williamson[765] as Lyginodendron (?) anomalum from the Lower Carboniferous volcanic ash of the Isle of Arran would appear to be closely related to, if not specifically identical with, P. primaeva and, as Scott says, it should at least be included in the same genus.
| 1831. | Pinites Withami Lindley and Hutton, Foss. Flora, Vol. i. Pl. ii. |
| 1831. | Pinites medullaris, Ibid. Pl. iii. |
| 1902. | Pitys Withami Scott, Trans. R. Soc. Edinb. Vol. xl. p. 354, Pl. ii. fig. 10: Pl. vi. fig. 21. |
This species was founded on some sections cut from an incomplete stem 36 feet long obtained in 1826 from the Calciferous sandstone of the Craigleith quarry near Edinburgh. The specimen named by Lindley and Hutton Pinites medullaris is no doubt specifically identical with the larger stem. In the same year (1831) Witham[766] published an account of a still larger stem from the same locality, 47 ft long and 5 ft in diameter in the lower part, and in his book the name Pinites Withami is adopted. A large specimen of this tree is erected in the grounds of the Natural History Museum, London, and other specimens are preserved in the Edinburgh Botanic Garden. Goeppert in 1850 referred the species to Dadoxylon and later to Pitys[767], while Brongniart[768] assigned it to his genus Palaeoxylon. Scott[769], who examined Witham’s sections placed it in Pitys. The pitting of the secondary tracheids is often multiseriate, but the medullary rays are narrower than in Pitys antiqua and P. primaeva, rarely exceeding 4 cells in breadth, though still of the manoxylic type. Primary-xylem strands occur in the peripheral region of the pith agreeing closely with those of P. antiqua. There are no regular and continuous annual rings though as Witham stated there are concentric markings on the wood which superficially resemble true rings. The leaf-traces are single and in their passage through the cylinder of wood an arc of secondary tracheids is added to the primary elements.
290
Archaeopitys Eastmanii Scott and Jeffrey. The genus Archaeopitys[770] has recently been instituted for a specimen of a stem from the Lower Carboniferous rocks of Kentucky which differs from Pitys antiqua, the type with which it is most closely allied, in the position and behaviour of the primary vascular strands in the pith. The type-specimen is a piece of stem 2·7 cm. in diameter including a solid parenchymatous pith 5·5 mm. broad and a cylinder of secondary wood. The wood is similar to that of Cordaites; the tracheids have 2–3 rows of pits but for the most part the details of structure are not preserved; the medullary rays are both uniseriate and multiseriate and not very deep; the structure is more Cordaitean than Cycadean. A characteristic feature is the occurrence of about 30 vascular bundles in the medullary region: these mesarch strands, with the protoxylem near the centre, are scattered through the pith and several lie on the outer edge in contact with the secondary xylem or are partially embedded in the xylem-cylinder. The examination of a series of sections demonstrated the fusion of perimedullary with medullary strands and the occasional union of the strands of both regions with one another. It appears that the perimedullary strands are the leaf-traces while the strands deeper in the pith are merely branches from the peripheral leaf-trace strands.
In Pitys antiqua the medullary xylem strands are confined to the outer zone of the pith and constitute the leaf-traces: in Archaeopitys, on the other hand, the medullary strands are scattered through the pith and the leaf-traces are restricted to the circummedullary region in actual contact with the secondary xylem. In the Devonian genus Callixylon there are similar strands but they are confined to the edge of the pith and are usually in contact with the wood as are the circummedullary strands in Archaeopitys. The grouping of the secondary xylem of Callixylon into wedge-shaped masses at the inner edge of the cylinder is a characteristic feature; this feature is less definite in Archaeopitys and absent from Pitys.
291
Callixylon Trifilievi Zalessky. This genus is represented by a single species[771], originally referred to Dadoxylon, founded on material from Upper Devonian rocks in the Donetz basin, Russia, and based solely on the anatomical characters of the secondary wood and central region of an arborescent stem. The wood is pycnoxylic and of the Araucarian type; the inner portion of the xylem-cylinder is divided into groups, similar to the regular wedges in a Calamite stem, consisting of tracheids converging towards an obtuse apex occupied by a primary xylem strand, fig. 489, A, a, b. On the radial walls of the tracheids the bordered pits not infrequently form a single row of flattened ovals, but more usually there are two or sometimes three rows of alternate contiguous pits (fig. 489, B): circular and separate pits also occur. As Zalessky states, the pits do not always occupy the whole radial face; unpitted patches sometimes interrupt the continuity of the pitted areas[772]. Similar circular and more scattered pits are unusually abundant on the tangential walls. There are no complete rings of growth. The medullary rays are narrow and, except at their dilated inner ends, uniseriate; usually one or a few cells deep, they may reach a depth of 12 or more cells. The pits on the radial walls of the ray-cells are said to be 4–7 in the field. The pith consists of thin-walled flattened parenchyma frequently elongated in a radial direction. At the inner edge of the secondary xylem and generally in contact with it are several anastomosing strands of primary xylem, mesarch in structure but with the protoxylem nearer the inner edge. These bundles may be single (fig. 489, A, a) or double (fig. 489, A, b, and C) and closely resemble those of Pitys antiqua except in their closer relation to the secondary wood. The leaf-traces have not been described, but the occurrence of twin-bundles like those in fig. 489, C, suggests that they were double. The primary-xylem elements show particularly well transitional forms of pitting connecting the multiseriate and scalariform types.
Callixylon, though conveniently and justly regarded as a distinct genus, exhibits in its primary xylem a fairly close agreement 292with Pitys[773]. The above account is based in part on Zalessky’s description and partly on specimens in Dr Kidston’s possession.
Miss Elkins and W. Wieland[774] have recently described some Upper Devonian wood from Indiana characterised by a grouping of the circular or elliptical bordered pits in the radial walls of the tracheids similar to those in Callixylon Trifilievi which they include 293together with the Middle Devonian species Cordaites Newberryi[775] in Zalessky’s genus. Though these two American species are comparable in the discontinuous arrangement of the tracheal pits with the Russian type the latter is characterised by the presence of primary xylem-strands, a feature that has not been recognised in the American stems: it would seem, then, undesirable to adopt the designation Callixylon in preference to Dadoxylon unless there is evidence as to similar characters in the primary region of the xylem.
Coenoxylon Scotti Zalessky. Prof. Zalessky[776] gave the name Coenoxylon to a small and incomplete piece of stem of doubtful provenance but possibly from the Ural Permian beds. The pith, 2 cm. broad, consists of parenchyma associated in the central region with numerous large sclerous cells. In one section a sinuous band of meristematic tissue was observed near the periphery of the pith: the appearance of this tissue in a photograph given to me by Prof. Zalessky suggests comparison with occasional strips of similar dividing cells in the pith of Lyginopteris. The secondary wood is composed of tracheids with 1–2 rows of flattened or hexagonal pits on the radial walls and narrow uniseriate medullary rays reaching a depth of 15 cells and with 2–7 oval pits in the field. As in the wood of Mesopitys Tchihatcheffi[777] there are distinct and apparently complete rings of growth.
It is on the ground of the arrangement and structure of the primary xylem that Zalessky instituted a new generic name. The primary xylem forms teeth of variable size which project into the pith from the edge of the secondary xylem: the prominent portions of the main mass of primary xylem give off branches, differing considerably in size and shape, some of which become separated by a comparatively broad band of parenchyma from the parent xylem-tissue. These bundles anastomose in their course through the pith and in doing so incorporate between them patches of parenchyma. The bundles of primary xylem are endarch. From the centrifugal strands at the periphery of the 294pith double leaf-traces are produced which pass almost horizontally through the secondary wood. As Zalessky points out, the leaf-traces in their dual nature and in the elongated and narrow form of the tracheal groups, as seen in tangential section of the secondary wood, bear a close resemblance to those of Ginkgo biloba.
This Russian genus agrees in its double leaf-trace with Mesoxylon, Mesopitys, and Antarcticoxylon: among recent plants Ginkgo would seem to be the most closely allied type.
The designation Parapitys[778] has been proposed for a single Upper Carboniferous species characterised by the possession of secondary wood like that of Cordaites, double leaf-traces, and small mesarch primary xylem-strands. Nothing is known of the leaves or reproductive organs.
In 1880 Williamson[779] published a short account of a transverse section of a specimen found by Mr J. Spencer in Upper Carboniferous strata near Halifax in Yorkshire which afforded evidence of the occurrence of double leaf-traces. The following description is taken from Scott’s account[780] of the species, which he named Dadoxylon Spenceri. The parenchymatous pith, 5–6 mm. in diameter, is obtusely pentagonal, the prominent angles corresponding to the points of exit of paired leaf-traces like those of Mesoxylon, Ginkgo, and other genera. The secondary xylem consists of narrow tracheids with crowded multiseriate pits on the radial walls and narrow medullary rays one-cell broad and 1–8 cells deep. In contact with the inner margin of the secondary wood are a few small mesarch strands of primary xylem, the protoxylem and some parenchyma occupying a more or less central position. A leaf-trace about to enter the secondary xylem is represented by twin-bundles which retain their double nature as they traverse the stele, but at a lower level the two components fuse and appear as single bundles at the outer edge of the pith. The division of a leaf-trace into two before passing 295out, as in Poroxylon, constitutes a difference from Lyginopteris in which the division occurs later.
Zalessky’s generic name Parapitys is an appropriate substitute for Dadoxylon in view of the presence of separate primary xylem strands, a feature foreign to typical Dadoxylons which agree with recent Conifers and Cycads in the absence of vascular strands distinct from the endarch centrifugal wood. As Scott[781] says, Parapitys ‘is best regarded as a near ally of Mesoxylon.’
Mesopitys Tchihatcheffi (Goeppert). The genus Mesopitys was instituted by Zalessky for a Permian species founded by Goeppert[782] on a piece of decorticated stem from the Kousnetzk basin in Siberia and afterwards more fully described by Goeppert and Stenzel[783]. The structure of the secondary wood led Goeppert to adopt the name Araucarites for which Kraus[784] substituted Araucarioxylon. A recent investigation of additional material by Zalessky brought to light the existence of groups of primary xylem abutting on the secondary xylem and projecting into the pith, characterised by the occurrence of spiral protoxylem elements on the inner edge. The recognition of this important feature justified Zalessky in the adoption of a new generic term. In general anatomical characters Mesopitys agrees with Eristophyton Beinertianum (Goepp.) but is distinguished by the more feebly developed primary-xylem groups and by their endarch structure.
The examination of sections from some of Prof. Zalessky’s material lent to me by Dr Kidston enables me to confirm Zalessky’s description, though I am not convinced that the primary xylem-strands are exclusively endarch: in most of the primary groups the protoxylem is clearly on the inner edge, but in a few cases there may be a small amount of centripetal xylem present. The characters of Mesopitys Tchihatcheffi may be summarised as follows:
Annual rings well defined, varying considerably in breadth; the summer wood is represented by several rows of narrower 296tracheids (fig. 490, A). In the piece of stem shown in the figure the breadth of the wood from the flattened and crushed pith to the broken outer edge is 6 cm. The medullary rays are numerous, uniseriate, rarely 2 cells in breadth; the pits on the radial walls of the ray-cells, 7–10 in the field, are apparently simple, oval, and oblique: the rays are generally 3–4 cells in depth but may be deeper. There are 1–3 rows of hexagonal alternate rows of pits on the radial walls of the tracheids. The primary xylem consists of groups, varying in size and sometimes reduced to a very few elements, in contact with the secondary xylem, usually though probably not invariably endarch. In the two narrow radially elongated and partially destroyed primary strands shown in fig. 490, B, the protoxylem, px, is on the inner edge. The leaf-trace passes through the secondary wood as a single strand. In the section reproduced in fig. 490, A, the crushed and flattened pith measures 9 by 2 mm.; it consists of thin-walled parenchyma with a few scattered thicker-walled cells.
Nothing is known as to the structure of the cortical tissue or leaves.
Antarcticoxylon Priestleyi Seward. The specimen on which this genus was founded was discovered by Mr Raymond Priestley[785] in a boulder, probably derived from the Upper Beacon sandstone, 297on the Priestley Glacier south of 74° S. lat. in the course of the journey of the Northern Party of Capt. Scott’s second Antarctic Expedition. The type-specimen is a piece of silicified stem 1 ft long and 3 ins. in diameter; there were no tissues preserved external to the secondary wood and it is impossible to say what proportion of the original thickness is represented. Annual rings are clearly marked at least macroscopically (fig. 491, C) though there is very little difference between the spring and summer tracheids: the centre of the compressed stem is occupied by a lighter coloured elliptical area 7 × 2 mm. which superficially resembles a pith, but in the peripheral region it consists of portions of a cylinder of spiral and scalariform tracheids, the actual pith being not more than 2–3 mm. in breadth. The pith consists of lacunar parenchyma separated by horizontal bands of dark cells containing some secreted substance (fig. 491, F): the preservation is, however, not sufficiently good to enable one to describe it in detail. The secondary xylem is of the pycnoxylic type; the tracheids have either a single row of contiguous and partially flattened pits on their radial walls or a double row of alternate polygonal pits; the medullary rays are nearly always uniseriate (fig. 491, E) and from 1 to 24 cells in depth. At the inner edge of the secondary wood there was a fairly broad zone of more delicate tracheids (fig. 491, A, x) characterised by spiral or scalariform bands and by their relatively small diameter. This innermost zone, which supplies the leaf-traces, is spoken of as the primary xylem; it appears to be endarch though this cannot be definitely determined. A characteristic feature of the primary xylem in the perimedullary region, as also in the leaf-traces on their way through the secondary wood, is the presence of short and broad tracheids (fig. 491, D, t) with reticulate thickening bands: these short elements may represent centripetal xylem and are similar to the short tracheids described by Scott[786] in the sheath of Mesoxylon Lomaxi and to the larger elements in the stem of Megaloxylon[787].
An interesting feature seen in transverse sections of the secondary wood is the occurrence of light bands concentric with the rings of growth which are broadest near the long axis of the stem (fig. 491, C). In their narrower parts these bands are clearly 299due to the partial destruction of the secondary tracheids, but in other places crushed parenchymatous tissue occurs which may be a traumatic phenomenon or possibly comparable with Nördlinger’s ‘medullary spots[788]’ formed by local hypertrophy of medullary tissue. Although the structure of the leaf-traces cannot be definitely determined, it would seem that each trace passed into the perimedullary region as a single bundle of relatively large size composed of spiral and scalariform tracheids narrower than the secondary elements. The traces during their outward course were accompanied by some parenchymatous tissue continuous with that in the pith, and the inner spiral tracheids of the trace were connected with isodiametric reticulate elements. The dimensions of the leaf-traces point to leaves of fairly large size.
In the structure of the secondary wood Antarcticoxylon agrees on the whole with an Araucarian stem: the broad zone of xylem composed of spiral and scalariform tracheids at the edge of the pith is a feature common to Mesoxylon, Cordaites, and Araucaria. There is no evidence of the occurrence of double leaf-traces such as characterise certain Cordaitalean genera and some existing members of the Araucarineae. In the single nature of the leaf-traces the Antarctic stem resembles Mesopitys Tchihatcheffi also in the presence of rings of growth[789], but in Antarcticoxylon the preservation of the primary xylem is too imperfect to admit of any satisfactory comparison as regards this important tissue with other types.
The precise age of the Beacon sandstone has not been determined, but the probability is that the upper beds from which the boulder containing Antarcticoxylon was derived are not older than the Rhaetic period. The chief interest of this imperfectly preserved stem with undoubted Araucarian affinities is its occurrence in the rocks of Antarctica in association with other remains of comparatively large stems.
Seeds are abundantly represented as fossils from Carboniferous to Post-Tertiary deposits. The importance of fossil and sub-fossil species in the later geological series has been demonstrated by the investigations of Mr and Mrs Clement Reid and a few other workers in this neglected field. In cases where it is possible to assign seeds to their parent-plants the descriptions of casts, impressions, or petrifactions are added to the account of vegetative organs; but it frequently happens that seeds are preserved only as detached specimens many of which have little or no value as botanical records, while others that afford striking examples of the possibilities of petrifaction as a means of preserving the most delicate structures, are of great importance. In Volume ii. an account was given of such Palaeozoic seed-bearing organs as Lepidocarpon and Miadesmia, and the genera Lagenostoma, Sphaerostoma, and Trigonocarpus are dealt with in this volume under Lyginopteris, Heterangium, and Medullosa. Certain seeds afford some evidence as to the systematic position of the parent-plants though insufficient to warrant more than a surmise as to the nature of the vegetative organs: in several cases it is only from the resemblance of detached seeds to types that on the strength of more or less convincing evidence are referred to definite parent-plants that any conclusions can be drawn with regard to precise systematic position. In view of the occurrence of several different types of seeds that retain their morphological features, but cannot be assigned with any degree of certainty to genera founded on vegetative organs, a special chapter is devoted to a comparative study of selected examples with the object of 301directing attention to data bearing on evolutionary problems. The chief interest of Palaeozoic seeds to the botanist lies in the facts they contribute towards the elucidation of questions connected with the promotion of the megasporangium and megaspore of the Pteridophyta to the higher stage represented by the integumented megasporangium (nucellus) and single megaspore that in the main fulfil the definition of a seed[790]. ‘With the evolution of the seed,’ as Oliver says, ‘the plant rose at a bound to a higher plane, and this structure in its perfected form has become the very centre of the plant’s existence[791].’ We can as yet form a very partial conception of the successive stages in the adoption of the seed-habit, but since 1855, the year in which Hooker and Binney[792] published their paper on the structure of Trigonocarpus, ample proof has been furnished of the importance of Palaeozoic seeds from the standpoint of affinity between recent Gymnosperms and extinct seed-bearing plants, and of the modus operandi of evolutionary tendencies. A cursory examination of Palaeozoic seeds suffices to demonstrate their resemblance to those of recent Cycads and the seed of Ginkgo biloba; but while it is clearly with these Gymnosperms that the majority of the seeds described in the following pages are most closely allied, the extinct types possess many distinguishing features that throw light on some at least of the factors concerned in the production of the modern type. In many of the Palaeozoic seeds the nucellus stands free within the integument, to which it is attached only in the chalazal region, in contrast to the lateral union between integument and nucellus in the ovules of recent Cycads. It has been suggested by Oliver[793] that the seed of the Conifer Torreya affords a clue to the interpretation of this difference and that the lower part of the seed in Cycads and Torreya represents a later intercalation in the basal portion of the ovule, the ancient type having a free nucellus in contrast to the nucellus of modern seeds which is free only at the apex. It has been objected[794] that there are no adequate grounds for assuming the addition of an intercalated zone or of the elongation of the ovule that this implies, the more probable 302view being that the lateral union of nucellus and integument represents congenital fusion in the ancestral type, a fusion comparable with that of the coherent petals of a gamopetalous corolla. In the presence of a pollen-chamber most of the Palaeozoic seeds agree with those of recent Cycads, but in the extinct forms it is usually a more highly developed structure. The name pollen-chamber was given by Brongniart[795] to the pollen-containing cavity in the free region of the nucellus in the petrified seeds from St Étienne in ignorance of the use of the same term by Griffith[796] in a posthumous work published in 1852 for the nucellar chamber in Cycas[797]. The genus Stephanospermum (fig. 494, A) illustrates the means by which the pollen-chamber was liberally supplied with water and thus adapted to the requirements of fertilisation by motile gametes. The pollen-chamber and its vascular supply paved the way for siphonogamy, that is the development of a pollen-tube for the more direct transmission of the male sperms. The highly developed mantle of tracheal tissue at the periphery of the nucellus in Stephanospermum, represented on a reduced scale by the separate vascular strands of other seeds, may be compared with the tracheal investment to the nucellus in the recent Dicotyledonous genus Cassytha[798]. The presence of a nucellar vascular system in several Palaeozoic seeds is a feature in which they differ from those of recent Cycads with the exception of Bowenia. The retreat of the vascular supply from the immediate neighbourhood of the pollen-chamber in recent Cycads may, as Oliver points out, be correlated with the evolution of the pollen-tube—the substitution of siphonogamy for zoidiogamy. The diagram reproduced in fig. 492 represents a synthetic type based on such seeds as Stephanospermum and Cardiocarpus which illustrate an arrangement of conducting tissue frequently found in Palaeozoic seeds: the main strand gives off a pair of bundles in the sarcotesta in the principal plane, as in Cardiocarpus[799]; from the tracheal mass in the chalazal region numerous bundles pass up the nucellus as far as the floor of the pollen-chamber. The 303nature of the vascular supply in this generalised type and in individual genera should be compared with that in the seeds of recent Cycads[800] described in Chapter xxviii.
Recent research has revealed the not unexpected fact that in such Upper Carboniferous petrified seeds as have been investigated—a small proportion of the large number produced in the Palaeozoic forests—there was a remarkable range in the mechanism connected with pollination and the maturation of the microspores. A comparison of the genera Physostoma, Lagenostoma, Conostoma, Trigonocarpus, Stephanospermum and others reveals the occurrence of very different though not unrelated structural features especially in the apical region of the seed. These seeds, including Physostoma, probably the most archaic type, represent a stage in evolution already far removed from the starting-point: the diversity of plan recalls the variety in the form of the chloroplasts in the Green Algae, and in both cases we are in touch with an experimental phase representing a tentative advance towards greater efficiency.
In its differentiation into an outer fleshy region, the sarcotesta, a stony layer, the sclerotesta, and in many cases an inner flesh, the Palaeozoic seeds resemble recent Cycads: in both extinct and modern seeds the balance of evidence would seem to be in favour of attributing a single rather than a double origin to the integument.
Among the numerous types of Palaeozoic seeds are several which invite comparison with the fruits or carpels, apart from the seeds, of Angiosperms. Impressions of Samaropsis seeds (figs. 502, B–K; 503; 504) bear a close resemblance to the laterally expanded fruits of the common Crucifer Thlaspi arvense; the ribbed testa of Hexagonocarpus (fig. 506, H) and other genera 304recalls the fruit-wall of Alstroemeria; the recently described Lower Carboniferous seed Thysanotesta sagittula Nath. (fig. 506, F) simulates a carpel of Erodium. These and similar instances of a close parallelism in external features between organs that are not homologous, though in themselves of no morphological significance, are at least interesting as illustrating the plasticity displayed by reproductive structures, which in the Palaeozoic period marked a morphological achievement comparable in its importance with the still greater achievement represented by the highly specialised fruits of the modern Flowering plants. The range in form and surface-features of Angiospermous fruits was foreshadowed by Palaeozoic seeds. Structural types and in some cases, superadded to these, features which may reasonably be supposed to have facilitated dispersal had been acquired by the seeds of Palaeozoic plants in forms that in a much later period were adopted by fruits even to a greater degree than by seeds. Characters useful in seed-dispersal, that are now shared by fruits and seeds, are illustrated by the fleshy and possibly edible seeds of extinct Gymnosperms, the plumes and hairy beak of Gnetopsis (fig. 494, E) and Thysanotesta (fig. 506, F) suggestive of feathery stigmas and other appendages. The lacunar sarcotesta of Aetheotesta, the thick endotesta of Pachytesta (fig. 497), and the air-chamber of Codonospermum (fig. 498), are strictly comparable with aids to buoyancy in fruits of existing Flowering plants. The mucilage-hairs and superficial cells in Physostoma (fig. 494, I) and Stephanospermum may be compared with the thick mucilaginous investment of the megaspores of recent water-ferns and with similar tissues of some Angiospermous seeds.
The bionomics of Palaeozoic plants is a subject worthy of more serious attention than it has so far received. The search for morphological characters that may have facilitated the wanderings of widely distributed genera and species and a closer investigation of physiological-anatomical problems presented by the vegetative organs of petrified plants would not only extend our knowledge of the morphology of ancient types but would stimulate comparative study and, incidentally, relieve the dullness of pure description. It may be argued that we should first establish a more solid foundation by further observations on 305living plants; but even at the risk of allowing speculation too free a hand the attempt is worth making, and it may be urged that, as in phylogenetic enquiries so in other branches of botany, facts obtained from plants of other ages may serve to supply deficiencies in knowledge based only on existing forms. One of the difficulties inseparable from the study of fossil plants, namely the identification of impressions and casts with specimens exhibiting anatomical characters, is particularly well illustrated by seeds. The description of a genus based on mere external form may sometimes be extended without great risk of error to include species founded on anatomical characters, but on the other hand, there are many instances in which—despite a general resemblance in form and size between petrifactions and impressions—lack of evidence of generic identity requires the employment of distinctive names. The determination of impressions is, as Lesquereux recognised, ‘subject to a great deal of uncertainty,’ and many of the genera founded on external features are purely artificial and include species that have no essential features in common. Moreover in the case of petrified specimens the apparent absence of an external fleshy layer is often due to destruction before preservation: as Solms-Laubach[801] points out, it is obviously impossible to be certain as to the number of integumental layers in seeds that are not well preserved in all their parts. Goeppert founded a new genus, Acanthocarpus, on a Permian seed described as A. xanthioides[802], because of the occurrence of spinous processes attached to an obcordate kernel: these apparent spines are in all probability the remains of a very imperfectly preserved sarcotesta. The preservation of the central portion of a seed, that is the seed-cavity with the enclosing shell, conveniently called the nucule, has often led to an unnecessary multiplication of generic terms. Other examples of confusion resulting from different states of preservation are quoted in the accounts of some of the selected types.
Williamson in 1877 pointed out that we learn from the large number of different kinds of Palaeozoic seeds that ‘there were in the Carboniferous forests many gymnospermous stems clothed 306with foliage of which we have not yet discovered any traces, probably because these Gymnosperms did not flourish upon the low swampy grounds which were the homes of the great mass of the coal-producing plants[803].’ Prof. Zeiller[804] has also drawn attention to the numerical excess of seeds over vegetative organs. This discrepancy has to a large extent been explained by the discovery that many of the supposed Ferns were seed-bearing plants, and a further explanation is suggested by the superiority of seeds over stems and leaves in their adaptation to dispersal by water.
In 1874 Brongniart[805] described several petrified seeds from material discovered by Grand’Eury in the St Étienne coal-field, and seven years later his descriptions were republished[806], with the addition of several beautifully executed drawings, as a posthumous volume edited by his distinguished pupil Renault. Williamson’s researches supplied much additional information, and in recent years the more detailed study of French and English seeds by Bertrand and particularly by Oliver and his pupils has further emphasised the interest and importance of this field of work. Brongniart proposed a two-fold classification of French seeds: (i) bilaterally symmetrical seeds, more or less flattened in section, which he believed to be Cordaitean; (ii) radially symmetrical seeds, circular in transverse section: the latter group he considered to be less closely allied to recent types. The employment of the terms Platyspermeae and Radiospermeae, proposed by Oliver[807] for Brongniart’s divisions, serves a useful purpose if due regard is paid to the adequacy of the evidence as to symmetry and if it is recognised that this classification cannot be rigidly employed in all cases. It was pointed out by Brongniart that the occasional occurrence of tricarinate seeds of Ginkgo (fig. 631) and Taxus is an exception to the general rule of bilateral symmetry: seeds of Cycas are normally bilateral, but radially symmetrical forms also occur[808]. The genus Conostoma (fig. 494, B) represents an intermediate type which, though almost radially symmetrical, exhibits a slight tendency towards platyspermy. Evidence 307recently brought forward by Nathorst[809] renders probable a connexion of a presumably radiospermic seed Lagenospermum Arberi[810] with the Lower Carboniferous fronds Adiantites bellidulus Heer, and this furnishes an interesting illustration of the association of both platyspermic and radiospermic seeds with the same generic type of foliage. While retaining Radiosperm and Platysperm as convenient descriptive terms, I have not adopted them as group-designations on the ground that they do not in themselves serve as trustworthy criteria of relationship. Attention is called by Salisbury[811] to the occurrence of bilaterally and radially symmetrical fruits among British Carices and to a similar mixture in the family Polygonaceae.
The acquisition of more detailed and accurate knowledge of Palaeozoic seeds led to an extension of the two-fold division of Brongniart and Oliver which is based on such characters as the position of the vascular tissue in relation to the integument and nucellus, the form of the pollen-chamber, and other features. The division Lagenostomales has been instituted for Lagenostoma and some other Radiosperms connected by certain important characters: these seeds may be referred to the Pteridospermeae though it is only in the case of Lagenostoma, and to a less extent Sphaerostoma, that a correlation between vegetative organs and seeds has been rendered sufficiently probable to justify an assumption of generic identity. The name Trigonocarpeae[812] has recently been used for a section of Radiosperms represented by Trigonocarpus, Stephanospermum, and other genera. Although the genus Stephanospermum, as Oliver[813] says, may be regarded as the type-genus of a group of seeds, it is more fitting, as the same author[814] insists, to adopt a divisional term based on the generic name of the much more widely spread and more familiar Trigonocarpus. For the sake of uniformity in nomenclature it is proposed to adopt the name Trigonocarpales instead of Trigonocarpeae to rank with Lagenostomales.
The Platyspermeae comprise such seeds as Cardiocarpus, Mitrospermum, and Rhabdospermum, genera characterised by 308well-marked anatomical features and probably Cordaitean; it has, however, been shown that typical Platysperms were also borne on leaves of Pteridosperms and, as Mrs Arber[815] says, the notion that every member of the Platyspermeae was necessarily a Cordaitean seed has been discredited by the discovery of the seeds of Aneimites (Wardia) and Pecopteris Pluckeneti[816]. For general purposes it is hardly necessary to adopt the subdivisions of the Lagenostomales used by Oliver and Salisbury[817], though as facts accumulate we shall no doubt be able to make further advances towards a natural system of classification. The following three divisions of Permo-Carboniferous seeds include genera founded on petrified specimens and thus afford valuable morphological data. The groups Lagenostomales and Trigonocarpales include types belonging to closely related plants, a relationship clearly expressed in the seed-characters.
The seeds included in this group are for the most part Radiosperms, but in its slightly developed bilateral symmetry Conostoma oblongum is a type transitional between Radiosperms and Platysperms. The testa may be ribbed and the ribs vary in number. The nucellus (megasporangium) is united to the integument not only at the base but laterally as far as the shoulder of the seed up to a level corresponding to the base of the pollen-chamber (lagenostome) as in all recent Cycads and in the majority of Conifers. The seeds proper apart from the cupule are supplied with a single set of vascular bundles; there is no vascular tissue in the nucellus, a feature no doubt correlated with the fusion of nucellus and integument[818]. The free portion of the integument is more or less deeply lobed or, in Lagenostoma, it forms a pyramidal canopy of fused lobes enclosing the lagenostome. The presence of a tapetal zone surrounding the megaspore is believed to be a feature characteristic of the group[819]. The testa, wholly or partially ribbed, is relatively thinner than in the Trigonocarpales and Cardiocarpales, and in its differentiation agrees less closely with the testa of recent Cycadean seeds. In Lagenostoma and possibly 309in other genera a loose sheath or cupule surrounded the ovule, while in Gnetopsis a similar envelope enclosed two to four seeds.
The microspores are multicellular and smaller than those of Trigonocarpales, the average dimensions (Conostoma, Physostoma, Lagenostoma) being 67μ × 52μ.
Genera. Physostoma; Conostoma; Sphaerostoma; Lagenostoma; Gnetopsis.
Lagenostoma may safely be referred to Lyginopteris, and Sphaerostoma with but little risk of error to Heterangium: the parent-plants of the other genera are unknown, but all may be regarded as the seeds of Pteridosperms and probably of genera more nearly allied to the Lyginopterideae than to the Medulloseae. The genus Lagenospermum, recently instituted by Nathorst[820], is dealt with in Chapter xxxi.
The generic name Physostoma[821] was applied by Williamson[822] to a seed from the Lower Coal Measures of Lancashire which he named P. elegans; he afterwards described it as Lagenostoma physoides, but the original name has been revived by Oliver[823] to whom our knowledge of this type is chiefly due. The specimens figured by Williamson[824] as Sporocarpon ornatum also belong to Physostoma elegans. The seeds are circular in section, approximately 6 mm. long with a maximum diameter of 2 mm. The testa has about 10 longitudinal ribs passing in the apical region into a ring of free lobes or tentacles surrounding and considerably overtopping the nucellar apex: these tentacles take the place of a micropylar tube (fig. 494, I; fig. 493, D) and are a feature ‘in which this seed differs from all other known seeds, fossil or recent[825].’ A single vascular strand passes through the chalazal region and divides into 10 bundles, one to each 310rib and tentacle. The single integument consists of a few layers of cells, those of the epidermis being prolonged into clavate mucilaginous hairs, fig. 494, I, h, that may reach a length of ·5 mm. and in the living seed almost covered the whole surface of the testa, being especially long on the ribs and tentacles. There is no special development of sclerous tissue, the vascular bundles, v, being embedded in parenchyma in the inner portion of the integument. The nucellus is represented by a zone rich in secretory cells, and internal to this is a tapetum. Integument and nucellus are coalescent up to the apical region where the former splits into 10 tentacles. The nucellar apex has the form of a tall dome surrounded by a bell-shaped pollen-chamber (fig. 494, I, pc; fig. 493, C, D, c) into which it projects like the base of a wine-bottle. The circular opening of the pollen-chamber overtops the roof of the dome formed of the secretory tissue of the nucellus and the carbonised remains of the tapetum: this dark band surrounds the large megaspore-cavity (fig. 494, I). Physostoma is the only member of the Lagenostomales in which the megaspore projects into the free nucellar apex: in other genera intercalary growth has produced a more or less prominent plinth, the name given to the free portion of the nucellus between the megaspore and the pollen-chamber. Williamson[826] described the mammillated apex of the nucellus as pushed up into the base of the lagenostome which ‘looks like a bladder half full of fluid resting upon and overhanging the end of a soda-water bottle’: it was this appearance that suggested the name Physostoma. The section reproduced in fig. 493, D, shows in the centre the limiting tissue of the nucellus surrounded by the pollen-chamber, c, and external to this are the tentacles with their groups of long hairs: the vascular bundles are represented by spaces in the more internal small-celled tissue (see also fig. 494, I). A characteristic feature is the presence of a tapetum or megaspore-jacket[827] in the nucellus: immediately internal to the vascular bundles stretching from the chalaza to the apex of the megaspore-cavity is a layer of delicate cells with secretory sacs, and this is succeeded by a broad black layer of rather larger cells, a tissue which was probably in full activity in a younger stage of development.
311
312
A comparable tapetal layer is described by Lang[828] in the ovule of Stangeria: the majority of the sporogenous cells surrounding the megaspore become disintegrated and are absorbed, but the outermost zone forms a more definite tapetal layer: as already suggested, this tissue in Physostoma may be a group-character. No archegonia have been found, but in a few cases some of the delicate prothallus-tissue occurs in the interior of the seed. Microspores are often abundant in the pollen-chamber (fig. 493, C, c); in one seed 80 are recorded. The occurrence of so many microspores suggested to Oliver that insect-agency may have been responsible for the precision in pollination that is greater than one would expect in anemophilous plants. The spores are smaller than those of Lagenostoma (55μ × 45μ) and in several of them the remains of a cellular tissue are preserved (fig. 494, N), also some sub-reniform bodies (fig. 494, M) similar to those described as spermatozoids by Dr Benson in Lagenostoma (fig. 408, D).
The most interesting features of Physostoma are: the absence of a continuous micropylar tube and its replacement by a circle of integumental lobes; the apical prolongation of the nucellar apex into the pollen-chamber, and the presence of long mucilaginous hairs on the integument. The large pollen-chamber is a character which distinguishes Physostoma from Conostoma and its form is very different from that in Lagenostoma.
The tentacles of the integument and the form of the nucellar apex are features consistent with Oliver’s view that Physostoma is the most primitive of Palaeozoic seeds though, as Burlingame[829] says, the elaborate form of the encasing envelope marks a considerable advance beyond the earliest type of megasporangium integument.
A new type of Physostoma has been briefly described by Gordon[830], without a specific designation, from the Lower Carboniferous beds of Pettycur (Fife): it was found in association with Heterangium and Sphaerostoma ovale.
We have no knowledge of the plant to which Physostoma belonged, but the general plan of organisation of the seed points to a near relationship to Lagenostoma and presumably, as regards the parent-plant, to a genus related to Lyginopteris.
313
This name[831], suggested by the funnel-like pollen-chamber or lagenostome, was applied by Williamson[832] to some seeds from the Lower Coal Measures of Lancashire and Yorkshire and from the Lower Carboniferous beds of Burntisland. The Burntisland seeds, referred by Williamson to two species, have recently been united and described by Miss Benson as Sphaerostoma ovale[833]. The English species has been thoroughly investigated by Oliver and Salisbury[834] who have also described a second species, C. anglo-germanicum, from the Coal Measures of Lancashire and Germany.
This rare type is represented by approximately cylindrical seeds with an average length of 5 mm. and a maximum breadth of 2·3 mm. borne on a relatively stout stalk and tapering to a blunt apex characterised by a canopy of six short lobes (fig. 494, B, C) in marked contrast to the long tentacles of Physostoma. In the basal region the integument has six prominent ribs which soon die out when traced upwards: a transverse section through the body of the seed is hexagonal (fig. 494, D), the angles corresponding to the basal ribs, and there is a slight tendency to platyspermy. The testa has an epidermal mucilaginous layer which becomes exfoliated through the lifting-up of the cuticle by the underlying mucilage: below this, at the apex of the seed, is a cap of fleshy tissue (fig. 494, B, sa) which, it is suggested, may have had a secretory function in connexion with a drop-mechanism in pollination like that in recent Conifers. No microspores have been found in the pollen-chamber. The epidermis, called by Oliver and Salisbury the blow-off layer (fig. 494, B, m), together with the cap of soft tissue constitute a feebly developed sarcotesta. A sclerotesta consisting of a palisade-layer and a fibrous hypoderm extends over the main body of the seed below the epidermis; it forms the basal ribs and increases considerably in breadth at the apical region to form a sclerous cone penetrated by six strands of parenchyma enclosing vascular bundles (fig. 494, D) which pass up from the conducting tissue immediately external to the nucellus. 315The nucellus is coalescent with the integument, as in Physostoma, as far as the level of the domical free apex of the nucellus where the tapetal tissue that lines the seed-cavity passes across the almost flat top of the central region originally occupied by the megaspore. In some sections prothallus-tissue was found with an apical ‘tent-pole’ protuberance. A striking feature of Conostoma is the mechanism for the reception of the microspores. The free part of the nucellus consists of the plinth, a broad tapering region originally filled with parenchyma but in most cases represented only by its epidermis: the plinth, p, is seen in fig. 494, B, to be two-storeyed, the upper and narrower storey being a space formerly filled by a pad of tissue suspended from the floor of the superposed lagenostome (pollen-chamber)[835]. The greater development of the domical plinth is a feature in which Conostoma differs from Physostoma. At the apex of the plinth and resting on a slight depression is a small lagenostome, bowl-shaped in section, and like the pollen-chamber of Lagenostoma, formed as the result of enzyme-action on the apical papilla of the nucellus (fig. 494, B, B′, l′). The mouth of the lagenostome engages with the micropylar tube by a projecting flange (fig. 494, B′, f) of tissue lining the micropylar canal and by a second flange (f′) at the base of the lagenostome where the roof of the plinth (fig. 494, B′, p) bends downwards and inwards. The walls of the lagenostome are formed by strong cells with thickening bands giving them the appearance of tracheids (l′), but the floor of the lagenostome is made of thinner cells which become disorganised, allowing the microspores to fall into the large plinth-cavity below (p, fig. 494, B), an arrangement comparable with the two-storeyed pollen-chamber of Bowenia[836] and, to a less extent, with the micropyle of the Conifer Tsuga. The microspores are multicellular and ellipsoidal measuring 75μ × 65μ.
The species Conostoma anglo-germanicum agrees closely with C. oblongum in general form and organisation, but it has eight ribs, four more prominent than the others, and differs also in other minor characters from the rather shorter seeds of the type-species. Conostoma differs from Lagenostoma in the absence of the tubular 316prolongation of the lagenostome, the micropyle being like that in recent Gymnosperms. In Conostoma the tracheid-like elements of the lateral wall of the lagenostome are a characteristic feature, and no evidence has been found of the existence of a central core of tissue such as occupies the centre of the seed-apex in Lagenostoma. The long hairs of Physostoma are represented in Conostoma by the much smaller mucilaginous cells of the epidermis and in Lagenostoma by the less closely united mucilage-cells of the superficial layer of the testa.
As already pointed out in Chapter xxix. where this genus is described as probably the seed of Heterangium, there is a fairly close general resemblance between Sphaerostoma and Lagenostoma. In the presence of free apical lobes the former genus resembles Conostoma, and while agreeing with Lagenostoma in its annular pollen-chamber it is peculiar in the retention of an epidermis over the roof of the pollen-chamber: as in Lagenostoma the seed is enclosed by an outer integument or cupule.
An account of this type of seed is included in the description of Lyginopteris[837]. The more striking peculiarities are exhibited by the pollen-chamber and the free region of the integument: the annular pollen-chamber (fig. 493, D, c; fig. 409) surrounds a central nucellar cone and is prolonged upwards as a tube engaging with the micropyle in contrast to the form of the pollen-chamber and the absence of a tubular prolongation in Conostoma. The tentacles of Physostoma and the short apical lobes of Conostoma are replaced by an apical cone formed by the coalescence of the integument containing nine cavities originally filled with parenchyma (figs. 409; 493, B). The presence of a cupule is a characteristic feature of young seeds, but from negative evidence in the case of most other seeds it is unsafe to assume that the cupule of Lagenostoma is an exceptional feature. The nucellus and testa are united as far as the shoulders of the seed as in the seeds of recent Cycads and in contrast to their lateral independence in Trigonocarpus, Stephanospermum, and other genera.
317
This generic name was given by Renault[838] to some small petrified seeds from the Stephanian of Grand’ Croix and to impressions from the Commentry coal-field which he believed to belong to some Gnetaceous plant. Saporta and Marion[839] and other authors have accepted these seeds as evidence of the existence of Palaeozoic Gnetales: it has, however, been shown[840] that Gnetopsis has no claim to such relationship and is a type of seed closely allied to Conostoma. Renault described three species, afterwards adding three from another locality[841]; the genus is recorded also from Commentry[842] and Gard[843]. More recently Depape and Carpentier[844] have described examples from the Westphalian of Valenciennes which they place in the Pteridosperms in accordance with the conclusion of Oliver and Salisbury. Gnetopsis has also been discovered by Mr Hemingway in the Middle Coal Measures of England[845] (fig. 494, H).
The seeds of this species, slightly oval in section, occur in groups of 2–4 in a cupular investment (fig. 506, E, p. 359) described by Renault as an ovary but correlated by Oliver and Salisbury with the cupule which surrounds the single ovule of Lagenostoma. The cupule is lined with hairs similar to those on the wall of the cupule of Lagenostoma. A characteristic feature of the French seeds is the presence of three or four long plumes of hairs at the apex (fig. 494, E, F). As seen in fig. 494, E, a small lagenostome (pollen-chamber) rests on the roof of a broad plinth precisely as in Conostoma, and four vascular bundles, corresponding to the six bundles in Conostoma, pass into the apical cap of sclerous tissue enclosed by a sarcotesta, sa (fig. 494, E, G). A ‘tent-pole’ prolongation (fig. 494, E, t) occurs at the apex of the prothallus. Renault described a portion of the integument as consisting of lacunar tissue which Oliver and Salisbury homologise with the superficial mucilaginous layer 318of Conostoma: this is seen above the sclerotesta in the apical region of fig. 494, E, sa.
This species (fig. 494, H) is represented by seeds from the Middle Coal Measures near Barnsley, Yorkshire, 4 mm. long with apical appendages at least 2·2 cm. in length and probably four in number. The appendages do not show the hairs which form a prominent feature in the French specimens, but this is probably the result of imperfect preservation: there are indications of hairs on other specimens in Dr Kidston’s Collection. The type-specimen, in Dr Kidston’s Collection, was generously lent to me for examination.
Gnetopsis, while agreeing with Conostoma in the more important features, is distinguished by the apical plumes, the very slight development of a tent-pole prolongation of the nucellar apex (fig. 494, E, t), the smaller number of vascular bundles, and by the presence of an enclosing cupule (fig. 506, E). In its slight departure from radial symmetry Gnetopsis forms a transition between the Radiospermeae and the Platyspermeae. It is undoubtedly the seed of a Pteridosperm, but nothing is known as to the nature of the vegetative organs of the parent-plant.
In this group are included radially symmetrical seeds for the most part belonging to members of the Medulloseae. The peripheral zone of the nucellus is supplied with vascular tissue and the nucellus is free within the integument except at the base; it is superior and not semi-inferior[846] as in recent Cycads and in Lagenostomales. The ovule of Myrica Gale, in which the nucellus stands free within the single integument, affords an interesting parallel to seeds of this class in contrast to the usual Angiospermous type with a laterally coalescent nucellus. In Myrica Gale[847] the vascular supply is confined to the integument. There is a comparatively broad pollen-chamber and in some types the lateral tissue of the nucellus is prolonged as a tube within the micropyle. The usually ribbed testa is differentiated into an 319outer flesh (sarcotesta), a sclerotesta, and probably in most cases an endotesta or inner flesh. The ribs of the sclerotesta are in the majority of genera in multiples of three and in position correspond to the outer ring of vascular bundles. The presence of lacunar tissue in the sarcotesta of several genera may be correlated with dispersal by water. The apical region of the integument is not lobed but extends as a longer or shorter micropylar tube above the summit of the nucellus. In the differentiation of the testa, the form of the pollen-chamber, and in some other features, the seeds of this group present a general agreement with those of recent Cycads.
The microspores are multicellular and larger than those of the Lagenostomales: in Stephanospermum akenioides they measure 160μ × 100μ[848] while in Aetheotesta[849] they reach 360μ × 290μ.
Genera. Trigonocarpus; Tripterospermum; Ptychotesta; Hexapterospermum; Polypterospermum; Pachytesta; Stephanospermum; Polylophospermum; Codonospermum; Aetheotesta; Eriotesta; Gaudrya.
A description of the morphological features of Trigonocarpus Parkinsoni and T. shorensis is given in the chapter on Medullosa (p. 117), as there is good evidence that they are the seeds of that genus. There is considerable difference in size and to some extent in the form of casts included in Trigonocarpus and, in the absence of anatomical data, it is hardly possible to determine the actual systematic position of many of the specimens so named. Dr Arber[850] has recently proposed a new generic name Schizospermum for casts very like those of T. Parkinsoni, but distinguished by the splitting of the shell into three valves, a character which leads him to conclude that it is the external surface which is preserved and not a mere cast of the seed-cavity. It is, however, more probable that the specimens are casts of a split sclerotesta. In Trigonocarpus pusillus[851] the shell is divided into three valves, the dividing lines being marked by greatly reduced ribs, and in T. schizocarpoides Grand’Eury[852], a species that may not be a 320true Trigonocarpus, there is also evidence of splitting. Arber points out that the species Rhabdocarpus Boschianus Berg. is founded on a Trigonocarpus from which the outer flesh has disappeared leaving the shell as the external covering. Trigonocarpus seeds are widely distributed in Carboniferous and Permian rocks in Europe and North America: from the latter continent Newberry[853] has described several different forms that afford good examples of the abundance and variety of the genus. Some of the specimens included by Newberry[854] in Trigonocarpus are probably distinct generic types: his species T. multicarinatus may be identical with the ribbed cast shown in fig. 506, A. The casts described by Lindley and Hutton and by other authors as T. Dawesi[855] are nearly 5 cm. long, and if these are correctly included in the genus they point to the occurrence of seeds much larger than the type-species. The French species Trigonocarpus pusillus[856] Brongn., one of the smallest Palaeozoic seeds, from 6·5 to 15 mm. long, differs from Trigonocarpus Parkinsoni and T. shorensis in the absence of prominent ribs and in the much feebler development of the sarcotesta. Specimens of the German type T. sporites Weiss, believed by some authors to be megaspores, were described by Zeiller[857] from Valenciennes as seeds: these are from 2·5 to 3·5 mm. long and have three small ribs. Zeiller quotes the presence of cell-outlines on the surface as evidence of their seed-nature, but it may be that this feature represents a sculpturing of the exine of a spore. Typical Trigonocarpus seeds agree in several morphological characters with those of recent Cycads. They differ in the lack of a lateral union between nucellus and integument; the presence of nucellar tracheids, though a feature shared with Bowenia, distinguishes them from the majority of recent Cycadean seeds. In the comparatively long and fleshy micropylar tube a seed of Encephalartos Lehmanni presents a fairly close resemblance to a Trigonocarpus. Salisbury has pointed out that the three species T. Parkinsoni, T. shorensis, T. pusillus form a consecutive series illustrating the gradual disappearance of the secondary ribs that form a prominent feature 321in T. Parkinsoni; but for a comparison of these with other types of fossil and recent seeds the reader is referred to Salisbury’s summary[858].
