*** START OF THE PROJECT GUTENBERG EBOOK 65287 ***

Transcriber’s Note:

The cover image was created by the transcriber and is placed in the public domain.

The Manufacture of Tomato Products
INCLUDING Whole Tomato Pulp or Puree, Tomato Catsup, Chili Sauce, Tomato Soup, Trimming Pulp

BY
W. G. HIER
Technologist in the Canning and Preserving of Tomato Products
Formerly Chief Chemist and District Factory Supervisor of The T. A. Suider Preserve Co. of Chicago
Published by
W. G. HIER
2324 South Columbine Street
Denver, Colorado
COPYRIGHT 1919
BY
W. G HIER
DENVER
THE BROCK-HAFFNER PRESS CO., PRINTERS
1919
iii

Preface

The past ten years have seen revolutionary changes made in the tomato product manufacturing business. Old methods of making tomato pulp, catsup, chili sauce, etc. have been discarded, and the modern plant presents a very striking contrast to the plant of former days.

In this book I have tried to present all the methods used which have merit, and to bring forth the advantages and disadvantages of each so that the packer can weigh them and decide which is best to use under the conditions which obtain at his plant. In some cases one method is universally applicable and has advantages which stamp it as superior, but more often varying conditions of manufacture in different localities make it impossible to recommend any one method for everyone.

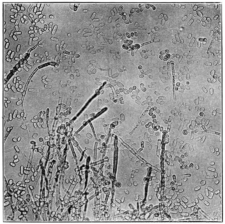
In writing the text I have had to rely almost entirely on the experience gained during the seven years in which I have been engaged in the manufacture of these products, as there are no books on the subject, and no sources of reference except the bulletins prepared by Mr. B. J. Howard and Mr. C. H. Stephenson of the Bureau of Chemistry, U. S. Department of Agriculture, on the sorting and washing of tomatoes, the handling of tomato trimmings, and the effect of proper and improper sorting and washing on the content of micro-organisms as determined by microscopical examination.

I wish to thank Mr. B. J. Howard of the Bureau of Chemistry for the valuable suggestions and information he gave me with reference to portions of the text of Chapter II and Chapter VII, and also to thank the Bureau of Chemistry for permission to use many of their photomicrographs and photographs.

W. G. HIER.

April 22, 1919.

v

PART I
The Manufacture of Whole Tomato Pulp or Puree

vii

Table of Contents

PART I
 
THE MANUFACTURE OF WHOLE TOMATO PULP OR PUREE
 
 
  PAGE
Chapter I. Obtaining Good Tomato Stock 1
 
  Value of good tomato stock—plant raising—use of fertilizer—methods in east and west—shipping tomatoes—tomato crates—degrees of ripeness for shipping—careful handling at factory—varieties—storing tomatoes—stemless tomatoes.  
 
 
Chapter II. Washing and Sorting 8
 
  Washing and sorting equipment—rotary washer—water bath with compressed air—importance of agitation—plain sorting belt—number of sorters—tomato turning device—divided sorting belt—sorting—forms of decay—cleanliness of equipment—molds, yeasts and spores, and bacteria.  
 
 
Chapter III. Principal Methods in Use for Pulping 20
 
  Cold pulping—care of cyclone—hot pulping—advantages claimed for hot pulping—objections to hot process—crushing—conveying to kettle—value of pumice.  
 
 
Chapter IV. Condensing the Strained or Crushed Tomatoes 26
 
  Vacuum pan—types of open kettles—steam pressure—copper jacketed kettles—tinning kettles—advantages of various types of kettles—glass-lined tank—cypress tank—cleaning kettles—coil leaks—starting the cooking—methods of gauging finishing point—cooking to gauge on kettle—cooking a definite length of time—determining specific gravity by weight—objections to weighing method—testing with hydrometer—method of using hydrometer—finishing the cook.  
 
 
viiiChapter V. Conveying the Condensed, Strained, or Crushed Tomatoes to the Finishing Machine, and Finishing Same 38
 
  Conveying to finisher—receiving tanks—finishing—screen metal for finisher—effect of finishing on mold count—finishing before cooking.  
 
 
Chapter VI. Filling the Finished Pulp and Storing the Canned Product 41
 
  Filling devices for five gallons—square can and round can—testing for leaks—washing and steaming—filling and capping—handling filled cans—advantages of separating batches—how to stack—processing—life of cans—washing and drying cans—protection from dust—testing used cans—packing No. 10’s and No. 1’s—packing barrel pulp—metal drums—a method of preserving pulp in barrels.  
 