The seed on which this genus was founded by Brongniart[859] is clearly very closely related to Trigonocarpus and, as Oliver[860] says, the distinguishing character described by the author of the genus is unimportant. Brongniart describes the type species, T. rostratum, as characterised by the presence of three prominent wings composed of a testa differentiated into an inner hard tissue and an outer lacunar tissue. It is, however, hardly possible to say whether the outer soft tissue was originally flattened in the form of ‘wings’ or pressed down on to the harder shell. Renault[861] notes the association of seeds that he refers to this genus with the leaves of Dorycordaites, but apart from the improbability of any connexion between Tripterospermum and Cordaites, Renault’s seeds are too imperfect to demonstrate their identity with Brongniart’s genus. Kidston[862] has described an impression of a three-winged seed from the coal-field of Staffordshire as Tripterospermum ellipticum, a form described on page 357 as Polypterocarpus anglicus (fig. 496, B).
The type-species of this genus[863], Ptychotesta tenuis[864], about 3 cm. long, is characterised by six very prominent flanges or wings formed by the fissured or folded sclerotesta (fig. 495, B). There is no information as to the vascular supply or other anatomical details. It is not at all improbable that there is no real distinction between this genus and Brongniart’s genus Hexapterospermum.
In this genus Brongniart[865] included two species, Hexapterospermum stenopterum and H. pachypterum: the shell is hexagonal 322in transverse section, each angle being prolonged as a narrow flange. In one of the sections figured by Brongniart (fig. 495, E) the ribs are not fissured: this is said to be a feature distinguishing Hexapterospermum from Ptychotesta, but the occurrence of a fissured rib in another section suggests that in the structure of the ribs there is no essential difference between the two genera. In Ptychotesta pachypterum the testa is prolonged at the chalazal end as in Polylophospermum, and it is possible that there is no generic difference. Williamson described a cast from the Coal Measures of Lancashire as Hexapterospermum [= Hexagonocarpus] Noegerrathi[866] (fig. 506, H), but in the absence of anatomical characters it is preferable to avoid the use of Brongniart’s term and to assign them to Renault’s genus Hexagonocarpus[867]. Similarly 323the seeds referred by Dr P. Bertrand[868] to Hexapterospermum may appropriately be included in the genus Hexagonocarpus.
This generic name was proposed for an ovoid seed from St Étienne described as Polypterospermum Renaultii[869]; hexagonal in section with six deep and sharp flanges at the angles alternating with six secondary ridges distinguished by their blunter edges and slightly smaller depth (fig. 495, A). Without further anatomical details it is hardly possible to say whether or not the species represents a well-defined generic type, but it is not improbable that a fuller knowledge would confirm Brongniart’s institution of a new generic designation. The seeds described by Arber[870] and Kidston[871] respectively as Radiospermum ornatum and Polypterospermum ornatum are transferred to Polygonocarpus on the ground that they afford no evidence of anatomical characters of the Polypterospermum type.
Brongniart[872] established this genus for some unusually large seeds (fig. 496, A) from the Coal Measures of France reaching a length of 11–12 cm. and resembling in form and size a hen’s egg. Petrified examples have been described by Brongniart and Renault[873], and Oliver[874] has given a lucid statement of the more interesting features of this Permo-Carboniferous genus.
In the separation of nucellus and integument Pachytesta agrees with Stephanospermum and Trigonocarpus. There is a double series of vascular bundles in the outer part of the testa or exotesta (fig. 497, ex) consisting of a spongy tissue bounded externally and internally by sclerotic layers: the exotesta is succeeded by a broader endotesta of spongy consistency which Renault suggested may have 324served as a floating mechanism, and this is intimately associated with the nucellus by means of grooves engaging with short ridges (fig. 497, nr) on the surface of the nucellar tissue. The exotesta is divided into three valves by radial extensions of the sclerotic tissue (b, c, fig. 497; at a the exotesta is shown in an unsplit condition). In connexion with each radial plate are two curved plates of fibrous tissue which extend towards the grooves in the endotesta (fig. 497, t): as Oliver suggests, these plates may have served a mechanical purpose for the support of the bulky nucellus. The peripheral region of the nucellus is supplied by several vascular bundles (fig. 497, n) from the tracheal chalazal disc. The exotesta is regarded by Oliver as corresponding to the sarcotesta and sclerotesta of other seeds, and the grooves in the endotesta interlocking with the nucellar ridges are compared with the 325interlocking of nucellus and canopy in Lagenostoma, as also with the ruminated endosperm of Torreya.
We have no definite information as to the plants which bore Pachytesta, but it is probable that they were members of the Medulloseae. Grand’Eury[875] believes Pachytesta to be the seed of Alethopteris Grandini, though this view requires confirmation. This author figures several Pachytesta seeds attached in two oblique rows to a comparatively slender axis which may be the rachis of a large compound frond[876]. Renault and Zeiller[877] have figured specimens of P. gigantea and P. incrassata from Commentry which afford a good idea of the form of these large seeds; the genus is recorded also from Gard, Blanzy[878], and other localities. Kidston[879] described a large oval seed, blunt at each end, from the Middle Coal Measures of Lancashire as Carpolithus Wildii which he thinks may be allied to Pachytesta, but adds, ‘I do not think we are justified in placing mere impressions of plants in genera, 326whose distinctive characters are derived from their internal organisation, unless there is conclusive evidence to show their identity.’ On this specimen Arber[880] has founded a new genus Megalospermum, but as the type-specimen shows no distinctive features other than large dimensions it would seem preferable to retain the more general designation Carpolithus[881].
Another example of a seed that may be generically identical with Pachytesta is that described by Lesquereux from North American Coal Measures as Rhabdocarpus Mansfieldi and more recently recorded by White from Missouri as Rhabdocarpus (Pachytesta) Mansfieldi[882]. There is little doubt that this and other species of seeds preserved as impressions are examples of Pachytesta but, as Kidston says, it is preferable to reserve the name for specimens showing anatomical features.
The genus Stephanospermum, founded by Brongniart[883] on petrified specimens from French Stephanian beds, affords a good example of a radiospermic seed without ribs differing in certain well-marked characters from such seeds as Lagenostoma, Physostoma, and Conostoma, notably in the complete separation of the nucellus from the integument and in the possession of a nucellar vascular system. The descriptions by Brongniart and Renault[884] have been extended by the thorough investigations of Oliver[885].
This species is represented by ellipsoidal seeds, 10 mm. long with a maximum breadth of 4–4·5 mm., circular in transverse section. The integument consists of a thick sclerotesta lined internally by a thinner soft layer, the endotesta (fig. 494, A, sc, e), and in all probability covered by an outer flesh or sarcotesta as in Trigonocarpus, though this tissue is not preserved and is omitted from the section shown in fig. 494, A. The sclerotesta is composed of a broad outer band of thick-walled palisade cells—the contracted contents of which are a striking feature in the silicified seeds (fig. 493, F); these327 are succeeded by an inner zone of longitudinal fibres. In the structure of the palisade-layer Stephanospermum bears a close resemblance to the sporocarp wall of Pilularia[886]. In the apical region the shell forms a circular ridge surrounding a peri-micropylar trough, a character expressed by the term ‘crown-seed[887]’ employed by Grand’Eury: the trough sometimes contains partially destroyed tissue that may be a remnant of a sarcotesta. A Stephanospermum seed, with its apical core and surrounding depression with remnants of some partially destroyed tissue, may be compared with a fruit of Attolia speciosa (Palmae) in which a tuft of fibrous tissue picked out by decay from the mesocarp surmounts the conically pointed apex of the harder interior of the fruit-wall. The base of the sclerotesta is perforated by a vascular strand which expands into a tracheal disc, td, fig. 494, A, at the base of the megaspore from which a continuous mantle 2–3 cells broad, of short spiral and scalariform tracheids (fig. 493, G), spreads over the whole of the nucellus immediately below the nucellar epidermis as far as the lower part of the sides of the pollen-chamber: this mantle forms the floor of the large domical pollen-chamber excavated out of the nucellar cone (fig. 494, A, pc). The fact that in sections of older seeds the tracheal floor shows signs of splitting and disorganisation led Oliver to conclude that in the living seed the tracheids underwent a gradual disintegration prior to fertilisation, thus allowing the passage of the antherozoids to the egg-cells (fig. 494, A, a). The presence of a continuous tracheal sheath instead of separate vascular bundles is a special feature in which Stephanospermum differs from Trigonocarpus and other Palaeozoic seeds as well as from those of recent Cycads; as Oliver suggests, ‘the apparent perfection of the vascular mantle in Stephanospermum may have proved an obstacle to further development[888]’ and was not retained by the more successful types. In its tracheal sheath Stephanospermum resembles the seeds of Ginkgo. The nucellar cone is prolonged as a beak into the micropyle formed by the tubular integument. The megaspore occupies the central portion of the seed and in the course of its development it compressed the megasporangium (nucellus) to such an extent that little more 328than the epidermis remains: there is a definite megaspore-membrane surrounding the prothallus-tissue in which there were probably two archegonia (fig. 494, A, a)[889]. The nucellus stands free within the integument from which it is separated by a space (s, fig. 494, A). Microspores are frequently met with in the pollen-chamber in which they matured after their introduction through the micropyle, probably with the aid of a drop of mucilage: they are large oval bodies with an average size of 160μ × 100μ, some reaching over 200μ, in length and, as Renault was the first to point out, within a finely granulate exospore there are several thin-walled cells: this statement was not accepted by some authors but Prof. Oliver’s researches have amply confirmed it, and an examination of the original preparations convinced me that Renault had correctly described the structural features. Oliver shows that there are about 20 cells within each microspore regularly arranged as rows of five wedge-shaped elements with their pointed ends directed towards the centre, and he thinks that these cells may have undergone further division to produce sperm-mother-cells, though there is not such good evidence of this as in the differently constituted microspores of Stephanospermum caryoides. No trace of pollen-tubes was found and it is probable that the antherozoids were liberated by the rupture of the delicate prothallus-tissue. The tracheal sheath afforded an adequate means of water-supply to the pollen-chamber and this enabled the motile antherozoids to reach the archegonia.
This species, founded on a specimen from ., is a larger seed (15·5 × 12·5 mm.) and more globular than S. akenioides; there is a shorter micropylar beak and a less developed peri-micropylar trough. As in S. akenioides the nucellus is free from the base and the two species conform to the same general type of construction. The microspores are distinguished by the presence of only two internal cells which do not occupy the whole of the spore-cavity but are surrounded by a large peripheral cell comparable with the tube-cell in recent microspores, though there is no proof that a tube 329was formed: in the case of S. akenioides Oliver considers that fertilisation was not assisted by the production of a pollen-tube. The two cells by further division gave rise to a secondary cell-complex consisting of at least eight antherozoid-mother-cells. No antherozoids have been found in the microspores but it is possible that two small bodies, 17μ × 15μ, met with in a pollen-chamber may represent the nuclei of sperms. Their small size differentiates them from the much larger male gametes of Cycads and from the supposed sperms of Physostoma and Lagenostoma.
We have no proof as to the nature of the plant which bore seeds of the Stephanospermum type, but it is significant that the specimens occur in close association with fragments of Alethopteris and Myeloxylon, a circumstance that favours the view, based on the resemblance of these seeds to Trigonocarpus, that Stephanospermum is the seed of a member of the Medulloseae.
The type-species Polylophospermum stephanense Brongn.[892], founded on partially preserved material from Grand’ Croix, is a narrow hexagonal seed 15 mm. long. Additional facts as to the structural features have been contributed by Oliver[893]. The testa is differentiated into an inner shell (sclerotesta) and an outer flesh (sa, fig. 495, C, D): the sclerotesta has six prominent, fissured, ribs, one at each angle, and between these are six solid and less prominent secondary ribs. Oliver states that there is an outer series of vascular bundles in the sarcotesta, one bundle immediately external to each secondary rib (fig. 495, C, v). In the presence of two kinds of ribs and in the relation of ribs to tracheal strands Polylophospermum agrees with Trigonocarpus Parkinsoni. Strands of short tracheids supply the peripheral region of the nucellus and, as in Stephanospermum, reticulate elements extend as far as the floor of the large pollen-chamber. There was probably no lateral union between nucellus and integument. A striking feature is the prolongation of the testa at each end of the seed to form an open chamber surrounding the micropylar beak and the seed-base (fig. 495, D, s, s): the apical chamber, 330though relatively more prominent, is comparable with that in Stephanospermum, while the basal chamber recalls that in the seed named by Scott and Maslen Trigonocarpus Oliveri[894] but subsequently removed by Salisbury[895] from that genus. There is no evidence as to the parent-plant of Polylophospermum, but it may be assumed to have been a Pteridosperm, probably one of the Medulloseae.
Our knowledge of this peculiar genus is derived from Brongniart’s description of the type-species Codonospermum anomalum[897] (fig. 506, B, C) from St Étienne and from Renault’s account of C. olivaeforme[898]. The seeds are globular or ellipsoidal and reach a length of 2 cm.: the testa is differentiated into an outer flesh and a sclerotesta and has usually eight ribs. The most striking feature is the division of the seed into two regions, an upper portion containing the nucellus and megaspore and a lower portion in the form of an empty chamber that probably served as a float 331(fig. 498, A, s). Externally the upper half or seed-proper forms a depressed cupola with eight slightly developed ribs, separated by a circular transverse constriction from the basal chamber (fig. 498, B). There is a fairly large pollen-chamber, pc, in which Renault found multicellular microspores in C. olivaeforme. In C. anomalum 16 vascular bundles (fig. 498, B, v) surround the central region of the seed probably in the peripheral tissue of the nucellus; these bundles unite in the chalazal region to form a strand that passes up the centre of the empty chamber. In C. anomalum the testa of the lower half has eight ribs and corresponding with each rib is a strand of fibrous tissue (fig. 498, B, f). In C. olivaeforme the testa is thicker than in C. anomalum and the lower region of the seed is smooth and circular in section.
Impressions of Codonospermum are described[899] from Commentry, from the Loire—the Gard district[900], and by Zeiller[901] from Blanzy. There is no decisive evidence as to the parent-plant, but some French authors[902] regard the frequent association of Codonospermum with leaves of Dolerophyllum as significant.
Brongniart instituted the genus Aetheotesta[903] for an incomplete seed (A. subglobosa) from Grand’ Croix, and Renault[904] subsequently founded the species A. elliptica on much better material. The testa of the elliptical seed, 3 cm. long, consists of an outer region very thin on the flanks but highly developed at the apex and base which forms a sarcotesta characterised in the apical region by large radially disposed spaces, fig. 498, C, s; the sclerotesta, composed of harder tissue, is prolonged as an apical beak. There is a large pollen-chamber, pc, in which Renault found multicellular microspores (320μ–400μ). In the chalazal region the main vascular supply forms a cup-like investment, v, in the basal portion of the 332nucellus, and at a higher level this breaks up into several nucellar strands. Renault thinks that Aetheotesta is the seed of Dolerophyllum, but there is no proof of any connexion. The presence of large spaces in the sarcotesta may be interpreted, as Renault suggests, as evidence of adaptation to dispersal by water.
Brongniart[905] instituted this genus[906] on an incomplete transverse section of a seed from Grand’ Croix, 8 mm. in diameter, which he called Eriotesta velutina, characterised by a ribbed and probably octagonal testa bearing numerous elongated hairs over the whole surface. The material is, however, too meagre to throw any light on the important features of the seed.
The generic name Gaudrya[907] was proposed for two petrified seeds from the Gard coal-field briefly described as G. trivalvis, the type-species, and G. lagenaria. The testa of the former species shows signs of splitting along three equidistant lines; it consists of a sarcotesta enclosing an endotesta with six longitudinal ribs: Grand’Eury speaks of lacunae between the endotesta and nucellus which he regards as spaces in a tissue which made the seed buoyant and facilitated dispersal by water. It is not clear whether the nucellus and integument were originally connected or laterally free: the lacunae may be the remains of an inner flesh and not spaces in a spongy tissue. The genus is radiospermic and characterised by a long micropyle and a broad pollen-chamber. On the available evidence it is difficult to assign the specimens to their systematic position, but the genus is probably a member of the Trigonocarpales.
Platyspermic seeds for the most part belonging to Cordaitalean plants and agreeing in their plan of organisation, even more333 closely than the seeds of the Trigonocarpales, with those of recent Cycads. The nucellus is free laterally from the integument and there is a series of vascular bundles in the nucellus. The testa consists of an outer flesh, the sarcotesta, which may reach a considerable thickness, a shell or sclerotesta, and in some genera an endotesta. In seeds preserved as impressions the sarcotesta often gives them a winged appearance (Samaropsis). The pollen-chamber is relatively small, resembling in this respect the chamber in recent Cycads. A central prolongation of the prothallus-tissue in the form of a blunt column or ‘tent-pole’ is a characteristic feature; the same feature occurs in seeds of the Lagenostomales, but in the Cordaitales it resembles more nearly the ‘tent-pole,’ as it was called by Hirase, in recent Cycadean seeds and in Ginkgo. The presence of two vascular strands in the sarcotesta in the principal plane of the seeds is a character shared with the seeds of Cycas: the position and course of these bundles are useful characters for distinguishing different types within the group. The microspores are multicellular.
Genera. Cardiocarpus; Cyclospermum; Cycadinocarpus; Rhabdospermum; Mitrospermum; Diplotesta; Leptocaryon; Taxospermum; Compsotesta. These generic names are all used in the following pages for seeds known to possess certain anatomical features; there are also included in the Cardiocarpales the genera Samaropsis, Cordaicarpus, and Rhabdocarpus, but it is proposed to limit their use to specimens which furnish no anatomical data and cannot therefore be assigned with equal confidence to a section of seeds based on definite morphological characters. It is certain that some at least of the seeds described under these names would, if preserved as petrified specimens, be included in one or other of the genera named above.
There is ample proof that some of these seeds were borne on Cordaitean plants and that the group as a whole represents the seeds of the Cordaitales[908]. It is, however, certain that some Platyspermic seeds were produced by Pteridosperms. No little confusion has been caused by the employment of the same generic names for petrified seeds and for casts and impressions affording no evidence as to similarity in anatomical characters. With 334a view to avoid the risks necessarily entailed by following this practice it is suggested that a clearer distinction should be drawn between genera based primarily on structural features and form-genera. The following notes on the genera Cardiocarpus, Cordaicarpus, Cyclocarpon, Cycadinocarpus, Jordania, and Samaropsis, may serve to illustrate some of the difficulties connected with the terminology of Palaeozoic seeds.
Cardiocarpus. Brongniart[909] proposed the name Cardiocarpon in 1828 for Upper Carboniferous seeds described as compressed lenticular, cordiform or reniform ‘fruits’ with an acute apex: in his later work[910] he recognised their true morphological nature and gave an account of some exceptionally well-preserved examples from Grand’ Croix. Brongniart in common with other authors believed Cardiocarpus seeds to belong to Cordaitean plants, a view that in several cases is based on conclusive evidence. The specimen represented in fig. 501, D, illustrates the characteristic form of a cast of a Cardiocarpus seed, and the sections shown in fig. 501, A and B, are from an identical or a very closely allied species. The generic characters are: (i) the presence of a narrow flattened border or wing surrounding a platyspermic nucule, (ii) the cordiform base and more or less pointed apex, (iii) the differentiation of the testa into a sarcotesta and sclerotesta free from the nucellus except at the base, (iv) the ‘tent-pole’ prolongation of the prothallus (fig. 510, A, b) and the presence of a fairly large pollen-chamber, pc, (v) the occurrence of two sets of vascular bundles, an inner nucellar series and two double vascular strands (fig. 500, A, v, B) which are given off from the main supply before it reaches the sclerotesta. The term Cardiocarpus as used by Brongniart signifies a type of seed possessing both certain anatomical and external characters. The proposal is to restrict the generic appellation to seeds exhibiting definite structural features agreeing in essentials with Cardiocarpus sclerotesta and C. drupaceus.
Cordaicarpus. This name was first employed by Geinitz[911] in the form Cordaicarpon, the type-species being C. Cordai (fig. 502, C) from the Coal Measures of Germany, a seed referred by the 335author of the genus to Cordaites principalis but, as Kidston has pointed out, there is evidence that this correlation may be incorrect: there is, however, no doubt as to its Cordaitean parentage. Specimens included in this genus agree closely with species of Cardiocarpus, but they are usually described as being distinguished by the absence of a flat border and by a more rounded and less cordate base. In the example of Cordaicarpus Cordai shown in fig. 502, C, and in other species assigned by authors to this genus there is a narrow border and the form of the base is an inconstant character. As Kidston[912] and other authors point out, there are no definite and constant characters by which to distinguish Cardiocarpus from Cordaicarpus as regards the form of the seeds preserved as casts or impressions. A further account of Cordaicarpus is given on a later page.
Cordaispermum. This designation was formerly adopted by Renault[913] for seeds having the form and anatomical features of Cardiocarpus which there is good reason for attributing to Cordaites or to some allied genus. In view of the fact that the majority of the seeds under consideration are undoubtedly Cordaitean there is no need to employ this additional generic name.
Cyclocarpon. Fiedler[914] instituted this term for seeds previously described by Berger as Cardiocarpon emarginatum (fig. 502, B, now included in Samaropsis) and added a new species Cyclocarpon nummularium. Brongniart[915] subsequently described the structure of two species, C. tenue and C. nummulare, which he referred to Fiedler’s genus, and Bertrand[916] has shown that these differ from the genus Cardiocarpus in the recurrent course of the bundles given off from the chalazal strand as in the genus Rhabdospermum (cf. fig. 501, E). There are no good grounds for retaining the designation Cyclocarpon for casts and impressions, as the specimens so named are indistinguishable from impressions referred to Cordaicarpus. The generic name Cyclocarpus, retained by Bertrand only for C. tenuis and C. nummularis simply for anatomical reasons, is now altered to Cyclospermum on the ground that the 336designation Cyclocarpon has been used for impressions affording no information with regard to anatomical features.
Cycadinocarpus. Renault[917] transferred to this genus Brongniart’s species Cardiocarpus augustodunensis on the ground that the vascular system exhibits in a greater degree than the other types included by Brongniart in Cardiocarpus a resemblance to that in recent cycadean seeds. Bertrand[918] confirms Renault’s account and retains Cycadinocarpus augustodunensis as a species worthy of generic distinction. A short account of this seed is given on a later page.
Jordania. This name was given by Fiedler[919] to compressed ovate-cordate seeds characterised by a broad membranous border bearing a superficial resemblance to the seeds of Bignonia. The type-species, J. bignoniodes (fig. 502, I), from the Coal Measures of Saarbrücken has the form usually associated with the designation Samaropsis, and as the latter term is generally adopted there are no adequate reasons for the retention of Jordania. The name Jordania has also been applied, by Schenk[920], to fossil Dicotyledonous wood and was previously used by Boissier[921].
Samaropsis. Goeppert[922] defined Samaropsis as ‘Fructus samaroideus membranaceus, compressus, margine alatus, monospermus.’ The type-species, S. ulmiformis, from the Permian of Brenau, is a small seed with a broad wing or border, but a better example of Samaropsis is figured by Goeppert as the wing of an insect[923]. Examples of the genus are shown in figs. 502, A–H; 503; 504. Seeds included in Samaropsis differ from those referred to Cordaicarpus in the presence of a broader and more clearly defined border which in some cases, as in the genus Mitrospermum (fig. 494, K, L), undoubtedly represents a lateral wing-like extension of the sarcotesta. In some instances the wing may be a tangentially expanded integument comparable with the perianth of Welwitschia, and in some Jurassic seeds referred by Heer[924] to Samaropsis the lateral appendages are probably true 337wings. It is advisable to restrict the designation Samaropsis to Palaeozoic seeds. Nucules deprived of the broad border would be referred to Cordaicarpus as usually employed for impressions. The generic name Samaropsis serves a useful purpose as a distinctive term for platyspermic seeds preserved as casts or impressions characterised by the possession of a wide border or wing broader than in typical examples of Cordaicarpus. The specimen represented in fig. 499 affords a good illustration of the difference between Samaropsis and Cordaicarpus. In this specimen the border clearly consists of two portions, an inner narrower border (black in the drawing) and an outer more delicate portion; the former is the impression of the sclerotesta and the outer represents the fleshy sarcotesta which in the living seed may have formed a wing. If, as often happens, the seed were preserved with the narrow border only it would be assigned to Cordaicarpus, many species of which are undoubtedly incomplete Samaropsis seeds.
The seeds described by Lindley and Hutton as Cardiocarpon acutum (fig. 444, p. 171) have been made by Arber[925] the type of a new genus Cornucarpus, the distinguishing feature being the triangular form and the apical horns of the wing. The seeds figured by Arber[926] from the Kent coalfield as Cornucarpus acutus are, however, not identical with the type of Lindley and Hutton, which has the characters of Samaropsis. Samaropsis is widely distributed in Permo-Carboniferous rocks in Europe and North America and is recorded also from India[927] (fig. 504), China[928], South Africa[929] (fig. 503), South America[930] (fig. 502, F, G) and Australia[931]. Some seeds of this form were certainly borne on Cordaitean plants (cf. fig. 480, A), but seeds of similar type have been found in organic connexion with the foliage of Pteridosperms (figs. 442, 445, pp. 167, 172). The Permian ‘cone-scales’ bearing 338seeds described by Geinitz as Cardiocarpon triangulare[932], represented by well preserved impressions in the Dresden Museum, appear to be of the Samaropsis type: the same author referred some Samaropsis seeds to the Conifer Walchia, but Weiss[933] dissents from this correlation as the seeds often occur in beds in which Walchia is not represented. Renault states that the seeds of the fertile shoot described by him as Cycadospadix Milleryensis[934] from Autun [= Strobilites Milleryensis (Ren.)] closely resemble Samaropsis fluitans Daws. as figured by Weiss. The suggestion by White[935] that Samaropsis seeds were borne on fertile leaves of Gangamopteris adds a further difficulty to the use of the generic characters of Samaropsis as criteria of systematic position. The Permian seeds figured by Goeppert[936] as Oreodoxites Martianus are possibly specimens of Samaropsis.
The designation Samaropsis, though usually restricted to Palaeozoic species, is applied by some authors to ‘winged’ seeds from Mesozoic strata; but as some of the Jurassic seeds[937] so named appear to have true wings like those of some recent Conifers it is advisable to adhere to the more limited use of the name.
It is safe to assert that many Samaropsis seeds agreed generally in structure with Cordaitean seeds such as the petrified examples described by Brongniart as Cardiocarpus. The species Mitrospermum compressum[938] is an example of a petrified seed having the external features of Samaropsis.
This generic title I propose to restrict to petrified seeds exhibiting the characters described by Brongniart[939] and more recently by Bertrand[940] in C. sclerotesta and C. drupaceus. In general organisation seeds of this generic type agree with those of recent Cycads and with the seed of Ginkgo biloba, but there are certain distinguishing features. An important character is 339afforded by the course and place of origin of the lower vascular strands from the main supply at the base of the seed. The outer vascular system consists of two bundles given off from the main strand, before it reaches the sclerotesta, which pass up the sarcotesta (fig. 500, B). In Rhabdospermum, on the other hand, the corresponding bundles arise at a higher level and form recurrent strands which penetrate the sclerotesta before passing up the fleshy part of the integument (cf. fig. 501, E).
Cardiocarpus sclerotesta Brongniart. The testa is differentiated into an inner shell and an outer sarcotesta (fig. 501, A; the sclerotesta is shown in black); there is a well developed pollen-chamber (pc) and below this the prothallus-tissue is prolonged as a blunt and short tent-pole, b, as in Gingko and in several fossil seeds. On each side of the apical tent-pole the slightly shrunken prothallus shows two small archegonia, a, which in the relatively small size and spherical form of the egg-cells resemble those of Ginkgo. In transverse section (fig. 501, B) the seed is bi-convex and at each end of the major axis the sclerotesta forms a small keel. There are two sets of vascular bundles concerned in the supply of material to the ovule; a lower pair of bundles given off from the central strand in the sarcotesta (fig. 500, B) which pass to the apical region in the inner tissues of the sarcotesta in the principal plane (fig. 500, A, v), and an inner set of bundles that pass up the peripheral tissue of the nucellus.
The species described by Brongniart as Cardiocarpus (Cyclocarpus) tenuis and C. nummularis have been removed by 340Bertrand[941] from Cardiocarpus on the ground that the integumental bundles pursue a course like that in Rhabdospermum; it is now referred to the new genus Cyclospermum[942].
As stated on a previous page Bertrand[943] re-establishes the generic name Cyclocarpus, founded on impressions without reference to anatomical characters, for two petrified seeds from St Étienne 341described by Brongniart as Cardiocarpus tenuis and Cyclocarpus nummularis[944]. These types differ from Rhabdospermum in the absence of an apical snout but agree with that genus in the steeply descending course of the vascular strands in the basal region of the seed. As stated on a previous page, the name Cyclospermum is proposed as a substitute for Cyclocarpus because of the employment of the latter term for impressions.
Cycadinocarpus augustudunensis (Brongniart[946]). In the possession of two sets of vascular bundles this type agrees with Cardiocarpus, but the more internal strands pass up on the inner face of the sclerotesta without penetrating into the nucellus, a feature in which Cycadinocarpus agrees with the majority of recent cycadean seeds: the outer bundles are given off from the main supply after it has entered the sclerotesta and not before as in Cardiocarpus; they follow an oblique course in the sclerotesta and emerge into the sarcotesta at the shoulders of the basal curve of the seed. As in Cardiocarpus and Rhabdospermum the two outer bundles lie in the principal plane of the seed. There is a pollen-chamber at the apex of the nucellus and the latter tissue is prolonged as a tent-pole which engages with the micropyle. In the absence of data as to the course of the vascular bundles in the chalazal region it would not be possible to distinguish between this genus and Cardiocarpus.
It is proposed to restrict the name Rhabdocarpus[947] to impressions and casts of seeds of the type represented by R. tunicatus as figured by Berger[948] and reproduced in fig. 506, K, the term Rhabdospermum being applied to seeds of similar form in which are shown certain distinguishing anatomical features. Rhabdocarpus tunicatus Berger is a species founded on a specimen from the Coal Measures of Silesia characterised by an outer carbonised testa prolonged apically as a blunt snout and, as seen in fig. 506, K, covering an apparently ribbed nucule, but the ‘ribs’ are due to 342the presence of fibrous strands and are not ribs in the ordinary sense. The outer tissue shows numerous longitudinal striations due presumably to the presence of fibrous elements in the sarcotesta like those shown in the petrified seed represented in fig. 501, C. The genus is defined by Berger as follows: ‘Semina ovata vel elliptico-oblonga secundum longitudinem parallele nervosa vel tenuissime striata, putamine (interdum deficiente) instructa.’ As used by Berger and many other authors Rhabdocarpus includes a miscellaneous collection of seeds often differing widely from the type-species. Many of the examples correctly referred to Berger’s genus are platyspermic though a bilateral symmetry is by no means always clear. Renault and Zeiller[949] in their definition of Rhabdocarpus include bilateral symmetry as a characteristic feature and speak of the seeds as oblong or oval with a pointed or truncate apex and a rounded base. Impressions of Rhabdocarpus differ from those of Cardiocarpus or Cordaicarpus in their more elongate form, always longer than broad, and in the absence of a basal sinus. The seeds found attached to Neuropteris pinnae and, in external features, agreeing with many specimens included in Berger’s genus, have been transferred by P. Bertrand[950] and Arber[951] to a new genus Neurospermum[952]. Arber[953] in his recent revision of British seeds proposes to restrict the name Rhabdocarpus to platyspermic seeds having a ‘large unsymmetrical nucule enclosed in a large unsymmetrical wing or sarcotesta,’ that is to forms symmetrical in one plane. In this category he includes Rhabdocarpus tunicatus Berg. (fig. 506, K) and R. subtunicatus[954] Grand’Eury, but it is not clear on what grounds Berger’s species is spoken of as symmetrical in only one plane: in the species R. Lilleanus Arb.[955] the symmetry is hardly sufficiently well defined to rank as a generic character. In the case of the Neuropteris seeds the apical snout is slightly curved, thus giving them an unsymmetrical appearance (cf. fig. 422, p. 114). The Carboniferous and Permian seeds usually referred to Rhabdocarpus343 are transferred by Arber to his genus Platyspermum[956], a designation for which it is proposed to substitute Nathorst’s genus Holcospermum[957]. In seeds preserved as more or less flattened impressions it is practically impossible in many cases accurately to determine the symmetry: as fig. 506, A, shows, casts indistinguishable from some examples of Platyspermum are radially symmetrical. Brongniart[958] extended the original definition of Rhabdocarpus to include certain anatomical characters, and these have been more fully defined by Bertrand[959]. It is for seeds showing these anatomical features that the name Rhabdospermum is now proposed. This course is followed on the ground that it is advisable to avoid confusion between petrified specimens and impressions which in spite of superficial resemblance may not be closely related. In some cases it is practically certain that an impression of the Rhabdocarpus type is generically identical with a seed of similar form showing the anatomical structure of Rhabdospermum, but unless identity is established a distinct terminology is preferable. The use of the generic name Rhabdospermum carries with it an implication of platyspermy, but under Rhabdocarpus may be included seeds which are radiospermic and platyspermic. Some seeds agreeing with Rhabdospermum are referred by Grand’Eury[960] to Poroxylon, and it is probable that Rhabdospermum like Cardiocarpus is a Cordaitean seed. On the other hand Rhabdocarpus may well include species, apart from those 344transferred to Neurospermum, that belong to Pteridosperms. A species, Rhabdocarpus Oliveri, recently described by Kidston[961] from the Staffordshire coalfield is an example of a radiospermic seed which may be assigned to a Pteridosperm. The type-specimen is an ovate seed 4 cm. long and 2 cm. broad agreeing in form and surface-features with Rhabdocarpus as already defined, but the evidence it affords of internal structure is insufficient to determine its position with regard to genera founded on anatomical characters. Other examples of Rhabdocarpus are described by Lesquereux[962] and White[963] from American Coal Measures, by Grand’Eury[964] from the Loire, by Renault[965] from Autun, and by many other authors.
The platyspermic seeds included in this genus agree in size and form with impressions assigned to Rhabdocarpus and as regards the main features conform anatomically to Cardiocarpus; they were probably borne on Cordaitean plants. Fig. 501, C, represents a longitudinal section of the species Rhabdospermum cyclocaryon described by Brongniart as Rhabdocarpus cyclocaryon: the sarcotesta is particularly well developed in the apical region; at the apex a portion of the micropyle is seen at m and near the nucellus are pieces of the sclerotesta shown in black. The presence of anastomosing fibres near the surface is a characteristic feature: these, as Bertrand points out, do not form a hypodermal tissue in the strict sense as they may be separated by some of the thin-walled parenchyma of the sarcotesta from the epidermis. The sclerotesta is only partially preserved but the inner portion forms a dark line enclosing the nucellus, the superficial tissue of which is separated from the shrunken prothallus represented by the almost spherical dotted region: the remains of an archegonium are seen at a (fig. 501, C) and the characteristic tent-pole apex of the prothallus is shown at b. While in shape and in the general plan of organisation Rhabdospermum agrees with Cardiocarpus, the vascular system in the chalazal region constitutes a distinguishing feature. In Rhabdospermum the main vascular strand 345passes through the sclerotesta, e, e′, fig. 501, E, before giving off two bundles which bend back (‘faisceaux récurrents’), traverse the shell, and then pass up the sarcotesta in correspondence with the feebly developed lateral keels as far as the micropyle, while in Cardiocarpus (fig. 500, B) the bundles are given off before the main strand reaches the sclerotesta. Similar recurrent bundles occur also in Mitrospermum (fig. 494, K)[967].
Mitrospermum compressum (Williamson). Mrs Arber[968] proposed the name Mitrospermum[969], suggested by the peculiar form of the seed-base, as a substitute for Cardiocarpon for Williamson’s species C. compressum[970] from the Lower Coal Measures of Lancashire. The seed is platyspermic and there is some evidence that it split into two valves along the principal plane (the longer axis of the section, fig. 494, L). The diagrammatic and partially restored longitudinal section reproduced in fig. 494, K, shows the main features: a sarcotesta, sa, covers the surface of the testa as a thin layer except at the edges of the flattened sides where it forms a wing-like border; preserved as an impression the seed would be assigned to Samaropsis. The sclerotesta, sc, has a pointed apex which surrounds the lower third of the micropyle and a broad base perforated by the chalazal vascular strand. There was probably a narrow inner flesh as in Trigonocarpus and recent Cycadean seeds (fig. 494, K, cf). The nucellus was free from the integument except at the base, as in Trigonocarpus and Stephanospermum (fig. 494, K, n): internal to the shrivelled remains of the inner flesh there was a nucellar tapetum surrounding the megaspore. Details as to the pollen-chamber are lacking though there are indications that it resembled that of some species of Cordaitean seeds. The main vascular supply passes through the sclerotesta and then forms a low cushion of short reticulate elements below the base of the nucellus from which two bundles are given off (fig. 494, K, v) in the principal plane. The course of the bundles which pierce the sclerotesta led Mrs Arber to remove this seed from Cardiocarpus, as recently defined by Bertrand[971], since in that genus the integumental bundles have 346their origin below the sclerotesta. In the course of the vascular bundles Mitrospermum is intermediate between Rhabdospermum and Taxospermum.
This genus is founded on a detached seed, but its resemblance to undoubted Cordaitean species favours its attribution to that group though, as Mrs Arber points out, some markedly platyspermic seeds are known to have been borne on fern-like fronds and Mitrospermum may belong to some genus of Pteridosperms.
Diplotesta Grand’Euryana Brongniart. The generic name Diplotesta, suggested by Grand’Eury, was given by Brongniart[972] to a Grand’ Croix seed which he compared with that of the Conifer Cephalotaxus. The type-specimen is elliptical and platyspermic (fig. 495, H, p. 322), and differs from Taxospermum in the cordate form of the seed-cavity, also in the more restricted union of nucellus and testa. The testa is differentiated into a sarcotesta (sa) and sclerotesta, and the latter forms two feebly developed keels in the principal plane: a characteristic feature shared with Mitrospermum is the splitting of the shell into two equal valves (fig. 495, F). Fig. 495, H, shows the contracted cylindrical nucellus and the pollen-chamber: the sarcotesta (sa) is only partially preserved. Diplotesta differs from Cardiocarpus in the course of the integumental vascular bundles which are of the type illustrated by Rhabdospermum, Taxospermum, and Cyclocarpus, but from these genera it is distinguished by the dehiscence of the shell, also by its form and certain anatomical features as described by Brongniart and Bertrand[973].
In this genus Bertrand includes Brongniart’s species Sarcotaxus avellana (fig. 495, F), a correlation suggested by the latter author.
Brongniart[974] founded this genus for a single species, Leptocaryon avellana, represented by a Grand’ Croix specimen 12 × 10 mm., which he believed to be related to Taxus. Leptocaryon differs 347from Taxospermum in the structure of the testa, but resembles it in external features. Bertrand[975] in his revision and extension of Brongniart’s account says that the sections throw no light on the nature of the vascular supply, and it is therefore impossible to form a satisfactory opinion as to the relationships of the genus. Renault[976] referred this genus to the Cordaitales, but we have no evidence as to the parent-plant.
Brongniart[977] gave this name to a small elliptical seed, 15×9 mm., recalling in external features the seed of Taxus, a genus to which he believed the Grand’ Croix species to be related. The type-species Taxospermum Grüneri (fig. 495, G) has a comparatively thin testa characterised by the absence of a sub-chalazal pad formed by the swelling of the sclerotesta. The nucellus is attached by a broad base to the testa and the two regions appear to be connected for a short distance on the flanks[978]; in this feature the seed is comparable with that of the Conifer Torreya and differs from the other platysperms, Diplotesta, Rhabdospermum, etc. Bertrand[979] states that the main vascular strand extends from the hilum to the chalaza before giving off the two opposite bundles which ‘follow the floor of the shell-cavity, and on reaching the flanks traverse the shell obliquely from below upwards[980].’ In the course and position of the integumental bundles Taxospermum differs from Cardiocarpus, Cycadinocarpus, and Rhabdospermum. In this genus Bertrand includes Sarcotaxus angulosus Brongn. and S. olivaeformis Brongn.[981]
Compsotesta Brongniarti Bertrand. The generic name Compsotesta[982], though adopted by Brongniart for some incomplete specimens from Grand’ Croix, was not published either by him or Renault: it has recently been revived by Bertrand[983] in his 348account of the anatomical details of Brongniart’s sections. This seed appears to be closely allied to the polypterous forms Ptychotesta and Hexapterospermum: the testa consists of a sarcotesta differentiated into two zones the outer of which contains vascular bundles in correspondence with the ribs, and an inner shell. There is a nucellar vascular supply and the nucellus is free on the flanks as in Stephanospermum and Trigonocarpus.
The characters of this Permian and Carboniferous genus have already been described: the name has reference only to superficial features especially the samara-like ‘wing,’ and connotes no special anatomical features.
Samaropsis fluitans (Dawson). The species described by Dawson[984] as Cardiocarpum fluitans from Carboniferous strata in Nova Scotia, is represented by oval seeds with a fairly broad border usually showing an apical notch. Fig. 502, A, is a copy of Dawson’s figure: the apparent absence of an apical sinus in the ‘wing’ is probably due either to an error in interpretation or to some imperfection in the specimen. As fig. 502, A, shows, the type-specimens are far from satisfactory, and it may be that they are not specifically identical with the more complete specimens from European strata referred to Dawson’s species. Zeiller[985] points out that seeds of this species vary considerably in size, but there is always in well-preserved examples a bifid beak at the apex. Seeds of similar form though not specifically identical are described from the Coal Measures of Missouri as Cardiocarpon (Samaropsis) Branneri Fairch. and White[986]. Good examples of S. fluitans are figured by Weiss[987] from the Coal Measures of Saarbrücken and the species is widely distributed in Upper Carboniferous beds generally.
Samaropsis bicaudata Kidston. This species (fig. 502, E) originally described[988] from Lower Carboniferous rocks in Scotland as Cardiocarpus bicaudata and subsequently assigned to Samaropsis, 349is characterised by a greater development of the flat wing-like border which is divided into two long tapering basal lobes. Seeds of similar form are figured by Lesquereux[989] from Pennsylvania as Cardiocarpus (Ptilocarpus) bicornutus.
Samaropsis (Samarospermum) moravica (Helmhacher). This type[990] (fig. 502, H) is characterised by the great length of the wing-like border and on that account it was transferred by Arber to a new genus. It was originally described by Helmhacher from the Permian of Moravia as Jordania moravica and the type-specimen has been refigured by Zeiller[991] who records the species from Upper Carboniferous and Permian rocks in France: it is recorded also from several localities in Germany[992]. Seeds figured by Potonié[993] from the Permian of Thuringia as Samaropsis Crampii (Hartt) are undoubtedly examples of S. moravica: the true S. Crampii has recently been well illustrated by Dr Stopes[994] from the Westphalian of New Brunswick. The species is recorded by Arber[995] from the Kent coalfield.
The seed represented in fig. 502, B, from the Lower Coal Measures of Kilmarnock, Scotland[996], affords a good example of the genus: the species was originally described by Berger as Cardiocarpon emarginatum and it was on this type that Fiedler founded the genus Cyclocarpon[997]. It has been referred by many authors to Cardiocarpon and might be regarded as a type intermediate between Cordaicarpus, as used in this chapter, and Samaropsis, though the breadth of the border is more in keeping with the latter designation. The figured specimen is 1·6 cm. long and 1·4 cm. broad; the nucule has a slightly cordate base and shows several faint converging ribs which are too inconspicuous to be represented in a natural-size drawing. A narrow median groove in the apical region shows the position of a vascular strand. 350The species is recorded from several countries: similar though specifically distinct seeds, described by Dawson as Cardiocarpon cornutum, have recently been re-described by Dr Stopes[998] from the Westphalian of New Brunswick where they occur in association with the leaves of Cordaites Robbii Daws.
This species was originally described by Andrews[999] from the Coal Measures of Ohio: the specimen shown in fig. 502, K, was 351sent to Dr Kidston by Mr Claypole. The whole seed is 5 cm. wide and 3·5 cm. in depth; it is characterised by a short and relatively broad nucule surrounded by a very broad and flat border showing faintly marked radially disposed lines and in places some irregularly distributed pits. The apex is emarginate and there is a broad and deep sinus in the sarcotesta in the chalazal region. The seed resembles Samaropsis alata Kidst.[1000] and S. Baileyi (Daws.)[1001] but it differs from these in the greater breadth of the ‘wing’ and in the form of the nucule.
The seed described by Fiedler[1002] as Jordania bignonioides (fig. 502, I) agrees closely with S. alata Kidst. but is probably specifically distinct.
White[1003] described this species (fig. 502, G) from Permo-Carboniferous rocks in Brazil (Rio Grande do Sul) as Cardiocarpon barcellosum. The nucule is said to be cordate but, as seen in the figure, there is no clear indication of a basal sinus: the presence of a relatively broad ‘wing,’ as White says, entitles the seed ‘to a place in the Samaropsis section of the genus.’ The author of the species compares it with seeds described from Westphalian rocks in Ohio[1004] and Pennsylvania[1005]. It is interesting to find a type which is common in both Europe and North America in the western portion of Gondwana Land. Seeds of similar form are recorded also from India, South Africa, and Australia[1006].
This Brazilian species from the same beds is described by White as Gangamopteris (Samaropsis) Seixasi[1007]: it is characterised by a small ovate nucule 8–10 mm. long and 5 mm. broad, in some specimens surrounded by a complete ‘wing’ extending above the apex and below the base, giving the seed an appearance similar to 352that of Samaropsis (Samarospermum) moravica while sometimes, as in the example shown in fig. 502, F, the broad border is preserved only at the sides. These seeds are abundant in the Santa Catharina beds, where they were discovered by Dr Esdras do Prado Seixas, in association with leaves of Gangamopteris, and White thinks that they were borne on the fertile leaves of that genus which he has named Arberia[1008]. Although there is as yet no proof of a connexion between Gangamopteris and seeds of this or any other type it is almost certain that it was a seed-producing plant.
The seed on which this species is founded was discovered by Mr T. N. Leslie in the Ecca beds (Permo-Carboniferous) of Vereeniging, South Africa, a locality from which the same geologist has obtained leaves of Cordaites, Psygmophyllum, Glossopteris and other genera[1009]. In the slightly cordate base and tapered apex (fig. 503) the nucule agrees closely with those of European examples, but the Vereeniging type is distinguished by its larger dimensions and by the wider border indicating a thick sarcotesta continued basally into a stout stalk. The apex is emarginate and a median rib marks the position of a vascular strand. There is no evidence as to the nature of the parent-plant.
Prof. Zeiller[1010] described this species as Cardiocarpus indicus from the Karharbari (Lower Gondwana) beds of India. An examination of the type-specimens enables me to confirm the 353accuracy of the original account. The platyspermic seed is 5·5 cm. long and 4·5 cm. broad; a cordate nucule is enclosed by a flat border similar to that of Samaropsis Leslii but narrower especially on the sides of the nucule. At the apex there is a deep sinus extending to the nucule, and at the base a fairly broad band of carbonaceous matter shows the position of the chalazal vascular strand. The seed is characterised by its large size and by its almost orbicular form: it occurs as a detached specimen in beds containing Cordaites (Noeggerathiopsis) and Glossopteris.
A species from Arkansas described by Lesquereux[1011] as Cardiocarpus ingens [= Cordaicarpus ingens (Lesq.)] affords another example of a large seed similar to C. indicus and, except in its more orbicular form, to Samaropsis Leslii.
An examination of the type-specimen from the Calcutta Museum enables me to amplify the original description in an important particular. The species was found in Lower Gondwana (Katharbari) beds in India and referred by Feistmantel[1012] to the genus Carpolithes. Arber[1013], who tentatively employed the generic name Cardiocarpus in place of Carpolithes, suggests that the seeds may be radiospermic, as Feistmantel’s drawings show only a very narrow border to the nucule. The specimen reproduced in fig. 504 was figured by Feistmantel without any indication of a definite sarcotesta or wing, but as seen in the drawing the ovate cordate sclerotesta is surrounded on one side and at the base by an outer envelope: this is clearly seen at the apex where it shows a rounded termination sloping downwards towards the micropyle precisely as in Samaropsis indica (Zeill.). The border is narrow at the sides and broader at the base as in S. Leslii. The seed 354is 4·5 cm. long and 2·3 cm. broad, differing from S. indica in its rather smaller size and in the slightly narrower nucule. Though there is no decisive evidence as to the parent-plant the occurrence of a specimen of this species partially covered by a scale-leaf of a type[1014] very similar to that which is generally recognised as belonging to Glossopteris suggests the possibility that the seeds may belong to that genus. Scale-leaves of Glossopteris are described in Volume ii., but it may be added here that leaves similar in form to those from India, Australia, and elsewhere are figured by Geinitz[1015] from the Altai Mountains as Trigonocarpus? actaeonelloides: the specimens are represented with the basal scar at the apex.
In view of the fact that the generic names Cardiocarpus, Cordaicarpus, and other designations have been applied to casts and impressions which cannot be distinguished by any constant or important feature it is proposed to adopt the name Cordaicarpus for platyspermic seeds, preserved as casts or impressions, having a comparatively narrow border enclosing an ovate or cordate-ovate nucule; the base is either rounded or cordate. The choice between Cordaicarpus and Samaropsis depends on the breadth of the border. Cordaicarpus, though more suggestive of a Cordaitean alliance, may in some cases be a Pteridosperm seed.
Cordaicarpus Cordai (Geinitz). Lenticular seeds more or less orbicular or broadly ovate (fig. 502, C, D), often slightly cordate at the base of the nucule and with a broadly acute apex: the border is narrow or sometimes hardly represented as in the seeds described by Berger as Rhabdocarpus ovoides, a species similar to but more oval than Cordaicarpus Cordai. The latter species[1016] occurs in several coalfields in Britain, France, Germany, and elsewhere. Fig. 502, C, shows a good example from the Middle Coal Measures of Yorkshire, 9 mm. long by 8 mm. broad; on the very slightly cordate nucule are several faint ribs converging towards the base and apex and between them fine striations, 355characters too indistinct to be reproduced in the natural-size drawing. The flat border represents the sclerotesta. The seed shown in fig. 502, D, from the Westphalian series of Warwickshire belongs to the same species or is a closely allied type: the faint suggestion of reticulation on its surface might be regarded as a reason for referring it to C. areolatus Boul.[1017], a form characterised by a reticulation on the testa, described by Zeiller[1018] and other authors. This reticulation is, however, in some cases at least, formed by crumpling and splitting of the superficial carbonised film into more or less regular meshes: the figured specimen occurs with several other seeds of the same type, most of which have a smooth surface. Dr Kidston tells me that a recent critical examination of seeds in his collection leads him to regard some specimens (e.g. fig. 502, D) previously referred by him to C. Cordai as identical with Carpolithes membranaceus Goepp.[1019]
The photograph reproduced in fig. 505 shows the result of chemically treating the carbonised cuticle of a seed of Cordaicarpus Cordai, a method little used as yet in the case of Palaeozoic plants 356but which may be useful in distinguishing seeds which cannot be satisfactorily separated by microscopic features. The superficial cells have very thick walls and present an appearance similar to that of the sclerous cells in the testas of some petrified specimens.
The larger seed shown in fig. 501, D, from Commentry, described by Renault and Zeiller[1020] as Cardiocarpus sclerotesta, is another example of Cordaicarpus as now defined.
In this section are included genera based on characters of comparatively little morphological importance; their claim to treatment under a common heading is that we know little or nothing of their anatomical features or of the parent-plants.
The seeds represented by the following genera possess ribs or flanges usually in multiples of three; the transverse section may be triangular, hexagonal, or polygonal. The symmetry is generally radial, but it is difficult to determine whether a slight departure from the radiospermic form is an original feature or the result of pressure. Some of the ribbed seeds with which we are now concerned are no doubt closely allied to Trigonocarpus and should be included in the Trigonocarpales, but others may well be distinct forms.
Genera: Hexagonocarpus, Decagonocarpus, Polypterocarpus, Rhynchogonium, Boroviczia, Diplopterotesta, Musocarpus, Holcospermum.
This generic name is adopted by Renault[1021] for casts from Commentry which, while probably identical with Brongniart’s Hexapterospermum, afford no confirmatory anatomical evidence. The species Hexagonocarpus crassus[1022] is represented by casts or nucules characterised by six well-defined ribs and grooves with a length of nearly 3 cm. In this genus may be included the cast from the Coal Measures of Lancashire described by Williamson[1023] 357as Hexapterospermum Noeggerathi (fig. 506, H), and another British example is afforded by Hexagonocarpus Hookeri Kidst.[1024], a rare fossil in the South Staffordshire coalfield. It is impossible confidently to assign these ribbed casts to genera founded on petrified specimens as they almost certainly belong to different types, but the employment of the name Hexagonocarpus may conveniently be used for casts or impressions of seeds with six longitudinal ribs differing in their relatively broader and less prominent form from the wing-like flanges of Polypterocarpus (cf. fig. 496, B). The seeds described by Dr P. Bertrand[1025] as Hexapterospermum modestae, and believed by him to belong to a plant with Neuropteris fronds, should be included in Hexagonocarpus as we have no definite knowledge of their anatomical features.
This name, proposed by Renault[1026], is applied to seeds without petrified tissues characterised by ten ribs; an example is afforded by Decagonocarpus olivaeformis from the Commentry coalfield, an elliptical seed which bears a close resemblance to Holcospermum sulcatum (fig. 506, A) except in the smaller number of ribs.
Grand’Eury[1027] adopted this generic name for seeds from St Étienne characterised by the presence of three, six, or more deep wings or flanges. The term Pterospermum has recently been proposed by Arber[1028] for a seed from the Coal Measures of Staffordshire, which he names P. anglicum: the type-species of the genus has three deep wings, one from each angle. For the same seed Kidston[1029] proposed the name Tripterospermum ellipticum, but as Arber’s account was published first his specific name has priority. Pterospermum had, however, been previously used for a genus of Sterculiaceae, and partly on this account but mainly because Grand’Eury’s genus Polypterocarpus is available the latter designation is adopted. In Polypterocarpus anglicus (fig. 496, B) the 358flanges project slightly beyond the apex of the seed and there is a small notch at the base; the nucule is 5 cm. long and 1 cm. broad. While it is not improbable that this seed is generically identical with Brongniart’s Tripterospermum[1030], it is safer, in the absence of structural details, to employ the less committal term. There is no information with regard to the nature of the parent-plants of species of Polypterocarpus. The English seed from the Middle Coal Measures of Derbyshire and the Staffordshire coalfield described by Arber[1031] as Radiospermum ornatum and by Kidston[1032] as Polypterospermum ornatum affords another example of Polypterocarpus as the generic name is here employed.
Heer[1033] proposed this generic name for some globose, ovate, or oblong ‘fruits’ from Lower Carboniferous strata in Spitzbergen, including also fragments of ‘leaves’ which without satisfactory evidence he believed to belong to the same plant. The supposed fruits are clearly seeds, and Nathorst regards the ‘leaves’ as portions of a Fern rachis. Heer described four species, but these have since been reduced to two, and indeed it is probable that only one type, Rhynchogonium costatum, is represented. Nathorst[1034] compares Heer’s seeds with a Lower Carboniferous species described by Young[1035] as Trigonocarpum gloagianum, the resemblance of which to the Spitzbergen seeds was pointed out by Kidston. A seed of Rhynchogonium costatum is about the size of a hazel-nut and may reach a length of 21 mm.; it is ovate, with a broad rounded base, and in the upper third is tapered and conical, the sides of the characteristic snout being distinguished from the smooth surface of the rest of the seed by the presence of eight ribs converging towards the apex (506, G). Zalessky[1036] recorded closely allied seeds from Lower Carboniferous beds in Northern Russia, assigning them to a new genus Boroviczia, the type-species being B. Karpinskii; he adduced arguments in favour of Heer’s interpretation of the fossils as fruits but, according to Nathorst, this view has been abandoned. In his recent memoir on the Culm 359flora of Spitzbergen Nathorst[1037] discusses the morphological nature of Rhynchogonium seeds and describes additional specimens. Without the aid of petrified examples it is hardly possible to determine the true nature of the fossils.
Some specimens of Rhynchogonium sulcatum in Dr Kidston’s collection show the original surface-features: the carbonised integument is divided in the upper region into linear lobes separated from one another at their origin by fairly wide sinuses, a type of integument suggesting comparison with Physostoma. This species was originally described by Lindley and Hutton as Carpolithes sulcata[1038] from Lower Carboniferous rocks at Newhaven in Scotland and has recently been figured by Zalessky[1039] from specimens in 360the Kidston collection from the Lower Calciferous sandstone of Midlothian. Nothing definite can be said as to the parent-plant, but it is significant that in Midlothian Rhynchogonium sulcatum occurs in a bed full of isolated pinnules of a Cardiopteris almost to the exclusion of any other fossils[1040].
The seed figured by Nathorst[1041] from the Culm of Spitzbergen as Lagenospermum? glandiforme agrees closely with Rhynchogonium and Boroviczia, and it is impossible to decide whether the lobed appearance is due to the presence of a cupule or to the divisions of an integument.
The specimens from Lower Carboniferous beds in Russia[1042] on which this genus was founded are perhaps unnecessarily separated from Rhynchogonium; they are ovate and beaked, 10 mm. long with a maximum breadth of 6 mm. The type-species, Boroviczia Karpinskii (fig. 506, I), is represented both by specimens in which the cast is complete and by others in which the apical snout of the integument is split into separate lobes identical in form and apparently in number with those of Rhynchogonium. Nathorst[1043], who retains the generic name and describes two additional species from Spitzbergen, points out that in Boroviczia the tapered apex is more sharply differentiated from the broader basal portion, a difference hardly worthy of generic recognition. If Boroviczia is retained as a genus distinct from Rhynchogonium it should include the seeds described by Young as Trigonocarpum gloagianum.
Diplopterotesta spitzbergensis (Heer). Heer[1044] included in Samaropsis some seeds, described as Samaropsis spitzbergensis, from Lower Carboniferous strata in Spitzbergen which differ considerably from typical examples of the genus. These have recently been made the type of a new genus Diplopterotesta[1045]: they are platyspermic seeds nearly twice as long as broad, 6–9 × 3·5–5 mm., 361characterised by a thin sclerotesta expanded throughout the length of the seed into two prominent transversely striated wing-like ribs or flanges (fig. 506, D). At the apex, which is broad in contrast to the pointed basal end of the seed, the sclerotesta forms a crown of eight lobes about the flat summit of the seed-body. As Nathorst points out, this species closely resembles the Carboniferous seeds figured by Grand’Eury[1046] as Polypterocarpus, but in the latter type there are more than two wings. Nathorst’s figures, one of which is reproduced in fig. 506, D, suggest a difficulty in determining the number of the flanges, which would seem to be more than two, but this appearance is regarded by Nathorst as misleading and he believes that except at the apex there are only two wings.
Brongniart[1047] proposed this name for two species, M. prismaticus and M. difformis, from French Coal Measures, but gave no description of the specimens. The type-species, described from the Loire by Grand’Eury as Musocarpus prismaticus[1048], is an ovate seed nearly 3 cm. long with six longitudinal ribs, three being more prominent than the others, and characterised by a ribbed prolongation of the base of uniform diameter spoken of as a carpophore, which was apparently articulated to the lower part of the seed-proper from which it was easily detached by a natural absciss-layer. Nothing is known of the structure or of the affinity of the genus. Some specimens in Dr Kidston’s collection from Westphalian beds in Lanarkshire are closely allied to or perhaps identical with M. prismaticus. In the presence of a distinct basal region Musocarpus resembles Codonospermum[1049], though without any knowledge of the anatomy of the former type it is impossible to say whether or not this resemblance has any morphological importance.
Holcospermum sulcatum (Sternberg). The cast reproduced in fig. 506, A, affords a good example of a form of seed recorded 362under several generic names and not uncommon in Upper Palaeozoic rocks in Europe and North America, which in most cases cannot be assigned to a genus implying the possession of certain anatomical characters. This type was figured by Sternberg[1050] from the Coal Measures of Radnitz as Carpolites sulcatus. Some ‘fruits’ collected on the beach near Newhaven, Midlothian, from the Calciferous Sandstone series, are figured by Lindley and Hutton[1051] as Carpolithes sulcata, but as already stated these have been transferred[1052] to the genus Rhynchogonium. Several authors have referred specimens of the type now included in Holcospermum to Rhabdocarpus, but that genus, as stated on a previous page, is restricted to seeds agreeing in form with R. tunicatus. Renault[1053] instituted the genus Colpospermum for a partially petrified seed from Commentry agreeing externally with Carpolites sulcatus Sternb. and regarded by him as specifically identical, characterised by longitudinal ribs which represent folds of the testa, the intervening grooves being occupied by an irregular reticulum formed by occasionally anastomosing smaller ribs. The generic name Colpospermum should therefore be reserved for ribbed seeds showing the anatomical features described by Renault and Zeiller: its application to Sternberg’s species is inadvisable on the ground that we have no information with regard to the morphological nature of the ribbing. More recently Arber[1054] has proposed the name Platyspermum, a name previously applied to a Cruciferous plant, for Stephanian and Permian seeds formerly assigned to Berger’s genus Rhabdocarpus, which are symmetrical in two planes. In this genus he includes Platyspermum sulcatum and among other species P. Kidstoni founded on a seed originally identified by Kidston[1055] as Rhabdocarpus multistriatus Sternb. which, though probably a distinct species, is of the same general type as C. sulcatus Sternb.
The cast represented in fig. 506, A, from the Middle Coal Measures of Yorkshire is 3·5 cm. long and has 18 regular longitudinal363 ribs: it is radially symmetrical and does not conform in this respect to Arber’s definition of Platyspermum. In many cases, e.g. the flattened seed figured by Kidston as Rhabdocarpus multistriatus, it is impossible to determine the symmetry of the seed. The old generic name Carpolites, Carpolithes or Carpolithus has been used in a very wide sense and does not connote any well-defined features; it should be reserved, in the form Carpolithus as used by Linnaeus, for seeds that cannot be assigned to a systematic position or which do not exhibit any distinctive characters worthy of emphasis by the institution of a special name. The generic term Holcospermum, recently proposed by Nathorst[1056], is a suitable name for this type of seed; as defined by the author, it includes seeds that may be radiospermic or platyspermic. Specimens of the type-species, H. dubium[1057],from the Lower Carboniferous beds of Spitzbergen, agree closely in size and shape with some examples of Rhynchogonium and Boroviczia, but they are distinguished by prominent ribs extending the whole length of the cast. In some seeds similar to H. sulcatum the ribs form sharp ridges, but the difference between rounded and sharp ridges is often determined by the method of preservation: a specimen deprived of its outer flesh would form a cast more sharply ribbed than a seed in which the sarcotesta had been moulded on to the ribbed sclerotesta. On the other hand some ribs are formed by blunt sclerotestal folds as in Colpospermum: both types of ribbing are included in the genus Holcospermum.
This generic name was instituted by Williamson[1058] for a petrified seed from the Coal Measures of Lancashire which he named Malacotesta oblonga: the type-specimen is a small seed 6–7 mm. long characterised by a thick fleshy integument. The structure is however insufficiently known to admit of a satisfactory comparison of the imperfectly preserved specimen figured by Williamson with other types.
364
Nathorst[1059] founded this genus on a single seed from the Lower Carboniferous plant-beds of Spitzbergen which exhibits features sufficiently distinctive to justify its recognition as the type of a separate genus.
Thysanotesta sagittula Nathorst. The type-specimen is a long and narrow seed, 20 mm. long, ovate below and prolonged apically into a slender beak, 8 mm. in length, which probably represents a micropylar tube; the beak bears numerous stiff hairs (fig. 506, F). The seed closely resembles a carpel of Erodium without the horizontal part of the awn. There is no evidence as to the nature of the parent-plant but the species affords an interesting example of a Palaeozoic seed apparently adapted for wind-dispersal, or possibly the bristles may have served the same purpose as in the fruits of Erodium. Attention is called elsewhere[1060] to the frequent resemblance of Palaeozoic seeds such as Thysanotesta to fruits of recent flowering plants.
Nathorst[1061] has pointed out that this generic name was employed by Linnaeus for fossil fruits: in the form Carpolites (Sternberg) or Carpolithes[1062] it has been widely used and differently defined by authors, usually in a comprehensive sense including fossil seeds from both Palaeozoic and Mesozoic strata which cannot be assigned to a definite position in the plant-kingdom. It is desirable to adopt some designation for seeds from strata of different ages which do not exhibit any features sufficiently distinctive to justify the creation of a special genus. By employing such a name as Carpolithus, without attempting to define its characters within prescribed limits, for casts or impressions of seeds which are not distinguished by any striking characters and cannot be allocated to any particular section of seed-bearing plants the unnecessary multiplication of generic titles is avoided: when any additional data are obtained differentiating particular types from other forms of Carpolithus the provisional term should be superseded by some distinctive generic name. Among seeds from the Coal Measures 365there are several examples of both large and small types without any regular ribs or lacking such features as serve to distinguish the genera already described, which are appropriately included in Carpolithus. The two species Carpolithus Wildii Kidst.[1063] and C. bivalvis Goepp.[1064] are two examples of seeds from Upper Carboniferous rocks which it is desirable to refer to this comprehensive genus pending further discoveries as to their morphological features. The Jurassic species C. conicus Lind. and Hutt.[1065] is another type which it has been customary to include in Carpolithus.
The generic name Microspermum has recently been proposed by Arber[1066] for some Westphalian seeds described by Carpentier[1067] from the North of France as Carpolithes? samaroides and for similar fossils from the Middle Coal Measures of Nottingham. The supposed seeds are small, ovate or pyriform bodies, 5–12 mm. long and 2·5–6 mm. broad, with one extremity broadly rounded and the other acute: one side is keeled, the other grooved, and a large foramen occurs near the broader end and on the grooved surface. Arber emphasises the fact that the specimens are symmetrical in one plane only. As the author of the genus points out the morphological nature of the fossils is not thoroughly established, nor is the parent-plant known. In view of the ill-defined characters of the specimens so far discovered it is hardly desirable to institute a new generic name implying their seed-nature; moreover Microspermum has previously been employed for a genus of Compositae. An examination of specimens leads me to doubt their seed-nature and it would seem more likely that they are foliar organs, possibly bracts which originally bore seeds or sporangia.
An examination of some of the specimens of supposed Permian seeds for which Geinitz[1068] proposed the generic name Guilelmites convinced me that they are inorganic structures, probably nodules in shale smoothed and rounded by slickensiding.
The term Cycadophyta, suggested by Nathorst[1069], is used in a comprehensive sense to include both recent Cycads and the much larger number of extinct types which it is customary to speak of as Cycadean plants or fossil Cycads. The designation ‘Cycads’ in the case of the majority of the fossil forms is, however, open to criticism on the ground that they differ too widely from existing genera to be associated with them in one class. It would be pedantic and inconvenient to give up the almost universal practice of extending the term Cycad beyond the limits defined by the characters of recent species. The important point is to adopt some classification which gives expression to our views as to the degree of affinity between recent and extinct types. In a considerable number of cases, especially impressions of presumably Cycadean fronds and stems that occur without any fertile shoots, it is impossible to determine the degree of relationship to modern types. It was with a view to a rational group-designation for such fossils that Nathorst proposed the term Cycadophyta, including in it the two classes Cycadales and Bennettitales. The Cycadales comprise the recent genera and such extinct types as may legitimately be included in the same class, but as we shall see later there are hardly any fossil species that can be assigned to this section on thoroughly satisfactory grounds. The term Bennettitales is used by Engler, Nathorst, and several other authors as a class-designation for a large number of Mesozoic Cycads agreeing in their more important morphological characters with the Lower Cretaceous stems on which Carruthers[1070] founded 367the genus Bennettites, placing it in a new tribe, the Bennettiteae. Some authors have followed Carruthers in the use of the family-name Bennettiteae for a subdivision of the Cycadales equal in rank to the Cycadaceae, while others, wishing to give greater emphasis to the difference between the extinct and recent plants, prefer to adopt the class-name Bennettitales. Carruthers regarded Bennettites as occupying the same position in relation to other Cycads as Taxus holds with regard to the cone-bearing members of the Coniferae. The adoption of Bennettitales is intended to convey the impression that the class is more distantly related to the recent Cycads than is implied by the analogy of Taxus. Nathorst[1071], as the result of his discovery of certain reproductive organs associated with some Rhaetic fronds described as Dioonites spectabilis, proposed a third subdivision, the Dioonitales, but he subsequently[1072] restored the fronds to their original designation Nilssonia pterophylloides, and on further examination found that the supposed microspore-bearing organs were seeds. Nilssonia pterophylloides would therefore find a more natural place in the class Nilssoniales instituted by Thomas[1073].
In 1827 Buckland[1074] proposed the generic name Cycadeoidea for some petrified stems from the Purbeck beds in the Isle of Portland and published a description of two species, Cycadeoidea megalophylla and C. microphylla. Brongniart[1075] considered Buckland’s term Cycadeoidea inappropriate and proposed in its place Mantellia, the type-species being Mantellia nidiformis Brongn., the Portland stem which Buckland a month or two later called independently Cycadeoidea megalophylla. Subsequently Brongniart[1076] withdrew Mantellia as it had been previously used by Parkinson for a sponge and substituted Cycadites. Some years later Carruthers[1077] revived Mantellia for a type of Cycadean stem from Portland 368though one species, apparently indistinguishable from those referred to Mantellia, he named Bennettites portlandicus. There is no adequate reason for the retention of the generic name Mantellia. The close resemblance of the short and thick stems (12–30 cm. in height) described by Buckland to those of some recent Cycads was recognised by Robert Brown and Loddiges and the former suggested to Buckland the inclusion of the fossils in a new family Cycadeoideae. It was this suggestion that led Buckland to adopt Cycadeoidea as a generic name. In a later account of the Portland stems Buckland[1078], in deference to Brongniart’s opinion, substituted Brongniart’s name Cycadites for Cycadeoidea. It is noteworthy that no reference is made in the original description to the occurrence of lateral shoots among the persistent petiole-bases that encase the Portland stems, but in a later account such shoots are represented in one of the figured stems and are compared with the buds occasionally produced on stems of Cycas[1079]. The subsequent researches of Carruthers[1080] demonstrated the reproductive nature of precisely similar lateral shoots in the stem on which he founded the genus Bennettites. The generic name Echinostipes given by Pomel[1081], who had a passion for instituting new nomenclature, to Buckland’s Portland stems has not been adopted: his genus Crossozamia proposed for certain stems and fronds was revived by Carruthers[1082] but has not been generally used. A further complication in the nomenclature of Cycadean stems was introduced by Saporta’s institution[1083] of Bulbopodium and Cylindropodium: in the former genus he included the small ovoid stem figured by Lindley and Hutton as Cycadeoidea pygmaea[1084] and two French Jurassic species which might reasonably be assigned to Cycadeoidea. To Cylindropodium were referred some large French stems from Jurassic strata: an examination of the type-specimens in Paris convinced me that they are typical forms of Cycadeoidea. As Ward[1085] has pointed out, both Saporta’s genera may be merged in Cycadeoidea. Fliche and 369Zeiller[1086] also include the small globular stems named by Saporta Bulbopodium in the older genus Cycadeoidea: one such type from the Portlandian of Boulogne is described by these authors as Cycadeoidea pumila. Saporta also proposed the name Platylepis[1087], the type-species being Cycadeoidea micromyela Mor., from the Lias of Calvados, which has recently been investigated by Lignier[1088] who wisely adopts Morière’s designation. Another unnecessary generic name is Schizopodium given by Morière to a stem, S. Renaulti[1089], regarded by Lignier as indistinguishable specifically from C. micromyela.
The two names Cycadeoidea and Bennettites have been used by authors for stems which are unquestionably generically identical and as is often the case much confusion has been caused through the failure of palaeobotanists to arrive at an agreement. Lester Ward, a staunch advocate of the rule of priority, repeatedly pointed out that Buckland’s name Cycadeoidea should take precedence of Bennettites on the ground that stems for which these genera were instituted are clearly of the same type, and he added that the older genus, though abandoned by its author, cannot be given up without violating the inexorable rules of priority. On the other hand it has been urged that the genus Bennettites as defined by Carruthers is characterised by the possession of (i) fertile shoots bearing strobili and (ii) vegetative organs exhibiting certain anatomical characters. Buckland’s species of Cycadeoidea, though bearing lateral shoots, are not well enough preserved to afford definite information as to the morphological features of the strobili, nor have we satisfactory data with regard to the degree of resemblance between the vegetative features of Bennettites and the Portland stems. Carruthers laid stress on the elliptical section of the stele in Bennettites in contrast to the cylindrical cylinder of Buckland’s Cycadeoidea trunks. Subsequent research has shown that this difference is not in itself a valid criterion either of generic or specific rank but, as Wieland says, it is an open question to what extent the stem structure of Cycadeoidea and Bennettites agrees. The probability is that were our knowledge of the Portland stems less incomplete, they would 370be found to possess no anatomical features inconsistent with this generic union. Granting the correctness of this view, the adoption of the later generic term would be a reasonable course to follow on the ground that it stands for stems showing well preserved structure, while Cycadeoidea was in the first instance applied to stems showing only partially preserved stumps of strobili, and the name was not retained by its author. Graf Solms-Laubach[1090] and some other authors have used Bennettites for Cycadean stems possessing strobili of known structure such as those of Bennettites Gibsonianus, reserving Cycadeoidea for similar stems but without strobili sufficiently well preserved to afford evidence of morphological characters. This practice I followed in 1895[1091], but my usage of the two generic names has not been consistent, the name Cycadeoidea being afterwards employed[1092] in a more comprehensive sense. The investigation of the reproductive shoots of American Lower Cretaceous and Upper Jurassic Cycadean stems[1093] has demonstrated the practical identity of their ovulate strobili with those of the English Bennettites. It is clear that the American stems as well as numerous specimens from Italy and other European localities are generically inseparable from Bennettites. The adoption of Cycadeoidea by Wieland, following Ward, has naturally strengthened the claim of Buckland’s genus at least so far as wide usage is concerned, and with some reluctance I propose to fall in with this terminology and for the sake of convenience to give up the use of Bennettites. Among Mesozoic Cycadean stems agreeing with those of recent genera in habit and in the presence of an armour of persistent leaf-bases are several which afford no evidence either of the occurrence of fertile shoots or of lateral shoots with terminal flowers. To such stems the name Cycadeoidea has been applied, the designation Bennettites being restricted to stems with lateral fertile shoots: this practice of treating the absence of reproductive shoots as a characteristic feature of Cycadeoidea is regarded by Wieland as illogical and artificial; and if, as seems probable, he is correct in believing that the majority of the Mesozoic Cycadean plants culminated their vegetative period by prolific development of flowers, the absence of flowering 371branches would be contingent on a certain stage of development and not a generic character. Dr Stopes[1094] has recently published facts with regard to the anatomical features of Cycadean stems which have a bearing on the vexed question of nomenclature, but are more important from a morphological point of view as they indicate a closer agreement between certain types of Lower Cretaceous stems and those of Cycas and other recent genera, in which successive rings of vascular tissue are developed, than has previously been recognised. In her diagnosis of Cycadeoidea she includes the following statement: ‘In its internal anatomy the trunk shows two or more (up to eight are recorded) zones of secondary wood, the zones composed of distinct series of tracheids each more or less regularly arranged in radial sequence.’ It is claimed that the addition of this character constitutes for the first time a clear distinction between Cycadeoidea and Bennettites. Dr Stopes states that the two stems on which Buckland founded the genus Cycadeoidea are lost and adds that Buckland’s type has certain anatomical features which are not found in Bennettites. Buckland in his description of C. microphylla states that there are ‘two laminated circles’ in the stem instead of the usual single cylinder, a character suggestive of Cycas. In the original figure of this species there are no indications of any lateral fertile shoots though, as Dr Stopes says, many of the Portland stems undoubtedly possessed such flowers. This author makes no reference to Buckland’s later description of C. microphylla: in this it is stated that the stem bears numerous buds rising from the axillae of petioles, and these are shown in the illustration[1095]. Without access to the actual specimen it is impossible to say whether or not the two ‘laminated circles’ described and figured by Buckland[1096] are two distinct cylinders or parts of one cylinder separated by the infiltration of some inorganic substance. In his description of Cycadeoidea Yatesii Carruthers spoke of the occurrence of two cylinders of wood, and this was confirmed in a subsequent account of the type-specimen[1097]. Dr Stopes gives a fuller account of Carruthers’ type and re-confirm a the existence of two vascular 372cylinders; she also describes a new species, C. buzzardensis[1098] (fig. 578), in which there are 3–8 or more cylinders. Neither of these stems affords any evidence of the possession of fertile shoots; they agree closely with stems of the Bucklandia type in their comparatively slender habit and differ in this respect from Buckland’s Portland species. The occurrence of more than one vascular cylinder in the stems Cycadeoidea (= Bucklandia) Yatesii and C. (= Bucklandia) buzzardensis suggests the possibility that this feature was characteristic of other species included in Bucklandia.
It is clear that some at least of the stems referred to the genus Bucklandia bore flowers of the Williamsonia type[1099], and it is not improbable that the stems described by Dr Stopes as Cycadeoidea Yatesii and C. buzzardensis (fig. 578) possessed fertile shoots comparable with those of the Middle Jurassic species W. gigas. Dr Stopes’s contribution, while establishing a close agreement in anatomical features between some Lower Cretaceous stems and those of Cycas, does not warrant the further conclusion that these stems were in other morphological characters closely allied to modern Cycads. The main features of Cycadeoidea may be summarised as follows: The principal trunk is generally unbranched (fig. 507) and identical in habit with some species of Macrozamia, Dioon, and Encephalartos (cf. figs. 379, 382); in some species, e.g. Cycadeoidea Marshiana, C. superba[1100], C. nana[1101], the plant is represented by several approximately equal, thick, tuberous stems, in some cases easily separated from one another: a similar clustered habit is exhibited by certain forms of Encephalartos. The size of a Cycadeoidea trunk varies from a few centimetres in length with a diameter of similar dimensions, as in C. pumila, to over a metre long as in C. gigantea (fig. 535), or as much as 3–4 metres in C. Jenneyana with a diameter of about half a metre. The surface is covered with persistent leaf-bases, exactly as in many recent Cycads, embedded in a thick mass of ramental scales which often stand out as a prominent reticulum, the petioles having partially decayed before the penetration of the mineralising solution through their harder tissues 374(fig. 507). On the conical terminal bud preserved in some stems (fig. 536) the foliage-leaves are replaced by linear scales. The leaf-bases often show the vascular bundles which form a simpler system than in the majority of recent species, their arrangement being, as Wieland says, more Fern-like; they form a series of collateral strands following the outline of the petiole-base[1102] with a U-shaped invagination in the middle of the upper face (fig. 517, A). Beyond the structure of the bundles at the base of the fronds and in the cortex of the stem our knowledge of the anatomy of the vascular supply of the rachises is very meagre. At the petiole-base each bundle consists either entirely of radial rows of centrifugal scalariform tracheids and medullary rays usually one-cell broad (fig. 519, B) or of centrifugal and centripetal xylem in varying proportions. The ground-tissue is well supplied with large secretory canals and in the larger leaf-bases there is a considerable development of periderm at the surface (fig. 517, B) as in recent Cycads. The ramenta formed from the epidermal cells consist in most species of fairly broad scales one-cell thick at the edges and broader in the middle; in Cycadeoidea nigra[1103] they are generally one-cell thick throughout and similar ramenta are common in C. Gibsoniana (fig. 517, B). In C. micromyela unicellular hairs replace the scaly ramenta, but transitional forms occur between hairs and scales. In Williamsonia scotica (fig. 562) and in an Indian species of that genus the ramenta are exclusively long hairs as in recent Cycads, the scale-form of the ramenta in Cycadeoidea being a Fern-character. The degree of development of the ramental tissue varies in different species; in C. Stilwelli and C. excelsa it is feebly developed while in Cycadeoidea micromyela the ramenta almost cover the exposed leaf-base armour. The exceptional abundance of the ramental scales is a striking characteristic of some American stems referred to a separate genus, Cycadella[1104]. In the abundance of the ramental tissue, in the compact structure of the well protected cones, and in the thickly cuticularised epidermis of the bracts and leaves Cycadeoidea exhibits xerophilous characters in a very high degree.
375
With very few exceptions the stems of Cycadeoidea so far described afford no satisfactory evidence of the presence of more than one vascular cylinder in the main stem: in this respect Cycadeoidea agrees with such recent Cycads as Dioon, Ceratozamia, and Stangeria. In the stem of C. Jenneyana the secondary vascular tissue reaches a considerable thickness and shows signs of ‘rings’ in the xylem, but these are probably the result of some periodic interference with the uniform growth and not an indication of more than one xylem-cylinder. The secondary xylem (figs. 508, 509) consists only of centrifugal tracheids with some spiral elements on the inner edge; though manoxylic, Cycadeoidea 376has more compact wood than that of recent Cycads; the medullary rays are 1–2 cells broad except near the perimedullary region where they are broader and the individual cells are tangentially stretched (fig. 508, B). The tracheids are scalariform, but in C. micromyela, an exceptional type, some of the xylem-elements have 1–2 rows of separate bordered pits (fig. 538). The phloem (fig. 518, B) is characterised by an alternation of thick-walled elements and thinner cells[1105]. From the main stele branches are given off to supply the flowering shoots in the form of a cylindrical stele like that of the primary axis, and each leaf-trace arises as a single bundle which, in the form of a U-shaped strand (fig. 519, A), 377pursues a straight course to the leaf-base (fig. 510) where it breaks up into several branches (fig. 538, B). Both leaf-trace and peduncle stele are given off from the lower edge of a medullary ray. In the parenchymatous cortex large secretory canals (fig. 518, B) are a conspicuous feature, and accessory cortical 378steles similar to those in Cycas occasionally occur (fig. 511). The large pith consists of parenchyma and secretory canals, and internal periderm[1106] may be present; no medullary bundles have been discovered.
The correlation of the numerous fronds[1107] preserved in Mesozoic strata with their parent-stems is seldom possible. It is known that leaves of the Zamites type were borne on stems (Bucklandia) agreeing with Cycadeoidea in certain features but 379differing in the habit of the fertile shoots (fig. 542), and there is evidence that similar stems bore Ptilophyllum and Dictyozamites fronds[1108]; but only unexpanded leaves have been found in actual connexion with Cycadeoidea stems. Wieland[1109] discovered young pinnate fronds, agreeing in the form of the pinnae with Zamites and with some forms of Encephalartos, embedded in a thick mass of ramental scales in the terminal bud of a stem: the rachises were erect and the two-ranked pinnae imbricate and folded inwards (fig. 512), the vernation being like that of Dioon and not circinate as in Cycas and Ferns. The mesophyll of the leathery pinnae is differentiated into palisade and lacunar parenchyma, and the bundles are said to be ‘mesarch’ though on this point more information is desirable. Each bundle is surrounded by a sheath of thick-walled cells and the same tissue forms I-shaped girders as in similar recent leaves. In one species, Cycadella ramentosa[1110], the rachis of a young frond found among the leaf-bases had a broad U-shaped vascular strand.
In most Cycadeoidea stems a characteristic feature is the occurrence of reduced leaves, or bracts, arranged spirally about a cone which sometimes projects slightly beyond the general level of the persistent leaf-bases, or the cones may be fully developed yet still more or less hidden within the armour of petiole-bases (fig. 517, C). These cones, or flowers, are borne at the apex of lateral axillary shoots, and it is characteristic of the genus that they never project more than a very short distance beyond the truncate stumps of the old leaf-bases. The axis of a flowering branch bears numerous linear, hairy, bracts (figs. 513; 514, b) which with their thick felt of ramenta constitute an efficient protective investment. The summit of a fertile shoot forms a rounded hemispherical cushion (fig. 514), or the receptacle may be more elongate and conical (fig. 513) and in some species pyriform[1111]. The flowers are generally bisporangiate, but the fact that in flowers with mature microsporophylls the ovules are small and apparently immature (fig. 513) makes it difficult to determine whether the megasporophylls are merely immature or functionless as in the male flower of Welwitschia (cf. fig. 818). It would 380seem, however, that in most cases the flowers were bisexual[1112] (fig. 513). A remarkable feature is the enormous number of flowers on a single stem; in Cycadeoidea Dartoni[1113], 54 cm. long and 35 cm. broad, 500–600 flowers were counted on one side. On the other hand the large stem of C. gigantea (fig. 536) shows no flowers. All the flowers on a single trunk are approximately in the same stage of development: it would seem, as 381Wieland points out, that after a vegetative period of some considerable duration the plant produced a large crop of flowers, and it is conceivable that as in Corypha and some other recent Flowering plants this supreme effort set a limit to the plant’s existence. In the development of flowers from the old stem Cycadeoidea affords a striking example of cauliflory.
382
The structure of the flowers is one of the most obvious differences between Cycadeoidea and recent Cycads (cf. figs. 393, 394). The bisexual flowers of the fossil stems are comparatively small, not exceeding a few centimetres in length, like a hen’s egg or a medium-sized pear and in marked contrast to the male and female cones of modern Cycads (cf. figs. 393, 394). A verticil of pinnate microsporophylls is attached by a circular collar formed of the concrescent bases of the sporophylls to the lower portion of the receptacle; each pinnule bears several shortly-stalked synangia divided into loculi containing microspores usually with smooth walls and similar, except in their larger size, to those of modern Cycads (fig. 532). Sections of some microspores figured by Wieland[1114] show what appear to be cells in the spore-cavity, but they are larger than ordinary prothallial cells and their true nature is doubtful. We lack information both as regards the nature of the male gametes and the tissue formed on the germination of the spores. The free portions of the microsporophyll-whorl may consist of as many as 20 pinnate sporophylls, but the number is generally smaller; these are much longer than the ovulate part of the flower and in an immature state the ends of the sporophylls are bent inwards and downwards (fig. 513) between the bracts and the receptacle. After expanding and shedding the spores the whole male disc is thrown off leaving a narrow rim below the hemispherical or conical receptacle (fig. 514, d). The sterile distal end of a microsporophyll is generally slightly expanded and spathulate; in C. colossalis[1115] it bears a pair of wing-like appendages (fig. 533).
The upper part of the receptacle is covered with two kinds of organs which together form a layer of uniform depth; these are believed to be homologous, foliar structures; the majority are sterile and have the form of slender long and narrow appendages (fig. 514) each normally with a single axial vascular strand. These so-called interseminal scales increase in breadth in the apical region and form polygonal summits less than a millimetre in breadth or exceeding 2 mm. The low pyramidal apices of the interseminal scales give a mosaic-like appearance to the surface of the ovulate receptacle (fig. 515). In the lower part of the receptacle these sterile 383sporophylls are the only appendages, but over the greater part of the receptacle they are intermixed with a smaller number of similar appendages which bear a single terminal orthotropous ovule (fig. 514, s). Each ovule-bearing organ or megasporophyll (seed-stalk) is surrounded by 5—6 interseminal scales, and the narrow cylindrical micropylar tubes are readily distinguished from the sterile sporophylls in surface-view (figs. 516, 564). The seeds appear to be exalbuminous and the embryo is dicotyledonous (figs. 516, 521, 523)[1116]. The seeds are very small in comparison with those of living Cycads. The structure of the megasporophylls, both sterile and fertile, is described in more detail in the account of Cycadeoidea Morierei and other forms. Fig. 516 represents a longitudinal section of one of the smallest seeds of Cycadeoidea, between 3 and 4 mm. long; an embryo occupies the 384greater part of the seed-cavity: the micropylar tube is formed of three layers, a strong inner palisade-layer, a thin middle layer, and an outer palisade-tissue, the interior of the tube being filled with parenchyma; at the shoulder of the seed above the root-end of the embryo the surface of the testa is characterised by 5–6 wings formed by the radial extension of palisade-cells. After the shedding of the spores and the abscission of the microsporophylls the flowering shoot probably increased slightly in length, thus pushing the ripening seeds beyond the ends of the surrounding leaf-bases. The ripe flowers were eventually cut off by an absciss-layer immediately below the receptacle (figs. 521, C, a; 522, a), large cup-like depressions being left on the surface of the stem (fig. 534). The ovulate cone on which the species Cycadeoidea Morierei is founded probably represents the condition of a naturally detached flower of a Cycadeoidea. It is possible that the detached flowers freed from their encircling bracts may have been edible, the small seeds being dispersed by animal agency.
The splendid petrified stem, Cycadeoidea etrusca Cap.[1117], one of the treasures of the Bologna Museum, was found on a tomb 20 miles west of that city where it was doubtless placed by the Etruscans who obtained it from the Upper Jurassic scaly clays in the Apennine Hills. It was in an imperfectly preserved flower of this fossil that Graf Solms-Laubach discovered some microspores, but it was not until Wieland’s examination of the more complete American stems that information was obtained as to the spore-bearing organs. Another Italian stem, Cycadeoidea montiana Cap., was described in 1753 as a ‘congeries of barnacles[1118].’ The specimen named by Goeppert Raumeria Reichenbachiana385[1119] was described in the middle of the eighteenth century as a mass of Hippurites or coral cups: this was found in a swamp in Galicia and is now one of the most striking objects in the Dresden Museum; a brief account of it is given on page 409. In 1859 Tyson discovered two large trunks in the Potomac beds of Maryland for which Fontaine subsequently proposed the name Tysonia marylandica[1120], but as Ward pointed out the species is clearly a Cycadeoidea (fig. 507). In 1894 Lester Ward[1121] recorded several additional stems from Tyson’s locality. It is, however, from the Black Hills of Dakota, an isolated spur of the Rocky Mountains, formed of older rocks encircled by Lower Cretaceous strata[1122], that the greatest number of Cycadean trunks have been obtained: the magnificent collection now in the Yale Museum is largely due to the energy and munificence of the late Prof. Marsh. From the Upper Jurassic beds in Carbon Co., Wyoming[1123], several stems have been collected, and a preliminary study of their external features led Ward to institute 20 species of a new genus Cycadella. Stems have also been discovered in the Freezout Hills of Wyoming and additional specimens have been found in the Potomac formation of Maryland. The discovery of over 1000 specimens of Cycadean stems in the Lower Cretaceous and Upper Jurassic beds of a few localities in the United States bears striking testimony to the abundance of these extinct Gymnosperms during the latter part of the Mesozoic era. It is perhaps true that, as Lester Ward wrote, ‘Cycads are to the vegetable kingdom what Dinosaurs are to the animal, each representing the culmination in Mesozoic times of the ruling Dynasties in the life of their age[1124].’ Although the number of stems obtained from European countries is relatively small, the abundance of specimens in the Upper Jurassic strata of the Isle of Portland and Northern Italy and their occurrence in Belgium[1125], France, Germany, Austria, Poland, India and elsewhere, together with an abundance of Cycadean fronds in practically all Jurassic and Lower Cretaceous plant-bearing beds, demonstrate the dominant position of the Bennettitales.386 The occurrence of the genus Williamsonia in many European localities as well as in India, Afghanistan, and other countries, and the not infrequent occurrence of stems assigned to Bucklandia, Yatesia, Cylindropodium, and other genera furnish evidence of the rich development of the Bennettitales in later Jurassic and Lower Cretaceous floras. Wieland’s recent discovery[1126] of numerous Cycadean fronds, Williamsonia flowers, and stems in Liassic rocks in Mexico shows that the group had already assumed an important position in the early part of the Jurassic period.
The memoir by Carruthers[1127] on British Cycadean stems contains the first account of the morphological features of Bennettitalean flowers based on petrified material. In 1891 Solms-Laubach contributed an important paper on the Bennettitean flower and several years later Lignier[1128] contributed additional data derived from a careful study of a well preserved strobilus[1129] from the Gault of Normandy. Wieland’s researches[1130] added very greatly to our knowledge, particularly with regard to the morphology of the microsporophylls. Among the earlier descriptions of the reproductive organs of the Bennettitales is Buckland’s account[1131] of a specimen from the Inferior Oolite of Charmouth, Dorset (fig. 560), which he referred to the genus Podocarya (= Williamsonia Bucklandi[1132]): a thorough examination of the type-specimen, which unfortunately cannot be found, would probably furnish many important facts.
These two species serve to illustrate the type of stem for which Carruthers instituted the tribe Bennettiteae and the genus Bennettites. Bennettites Gibsonianus is the most important of the five species described by Carruthers[1133], as it was from its fertile shoots that information was first obtained as to the nature of the ovulate strobili of the Bennettitales. B. Saxbyanus[1134], originally described 387as Cycadites Saxbyanus from a specimen found by Mr Saxby at Bonchurch in the Isle of Wight and represented by Wealden examples from Brook Point, is chiefly interesting for the clear preservation of the anatomical features of the stem. Three other species were also described by Carruthers; they are: Bennettites maximus Carr., a large stem similar to B. Saxbyanus, in the Museum of the Geological Survey; B. portlandicus from the Lower Purbeck of the Isle of Portland, in the collection of the Geological Society; and B. Peachianus, a piece of a compressed stem, in the British Museum, from the Upper Jurassic of Helmsdale in N.E. Scotland.
This species was founded on a petrified portion of a large stem of Lower Greensand age discovered by Mr Gibson in Luccomb Chine in the Isle of Wight: the type-specimen is represented by pieces of the original block in the British Museum and in one of the Museums at the Royal Gardens, Kew. The following 388description is based partly on the published accounts and in part on an examination of sections in the British Museum, the Manchester University Museum, and in Dr Scott’s collection.
The elliptical form of the stem and vascular cylinder as seen in transverse section, regarded by Carruthers[1135] as a feature characteristic of the genus, has no morphological significance and is in part at least due to compression. In the large pith, the armour of persistent petiole-bases separated by dense ramental scales (fig. 517, A, B), and in habit, Cycadeoidea Gibsoniana agrees generally with the stems of many recent Cycads, but the resemblance of the vegetative organs is in marked contrast to the differences exhibited by the reproductive shoots. The pith consists of parenchyma with scattered secretory ducts but no medullary vascular bundles. In the pith of Cycadeoidea Peachiana there are patches of tissue superficially resembling vascular strands, but these are probably bands of internal phloem like those described by Solms-Laubach[1136] in some Italian stems. In none of the English stems are there any clear indications of the occurrence of more than one cambium in the stele. The secondary xylem is entirely centrifugal with some smaller crushed elements, presumably protoxylem, at the inner edge where the medullary rays are especially broad. The xylem is of the manoxylic type (fig. 518, A) as in recent Cycads; though the medullary rays, 1–2 cells broad, are rather smaller than in recent species. The tracheids are scalariform as in Stangeria (fig. 397). As in recent Cycads there is a broad cylinder of secondary phloem (fig. 518, B)[1137] composed of alternate layers of thick-walled and thinner elements—sieve-tubes and parenchyma: traces of lateral sieve-plates occur on some of the elongated elements. Each leaf-trace arises as a single strand from the lower edge of a mesh formed by the large inner end of a medullary ray: on emerging into the inner cortex the trace has the form of a U-shaped strand (fig. 519, A, lt) which passes direct to the petiole, following a steeply ascending course in Cycadeoidea Saxbyana and almost horizontal in C. Gibsoniana. Before entering the base of a leaf the trace breaks up 390into several collateral strands and these form a simple pattern as seen in a tangential section of the leaf-bases (fig. 517, A, C), the central bundles on the upper side forming a U-shaped involution. There is no indication of any girdling of the foliar bundles. The arrangement of the petiolar bundles is simpler and more Fern-like than in the majority of existing Cycads. Each vascular bundle consists in the petiole-base mainly of centrifugal secondary xylem and medullary-ray tissue (fig. 519, B); a group of centripetal tracheids is usually recognisable internal to the protoxylem: the structure is of the mesarch type with a variable amount of centripetal xylem, and agrees generally with that in recent Cycads.
The comparatively narrow cortex is composed of parenchyma with scattered secretory sacs (fig. 518, B, s), and occasionally an elliptical vascular strand (fig. 511) is present which is probably cauline as are the similar strands in Cycas. The persistent petiole-bases are covered with ramental scales which form a dense interfoliar packing: these frequently consist of a single layer of fairly thick-walled cells or, as seen in transverse section, of spindle-like scales one-cell thick at the edges and 2–3 cells broad in the middle (fig. 517, B).
391
The presence of fertile shoots, presumably axillary, is one of the most striking features of Bennettitean stems. The branching is monopodial and not sympodial as in most recent Cycads. The nearest approach to the method of branching in Cycadeoidea is afforded by some stems of Macrozamia recently described by Chamberlain[1138]. It is not improbable that some of the flowering branches of Cycadeoidea were branched. Solms-Laubach[1139] states that he observed certain characters in the secondary axes of Cycadeoidea Gibsoniana which led him to suspect that there may have been fascicled systems of fertile shoots emerging in a body or in close proximity to one another between the leaf-bases of the stem. An example of a branched flowering shoot is described in Williamsonia scotica[1140]. A fertile shoot agrees in structure with the main axis and Scott[1141] states that the phloem is particularly well developed, a feature by no means unusual in fertile branches. These lateral shoots (fig. 514) bear numerous linear bracts each with three collateral vascular bundles, and ground-tissue composed of thick-walled cells characterised by scalariform pitting (fig. 520): secretory sacs are abundant. The hypodermal stereome is especially developed on the inner face of the bracts. The apex of a lateral shoot has the form of a rounded cushion (figs. 514; 521, A, C) similar to the receptacle of many Composites, and on this are borne the sporophylls. It is characteristic of Cycadeoidea that the flowers project very slightly beyond the surface of the stem and the peduncles are not exposed except in tangential sections through the leaf-base armour (fig. 517, C, 1, 2). On the fall of the flower or ripe ‘fruit,’ which is effected by an absciss-layer (figs. 521, C, a; 522, a), a cup-like scar is left on the stem (cf. fig. 534). This method of flower-production suggests comparison, mutatis mutandis, with the phenomenon of cauliflory in 392certain recent Flowering plants; it is one of the distinguishing features between Cycadeoidea and stems bearing longer fertile shoots with flowers of the Williamsonia type.