 
Chapter VII. The Micro-Organisms of Tomato Products; the Attitude of the Pure Food Authorities Toward Them; and the Interpretation of Analyses 51
 
  Micro-organisms; what they are—molds—bacteria—yeasts—spores—how germs retard their own growth—rapidity of growth—the government attitude on micro-organisms—government regulations—state food officials—checking up daily runs—how to interpret analyses.  
 
 
PART II
 
THE MANUFACTURE OF TOMATO CATSUP, CHILI SAUCE, TRIMMING PULP, AND TOMATO SOUP
 
Chapter VIII. A Discussion of Preservative and Non-Preservative Catsups; and the Most Frequent Cause of Inferiority 73
 
  Unfavorable publicity on preservatives—“natural” preservatives—proper acidity—processing catsups—advantage of benzoate catsups—causes of poor color and flavor—advantage of direct conversion of tomatoes into catsup—thickness—spicing and sweetness—“black neck”—general attractiveness.  
 
 
ixChapter IX. A Discussion of the Ingredients of Catsup; When and How They Should Be Added; and the Amounts of Each per 100 Gallons of Finished Catsup 80
 
  Measuring the volume of tomato juice—amount of tomatoes—keeping batches uniform—use of spices in a sack—use of spices direct and when to add them—use of spices in two batches—what is extracted—storing spices—quality of flavor—use of essential oils—how to add essential oils—paprika—quantities of spices and oils per batch—essential oils economical—adulteration of ground spices—onions and garlic—sugars—sugar syrups—use of sugar in large quantities—salt—vinegar—transference of vinegar—adding the vinegar—acidity—testing finishing point—holding batches—making catsup from pulp—use of benzoate of soda.  
 
 
Chapter X. Finishing, Bottling, Sterilizing, and Storing the Catsup 97
 
  The receiving tank and finisher—filling and sealing—washing the filled bottles—processing—advantages of omitting processing—process method—time and temperature—temperature controlling and recording devices—non-process method—which method is the better?—labeling and casing—stacking catsup to avoid “black neck”—packing gallons and No. 10’s.  
 
 
Chapter XI. The Manufacture of Chili Sauce and the Pulping of Tomato Trimmings 107
 
  Grading the tomatoes—method of handling tomatoes—amount of tomatoes and onions—spices—salt, sugar and vinegar—testing finishing point—filling, sealing and sterilizing—microscopical counts—pulping the trimmings—government attitude on trimming pulp—method of handling tomatoes when trimmings are pulped.  
 
 
Chapter XII. The Manufacture of Tomato Soup 112
 
  Convenience and economy of canned soup—factors upon which success depends—unpalatability—proper sweetness—gradual souring of pulp—sampling—proper acidity—price and quality—microscopical counts—beginning the cook and adding soda—butter, onions, and spices—sugar and salt—testing thickness before adding flour—adding flour—filling and processing—shaking and labeling.  
1

CHAPTER I
OBTAINING GOOD TOMATO STOCK

Value of Good Tomato Stock

Obtaining a good quality of tomatoes at a price which is not prohibitive is a problem which in many localities is becoming more difficult to canners and catsup makers each year. Every experienced manufacturer knows that regardless of the expertness with which he may work up his tomatoes into the finished product, he cannot expect to get good quality unless he has good stock to begin with. It is true that by using intelligence and extreme care in the manufacturing processes one manufacturer will make better pulp or catsup from tomatoes of fair quality than another man can get from the best quality of stock. This same care and intelligence applied, however, in working up high quality tomatoes will probably show a greater difference in the finished products than was apparent in the tomatoes from which these products were made; in other words, the goodness of good tomatoes becomes accentuated by the manufacturing process.

In order to insure as large a proportion as possible of good quality stock, as well as a good yield per acre in tonnage, manufacturers are each year realizing the necessity of closer co-operation with the farmer. Where in growing tomatoes under contract it was formerly largely up to the farmer to buy his seed and raise his plants and set them out, it is now the usual custom to supply the farmer with seed of the desired variety and of high germination test, and in many cases to go a step farther and supply him with plants six to eight inches high, ready for setting out in the field. Unquestionably, the best results are secured by growing the plants for the farmer. The average farmer does not go about the raising of his plants in an intelligent way, and he will not devote the time to the plant-raising business that it should have.

Plant Raising

Most packers are agreed that the best plant is raised by starting the seeds in rows in hot beds, transplanting to cold 2frames when they are two to four inches high to harden them and make them stocky, and again transplanting to the field when the plants are six to eight inches high. This method produces a dark green, bushy, thick-stemmed plant of high vitality, which is so essential to a good yield. What a contrast to the average plant raised by the farmer—the seed often broadcasted, either in a hot bed or in a spot in the garden where the soil has not been specially prepared for plant raising, and when the plants, a large number of which are thin, pale green, and spindly looking, attain a height of anywhere from six inches to a foot they are all set out in the field and allowed to struggle along as best they can. When one looks at the kind of plants that are so often set out he can see at least one reason why yields of from three to seven tons per acre are so often obtained from ground which should yield twice that much, and why the plants are easy victims to blight and other diseases.

A prominent canner recently told me that by raising the plants for his farmers he had increased the average yield 4 tons per acre.

Use of Fertilizer

So many articles have been written on tomato culture for canning plants by experienced horticulturists that the subject will not be dealt with extensively here. In these articles emphasis is usually laid on the desirability of the use of commercial fertilizer, not only to increase the yield, but to hasten the maturing of the crop so that a large proportion of it can be harvested before frost.

My experience testifies to the wisdom of this in practically all cases, and with late maturing varieties such as the Stone tomato, in regions subject to early frost, and especially where planted on low ground, it is absolutely essential that fertilizer be used if a good percentage of the crop is to be harvested.

Methods in East and West

In the Tri-States—that is, Delaware, Maryland, and New Jersey—quite a different situation exists from that in the middle west or far west. The western packer has practically all of his tomatoes grown under contract, while the Tri-State packer, although he tries to contract as much acreage or tonnage as possible at a reasonable figure, is up against the competitive buying of the open market for a large proportion of his raw 3stock, as there are always a large number of farmers who are willing to gamble that the coming season will be a good one for playing the open market. In this case the buyer usually cannot be as particular about the quality of the tomatoes he buys as can the packer who has his tomatoes all grown under contract at a specified price, and who can exercise supervision over his farmers. This is particularly true in seasons of short crop, when the grower sells his tomatoes on the market and can afford to be very independent, and buyers are wildly forcing up the price by competitive bidding, and taking whatever they can get. Even if the eastern grower is under contract for his entire crop, if the crop is short, and high prices are prevailing on the market, it is the exceptional grower who will live up to his contract, and often to get an excuse for breaking his contract he will deliver very poor tomatoes right along in the hope that they will be objected to, thus giving him the liberty of disposing of them elsewhere.

The eastern packer, however, is blessed with a longer season in which to operate. While in the west there are seldom enough tomatoes to justify a run at the factory before August 15th, the Tri-States packer starts in on the early crop about the 25th of July, and his crop is not as liable to be severely injured by an early frost as is the western crop.

Canning and preserving plants in the west, being scattered rather sparsely over a very large territory, and being farther away from the large centers of population than in the east, the western packer is able to get a large percentage of his tomatoes hauled to the factory by wagon. This is indeed a big advantage, not only in the saving of freight and handling expense, but in the condition of the fruit when delivered to the factory. Probably having been picked not more than twenty-four hours before delivery, the wagon-hauled tomatoes are solid, and because the skin is not broken by repeated handling, thus preventing the growth of molds, they require very little sorting, in fact, no sorting at all in some cases. A load of tomatoes which requires no sorting at all, however, is unusual. If the packer can get his growers to use spring wagons for hauling tomatoes, it is a big advantage, especially if the fruit must be held any length of time at the factory. If the wagon-hauled tomatoes can be worked up quickly the packer gets 100 per cent value for them, which he very seldom does get on shipped tomatoes, which commonly undergo a loss of between 5 and 20 per cent in shipment, depending upon the time involved in shipment, the ripeness of the fruit, the amount of handling it received, the condition 4of the weather, the kind of crate in which the fruit is packed, and the amount of ventilation it received in transit.