Fig. 517, C, shows a tangentially cut surface of a portion of the stem of Cycadeoidea Gibsoniana with two axillary fertile shoots; one, 1, is cut across below the receptacle and shows the axis surrounded by bracts while the other, 2, is seen at a higher level, above the receptacle, where the section has exposed the numerous 393sporophylls. The rounded surface of the receptacle is covered with a dense cluster of long slender appendages, seed-stalks and interseminal scales, the latter being much more numerous than the former (fig. 521, A, B). These organs are believed to be homologous foliar structures, the seed-stalks being megasporophylls and the interseminal scales abortive or potential sporophylls (see also figs. 562, 563). Fig. 514 shows the form of a single flower from an American stem closely allied to Cycadeoidea Gibsoniana.
The megasporophylls are more or less polygonal in transverse section: there is a central concentric vascular strand surrounded by a thick cortex (fig. 527): at its upper end the sporophyll bears a single orthotropous seed containing a dicotyledonous embryo (figs. 521, D, E; 523). The vascular strand pierces the base of the testa and expands to form a shallow cup of tracheal tissue in the chalaza; there are no bundles in the single integument. The testa (fig. 521, D, t) consists of three regions, a median layer of rather large rectangular or palisade-cells with an inner and outer tissue composed of much smaller cells. The testa is prolonged 394distally as a slender cylindrical column or micropylar tube at the base of which it becomes broader owing to the increase in breadth of the middle or palisade layer. A nucellar beak projects as a cone into the base of the micropylar tube. No pollen-chamber has been found. It is noteworthy that the micropyle is closed in the ripe seeds. Internal to the testa there is a crushed membrane separated from the embryo by a space (fig. 521, D, sp): this is the remains of the nucellus and, as Solms-Laubach points out, there is no proof that any endosperm was present in the ripe seeds[1142]. The embryo consists of a short axis, the conical radicle and the very short apex of the epicotyl, also two equal cotyledons each with a few vascular bundles (fig. 521, D). The long interseminal scales, as seen in transverse section in the lower part of a flower between the sporophylls, appear as compressed polygonal organs (fig. 521, B, i) with an axial vascular strand surrounded by parenchyma and limited by a strong epidermis; they pass up between the seed-stalks, m, and in the distal end become considerably enlarged (figs. 514, 515), gradually expanding to form a truncate or slightly pyramidal apex (figs. 553, 563). The swollen peltate apices of adjacent scales form a continuous covering to the flower interrupted, except in the lower sterile part of the flower, by symmetrically disposed cylindrical micropylar tubes (fig. 515). The peripheral interseminal scales form a homogeneous parenchymatous tissue which springs from below the edge of the receptacle (fig. 521, A, B, pr) and the individuality of the scales composing this ‘pericarp’ is indicated by occasional invaginations 395of the epidermal layer which marks the boundary of the polygonal areas. The structure of the megasporophylls and scales is more fully described in the case of Cycadeoidea (Bennettites) Morierei[1143].
The flowers of Cycadeoidea Gibsoniana appear to be unisexual and ovulate: in view of the discovery by Wieland of numerous bisexual fertile shoots on American species of Cycadeoidea it would be reasonable to regard the apparently unisexual flowers of the English species as originally bisexual but preserved at a stage subsequent to the loss, by abscission, of the disc of microsporophylls. Fig. 514 shows a flower of an American Cycadeoidea practically identical with those of C. Gibsoniana, but the remains of the staminate disc are clearly seen at d below the swollen apex of the flowering axis. In the photograph of half of the same region in C. Gibsoniana reproduced in fig. 522 there is no indication of any similar trace of a whorl of microsporophylls. Admitting the fact that a shrivelled remnant of the persistent base of a whorl of microsporophylls might easily escape observation, it is difficult to believe that any fertile leaves ever existed in the flower represented in figs. 521, 522. It is equally difficult to regard the specimen represented in fig. 561 as other than a true unisexual (ovulate) flower.
The name Bennettites was adopted by Lignier for this species which was founded on a detached flower from the Gault[1144] of Vaches-Noires, Normandy. It was first described by Morière[1145], then by Saporta and Marion[1146], who named it Williamsonia Morierei, and it has since been thoroughly investigated by Lignier[1147]. There is no evidence as to the nature of the parent-stem though Morière suggested a possible connexion with Zamia Brongniarti Mor. (figured by Saporta[1148] as Fittonia Brongniarti) from the same locality. There can be no reasonable doubt that Bennettites Morierei was borne on a lateral branch of a stem of the Cycadeoidea type: 396it is constructed on essentially the same plan as the flowers of Cycadeoidea (Bennettites) Gibsoniana, and in both cases there is no indication of the presence of microsporophylls. The type-specimen is 5·5 cm. long and 3·5 cm. broad, ovoid, and characterised by a depressed cushion-like receptacle as in Cycadeoidea Gibsoniana. The enveloping bracts with their ramental scales agree generally in structure with those of the English species and, except as regards the ramenta, with Williamsonia scotica: numerous stomata occur on the lower surface; the ground-tissue consists of thick-walled parenchyma and the narrow pit-canals simulate the scalariform bands in Cycadeoidea Gibsoniana (cf. fig. 520). The pitted sclerous cells in the bracts of W. scotica are of the same type. There is an anastomosing system of secretory canals, also several vascular bundles like those in C. Gibsoniana but more numerous; the latter are composed of a group of phloem-elements abutting externally on fibres, a well-defined cambium, and radially disposed scalariform tracheids: internal to the protoxylem is a group of elements considered by Lignier to be centripetal xylem. From the branching and slightly divergent course of the bundles in the upper part of the bracts Lignier concluded that these organs represent the basal portions of leaves originally provided with a terminal limb. It may be that the small lateral appendages to some of the bracts of Williamsonia scotica (fig. 561, l) afford support to this view.
Megasporophylls (seed-stalks and seeds). These organs, 3–4·5 cm. long and approximately 1·5 mm. in diameter, are in most cases imperfectly preserved. In transverse section and at a level of 1 cm. above the receptacle a stalk bearing an atrophied seed shows the following features: an epidermis with very thick internal walls encloses a parenchymatous ground-tissue with an axial conducting strand. At a higher level the epidermal cells have walls of uniform thickness, and a hypodermal layer of cells with coloured contents is differentiated from the ground-tissue (fig. 524, D, ac). As the seed-base is approached the epidermal cells tend to separate from one another and divide longitudinally, the compact epidermal layer being replaced by an envelope of tubular, dissociated, cells (fig. 524, D, Et). Similar tubular elements occur in the seed-stalks of Cycadeoidea Gibsoniana. 398A fully developed seed-stalk bearing a complete seed cut across in the middle region shows the following features: a concentric vascular strand surrounded by thin-walled parenchyma and the coloured hypodermal layer (fig. 524, D, ac), the whole being enclosed in the tubular envelope of epidermal origin (Et) which is more strongly developed than in the stalks of imperfect seeds: there may be as many as 10–12 tubular cells on one radius. When traced downwards towards the receptacle the tubular envelope decreases in breadth, though the cells become more numerous and smaller, until in the immediate neighbourhood of the receptacle the tubular tissue is transformed into a compact parenchyma of large cells each of which corresponds to a group of tubes formed by the septation of the cells. Traced upwards this thin-walled parenchyma gradually passes into thick-walled tubes, and near the seed-base the tubular envelope is reduced to two layers, an inner consisting of relatively small cells with sinuous radial walls (the folded layer of Lignier) and an outer tubular layer. Lignier describes an interesting abnormality, a bifid seed-stalk enclosed in a common epidermis which he compares with the occasional branching of the seed-stalks of Ginkgo biloba.
Seeds. The seeds (figs. 525, 526), 6–7 × 2·5–3 mm., are tetragonal or pentagonal in the upper half (fig. 527, 1, 2), the angles being formed by thick but not very prominent wings of tissue (fig. 524, C, cf); they are orthotropous and have a single integument (figs. 525, 526). The tubular layer forming the outer portion of a seed-stalk near the seed-base is prolonged over the surface of the testa as a discontinuous covering in the form of isolated or small groups of tubes, giving a striated appearance to the seeds. This layer though apparently a part of the seed is derived from the neighbouring interseminal scales of which it is the epidermal layer; it consists of elongated cells and scattered stomata[1149]. The folded layer persists only in the lower part of the seed, being replaced by a layer of radially extended cells (radial layer; ar, figs. 524, C; 525, ar; 527, c) in the upper region of the seed. In the micropylar region both the tubular and folded layers undergo further change; the external, tubular, layer forms a kind of epidermis (at, figs. 524, 525), the subepidermal layer, 399consisting of the radially elongated cells (figs. 524, 525, ar; 527, c). The superficial layer assumes a different aspect in the micropylar region, its cells being thicker walled, as are also those of the subepidermal layer (fig. 524, A and B). The micropylar canal (figs. 524, 525, cm) is cylindrical in the lower part but at the apex is reduced to a long and narrow slit bounded by an internal epidermis of radially stretched cells which in the lower portion of the tube are thinner walled and isodiametric. The rest of the testa is differentiated into two regions; an outer 400fleshy region immediately internal to the folded (or radial) layer and an inner fibrous region next the nucellus, which is one-layer broad between the wings but opposite the wings it extends radially outwards across the fleshy tissue to the radial layer (figs. 524, C; 525; 527): in the winged portion of the seed this tissue forms the inner fibrous portion of the wings but in the lower part of the seed below the wings it forms a single layer of uniform breadth finally spreading out as a basal cup in the chalazal region where it is pierced by the vascular strand. The fleshy portion of the testa forms one layer in the proximal part of the 401seed and becomes several layers wide between the fibrous wings in the upper part. This fleshy tissue appears to be derived from the coloured, subepidermal, layer of the seed-stalk, while the internal parenchyma is regarded by Lignier as the equivalent of the fibrous layer of the testa. In the micropylar tube the fibrous layers are replaced by 2–3 layers of sclerous cells (fig. 524, A, B). The testa has no vascular supply: the concentric strand of the seed-stalk passes through the fibrous tissue at the base of the seed and reaches the base of the nucellus (fig. 525). The nucellar apex extends into the lower part of the micropyle (fig. 525, n), and in some cases Lignier noticed an axial canal formed by the breaking-down of the cells which abutted below on a cavity above the embryo, probably the remains of a pollen-chamber (figs. 525, 527). No microspores have been found. Two dark spots shown at co, fig. 525, may represent archegonia but this is doubtful, especially as the seed contains a well-developed embryo. The nucellus is free from the testa only in the apical region and a dicotyledonous embryo occupies the interior without any trace of endosperm. Lignier points out that in some seeds containing embryos the nucellar beak is not completely perforated: in this fact and in the absence of microspores in the micropylar canals he is inclined to see evidence of parthenogenesis[1150].
In several respects the seeds of Cycadeoidea agree with those of Gnetum: reference should be made to the account of the seed of Gnetum africanum in Chapter lii. and to the papers referred to in the footnote[1151].
Interseminal scales. The young seed-stalks agree very closely with the interseminal scales: each seed-stalk is surrounded by 5–6 scales (fig. 527) as in other Bennettitean flowers (fig. 564). For the greater part of their length the interseminal scales are compressed, but above the seeds, where they are free from pressure (fig. 526), they become much thicker and form a covering (‘pericarp’) as in Cycadeoidea Gibsoniana. In its upper region an interseminal scale consists of an epidermis with strongly thickened inner walls, hypodermal thick-walled cells and parenchymatous ground-tissue with a single axial bundle. In the lower part the scale is more flattened and the thick-walled hypoderm is replaced 402by thin-walled parenchyma. Some of the scales at the periphery of the receptacle where there are no seed-stalks are broader and may have six vascular bundles; this, Lignier suggested, might be regarded as evidence of the reduction of the interseminal scales from leaves possessing a terminal limb; but a further examination of scales at the periphery of the flower led him to the conclusion that the distal swelling of the scales is solely due to the hypertrophy of conjunctive tissue and is not the result of the modification of a reduced limb[1152]. The morphological value of the interseminal scales and seed-stalks has not been definitely settled, though the probability is that they are homologous organs and foliar. Solms-Laubach[1153] suggested that both may be axial, the seed-stalks representing axes ending in a flower reduced to a single ovule; or, he adds, the seed-stalks may just as well be carpels, though in that case we should have the unusual phenomenon of terminal seeds. The interseminal scales may be aborted seed-stalks crushed between the latter; or if the seed-stalks are axes, the scales may be foliar. He is inclined to see in the scales the bracts and prophylls of seed-stalks to which must be added such bracteoles, preceding the seed or flower, as may happen to spring from the seed-stalks. Pearson[1154], on the assumption that 403the seed-stalks are axial structures, institutes a comparison between Welwitschia and Bennettites and regards each flower of Welwitschia as a much reduced Bennettitean strobilus. Lignier believes the interseminal scales to be leaves borne on the swollen apex (receptacle) of an axis of the second order, while the seed-stalks are fertile leaves of a unifoliar bud of the third order possibly axillary though not necessarily so to the interseminal scales. My own view, influenced by the examination of the immature flower of Williamsonia scotica, is that the seed-stalks (megasporophylls) and scales are homologous, the former being sporophylls and the latter sterile foliage leaves, the whole flower, as Wettstein[1155] says, consisting of a conical axis bearing numerous fertile and sterile carpels enclosed by a perianth of bracts. Worsdell[1156], who shares Čelakovsky’s opinion that sporophylls were originally radially symmetrical organs bearing a terminal sporangium, regards the flowers of Cycadeoidea Gibsoniana and other species as more primitive than those of recent Cycads: he does not see any justification for the view that the Bennettitalean flowers are in advance of those of existing Cycadean plants as regards a supposed tendency towards the Angiospermous type. He maintains that Bennettites ‘shows absolutely no indication of such an advanced structure in its essential organs, the sporophylls, which remain primitively radial in structure, bearing the ovules in a terminal position.’
McBride[1157] first described this Lower Cretaceous species from the Black Hills of South Dakota as Bennettites dacotensis, the generic name Cycadeoidea being adopted by Ward[1158] who distinguished some of McBride’s specimens as Cycadeoidea McBridei. The stem is elliptical in section, 32 cm. long and 45 cm. in girth: owing to the partial decay of the petiole-bases the ramental reticulum forms a prominent feature. Numerous flowers, all of which are approximately at the same stage of development, project like conical buttons above the general level of the stem-surface[1159]. The bisporangiate flowers consist of a conical receptacle bearing interseminal scales and megasporophylls, the whole being 406surrounded by spirally disposed bracts (fig. 529). A whorl of 18 or 19 nearly mature microsporophylls is attached to the base of the receptacle (figs. 528, 530); each microsporophyll has a strong rachis extending beyond the apex of the flower-axis and bent inwards and downwards with the distal end tucked between the ascending rachis and the receptacle. The slender pinnules, in two alternate series, are bent downwards and bear 407synangia in rows. A transverse section just below the ovulate portion of the cone shows a continuous ring of tissue encircling the receptacle with vascular bundles parallel to the surface (fig. 530, A, m); at a higher level the bundles fall into groups preparatory to the breaking up of the disc into separate microsporophylls. Immediately above the apex of the central cone the coherent basal portion of the verticil of sporophylls is replaced by the separate rachises which in section have the form of isosceles triangles (fig. 530, B). Each microsporophyll is approximately 10 cm. long; the longest pinnule being 1·5 cm. in length and bearing two lateral series of synangia, 10 in each row. At maturity the microsporophylls probably spread out and the whole whorl was thrown off leaving an annular rim (fig. 514, d) such as is often seen at the base of older ovulate strobili. The immaturity of the ovules in this (fig. 528) and other specimens led to the suggestion that the strobili of Cycadeoidea were protandrous. The synangia (fig. 531) are several times broader than long and similar in size to those of the Fern Marattia. In each synangium are two rows of elongated loculi (fig. 532) containing oval microspores usually with a smooth exine and rather larger than those of recent Cycads. The synangium-wall is composed of a palisade-layer of thick-walled cells and a layer of smaller and thinner cells: the palisade-layer is narrowest at the apex where dehiscence occurs and broadest at the base where the hypodermal tissue is more abundant and forms a short thick pedicel. The two rows 408of loculi are bounded by flattened cells and there are 10–20 loculi in each of the two rows: dehiscence of the individual loculi occurs in the middle of the inner wall.
This Lower Cretaceous Black Hills species[1160] affords an admirable example of a method of branching exhibited by some stems: as shown in Wieland’s photographs[1161] there may be five or six large and massive trunks all in the same stage of fructification, differing but little in size and forming a cluster resembling independent plants growing in close proximity to one another. There is apparently no central or major axis and the habit is therefore very different from that of a branching Bucklandia. Cycadeoidea Marshiana bore large ovulate pyriform strobili projecting slightly beyond the leaf-bases; they are 5 cm. long with a maximum diameter of 3·5 cm. and have an elongated receptacle bearing short scales and sporophylls. The apical bud of one of the trunks shows particularly well in transverse section the dense ramental packing between the bud-scales[1162]. Similar clusters of short and thick trunks occur in Cycadeoidea superba and other American species.
In the small bisporangiate flowers of this species[1163] the microsporophylls, 11 or 12 in the verticil, are characterised by the presence of a ventral furrow which, as Wieland suggests, may be comparable on a much simpler scale with the winged sporophylls of Cycadeoidea colossalis (fig. 533). The disc splits up at a distance 409of 1 cm. above the apex of the receptacle into the microsporophylls, each of which is 5·5 cm. long and bears two rows of pinnules which in the middle region have a length of 1 cm.; a microsporophyll is elongate, elliptical, and acuminate. In this species as in some others there is a brush of sterile scales at the apex of the receptacle.
Wieland[1164] has recently described some interesting features in the microsporophylls of a bisporangiate flower assigned to this Lower Cretaceous species from the Black Hills illustrating a departure from the usual type. The hairy bracts extend considerably above the apex of the flower-proper; in fig. 533, A, a transverse section above the receptacle, they are shown grouped about a circle of V-shaped structures, converging towards a central point, which are the sterile prolongations of the ten rachises of the free portions of the staminate disc. Each rachis is divided by a deep ventral furrow into a pair of wings (fig. 533, B, C), and it is these pairs of wings that form the V-shaped structures in fig. 533, A. The wings form a dome-like group above the flower-apex (fig. 533, D, E). The synangia are borne in two rows on the concrescent disc and on the free sporophylls, which in this type are much simpler than in other species and agree in the absence of pinnules with some forms of Williamsonia (cf. fig. 556). The receptacle is pyriform and bears very short scales and seed-stalks; from its apex several interseminal scales are prolonged as a terminal brush, a feature of interest in connexion with flowers of Williamsonia. Wieland compares the wings of the microsporophylls to the two horns on the distal surface of the corresponding organs of Ceratozamia and draws a comparison between them and the canopy of some Palaeozoic seeds, but it is doubtful whether homologies can be established between these elaborate sporophylls and the integuments of Pteridosperm seeds[1165].
Goeppert referred this species to his genus Raumeria[1166], a generic name retained by Carruthers though, as Solms-Laubach[1167] points 411out, the abundance of lateral fertile shoots among the leaf-bases shows it to be essentially similar to Cycadeoidea Gibsoniana. The type-specimen in the Dresden Museum is a splendid example of a fossil cycadean stem; it is probably of Lower Cretaceous age, but was found in Galicia as an isolated specimen. It consists of a portion of a cylindrical trunk similar in habit to C. gigantea, ·5 met. high and about the same in diameter. The pith, according to Schuster[1168], is 13 cm. in diameter and the xylem 8 cm. broad. There are many flowering shoots some of which are represented by cup-like depressions, the base of the cup consisting of the cylindrical axis and the sides bearing the impress of the encircling bracts (fig. 534). Goeppert compared these lateral shoots with the buds frequently produced on the stems of Cycas. It is interesting to find that some of the cups correspond very closely 412in size with Williamsonia flowers, another indication of the very close agreement between the Williamsonia and Bennettites types of strobili. Some flowers still in place show 16 bipinnate microsporophylls that were petrified before the synangium-bearing fronds unfolded[1169]. The ramental scales and other tissues figured by Schuster are of the usual type. A second specimen found as a boulder in Silesia and named by Goeppert Raumeria Schulziana may, as he suggests, be a younger example of C. Reichenbachiana. Another Galician stem, probably also Lower Cretaceous in age, is described by Raciborski[1170] as Cycadeoidea Niedźwiedzkii.
This species is founded on a large stem from the Upper Purbeck series of the Isle of Portland[1171] where it was discovered in a shaly clay 17 ft above the great Dirt bed which yielded the trunks described by Buckland and other authors (fig. 535). The stem (fig. 554) is 1 met. 18 cm. high and has a maximum diameter of 1 met. 7 cm. It is the tallest fossil Cycadean stem so far found in a single piece though Cycadeoidea Jenneyana probably reached a greater height. The stem is elliptical in section (fig. 537), a form due in part at least to compression. The only tissues preserved are in the superficial region of the persistent leaf-bases. As the result of decay before mineralisation many of the petiole-bases are represented by cavities or meshes in a prominent reticulum of silicified ramental scales. Towards the apex the leaf-bases are smaller and a conical bud surrounded by linear scale-leaves occupies the summit: an irregular cap of ramental scales forms the apex of the terminal bud. In section the bud would no doubt present an appearance like that shown in Wieland’s photograph of the terminal cone of C. Marshiana[1172]. There is a striking resemblance both in the ramental cap and in the form of the protective scales between the fossil stem and such a Cycad as Encephalartos Altensteinii[1173]. A remarkable feature of C. gigantea is the absence of any fertile shoots among the leaf-bases. In one tangential section a small bud was found, but it affords 414no evidence of the presence of any reproductive organs. A similar bud is described by Lignier[1174] in the stem of C. micromyela. The absence of lateral flowers is, however, hardly a sufficient reason for separating this stem generically from other species of Cycadeoidea: negative evidence in this case is of doubtful value. While it is possible that the strobili were terminal as in most recent Cycads, it is more probable that they were lateral. The surface-features, though not perfect, are for the most part sufficiently well preserved to enable one to recognise the bract-encircled axes of strobili were any present. If as Wieland believes, and he is probably correct, the production of flowers was the culminating event in the life of these Cycadean plants, the absence of fertile shoots is merely an expression of immaturity. It is, however, difficult to understand how lateral branches could find their way to the surface among the crowded and cork-covered leaf-bases of the stem. The absence of flowers may be due to some unfavourable external conditions. The petioles consist of parenchymatous ground-tissue with many secretory sacs and in some cases twelve partially preserved vascular bundles: the xylem consists of radial rows of centrifugal tracheids and medullary rays, but it is not possible to say whether any centripetal xylem was present. A fairly thick band of phelloderm and periderm, apparently subepidermal in origin, forms the peripheral tissue, and in places epidermal cells with attached ramenta are clearly preserved. The ramenta are of the type characteristic of the majority of fossil Cycadean stems. Stomata were found showing a pair of guard-cells and apparently two subsidiary cells: the epidermal cells have straight walls.
415
This Liassic species from Normandy has been fully investigated by Lignier[1175]; originally referred to the Conifers, it was afterwards described by Morière[1176] as Cycadeoidea micromyela. As regards external features the stem is of the usual Cycadeoidea type: Saporta[1177] assigned it to the genus Platylepis. The secondary xylem consists of tracheids with bordered pits on the radial walls arranged as single contiguous rows, resembling scalariform pitting, or as 1–2 rows of separate circular pits (fig. 538, A), a type different from that of the great majority of Mesozoic species. The uniseriate medullary rays are 7–20 cells deep, a character recalling the compact wood of Indian Williamsonia stems. Ramental scales are for the most part replaced by long unicellular hairs like those of Williamsonia scotica and some Indian stems. Lignier states that true ramenta occur on the young leaves and in older fronds become transformed by separation of the cells into long tubes. Each leaf-trace arises as a single bundle dividing into three as it leaves the stele and eventually splits up into several collateral bundles (fig. 538, B, C). The stele is elliptical. No 416fertile shoots are preserved: a single axillary bud is described which agrees very closely with that in Cycadeoidea gigantea.
The stems of this species, from the Black Hills of Dakota[1178], resemble those of Cycadeoidea gigantea and C. Reichenbachiana in their thick columnar form but differ from the former in the presence of bisporangiate flowers associated with the leaf-bases. This species probably reached a length of 3–4 met. A striking feature[1179] is the unusual thickness of the xylem-cylinder, which 417shows clear indications of concentric rings, probably the expression of seasonal changes during the production of secondary conducting tissue by a single cambium. Similar concentric rings have been described in the stems of the recent Cycad Dioon spinulosum[1180]. Fig. 539 represents an ovulate strobilus referred to this species by Wieland.
This French Portlandian species[1181] affords a good example of a very small bulbiform trunk, 3·5–4 by 2·5–3 cm., superficially resembling a Pine-cone: the leaf-bases are, however, less uniform in size and shape than Abietineous cone-scales; there are also indications of interpetiolar ramenta and a small lateral, presumably fertile, branch. A stem of similar form is described by Saporta[1182] from Corallian beds in France as Bulbopodium micromerum, and Cycadeoidea nana Ward[1183] from Dakota is another example of a small Zamia-like Mesozoic stem. A small tuberous stem, 8 × 7·5 cm., was described by Lindley and Button from Lyme Regis as Cycadeoidea pygmaea[1184]; no flowers are shown in the drawing, but occasional irregularities in the arrangement of the leaf-bases may be due to the presence of lateral fertile shoots.
This generic name was instituted by Lester Ward[1185] for some petrified stems from Jurassic beds in Wyoming of relatively small size, bulbous or more or less spherical, and characterised by the presence of a thick layer (5–15 mm.) of dense ramental tissue. The unusually vigorous development of the ramental scales is an interesting feature, though it is perhaps questionable whether it is worthy of generic recognition. The flowers of Cycadella, though less than those of most Cycadeoidea stems, are of the same type. In a later account of the genus Ward[1186] describes a few additional species and in Cycadella ramentosa he notes the preservation of young fronds. The fronds are small and bear a few pinnae: 418the xylem is said by Wieland[1187] to be mesarch, but in the absence of more details the foliar bundles cannot be fully described. In some Cycadellas young flowers, less than 1 cm. in diameter, are preserved, those of Cycadella wyomingensis (7 mm. in diameter) being the smallest bisporangiate strobili so far recorded. The French species, Cycadeoidea micromyela Mor., resembles Cycadella in the profuse development of ramental tissue which may cover the surface of the stem.
This generic name was instituted[1188] for two species founded on very imperfectly preserved ‘fruits’ of Lower Cretaceous (Albian) age from the Argonne which, though in close agreement with Bennettites as represented by B. Gibsonianus and B. Morierei, are referred to a separate genus on the ground that the preservation is not such as to establish their generic identity with those species and because of certain distinctive features.
Amphibennettites Bleicheri Fliche. The ovulate strobili are sub-elliptical, 3·5 × 3 cm., with several elliptical pits close to the surface originally occupied by seeds borne on short stalks and larger than the seeds of other species of Cycadeoidea (Bennettites). Interseminal scales occur between the seeds. The second species, Amphibennettites Renaulti, is rather larger and more conical: the seeds reach a length of 11 mm. greater than that of any of the American seeds described by Wieland. In neither species is there any indication of an involucre of bracts. The preservation of the specimens leaves much to be desired, but it would seem that the Argonne fossils agree in their main characters with Bennettitean strobili and it is doubtful whether a distinctive generic name is necessary. The occurrence of seeds over the whole surface, a feature that suggested the name Amphibennettites, may be only apparent and the result of cutting the cone transversely. It is worthy of note that one of Fliche’s sections[1189] bears a close resemblance to an Araucarian cone, and in the absence of structure the two types of cone might easily be confused.
419
The generic name Vectia has been given by Dr Stopes[1190] to some petrified secondary phloem discovered by her at Luccomb Chine in the Isle of Wight: the fossil is from Aptian beds. The mass of phloem is 26 mm. in breadth and consists of regularly alternating bands of thin-walled sieve-tubes and very thick fibres associated with a little parenchyma (fig. 540). To the naked eye the specimen presents an appearance suggestive of rings of growth but this is due to the presence of bands of 2–3 narrow cells which are probably cork. The whole is penetrated by uniseriate medullary rays. A striking feature is the regular alternation of single rows of fibres with two bands of sieve-tubes; in places the two bands of sieve-tubes are separated by 2–4 rows of very flat, presumably, cork-cells, and similar bands may be adjacent to or pass obliquely across the fibres. The elongated elements described as sieve-tubes, though thin in comparison with the fibres, have thickened walls and on their radial faces are single rows of circular pits, often in pairs; these are almost certainly sieve-areas which have 420lost the finer pitting of the sieve-plates. The fibres are more or less square in transverse section and have excessively thick walls, the lumen being reduced to a small hole. Parenchymatous cells (fig. 540, a) occupy the angles between the sieve-tubes and occasionally stretch tangentially between a pair of tubes: these are compared by Dr Stopes to companion-cells, but their manner of occurrence hardly justifies the interesting suggestion that they may be precursors of the Angiosperm companion-cells. The medullary rays may be as wide as the elements which they traverse; they are characterised by their wavy walls, as seen in radial longitudinal sections; no pitting was noticed. A remarkable feature of the specimen is its considerable breadth: it is pointed out that in a giant stem of Sequoia with a girth of over 40 ft the secondary phloem does not exceed 3–4 mm. in breadth. The great thickness of the phloem in the fossil suggests comparison with the corresponding tissue in recent and fossil Cycadean stems, and the alternation of hard and soft phloem is a feature exhibited also by Cycadeoidea Gibsoniana (fig. 518, B). Dr Stopes concludes that the phloem is in the main similar to that in some Cupressineae, Taxineae, and Taxodineae. It is noteworthy that similar phloem with sieve-tubes and fibres associated with cork is described by Graf Solms-Laubach[1191] from Upper Jurassic beds in Franz Josef Land. The systematic position of Vectia cannot be definitely determined, but I believe that it is more closely allied to Cycadean than to Coniferous phloem.
Note. It is unfortunate that Mr Wieland’s second volume dealing with American Cycads [Wieland (16)] did not come into my hands until nearly the whole of this volume was in type. Students will find in it many additions to our knowledge of Cycadeoidea and Williamsonia, much theoretical discussion that is suggestive and interesting, useful summaries of our knowledge of fossil Cycads, and many beautiful photographic plates illustrating the morphology of American species of Cycadeoidea.
This genus was first figured by Young and Bird[1192] from specimens obtained from Lower Estuarine beds near Whitby: these authors compared the fossils to the head of an Artichoke (Cynara integrifolia), ‘the covering or calyx consisting of numerous lanceolate and striated leaves’ (fig. 544). In 1840 Williamson[1193] noticed the association with fronds of Zamia gigas Lind. and Hutt. of ‘a remarkable fossil, apparently connected with the fructification of a Cycas,’ and some years later Yates[1194] expressed the opinion that the fructifications figured by Young and Bird probably belonged to the plants which bore the fronds known as Zamites gigas. Leckenby[1195] figured some leaves of Palaeozamia pecten (= Ptilophyllum pecten) in close association with a small flower of Williamsonia which was subsequently recognised as a whorl of microsporophylls. In 1870 two papers of exceptional interest were published, one by Williamson[1196] who was the first to attempt an exhaustive account of the genus, and the other by Carruthers[1197] who proposed the name Williamsonia, thus associating ‘with a group of the most characteristic Yorkshire fossils two men (father and son) who have largely contributed to the exposition of Yorkshire geology.’ Carruthers instituted a new tribe Williamsonieae for the genus Williamsonia, the type-species being Williamsonia gigas: the specific name had been previously given by Lindley and Hutton to the fronds (Zamia gigas) of the plant 422which was believed to have borne the flowers for which the new designation was proposed. Two other species, Williamsonia hastula and W. pecten, were assigned to the new genus. The conclusion arrived at by Williamson as to a connexion between Zamites gigas and Williamsonia flowers was, however, not accepted by Saporta[1198], who figured and described several exceptionally good specimens from the Yorkshire coast which formed part of the Yates collection in the Paris Natural History Museum. In 1897 a short account was published[1199] of the Yates specimens, an examination of which convinced me of the correctness of Williamson’s views as to an organic connexion between stems, peduncles, flowers, and fronds. During a visit to Paris several photographs were taken, but these were not published: similar photographs have since been reproduced by Wieland[1200] and reduced copies from two negatives in my possession are shown in figs. 541, 542. The restoration by Williamson in his well-known memoir is probably correct so far as the general habit of the plant is concerned, though the flowers which he speaks of as male are now known to be ovulate. The position of the male organs, whether borne separately or on the same axis as the megasporophylls, has not been definitely settled.
In 1891 the Marquis of Saporta thus introduced his discussion on Williamsonia,—‘avec les Williamsonia nous abordons un des problèmes les plus difficiles, un des sujets des plus controversés, mais aussi les plus curieux, peut-être même le plus remarquable de tous ceux que nous offre l’ensemble des plantes jurassiques.’ Wieland’s investigations have placed us in possession of many important facts with regard to the closely allied flowers of Cycadeoidea and have enabled us considerably to extend our knowledge beyond the stage represented by the work of Carruthers, Williamson, and other authors; and more recently Nathorst’s important discoveries have demonstrated the close agreement between Williamsonia and Bennettites (Cycadeoidea). Several problems still remain unsolved. Having regard to the deficiency of the data concerning the morphology of the Williamsonia type of flower and the wider question as to a phylogenetic relationship that some botanists believe to exist between the Bennettitales423 and the Angiosperms, Saporta’s words are still pertinent. Wieland’s discoveries in Mexico[1201] have furnished additional evidence of the wide geographical distribution of the Williamsonia type of flower in the Jurassic period, and it may be confidently asserted that the Bennettitales, including both Williamsonia and Cycadeoidea, occupied a dominant position in the floras of the world during the stage of plant-development immediately preceding the evolution and rapid spread of the Angiosperms, the present dominant class.
There has been considerable uncertainty among authors with regard to the application of the name Williamsonia. In former accounts of the genus the name was employed by me both for leaves and flowers on the ground that Williamson was correct in his opinion as to the connexion between Williamsonia gigas and Zamites gigas. The type of frond to which the latter term is applied is by no means uncommon in Jurassic strata though it is not always associated with flowers, and the use of the generic term Williamsonia is therefore not invariably justifiable. Nathorst[1202] has recently reiterated his opinion that it is inadvisable to employ the name Williamsonia except for the flowers or the complete plant and strongly urges palaeobotanists to retain the provisional genus Zamites when the fronds only are in question. While agreeing with the contention that the greatest care should be exercised to avoid the use of generic names implying a correlation of vegetative and reproductive organs that rests on any evidence short of demonstration, it may be suggested that the better plan is to add the name Williamsonia in parentheses after Zamites or Ptilophyllum in cases where there is no reason to doubt that the fronds belong to a Williamsonia plant.
The species selected for a rather detailed description is still imperfectly known, but it is particularly interesting as the type on which the first scientific account of the genus was based. The name Williamsonia gigas is now generally employed for the flowers which bore megasporophylls as the essential organs: they may have been bisporangiate,—a view that seems to me 424the more probable,—but this has not been demonstrated. There are very few cases in which fronds of Zamites gigas occur in organic connexion with stems, and we cannot with safety employ other than a provisional generic term for fossil stems which it 425is believed bore flowers of the Williamsonia type. For the imperfectly preserved piece of stem shown in fig. 541 the name Williamsonia (Bucklandia) gigas is employed, as there is no reasonable doubt that in addition to the fronds of Zamites gigas it bore peduncles (fig. 541, a), with Williamsonia flowers. This and other stems found in close association with Williamsonia flowers in England, India, and Mexico are of the type known as Bucklandia[1203]; but it would in most instances be unwise to add Williamsonia even as a subordinate title. Casts of stems in close association with fronds and flowers are not uncommon in
426
collections of plants from the Yorkshire coast; the surface-features are of the type shown in fig. 576, rhomboidal or lozenge-shaped bases of petioles as described under the genus Bucklandia[1204]. The stem reproduced in fig. 541, about 5 cm. broad, is imperfectly preserved and the leaf-bases are not clearly seen. Saporta’s figure[1205] conveys but a poor idea of the actual specimen. To one side of the stem, 5 cm. from the lower, broken, end, are attached the petioles of two clearly preserved fronds of Zamites gigas, and above these is part of a third frond apparently in its original position. The main axis is prolonged obliquely upwards to the left as a branch, a, 3 cm. broad and 14 cm. long, covered with hairy bracts and bearing distally several narrow, linear-lanceolate, scale-leaves. This branch is undoubtedly a fertile shoot or peduncle. A specimen figured (from a drawing) by Saporta[1206] as a peduncle of a Williamsonia flower and reproduced in fig. 542 is, in surface-features, identical with the branch a shown in fig. 541, but at the apex it bears a bud covered with linear bracts identical with those of Williamsonia gigas. This bud is almost certainly a young flower. Similar peduncles are described by Williamson, and he speaks of one which is bifurcated: this specimen is probably that reproduced in fig. 543 and now in the Leeds Museum: at the base the axis is 3·5 cm. in diameter; the two divergent arms bear numerous bracts identical with those of Williamsonia gigas and in addition are a few shorter ovate scales recalling those figured by Nathorst as probably belonging to Williamsonia pecten. The Leeds specimen is from the Lower sandstone and shale near Scarborough. Similar branched peduncles are represented in the Whitby Museum and in the National Collection. Wieland[1207] has also figured a peduncle bearing a ‘typical fruit bud’ of Williamsonia gigas similar to that reproduced in fig. 542. These specimens fully justify Williamson’s restoration published in his paper of 1870.
In a former account of this species[1208] the opinion was expressed that the flowers described by Williamson as male were ovulate and constructed on the plan of those of Bennettites Gibsonianus 428Carr. This conclusion has since been confirmed by Nathorst[1209] who succeeded in obtaining excellent preparations of the cuticular membranes of interseminal scales and micropylar tubes (fig. 545), demonstrating their very close agreement with those of the flowers of Cycadeoidea.
One of Williamson’s ‘carpellary discs’ has been shown by Nathorst to be a verticil of microsporophylls bearing synangia, but both this author and Lignier[1210] think that the two specimens figured by Williamson as carpellary discs are distinct organs, one being a staminate whorl and the other a sterile infundibuliform organ. My own view is that both are of the same nature and consist of microsporophylls.
Fig. 544 represents the usual form in which the flowers of W. gigas are found; it consists of linear bracts covered with hairs identical with those on the peduncles shown in figs. 541–543; they surround a pyriform axis and form what Williamson called 429an involucrum. The base of the fossil is characterised by an annular zone formed of crowded, radially disposed, narrow ridges now known to be casts of interseminal scales. At the outer edge of this annular area impressions of the peltate ends of interseminal scales are not infrequently preserved. Fig. 545 is a photograph of one of Nathorst’s preparations showing the very great similarity between a micropylar tube of W. gigas and the corresponding structures in Cycadeoidea. The small micropylar tubes are surrounded by 5–6 polygonal expanded apices of interseminal scales as in Cycadeoidea (fig. 515; cf. also fig. 563), and the apex of each peltate distal end projects slightly as a central papilla composed of more strongly cuticularised cells. In most specimens the megasporophylls and interseminal scales (sterile megasporophylls) are preserved only as an annular zone at the base of the receptacle (fig. 548, as), but it is clear from some specimens of W. gigas and other species figured by Saporta[1211], Nathorst[1212], and Krasser[1213] that originally the whole surface of the pyriform axis was beset with these organs which fell off, presumably, when the seeds had reached maturity. No satisfactory examples of seeds have been found in English specimens. Krasser has described some specimens of Williamsonia from Jurassic rocks in Sardinia to which he assigns some associated seeds, but, as he admits, there is no proof of any connexion. In some cases a funnel-like depression is seen at the upper end of a strobilus of W. gigas (fig. 546, B, C, a) identical in the occurrence of radially disposed ridges with the annular zone at the base and due to the preservation of interseminal scales and aborted megasporophylls in the upper part of the receptacle: in this region also the impressions of polygonal apices of the scales are sometimes found. The probability is that while the greater part of the armour of scales and seeds was thrown off, at the upper and lower end of the 430receptacle some sterile megasporophylls and scales remained (fig. 548, as, dl).
Williamson regarded the funnel-shaped depression as the impression of the lower surface of a laterally expanded portion of the axis of the flower, and to this expansion he gave the name lenticular disc (figs. 546, 547, a). It is, however, much more likely that the apparent extension of the axis is due to the 431preservation of the sterile zone of armour which formed a cluster of appendages, the impressions of which are seen on the sides of the funnel-like depression, the receptacle being prolonged as a slender axis (fig. 547, C). The next point to consider is the form of the axis beyond the level of the collar of sterile armour. Williamson described the axis as spreading out to form the lenticular disc and then prolonged as a narrow conical pyramidal axis which is slightly extended horizontally immediately below a terminal mammilla: the apical mammilla he designated the 432corona (fig. 547, C, r). As already stated, the lenticular disc is probably not an expanded part of the axis but the result of the preservation of a spreading mop-like cluster of interseminal scales. This is the view expressed by Lignier[1214] who kindly furnished the block from which fig. 548 is reproduced. The lower 433face of Williamson’s lenticular disc is characterised by a series of spoke-like radiating ridges (fig. 547, A′) between which are less distinct radially disposed lines, and at the periphery there are impressions (fig. 547, A′′), continuous with some of the radiating ridges, of the terminal shields of interseminal scales. In fig. 547, drawn from one of the original specimens described by Williamson, these features are shown at A′ and B: fig. A′ represents the circular area, which is at right-angles to the axis of the flower, in surface-view. In the centre of this circular area is a depression ending in a short papilla surrounded by a narrow basal rim: this feature is shown on a cast of the specimen represented in fig. 547, B. In this case Williamson’s corona is seated on a very short axis whereas in fig. 547, C, also from one of Williamson’s specimens, the corona forms the apex of a longer pyramidal axis. Wieland[1215] regarded the circular area seen in fig. 547, A, as the impression of the apical portion of a bisporangiate strobilus, the ridges marking the edges of the incurved distal portions of microsporophylls bent over the apex of the ovulate cone (cf. fig. 513), and he interpreted the polygonal depressions at the periphery (fig. 547, A′′) as those of sori, an interpretation entirely different from that of Lignier. The latter author[1216] in part reasserted his opinion but modified it as regards the meaning of the ridges on the circular area, agreeing so far with Wieland as to consider them as having been formed by the folded-over rachises of microsporophylls attached as a concrescent collar to the base of the ovulate cone. This interpretation does not, however, explain the relation between the radial striations on the circular area and the polygonal impressions at its periphery. Wieland still dissents from Lignier’s opinion and suggests that the circular area has not been demonstrated to belong to the apical end of a flower. Fig. 547 shows that its position is apical. Fig. 548 represents Lignier’s view as to the nature of the rim surrounding the apical mammilla: he suggested that several interseminal scales borne at the apical region of the receptacle were concrescent and formed linear bracts the edges of which are represented by the main ridges in fig. 547, A′. These concrescent scales bent upwards and were closely applied to or perhaps 434concrescent with the pyramidal axis and were then prolonged as a wide infundibuliform apparatus (Williamson’s carpellary disc). This organ was, however, easily detached, and the rim seen at r in fig. 547, C, represents its narrow broken base. With this view I am in general agreement; but while Lignier regards the funnel-like appendage as sterile and considers that similar organs, but with a large central cavity at the base of the funnel, may have been microsporophyll-discs which were borne below the ovulate strobilus in the position occupied by the microsporophylls in Cycadeoidea (fig. 528)—my inclination is to see in the terminal appendage a whorl of concrescent microsporophylls. This view lacks the support of demonstration. It is obvious from Williamson’s specimens and from others described by Saporta, Nathorst, and Lignier that the receptacle of Williamsonia gigas was not so simple in its termination as that of the flowers of Cycadeoidea. In Cycadeoidea dacotensis Wieland showed that the apex of the receptacle bore a tuft of long interseminal scales, and it is readily conceivable that these apical appendages were still further developed in some Williamsonia flowers to form a whorl of concrescent leaves borne on the prolonged apex of the axis. There is little doubt as to the homology of interseminal scales and microsporophylls, and there is no difficulty in supposing that while in some flowers the foliar organs assumed the form of interseminal scales of unusual length, in other species they became microsporophylls.
It is noteworthy that the radiating ridges on the circular area shown in fig. 547, A′, agree in position and approximately at least in number with those on the sides of the cupular disc of the microsporophyll-verticil of Williamsonia whitbiensis[1217]. Nathorst describes a specimen seen in a private collection in which an infundibuliform appendage appeared to be preserved in situ at the apex of a flower of Williamsonia gigas (cf. fig. 548, at). Thomas[1218], in his description of Williamsoniella, compares the radial ridges on the apical sterile portion of a flower of Williamsonia gigas to the ridges on his Williamsoniella which are formed by the tips of infolded microsporophylls.
435
In the course of an examination of the Williamsonia specimens (from Yorkshire) in Paris in July of last year (1914) Mr Thomas[1219] found a specimen previously overlooked, which is undoubtedly either a male flower or, as I am inclined to think, the staminate disc of a bisporangiate flower of Williamsonia gigas. The nature of the matrix shows that it came from the neighbourhood of Whitby. It consists of an urn-shaped organ formed of the concrescent bases of 18–20 microsporophylls each 7–8 mm. wide; the cup is 5–6 cm. broad, the base being torn but tapered (fig. 549) as though originally prolonged downwards into a stalk as in W. spectabilis. Along the middle line of each sporophyll is a series of depressions, probably the same in nature as those on W. whitbiensis described by Nathorst, though it is not clear whether, in this case at least, they represent aborted synangia. 436Some reniform synangia (fig. 549, B) occur in the rock just above the cup. The sporophylls spread outwards from the base and then curve inwards, bending outwards again as they become free. A portion of a microsporophyll is shown in fig. 550 bearing segments projecting inwards as in W. spectabilis (fig. 551). This specimen, which occurs in association with female flowers, is regarded by Mr Thomas as part of a unisexual flower. He discusses the possibility of its connexion with an ovulate receptacle and expresses the opinion that if it were borne at the upper end of a bisporangiate flower the whole would be top-heavy and the arrangement uneconomical. On the other hand if, as suggested on page 434, the flowers were bisexual the staminate disc, which reached maturity before the ovules, may have been thrown off, as in Cycadeoidea, before the seeds were ripe. The form of the disc resembles that of the Indian specimen described on another page as Williamsonia sp., cf. W. setosa Nath.; it does not, I venture to think, afford an argument against the view that the microsporophyll-cup of some Williamsonia flowers was attached near the apex of the receptacle and was formed of modified foliar organs homologous with those which, in the ovulate portion of the flower, constitute the interseminal scales and megasporophylls.
A further consideration of the microsporophylls of Williamsonia will be found in a later section of this chapter.
This species[1220], the first example of undoubted microspore-bearing organs referred to Williamsonia, was founded on material 437discovered by Prof. Nathorst in the Lower Estuarine series of Whitby; it has also been obtained from beds of the same age at Marske in the Cleveland district of Yorkshire[1221]. Williamsonia spectabilis, though indubitably a male organ, has not been found attached to a stem, and there is no decisive evidence as to its connexion with a particular species of frond. Nathorst believes that it belongs to the plant which bore the leaves known as Ptilophyllum pecten, an opinion based chiefly on association. The more complete specimens consist of a broad funnel-shaped organ prolonged below into a slender stalk and divided at the margin into several linear-lanceolate segments (microsporophylls) the apices of which were rolled inwards like young fern-fronds (figs. 551, 552). The synangia agree closely in form and in such structural features as can be made out from cuticular preparations with those described by Wieland in American species of Cycadeoidea; they are slightly reniform, 5–6 mm. long and 2 mm. broad and divided into several loculi by transverse partitions 438(fig. 552). The microspores, 58–65µ in length, are rather narrow, ovate and very similar to those described by Solms-Laubach[1222] in Cycadeoidea etrusca. The synangia are attached in two rows to slender lateral segments which appear to be given off from the upper face near the median line of the broad linear sporophylls (fig. 565, A). Nathorst points out that the position of the fertile pinnae brings the sporophylls into close relation with the vegetative fronds of Ptilophyllum pecten and other Cycadean fronds in which the pinnae are attached to the upper face of the rachis. While the longer pinnae in the middle portion of a sporophyll bear several synangia, those near the base and apex are shorter and, in the proximal region nearer the broad cup formed by the coherent bases of the sporophylls, occur singly, thus approaching the condition characteristic of W. whitbiensis (fig. 565, B) in which they are sessile on the simple microsporophylls. It is noteworthy that in some specimens figured by Nathorst there is a tendency 439of the lower part of the cup to break away from the coherent bases of the sporophylls (fig. 551)[1223], and it is not unlikely that some of the impressions described as infundibuliform appendages are incomplete examples of Williamsonia spectabilis.