Shipping Tomatoes

Shipment by water, although slow, has the advantage of smoothness of transit, and the crates or baskets of tomatoes are not subjected to the frequent joltings of rail shipments, and it is to be remembered that every jolt makes the tomatoes settle to a certain extent in the crates and mashes the tomatoes in the bottom layers. The best car for rail shipments is the slatted car or stock car, which permits of better circulation than any of the other types. A box car should never be used, as it allows the fruit to heat very badly, and there is no circulation of air. The crates in the slatted cars should be so stacked as to allow as much circulation of air through the car as possible. However, care must be taken that the crates are so stacked that they will not shift. A small air space can always be left at the end of every other row on each side without endangering the stability of the crates, and a large air space can be left at the top.

Tomato Crates

One advantage in the use of the basket over the crate in shipments is the advantage of better circulation of air through the piled baskets of fruit, due to the conical shape of the basket. Good ventilation is thus supplied without danger of the baskets shifting during shipment. The ⅝-bushel basket is used almost universally in the east, while in the west the crate holding a bushel is the common container. The construction of the crate is a more important item than is often thought. The most important point, of course, is strength in construction, and the use of a wood which will not warp easily by alternate soaking and drying out, allowing the nails to become loose and the bottoms to begin to fall out of the crates after a half season’s use. The slats of the crates should have rounded, smooth edges so as not to cut the surface of the tomatoes when they are jolted and weighted down during shipment. The slats should be only close enough together to hold the small tomatoes, so as to permit of as much air circulation as possible. This particularly applies to the bottom of the crates, which become soggy and musty after a little use, and the openings soon become clogged up with tomato substance. It is important to turn a steam hose over 5the bottoms of such crates to clean them out before returning to the point of shipment. If the empty crates pass along on a chain belt after dumping, this steaming can be accomplished easily. Accumulated decaying tomato substance in the bottom slats not only rots out the crates, but contaminates otherwise good tomatoes every time the crate is used. The crate should also be as shallow as will permit of easy handling, so as to distribute the weight of the tomatoes over as much surface as possible. A shallow, broad crate is preferable to a deep, narrow one.

Degrees of Ripeness for Shipping

The proper degree of ripeness for tomatoes to be shipped depends, of course, upon the length of time it will take for them to arrive at their destination. Dead-ripe tomatoes will stand very little handling and shipping, particularly if the weather is warm and damp, as it so frequently is during tomato season. It is important, too, not to have the tomatoes delivered to the shipping station too underripe, as they are very apt to rot before they become red enough to cook up into a product of good color. That the employee in charge of receiving tomatoes at the shipping point should be a man of experience and good judgment as well as tact in dealing with the farmers, is apparent. So much depends upon the control he exercises over the farmers in getting them to pick their fruit at the proper degree of ripeness. If he falters, is uncertain, and changes his mind a few times, he is lost, as the farmers soon lose confidence in his judgment.

It is always difficult to impress upon the farmer the fact that tomatoes gain in weight during the ripening process, and the riper they have their tomatoes the more they get in dollars when they drive up on the scales. This argument cannot be advanced when the tomatoes are bought by the basket, as they are in the east, but when paid for according to weight and not volume, the ripeness of his tomatoes is an important point for the farmer to watch. At the tail end of the season when frosts are threatening, this argument of the increased weight of tomatoes which are red ripe all over of course loses its effect entirely. All the farmer is interested in at that time is in getting as many of his tomatoes as possible accepted before a heavy frost finishes them. At this time increased vigilance at the receiving end is necessary.

6

Careful Handling at Factory

The less handling crates or baskets of tomatoes receive, the better. Every packer wants to eliminate handling as much as possible to conserve labor, but when one sees the laborers around the average plant heaving crates of tomatoes around as though they were pig iron, he wonders if the manager fully realizes the effect of this bouncing of heavy crates of tomatoes on to trucks, receiving platforms, etc. It is just as easy, or almost as easy, to set the crates down gently, but the laborers who do this work must be constantly reminded of it. You do get tired of constantly hammering at them, but it is surely worth the effort. A common attitude for the men to take is that the tomatoes are all going to get mashed up anyway pretty soon, so what’s the difference. When you consider the fact that crates of tomatoes are commonly handled from six to eight times before they reach the sorting belt, this handling often consisting of dropping the crates down so hard that the top tomatoes almost bounce out, it is no wonder that when they are spread out on the sorting belt the bottom layer of each crate is mashed and moldy, so that half of these bottom tomatoes have to be thrown away.

Varieties

Any of the brilliant red varieties of tomatoes are suitable for catsup or pulp making. Those varieties having a purplish cast should be avoided, as they cook up into a product having a brownish color. The smooth, round varieties, such as the Stone, are especially good for peeling, while the flat varieties, and those having a very coarse, uneven surface, are well suited for pulp or catsup.

Storing Tomatoes

For storing the tomatoes at the factory until they can be put over the sorting belts the open-air storage is used almost universally, and it seems to be the only method which can be economically employed at a plant which handles large quantities of tomatoes. I have seen the wet storage method in use at a small plant where the receipts only amount to a few hundred bushels a day on good days, and less than a hundred on many days when the weather is very bad, and it was liked very much by the plant manager. The tomatoes, as soon as received, were dumped into a large concrete tank of cold water, which was kept fairly fresh by letting fresh water run into it constantly, 7with an overflow at the other side of the tank, and a large revolving paddle at one side of the tank kept the water in motion. Attached to this paddle was a series of flights on an endless chain, which, when thrown into gear, carried the tomatoes to the sorting belt.

The argument advanced in favor of the wet storage method by the operator of this plant was that at certain times in the season their receipts of tomatoes were very small, that is, at the beginning and at the close of the season, and during stretches of cold, rainy weather, and at such times they only made a run every other day, or possibly only twice a week, and that the tomatoes kept much better in wet storage.

The tomatoes were clean when delivered to the sorting belt, and although they received very little sorting, and only one spraying after they left the storage tank, the count of molds, yeasts and spores and bacteria on their pulp was fairly low.

The wet storage method could undoubtedly be used at large plants, and might prove profitable during periods of glut, as there is no doubt but what tomatoes will keep better in wet storage than in the open air. It would take a lot of tanks for a large plant, however, and large operators are not inclined to look favorably on the idea.

In open-air storage the crates of tomatoes should be stacked so as to leave an air space between each crate, and if stacked inside of a building, all the windows and doors should be thrown open to allow as free a circulation of air as possible.

Stemless Tomatoes

Most tomatoes are delivered to the factory with the stems on, but I know of one plant where they are all received stemless, and the quality of the pulp made from them simply cannot be beat. There surely must be an undesirable taste imparted by all these green stems in the cooking process. Of course, where the cold pulping process is used, that is, the tomatoes pulped cold directly after sorting and washing, these stems are eliminated before any cooking is done. In the hot pulping process, however, and when the tomatoes are put in a crusher instead of a pulp machine, the stems are cooked along with the rest of the pulp. The operator of the plant referred to above pays a bonus of a dollar a ton to his contractors for having the tomatoes delivered stemless, and he believes he gets that dollar back and more, too, in the price he gets for his product, which is very fancy.

8

CHAPTER II
WASHING AND SORTING

Washing and Sorting Equipment

A great many outfits for washing and sorting tomatoes have been placed on the market, some of which have many good points, and others are very inadequate. The type of washer best adapted to one plant may not be the best for another one. If tomatoes are grown on clay ground a friction washer is necessary, while for fruits grown on sandy soil it is very infrequent that much friction is needed to properly clean the tomatoes.

As to sorting belts, as a rule one type will serve as well in one place as in another. A majority of the sorting belts used are subject to many criticisms; some are too narrow, some too short, some travel at a speed of 100 feet or more per minute, while others move as slowly as 10 feet per minute. The latter speed is much better than the former, although both are extremes, 25 feet per minute being about right.

Rotary Washer

For tomatoes grown on clay ground the cylindrical rotary washer or squirrel cage type made of 1–inch mesh heavy wire is very satisfactory. When tomatoes come to the plant caked with clay, as they are after a hard rain followed by strong sunshine, a friction washer of this type is about the only thing that will clean them. This type of washer also does excellent work on late tomatoes, and this applies to all localities. A large percentage of late tomatoes become deeply cracked at the stem end, and although these cracks, or fissures, usually appear to be healed over, an examination will generally reveal the presence of mold in them, and in many cases large tufts of mold like cotton completely filling them. By merely passing such tomatoes through a water bath, even though the water is thoroughly agitated by means of many inlets of compressed air, this imbedded mold will be scarcely affected. A rotary, heavy wire, reel washer, inclined at an angle of about 1 foot in 8, and rotating slowly, with a heavy, sharp spray of water striking the rolling tomatoes 9from the time they are dumped in until they roll out, will take out a very large proportion of this mold, besides cleaning the entire surface of the tomato thoroughly.