This species, founded on specimens from the Middle Estuarine beds exposed on the Yorkshire coast at Cloughton Wyke[1224], is characterised by the almost spherical form of the strobilus, 4·5–5 cm. in diameter. The relatively small receptacle is covered by a thick mass of megasporophylls and interseminal scales except in the lower part which bears only sterile scales. Nathorst believes that the seeds were very small, but no undoubted examples have been found. A specimen in the British Museum, figured in 1900[1225], shows the surface-view of an impression of the base of the flower; a small circular raised boss occupies the centre—the scar of the receptacle—and surrounding this is a reticulum formed by the impression of the distal ends of the interseminal scales. The uniform nature of the reticulum, the meshes of which are all of the same type, shows that in the basal region of the flower the organs borne on the receptacle were all sterile as in Cycadeoidea (Bennettites) Morierei. Except in the smaller diameter of the receptacle this specimen is practically identical with that of Williamsonia Carruthersi Sew. reproduced in fig. 559. The form of the strobilus is shown in Nathorst’s restoration[1226] represented in fig. 553. The interseminal scales have broad peltate 440distal ends characterised by a patch of lighter and thinner-walled cells at the apex (fig. 554); the micropylar tubes are slightly expanded at the summit and their epidermal cells are papillose as in Williamsonia scotica (cf. fig. 563, B). Nathorst in 1909 adopted the name Williamsonia pecten Carr.[1227] for the specimens originally referred to W. Leckenbyi as well as for microsporophylls that he believed to belong to the same plant as the ovulate strobili: but in a later paper[1228] he restricts the name Williamsonia pecten to the male strobili, reserving W. Leckenbyi for the ovulate forms, as there is no proof that both were borne on the same plant. From the evidence at present available it is reasonable to regard W. Leckenbyi as a unisexual flower. In all probability the fronds known as Ptilophyllum pecten are the foliage of the parent-plant of W. Leckenbyi, though in the absence of proof it is advisable to retain both names.
Under this name Nathorst[1229] described some interesting specimens of microsporophylls formerly attributed by him to Williamsonia pecten, but the discovery of additional material led him to distinguish the Whitby (Lower Estuarine) fossils as W. whitbiensis, retaining the name W. pecten for the type originally figured by Leckenby[1230] from the Middle Estuarine series at Cloughton Wyke on the Yorkshire coast. In the type-specimen, 8–10 cm. in 441diameter, there are 15 linear segments coalescent basally into a thick cup differing from that of W. spectabilis in the absence of a stalk (figs. 555, 556). A more important distinctive feature is the production of synangia on the simple sporophylls (figs. 556, B; 565, B) and not on special fertile segments as in W. spectabilis (fig. 552). The inner face of each sporophyll, as seen in impressions, shows two regular rows of small depressions, one on each side of the median line; these become gradually smaller towards the base of the cup-like disc (figs. 555, 556). On the actual carbonised surface of the inner face of the cup small and transversely elongated projections take the place of 442the depressions and these show the same decrease in size when traced from the free segments to the cupular organ. Nathorst obtained microspores only from the larger projections and none from the smaller, a circumstance which may indicate that only the upper and larger synangia were fully developed[1231].
This species is especially interesting as throwing light on the nature of one of the specimens (from the Whitby Museum) figured by Williamson as a ‘carpellary disc[1232]’: the ‘seeds’ of Williamson are no doubt, as Nathorst believes, synangia, while the smaller pairs of markings figured by Williamson represent rudimentary synangia and not ‘abortive ovules.’ Though the specific identity of Williamson’s specimen and Williamsonia whitbiensis is not certain, the latter is undoubtedly a closely allied form of a microsporophyll-verticil. A specimen figured in 1900 as a flower of Williamsonia pecten[1233], designated by Nathorst Williamsonia sp., is a very similar if not an identical type; it consists of a fairly deep basal cup the surface of which is characterised by the presence of several regular ridges between which are pairs of small depressions containing carbonaceous matter. In the light of Nathorst’s researches it is clear that this is an incomplete example of a whorl of microsporophylls. The base of the disc is incomplete, but it is certain from the small size of the basal hole with torn edges that the cup could not have been attached to the base of a receptacle as are the microsporophylls in Wieland’s bisporangiate flowers of Cycadeoidea. The specimens referred by Nathorst to Williamsonia pecten[1234] (Leck. ex parte) are similar to those described as W. whitbiensis, but differ in the texture of the cup and in the degree of cuticularisation of the synangial walls. The synangia of W. pecten are of the usual reniform type and multicellular as in W. spectabilis.
443
The distinguishing features of this species[1235], founded on material collected by Dr Halle from Lower Estuarine beds at Whitby, are (i) the greater number of linear sporophylls which bear numerous bristles or stout hairs, (ii) the loose coherence of the contracted proximal portion of the linear segments, and (iii) a narrower basal disc in place of the deeper cup of other species. One of the specimens referred to this species, formerly regarded by Nathorst as an infundibuliform organ of an ovulate strobilus of W. gigas[1236], bears a striking resemblance to an Indian fossil described by Feistmantel from India[1237].
Several specimens of Williamsonia have been described from the Rajmahal and other Jurassic series in India, some of which exhibit a close agreement with Williamsonia gigas. It is, however, noteworthy that no fronds of the Zamites gigas type have been discovered in Indian beds; on the other hand the association of fronds of the same type as Ptilophyllum pecten with Williamsonian strobili is significant, as also the occurrence of stems apparently identical in surface-features with English and Mexican species.
Oldham and Morris[1238] figured a specimen from the Rajmahal Hills consisting of a circular disc enclosed by a zone of ‘closely packed tubes,’ the basal portion of an ovulate Williamsonia strobilus, which they regarded as a pressed mass of young leaves ‘probably related to Palaeozamia’ [Ptilophyllum]. The figured specimen shows that the radially disposed ‘tubes’ surrounding the circular area are interseminal scales some of which are seen at the periphery in surface-view as small polygonal areas as in English specimens. Feistmantel[1239] refigured this specimen and referred it to Williamsonia gigas though on insufficient grounds. To the same species Feistmantel[1240] assigns two other specimens from the Rajmahal series, one of which consists of several narrow 444linear bracts partially enclosing a strobilus with a portion of the annular zone at the base in which the seminiferous scales are shown in longitudinal-view and a few in apical-view.
A third example from the same locality (fig. 557) is described by Feistmantel[1241] as part of one of Williamson’s ‘carpellary discs[1242],’ a comparison that is fully justified. The accompanying drawing has been carefully made from the actual specimen: portions of 10 very hairy bracts radiate in a horizontal plane from a continuous 445lamina with a wrinkled and ridged surface bent sharply back at right-angles to the bracts and forming a double curve as seen in the sectional view (fig. 557, C). The form assumed by the vertical part of the disc is, I believe, the result of compression. Wieland[1243] regards this fossil as a whorl of microsporophylls originally attached to the lower portion of the receptacle of a bisexual flower. Close to the edge of one of the bracts is an imperfectly preserved structure (fig. 557, B, s) which may represent two alternately arranged rows of synangia belonging to one of the hairy bracts; but we have no evidence as to the position of the microsporophylls on the flower-axis. The central space enclosed by the crushed concrescent portion of the disc is large enough to have embraced a receptacle but, on the other hand, the portion preserved may have broken off from a proximal cup like that of W. spectabilis[1244], which, as Nathorst’s specimens show, is sometimes broken across near the upper edge of the basal funnel. This specimen is spoken of by Feistmantel as Williamsonia gigas. It is impossible to say whether these Rajmahal specimens belong to one species, and they are therefore provisionally designated Williamsonia sp. and Williamsonia sp. cf. W. setosa.
This species is based on a compressed ovate strobilus surrounded by linear bracts and a portion of the cylindrical axis[1245]. It is possible that this smaller, bud-like, specimen may be a younger example of the species referred by Feistmantel to Williamsonia gigas.
Founded on a small strobilus enclosed by linear bracts, from the Jurassic rocks of Cutch[1246], very similar to Williamsonia pecten; as seen in fig. 558, drawn from the original specimen, the flower is associated with a Ptilophyllum frond indistinguishable from some examples of Ptilophyllum pecten.
446
This name is proposed for some imperfect specimens described by Feistmantel from the Godaveri district and named by him Williamsonia sp. cf. Williamsonia gigas[1247]. They differ from Williamsonia gigas in the larger size of the bracts which reach a length of 13 cm. and may be compared with those of a large specimen recorded from Mexico as Williamsonia Cuauhtemoc[1248].
It is almost certain that some at least of the Indian flowers were borne on stems with the foliage known as Ptilophyllum acutifolium, an inference based not only on the almost constant association of flowers and fronds but also on the juxtaposition of both kinds of organs with stems precisely similar to those described from England and Mexico. Though none of the specimens are sufficiently well preserved to afford much information as to structural features, Miss Bancroft[1249] has shown that the bracts of 447one of the examples assigned by Feistmantel to W. gigas are similar anatomically to those of Williamsonia scotica and are clothed with simple hairs. The important point is the very close correspondence between the Indian and English types of Williamsonia, as regards flowers, fronds, and stems.
This species was founded on several specimens from Wealden beds on the Sussex coast none of which afford information as to anatomical structure[1250]. It is not improbable that more than one species is represented. The ovulate cone, 6 cm. long, is surrounded by several linear bracts (fig. 559, A) and in shape resembles Bennettites Morierei Lign.; the bracts are broken across near the base, as is frequently the case in Williamsonia gigas, exposing an annular zone formed by persistent interseminal scales. From the inner 448face of some of the bracts project slender radiating plates (fig. 559, A′) which no doubt mark the boundary of the superficial and relatively large interseminal scales, like those forming the so-called pericarp in Bennettites Gibsonianus. The receptacle appears to have been conical, a feature recalling Bennettites rather than Williamsonia. The saucer-like impression shown in fig. 559, B, is practically identical with the corresponding portion of Williamsonia Leckenbyi: the centre is occupied by a raised area, the basal part of the receptacle, on which a series of peripheral prominences represents the vascular strands; the sides of the saucer show very clearly the reticulum formed by the distal ends of interseminal scales. One reason for assigning this species to Williamsonia rather than to Bennettites (or Cycadeoidea) is the occurrence in the same bed of a peduncle 12 cm. long and 3 cm. broad which probably belonged to the parent-plant of the cone. The surface of the peduncle shows spirally disposed scars of bracts crowded at the distal end and more widely separated in the lower portion.
In 1837 Buckland[1251] gave an account of a ‘unique and beautiful fossil fruit’ from Inferior Oolite beds at Charmouth in Dorsetshire and stated that the type-specimen was in the Oxford Museum. Professor Sollas kindly searched for the specimen some years ago but without success. Buckland considered that the fruit was related to the Pandanaceae and described it as follows: ‘The size of this fruit is that of a large orange, its surface is occupied by a stellated covering or epicarpium, composed of hexagonal tubercles, forming the summits of cells, which occupy the entire circumference of the fruit. Within each cell is contained a single seed, resembling a small grain of rice more or less compressed, and usually hexagonal. When the epicarpium is removed, the points of the seeds are seen, thickly studded over the surface of the fruit. The bases of the cells are separated from the receptacle by a congeries of foot-stalks formed of a dense mass of fibres, resembling the fibres beneath the base of the seeds of the modern Pandanus.’ At the suggestion of Robert Brown he called the 449‘fruit’ Podocarya, the specific name Bucklandi being afterwards given by Unger[1252]. Brongniart[1253] called attention to the resemblance of Buckland’s specimen to Williamsonia, and that name has been adopted by Saporta[1254], Nathorst, and other authors[1255]. Sowerby’s drawings illustrating the original description, one of which is reproduced in fig. 560, show that this unusually fine specimen is an ovulate Bennettitean strobilus very similar in its thick conical receptacle to some of Wieland’s species of Cycadeoidea, e.g. C. dacotensis (fig. 528): the armour of scales and megasporophylls agrees exactly with that of some species of Williamsonia from Yorkshire and with the flowers of Cycadeoidea. Though included in the genus Williamsonia it would not be out of place in Cycadeoidea.
The type-specimen was found by Hugh Miller near Cromarty (N.E. Scotland) and figured as a cone of peculiar form[1256]; it was obtained from a limestone nodule probably derived from Upper Jurassic rocks. The fossil is 11 cm. long and has a maximum 450breadth of 6 cm. (fig. 561): numerous linear bracts cover the surface and in the lower portion many of them are broken. A noteworthy feature is the absence of any clean-cut base, a fact pointing to fracture rather than a natural abscission of the fertile axis. The following description may serve to give a general idea of the salient characters. Flowering shoot ovoid, covered with linear bracts some of which are prolonged above the conical apex as slender tapered organs and two of them bear a few short lateral appendages (fig. 561, l), probably reduced leaflets, near their distal ends. The cylindrical axis, completely hidden by bracts, 1·5 cm. in its widest part, bears in the lower or sterile region bracts and long hairs and in the upper part interseminal scales and immature megasporophylls which together form a narrow band (fig. 562, S) 2 mm. broad extending over the incompletely preserved and conical apex, as in some of the American examples 451of Cycadeoidea. The strobilus was probably borne at the apex of a lateral branch given off from a stem covered with persistent petiole-bases: there is no evidence that this was the case, but the appearance of the ovoid cone suggests comparison with those of Williamsonia gigas which were terminal on fairly long branches and not partially hidden among the bases of fronds as in Cycadeoidea. It is, however, possible that the cone of Williamsonia scotica is a lateral structure: this suggestion is based on the occurrence of a small branch or bud, which may be the apex of the whole fertile shoot, given off from the cone-axis but only revealed in transverse sections. The interseminal scales, 2 mm. long and 0·23 mm. broad at the truncate distal end (fig. 563), are polygonal in section and arranged as rosettes of 5–6 around each megasporophyll (fig. 564, a section tangential to the peripheral layer of scales and sporophylls). The megasporophylls, equal in length to the scales, consist of a cylindrical axis bearing a terminal megasporangium, an undifferentiated nucellus, enclosed in a single integument prolonged as a micropylar tube above the conical end of the nucellus (fig. 563, B, C, a). Fig. 562 represents a transverse section through the cone showing the cylindrical axis with its compact covering layer (fig. 563, A, s) of sterile and fertile appendages, and beyond this sections of the enveloping bracts embedded in a dense felt of long hairs. The tissue of the axis, though very imperfectly preserved, shows occasional groups 453of secretory sacs and a few patches of scalariform tracheids: there is evidence of the occurrence of peripheral conducting tissue in the lower portion of the axis such as occurs in the peduncles of American species of Cycadeoidea described by Wieland. The bracts nearer the axis are more shrivelled than those farther away, the result of the feebler development of hypodermal stereome in the more internal bracts. Sunken stomata occur on the lower surface of some of the bracts: several collateral bundles are present in each and large secretory ducts are abundant. The numerous hairs on the bracts and the sterile region of the cone are outgrowths of epidermal cells; most of them consist of a short basal cell and a very long thick-walled tubular hair reaching a length of several centimetres. In some cases the basal cell bears a group of short cells each of which is the starting-point of a long hair: this is worthy of notice from the point of view of comparison with the ramenta of other Bennettitalean flowers. The short proximal cell of a hair is surrounded by a cuticular ring like a rounded base-moulding where it rests on the epidermis: this has been aptly compared to the dark rings that form 454a striking feature of the cuticular membrane of Ptilophyllum leaflets[1257].
In the examination of the type-specimen the first section cut was transverse to the axis (fig. 562), and this happened to traverse the lowest part of the fertile region of the receptacle, as was shown by the fact that in the next lower section the axis bore only bracts and hairs. It is clear that the sterile portion of the receptacle passed abruptly upwards into the fertile region, and it is extremely unlikely that any microsporophylls were borne at the base of that portion of the cone-axis which produced the scales and megasporophylls. The cone was, in all probability, unisexual. On the analogy of the cones shown in figs. 513, 514, one would expect to find between the sterile and fertile regions either a verticil of microsporophylls or the remains of an annular disc from which the effete sporophylls had been detached. There is no trace of any such disc, and the fact of the immaturity of the megasporophylls renders it unlikely that were the cone bisexual the microsporophylls would have been detached. As previous records show, there is nothing improbable in the occurrence of a unisexual Bennettitean flower. These remarks are made in view of an opinion expressed by Dr Wieland that the bracts with lateral appendages (fig. 561, l), to which allusion has been made, are microsporophylls and that if the cone had been sliced longitudinally the presence of a microsporophyll-disc would have been discovered. The latter possibility has already been considered, and as regards the former there is nothing in the structure of the small lateral appendages of the longest bracts to indicate that they were connected with spore-production. It is not unlikely that the bracts with small outgrowths (fig. 561, l) correspond to the more leaf-like bracts of Wielandiella and Williamsoniella. The two sets of organs spoken of as interseminal scales and megasporophylls are probably homologous, foliar, structures; in the one case leaves transformed into cylindrical organs bearing terminal integumented and undifferentiated megasporangia and, in the other, sterile or sterilised sporophylls. The polygonal truncate distal end of an interseminal scale is flat or slightly concave and covered by 455a thick epidermis, and on the sides of the scale many of the surface-cells are strongly papillose (figs. 563, 564). The rest of the interseminal scale consists mainly of elongated cells, which in the lower portion of the axis of the scale assume a tubular form, presumably immature conducting elements: in one scale only was any tracheal tissue found and that was represented by 2–3 scalariform tracheids. The scales appear to arise from the axis like the bracts as superficial outgrowths, and probably in a later stage of development the centre of each scale would be occupied by a vascular strand. The megasporophylls bear a close resemblance to the scales, but in transverse section they appear as smaller and circular organs each the centre of a group of polygonal interseminal scales precisely as in other Bennettitean flowers (fig. 564; cf. fig. 515). The proximal part of a megasporophyll consists of a column of parenchyma (fig. 563, A, s) extending through half of the length; from this column is detached a narrow cylinder of small crushed cells which most likely represents the remains of tissue that originally occupied the space surrounding the axial column. At a higher level the axial column becomes broader and its short cells more elongated and slightly divergent towards the sloping sides of the conical nucellus. The loose cylinder of tissue is attached to the nucellar cone and prolonged beyond its apex as a broad integument enclosing a very small micropyle (fig. 563, C). The apex of the integument has the form of a shallow funnel: its epidermal cells are papillose (fig. 563, B, C) and the presence of short transversely elongated cells is a characteristic feature of the tissue lining the micropylar canal. The bracts agree generally with those of Cycadeoidea Gibsoniana, Cycadeoidea Morierei, and the American species. The ground tissue is composed of sclerenchyma comparable with the scalariform elements in the bracts of Cycadeoidea Gibsoniana (cf. fig. 520). It is in the possession of long hairs like those on the leaves of Dioon and other recent Cycads that Williamsonia scotica differs from previously described flowers in all of which the fern-like ramental scales are a conspicuous feature. It is interesting to find that similar hairs are substituted for scales in some Indian stems described by Miss Bancroft[1258]. Lignier[1259] mentions the occurrence of long unicellular hairs on 456Cycadeoidea micromyela (p. 415), a Jurassic French species, but the ramenta are in part multicellular lamellae and the presence of transitional forms suggests a possible derivation of hairs from scales both in fossil species and in recent Cycads. The megasporophylls and interseminal scales are much shorter than in Cycadeoidea Gibsoniana and other species in which the axis of the cone forms a depressed receptacle (cf. fig. 521, A, C), but they correspond closely with those of several American species. In Cycadeoidea Gibsoniana and C. Morierei the distal ends of the interseminal scales are much broader and their diameter greatly exceeds that of the micropylar tubes, 2·8 mm. as compared with 0·25 mm., whereas in Williamsonia scotica the scales are 0·23 mm. broad and the micropylar tubes 0·15 mm. The mummified micropylar tubes of W. pecten bear a striking resemblance in form and in the papillose epidermal cells to those of the Scotch species.
There are two additional points suggested by the structure of the fertile region, namely the possibility that the megasporophylls are arrested rather than immature organs and, secondly, the method of pollination. In regard to the first there would seem to be no adequate reason for doubting the correctness of the view that the sporophylls are potentially perfect ovules which were petrified at a comparatively early stage in development. The dense woolly covering investing the surface of the scales and megasporophylls recalls an inflorescence of Aesculus hippocastanum in its winter-fur and hardly suggests a collection of ovules accessible to microspores. In all probability at a later stage the protecting bracts with their felt of hairs would bend outwards leaving exposed the receptive micropyles.
In view of the association of microsporophylls and ovulate strobili in the flowers of Cycadeoidea described by Wieland, most of which are bisexual, it is reasonable to expect a similar association in the flowers of Williamsonia which agree closely in the essential features of both micro- and mega-sporophylls with those of Cycadeoidea. It is, therefore, surprising that in no single case have the microsporophylls attributed to Williamsonia been found 457in actual connexion with a receptacle bearing interseminal scales and megasporophylls. The same statement holds good with regard to the Williamsonias discovered in Mexico. Nathorst believes that the microsporophylls on which he has founded several species are unisexual flowers with the possible exception of W. pyramidalis[1260]. This species, found by Dr Halle at Cloughton Wyke, is represented by a small ovulate strobilus characterised by a conical receptacle with a blunt mucronate apex: with it is associated a microsporophyll bearing synangia. The orientation of the two specimens is such as to suggest an original connexion. As Nathorst says, there is, however, no proof that the two belong to one flower. Wieland[1261], though believing that the existence of bisporangiate Williamsonia flowers is ‘reasonably certain,’ agrees with Nathorst’s conclusion as to the unisexual character of W. spectabilis and W. pecten. On the other hand, he regards the microsporophyll-verticil which was first described by Williamson as a carpellary disc, then named by Nathorst[1262] W. bituberculata and afterwards identified as a microsporophyll-disc closely allied to W. whitbiensis, as the staminate part of W. gigas. This view is, in my opinion, impossible to reconcile with the nature of the specimen. If, as Wieland suggests, it is the staminal collar split off from the base of a large ovulate cone like that of Williamsonia gigas, one would expect to find a central space in the middle of the cupular base large enough to embrace the receptacle. Neither in this specimen nor in several other forms of microsporophyll-verticils is there such a central space. It is clear that the discs described as W. spectabilis, W. whitbiensis, and other species were not borne as concrescent collars on a stout axis as are the corresponding organs in Cycadeoidea. The Indian specimen reproduced in fig. 557 and the very closely allied type W. setosa are incomplete at the centre and may possibly have been borne at the base of an ovulate bisporangiate strobilus, but there is no definite evidence that this was the case. Moreover, in W. spectabilis the lower part of the cup (fig. 551) easily splits away from the rest of the staminate disc, and this may explain the central space in the specimen shown in fig. 549, A. If W. spectabilis, 458to take one example, is a complete flower there are certain difficulties which are not easily explained: as Nathorst has shown, in this type there is a short stalk, but in W. whitbiensis the base of the funnel has no stalk and there is no interruption of the stout lamina at the centre or any indication of a scar. Nathorst compares the funnel-like region of W. whitbiensis to a kind of cupule which became detached after flowering[1263]. But a cupule is supported on an axis and, though no scar is apparent on some of the more complete specimens, it is obvious that the verticil must have been supplied with vascular tissue from some axial organ. This brings us to the consideration of a morphological point which cannot be definitely answered. Nathorst has previously raised the question—is it possible that the microsporophylls were attached to the upper part of an ovulate strobilus; were the flowers bisexual and epigynous? He believes the answer to be in the negative. Reference has already been made to the probable occurrence at the apex of the receptacle of Williamsonia gigas of a funnel-like organ of the type described by Williamson as ‘carpellary disc[1264],’ a term under which Nathorst[1265] believes that Williamson included two different things,—staminate discs borne on separate, unisexual, flowers, and sterile organs called by Lignier[1266] the infundibuliform apparatus. The latter, it is believed, were attached to the apex of an ovulate strobilus as shown in fig. 548, comparable in position with the leaves at the summit of an inflorescence of Ananas. A comparison of the fossils regarded as infundibuliform appendages with some of the microsporophyll-verticils shows that they are identical in form, the only difference being that on the former there are no synangia. This fact can hardly be regarded as negative evidence fatal to the morphological identity of these sterile and fertile organs. The available evidence, though far from complete, is favourable to the view that in some Williamsonia flowers, e.g. W. gigas, the microsporophylls were produced at the apex of the axis in the position shown in fig. 548. To cite a rough analogy,—in Cycadeoidea the flower was hypogynous as in Erica; in Williamsonia 459epigynous as in Vaccinium. This view does not exclude the possibility of the existence of unisexual flowers in some species, but the evidence in favour of a separation of the sexes is by no means decisive. Another difficulty is the absence of protective bracts in the case of the microsporophylls, a striking contrast to the bract-enclosed ovulate strobili of Williamsonia or to the bract-covered flowers of Cycadeoidea. Were the microsporophylls borne on a separate axis general considerations would lead us to expect the association of bracts with the essential organs. The fact that no such association has been recorded is a fact favourable to the view that the flowers were bisporangiate.
The student is warned that the opinion expressed with regard to the position of the microsporophylls is contrary to that which is held by several palaeobotanists[1267].
This species is one of the numerous types discovered by Wieland in Mexico[1268]. It is distinguished by the deep campanulate 460concrescent portion of the whorl of microsporophylls and by the ten short free lobes which bear two rows of lateral synangia (fig. 565, C). Among the British forms Williamsonia whitbiensis would appear to be the most closely allied type. W. mexicana occurs in association with Otozamites fronds, as is the case with an Italian specimen figured by Zigno[1269], but in the Mexican species there is no conclusive evidence of organic connexion.
A Jurassic species from Afghanistan[1270] founded on a single specimen of a flattened broadly-oval flower similar to W. gigas but smaller and enclosed by narrow linear bracts. An interesting feature is the occurrence of a funnel-shaped depression at the apex showing radiating lines on its surface as in the Williamsonia represented in fig. 546, A. In all probability these lines denote the persistence of a collar of interseminal scales on the upper part of the elongated conical receptacle. An examination of the carbonaceous material revealed the presence of some short rods agreeing in size and shape with the interseminal scales of other species.
Zigno[1271] instituted the generic name Blastolepis for some specimens from the Jurassic rocks of north Italy which he referred to three species, B. falcata, B. acuminata, and B. Otozamitis. These are true Williamsonias closely allied to W. gigas. An examination of the type-specimen of B. Otozamitis in the Padua collection led me to the conclusion that Zigno was correct in representing the ovulate strobilus, which shows an annular area like that in specimens of W. gigas, as being in organic connexion with an Otozamites frond. Wieland has recently discovered species of Williamsonia in Mexico that he correlates with Otozamites leaves.
Though by no means satisfactory as a trustworthy record of the genus, the specimens so designated from the Kimmeridgian of Scotland[1272] are probably imperfect examples of the genus.
461
The type-specimen from Jurassic rocks in Oregon[1273] consists of a stout axis bearing several contiguous linear bracts forming a more or less spherical cluster 5 cm. broad. The form suggests a Williamsonia, but the evidence is hardly decisive.
A Bornholm species[1274] from Lower Jurassic strata represented by an annular zone surrounding a central area, probably a portion of an ovulate strobilus.
This Upper Jurassic species from Portugal[1275] consists of a number of small bracts or leaves attached to a central axis and is of no value as evidence of the occurrence of Williamsonia.
This species was first described from the Amboy clays as Palaeanthus (Williamsonia) problematica[1276] and compared to a Composite inflorescence with long ray-florets. More recently Hollick[1277] has referred to this species specimens from the Cretaceous of Long Island and Martha’s Vineyard, but none of them afford conclusive evidence of Williamsonian affinity. Some of the examples, as suggested by Hollick, agree fairly closely with Williamsonia cretacea Heer.
The curious urn-like bodies from the Amboy clays[1278] on which this species is based are not unlike the capsules of a Papaver but bear no real resemblance to a Williamsonia.
A species from the Cretaceous rocks of Martha’s Vineyard[1279] referred to Williamsonia on rather slender grounds and represented by imperfect material.
462
This fossil from the Cretaceous of the Black Hills, Dakota[1280], is much too imperfect to be accepted as a record of Williamsonia.
This species, founded on part of a conical receptacle with some appendages superficially resembling those of Williamsonia[1281], is too incomplete to be determined with any confidence. The type-specimen is from Cenomanian beds in Kansas.
This is undoubtedly a true member of the genus; it is characterised by narrow ovate bracts bearing conspicuous hairs surrounding the base of a receptacle which shows a portion of an annular zone of interseminal scales[1282].
This species from the Potomac beds[1283] is of no value as a record of Williamsonia.
The imperfectly preserved specimen from the Potomac series so named by Ward[1284] is probably part of an Abietineous cone as stated by Berry[1285] who includes Ward’s type with other specimens referred to Abietites macrocarpus Font.
Two specimens, figured by Heer[1286] from the Lower Cretaceous of Greenland, on which this species is founded, consist of an axis covered with small scale-leaves and at the broad apex bearing numerous narrow linear bracts forming a more or less spherical cluster 3·8 cm. in breadth. The species resembles W. problematica (Newb.).
463
The specimens from the Middle Cretaceous of Canada figured by Dawson[1287] under this name are very imperfect and of no botanical value.
The specimens on which this genus is founded were originally described by Nathorst from Höör in Scania as Williamsonia angustifolia[1288]: in a second paper[1289] a restoration of the plant was published (fig. 566). The examination of additional specimens from the Rhaetic of Bjuf and of cuticular preparations led to the establishment of a new genus Wielandia[1290] for which Wielandiella[1291] was afterwards substituted, Wielandia having been previously employed for an existing plant. Wielandiella agrees in the general morphology of its bisporangiate flowers with Cycadeoidea, but differs widely from nearly all other members of the Bennettitales in the repeatedly forked slender stem which is in marked contrast to the vegetative axis of any recent Cycad. Among recent Cycads with 464terminal strobili an indication of a primitive dichasium is afforded by the occurrence of an aborted bud in a stem of Dioon edule described by South and Compton[1292]; but in the habit of the stem Wielandiella is far removed from any recent Cycadean type. The microsporophylls are smaller and simpler than in Williamsonia or Cycadeoidea and the foliage-leaves are of the Anomozamites type (cf. fig. 615).
In an account of this species in 1902 Nathorst described two types of strobilus, male and female, but a re-investigation of the material led to a modification of the earlier conclusions. The stem is slender, rarely exceeding 1·5 cm. in breadth, repeatedly branched as a dichasial system with a fertile shoot in the forks formed by the equal and widely divergent branches. Nathorst’s restoration, as he points out, may exaggerate the regularity of the branching, but an examination of the original specimens in the Stockholm Museum convinced me that the habit represented in fig. 566 is substantially correct. The method of branching is similar to that in the inflorescences of Gnetalean plants and recalls some Gleichenia fronds. The surface of the thicker pieces of stem shows fine longitudinal striae, while transverse striations like those on the axis of a Heterangium frond characterise the 465more slender specimens. Closely set polygonal leaf-scars cover the stem for a short distance below each bifurcation and the surface of the short and relatively stout peduncles of the strobili (fig. 567). Though for the most part confined to the region of false dichotomy, leaf-scars occasionally occur on other parts of the stem. Small fronds, 7–8 cm. long, agreeing closely with Anomozamites minor Brongn., occur in the same beds at Bjuf, and the striking resemblance between their long linear and winged petioles and the transversely striated bracts enclosing the strobili of Wielandiella amply justifies Nathorst’s conclusion that Wielandiella bore fronds of the Anomozamites form[1293]. Small scars marking the position of bracts occur immediately below each strobilus and occasionally form narrow zones between the larger foliage leaf-scars. The strobili are met with in two forms representing two states of preservation and, probably, different ages. In one form the strobilus consists of a small pyriform axis separated from the peduncle by an annular swelling characterised by parallel striations (fig. 567), the so-called palisade-ring. From this ring Nathorst obtained many microspores scattered and in groups on the surface of short sporophylls, 2·5–3 mm. in length. It is these sporophylls which form the parallel striations; they occur as a circle of rather broad linear organs with irregularly toothed distal ends and an epidermis of papillose cells. The oval microspores, 32–42μ long, vary in size and, as Nathorst says, this may indicate immaturity. The precise mode of occurrence of the spores has not been ascertained, but they were probably produced in sporangia on the surface of the small microsporophylls. These strobili have in all probability lost the female organs which were borne on the pyriform axis, and the inference is that the strobili were protogynous. Thomas[1294] compares the ring at the base of the flower-axis from which spores were obtained by Nathorst to the whorl of microsporophylls of Williamsoniella, but in Wielandiella the sporophylls are greatly reduced and possibly functionless. Wielandiella may be intermediate between the bisexual Williamsoniella and the unisexual Williamsonia scotica. In the second form of strobilus the pyriform axis is hidden and 466the specimens consist of a central ovate body, approximately 3 cm. long, surrounded by several linear bracts (fig. 568, A). The carbonised surface of the central region revealed on chemical treatment a fairly regular pattern formed by the contiguous polygonal ends of interseminal scales arranged round smaller cylindrical micropylar tubes which project beyond the level of the scales (fig. 568, B). This arrangement agrees closely with that of the corresponding organs in Williamsonia and Cycadeoidea (cf. figs. 515, 564). In Wielandiella the micropylar tubes are of uniform diameter and the cells of the epidermis have smooth walls in contrast to the micropylar tubes of Williamsonia (fig. 563). The strobilus in this state, before the scales and ovules have become detached from the axis, may be described as a small Williamsonia, but the habit of the stem is in itself a sufficient reason for the use of a distinctive generic name[1295].
A second species, Wielandiella punctata, described by Nathorst[1296] from Scania is founded on pieces of forked stems associated with fragments of a palisade-ring formed of contiguous segments (microsporophylls) with microspores 58μ in length. Fronds of Anomozamites minor occur in the same beds.
467
Mr Hamshaw Thomas[1297] described some specimens from the Middle Jurassic beds of Marske in Yorkshire which he suggested might be pieces of a Wielandiella stem. Additional material was subsequently found and this enabled Thomas to produce evidence in favour of connecting the branched vegetative axis with bisporangiate strobili and the fronds of Taeniopteris vittata. For the stems and flowers the new designation Williamsoniella has been proposed. Further research will no doubt show that the Wielandiella type of stem was not exceptional in Rhaetic and Jurassic floras.
Nathorst[1298] suggests the possibility that some specimens from the Solenhofen Slates described by Thiselton-Dyer[1299] as Condylites squamatus may be allied to Wielandiella. The generic name Condylites was suggested by the elbow-like branching of stems which bore imperfectly preserved and apparently terminal cones; the surface of the branches is covered with the scars of leaves. The resemblance to Wielandiella is, however, slight and it would seem more probable that the Solenhofen fossils are Coniferous, though, as Nathorst says, the supposed scale-like ‘leaves’ may be scars of Cycadean fronds.
Wieland[1300] records the occurrence in Mexico of stems similar to those of Wielandiella associated with some Otozamites fronds.
This genus was instituted for specimens discovered by Mr Hamshaw Thomas[1301] in the Middle Estuarine series of the Middle Jurassic plant-bed at Gristhorpe on the Yorkshire coast, and the genus is recorded also from the Cleveland district in the same county. Williamsoniella occurs in those parts of the Gristhorpe bed where fronds of Taeniopteris vittata are abundant.
The type-species is represented by fertile shoots consisting of a central axis bearing both megasporophylls and microsporophylls (figs. 569, 571, A). Below its crown-like sterile apex the pyriform peduncle is covered with small interseminal scales and ovules 468similar to those of Williamsonia: this portion is 6 mm. in diameter and 1 cm. long. A whorl of separate cuneate microsporophylls forms a hypogynous ring below the basal interseminal scales: each sporophyll is attached by a narrow base (fig. 570) and bears 5–6 reniform synangia containing microspores. The flower is thus bisexual: it affords no conclusive evidence of the occurrence of any covering bracts like those of most Bennettitalean flowers. In young specimens the microsporophylls are closely packed round the axis (fig. 571, B). The flower-stalks reach a length of 3·5 cm. and are 3 mm. in diameter. Fig. 571, C, shows a receptacle from which the sporophylls have fallen: the microsporophylls having been no doubt attached to the collar-like swelling at the base. Towards the apex the axis becomes broader and at s a few interseminal scales are left: above these is the apical disc (corona) characterised by longitudinal ribs. An apical disc is 469reproduced in fig. 572; it has the form of a royal crown 1–2 mm. high with 12–16 vertical ridges separating flat surfaces formed by the pressure of microsporophyll apices in the unexpanded 470flower. The corona is surmounted by a small conical elevation which represents the apex of the fertile axis. An apical view of an unexpanded flower is shown in fig. 571, B; the tips of 12 sporophylls are closely pressed against the corona which probably consists in part at least of fused interseminal scales. The microsporophylls were shed after the dehiscence of the synangia. Each sporophyll is flattened on the sides and thicker on the curved outer edge; the synangia, usually in two rows of three, are borne on the sloping sides (figs. 569, 570). The surface of a microsporophyll is covered with small rounded projections which produce a characteristic appearance. The form of a microsporophyll in section is shown in fig. 570: the synangia are similar in shape to those of Cycadeoidea and Williamsonia (cf. figs. 531, 549, etc.) but there are no external indications of septa like those seen in some other types. On macerating some specimens it was found that the spores occur in about 20 groups. The circular or elliptical spores are 0·02 mm. in diameter. The walls of the epidermal cells of the microsporophylls are straight: the stomata, which show the features characteristic of the Bennettitales, agree closely with those of Taenopteris vittata.
The interseminal scales associated with the ovules and covering the pyriform axis above the microsporophylls are more or less flattened and hexagonal and the micropylar tubes often project far beyond the scales. Each micropyle-tube is surrounded by 5–6 interseminal scales (cf. fig. 564). The ovules differ from those of Cycadeoidea Gibsoniana in the absence of a distinct pedicel and agree with the corresponding organs of Williamsonia scotica[1302]. In the absence of epidermal papillae the micropylar tubes resemble those of Wielandiella angustifolia. As already stated, the flowers appear to be without protective bracts, but in the shale from which the specimens were obtained a few bract-like organs were discovered consisting of a lanceolate lamina 1·5 cm. 472long, and 2–3 mm. broad near the base, and some showed a small oval lamina at the apex with a midrib and dichotomously branched lateral veins. These bracts with the terminal lamina are regarded by Thomas as almost certainly reduced leaves of the Taeniopteris vittata type: they are represented in the restoration (fig. 573) as occurring at the base of the flower-peduncle. Stomata were found on the bracts exactly like those on the microsporophylls, and this affords a strong argument in support of the view that Williamsoniella belongs to the plant which bore Taeniopteris fronds. There is a close parallelism between the bracts accompanying Williamsoniella flowers and those described by Nathorst in connexion with Wielandiella[1303]. It seems reasonable to regard the bracts as serving the purpose of bud-scales.
An important point is the constant association with the flowers of Taeniopteris vittata fronds, a species described in Vol. ii. and by most palaeobotanists regarded as a Fern frond. Taeniopteris leaves occasionally show a clean-cut base[1304] and in specimens described by Thomas there are two small humps on the surface of the proximal end of the petiole which represent vascular bundles. Humps of similar size occur on the leaf-scars of stems which are believed to have borne both Taeniopteris leaves and Williamsoniella flowers. Fragments of the stems were found in association with flowers: they are 7 mm.–2 cm. in diameter and frequently forked and there is evidence that the flowers were borne at the forks, the shoot forming a dichasial system. The habit of the plant is represented in fig. 573 reproduced from Mr Thomas’s paper.
This species described by Nathorst as Williamsonia? Lignieri from Whitby is regarded by Thomas as a Williamsoniella. The stomata on the microsporophylls agree with those of Taeniopteris and the spores obtained from Nathorst’s flower-buds are like those of Williamsoniella coronata. Evidence is adduced by Thomas in favour of regarding W. Lignieri as bisexual and not unisexual as Nathorst supposed.
473
In habit Williamsoniella resembles Wielandiella: in the latter genus the foliage-leaves were confined to portions of the stem near the forks, while in Williamsoniella they were more uniformly scattered: Wielandiella bore leaves of the Anomozamites form while Williamsoniella flowers are always associated with Taeniopteris fronds. The much greater spore-output of Williamsonia may, it is suggested by Thomas, be correlated with the unisexual nature of the flowers of that species. The microsporophylls of Williamsoniella differ in their more reduced form from the pinnate microsporophylls of Williamsonia, e.g. W. spectabilis, and agree more closely with those of Wielandiella. The microsporophylls of Williamsoniella are free and not connate at the base as in Cycadeoidea and Williamsonia. In its pyriform axis Williamsoniella resembles Williamsonia gigas and differs from Williamsonia Leckenbyi in the possession of a sterile apical corona: Williamsoniella has megasporophylls and microsporophylls both of which appear to be functional, while in Cycadeoidea fully developed microsporophylls occur in association with megasporophylls which are immature and must have matured much later than the microsporophylls. The new genus agrees with Williamsonia in its general features, but the flowers are smaller and are characterised by the considerable reduction and simplification of the male organs.
This genus was founded[1305] on a specimen from the Lower Rhaetic of Scania, at first regarded as a megastrobilus and on further examination[1306] found to be a collection of microsporophylls resembling those of Williamsonia and Cycadeoidea. The type-species is Cycadocephalus Sewardi, and a second species, C. minor, was subsequently discovered by Dr Halle at a slightly higher horizon in the Rhaetic series. Prof. Nathorst’s most recent account of the genus affords a striking illustration of the possibilities of the method, which he has employed with conspicuous success, of investigating carbonised fossils by means of cuticular preparations.
474
The type-specimen consists of an oval cluster of 16–18 linear microsporophylls, 9 cm. long, springing from a small circular disc formed of their concrescent and narrow bases. The whole flower (fig. 574) exclusive of the peduncle is 10 cm. long and 7 cm. broad. The portion of the comparatively slender peduncle that is preserved shows no trace of leaf-scars. In the middle of each linear microsporophyll is a keel-like midrib and on either side of this is a series of linear appendages (fig. 574) 2–3 cm. long lying in a radial direction towards the centre of the flower. These appendages were originally thought to be seeds (fig. 574, a), but it was suggested by Wieland that they might be synangia, the circle of leaves being the male portion of a bisexual flower of the Cycadeoidea type. Nathorst’s more 475complete investigation of the specimen confirmed the first of these suggestions, but there is no evidence that there was an ovulate receptacle in the centre of the flower. The appendages are attached by a rather broad and slightly cordate base and are represented by a thin carbonised cuticle of rectangular cells showing in one case a row of imperfectly preserved stomata: on this are numerous groups of tetrahedral microspores, about 55μ in diameter, which show a more or less well marked arrangement in rows transverse to the long axis of the thin laminae. It is clear from Nathorst’s researches that the groups were enclosed in loculi bounded by thin-walled cells[1307], the loculi being in transverse rows on each side of a midrib. Nathorst speaks of the appendages as synangia characterised by the large number of the sporogenous compartments, and he compares them especially to the fertile leaflets of Danaea elliptica as described by Bower[1308], each appendage being comparable with a revolute Danaea pinnule in which the edges of the lamina are united. This is illustrated by the section of an appendage (fig. 574, D) reproduced from Nathorst’s restoration of a Cycadocephalus microsporophyll. From a morphological point of view it would seem more appropriate to speak of the appendages as highly modified pinnules rather than synangia. The second species, C. minor, agrees closely except in its smaller size with the type-species. Nathorst regards Cycadocephalus as a unisexual flower differing from those of Williamsonia and from the microsporophyll-verticils of Cycadeoidea in the structure of the synangia and in the tetrahedral form of the spores, though the latter feature he considers to be of secondary importance, as both bilateral and radial spores occur in recent Marattiaceae. He includes the genus in the Bennettitales but suggests that it should be referred to a separate family as an indication of the possession of characters which mark it off from Williamsonia, Weltrichia, Wielandiella, and Cycadeoidea.
The name Weltrichia was given by Braun[1309] to some Rhaetic fossils discovered by Weltrich near Culmbach in Franconia which 476represent funnel-shaped structures, the lower part having the form of an incomplete cup made of the concrescent bases of about 20 broadly linear segments which in the upper part are separate lanceolate lobes each with a midrib and slightly curved inwards at the apex. The whole, nearly 10 cm. long and 9 cm. in diameter at the upper edge, is very similar to the specimen of Williamsonia spectabilis reproduced in fig. 551. Braun described three species, but he realised the possibility that the different forms may be different stages in the development of a single type Weltrichia mirabilis. He assigned the genus to the Rhinantheae. Saporta[1310] drew attention to the resemblance of Braun’s species to some examples of Williamsonia from Yorkshire which he considered to be portions of a sterile appendage borne at the apex of the flower. Some account is given of two types of funnel-like structures connected with Williamsonia flowers on a previous page[1311]: one of these has been shown by Nathorst to be a whorl of microsporophylls, and it is with this that Weltrichia agrees. An important feature of Weltrichia is the occurrence of short linear segments, 5–8 mm. long, attached to the inner face of each of the free portions of the linear lobes: the lobes, or more correctly the free apical portions of the fertile leaves, and their slender appendages are compared by Nathorst[1312] to the microsporophylls and relatively long synangia-bearing appendages of Cycadocephalus. These, presumably fertile, segments of Weltrichia project in the flattened impressions beyond the edges of the free lobes of the campanulate flower and look like marginal teeth, though they are actually attached on each side of the midrib and originally extended, as in Cycadocephalus, towards the centre of the funnel-shaped flower. The examination of one of the type-specimens acquired by Nathorst[1313] for the Stockholm Museum enabled him to confirm his earlier conclusion that Weltrichia represents the male portion of a flower, whether unisexual or bisexual cannot be definitely determined, of a Bennettitalean plant. There is, as Nathorst states, a close agreement in plan between Weltrichia, Cycadocephalus, and Williamsonia, and indeed it is not clear in what respects Weltrichia is sufficiently distinct 477from Cycadocephalus to be retained as a separate genus. Our knowledge of Weltrichia is, however, less complete than in the case of Cycadocephalus and Williamsonia. It is noteworthy that Braun’s specimens and those on which Cycadocephalus was founded were obtained from Rhaetic rocks. An account of Weltrichia has also been published by Schuster[1314] who differs from Nathorst in his interpretation of the type-specimens: he considers that another fossil described by Braun and named by him Palaeoxyris microrhombea is the central, female, portion of a Weltrichia flower, a view that is not supported by any substantial evidence. The specimens referred by Braun to Palaeoxyris and afterwards transferred by Schimper[1315] to the genus Lepidanthium are too obscurely preserved to be determined with any degree of confidence, and their connexion with Weltrichia is purely hypothetical. With Weltrichia Schuster also connects the fronds known as Otozamites brevifolius Braun and some impressions of stems, combining all in a restoration of a complete Weltrichia plant which rests more on imagination than on fact. Attention has elsewhere[1316] been called to some wholly misleading and incorrect statements made by Schuster which vitiate the value of his descriptions.
Saporta[1317] described a species of Weltrichia, W. Fabrei. from French Rhaetic strata at Mende (Lozère) which bears at least a close superficial resemblance to Williamsonia spectabilis, and the same author founded another species, Weltrichia oolithica, on a drawing by Zigno of a specimen from Jurassic rocks in Italy; but this appears to be too imperfect for accurate identification.
All that can be said as to the nature of Weltrichia, as illustrated by the type-species, is that it represents a Rhaetic example of a verticil of microsporophylls very similar to those of Williamsonia and Cycadocephalus, if not generically identical with the latter form.
Most of the stems now under consideration are represented by casts or impressions and afford no information with regard to anatomical characters. They are in many cases more slender and less tuberous than typical Cycadeoideas, and a few are characterised by an irregular form of branching, as is shown in some specimens of pith-casts from Wealden strata in Tilgate Forest figured by Mantell[1318] and now in the British Museum. The genus Wielandiella[1319] (fig. 566) is an altogether distinct type represented by flowers as well as vegetative organs. Several generic names have been proposed for Cycadean stems agreeing with those of many recent Cycads in the possession of an armour of persistent leaf-bases, but distinguished from Cycadeoidea in the absence of any fertile lateral shoots intercalated among the petiole-bases. It is, however, impossible in most cases to give any satisfactory definition by which these genera can be distinguished from one another; the characters employed by Carruthers[1320], Saporta[1321], and other authors are of comparatively little importance as trustworthy criteria and to a large extent are merely the expression of different states of preservation or of differences in age. Attention has elsewhere been called to the absence of any clear dividing line between stems referred to Bucklandia, Yatesia, Fittonia and Cylindropodium. The species Cycadeoidea gigantea described on a previous page affords an instructive example of the difficulty 479of drawing a generic distinction between certain types of Cycadean stems: in habit, in the form and structure of the leaf-bases, and in the ramenta this species is identical with other species of Cycadeoidea, but it differs in the absence of lateral fertile shoots, a feature that may have no morphological significance. It has already been pointed out that the absence of flowers intercalated among the leaf-bases may simply mean that the plant had not reached the stage of flower-production, or their absence may be due to some unfavourable conditions. Similarly the stems for which Saporta proposed the generic name Clathropodium agree in every respect with Cycadeoidea except in the absence, apparent or real, of lateral flowering branches. Such types as Clathropodium foratum Sap. and C. sarlatense Sap.[1322], the latter probably from Upper Jurassic beds and the former from an unknown locality, should be included in the genus Cycadeoidea. The stem referred by Saporta to his genus Platylepis as P. micromyela[1323] was originally assigned to Cycadeoidea and more recently Lignier has wisely adopted the original generic name. The generic term Bolpopodium, also instituted by Saporta[1324], is applied to small tuberous stems which appear to be identical with the Cycadeoidea type.
Having regard to the meagre data supplied by casts of stems preserved in various stages of defoliation, and in view of the impossibility of drawing other than purely arbitrary generic distinctions, it is preferable to employ one generic name in a liberal sense for stems that there is good reason to regard as plants that cannot reasonably be referred to Cycadeoidea. The name Bucklandia is thus employed, and a few examples are described in illustration of the external features of stems that are undoubtedly Cycadean but in most cases readily distinguished from Cycadeoidea. There are substantial grounds for stating that plants which bore flowers of the Williamsonia type possessed stems having the characters of Bucklandia. It should, however, be remembered that we cannot always draw a clearly defined distinction between flowers included in Williamsonia and Bennettites, or Cycadeoidea, particularly when they are represented only by detached ovulate strobili as in Cycadeoidea (Bennettites) Morierei and Williamsonia scotica.
480
Bucklandia was proposed by Presl[1325] for a plant described by Mantell[1326] from the Wealden of Tilgate Forest and compared by him to the Euphorbiaceae and arborescent Ferns; the same generic name was given by Robert Brown in 1832 to a recent member of the Hamamelidaceae. Stokes and Webb[1327] referred the same fossil to Clathraria, a name applied by Brongniart[1328] to certain types of Sigillarian stems and afterwards adopted by him for the Tilgate Forest species, C. Lyelli. Presl ‘with remarkable discrimination’ recognised the Cycadean nature of the specimen. Carruthers[1329] in his definition of Bucklandia includes a statement as to the nature of the carpellary leaves and suggests that a cone associated with the stems may be a staminate strobilus: the cone is undoubtedly a megastrobilus of an Araucarian plant and there is no evidence with regard to the nature of either the male or female reproductive organs in the material that he describes though, as already pointed out, there are reasons for believing that Williamsonia flowers were borne on branches of Bucklandia stems. The flowering shoots were not short and intercalated among the petiole-bases as in Cycadeoidea with the strobili barely projecting beyond the surface of the leaf-base armour, but they formed comparatively long branches, sometimes forked, at the apex of the main stem (cf. figs. 541–543).
Bucklandia is usually represented by casts, from Rhaetic to Lower Cretaceous strata, differing from Cycadeoidea in the absence of numerous axillary short fertile shoots, in the more slender form and greater length of the stems, and in the less uniform size of the persistent leaf-bases which assume various forms. Some of the specimens reach a length of 4 feet and afford evidence of occasional branching: the surface is covered with leaf-bases preserved as imbricate, broad, and obtuse or truncate scales (fig. 575), or as slightly convex polygonal areas in some cases showing a tendency towards an irregular zonal arrangement of larger and smaller leaf-bases (fig. 576). Within the armour of leaf-bases there may be a cast of the large pith the surface-features 481of which are practically identical with the cast of a recent pith reproduced in fig. 398. Casts of the pith preserved as separate fossils are included in the genus Cycadeomyelon.
There is evidence of the occurrence of more than one zone of vascular tissue in a stem from Lower Greensand beds of Bedfordshire described by Carruthers as Yatesia Morrisii[1330] (= Bucklandia Yatesii), and Dr Stopes[1331] has recently described a species, B. buzzardensis (fig. 578), with several zones of conducting tissue. This feature has not so far been satisfactorily demonstrated in Cycadeoidea. An Indian species, Bucklandia indica, shows that the secondary xylem is more compact than in typical Cycadeoidea stems, and the tracheids have multiseriate pitting.
Two long and narrow stems figured by Nathorst from the Rhaetic of Scania as Bucklandia Saportana[1332] differ from other species in the irregular arrangement of the leaf-bases which in certain regions are crowded as in the typical example of the genus shown in fig. 576, but in the intervening portions of the stem they are few in number and widely separated by the finely striated bark. This type, though similar to some specimens of English, Mexican, and Indian Bucklandias in the zonal differences in the leaf-bases, represents an extreme case of the alternation of smaller and crowded and larger and scattered leaf-scars. It is by no means unlikely that Bucklandia Saportana forms a transition between Bucklandia and the stem of Wielandiella described by Nathorst from the same region: in Wielandiella the leaf-scars are concentrated at the region of forking but a few occur elsewhere: in B. Saportana there is no evidence of branching and in this respect it differs from Wielandiella.
This species, from Wealden beds in Sussex, was first described by Stokes and Webb[1333] as Clathraria anomala, and the same type was figured by Mantell and other authors as Clathraria Lyelli. The specimens referred by Carruthers to Bucklandia anomala and B. Mantelli[1334] do not exhibit any well defined specific differences, 482and there would seem to be no reason for retaining both specific names. The petiole-bases are usually sub-rhomboidal in form and convex or flat, but in some stems more of each petiole is preserved and the surface is covered with broad imbricate scales (fig. 575) similar to some of the detached scales described under the generic name Cycadolepis. Pith-casts occur both in connexion with the Bucklandia stems and as detached specimens. The leaf-bases often show an irregular zonation of smaller and larger rhomboidal areas. The pith-cast in the lower part of the specimen from the Wealden of Cuckfield in Sussex shown in fig. 575 is 5 × 3·5 cm. in diameter.
483
This species, from the Wealden beds on the Sussex coast[1335], was originally described as Fittonia Ruffordi, but in the absence of any well defined distinctive features that can be regarded as of morphological significance it is better to include it in Bucklandia. The species affords a good example of a long and narrow type of stem, one specimen reaching a length of nearly 80 cm. with a breadth of about 10 cm.; the surface is covered with persistent leaf-bases 1·7 cm. in depth with a scar agreeing in size and shape with the base of a frond of Otozamites Goeppertianus (Dunk.)[1336] found in the same beds. There is no indication of any alternation of large and small leaf-bases, and the species is characterised by the uniform size and relatively greater depth in a vertical direction of the leaf-base areas. In all probability the stem bore fertile branches similar to those of Williamsonia gigas with flowers of the Williamsonia type: the fronds may have been those known as Otozamites Goeppertianus, but this has not been demonstrated. A stem described by Carruthers from the Lias of Lyme Regis as Yatesia gracilis[1337] and afterwards included by me in Cycadeoidea[1338] is very similar to B. Ruffordi in its long and narrow form and in the shape of the leaf-bases; it should be transferred to Bucklandia as B. gracilis (Carr.).
This species was founded on a cast from Lower Oolite beds at Brora in Sutherlandshire[1339] characterised by leaf-bases very similar to those of B. anomala but smaller. Casts from the same locality were named by Carruthers Yatesia crassa and Y. Joassiana[1340], but an examination of specimens in the Dunrobin Museum leads me to regard these forms as indistinguishable from B. Milleriana. The specimen reproduced in fig. 576 from the Great Oolite of Brora illustrates the external characters of a typical stem and shows the variation in the size of the leaf-bases. A portion of the pith-cast is exposed in the lower part of the stem.
484
This type from the Lower Greensand of Bedfordshire (fig. 577) was described by Carruthers as Cycadeoidea Yatesii and subsequently named Yatesia Morrisii[1341]. Ward expressed the opinion that the name should be Yatesia Yatesii, but as Bucklandia is now used to include Yatesia this combination is fortunately avoided. The stem is cylindrical, 20–30 cm. long and 12 cm. in diameter, 485covered with rhomboidal leaf-bases separated from one another by a ramental reticulum. There are two concentric vascular cylinders as stated by Carruthers. In a recent account of this species Dr Stopes[1342] adds further details: the xylem-cylinders are 5–8 mm. wide and the tracheids occur in single rows or there may be bands 4–5 elements broad; the circular bordered pits are uniseriate or in two alternate series. The medullary rays 486are broad but the cells are not preserved. The pith-cast is of the usual Cycadean type.
The type-specimen was presented by the Cirencester College to the British Museum.
This species, from Lower Greensand beds at Leighton Buzzard and believed to be derived from Wealden strata, is described by Dr Stopes[1343] as Cycadeoidea buzzardensis. Though agreeing generally with B. Yatesii, the stem is specifically separated on the ground that the petiole-bases are more expanded laterally and because of the occurrence of several vascular cylinders (fig. 578), sometimes as many as eight, each with a maximum diameter of 1 cm. Dr Stopes thinks it possible that B. buzzardensis is an older form of B. Yatesii.
487
Sternberg first described this species as Conites Bucklandi[1344] and regarded it as a cone bearing large imbricate cone-scales; it was named by Brongniart Bucklandia squamosa[1345] and Carruthers[1346] retained this designation. The type-specimen, in the Oxford Museum, from the Stonesfield Slate is 18 cm. long, showing in the lower part a cast of the pith. The surface of the stem is covered with thick imbricate petiole-bases very like those on the stem of a recent Encephalartos.
Carruthers[1347] founded the genus Fittonia on a single specimen from the Wealden beds of the Isle of Wight, separating it from Bucklandia on the ground of the occurrence on a portion of the stem of large imbricate leaf-bases which are at first reflexed and then ascending; the stem is also broader and more tuberous than most species of Bucklandia. The type-specimen, in the Museum of the Geological Survey (Jermyn street), bears a close resemblance to a trunk of a recent Encephalartos, but the part of the stem from which the imbricate stumps have fallen is practically identical with a Bucklandia. As in certain recent Cycads the surface-features probably changed with the age of the plant; when the foliage-leaves were first shed a portion of the ascending petiole remained on the stem, and at a later stage this was cut off leaving a clean-cut rhomboidal scar like those on the Bucklandia shown in fig. 576. The difference between Fittonia and Bucklandia may, therefore, be a question of age. While substituting Bucklandia for Fittonia as the generic name the latter designation is added in parentheses to denote the possession of certain features which, though possibly of generic value, are not regarded as sufficiently important morphologically to warrant generic recognition.
The type-specimen of Saporta’s species Fittonia insignis[1348], in the Paris Museum, from the Oxfordian of Poitiers, appears hardly distinguishable from F. squamata Carr. Another type with broader imbricate petiole stumps is described by Saporta from the Portlandian near Boulogne as Fittonia Rigauxi[1349].
488
Oldham and Morris[1350] and subsequently Feistmantel[1351] described some specimens of Cycadean stems from the Rajmahal Hills of India of Lower Jurassic age: the latter author regarded them as stems of Williamsonia because of their association with flowers of that type, a conclusion fully justified by the evidence. Feistmantel489 also called attention to the resemblance of the Indian stems to specimens described from British strata as Bucklandia and Yatesia. Although the Indian examples are very similar to stems from Mexico discovered by Wieland[1352] and to some of the English types, it seems desirable to refer to them under a specific name and I therefore suggest the institution of the specific name indica, the type-specimen being that represented in fig. 579. This specimen is particularly interesting because it affords some information as to anatomical features and is one of the few fossil stems preserved in organic connexion with leaves (fig. 579, B). A short account of it was published in 1900[1353] and more recently Miss Bancroft[1354] has made a fuller investigation of this and other Indian specimens. The stem shown in fig. 579 from the Rajmahal Hills, and now in the British Museum, bears fronds of Ptilophyllum cutchense Morr., a type that appears to be indistinguishable from P. pecten; and with similar stems from the same beds are associated flowers of Williamsonia. Miss Bancroft describes a bract-covered shoot which agrees very closely with those of English stems reproduced in figs. 541, 542. In addition to the evidence based on close association, there is the more important argument furnished by the discovery of ramental hairs like those on the bracts of Williamsonia scotica and of anatomical characters in the bracts similar to those in the Scotch strobilus. The persistent leaf-bases are far from uniform in size; in this respect and in their form they agree closely with those on Bucklandia stems from English and Mexican localities. The secondary wood is more compact than in recent Cycads or in Cycadeoidea, though it resembles that of Cycadeoidea micromyela; the medullary rays are uniseriate and the tracheids have multiseriate bordered pits on their radial walls instead of the scalariform pitting in the majority of Cycadeoidea stems. Secretory canals are abundant in the parenchymatous ground-tissue; the cambium and phloem are not preserved[1355].
The transparent nature of the silicified material rendered very difficult the examination of the tissues, but enough was discovered 490to show that these Indian stems are characterised by certain features, the more compact nature of the secondary xylem and the presence of multiseriate pitting, which distinguish them from the Cycadeoidea type. Further knowledge of the anatomical features of the Williamsonia (Bucklandia) stems from other localities might enable us to recognise these or other peculiarities as constant distinguishing characters of Bucklandia in contrast to the Cycadeoidea stems which bore the Bennettites type of flower.
Casts of the pith-cavity of Cycadean stems, like that shown in fig. 575 projecting beyond the armour of leaf-bases, are occasionally found as separate fossils and cannot always be referred to a particular species of stem. For such detached casts Saporta[1356] instituted the name Cycadeomyelon: they are characterised by their comparatively large diameter and by the possession of surface-features similar to those on the corresponding cast from a recent Cycadean stem shown in fig. 398, namely spirally disposed, more or less prominent, lozenge-shaped areas formed by the sand or mud filling the cavities left on the decay of the parenchyma of the broad medullary rays of a manoxylic stem. Occasionally a slit at the lower end of a medullary ray area marks the position of the leaf-trace bending outwards from the lower angle of the mesh in the xylem-lattice[1357]. Lignier figures part of a pith-cast of Cycadeomyelon Apperti[1358] in which each medullary-ray area has a circular depression and not a slit extending from the lower angle: this may indicate that the surface shown on the cast is slightly external to the inner edge of the stele and in a plane where the leaf-traces were embedded in the parenchyma of the rays and free from the xylem-cylinder.
Large and branched examples of Cycadeomyelon were figured by some of the earlier authors from English Wealden beds as species of Clathraria[1359] and in many cases these are undoubtedly pith-casts of Bucklandia stems: a similar cast is figured under 491this name by Schenk from the Wealden of North Germany. From Liassic beds in Normandy Lignier figures two species of Cycadeomyelon, C. Apperti and C. densecristatum. The surface-features of Cycadeomyelon resemble those of the Palaeozoic genus Tylodendron (see Vol. iv.), but in the latter genus the nodal swellings are a characteristic peculiarity. Though medullary casts of this type are of no great botanical importance and their specific distinctions are of little value, it is safe to assume that broad medullary casts with comparatively large lozenge-shaped areas belong to Cycadean stems, while narrower specimens with smaller lozenges are more likely to be pith-casts of Coniferous stems.
Lester Ward[1360] instituted the genus Feistmantelia for some Lower Cretaceous casts from the Black Hills which he compared with an Indian fossil from Cutch described by Feistmantel as ‘the stem of a Coniferous plant[1361],’ and with pith-casts figured by Stokes and Webb as Clathraria anomala. It is impossible to determine the systematic position of such imperfect specimens as that on which Ward founded his species F. oblonga: they may, as Hollick and Jeffrey[1362] suggest, be casts of the bark of some Conifer; there is certainly no good reason for connecting them with Cycads.
Colymbetes Edwardsi Stopes. This genus[1363] is founded on the inner portion of a petrified trunk which was probably cylindrical and more than 12 cm. in diameter, consisting of a pith, 7·5 cm. in diameter, and part of a vascular cylinder of remarkable structure. The type-specimen is of Aptian age and may have come from Leighton Buzzard (Bedfordshire). The pith (fig. 580, p) consists of large parenchymatous cells and numerous secretory canals: the perimedullary zone, pm, is characterised by the occurrence of loosely disposed tracheids in groups and radial rows pursuing a sinuous longitudinal course in the accompanying parenchyma. The tracheids in this region are small in diameter and have oval, scalariform, or circular pits. Abutting on the perimedullary 492zone is the secondary xylem the inner edge of which forms bays, and this is composed of alternating zones of vertical and horizontal tracheids (fig. 580, y1–x5; fig. 581) with bordered, scalariform, pits on their walls traversed by medullary rays generally biseriate and from 4 to 30 cells deep. The disposition of the tracheids is such as to render transverse and radial longitudinal sections practically identical in appearance; the first zone of secondary xylem with its bayed inner edge consists of vertically running elements; this is succeeded by a zone in which the tracheids pursue a horizontal course, and beyond this second zone is another band of vertical elements (fig. 581). ‘Where the one zone passes 493into the next, a curving of the elements is frequently evident, and in a few cases it is quite possible to trace a single radial series of tracheids through an angle of 90° running in the same section, first as a transverse and then as a vertical series. One and the same medullary ray also can sometimes be followed, first in transverse and then in radial longitudinal section, which later again turns to true transverse. The inference is therefore drawn that there was but a single cambium, which had periodic changes of direction.’ Leaf-traces (fig. 580, lt) are large and numerous; they are spirally disposed and pass nearly straight through successive xylem-zones: each trace consists of a small-celled ground-tissue including stone-cells and patches of tracheids in more or less regular radial rows. Tangential sections of the wood show that the tracheids follow a sinuous course forming loops enclosing numerous medullary rays.
As the pith and xylem are the only tissues preserved it is on their structure that any speculation as to affinity must be based. The close arrangement of the leaf-traces (about 1 cm. apart), as 494Dr Stopes says, indicates small leaf-bases, assuming that each leaf received a single trace. In some respects the xylem and medullary rays resemble those of Cycads, and the author of the genus includes it in the Cycadophyta; but as she points out there are many peculiar features, and it is clearly impossible to assign the new type to a more precisely defined position. The possibility of any purely mechanical explanation of the course of the tracheids in the alternating zones is ruled out by the straight course of the outgoing leaf-traces, and it would seem that the cambium must have turned over at right-angles at regular intervals during the growth of the stem.
This name was used by Saporta[1364] for linear-lanceolate scales from Upper Jurassic rocks in France which he compared with bud-scales of recent Cycads. The imperfect scale described as Cycadolepis villosa bears a striking resemblance to the hairy bracts of Williamsonia and may well belong to that genus. Saporta’s term may be usefully employed in a more extended sense, including not only lanceolate scales but larger and much broader scales resembling the flattened petiole-bases on stems of Macrozamia, Encephalartos, and some other recent genera, as well as detached carpellary scales, other than Cycadospadix, and microsporophylls which cannot be assigned to a particular stem. Two qualifying subgeneric terms have been proposed[1365]:
i. Cycadolepis (Dory-Cycadolepis). Scales more or less linear-lanceolate like those described by Saporta and a specimen from Jurassic rocks of India named by Feistmantel[1366] Cycadolepis pilosa. This type of Cycadolepis may be identical with the bracts of Williamsonia flowers, though in the absence of any definite evidence of such affinity the provisional generic name is more appropriate.
ii. Cycadolepis (Eury-Cycadolepis). Broadly oval or orbicular thick scales (figs. 582, 583), the broadest part being frequently nearer the distal than the proximal end. These larger scales though usually found as detached fossils have in one instance been obtained attached to an imperfectly preserved stem.
495
This type of scale, represented by specimens from the Wealden of Sussex[1367] (figs. 582, 583), reaches a length of 13 cm. and a breadth of 7 cm. and is sometimes almost orbicular. The lamina is convex but shows no definite venation and bears a close resemblance to the scale-like petiole-stumps on an old stem of Macrozamia. On some of the smaller specimens (fig. 583) several forked veins extend vertically from the broad base. Since these specimens were first described additional examples have been discovered in the Wealden beds of Sussex, some of which are attached to a piece of stem[1368] in such a manner as to give support to the view 496that they are leaf-bases very similar to those on such fossil stems as Bucklandia (Fittonia) Rigauxi (Sap.)[1369] and B. (Fittonia) squamata (Carr.)[1370]. One partially carbonised scale yielded pieces of cuticle showing numerous stomata similar to those of recent Cycads and the outlines of very thick-walled epidermal cells[1371].
The large and approximately orbicular or broadly ovate scales so named are believed to be identical with Tate’s Cyclopteris Jenkinsiana[1372] from the Uitenhage series of Cape Colony (Wealden). The scales reach a length of 12 cm. and were attached by a broad base; the lamina, which may be strongly bent as though folded over some immature organ as a protective bract, shows numerous repeatedly forked veins of the Cyclopteris type and several anastomosing and irregular lines between the veins suggesting that the scales were tomentose.
The fact that practically all known Cycadean stems bore flowers either of the Bennettites or Williamsonia type prepares us for the scarcity of reproductive organs like those of recent Cycads. No specimens have been discovered in a petrified state affording any evidence of their close affinity to the cones, sporophylls, or seeds of the Cycadales. Such genera as Cycadospadix, Androstrobus, and Zamiostrobus, as the following descriptions show, are founded on material that is too imperfect to throw much light on their true morphological nature. The probability is that some at least of the specimens included in these genera are the reproductive organs of Cycadean plants more closely allied to the existing Cycads than to the Bennettitales. Among the numerous fossil seeds referred to such genera as Cycadeospermum and Cycadinocarpus there are but few that can confidently be assigned to the Cycadales rather than to the Ginkgoales or Coniferales.497 While the seeds of the Bennettitales are clearly distinguished by their much smaller size from those of modern Cycads, many of the latter agree in size and form with those of some other Gymnosperms and in the absence of anatomical details could not easily be identified as fossils. Some of the examples included in the miscellaneous collection described by authors as species of Carpolithus or Carpolithes agree closely in external features with the seeds of modern Cycads, but it is seldom possible to accept them as undoubted records of Cycadalean plants.
The general conclusion is that such meagre evidence as we possess affords strong confirmation of the conclusion based on stems and foliage from Jurassic and Cretaceous strata, namely that the present representatives of the Cycadophyta are a relatively late product of evolution, though retaining in their anatomical features many survivals from a remote antiquity. The occurrence of Cycadean characteristics in the vegetative organs of the Medulloseae and the recurrence of what may be called the Cycadean seed-plan, with certain more or less striking peculiarities reminiscent of earlier stages of evolution, in several types of Palaeozoic seeds such as Cycadinocarpus, Stephanospermum, Lagenostoma and others bear testimony to the antiquity of the Cycadean stock.
This generic name, as Nathorst[1374] has recently pointed out, was used by Linnaeus in 1768 for ‘Phytolithus fructus’ and has therefore priority over Sternberg’s genus Carpolites employed in 1825. Lester Ward[1375] attributes Carpolithus to Stokes and Webb (1824) and states that in the plural form the name was used by Walch in 1771. Carpolithus is a convenient term to apply to fossil seeds that cannot be assigned to a particular group of plants and which do not exhibit any peculiarities of form sufficiently striking to deserve generic recognition. Pomel[1376] proposed the genus Ulospermum but it never came into general use. Schimper’s genus Cycadinocarpus and Saporta’s Cycadeospermum 498(preferable in its morphological implication), though useful in the case of detached seeds of undoubted Cycadean affinity, can seldom be employed without an admission that they may imply a relationship that cannot be absolutely established. In the great majority of cases the better plan is to be content with the more non-committal term Carpolithus with the addition of a family-name when there are reasonably good grounds for a more definite reference. No useful purpose would be served by attempting a complete survey of the numerous casts and impressions of supposed Cycadean seeds recorded in palaeobotanical literature, but a few types are briefly described as examples of specimens with fairly well defined characters, which are in all probability Cycadean.
The original specimen figured by Lindley and Hutton[1377] from the Coralline Oolite of Malton, Yorkshire, as Carpolithes conica and now in the Manchester Museum, is represented in fig. 584. A second ‘species,’ Carpolithus Bucklandi Lind. and Hutt. ex 499Will. MS.[1378], from the same locality is no doubt specifically identical with C. conicus. The seeds are conical, broadly truncate at one end, presumably the base, and tapered to a blunt apex; the broad end is characterised by the presence of three ridges or in some specimens by a single median ridge illustrating an oscillation between the radiospermic and platyspermic form similar to that in Ginkgo biloba. As usually obtained the seeds are probably nucules or casts showing the surface-features of the inner wall of the sclerotesta, the sarcotesta having been destroyed before fossilisation: the irregular marginal teeth at the truncate end suggest casts of vascular bundles in the integument. The scattered tubercles on the sides of some of the seeds (fig. 584, a) are probably casts of holes in the shell bored by insects and comparable with those occasionally preserved on the casts of Trigonocarpus. A specimen in the Malton Museum shown in fig. 585 which may be an example of this species illustrates the occurrence of an internal cast enclosed by the remains of a thick testa. These Jurassic casts resemble the seeds of Macrozamia Fraseri, but it is impossible to determine their systematic position with confidence.
An unusually well preserved specimen from the Wealden beds of the Sussex coast described under this name in 1895[1379] consists of a kernel and mould, 1·8 × 1·1 cm. The mould from which the kernel is readily removed is lined with a thin structure representing part of the testa and between this and the surrounding rock is a layer of coal. On the surface of the kernel, probably the cast of the seed-cavity, a reticulum of narrow grooves indicates the course of the vascular bundles over the surface of the nucellus.
The specimen from the Upper Corallian of Châteauroux (Indre) on which this species was founded by Saporta[1380] under the name Cycadeospermum Pomelii is a large ovate cast, 5·5 cm. long and 3·5 cm. broad, closely resembling some of the larger recent Cycadean seeds: it cannot be accepted as a true record of the group without reservation.
500
Saporta describes other species of Cycadeospermum but none of them are of any real importance from a botanical point of view: the same remark applies to the seeds referred by Fontaine[1381] from Potomac beds to the same genus, also to many other recorded examples of seeds that afford no decisive evidence of affinity.
Some specimens described by Compter[1382] from the Lettenkohle of Apolda (Thuringia) as Cycadean fruits—too imperfect to be determined with accuracy—furnish an additional illustration of the slender foundation on which many of the records of supposed Cycadean reproductive organs are based.
This name was proposed by Schimper[1383] for some French Jurassic fossils, described by Pomel[1384] as Crossozamia Hennocquei and C. Moraeana, on the ground that they bear a close resemblance to the megasporophylls of Cycas. Their occasional association with Otozamites fronds suggested a reference to the same parent-plant, but such data as we have point to Otozamites fronds having been borne by plants with the Williamsonia type of flower. Schenk[1385], who figured a specimen of Cycadospadix from France as the inflorescence of a Cycad, expresses the more probable opinion that it belonged to a plant with Cycadites fronds. A Permian species described by Renault as Cycadospadix Milleryensis is now transferred to the genus Strobilites[1386].
This species, first described from Jurassic strata in Northern Italy[1387], is recorded also from the Kimmeridgian of France[1388] and Scotland[1389]. Zigno’s figures give a fairly accurate representation of the type-specimens in the Padua Museum. The megasporophylls, almost identical in shape with those of some recent species of Cycas (figs. 381; 392, A–C), consist of a broadly lanceolate or triangular limb with deeply laciniate sides terminating a pedicel, or the distal expansion may be preserved without the 501stalk from which it was no doubt easily detached as in certain recent Cycads (cf. fig. 392, A). In the specimen from Scotland there are no clear indications of veins in the lamina, which may have been woolly as in Cycas. In some of the specimens figured by Saporta[1390] and now in the École des Mines, Paris, the stalk is absent, but in pedicellate examples scars occur on the sides of the narrow axis and casts of seeds are found in the same beds. A good example of Cycadospadix Hennocquei is figured by Saporta from a drawing supplied by Schimper showing two seed-scars near the base of the lamina: the same specimen, as figured by Saporta and Marion[1391], bears a seed, but this is presumably a partial restoration. The occurrence of Cycadites rectangularis Brauns at Hettange in association with Cycadospadix strengthens the conclusion, based on the form of the megasporophylls, that some of the Jurassic Cycads bore megasporophylls very similar to those of existing species of Cycas.
This Rhaetic species from the south of Sweden[1392] was instituted for an imperfect broadly lanceolate lamina recalling the distal end of the megasporophyll of a Cycas: the discovery of a more complete example[1393] justifies Nathorst’s use of the name Cycadospadix, though without further evidence one hesitates to regard the species as a thoroughly trustworthy record of a Cycadean fertile leaf. The species is characterised by the entire margin of the broad and relatively short and thick terminal limb borne on a broad stalk with alternate lateral projections presumably marking the position of the seeds.
These species of Cycadospadix are particularly interesting as evidence—though not amounting to demonstration—of the production by some Jurassic and Rhaetic plants of fertile leaves agreeing closely with those of Cycas. It would seem from the abundance of Bennettitalean flowers and the very scanty remains of fertile leaves or cones like those of modern Cycads that the existing type was exceptional in Mesozoic floras.
502
The generic name Beania[1394] was given to a branched fertile shoot (fig. 586) from the Middle Jurassic beds at Gristhorpe, Yorkshire, characterised by loosely disposed sporophylls bearing two sessile seeds: each sporophyll is given off at a wide angle from a fairly stout axis and the seeds are borne on the adaxial side of a peltate distal expansion. Carruthers compared the type-species with a cone of Zamia with which it agrees in the general plan of construction but differs in the more open habit and in the longer and more slender seed-bearing pedicels. The same type of shoot was figured by Lindley and Hutton[1395] as Sphaereda paradoxa. Beania is generally regarded as a Cycadean reproductive shoot, but there is no doubt that the majority of Jurassic Cycadophyta possessed flowers of the Bennettites types, and it is clear that Beania differs considerably from Bennettites and Williamsonia. Another suggestion is that Beania may belong to some member of the Ginkgoales[1396]: though very different from the normal ovuliferous shoot of a Ginkgo, it resembles some abnormal forms (e.g. fig. 631, D) in which the ovules occur on elongated pedicels, but they are borne singly and the micropyle is directed outwards, while in Beania the ovules are attached in pairs to the inner face of a distal expansion. There is no conclusive evidence in support of either interpretation, though the general agreement between the Jurassic type and the cones of recent Cycads would seem to favour the inclusion of Beania among the Cycadophyta.
A specimen described by Nathorst[1397] from Upper Jurassic rocks in the North of Scotland as Beania Carruthersi closely resembles the type-species, differing chiefly in its smaller size and in the rather closer arrangement of the sporophylls. The seed-like bodies 503borne in pairs on the adaxial side of the terminally expanded pedicels are covered with small granulations which Nathorst thinks may be clusters of microspores, the apparent seeds being ‘antherangia.’ The granulations are, however, very similar to those on the larger detached seed-like bodies originally described by Nathorst from Rhaetic beds in Sweden as Antherangiopsis rediviva[1398]: subsequent examination of that species demonstrated that the granulations are due to the presence of resinous bodies in the tissues of true seeds[1399], and it is not improbable that a similar interpretation may hold for the surface-features in the supposed male organs of Beania Carruthersi. Pending further evidence it may be suggested that Beania Carruthersi is like B. gracilis a seed-bearing shoot. The Rhaetic specimens described by Nathorst as Stenorrachis scanicus[1400] are similar in habit to Beania but differ in the forking of the sporophylls (fig. 656) and in the absence of any terminal swelling on which the seeds are borne: Nathorst considers that Stenorrachis may be the female organ of a Nilssonia and it is not improbable that that genus and Beania are closely allied types. We have no definite information with regard to the reproductive organs of the Nilssoniales: the closer resemblance which their fronds bear in the structure of the epidermal cells to those of recent Cycads is consistent with the view that their fertile shoots were also more like those of existing types. It is, however, still an unsettled point whether Beania is more closely allied to the Cycadophyta or to the Ginkgoales, but the balance of opinion is in favour of the former alliance.
Though instituted by Endlicher[1401] for a cone figured by Lindley and Hutton as Zamia macrocephala[1402] which is almost certainly Abietineous and has no claim to be included in the Cycadales, the genus Zamiostrobus has been adopted by many authors for Cycadean ovulate cones, not only such as are believed to be closely allied to those of Zamia but for Cycadean cones generally. 504Carruthers[1403] suggested Cycadeostrobus as a more suitable name on the ground that it is less limited in its implication of affinity; but, as Fliche points out, Endlicher’s generic name has been widely adopted in a comprehensive sense as standing for Cycadean megastrobili, excluding the supposed Cycas-like megasporophylls, included under Cycadospadix.
Many of the specimens described as species of Zamiostrobus are of little or no value as records of Cycadean plants, e.g. Zamiostrobus orientalis Heer[1404] from the Jurassic beds of Amurland. A Lower Cretaceous (Albian) species described by Fliche[1405] as Zamiostrobus Loppineti, though not entirely satisfactory, is more likely to belong to the Cycadales. The type-specimen is an elliptical strobilus, 5·5 cm. × 3·2 cm., consisting of an axis bearing at right-angles numerous small, contiguous, peltate megasporophylls each with two small seeds on the lower surface. The figures given by Fliche are, however, not convincing. An examination of specimens in the British Museum, from Wealden and Jurassic rocks, described by Carruthers as species of Cycadeostrobus, convinced me that several are undoubtedly Araucarian cones[1406]. Solms-Laubach[1407] called attention to the Araucarian appearance of Cycadeostrobus Brunonis, a cone from an unknown locality, and this with other species, e.g. C. elegans, C. sphaericus, C. truncatus, etc., may safely be referred to Araucarites. The specimen figured by Lindley and Hutton[1408] as Zamia crassa from the Inferior Oolite of Towcester (Northamptonshire) affords no satisfactory evidence of Cycadean affinity. The Lower Cretaceous Bohemian specimens described by Corda[1409] and Velenovský[1410] as Microzamia gibba should not be included in a genus implying Cycadean affinity: though Velenovský states that the megasporophylls bear a pair of seeds his illustrations do not afford any satisfactory evidence of this Cycadean character. Similarly the fossil regarded by Carruthers[1411] 505as probably a male flower of Bucklandia is almost certainly an Araucarian cone. A small cone from the Lower Miocene of Armissan (Aude) named by Schimper Zamiostrobus Saportana and figured by Saporta and Marion[1412] may, as Solms-Laubach says, be Cycadean, but we have no information with regard to the internal structure or as to the presence or position of the seeds.
Schimper[1413] instituted this genus for ‘amenta, cycadeacea antherifera, cylindrica, e squamis imbricatis, latere postico antheras sessiles ferentibus efformata.’ It may conveniently be applied to fossils which resemble the male cones of recent Cycads sufficiently to justify the use of a name implying relationship. As so defined, Androstrobus is used in a more restricted sense than the word suggests, just as Masculostrobus[1414] has been employed for fossils that are believed to be the corresponding organs of Conifers. Among the few species assigned to Schimper’s genus reference may be made to A. Balduini Sap., originally named by Schimper A. zamioides, from the Upper Bathonian of Etrochy, and A. Guerangeri (Brongn.), another French type[1415]. Heer’s species A. sibirica[1416] of Jurassic age is represented by a slender axis bearing numerous appendages which in surface-view have the form of polygonal discs: there are no indications of microsporangia and the evidence of Cycadean affinity is far from convincing. Nathorst’s Rhaetic species A. borealis[1417] is no more satisfactory as a record of a Cycadean strobilus. A fossil from the Lower Cretaceous of Bohemia described as Zamites familiaris and regarded by Corda[1418] and Carruthers[1419] as a male flower of a Cycad though not above suspicion may be included in Androstrobus.
Under the name Fričia nobilis Velenovský[1420] described some cones from the Lower Cretaceous plant-beds of Bohemia which 506he regards as male strobili of some Cycadean plant: the cone, as shown in Velenovský’s restoration, is 10 cm. long and 5 cm. in diameter; it bears a close superficial resemblance to a large cone of Zamia and consists of a stout axis bearing contiguous peltate, hexagonal, scales gradually contracted towards the proximal end, similar to those of Androstrobus. The evidence on which this species is identified as a male cone rests on the occurrence of numerous pits on the surface of the scales; but no spores or sporangia were found and the pits as shown in the published figures do not present the appearance of scars of sporangia.
The Rhaetic specimen originally named by Nathorst Androstrobus Scotti and afterwards transferred to the genus Lycostrobus was described in Volume ii.[1421]
The type-specimens were obtained from the Wealden beds of Sussex: they were referred to the genus Androstrobus on evidence which cannot be regarded as decisive[1422]. A fairly stout axis, 6·5 cm. long, bearing spirally disposed sub-triangular scales hexagonal in section and attached to the axis by a broad base; the scales, or sporophylls, are 1–1·5 cm. long and gradually tapered towards a pointed or slightly rounded apex. Near the proximal end of some of the sporophylls there are regularly arranged polygonal depressions which may be impressions of microsporangia. The regular disposition of the depressions is a striking feature and in contrast to the less regular reticulum exposed after the removal of the sporangia from the microsporophyll of a recent Cycad. An examination of the cuticular membrane of the microsporophylls shows that the epidermal cells have thick and straight walls[1423], characters consistent with the supposed Cycadean affinity of the strobilus.
Occasional reference is made to Cycadean fronds in the account of flowers and stems but it is seldom that genera or species founded on leaves can be definitely correlated with particular types of reproductive organs or stems. As in the case of Ferns and Pteridosperms so also with detached leaves believed to be Cycadean, a large number of generic names have been employed for impressions which afford no information with regard to anatomical characters except, in some of the more favourably preserved specimens, a few facts as to the epidermal cells. Though association often suggests original connexion it is inadvisable except in well established cases to extend to fronds generic terms based on reproductive shoots. The designation Zamites has long been used for fronds that are clearly not closely related to recent species of Zamia, and were it not an old established genus the significance of which is not likely to be misunderstood, it would be wiser to substitute for it some name implying no affinity with any existing type. On the other hand the employment by some authors of such generic names as Encephalartos and Ceratozamia is not warranted by the evidence furnished by the imperfect material. Prof. Newberry[1424] described as Encephalartos? denticulatus a piece of a frond from Rhaetic beds in Honduras characterised by lanceolate pinnae (30 × 6 mm.) gradually narrowed towards the acute apex and abruptly contracted at the base: the method of attachment of the pinnae appears to agree with that in the genus Zamites. In this case there is no 508valid reason for assuming a relationship with Encephalartos or with any recent type. An impression from Lower Cretaceous, Dakota, beds in Kansas described as Encephalartos cretaceus Knowlt. ex Lesq. ms.[1425] consists of a piece of lamina, 9 × 4 cm., obovate-oblong and with a cuneate base, a serrate margin and thick diverging veins: the specimen is too incomplete to serve as a record of any Cycadean genus. The generic name Encephalartopsis was applied by Fontaine[1426] to some imperfect pinnae from the Potomac beds characterised by a linear-elliptical lamina with a spinous margin and slightly diverging and occasionally anastomosing veins. The figured examples of the type-species, E. nervosa, suggest pinnae like those of Ctenis; but in the absence of a rachis the method of attachment of the segments cannot be ascertained. Saporta[1427] named a specimen from the Miocene flora of Koumi, Greece, Encephalartos Gorceixianus because of its resemblance in habit to some species of the recent genus; but the designation Zamites would be more appropriate. Ettingshausen recorded an imperfect impression of a pinna from Tertiary rocks in Styria as Ceratozamia Hofmanni[1428] although it is by no means certain that the fragment is even Cycadean. The genus Taeniopteris was described in the second volume of this book as probably a Pteridophyte, though of uncertain systematic position: it has, however, been shown by Mr Thomas[1429] that the Jurassic species T. vittata was almost certainly borne on a stem with reproductive organs constructed on the Bennettitalean plan. Further research may enable us to fix the position of other species but as yet T. vittata is the only representative of the genus which there is good reason for assigning to the Bennettitales.
It is undoubtedly true that Cycadean plants, using the term in a wide sense to include the Bennettitales as well as the Cycadales, bulked largely in Upper Triassic, Rhaetic, Jurassic-Wealden floras; the Bennettitales probably reached their maximum development as regards wealth of form and geographical range 509in the latter part of the Jurassic period and in the earliest phase of the Cretaceous epoch. In Triassic floras Cycadean plants are represented almost solely by fronds but the very close resemblance between Keuper species and forms that in Jurassic rocks are found in association with fertile shoots leaves little doubt as to the affinity of Keuper and Rhaetic species.
The evidence obtained from Permo-Carboniferous strata is much more meagre, at least as regards Cycadean leaves: the occurrence of certain morphological Cycadean features is revealed by petrified vegetative organs of Palaeozoic plants, and the Cycadean plan of organisation is conspicuous in many Carboniferous and Permian seeds. The discovery of frond-impressions identical in external characters with Mesozoic genera may be accepted as a substantial indication that genera already existed possessing foliage of the Cycadean type, though we have no certain information with regard to the nature of the other organs of the parent-plants. A few examples of Palaeozoic species are included among those selected in illustration of the different genera, namely Plagiozamites Planchardi, Sphenozamites Rochei, Pterophyllum Fayoli, P. Cambryi: among other recorded instances of Palaeozoic species are Pterophyllum Cottaeanum Gutb.[1430], a Permian type similar in habit to Ctenis but without anastomosing veins, a feature in which it resembles Pseudoctenis; the Carboniferous species Pterophyllum inflexum Eich.[1431] from the Altai mountains, transferred by Zeiller to Dioonites; P. blechnoides Sand.[1432] from the Stephanian of Oppenau; Pterophyllum Grand’Euryanum[1433] from Upper Carboniferous beds in France, and P. gonorrachis Goepp.[1434] from Silesia. An examination of the type-specimens of the Carboniferous species Cycadites gyrosus Goepp. and C. taxodinus Goepp.[1435] in the Breslau Museum led me to regard the material as too imperfect to determine.
A conclusion that is forced upon us by a consideration of the geological range of Cycadean fronds is that at the close of the 510Wealden period, a period very closely linked in the character of the vegetation with the preceding Jurassic floras, there appears to have been a relatively sudden decrease in the number of members of the Cycadophyta: the decline in the fortunes of Cycadean plants is coincident with the rise and remarkably rapid extension of the Angiosperms. From Middle and Upper Cretaceous and from Tertiary beds very few Cycadean remains have been obtained and many of them are represented by fragmentary fossils that afford no definite evidence of affinity to recent genera. The antiquity of the Cycadales, that is the section represented by existing Cycads, cannot be determined; but it would seem probable that if the Cycads apart from the Bennettitales existed in Jurassic and Lower Cretaceous floras they occupied a very subordinate position in comparison with the extinct Bennettitales. There are no data pointing to any widespread occurrence of the Cycadales in the Northern Hemisphere in Tertiary times at all comparable with the geographical range of Tertiary ancestors of the solitary survivor of the Ginkgoales.
The following records of Tertiary Cycadean fronds illustrate the paucity of the records. Reference has already been made to Encephalartos Gorceixianus Sap. of Miocene age, a species that has no claim to be regarded as an example of the recent South African genus. The specimen described by Saporta and Marion as ? Zamites palaeocenicus[1436] from the Eocene of Gelinden is too imperfect to serve as a trustworthy record. A more satisfactory species, similar in habit to Zamites gigas, is that on which Saporta founded the species Zamites epibius[1437] from Lower Miocene beds at Bonnieux (Vaucluse), France. Another Tertiary species is mentioned by Krasser[1438] from Pliocene strata in Brazil as Zamia praecedens Krass. ex Ett. MS. Ettingshausen has described a Tertiary species from New South Wales, either Lower Miocene or Upper Eocene in age, as Anomozamites Muelleri[1439], characterised by truncate segments with simple veins and set obliquely to the rachis.
While certain form-genera of fronds can only be referred to 511the Cycadophyta, in other cases it is possible to assign fronds to a section of this comprehensive group characterised by a particular type of fertile shoot and by certain well defined epidermal features.
The investigation of the cuticular structure of various Cycadean fronds by Nathorst[1440] and especially by Mr Thomas[1441] has supplied a basis of classification which affords the best criterion of affinity so far available. The majority of fronds are placed in the Bennettitales while the three genera Ctenis, Nilssonia, and Ctenopteris (or Ptilozamites[1442]) are placed in the Nilssoniales.
I. Bennettitales. Epidermal cells characterised by sinuous walls and generally rectangular; the cuticle is thin; the stomata, confined to the lower surface of the pinnae, tend to be arranged at right-angles to the veins and are on a level with the epidermis or very slightly depressed; two large laterally placed subsidiary cells more or less surround the guard-cells and these are provided with thickenings of a definite shape (figs. 594, 609).
Genera: Ptilophyllum, Zamites, Otozamites, Dictyozamites, Pterophyllum and Anomozamites, Taeniopteris, Pseudocycas.
II. Nilssoniales. Epidermal cells with straight walls, not sinuous, irregular in form, rounded, hexagonal, or rectangular; the stomata are below the level of the epidermis; the cuticle may be thin or thick. There is no regular arrangement of the stomata; the guard-cells are surrounded by 6–8 subsidiary cells (fig. 625) which often form an overarching canopy; thickening lamellae like those on the guard-cells of the Bennettitales are seldom present.
Genera: Nilssonia, Ctenis, Ctenopteris.
It is a noteworthy fact that the representatives of the smaller group, the Nilssoniales, in their cuticular features, are more akin 512than the Bennettitales to modern Cycads. Until definite evidence is obtained as to the nature of the reproductive organs of Nilssonia, Ctenis, and Ctenopteris it is impossible to say how closely these genera agree in essential characters with existing members of the Cycadales. If, as has been suggested, the fertile shoots known as Beania[1444] belong to Nilssonia their resemblance in plan of construction to the cones of recent genera, much greater than in the case of the flowers of the Bennettitales, is in accordance with the evidence of the epidermal characters.
Reference was made in the second Volume of this book to several genera founded on fronds which through lack of evidence as to the nature of the reproductive organs cannot be assigned with certainty either to Ferns or Cycads: it was stated that the genera Ptilozamites and Ctenopteris are probably Cycadean, and the structure of the epidermal cells in the latter genus lends support to this view[1445]. Among other genera of doubtful position not included in the following descriptions of fronds is Zamiopsis of Fontaine[1446] founded on large compound fronds from the Potomac formation: the venation and form of the pinnae are more Fern-like than in Ctenopteris, but in general habit the two genera are not very dissimilar. The generic name Zamiopsis is misleading as the species bear no resemblance to Zamia or Zamites.
The generic name Ptilophyllum was instituted in 1840 for some specimens of pinnate fronds from Cutch: in this genus Morris[1447] included with the Indian leaves the English Jurassic species Pterophyllum pecten Lind. and Hutt.[1448] (figs. 587, etc.) and some other forms. He defined Ptilophyllum as follows: ‘Fronds pinnate; pinnae closely approximated, linear, lanceolate, more or less elongate, imbricate at the base, attached obliquely; base semicircular or rounded; veins equal, slender, parallel.’ Morris adds that he instituted a new genus in preference to Zamites 513because of the ‘oblique insertion of the pinnae and their overlapping each other at the base.’ In a later paper Morris[1449] states that the pinnae of Ptilophyllum fronds are ‘sometimes auriculed in the upper and sometimes in the lower part’ of the base of the lamina. In his catalogue[1450] he adopted Endlicher’s genus Palaeozamia instead of Ptilophyllum. Without discussing the generic nomenclature adopted by various authors for the Indian types and similar fronds it is important to refer briefly to the treatment 514of Morris’s species by Oldham and Morris and by Feistmantel. In the first of the series of Memoirs on Gondwana floras[1451] Ptilophyllum is retained for a section of Palaeozamia together with Otozamites and Sphenozamites as other sectional subdivisions: in the subgenus Ptilophyllum are included Palaeozamia acutifolia and P. cutchensis (fig. 588, A, C), also P. affinis, P. rigida, and P. bengalensis. The last species is in all probability an Otozamites: 515P. affinis and P. rigida are almost certainly indistinguishable from P. cutchensis. Feistmantel[1452] dealt in detail with the genus Ptilophyllum: he wrote, ‘with Schimper and Schenk I therefore look upon this genus as an Indian type especially characterised by its ... more or less slender leaves, angustate towards the apex and base, and petiolate, with regularly adfixed leaflets.... The leaflets are equal to each other, for the most part elongate linear, and auriculate and free at the upper angle at the base, but adfixed at the lower angle, and each is decurrent behind the upper angle of the leaflet next below it, thus the leaflets are almost imbricate. The veins are rather numerous, simple, and forked, and more or less divergent[1453].’ Feistmantel distinguishes certain varieties of P. cutchense (fig. 588, A, C), none of which appear to be well defined. A specimen from the Rajmahal Hills with unusually long pinnae, the frond having a breadth of 8 cm., is described as Ptilophyllum acutifolium var. maximum[1454], but it differs in no important feature from the smaller and commoner form. The next point to be considered is the variability of certain species referred by Feistmantel to Otozamites. He figures specimens from the Jabalpur group as O. Hislopi Feist. ex Old. MS., O. gracilis (Kurr), O. angustatus Feist. (fig. 588, B) and O. distans[1455]. An examination of the figured specimens leads me to regard O. Hislopi and O. gracilis as identical with the Ptilophyllum fronds: the pinnae exhibit no distinguishing features and there is no reason for a specific, still less a generic, separation. Otozamites angustatus is indistinguishable from Otozamites sp. as figured from the Madras coast and from Ptilophyllum cutchense, P. cutchense var. curvifolium and var. minimum. The drawings reproduced in fig. 6a, Pl. x. of the Madras flora[1456] and in fig. 8a, Pl. vi. of the Jabalpur flora[1457] showing auriculate bases are inaccurate: in all the fronds named the pinnae are straight with rounded edges precisely as in Ptilophyllum. The conclusion forced upon me by a comparison of the actual specimens is that the Indian fronds are not separable into well-defined species and should all be included in Ptilophyllum cutchense. Moreover in this comprehensive516 species should be included the specimens described by Feistmantel as Otozamites Hislopi (fig. 589), O. angustatus, and O. gracilis. It may well be that a more detailed investigation of the numerous forms comprised in this protean species, particularly if specimens are obtained from which cuticular preparations can be made, may lead to the recognition of additional species or well-defined varieties. The resemblance between the various forms of P. pecten from the Jurassic strata of Yorkshire and those of P. cutchense from India is very striking, and at least in many cases no specific separation is possible so far at least as the form of the fronds and pinnae is concerned. The occasional close association of Ptilophyllum fronds and Williamsonia flowers is an important agreement between the English and Indian fronds (fig. 590).