The washer should deliver about two bushels of tomatoes per minute to the sorting belt. As the wire cylinder revolves, the tomatoes are carried half way up the side and are then thrown back again, being carried slowly and steadily toward the outlet. A 1½-inch pipe at the top of the cylinder, and running from end to end, with small holes bored at intervals of an inch, should direct a sharp, cutting shower of water on the tomatoes as they revolve and rub each other. A fine, sharp spray will accomplish more than a less forceful but larger stream of water coming from a larger opening. The dirt, mold, etc. is washed through the wire mesh into a drip pan, and thence to the sewer.

Some of the rotary washers used are of solid metal, and others constructed of wooden slats have been used. Both of these should be avoided, as the solid metal produces a sliding, instead of a rolling action, and the wooden slats mold quickly and become slimy. Also, some of the washers are slightly too narrow, and the tomatoes are so crowded while they are rotating that many of them do not come in contact with the wire, but merely roll on top of other tomatoes. Other washers are considerably wider than necessary. If the tomatoes are to be fed to the belt at the rate of 2 bushels per minute, a reel (squirrel cage) washer 2 to 2½ feet in diameter, and about 8 feet long, having an inclination of about 1 foot in 8, and revolving at about 20 revolutions per minute, will usually give satisfactory results. These are the figures recommended by Mr. Howard of the Bureau of Chemistry, who has made a very extensive study of the efficiency of rotary washers.

By having the tomatoes thoroughly clean, with no mud and scarcely any mold adhering to the surface when they drop on the sorting belt, the amount of sorting required is not only greatly lessened, but the spots of black rot and other forms of decay show up prominently on the surface.

It is important that the reel deliver the tomatoes to the sorting belt at a uniform rate, which is seldom done when the crates are dumped into the reel without any system of timing them. At present a hopper for feeding the reel is being experimented with, and it is hoped that it will be an improvement over the uncontrolled system that is now used.

The chief objection made to the reel cylinder is that when tomatoes are overripe, having been shipped a long distance, or 10held at the factory for a day or two, the rubbing action of the wire on the tomatoes, and of the tomatoes against each other, is too severe, and considerable tomato substance is lost by being forced down through the wire mesh by the sharp sprays of water from overhead. The loss in this case is not nearly as great as would be imagined, and what tomato substance is thus lost should be discarded anyway, as it is so soft that in all probability the fiber is permeated with growths of mold, yeasts, and bacteria, which no amount of washing would eliminate.

Water Bath With Compressed Air

The reel washer is not so common in the east as in the west, and the reason is, as previously stated, that during the greater part of the season at least, tomatoes grown on loose, sandy soil can be washed satisfactorily by other devices which are less cumbersome and can be more easily rigged up. One of these devices which is in satisfactory operation is a shallow water bath through which the tomatoes pass on a chain carrier, and in which the water is kept “boiling” (that is, it has the appearance of boiling) by compressed air which is forced into the water bath through small pipes, and at a number of different places. The tomatoes are thus bounced around and knocked against each other in a very lively manner and receive a thorough cleansing. It is very doubtful, however, if this device would give such good results on tomatoes that had clay baked hard on the surface, or on those which had mold deeply imbedded in cracks at the stem end.

Importance of Agitation

It is always advisable to wash the tomatoes before sorting them, as it makes the sorter’s work so much easier. After the tomatoes leave the sorting belt they can pass under a few strong sprays which will put on the finishing touches. Warm or hot water is sometimes used in washing tomatoes, but cold water does the work just as well. Neither will accomplish much more than wetting the surface unless the tomatoes are agitated. Some devices which I have seen are almost worse than nothing, as they merely consist of a long water bath through which the tomatoes are conveyed by means of a large worm or helicoid. The tomatoes are not only washed insufficiently, but are contaminated by rubbing against the surface of the worm, which soon becomes coated with a film of mold, and, being enclosed in a cylinder, this worm cannot be cleaned as it should be. It is essential that 11every part of the equipment with which the tomatoes come in contact be readily accessible to the brush and the steam hose. Mold accumulates very rapidly, clings very tenaciously to the surface on which it grows, and a damp surface in a dark place is ideal for its growth.