In the first part of the Catalogue of Jurassic plants from Yorkshire517 the opinion was expressed[1458], based on an examination of Morris’s type-specimen of Ptilophyllum cutchense and of a large number of English and other fronds identical with or closely allied to Pterophyllum pecten Lind. and Hutt., that the Indian and European fronds belong to the same genus. In a later paper[1459] it was maintained that P. cutchense and P. acutifolium are probably identical with the English type, and a drawing was published—reproduced in fig. 591—of Morris’s type-specimen. Dr Halle[1460] has discussed the genus Ptilophyllum and his investigations lead him to a different conclusion; he, like Zeiller and some other authors, employs Ptilophyllum in Feistmantel’s sense. The pinna-base is said to agree in its asymmetrical form with that in Otozamites, while it differs from the symmetrical base of Zamites pinnae. In Ptilophyllum both edges of the pinna-base are said to bend down in joining the rachis; at the upper corner the base thus becomes rounded and for some distance free from the rachis; it is also sometimes a little auriculate; at the lower edge the pinna is decurrent on the upper surface of the rachis. In a subsequent 518paper Halle[1461] repeats the view that the decurrence of the pinnae by their lower edges is an important distinguishing feature of Ptilophyllum, thus agreeing with Feistmantel whose illustrations appear to be confirmatory. The drawings in Feistmantel’s memoirs are, however, misleading and in some cases incorrect. An examination of a photograph of Morris’s type-specimen of P. cutchense led Halle to conclude that the two edges of the pinna-base bend downwards on joining the rachis as described by Feistmantel. This feature is not shown in the drawing reproduced in fig. 591: it is clear that either the drawing is incorrect or that there has been some mistake in the interpretation of the photograph. Through the courtesy of Dr Halle I have been able to examine the actual print: when viewed in its correct position the two edges of the pinnae appear to bend down as described by Halle, but if it is examined in the reverse position the lower angle of the pinnae is seen to be slightly rounded as in fig. 591, the apparent decurrence being due to a confusion between the appressed lower edge of one pinna, which is faintly shown, and the stronger downward trend of the upper edge of the pinna next below. The upper edges of the pinnae are more prominent 519because they are less appressed to the rachis while the lower half of the base is closer to the rachis and is frequently, though not in Morris’s specimen, overlapped by the upper edge of the next lower pinna. A re-examination of the type-specimen in the British Museum confirms this interpretation. The pinnae of Ptilophyllum are characterised by their attachment to the upper face of the rachis which they almost completely cover; the upper angle is rounded and in a few cases auriculate (fig. 592); the lower angle of the base is slightly rounded and not infrequently hidden by the imbrication of the adjacent pinna; it is occasionally auriculate (fig. 593). The pinnae are attached by nearly the whole base, but the upper angle is free. The veins are parallel, sub-parallel or, especially in the proximal portion of the lamina, oblique. The pinnae are linear, varying considerably in relation of length to breadth and in the form of the apex; they are straight or more or less falcate. The epidermal cells of such Ptilophyllum 520fronds as have been examined are characterised by strongly looped or sinuous walls; the stomata, confined to the lower surface, are roughly circular and the guard-cells are at right-angles to the veins and not appreciably sunk. Fig. 594 represents the appearance of a stoma in surface-view: ‘on either side of the central slit-like pore are two elliptical or hemispherical structures; they are somewhat flattened when they abut on the pore, and have rounded ends.... Between these and the subsidiary cells lie two other thickened patches, more or less hemispherical in shape, and apparently overlying the central structures.’ On the analogy of similar appearances in recent Cycads Mr Thomas[1462] interprets the two pairs of thickened patches as belonging to the upper and lower sides of the highly inclined guard-cells. This author calls special attention to the abundance on some of the fronds included in the aggregate species P. pecten of regular rows of circular hair-scars preserved as small annulate projections, ·03–·04 mm. in diameter. A comparison of the cuticles of different forms of Ptilophyllum pecten enabled Thomas to recognise more than one type: for one of these the name Ptilophyllum hirsutum is proposed. It is by such work as this that we may hope to discover differentiating characters.
The different forms of Williamsonia flowers found in association with fronds of the Ptilophyllum habit also point to the inclusion of more than a single species under the group-species P. pecten. As additional evidence is obtained further analysis will be possible, but in dealing with impressions which include specimens transitional from one form of frond to another, the most convenient and to my mind the most logical course is to treat a species as an aggregate- or group-species. Some authors believe that the two fronds described by Phillips as Cycadites pecten and C. pectinoides are distinct species[1463], but there would seem to be no adequate reason for this view. The fronds described by Heer[1464] from the Lower Cretaceous of Greenland as species of Zamites and similar 521leaves from Graham Land included in that genus by Halle[1465] are in my opinion inseparable from Ptilophyllum, and this applies equally to Otozamites Hislopi (Old.) (fig. 589) and O. abbreviatus as figured by Feistmantel and by Halle. The nomenclature of Cycadean fronds having the habit of Ptilophyllum pecten is a great difficulty: after carefully reconsidering the whole question and comparing Feistmantel’s figured specimens with the large series of English fronds the conclusion reached is that the characters exhibited by ordinary impressions do not admit of any satisfactory grouping under well-defined specific types. In the first place, as already indicated, the use by some authors of the generic names Ptilophyllum, Otozamites, and Zamites creates a false impression of the degree of difference between the numerous forms of frond agreeing more or less closely with the specimens on which were founded the species Ptilophyllum acutifolium, P. cutchense, P. pecten, and P. pectinoides (figs. 587, 591, 595, etc.). In his important memoir on the Jurassic flora of Graham Land Halle[1466] discusses the limitation of Ptilophyllum, Zamites, and Otozamites. He employs Zamites for fronds with linear pinnae attached to the upper face of the rachis by a base which is more or less, but often very little, rounded and always asymmetrical, with or without a basal callosity: fronds of the type Z. gigas he includes in the section Euzamites, while Z. borealis and similar forms (fig. 597) are referred to a second section, Subzamites. It is in the sense of Halle’s section Euzamites that the generic name Zamites is employed in this chapter. On the other hand the fronds grouped by Halle as Subzamites have pinnae with the basal angles of the lamina very slightly rounded precisely as in Ptilophyllum as seen in fig. 596 (cf. fig. 598 which represents fronds referred by Halle to Zamites); and they are not distinguished by any feature of generic importance from Ptilophyllum as defined on page 519. The species Zamites pusillus, Z. Anderssoni, and Z. antarcticus (fig. 598) described by Halle from Graham Land as well as Heer’s Arctic forms[1467] Z. borealis (fig. 597), Z. speciosus, Z. brevipennis, and others are transferred to Ptilophyllum as types agreeing very closely with P. pecten and in some cases not clearly distinguishable from it even specifically.
522
Otozamites is the name employed by Halle for fronds with pinnae having contracted, asymmetrical and auriculate, bases, the anterior lobe being more developed than the posterior. The asymmetry of the pinna-base is considered an essential feature. As Halle states it is very difficult in some instances to draw a distinction between Otozamites and Ptilophyllum. As used in this chapter Otozamites signifies fronds with pinnae characterised by an auriculate base, a lamina usually broader than in Ptilophyllum, and by more spreading veins (fig. 604). The not infrequent occurrence of auriculate pinnae on fronds (fig. 603, A) which cannot be separated from typical examples of P. pecten illustrates the narrow dividing line as regards the form of the pinna-base between Ptilophyllum and Otozamites. The Indian species O. Hislopi (fig. 589) and O. abbreviatus, to which Halle refers some Antarctic fronds, cannot be distinguished from the English P. pecten or Feistmantel’s and Morris’s Indian fronds described as P. cutchense and P. acutifolium: these forms are therefore included in Ptilophyllum.
This designation is employed in a wide sense for a group of fronds exhibiting a considerable range in size, in the relative breadth and length of the linear pinnae, and in other features. Under P. pecten are included (i) the English fronds from Yorkshire first described by Phillips[1468] as Cycadites pecten and C. pectinoides, the former from the Middle shale, the latter from the Lower shale of the Yorkshire coast, together with the Stonesfield slate specimens named by Sternberg[1469] Polypodiolites pectiniformis (fig. 595) and by Brongniart[1470] and Lindley and Hutton[1471] Zamia pectinata; (ii) the Indian specimens already considered and (iii) numerous examples recorded under different names from Jurassic strata in many countries. Fronds from the Yorkshire coast named by Brongniart[1472] Zamia Goldiei, though regarded by some authors as examples of Otozamites, are probably referable to P. pecten. 523Andrae’s Pterophyllum rigidum[1473] (fig. 596) from Steierdorf is almost certainly a form of Ptilophyllum pecten. The specimen shown in fig. 587 is one of the few examples of fronds apparently preserved in their original position attached in a cluster to a Williamsonia (Bucklandia) type of stem. The range in size and form of the pinnae is illustrated in figs. 588, 592, 593.
Fronds linear, tapering gradually towards the base and apex, often characterised by a marked uniformity in breadth. The pinnae, short or comparatively broad or long and narrow, are straight or more or less falcate; the apex is obtuse or acute or the upper margin of the lamina may be almost straight and the 524lower edge curved abruptly upwards at the apex; the pinnae are usually attached obliquely to the rachis but may be almost at right-angles; with the exception of the upper angle, the whole of the base is attached to the frond-axis; the base of the lamina may be symmetrical, both angles being slightly rounded, or asymmetrical, the upper or less frequently the lower corner being auriculate (figs. 592, 593). There is no basal callosity on the lamina nor is there a median sinus. The veins are more or less spreading at the base but for the most part parallel. The features of the epidermal cells and stomata are mentioned in the general account of the genus. Fertile shoots of plants with this type of frond are described under Williamsonia. Very little is known of the stems which bore Ptilophyllum fronds, but as stated on page 488 Indian specimens show leaves of Ptilophyllum cutchense attached to a piece of stem (fig. 579) having the characters of Bucklandia and characterised by a xylem-cylinder denser than in recent Cycads; the structure of the wood at least in the Indian stem is rather pycnoxylic than manoxylic.
The fronds grouped under Ptilophyllum pecten are very widely distributed in Jurassic floras; they are recorded from many localities in Europe, from Turkestan[1474], India, Graham Land[1475], Patagonia[1476], and elsewhere.
As thus defined this ‘species,’ or more correctly this group of forms, undoubtedly includes more than one species in the strict sense, but without additional data it is maintained that the recognition of clearly defined specific types or varieties is beyond our power. It may be urged that in view of the wide geographical range of the Ptilophyllum pecten type of frond and the admitted probability that several species in the narrower sense are represented, distinctive specific names should be retained even though under such designations are included forms that, so far as can be seen from impressions, exhibit no constant distinguishing features. My purpose is to emphasise the futility of attempting to found well-marked species on the available material. The student must decide for himself what course to pursue, whether to retain such a specific name as cutchense for the Indian fronds 525or to employ that and other specific names as designations of geographical types differing in no clearly defined or constant characters from examples of the English Ptilophyllum pecten. A comparative examination of the cuticular membranes in the comparatively few cases where that is possible would probably furnish a basis for a satisfactory subdivision of the group-species.
The names Ptilophyllum Anderssoni, P. boreale, and P. antarcticum are retained for certain forms selected from a number of closely allied types partly on the ground that these fronds exhibit some more or less well-marked distinctive characters and in part as a recognition of the existence of geographical forms.
Heer[1477] described numerous well-preserved impressions of pinnate fronds from the Lower Cretaceous plant-beds of Kome, Greenland, which he referred to several species of Zamites though the differences between them are hardly of specific rank. An inspection of several of the figured specimens in the Stockholm Museum showed that Heer’s drawings are in the main accurate. Zamites borealis (fig. 597) is characterised by small linear pinnae attached to the upper face of the rachis, the stoutness of which is a noteworthy feature; the veins are parallel and simple. In the shape of the pinnae, including the base-characters, this species agrees closely with P. pecten. The slightly falcate or straight pinnae are 1·7–2 mm. broad and reach a length of 15 mm.; in Z. speciosum Heer, probably specifically identical with P. boreale, the pinnae are relatively longer, and in Z. brevipennis Heer they resemble the shorter pinnae of some of the narrow fronds of P. pecten.
A preparation of the cuticle of a pinna of P. boreale made by Mr Thomas from a specimen in the Stockholm Museum shows a marked difference between the upper and lower epidermis: the cells on the upper surface of the lamina have very thick and sinuous walls precisely as in P. pecten, but the cells are often broader than long and not elongated parallel to the long axis of the pinna; those of the lower epidermis are thinner and less clearly preserved: 527the stomata, which appear to be like those of P. pecten, are scattered and not in rows.
The fronds from the Jurassic rocks of Graham Land, described by Halle as Zamites antarcticus[1478], are very similar to some forms of P. pecten and to P. boreale and other Greenland forms; the linear subacute pinnae are attached to the upper face of the rachis at a wide angle and the base of the lamina is truncate and may be very slightly constricted. The veins are dense, as many as 5 in 1 mm., and they are occasionally forked near the base (fig. 598, A).
This Graham Land species (fig. 598, B), referred by Halle to Zamites[1479], is of the same general type as P. pecten, but is characterised by a coarser venation and by the wider angle of attachment of the pinnae.
Goeppert[1480] proposed the name Pterophyllum Dunkerianum for some specimens from the Wealden of North Germany which were 528afterwards figured by Dunker[1481]. Miquel[1482] included the species in his genus Dioonites and this name has been adopted by other authors. Attention has been drawn to the inconsistent use of the title Dioonites[1483], and I have previously employed the name in a sense similar to that in which it has been adopted by Nathorst, that is for fronds with long and narrow pinnae without any basal constriction and not auriculate, attached more or less at right-angles to the upper face of the rachis; but so defined Dioonites differs in no essential particular from forms of Ptilophyllum or from fronds referred by authors to Schimper’s genus Ctenophyllum. The name Ctenophyllum[1484] was instituted for certain fronds differing in some points from Otozamites and Dioonites. One such type is Ctenophyllum (Ptilophyllum) pecten (Lind. and Hutt.): this is quoted in Zittel’s Handbuch as a typical representative of the genus. Schimper followed Feistmantel in his definition of Ptilophyllum, a definition which is not in accordance with the characters of the fronds on which it was founded by Morris. Fontaine, on the other hand, has applied Ctenophyllum to fronds of a different type which are now included in the genus Pseudoctenis. There would seem to be no adequate ground for the retention of Ctenophyllum as a generic designation.
The Wealden species P. Dunkerianum is characterised by the following features: rachis fairly stout, pinnae approximate, linear 2–3 mm. broad and reaching a length of 11 cm. or more, gradually narrowed towards the apex, attached in two almost contiguous rows to the upper face of the frond-axis: the lower margin of the lamina may be slightly decurrent, e.g. in the apical part of the frond or very slightly broadened and bluntly rounded. The pinnae are attached at right-angles or, near the apex, obliquely; veins 5–6, parallel. The epidermal cells as figured by Schenk[1485] have very sinuous walls and are identical with those of the English and Indian forms of the group-species P. pecten; the stomata are confined to the lower surface. If Schenk’s drawings of the stomata are correct they differ from those of other species of the genus in their simpler structure; there are no subsidiary cells and the 529guard-cells show no cuticularised bands. In habit this species resembles Encephalartos Ghellinckii Lehm. (fig. 382). The superficial resemblance of the narrow linear pinnae to those of Cycadites led Dunker and Schenk to refer to that genus some specimens which have since been described as identical with P. Dunkerianum.
In the first instance the generic name Zamites was used in addition to Zamia for certain pinnate fronds including species[1486], such as Z. Bechei, which are now regarded as typical examples of Otozamites. Subsequently Brongniart gave up Zamia for fossil fronds and applied Zamites to fronds with entire pinnae, not truncate at the apex and not decurrent but slightly constricted at the base. Braun’s two genera Podozamites and Pterozamites were relegated to the position of subgenera. The name Podozamites has been employed by Schenk[1487] for specimens now included in Zamites, and Zamites is used by him[1488] for some fossils which are examples of Podozamites as generally understood. Goeppert’s definition[1489] of Zamites includes fronds with pinnae of the Otozamites type, and this author pertinently compares Zamites with recent Encephalartos leaves. Pomel[1490] proposed the name Crossozamia for certain fronds of the Zamites type, but this genus with several others instituted by the same author has not been adopted. Bornemann[1491] described Zamites as comprising species with a greater or less resemblance to the fronds of recent Zamias.
As defined below, Zamites fronds may be compared with those of some species of Encephalartos, Ceratozamia, and Macrozamia. There has been considerable difference of opinion with regard to the range of form in the pinnae that it is advisable to include in Zamites. The name Zamiophyllum was proposed by Nathorst[1492] for a Wealden species, described by Ettingshausen as Pterophyllum Buchianum (fig. 601, A–C), characterised by a decrease in the breadth of the linear pinnae towards the point of attachment and, according to Nathorst’s description, by the lateral attachment of the pinnae. An examination of specimens of this type 530from English rocks[1493] enabled me to show that the pinnae are attached to the upper face of the rachis. Zeiller[1494] has also included Zamiophyllum in Zamites, but Halle’s recent definition[1495] of the latter genus excludes fronds of the Zamiophyllum type. Schimper instituted the name Glossozamites[1496] for fronds bearing pinnae with rounded and slightly contracted bases and borne on grooves on the upper surface of the rachis (fig. 601, F). In venation the pinnae agree with those of Otozamites but the base is not auriculate. Kurr’s Liassic species Pterophyllum oblongifolium[1497] included by Schimper in Glossozamites is probably an Otozamites. Another species referred to this genus is Schenk’s Podozamites Zitteli[1498] from the Urgonian of Austria (fig. 601, F): in this species the slightly falcate pinnae with obtuse apices have rounded and not auriculate bases and there is some evidence of a basal callosity. This species agrees so closely with such a typical Zamites as Z. gigas that it is difficult to see on what grounds the retention of Glossozamites is desirable. A Portuguese specimen referred by Saporta[1499] to Glossozamites, G. brevis, is founded on a single specimen very like a leaflet of Otozamites Klipsteinii (Dunk.); and G. parvifolia Yok.[1500] from China has no claim to be included among Cycadean fronds. Feistmantel’s Glossozamites Stoliczkanus[1501] is almost certainly a leaf of Cordaites. For certain fronds originally described as Zamites Zeiller[1502] has instituted the genus Plagiozamites. An important question as to the type of frond which may conveniently be included in the genus Zamites was raised by the application of this name by Heer to some Lower Cretaceous fronds from Greenland, Z. borealis (= Ptilophyllum boreale, fig. 597), and others which differ in the form of the pinnae from species usually regarded as typical of the genus. Halle[1503] accepts the Greenland species as examples of Zamites though he distinguishes them by a sectional name Sub-Zamites; he defines Zamites as including 531fronds with pinnae attached to the upper face of the rachis with a contracted and always symmetrical base though in some cases the basal contraction is exceedingly small; there is a more or less distinct basal callosity. He recognises two types, (i) Eu-Zamites, e.g. Zamites gigas (fig. 599), in which the pinnae are strongly contracted basally and have a callosity, and (ii) Sub-Zamites, e.g. Z. borealis[1504], etc., in which the pinnae are not so broadly rounded at the base and retain the same breadth to the point of insertion where they are ‘very rapidly and very little contracted,’ with or without a basal callosity. The basal callosity in these forms is not shown in many of the pinnae and is at most but a slight rounding of the angles of the truncate base. The specimens referred by Halle to Sub-Zamites do not appear to differ in any feature worthy of generic rank from Ptilophyllum.
In the following definition Zamites is employed in a sense more or less in accordance with Brongniart’s usage but with the inclusion of such forms as Z. Buchianus, the type of Nathorst’s Zamiophyllum, and the exclusion of Heer’s Arctic and Halle’s Antarctic fronds referred by them to Zamites.
Fronds broadly lanceolate reaching a length of over 60 cm.; pinnae more or less oblique or at right-angles to the rachis (fig. 599), attached to the upper surface but not completely covering it, linear or linear-lanceolate, acuminate or obtuse, usually abruptly contracted at the rounded base and more rarely (e.g. Z. Buchianus, fig. 601) gradually tapering to the proximal end, with or without a callosity at the symmetrical base; veins divergent at the base, simple or dichotomously branched, for the most part parallel to the edges of the lamina and slightly divergent in the apical region. The presence of a basal callosity, such as is best seen in the pinnae of recent species of Macrozamia, is not a feature of great importance and cannot be easily recognised in many impressions. In the process of fossilisation the pinnae are often flattened against the surface of the rachis and this may produce transverse wrinklings of the lamina suggestive of a basal thickening. In some cases stems of the Bucklandia type occur in connexion with Zamites fronds (fig. 541). An account of these stems, and of inflorescences of Williamsonia which were borne by some at least of the plants 532with Zamites leaves is given in Chapter xxviii. In such examples of Zamites as have been examined the epidermal cells have sinuous walls and the stomata[1505], confined to the lower face of the lamina, occur in rows with their long axis at right-angles to that of the pinnae.
Zamites ranges from Rhaetic to Lower Cretaceous strata.
A Rhaetic species from Tonkin[1506] characterised by oval linear pinnae given off at a wide angle, alternate and not contiguous; apex obtusely truncate, gradually narrowed to a cuneate base which is rounded or elliptical and has a more or less definite callosity. The pinnae vary from 3 to 5 cm. in length and from 5 to 13 mm. in breadth.
The specific name gigas is retained in preference to that of Mantelli employed by Brongniart[1507] on the ground that he afterwards discarded it in favour of the designation proposed by Lindley and Hutton[1508], and because their name has been generally adopted.
Fronds large, exceeding 60 cm.; broadly linear lanceolate; the comparatively slender rachis bears alternate linear lanceolate pinnae with a rounded and usually slightly swollen base and an acuminate apex. At the apex of the frond the pinnae are narrow and linear (fig. 599) and almost parallel to the rachis; in the lower part they are shorter and relatively broader and attached approximately at right-angles. The numerous veins diverge from the centre of the base but for the most part are parallel to the edge of the lamina. The form of the epidermal cells and the structure of the stomata have recently been described by Mr Thomas. The external features of the stem (fig. 541) are described under the genus Williamsonia. In the case of fronds of this type from English Jurassic rocks it would be legitimate to speak of them as Williamsonia gigas, but in view of the fact that such 533fronds usually occur as detached specimens and without any associated flowers it is advisable, as Nathorst maintains, to retain the non-committal genus Zamites.
This type of frond is widely distributed in Jurassic strata. The occurrence of many forms agreeing generally with the type-specimen but differing from it in features that are not constant or of real morphological importance renders accurate specific delimitation very difficult. Species that appear to be indistinguishable from Zamites gigas by any well-marked characters are, Zamites Feneonis[1509] Brongn., Z. Moreaui[1510] Brongn., Z. Renevieri[1511] 534Heer, and Z. claravallensis[1512] Sap.; similarly Z. Schmiedelii And.[1513] is probably identical with Z. gigas. The Lower Cretaceous species Zamites bohemicus[1514] Vel. and Z. iburgensis[1515] Hos. and von d. Marck represent very similar forms.
This species was originally described by Tate[1516] as Palaeozamia (Otozamites) recta from Wealden strata in South Africa and subsequently transferred to Zamites[1517]; it bears a very close resemblance to Z. gigas. The fronds bear alternate linear pinnae attached to the upper face of the rachis by a slightly contracted and swollen base. The lamina has an acuminate asymmetrical apex and the upper edge is slightly falcate; the larger pinnae are over 6 cm. long and nearly 1 cm. broad; the veins are frequently forked as they converge towards the base of the lamina. No clear evidence of association of these fronds in the Uitenhage series of South Africa with Williamsonia flowers has been discovered, but a specimen[1518] in the Tate collection in the British Museum may be a badly preserved cluster of bracts belonging to a Williamsonia. The rachis of this species shows some peculiar features in the form of two rows of alternate cushions in some partially decayed specimens. One of these is shown in fig. 600; the cushions are raised oval projections with a flat top, and pieces of the rachis without pinnae might easily be mistaken for a Coniferous stem.
A species founded on specimens from the Wealden of Sussex[1519] and recorded from Kimmeridge beds in Scotland[1520], characterised 535by linear or linear-elliptical pinnae attached obliquely to the outer part of the upper surface of the rachis, somewhat abruptly narrowed at the proximal end but slightly broadened at the actual base (fig. 601, D, E). The pinnae appear to have been caducous and, as in fig. 601, D, the position of an absciss-layer 536is occasionally visible. In habit the fronds bear a close resemblance to those of Encephalartos longifolius Lehm. The veins diverge from the base and are for the most part parallel, though divergent at the bluntly rounded apex. If, as may be the case, a specimen figured by Hugh Miller[1521] from Scotland as Zamites and subsequently named by Richards[1522] Podozamites Milleri is identical with Z. Carruthersi, the specific name Milleri has priority.
A Wealden and Lower Cretaceous species[1523] (figs. 601, A–C; 602) represented in several European localities, also in North America and Japan, reaching a length of over 70 cm.; in habit very similar to Ceratozamia mexicana, Macrozamia Macleayi and some other recent Cycads. The rachis has a fairly broad median groove on the upper surface; pinnae alternate, opposite or sub-opposite, from 3 to 20 cm. long and from 1·5 to 2 cm. broad, linear, generally narrowed towards the base, but in the more slender segments the reduction in breadth is less obvious; attached obliquely to the rachis, slightly thickened and broadened at the base (fig. 601, C), separated from the rachis by a distinct absciss-layer and leaving an elliptical scar; usually inclined at about 45° but 537the angle varies considerably in different parts of a frond (fig. 602); apices generally tapering to a point, or more or less obtusely rounded; veins numerous, parallel, and not as a rule prominent. It is by no means unlikely that specimens figured by Goeppert[1524] and some other authors as Pterophyllum saxonicum or Dioonites saxonicus are examples of this species. Fontaine[1525] speaks of Dioonites Buchianus as one of the most widely distributed and characteristic members of the Potomac flora and it is described from Japan by Yokoyama[1526] and Nathorst[1527]. This type appears to be especially characteristic of Wealden strata.
Braun[1528] proposed the name Otozamites for certain Mesozoic fronds formerly included in Zamites, one of his types being Otozamites obtusus (Lind. and Hutt.) (fig. 603, B) originally regarded by Brongniart as a Fern and named Filicites Bucklandi[1529]. The auriculate form of the base of the pinnae and the spreading veins were emphasised in the definition of the genus. As in the case of many other Cycadean fronds the limits of the genus are not always easy to define, but as described below the genus is on the whole fairly distinctive. It is a very widely spread Jurassic type and extends from Triassic to Lower Cretaceous rocks. The supposed Cretaceous species from Greenland, O. groenlandica Heer[1530], is probably not a plant-impression but a polished groove in the rock.
Fronds pinnate, reaching a length of 50 cm. or more in some species; pinnae alternate, separate or contiguous and imbricate, attached by a portion of the base to the upper surface of the rachis, long and narrow (fig. 603, A), broadly oval or almost orbicular, apex acute or obtuse, base auriculate and asymmetrical[1531], the anterior lobe being more prominent than the posterior edge of the lamina which is usually rounded. The veins radiate from the base and pass obliquely with occasional branching to the 538edge of the pinna; in the more linear pinnae the veins may be parallel or nearly so. Zigno[1532] figured a piece of an Otozamites frond from Jurassic Italian strata in connexion with a Williamsonia and the actual specimen in the Padua Museum amply justifies the impression produced by the published drawing. Wieland’s investigations[1533] in Mexico have brought to light many cases of association of Otozamites fronds and Williamsonia flowers.
The structure of the epidermis is partially described by Schenk[1534] and more fully by Thomas[1535]: the epidermal cells have sinuous 539walls and the stomata, apparently confined to the lower surface, have guard-cells with hemispherical or spindle-shaped thickened patches like those of some Zamites fronds. In one species, O. Feistmanteli Zig., Thomas found about 100 stomata in 1 sq. mm. of lamina forming almost contiguous lines between the veins. In the account of the genus Ptilophyllum reference is made to the occurrence of pinnae with asymmetrical and auriculate bases, and it is only by the comparison of a large number of specimens that a distinction can be drawn between fronds that should be assigned to Otozamites and forms of Ptilophyllum which exhibit a well-marked tendency towards the Otozamites type of pinna (cf. figs. 592, 593). The variation in the form of the apices of pinnae and the relative position of the pinnae in different parts of the same frond are features worthy of notice in the determination of species[1536]. The different appearance presented by an Otozamites frond as viewed from the upper and lower face is illustrated in fig. 604. There are no recent Cycads in which the segments have auriculate bases, but in this feature as in the sinuous epidermal walls Otozamites agrees with some species of the Fern Aneimia, e.g. A. rotundifolia Schrad. (fig. 223, Vol. ii. p. 288).
There is considerable confusion in the nomenclature of this species described by Brongniart[1537] from Jurassic strata as Filicites 540Bechei: in it Brongniart included a specimen from the Lias of Axminster (Dorsetshire) previously figured by De la Beche as a fossil Fern. It was on the Axminster specimen that Lindley and Hutton founded the species Otopteris obtusa[1538], and as there is no doubt as to the specific identity of their type-specimen (fig. 603, B) and De la Beche’s fossil, Brongniart’s designation has prior claim[1539]. Otozamites Bechei is, perhaps, best regarded as a comprehensive type or a group-species in which numerous Otozamites fronds described by authors, on inadequate grounds, as distinct species may well be included. Fronds agreeing generally with O. Bechei were very widely spread in Rhaetic and Jurassic floras.
Specimens from the Middle Jurassic rocks of Yorkshire have been described as Otozamites obtusus var. ooliticus[1540] to denote a slight difference in the form of the pinnae from the Liassic fronds from Dorsetshire; but the distinctive features of the variety ooliticus are unimportant and hardly worthy of consideration in a general account of the species interpreted in a wide sense.
Fronds pinnate; pinnae usually more or less falcate, occasionally straight and with parallel sides, attached obliquely to the upper side of the rachis; imbricate or separate, the upper edge of the base of the lamina strongly auriculate, the lower edge rounded; apex obtuse; veins strongly divergent especially in the lobed base and extending obliquely to the upper and lower edge of the lamina.
The specimen, from the Lias of Lyme Regis, drawn in outline in fig. 605, is an almost perfect frond: the pinnae are obtusely pointed, slightly falcate, and there is a prominent lobe on the upper edge of the base of the laminae.
The Jurassic species Otozamites graphicus[1541] (Leck. ex Bean MS.), O. vicetinus Zig.[1542], O. Hennocquei[1543] (Pom.), O. recurrens Sap., O. Terquemi[1544] Sap., O. linearis[1545] Halle, are some of many examples of fronds agreeing closely with O. Bechei, or in the case of O. Terquemi with O. graphicus. The fronds described by Halle 541from Graham Land as O. linearis afford a good illustration of the range of variation in the pinnae: a characteristic feature is the considerable length, exceeding 20 cm., of the narrow linear fronds. The impressions from the Kome (Cretaceous) beds of Greenland described by Heer as Glossozamites Schenkii[1546] are probably closely allied to O. Bechei. The Rhaetic species O. Bucklandi Schenk[1547], O. indosinensis Zeill.[1548], and O. Polakii Krass[1549], illustrate older examples of closely allied types. Zeiller records Otozamites pinnae similar to those of O. indosinensis from Rhaetic beds in Persia[1550].
Founded on a specimen in the Scarborough Museum from the Middle Jurassic of Yorkshire[1551] which is indistinguishable from Leckenby’s type-specimen of Otopteris mediana[1552] in the Sedgwick Museum, Cambridge. Long and narrow fronds exceeding 20 cm. in length, characterised by the broadly oval, deltoid or sub-orbicular pinnae, separate or partially imbricate and attached by a broad auriculate base; apex bluntly rounded; veins numerous and spreading from the base of the lamina. The pinnae, which may be 3·5 cm. long and nearly 2 cm. broad, are narrower and longer in the distal part of the frond (fig. 606).
The Italian Jurassic species Otozamites molianus Zig.[1553], recorded also from Bornholm, is a very similar type. The generic name Cyclozamia suggested by Pomel for this form of frond has not been 542adopted though it is applied by Schimper to O. Bunburyanus Zig.
A Jurassic species[1554] similar in the long and narrow form of the frond to O. Beani but distinguished by the much smaller segments 543and by their more orbicular lamina (fig. 606, B). In habit the fronds agree closely with the Fern Nephrolepis Duffi. Leckenby’s species, Otopteris tenuata[1555], is probably the same as Zigno’s O. Bunburyanus, the type-specimen of which in the Padua Museum consists of a long and narrow frond with leaflets not exceeding 8 cm. in length; the rachis is hidden by the imbricate auriculate bases of the leaflets. Feistmantel[1556] refers to this species some pieces of very narrow fronds with overlapping pinnae from Upper Gondwana beds in India. A still smaller form is described by Möller[1557] from Bornholm as O. tenuissimus, and O. Bunburyanus is recorded from the same flora. O. Feistmanteli Zig.[1558] agrees in the form of the frond and in its short and broad pinnae with O. Bunburyanus.
This Indian species from the Rajmahal Hills[1559] and specimens of the same type from the Cutch flora described as O. contiguus Feist. afford another illustration of long and narrow fronds with short and relatively broad pinnae. The drawings published by Oldham and Morris accurately represent the specimens: the longest frond is 21 cm. long and neither end is complete (fig. 607); it is 9 mm. broad at the narrower end and 1·5 cm. at the broader end. The rachis is represented by a deep and broad groove; the actual bases of the leaflets are not preserved, but their position shows that they were attached to the upper face: this is clearly seen in the specimen described by Feistmantel as O. contiguus which shows also that the lamina is auriculate at the upper edge of the base. The pinnae vary in shape; the smaller ones are characterised by a strongly curved lower margin and the upper edge is slightly curved or straight, while the larger leaflets have more parallel edges and blunter rounded apices: the latter form is well shown in the specimens unnecessarily distinguished by Oldham and Morris as var. obtusa.
544
This Wealden species, first described by Dunker as Cyclopteris Klipsteinii[1560], is remarkable for the large pinnae. The rachis is fairly stout; the broadly oval or oblong pinnae vary considerably in size and in the relation of breadth to length, in rare cases reaching a length of over 8 cm. and a breadth of 2·4 cm.; apex obtuse, base slightly auriculate and asymmetrical; veins numerous, radiating from the point of attachment to the margin of the lamina. The occurrence of finer lines between the more prominent veins may indicate the presence of hypodermal stereome strands. Fig. 608 illustrates the striking variation in the size of the pinnae on a single frond and their attachment to the upper face of the rachis. In the breadth of the segments O. Klipsteinii resembles O. Beani (Lind. and Hutt.), O. decorus Sap.[1561], O. lagotis Brongn.[1562] and two species from South Russia described by Thomas[1563] as O. Izuimensis and O. giganteus. The pinnae of O. giganteus exceed 10 cm. in length and 3 cm. in breadth, thus surpassing the largest segments of O. Klipsteinii. Some pinnae from the Jurassic flora of Oregon made by Fontaine the type of a new species, O. oregonensis[1564], may be fragments of O. Klipsteinii. Nathorst[1565] records the occurrence in Lower Cretaceous or Wealden beds in Spitzbergen of Cycadean leaflets very like those of O. Klipsteinii.
This Wealden species, named by Dunker[1566] Pterophyllum Goeppertianum, agrees in habit with some of those to which reference is made under O. Bechei, e.g. O. linearis Halle, and represents a type of the genus with unusually narrow pinnae (fig. 603, A). The auriculate form of the lamina is feebly developed; the linear-lanceolate pinnae are occasionally falcate and have acute apices; as in many other species they were apparently deciduous. It is by no means easy to distinguish some of these fronds from specimens included in Ptilophyllum pecten.
545
546
This generic name was instituted[1567] for pinnate fronds from the Rajmahal series of India, assigned by Feistmantel to a Lower Jurassic horizon, but probably nearer in age to the Middle Jurassic series. Morris, joint author with Oldham of the Memoir on the Rajmahal plants, adopted the name Dictyopteris. Dictyozamites agrees very closely with Otozamites but is readily distinguished by the anastomosing veins (fig. 609), while the absence of a midrib differentiates it from the Palaeozoic genus Dictyopteris. The genus is recorded also from Jurassic strata in England, Bornholm, Japan[1568], Korea[1569], and from a locality 60 nautical miles N.W. of Cape Horn in Tierra del Fuego[1570]: the specimens from these localities differ only in unimportant details from the Indian type. Dictyozamites is confined to Jurassic floras and appears to be especially characteristic of Middle Jurassic floras. In India[1571] fronds occur in close association with stems of the Bucklandia type and, although there is no proof of any connexion with stems or flowers, it is probable that the fronds of this generic type were borne on stems similar to those of Bucklandia and that the flowers were constructed on the Williamsonia plan.
Morris[1572] described this Rajmahal species under the names Dictyopteris falcata and D. falcata var. obtusa; the specimens were included by Feistmantel under the designation Dictyozamites indicus, the original term falcata being discarded without adequate reason. An examination of several of the figured fronds enables me to confirm the accuracy of the published drawings and to extend the description in a few particulars. Fronds pinnate of the habit of Otozamites; pinnae comparatively thick, broadly linear, alternate, varying considerably in size and in the form of the apex which may be obtuse or acute. The pinnae are attached by the middle part of the lamina only; the upper edge of the base is slightly rounded or auriculate; the lower angle 547is generally more definitely lobed. The imbricate bases completely cover the upper face of the comparatively slender rachis. The longest pinna seen on an Indian frond is 6 cm. with a breadth of 2 cm. Some of the pinnae on magnification exhibit a finely tuberculate appearance, due no doubt to the presence of papillae on the epidermal cells like those on the pinnae of English and Bornholm specimens. This species is recorded by Yokoyama[1573] from Japan as D. falcatus var. distans, and a similar form, referred by him to a distinct species, D. grossinervis, may be more appropriately named D. falcatus var. grossinervis[1574]. The Indian type occurs also in Jurassic rocks of Korea, and Halle has discovered some Dictyozamites leaves in Tierra del Fuego[1575] which he describes as Dictyozamites sp. cf. D. falcatus: this record is of special interest from a phytogeographical point of view.
This species[1576], from rocks usually spoken of as Liassic but not improbably Middle Jurassic in age, differs from D. falcatus in the slightly more falcate form of the pinnae and in the more strongly auriculate upper angle of the base of the lamina. The stomata[1577] are confined to the lower epidermis and the strongly cuticularised guard-cells frequently lie at right-angles to the course of the veins. The epidermal cells have very sinuous walls (fig. 609, C) and in the middle of each is a prominent papilla.
This Middle Jurassic type from Marske[1578], Yorkshire, differs from D. falcatus in the relatively broader segments, their straighter form (fig. 609, B), and in the attachment to the rachis being slightly below the middle of the pinna base. Fig. 609, A, shows the base of a pinna and an oval scar similar to those on the rachis of some recent Cycads (cf. fig. 387). The epidermis is like that in D. Johnstrupi and as in that species the stomata are confined to 548the lower surface. There are approximately 120 stomata per square millimetre; each with two subsidiary cells (fig. 609, C) of elongated form, and the guard-cells have small thickened outgrowths or papillae as in D. Johnstrupi.
The epidermal features are described under D. Johnstrupi and D. Hawelli (fig. 609, C): a fuller account of those in the latter species will be found in the paper by Mr Thomas and Miss Bancroft.
The name Pterophyllum was first applied by Brongniart[1579] to some fronds from the Lias of Höör, which he named P. majus and P. minus, species subsequently removed by Nathorst[1580] to Schimper’s genus Anomozamites. Brongniart[1581] defined Pterophyllum fronds, e.g. P. Jaegeri (fig. 610), as pinnate, bearing pinnules of almost equal breadth attached by the whole width of the base and with a truncate apex; veins slender, equal, simple and slightly arched. There has been considerable confusion and laxity in regard to the application of the name Pterophyllum and in many cases no clear distinction has been recognised between this genus and Nilssonia. In Nilssonia the distinctive feature is the complete absence of any rachis uncovered by the lamina 549on the upper face of well-preserved specimens, while in Pterophyllum the continuity of the lamina is broken by a greater or less breadth of rachis in the middle line of the frond; the lamina does not cover the rachis but is attached laterally, or at least the two laminae of the frond, whether entire or deeply dissected, do not meet in the middle of the rachis. A specimen from the Cretaceous of Greenland described by Heer as Pterophyllum concinnum[1582] and now in the Stockholm Museum is probably a piece of a Nilssonia; the rachis is not exposed on the surface of the frond. In Nilssonia the veins are with few exceptions simple; in Pterophyllum they are often branched especially near their origin from the rachis: in Nilssonia the segments are of unequal breadth; in Pterophyllum they are usually equal. It has been the practice of several authors to follow Schimper[1583] in the employment of the generic name Anomozamites for fronds with a more or less entire or irregularly pinnatisect lamina which bear a very close resemblance to Nilssonia except that a portion of the rachis is exposed on the upper face. Potonié[1584] used Pterophyllum in a wider sense including both fronds with equal pinnae and those of the Anomozamites type: this more extended use of Pterophyllum is adopted by Zeiller[1585] who prefers to retain Anomozamites only as a sub-genus. It is in this sense that the following definition is framed.
Fronds pinnate; pinnae linear, attached by the whole base, which may be enlarged; the apex is truncate, rounded, or occasionally pointed; the veins are simple or dichotomously branched and parallel to the edge of the lamina. In some fronds (sub-genus Anomozamites) the segments are unequal (fig. 615), short, broad 550and truncate, and the lamina may be entire or divided into a few very unequal segments. The surface of the rachis is never completely covered by the lamina on the upper face of the frond and is often characterised by transverse wrinklings, possibly due to the presence of ramental scales.
Some interesting xerophilous features have recently been described by Halle[1586] in the lamina of Pterophyllum (Anomozamites) marginatum, a Rhaetic species figured by Schenk and Nathorst from Franconia and Scania. The pinnae were thick and succulent. Stomata are confined to the lower surface and the edges of the upper face of the lamina form a rounded curve causing the thick upper cuticle to abut on the thinner stomatiferous lower cuticle, thus producing in impressions the appearance of thickened margins.
There is no satisfactory evidence as to the nature of the reproductive organs or stems of the plants which bore fronds of the type represented by P. Jaegeri (fig. 610) and other forms with equal segments. A stem referred by Heer[1587] and by Leuthardt[1588] to Pterophyllum was not found in connexion with leaves, and there is the same absence of any convincing evidence in the case of the imperfect specimens from the Keuper of Basel believed by Leuthardt to be male and female inflorescences. On the other hand leaves of Anomozamites are known to have been borne on comparatively slender stems with dichasial branching, and the reproductive shoots are of the same general type as those known as Bennettites. This discovery is due to Nathorst who founded the genus Wielandiella[1589] on fertile stems with Anomozamites fronds. Mr Thomas[1590] has recently obtained evidence from Yorkshire Jurassic material pointing to a similar connexion between Anomozamites fronds and Wielandiella stems. Pterophyllum is further distinguished from Nilssonia by the folded walls of the epidermal cells and by the presence of two crescentic subsidiary cells (fig. 611, A) instead of the ring of cells which surrounds the guard-cells in Nilssonia (fig. 611, B). Schenk[1591] figured a few pieces of cuticle from fronds referred to Pterophyllum in which the walls are more or less sinuous, but the cells of Pterophyllum crassinerve Goepp.[1592] appear to have straight walls: this 551species is, however, probably a Nilssonia. The stoma represented in fig. 611, A, is from the lower epidermis of Pterophyllum (Anomozamites) Nilssoni (Phill.)[1593].
Pterophyllum extends from Upper Carboniferous to Lower Cretaceous strata and is especially characteristic of Keuper and Rhaetic floras. A possible representative of the sub-genus Anomozamites is described by Ettingshausen from Tertiary beds in New South Wales as Anomozamites Muelleri[1594].
This species[1595] was founded on a large frond from the Commentry coalfield with a stout rachis bearing linear pinnae, attached along a narrow groove on its outer edge, reaching a length of 12 cm. and a breadth of 1 cm.; adjacent pinnae are united at the base. The apices are pointed and there are 10–12 unbranched veins in the lamina. Fig. 612 shows a small piece of the large specimen in the Natural History Museum, Paris.
The only representative of a Carboniferous frond of Cycadean habit discovered in Britain is that recorded by Arber[1596] from Westphalian strata at a depth of 1834 ft at Barfreston in Kent. A fairly stout rachis bears incomplete pinnae the longest of which is slightly more than 1 cm. in length and 1–1·5 cm. broad; each segment, very slightly contracted at the base, has 3–4 occasionally 552forked veins. Arber compares the fragments with Pterophyllum blechnoides Sand. from Germany[1597].
This Permian species from Autun[1598] is similar to P. Fayoli, but differs in the more slender rachis and in the finer venation of the linear, acute, pinnae. The pinnae in Renault’s specimen reach a length of 4·8 cm. and are from 3·5–4 mm. broad; they are slightly confluent at the base and the veins occasionally fork.
Among other Palaeozoic species are Pterophyllum Grand’Euryanum Sap. and Mar.[1599] discovered by Grand’Eury in the Coal Measures of France, P. blechnoides Sand.[1600] from the Upper Coal Measures of Oppenau and recorded by Geinitz[1601] from the Middle Permian of Germany, P. Cottaeanum Gutb.[1602], a similar type, also from Permian rocks, but with coarser venation. The specimens figured by Geinitz as P. blechnoides and P. Cottaeanum are in the Dresden Museum: the former species is represented by a 553good impression on shale which shows the generic characters very clearly.
Brongniart[1603] founded this species (fig. 610) on material from the Keuper of Stuttgart. The fronds are characterised by the relatively narrow parallel-sided pinnae with rounded or truncate apices and little or no basal contraction; the pinnae may be contiguous or separate. There are 14–16 veins in each pinna. Leuthardt[1604], who figures several examples of this species from Keuper strata at Basel, speaks of the breadth-index of the pinnae as 12, a term employed to denote the relation of the breadth to the length of a segment. Pterophyllum longifolium[1605] is a very similar Keuper type: in this species the pinnae are rather shorter and broader than in P. Jaegeri and contracted at the base; the apex is truncate or obtuse. The differences between these species is, however, very trifling. The imperfectly preserved fossils figured by Leuthardt[1606] as the inflorescences of Pterophyllum have not been found in connexion with fronds and their nature is problematical. This and other species are recorded by Krasser[1607] from the Lunz beds in Austria.
A Keuper species[1608] from Raibl in Carinthia distinguished by its large pinnae, 15 cm. or more in length and 0·5 cm. broad, and by their almost digitate disposition on the rachis. The fronds appear to be relatively short: the upper pinnae are highly inclined while the lower are given off at an obtuse angle; they are obcuneate or more or less oblanceolate, with a truncate asymmetrical apex and rounded angles; the base is slightly contracted. Arber[1609] has figured some specimens from the Munich Museum in one of which there are five spreading pinnae and a portion of the rachis; one pinna is undoubtedly attached and the others, though probably in place, are not in actual connexion 554with the axis. There is a close resemblance between this species and Sphenozamites Rogersianus Font.[1610]: in the American type the fronds must have been 1 met. long; the leaflets, 19 × 9 cm., are elliptical, broadest near the apex and attached by the middle of the rounded base. Between the divergent and forked veins there is a fine granulation probably due to the presence of papillae. Pterophyllum Bronni and P. Rogersianum might be placed in Schimper’s genus Macropterygium[1611], though another Raibl species, originally described by Schenk as Pterophyllum giganteum[1612] and referred by Schimper to Macropterygium, has much longer and relatively narrow pinnae and agrees more closely with Pterophyllum as the genus is usually defined. In order to emphasise the distinctive features of Pterophyllum Bronni and Fontaine’s Virginian species they may conveniently be spoken of as Pterophyllum (Macropterygium) Bronni and Pterophyllum (Macropterygium) Rogersianum.
In this Rhaetic species[1613] (fig. 613) the narrow linear pinnae, contiguous or more or less distant, are 1–2 mm. broad and may exceed 5 cm. in length though they are usually shorter; they are attached more or less at right-angles to the sides of a transversely wrinkled rachis. The base of the lamina is broadened and the veins are parallel, simple or forked. The epidermal cells have sinuous walls.
A Rhaetic species founded[1614] on specimens from Persia and described also by Zeiller[1615] from Tonkin represented by fronds 5551 met. long and at least 15 cm. broad. The segments, 3–7 cm. long and 8–18 mm. broad, are often set at right-angles to the rachis; the edges are parallel but the lower edge bends upwards at the apex. The veins are simple or forked and approximately 0·3 mm. apart.