Plain Sorting Belt

The type of sorting belt used most commonly is the ordinary plain wire or metal belt 18 to 24 inches in width and about 10 to 12 feet in length. Canvas belts are also used quite frequently, but the packer can now obtain wire belts of such strong, sturdy construction that they give scarcely any trouble and are very satisfactory in every way. Eighteen to twenty inches has been found to be about the best width.

Number of Sorters

The number of sorters which should be employed on each belt depends upon whether they are going to do both the inspecting and trimming, or the inspecting alone, and also upon the rate at which the tomatoes are fed to the belt, the length of the belt, and the quality of the fruit. Some pulp makers prefer to feed the belt at a uniform rate regardless of the quality of the fruit and to vary the number of sorters, employing about 14 or 16 to a belt when the quality is poor, and about half that number when the tomatoes are almost entirely sound and need very little trimming done to them. Others prefer to use the same number of sorters and trimmers on the belt all the time and to vary the speed of the belt according to the quality of the fruit, using a variable speed transmission for this purpose. When running on solid fruit, with very little decay, the maximum speed can be employed, say 40 feet per minute, and when running on stock that is not so good the speed can be decreased to about 10 feet per minute.

The Bureau of Chemistry advises very strongly against the practice of having the women who do the inspecting do the trimming also. They contend that inspecting and trimming should be two distinct and separate operations and each should be done by a different set of women. By this method the women on the sorting belt merely pick out all the tomatoes which are imperfect and throw them into receiving boxes which are attached to the framework of the sorting belt by a bracket, there being about four of these boxes to a table—two on each side. 12One or two women stand at each receiving box, pick out the defective tomatoes from this box, and trim out the bad part, which is dropped into a chute, which directs the material down to a drain underneath the table through which is flowing the waste water from the rotary washer. This stream, properly placed, has sufficient current to carry away the waste matter. The trimmer throws the good part of the tomato back on to the sorting belt. By using this system there is no lugging of boxes or buckets back and forth from the sorting table.

This method, which is the one approved by the Bureau of Chemistry, accomplishes the work more thoroughly than can be done if the inspecting and trimming are all done on the sorting belt by the same set of women. The minimum cost of sorting and trimming in this manner is from 2 to 3 cents per bushel, according to the government figures.

If the women on the sorting belt are to be used for both inspecting and trimming, a longer belt should be used than if inspecting alone is to be done. About 2 feet of belt should be allowed to each sorter.

Tomato Turning Device

Fig. 1.—Tomato turning device on sorting belt.

There is another feature which helps greatly in sorting, and that is a tomato turning device, which is illustrated in Figure 1. This device turns a very large percentage of the tomatoes if they are fed to the belt properly, that is, if they are spread out evenly 13and are not too thick on the belt. The turning device allows them to be inspected from all angles, and is described in Bulletin 569 of the U.S. Department of Agriculture as follows:

“For an apron (sorting belt) 18 inches wide, 14 pieces of ¾ inch iron pipe (1 inch outside) were cut, each piece about 7 inches long. About one-half inch from one end of each piece a hole was drilled through the pipe large enough to permit of the pipes being strung on a ¼ inch steel rod. In order to insure freedom of movement, a thin washer was placed between each pipe and the one next to it. The whole set was then suspended by means of the steel rod across the sorting apron with the lower ends one-half inch above the apron. A back-stop rod is put in behind the set to prevent the pipes from swinging back past the center. This was found necessary to prevent them from swinging so far back as to strike and gouge the oncoming tomatoes. * * * In operation the weight of the pipes is sufficient to roll the tomatoes over as they pass under.”

“In order to obtain satisfactory operation it is most important that the tomatoes do not cover more than 50 per cent of the apron area, otherwise they do not have room to turn properly. A test at one plant showed that 70 to 80 per cent of the tomatoes were turned each time they passed under a set of the pipes. It was found also that this turning device worked better on the open metal apron than on the canvas or rubber type, owing to the fact that the tomatoes slipped badly on aprons made of canvas or rubber.”

Divided Sorting Belt

There is a modification of the plain belt which is in use at several plants, and which some operators like very much. This belt is illustrated in Fig. 2. Note that it is divided into three partitions by two boards which run lengthwise. These boards are about 3 inches high and are raised a fraction of an inch above the belt so as to allow the belt to slide under them easily. At the head of the belt the board partitions connect in a “V”. The tomatoes strike this V and are guided into the two outer channels, where they are given a hasty inspection by the first four sorters, who throw all those which are perfectly sound into the center partition. As the tomatoes which remain in the two outside partitions pass down to the rest of the sorters they are inspected, the bad parts cut out, and the good part thrown into the center partition. The bad parts which are cut out are left on the outside partitions, where they are carried along into two waste barrels, which are provided for this purpose at the end of the belt.