This Rhaetic species from Tonkin[1616] and Persia[1617] is interesting as affording an example of a frond with exceptionally narrow and contiguous pinnae. The frond is narrow and lanceolate, 15–20 cm. long with pinnae normal to the rachis, ·5–1 mm. broad and 7–25 mm. long attached by the whole base which is sometimes slightly enlarged. The veins are simple or forked, ·15–·25 mm. apart: the apices of the segments are rounded or truncate and the form of the whole is similar to that of Pterophyllum aequale but narrower.
In habit this Rhaetic species[1618] resembles Nilssonia compta. The linear-lanceolate fronds, as described by Zeiller[1619] in his Tonkin memoir, attain a length of 20 cm. and a breadth of 4 cm. The rachis, characterised by numerous transverse ridges, bears alternate or sub-opposite leaflets often at right-angles; they are almost rectangular and hardly longer than broad, attached by the whole of the base, which may be broadened, to the upper face of the rachis, but the lamina does not cover the whole of the rachis as in Nilssonia. The pinnae vary in breadth on the same frond and occasionally the lamina is continuous as in some forms of Nilssonia. Schenk[1620] figures examples from the Rhaetic of Franconia in which the lamina is very irregularly dissected and may be entire for a considerable distance. The epidermal cells have slightly sinuous walls. A similar type is represented by Pterophyllum (Anomozamites) Schenki Zeill.[1621], but the segments are contracted basally and become wider towards the apex where, as in P. inconstans, the edges are parallel. Feistmantel’s species Platypterygium 556Balli[1622], though superficially similar to Pterophyllum, appears to agree more closely with Pseudoctenis.
This species, founded on a specimen in the Sedgwick Museum, Cambridge, from the Middle Jurassic beds of Yorkshire, was formerly referred to the genus Dioonites[1623], but since the Yorkshire specimens were supplemented by material from Kimmeridge strata in Scotland[1624] affording more definite information with regard to the attachment of the pinnae it has been transferred to Pterophyllum. Pinnae laterally attached to the rachis which in some specimens shows a transverse wrinkling, narrow, linear, 3–4 mm. wide and reaching a length of 9 cm. The base of the segments is slightly expanded; the apex is acuminate or bluntly pointed: there are approximately three veins in 1 mm. of lamina. This type (fig. 614, A, B) is similar to Pterophyllum aequale Brongn. as figured by Zeiller[1625] from the Rhaetic of Tonkin and agrees closely with some of the large Rhaetic specimens referred by Schenk to P. Braunianum. The Jurassic fronds from Oregon described by Fontaine[1626] as Ctenophyllum angustifolium are similar 557forms and a specimen from the Wealden of Germany included by Schenk in P. Dunkerianum[1627] should probably be included in this species. Other closely allied forms are represented by P. distans Old. and Morr.[1628] and P. Footeanum from India.
558
The type-specimen, from the Jurassic beds on the Yorkshire coast and now in the York Museum, was described by Phillips[1629] as Aspleniopteris Nilssoni and placed in Pterophyllum by Lindley and Hutton and many other authors[1630]. The fronds are linear; the lamina may be almost entire or divided into unequal deep truncate segments; the veins are simple or dichotomously branched (fig. 615). The leaves are very similar to those of Nilssonia; they were probably borne on stems similar to those described by Nathorst as Wielandiella. Reference is made to the structure of the epidermal cells in the account of the genus.
This Wealden species, originally referred by Dunker[1631] to Pterophyllum, was afterwards transferred to Anomozamites[1632]. The fronds, in habit resembling the larger Rhaetic species P. Braunianum Goepp., are characterised by the narrow linear pinnae of almost equal breadth attached approximately at right angles; there is a narrow line of rachis separating the two rows of segments (fig. 616).
The generic name Cycadites was first used by Sternberg[1633] though it has since been shown that the specimens for which he proposed it belong to other genera. As employed by Brongniart[1634] and other authors Cycadites stands for fossil fronds agreeing in habit with the pinnate leaves of recent species of Cycas (fig. 387, A); the presence of a single median in the linear pinnae is generally regarded as an essential feature. Cycadites may be defined as follows: Fronds pinnate; pinnae alternate or opposite, linear entire, with a midrib and no lateral veins, attached to the rachis by the entire base, the lower margin of which may be slightly decurrent or narrowed near the point of attachment. Epidermal cells with straight walls and stomata agreeing in structure with 559those of the recent genus. As thus defined, including the characters of the epidermal cells, the genus has no representatives; but the generic name should also be applied, as Miss Holden[1635] has recently suggested, to fronds of the Cycas form which afford no information with regard to the structure of the epidermis. The resemblance of Cycadites fronds to those of Cycas, coupled with the fact that impressions superficially resembling megasporophylls of the recent genus are recorded from Mesozoic strata, was considered sufficient justification for the employment of a name implying close affinity to or even generic identity with Cycas. A fuller knowledge of the epidermal characters of some of the fronds hitherto included in Cycadites has necessitated the substitution of a new genus for Cycadites. An examination by Nathorst[1636] of Heer’s Lower Cretaceous Greenland species Cycadites Steenstrupi and of other fronds showed that the epidermal cell-walls are sinuous and the stomata arranged differently from those of Cycas. For these and other reasons Nathorst proposed a new name Pseudocycas. He also pointed out that the pinnae in the fossil fronds have as a rule a double ‘midrib.’ Nathorst’s discovery raised the question whether other fronds described as Cycadites should be transferred to Pseudocycas. Miss Holden’s investigation of other supposed Mesozoic representatives of Cycas leads to the conclusion that ‘it is not impossible that all Mesozoic specimens of Cycadites will turn out to be Pseudocycas.’ This observer shows that Cycadites Saportae Sew. and C. Roemeri Schk. agree in the sinuous walls of the epidermal cells with Pseudocycas; and so far no species of Cycadites, in which it was possible to examine the cuticular membrane, has been found that does not conform to Nathorst’s definition of Pseudocycas at least as regards the structure of the epidermal cells. Nathorst defined Pseudocycas in the following sense: Fronds similar to those of Cycadites and Cycas but with pinnae characterised by a double ‘midrib,’ the stomata being confined or almost confined to the groove between the two ‘midribs.’ Nathorst also notes that in Pseudocycas the bases of the pinnae are not contracted as is often the case in Cycadites and Cycas, but this is a feature of secondary importance. Miss Holden has, however, expressed the opinion 560that the double ‘midrib’ is an untrustworthy character and that the stomata are not always arranged as in the fronds examined by Nathorst. Nathorst states that in Pseudocycas Steenstrupi and P. insignis the midrib though usually double may be single: the same variation occurs in P. Saportae. Miss Holden found that an impression made from a pinna of Cycas siamensis showed a double line on the upper face and a single rib on the lower; that is Pseudocycas and Cycas characters occur on a single pinna. On drying, the ridge on the lower face of the lamina collapses and a groove is formed bounded by two ridges.
In a recently published and interesting paper on ‘Some Xerophytic Leaf-structures in Mesozoic Plants,’ Dr Halle[1637] makes some important additions to our knowledge of Pseudocycas. He agrees with Miss Holden’s views with regard to the use of the generic names Pseudocycas and Cycadites, but dissents from her interpretation of the median groove as the result of shrinkage of a midrib. Part of the evidence presented by Halle is based on the structure of the leaf-cuticle as shown in microtome sections[1638]. He found that a distinct median groove is always present on the pinnae of Pseudocycas insignis and other species. If the groove were due to collapse of the tissue of a true median rib the presence of stomata—which in P. insignis are confined to the middle line of the lamina—below the vein would be an unusual feature. He found no indication of a median vein or of any vascular tissue. All that is revealed by an examination of the cuticle is that the lamina has a well-defined groove bounded by prominent ridges, and in Pseudocycas Roemeri the groove is deeper and is formed by the bending-back of the lamina. The stomata are practically confined to the groove and in P. insignis and P. Steenstrupi an additional protection against excessive transpiration was afforded by elongated papillae.
In the sinuous walls of the epidermal cells and in the structure of the stomata Pseudocycas agrees with the Bennettitalean type as defined by Thomas and Bancroft[1639]. The ‘midrib’ of the pinnae marks the position of a pronounced groove and we have no information with regard to the venation. As Halle says, protection 561against drought is afforded by ‘other means than those usual among existing Cycads,’ which provide against excessive transpiration by the sinking of the individual stomata below the surface. The epidermal features of Pseudocycas afford a striking example of the danger of basing conclusions on mere impressions and they further emphasise the great difference between Mesozoic Cycadean fronds and those of recent genera.
We have no knowledge of the nature of the reproductive organs of the plants which bore Pseudocycas fronds, but the agreement of the stomata and epidermal cells with those in some Bennettitalean types favours the inclusion of the genus in that class. It has previously been pointed out that the impression figured by Heer[1640] in close association with the Greenland specimens of Pseudocycas Steenstrupi as a carpellary leaf of the Cycas type is much too imperfect to be identified and has no claim, as an examination of the actual specimen in the Copenhagen Museum convinced me, to be compared with a megasporophyll of Cycas. This view is shared by Nathorst.
In some cases the name Cycadites has been applied to fragments that might equally well belong to Conifers or other plants, and not infrequently a careful examination of fossils referred to Cycadites shows that the pinnae afford no evidence of a true midrib. Casts of revolute pinnae like those of the recent species Encephalartos Ghellinckii (fig. 382) would present an appearance closely resembling a strong midrib. Heer’s Siberian Jurassic species Cycadites sibiricus[1641] is probably a piece of a Taeniopteris or Nilssonia frond, and C. gramineus Heer[1642] should be referred to Taxites. An examination of the Indian fronds described by Oldham and Morris and Feistmantel as species of Cycadites leads me to discard all of them as trustworthy records of the genus: in Cycadites confertus[1643] and C. Blandfordianus[1644] there appear to be several veins in the pinnae and not a single midrib. Cycadites constrictus[1645] is almost 562certainly a Conifer as Nathorst has also suggested. No satisfactory example of Cycadites has been described from Palaeozoic strata; Goeppert’s Cycadites gyrosus[1646] is founded on material too imperfect to determine, and an examination of his Culm species C. taxodinus in the Breslau Museum led me to refer it to a Conifer. The specimens figured[1647] by Zeiller from Lower Gondwana rocks in India as Cycadites? sp. are portions of linear leaves or leaflets 5 mm. broad with a median rib but they can hardly be accepted as evidence of the presence of a Cycadean plant.
The fronds of this Cenomanian species from the West of Greenland reach a breadth of 16 cm.; the rachis, 1 cm. broad, has two 563parallel ridges on the upper surface and to these are attached at a wide angle the broad bases of narrow linear pinnae reaching a length of 9 cm. and a breadth of 2–3 mm. (fig. 617). The pinnae are thick and separate and each has a double ‘midrib’ consisting of two parallel lines (fig. 617, B) which are occasionally replaced by one. The so-called double ‘midrib’ represents the two prominent ridges bordering the groove. The stomata, confined to the median groove, are approximately circular and the short epidermal cells have sinuous walls[1648].
Nathorst refers this species, described by Heer as Cycadites, from the Cenomanian of Greenland, to Pseudocycas on the ground that the epidermal cells are like those of P. Steenstrupi and the stomata are confined to a median groove. Heer figures an impression in close association with the frond of this species which he identifies, without any adequate reason, as a carpellary leaf like that of a Cycas.
It has recently been shown by Miss Holden that this Wealden English species[1649] has the epidermal characters of Pseudocycas. In external form it agrees closely with Cycadites tenuisectus Sap.[1650] from Lower Cretaceous rocks in Portugal, but nothing is known of the epidermal features of the latter type. The rachis is broad and flattened and bears alternate or sub-opposite pinnae of uniform breadth attached at right-angles or obliquely to its upper surface (fig. 618). The pinnae are 6–7 cm. long and about 1 mm. broad; their bases are slightly expanded and the apices sharply pointed. Miss Holden[1651] finds that the median rib is sometimes double and that the middle region of the lamina is covered with stomata; the epidermal cells have sinuous walls and stomata occasionally occur on each side of the main median stomatal area. Dr. Halle[1652] of Stockholm, who has examined cuticular preparations made from English specimens, confirms Miss Holden’s 564observations as regards the stomata, but he shows that there is no evidence of the existence of a midrib in the strict sense, the appearance of a single or double median vein being due to the presence of a dorsal stomatiferous groove, the edges of which would produce an impression on the matrix of a double vein or, if the groove became narrower, the impression would suggest a single midrib.
This Wealden species recorded from North Germany[1653] and the Sussex coast[1654] has broader pinnae laterally attached to the 565rachis. Miss Holden describes the stomata as covering the whole lower surface of the pinnae except over the midrib. This description must be revised in the light of Halle’s results obtained from an examination of the cuticle of the type-specimen of the species in the Berlin Museum. He finds that the edges of the pinnae are strongly revolute and thus form a deep dorsal canal which is almost closed[1655], a form of lamina, as seen in section, very similar to that of an Empetrum leaf. The stomata are confined to the groove. It may be that the specimen examined by Miss Holden is specifically distinct or, as Halle also suggests, the cuticle obtained from the English fossil may not represent the whole surface but only the walls of the canal with possibly a portion of the cuticle of the outer dorsal surface. This type of leaf described by Halle is similar to that of P. insignis with the xerophilous character intensified.
This species was founded by Zeiller[1656] on fronds from the Rhaetic of Tonkin reaching a length of 40 cm. and 2–8·5 cm. broad with a rachis 3–4 mm. wide bearing contiguous linear pinnae 1·5–4·5 cm. long and 1·5–3 mm. broad with a more or less contracted base and a rounded or obtusely pointed apex. The pinnae are attached almost at right-angles or at an angle of 60°–80°. There is a clearly defined midrib.
It is not improbable that were the structure of the epidermal cells known this species would be found to be another example of Pseudocycas.
This species[1657], first recorded from Rhaetic strata in Germany, differs in the narrower and more acutely pointed pinnae from C. Saladini. Miss Holden describes the midrib as double, but until specimens are found which admit of an examination of the cuticles it is impossible to decide whether it should be transferred to Pseudocycas. The species is widely distributed in Rhaetic 566and Jurassic strata and specimens are recorded from the Lias of Lyme Regis on the south coast of England.
This species, from the Middle Lias of Normandy[1658], is founded on fronds 2·2–2·6 cm. broad with a rachis 3 mm. in breadth bearing laterally-inserted pinnae almost at right-angles 11–12 mm. long and 1·25–1·50 mm. broad; it is very similar to C. rectangularis which occurs in the same beds.
This genus[1659] was named after the Swedish naturalist Nilsson who had figured certain plants from the Lias of Höör referred by Fries to the Ferns: these were named by Brongniart Nilssonia brevis and N. elongata and classed with the Cycads. The type-specimens of the latter species are regarded by Nathorst as a form of N. brevis. The history of the genus is fully discussed in Nathorst’s able monograph[1660]. Nilssonia, founded on fronds which with one exception are known only as casts or impressions, may be thus defined: Fronds with circinate vernation, at least in the type-species Nilssonia brevis (fig. 619, C, D), similar in shape to the leaves of Scolopendrium vulgare and Polypodium irioides and to such unusual forms of Cycas fronds as those reproduced in figs. 384, 387, I[1661], in which the laminae of the pinnae are concrescent and form a continuous or deeply cut lamina. They may reach a length of 60 cm. and a breadth of 10 cm. and some specimens are known in which the leaf is less than 1 cm. in width. The lamina is occasionally entire, but in the great majority of cases it is more or less deeply cut into segments of unequal breadth varying considerably in size and shape even in the same species, usually deep and truncate and sometimes long and narrow (e.g. N. pterophylloides, fig. 619, B). An important distinguishing feature is the attachment of the lamina to the upper face of the rachis which it covers: the extension of the lamina over the surface of the frond axis and the rare occurrence of branching 568of the veins are characters in which Nilssonia differs from Taeniopteris. The veins are given off at right-angles or obliquely from a very narrow groove occupying the median line of the rachis; they are nearly always simple and in some of the more fleshy leaves, e.g. N. brevis, they are seldom visible. The surface of the lamina may be smooth or transversely corrugated. The rachis forms a prominent rib on the under surface of the frond (fig. 620, A) and may be continued beyond the lamina as a short petiole. Epidermal cells polygonal or rectangular, with straight walls in contrast to the sinuous walls of Taeniopteris; some of the cells bear strongly cuticularised papillae, possibly the bases of hairs (compare the hairs on the fronds of Acrostichum crinitum, a Fern with leaves similar in shape to some of the large entire fronds of N. orientalis though relatively broader and with anastomosing veins). Stomata usually confined to the lower epidermis and not very numerous; guard-cells of rounded contour and without any special thickening surrounded by 6–8 accessory cells with thickened walls (fig. 611, B) forming a chimney slightly raised over the stomatal pore[1662]. In Nilssonia the guard-cells do not exhibit that regularity of orientation which characterises the stomata of Ptilophyllum, Otozamites, and other Bennettitalean fronds. Little is known of the anatomy of the leaves: in a petrified leaf of N. orientalis[1663] from Upper Cretaceous rocks in Japan there is no palisade-tissue and small groups of sclerenchyma occur above and below the veins. The xylem appears to be centripetal, but the preservation is far from satisfactory. A few secretory canals were found near the edge of the leaf. We have no certain knowledge of the reproductive organs. The small circular projections figured by Schenk[1664] on some leaves of Nilssonia polymorpha as sporangia have no claim to be so regarded. In the description of N. brevis reference is made to some seeds discovered by Nathorst which may belong to that species. Nathorst suggests the possibility that the Rhaetic fossil Stenorrachis scanicus Nath. may be the seed-bearing shoot of a Nilssonia, either N. brevis or N. polymorpha, and if this surmise is correct it almost necessarily involves the genus Beania[1665] which has been tentatively referred to the 569Ginkgoales though without any convincing evidence to support such connexion. Nothing is known of the stems: the occasional occurrence of leaves converging towards a common support points to a Cycadean habit. It is possible, as Nathorst suggests, that the Rhaetic species Bucklandia Saportana[1666] may be the stem of a Nilssonia.
Nilssonia is especially characteristic of Jurassic and Rhaetic floras; it occurs also in Triassic beds and extends into Cretaceous floras.
Nathorst instituted the genus Nilssoniopteris[1667] for some specimens from the Yorkshire coast which he believed to be examples of Nilssonia tenuinervis on the ground that the veins are dichotomously branched and the epidermal cells have sinuous walls. Mr Hamshaw Thomas[1668] has, however, shown by an examination of the specimens in the Stockholm Museum that they belong to Taeniopteris vittata, and Prof. Nathorst agrees with this conclusion. The name Nilssoniopteris must therefore be abandoned. Miquel[1669] proposed the name Hisingera for some Nilssonia fronds, but it has not been adopted.
Linear fronds varying considerably in breadth and in the degree of dissection of the lamina, which may be entire; the margin may show broad and shallow crenulations or there may be a few narrow and deep sinuses cutting the otherwise entire lamina into long and narrow segments. More usually the lamina is divided to the rachis into numerous truncate segments traversed by parallel, simple, veins extending from a narrow groove in the middle of the rachis on the upper surface of the frond (fig. 619, E). The veins run in very narrow grooves in the generally flat but occasionally corrugated lamina[1670].
This species agrees very closely in habit with N. compta and N. brevis and, as Nathorst points out, it is in some cases almost impossible to distinguish Nilssonia polymorpha from N. brevis. 570Some of the fronds from the Rhaetic of Franconia described by Schenk as N. polymorpha are examples of N. brevis. In N. polymorpha the distal ends of the segments are blunter, the lamina is much less folded and when folds or corrugations occur they are less regular than in N. brevis. The epidermal cells are polygonal and have thick, straight, walls: oval or circular papillae occur both on the lamina and rachis. The stomata, confined to the lower surface, are between the veins and each is accompanied by a ring of subsidiary cells (cf. fig. 611, B). N. polymorpha is a member of Rhaetic floras and is recorded also from Liassic rocks at Höör[1671].
This species[1672] (fig. 619, C, D), one of those from Höör on which the genus was founded, has been very fully investigated by Nathorst[1673] whose researches have cleared up many obscure features. The young fronds are circinate like those of Ferns and Cycas. The linear fronds agree generally in habit with those of N. polymorpha and N. compta, but the lamina is thicker and is characterised by regular transverse corrugations; the veins are very rarely visible except in young leaves which have not reached their full thickness. The fronds may be 50 cm. long and vary in breadth from 1·5 to 12 cm.; the petiole is very short or the frond may be 572sessile. Between the regular grooves on the upper surface the lamina is more or less convex; seen from below the grooves are represented by ridges and between each pair of ridges there are parallel folds, sometimes three (fig. 620, B) or as many as six; and where the segments are narrow, that is the strips of lamina between two grooves (or ridges), there may be only a single fold which gives the appearance of linear segments with a single midrib as in Cycadites, a misleading resemblance of special interest in reference to the Nilssonia fronds described by Oldham and Morris[1674] and by Feistmantel[1675] as Cycadites rajmahalensis. Owing to the fleshy nature of the leaf the difference between the upper and lower side is particularly well marked in this species. The lamina may be more or less entire, but is usually divided by deep sinuses extending to the rachis into truncate or distally tapered segments varying in breadth (fig. 619, C, D), the narrow segments being characterised by a more pointed apex than in N. polymorpha. The structure of the stomata and epidermal cells is of the type described in the definition of the genus. Strongly cuticularised papillae, incorrectly described by Schenk[1676] in N. polymorpha as stomata, occur on some of the epidermal cells: these may be the bases of hairs. In some preparations Nathorst found patches of a resinous substance, an interesting discovery in view of the occurrence of secretory canals in the petrified leaf of Nilssonia orientalis described by Dr Stopes[1677].
Nilssonia brevis occurs in Upper Rhaetic and Lower Liassic strata.
A Rhaetic Scanian species originally referred by Nathorst[1678] to Nilssonia but later removed by him to Dioonites[1679] and in 1909 reinstated in Nilssonia[1680] on the ground that the lamina covers the upper face of the rachis. The segments are fairly uniform in breadth and linear; they reach 10 cm. in length and are usually 5–7 mm. broad; the lamina is slightly tapered towards the apex (fig. 619, B). There are 3–10 parallel grooves on the upper 573face of the segments and between each pair is a single unbranched vein. In close association with portions of three fronds of this species Nathorst found several oval bodies, 1 cm. × 7 mm., which he at first regarded as ‘antherangia’ comparable with the sporocarps of the Hydropterideae, but an examination of the carbonised tissue demonstrated that the small rounded bodies contained in each of the ‘antherangia,’ originally believed to be pollen-sacs, are grains of resin internal to a cuticle of thick-walled cells and probably formed by secretory sacs in a fleshy tissue. Internal to the resin-bodies is a second cuticle which may be the remains of a nucellus, the outer cuticle and the resin belonging to the sarcotesta. Nathorst’s careful examination of these fossils shows that they are seeds (fig. 619, A) and were probably borne on plants of N. pterophylloides, though an accidental association is not improbable.
Broadly linear fronds varying considerably in size and in the breadth and number of the truncate segments. In some cases the fronds exceeded 40 cm. in length and had a breadth of 9 cm. (fig. 622). The veins are simple, parallel, and fairly prominent and the lamina shows clearly the attachment to the upper surface of the rachis which is covered by it as in all species of the genus[1681]. The structure of the epidermis and stomata has recently been described by Thomas[1682]. Brongniart mentioned in the Prodrome a species from the Lower Oolite of Yorkshire under the name Pterophyllum Williamsonis[1683], but in a later work this is given as a synonym of N. compta. Nilssonia compta bears a close resemblance in habit to N. polymorpha; it agrees also with the large fronds described from the Upper Gondwana of India as Pterophyllum princeps[1684]. Since attention was first called to this similarity an examination of several of the figured specimens has convinced me that the Indian fronds are either identical with or at least 574closely allied to the European leaves. The apparent lateral attachment of the lamina in the drawings published by Oldham and Morris and Feistmantel is due to imperfect preservation; the lamina ends in two raised ridges, and the discovery of a specimen in which the lamina completely covers the rachis confirmed the impression made by the other specimens. The Amurland Jurassic species Nilssonia Schmidtii[1685] Heer though probably not identical with N. compta is a very similar type; it was originally described by Heer as Anomozamites Schmidtii and transferred by Nathorst[1686] to Nilssonia: the veins are occasionally forked near the rachis and are rather farther apart (·5 mm.) than in N. compta and the segments are broader and deeper than in the English species. Nilssonia nipponensis Yok.[1687] a Jurassic species recorded from Japan and North America is another similar type.
575
In this Jurassic and Lower Cretaceous species, founded on material from Jurassic rocks in Siberia[1688], the lamina is generally entire. The fronds exhibit a wide range in size and shape; they may have the form of very narrow linear leaves barely 1 cm. across or may reach a breadth of nearly 10 cm. The leaves from Middle Jurassic British strata named by Nathorst N. tenuinervis[1689] are probably identical with Heer’s type, and N. Johnstrupi[1690] Heer from the Lower Cretaceous of Greenland may also be referred to N. orientalis.
The veins are at right-angles or oblique to the rachis and are very numerous, three or more in a breadth of 1 mm.[1691] A species recently described by Halle[1692] from Graham Land as N. taeniopteroides agrees closely in habit with N. orientalis: in the southern form the frond may have a length of 40–50 cm. and a breadth of 3 cm. The entire lamina of N. taeniopteroides tapers gradually towards the base and is more rapidly narrowed in the distal region; the petiole is at least 6–7 cm. long: the simple or branched veins, 15–20 in 1 cm., are given off from the axis at a wide angle. The more crowded veins in N. orientalis constitute one of the few features in which it differs from Halle’s species, but the fact that the degree of closeness of the veins is inconstant within the same species renders this distinction of doubtful value. Halle compares his species also with N. densinervis (Font.) originally described as Platypterigium densinerve from the Potomac beds[1693] and afterwards transferred by Berry[1694] to Nilssonia and considered by him to be identical with Fontaine’s Platypterigium Rogersianum. An examination of some of Fontaine’s specimens in the Washington Museum led me to refer the fronds to Nilssonia[1695].
It is impossible to speak with confidence as to the absolute specific identity of N. orientalis Heer, N. Johnstrupi Heer, N. taeniopteroides Halle, and some similar forms; but it is clear that the linear fronds of this type characterised by an entire 576or occasionally pinnatisect lamina were widely distributed in Jurassic and Lower Cretaceous strata and persisted to the Upper Cretaceous series in Japan. This form of frond is recorded from England, Scotland, North America, Greenland, Spitzbergen[1696], Siberia, Russia, Afghanistan[1697], Japan[1698], Graham Land, and elsewhere. Reference has already been made to a petrified specimen of N. orientalis described by Dr Stopes from Japan[1699].
Specimens described by Salfeld[1700] from the Corallian of Germany as Taeniopteris sp. may be N. orientalis; Bartholin’s N. polymorpha from Bornholm, Velenovský’s Lower Cretaceous N. bohemica and Yokoyama’s N. ozvana from Japan are other examples of fronds which may be identical with N. orientalis[1701].
This Jurassic species, while agreeing generally in habit with N. compta, is characterised by the narrow and numerous linear segments with a more acuminate apex. The fronds reached a length of more than 20 cm.[1702] Leckenby’s name Pterophyllum medianum[1703] was given to a specimen from the Yorkshire coast and now in the Sedgwick Museum, Cambridge, which, with Pterophyllum angustifolium, is clearly identical with Cycadites tenuicaulis Phillips. The specific name mediana frequently used[1704] for this type should be given up in favour of the older term tenuicaulis. A species of similar habit is described but not figured by Krasser[1705] as N. Sturii from the Lunz beds. N. tenuicaulis is fairly common in the Middle Jurassic beds near Scarborough and is recorded from the Kimmeridgian of Scotland under the name N. mediana (fig. 614, C)[1706].
Oldham and Morris speak of Pterophyllum princeps[1707] as one of the commonest plants in the Rajmahal beds in India. The 577fronds are characterised by their large size and by the very broad oblong and distally truncate pinnae with parallel and occasionally branched veins. In the specimens figured by Oldham and Morris and Feistmantel the pinnae are cut off at their bases (fig. 623), which form ridges parallel to the rachis: this feature is not clearly shown in the published drawings. By breaking some pieces of rock from a slab containing figured specimens other pieces were found in which the laminae of the bases of segments meet in the middle of the upper face of the rachis. The pinnae vary in breadth from 1 cm. to 3·5 cm. and reach a length of 8 cm.; the distal end is truncate, the lower edge being strongly curved: the segments are slightly broadened at the base. The veins are prominent and parallel, from 0·5 to 0·8 mm. apart. The Rajmahal 578fronds described as Pterophyllum Morrisianum[1708] appear to be indistinguishable from this species.
This species, first described as Pterophyllum Schaumburgense[1709] from the Wealden of Germany, affords a good illustration of a small type of frond closely resembling the much larger species N. compta. Examples from English Wealden rocks seldom exceed 1 cm. in breadth and are often much narrower; the linear lamina is almost entire or divided into short and broad truncate segments of unequal breadth: the veins are parallel and simple. For figures of this species, recorded from different European localities and from Japan, reference should be made to the accounts by Schenk[1710], Nathorst, Yokoyama, Yabe, and Fontaine.
The genus Ctenis[1711] was founded on a piece of pinnate frond from the Middle Jurassic rocks of the Yorkshire coast previously figured by Phillips as Cycadites sulcicaulis. Lindley and Hutton regarded the plant as probably Cycadean and proposed to apply the name Ctenis to all leaves having the general characters of Cycadeae, but with ‘the veins connected by forks or transverse bars.’ While many authors have accepted Ctenis as a Cycadean genus, by others[1712] it has been placed among the Ferns, on the ground that some small circular elevations on the lamina of the segments of certain species are believed to be sori or sporangia. Since Ettingshausen[1713] and Schenk[1714] first noticed this feature Raciborski[1715] has figured several examples from Poland and Staub[1716] records similar circular bodies on a Liassic Hungarian species. In no single instance have sporangia been found. Nathorst[1717] proposed the designation Anthrophyopsis (because of the resemblance of the lamina in form and venation to the leaves of the Fern 579Anthrophyum) for some Rhaetic specimens from Scania, but as they were subsequently found to be segments of a pinnate frond he adopted the name Ctenis. An example in the Manchester Museum[1718] (fig. 624) from Yorkshire, mentioned by Nathorst in an early paper as probably a new species of Anthrophyopsis, afforded good preparations of the cuticle (fig. 625) which revealed the existence of circular elevations on the outer walls of the epidermal cells: these may explain the nature of some at least 580of the supposed sporangia. The walls of the epidermal cells are straight. The name Ctenis is applied to pinnate fronds which are probably Cycadean though we have no evidence as to the nature of the stem or the reproductive organs. Ctenis fronds are among the largest Cycadean leaves from Mesozoic floras; in Ctenis hungarica Staub the frond is said to have reached a length of 2 met. and in other species the dimensions exceed those of most pinnate leaves. The stout rachis bears linear or broad-oblong pinnae attached at a wide angle and varying considerably in size and shape; the pinnae are attached by the whole base which is usually broadened and decurrent but in a few cases slightly contracted (e.g. C. Zeyschneri Rac.[1719]). For some fronds bearing broad and basally narrowed segments Raciborski proposed the name Ctenidiopsis in distinction from Euctenis which he applies to the typical forms. The pinnae may be long and narrow reaching a length of over 12 cm., or short and broad: in some cases the frond would be more correctly described as deeply pinnatisect; the apex of the segments is acute, bluntly rounded or truncate. Several veins pass into the base of each pinna and pursue a course approximately parallel to the edge of the lamina; a characteristic feature is the occasional occurrence of oblique cross-connexions between the veins. It is possible that in some species the pinnae had spinous margins as in the pinnae of uncertain affinity figured by Fontaine[1720] as Encephalartopsis nervosa from the Potomac series. Our knowledge of the epidermal cells is very meagre: in the specimen represented in fig. 625 the epidermal cells have straight walls and a central papilla. The genus extends from Triassic to Upper Jurassic rocks.
This species, first recorded by Stur from the Lunz Upper Triassic flora, has recently been examined by Krasser[1721] and compared with the Jurassic species Ctenis sulcicaulis (Phill.) (= C. falcata Lind. and Hutt.) and C. Potocki Rac. No figures or detailed descriptions have been published.
581
This Scanian Rhaetic type[1722], including Anthrophyopsis crassinervis, A. Nilssoni, and probably A. obovata Nath., is characterised by very large obtusely pointed pinnae reaching at least 20 cm. in length and over 3 cm. in breadth. The veins are often 2 mm. apart and form long polygonal meshes. Nathorst figures small circular patches on the surface of the lamina. Raciborski[1723], on slender evidence, refers a fragment from the Jurassic of Cracow to this species.
A species[1724] characterised by very large fronds reaching 2 met., bearing broad linear pinnae almost at right-angles and attached to the rachis by decurrent bases, attaining a length of 21 cm. and a breadth at the base of the lamina of 3·5 cm. and 4 cm. a short distance from the acute apex. The veins are parallel to the edge of the lamina, but Staub does not appear to have seen distinct anastomoses. It is not improbable that Staub’s species may be identical with C. asplenioides (Ett.) from the Lias of Hungary, specimens of which are preserved in the École des Mines, Paris.
This species was first described by Ettingshausen[1725] from Liassic strata in Austria as Taeniopteris asplenioides and compared by him to large simple fronds of Asplenium nidus but distinguished by a deeply dissected lamina. Schenk[1726] found that the veins anastomose and adopted the name Ctenis. In habit very similar to C. sulcicaulis, but the pinnae are much broader, exceeding 4 cm., and the veins are 3–5 mm. apart. Only the basal part of the segments is figured by Ettingshausen. Specimens in the École des Mines, Paris, from Hungary have pinnae nearly 40 cm. long and 2·5 cm. in breadth, the parallel veins being connected by a few oblique branches. Both Ettingshausen and Schenk speak of small circular sori on the lower epidermis, though these are not figured nor were any sporangia obtained. This species 582and other examples of large Ctenis fronds are described by Raciborski from Lower Jurassic rocks in Poland. He figures part of a leaf of C. Zeyschneri[1727] 40 cm. long bearing alternate pinnae approximately 10 cm. long and nearly 4 cm. broad, characterised by obtuse apices, a decurrent lamina, and anastomosing veins closer together (16–24 per 1 cm.) than those of C. asplenioides. In one Polish specimen, C. remotinervis[1728], with pinnae 5 cm. broad the lamina is represented in the upper part of the frond as continuous over the face of the rachis, and—if the drawing is accurate—the frond in this respect differs from typical examples of Ctenis and agrees with Nilssonia. A species of Ctenis with broad pinnae is described by Yokoyama[1729] from the Jurassic of China as C. Kaneharai.
This type[1730] is more familiar under the name Ctenis falcata given to it by Lindley[1731], but if we follow Lester Ward[1732] in strict observance of the rule of priority, a course from which I have frequently deviated on the ground of long usage, the less familiar designation must be adopted. Fronds pinnate; long and tapered linear pinnae sometimes exceeding 12 cm. in length and 1 cm. in breadth attached obliquely or almost at right-angles to a fairly broad rachis (fig. 626). The lamina is broadest at the base and the lower margin is strongly decurrent, tapering distally to an acute apex. The parallel and frequently anastomosing veins diverge slightly in the basal region of the pinnae. Though usually separate to the base, the laminae of adjacent pinnae may be continuous as in a pinnatisect leaf[1733]. This species is recorded also from North America, and fronds of similar habit are figured by Fontaine[1734] from the Jurassic of Oregon as Ctenis orovillensis: a fragment recorded from Jurassic rocks in Afghanistan as Ctenis sp. may belong to C. sulcicaulis[1735].
583
This species[1736], originally referred to Taeniopteris, was transferred to Ctenis as the result of the discovery of anastomosing veins in the type-specimen in the Oxford Museum. The segments are shorter and broader than in C. sulcicaulis and very similar to those of C. orovillensis Font.
The pinna shown in fig. 624 from the Jurassic beds in Yorkshire[1737] is interesting as one of the few examples of the preservation of the cuticular membrane. The straight or curved walls of the epidermal cells agree with those of recent Cycads except Stangeria, and each cell bears a large central papilla that gives to the lamina the finely punctate appearance which has been regarded as evidence of sporangia. The gaps in the cuticle probably mark the position of sunken stomata.
584
This genus[1738] was established for certain pinnate fronds agreeing in habit with Ctenis sulcicaulis but distinguished by the almost complete absence of any cross-connexions between the veins. Some of the forms with narrow pinnae closely resemble species of Zamites, the distinguishing feature being the decurrent lower margin of the leaflets. Though such fronds might not unreasonably be included in Ctenis, it is more convenient on the analogy of the occasional occurrence of Glossopteris fronds with very few anastomoses to employ a distinctive designation.
Some of the specimens on which this species[1739] is founded were originally figured by Miller[1740] from Upper Jurassic strata in Scotland and afterwards named by Richards[1741] Zamites eathiensis. The general appearance of the fronds is very like that of Ctenis sulcicaulis; the pinnae vary in breadth from about 3 mm. to 1·5 cm.; they are attached at right-angles or, in the apical region, 585may be almost parallel to the rachis. The longest pinna recorded is 17 cm. and the lamina tapers to a slender apex; the veins are parallel and occasionally forked, but cross-connexions are rare. The partially petrified rachis of one specimen showed hypodermal stereome and some secretory canals as in recent Cycads. The specimen from Wealden rocks near Hastings (fig. 627), originally described as Zamites sp.[1742], is probably specifically identical with Pseudoctenis eathiensis. The South African Wealden species, originally described by Tate as Palaeozamia Rubidgei[1743], agrees closely with Pseudoctenis and is probably an example of that genus. This type bears a close resemblance in the form of the frond to Ctenophyllum grandifolium Font.[1744] and C. Wardi[1745] Font. from American Trias and Jurassic rocks respectively. Pseudoctenis crassinervis Sew.[1746] is another Scotch form with coarser veins.
A frond very similar in habit to P. eathiensis is represented by Pseudoctenis ensiformis Halle[1747] from the Jurassic strata of Graham Land originally referred by Nathorst to Pterophyllum. An examination of the type-specimen in the Stockholm Museum revealed its resemblance to the Scotch species P. eathiensis: a single anastomosis was noticed in one of the pinnae. The broadly ensiform obtuse pinnae, reaching a length of 7 cm. with a maximum breadth of 3 cm. at their expanded bases, vary in breadth and are attached at right-angles to a slender rachis. The veins, 1–1·5 mm. apart, are parallel and strong. The varying breadth of the pinnae irrespective of their position on the rachis is a distinctive feature. Halle draws attention to a resemblance of this Antarctic species to Ctenophyllum latifolium Font. a Potomac type referred by Berry[1748] to the genus Ctenopsis on the rather slender ground that the veins are arranged in pairs. Berry in a footnote expresses the opinion that Ctenopsis is very closely related to or possibly identical with Pseudoctenis.
If the bases of the pinnae in the specimen of P. ensiformis figured by Halle are complete, as they appear to be, the frond 586agrees very closely with Pterophyllum Carterianum Old. and Morr.[1749] from India. A comparison of the Rajmahal specimen with Halle’s figure leads me to regard the two fronds as probably identical. The veins in the Indian species, which should also be referred to Pseudoctenis, are prominent and from ·5 to 1 mm. apart; the base of the lamina is slightly broadened and the veins curve downwards towards the rachis in the lower decurrent portion. The other Indian type, Pterophyllum Morrisianum[1750], with which Halle compares his species is, however, not a Pseudoctenis but should be included in Nilssonia and is probably identical with Pterophyllum princeps Old. and Morr.
This species[1751], recently described from Middle Jurassic beds at Marske, Yorkshire, has narrower linear lanceolate pinnae. The linear pinnae reach a length of 10 cm. and a breadth of 9 mm. The veins are numerous, 10 in a breadth of 6 mm., and only one cross-vein was noticed. In the decurrent lower edge of the laminae the fronds are identical with Ctenis sulcicaulis. A very good example of this species[1752] in the York Museum is reproduced by Mr Thomas in his account of Cleveland Jurassic plants.
A species described originally by Feistmantel[1753] as Anomozamites Balli from the Barakar group of the Damuda series and afterwards transferred to the genus Platypterygium, characterised by broadly linear segments of unequal breadth attached obliquely or at right-angles to a slender rachis. The apices of the segments though usually imperfect appear to be truncate; the bases of the pinnae are decurrent by their lower edge. The veins are approximately 3 per millimetre; they are generally forked at the base and in one or two places show cross-connexions. In the middle of the frond the narrow rachis is exposed but in the apical region it is covered by the laminae. The occurrence of two divergent pinnae at the apex of the frond is a feature met 587with also in Ctenis sulcicaulis. This description is based on an examination of the specimens figured by Feistmantel.
This name was proposed by Brongniart[1754] as a subgenus of Otozamites denoting pinnate fronds bearing leaflets without an auriculate base: he suggested that the subgenus might eventually be raised to generic rank and this was done by Zigno[1755] though in too wide a sense. In the case of Otozamites Beani (Lind. and Hutt.), quoted by Brongniart in illustration of Sphenozamites, the latter designation is inapplicable as the pinnae are auriculate. Another species, Zamites undulatus Sternb., to which Brongniart applied his new subgeneric term, is probably identical with Otozamites acuminatus (L. and H.)[1756].
Although the distinction between Sphenozamites and Otozamites is often ill defined the former name may be conveniently adopted for pinnate fronds similar to those of Zamia Skinneri and some species of Encephalartos characterised by leaflets of an asymmetrical, obovate, or rhomboidal form with a contracted or cuneate base and numerous branched divergent veins. Nothing is known of the structure or reproductive organs of Sphenozamites, and the genus, though serving a useful descriptive purpose, is founded solely on form, and in the absence of other data it would be rash to assume that its use implies close natural affinity. In the case of many other genera of Cycadean fronds there is additional evidence of relationship, but this is not the case with Sphenozamites. The pinnae resemble those of such recent Cycadean fronds as Zamia Skinneri and Z. muricata. The genus ranges from Lower Permian to Jurassic rocks.
This species[1757], from the Lower Permian of the Autun district, is founded on a pinnate frond bearing alternate pinnae, 2·5 × 1 cm., with an asymmetrical oblong lamina attached obliquely near 588the edge of the rachis with a cuneate base slightly decurrent below and a broadly rounded apex; the veins dichotomise once or twice as they diverge from the narrow base (fig. 628). The pinnae resemble the leaflets of Noeggerathia foliosa Sternb. and are similar in shape to those of the Jurassic species Sphenozamites Geylerianus Zig.
This Middle Jurassic species from Stonesfield[1758] is founded on detached pinnae possibly identical with a specimen figured by Buckman as ?Naiadea obtusa[1759]. The pinnae are wedge-shaped, tapering gradually to an acute apex and attached by a narrow base: the leaflet shown in fig. 629 is 9 cm. long; the veins are numerous and more divergent than in some leaves of similar form referred to the genus Podozamites. With this species may be compared several Italian Jurassic specimens described by Zigno[1760] as four distinct species but more appropriately assigned to a single type S. Geylerianus. An examination of Zigno’s fronds in the Padua Museum, which he named S. Rossii, leads 589me to regard the irregularly serrate edge of the pinnae as the result of tearing of an originally entire lamina and to compare the specimens with Otozamites Beani (L. and H.). An imperfect ovoid pinna recalling S. Belli is figured by Newberry from the Rhaetic of Honduras as Sphenozamites robustus[1761]. A French Upper Jurassic species figured by Saporta as Sphenozamites latifolius bears a very close resemblance in the form of the leaflets to the Wealden plant Sewardia latifolia[1762]. Kurtz records the occurrence of Sphenozamites, S. Geinitzianus, from Rhaetic strata in Argentina[1763], but I have not seen any figures of this species.
The name Plagiozamites was proposed by Zeiller[1764] for some pinnate fronds and detached leaflets from the Stephanian of Commentry and the Lower Permian of the Vosges. The better preservation of the Vosges material enabled him to recognise certain features which led to the substitution of Plagiozamites for Zamites, the name originally employed by Renault for the Commentry specimens. Plagiozamites bears a superficial resemblance to Zamites and Otozamites and differs but little from Sphenozamites and Noeggerathia; it stands for pinnate fronds bearing ovate pinnae with a sub-amplexicaul oblique attachment to the rachis as is clearly shown in the species P. Planchardi (Ren.)[1765]. In the case of Palaeozoic fronds assigned to the Cycadophyta on the ground of the resemblance of their pinnae to those of undoubted Cycadean species, it is particularly important to recognise the fact that decisive evidence as to systematic position is lacking. We know nothing of the stem, the reproductive organs, or the epidermal and stomatal characters of Plagiozamites, and it is by no means certain that the genus is a true representative of the group in which it is provisionally included.
Fronds pinnate; pinnae ovate-lanceolate reaching 5 cm. in length and 1·6 cm. in breadth, inserted obliquely on the rachis, 590but not along a line parallel to the long axis of the rachis as in Zamites, and partially embracing it: the edge of the lamina is finely denticulate; veins slightly divergent and occasionally branched. The leaflets are narrow and more acute than those of Noeggerathia and Sphenozamites Rochei Ren. Plagiozamites is recorded from the Stephanian of Commentry, the Coal Measures of Manchuria[1766], and the Lower Permian of the Vosges. Renault described six species of Zamites from Commentry all, except Z. carbonarius, based on detached pinnae. The type-specimen of Z. carbonarius consists of a piece of stout rachis bearing ovate acute pinnae, 2·2 × 1 cm. Potonié[1767], who refers a piece of pinnate frond from the Permian of Thuringia to Z. carbonarius, includes the other species of Renault under that name. Whether or not the differences in the venation and form of the pinnae are of specific significance cannot be definitely settled without better material, but the important point is that these Permo-Carboniferous fronds are sufficiently distinct from Zamites to be placed in a separate genus. Plagiozamites carbonarius is recorded also by Zalessky[1768] from the Permian of Manchuria though the examples figured do not afford satisfactory evidence of the mode of insertion of the segments on the rachis. P. Planchardi has recently been recorded from the Coal Measures of Maryland; the discovery is interesting both on phytogeographical grounds and as the first satisfactory record of a Palaeozoic Cycadophyte from North America[1769].
The employment of this generic name may serve a useful purpose if used for specimens, whether preserved as petrifactions or impressions, believed to be portions of Cycadean frond-axes, but which in the absence of pinnae cannot be assigned to one of the recognised genera of fronds. Saporta[1770] describes two species from Kimmeridgian beds in France, Cycadorachis abscissa and C. armata: the first may be the winged base of a Cycadean petiole, but it agrees equally well with the broad base of an Osmundaceous 591leaf and should not be referred to a genus implying affinity with a particular class. The other species, C. armata, is probably a piece of a spinous axis like that of the Wealden plant Sewardia latifolia (Sap.). A fragment figured by Fliche and Bleicher[1771] from the Jurassic of Nancy as C. tuberculata is another example of a fossil which cannot be referred with any certainty to the Cycads.
Dr Stopes[1772], inadvertently overlooking the previous institution of Cycadorachis, has recently proposed the name Cycadeorachis for pinnately branched rachises of Cycadean fronds which, ‘while indicating the general character of the frond, do not show the shape of the pinnae well enough to be associated with any of the many foliage-genera.’
The following are some of the Bibliographies which students will find useful for additional references:—Geological Literature added to the Geological Society’s Library, published from time to time by the Society; Prof. Zeiller’s lists in the ‘Revue Générale de Botanique’ (Paris); lists given by Arber in the ‘Progressus Rei Botanicae’ (Leiden), vol. i. Heft i. p. 218, 1907; Jongman’s ‘Die Palaeobotanische Literatur’ (Jena), 1910–13; also the International Catalogue of Scientific Literature (Botany and Geology). For the Literature dealing with Cretaceous plants the student should refer to Dr Marie Stopes’ ‘Cretaceous Flora’ i. and ii. (British Museum Catalogues, 1913, 1915).
The dates of books published in parts given in the footnotes to this volume are as a rule those of the concluding part. For the dates of separate parts of books relating to Palaeozoic floras the student is referred to Prof. Zeiller’s valuable list at the end of the ‘Flore Fossile du Bassin Houiller de Valenciennes.’ Useful bibliographies of the writings of Saporta, Heer, and Ettingshausen have been compiled by Zeiller (96), Malloizel and Zeiller (N.D.), and Krasser (97).
ERRATUM
For Elwes, H. J. and A. Henry (60)
read (06)
640
‘The re-examination of Pitys primaeva and P. antiqua in the light of the structure exhibited by numerous specimens of a new species recently discovered in Haddingtonshire has shown that all three types are similar as regards the structure of the primary wood. In each case the primary cylinder is comparable with that in Archaeopitys Eastmanii [see p. 290], i.e., there are medullary as well as circummedullary xylem-strands. In certain specimens of the new species, Pitys Dayii, the bark and leaves are preserved and thus the details of leaf-trace emission from the stem have been determined. The leaves are short and stout and taper gradually to a point, quite distinct from the long, thin, spatulate Cordaitean foliage. The internal structure of the leaf renders it easily distinguishable from the Cordaites type while it tends to accentuate the possible relationship of Pitys with the Lyginodendreae.’
CAMBRIDGE: PRINTED BY J. B. PEACE, M.A., AT THE UNIVERSITY PRESS.