14 FIG·2 DIVIDED SORTING BELT

15By using this method no tomatoes but good ones can go through unless bad ones are carelessly thrown into the center partition and every tomato HAS to be picked up. Of course, some bad tomatoes are thrown into the center carelessly, where they will remain unless taken out by the final inspector, who is supposed to watch this. However, the number which are thus thrown in are not great if the first four women on the belt are trained as they should be—that is, to only throw those tomatoes in the center which a hasty inspection shows are perfectly sound, and to leave all doubtful ones pass by.

By this method each good tomato is only inspected once, which is not the case with any of the other systems, and in that respect it is more efficient. One good tomato is not picked up, looked at, and placed on the belt again by a number of different sorters. When a tomato is picked up by a sorter some disposition is made of it at once. If good it is tossed in the center and is never looked at again except by the final inspector. If bad, the good part is thrown in the center and the bad allowed to remain on the outside, to be conducted to the waste barrel. All the sorters except the first four can spend their entire time working on tomatoes which need to have bad parts cut out of them.

The main objection which is made to the divided belt system is that the first four women get careless and throw unsound tomatoes into the center partition and they are never looked at again. However, if care is used in the selection of these women, and a reliable sorter is placed at the end of the belt to inspect the center partition before it leaves the belt, such carelessness can be checked and held down to a minimum. Another objection that is advanced is that there is the possibility of partly good tomatoes going into the waste barrels due to the fact that the women might not always keep up on them. In my experience with the system I have had practically no trouble in this regard. If a long belt is used, as many trimmers as desired can be put on, and the belt can be slowed down or the rate at which it is fed slowed up if the tomatoes are running particularly bad. Then, in extreme cases, it is always possible to have someone go over the waste barrels before they are dumped.

An average grade of tomatoes can be handled quite rapidly by the divided belt system. Some packers who have used it several seasons like it very much, and an analysis of their product 16will generally show a low count of molds, yeasts and spores, and bacteria. I understand, also, that other packers that have used the method have discarded it.

Sorting

By far the greater part of the trouble packers have with their goods not complying with the government regulations as to molds, yeasts and spores, and bacteria is due to inadequate sorting. At least ninety per cent of this trouble could be overcome right at the sorting belt. Packers often say they can’t understand why the mold is running high on their pulp and catsup, as they are sorting their tomatoes carefully. However, the chances are ten to one the trouble is they are not sorting them carefully enough. One who has not had much experience managing help on the tomato sorting belt would imagine that almost any woman could step up there and sort out the good tomatoes from the bad, and know what to cut out, and what not to cut out. But such is not the case. The tomato sorters must be instructed. Someone who is competent to do so must work with each one of them and show them just what is a good tomato and what is not. Otherwise they will be spending part of their time cutting out black, fibrous growths on the surface of the tomatoes which are absolutely normal and entirely free from molds, etc., and allowing tomatoes to pass by them which have black spots on the surface no bigger than a dime, but indicating to the trained eye that probably half of the tomato is eaten up with black rot. They will allow a tomato to pass by which is cracked open, and the edge of the skin on each side of the crack will be as white as a piece of paper. Unless they are instructed, they may not realize that this is mold, and they certainly will not realize the amount of damage a small percentage of tomatoes like that can do. They know nothing about mold counts, but most women can be impressed with the importance of watching for moldy streaks and spots in mashed and split tomatoes, and the importance of eliminating every bit of tomato tissue that is so effected.

Every sorting belt should have a boss—a competent sorter who knows his or her business, and who stands at the end of the belt and inspects the tomatoes just as they are about to leave the belt. This person can order the speed at which the tomatoes are fed to the sorters increased or decreased according to the quality, can see just what form of decay is predominating 17and caution the sorters to watch out for it, can see the mistakes that are being made in the sorting and try to correct them, and in addition can throw out into a receptacle such bad tomatoes as have passed by the sorters so that they can be sorted over again. It is not safe to put a bunch of women on the sorting belt with no one in authority who is on that particular job every minute, and expect an entire day’s run to come within the government limits.

Forms of Decay

There are many forms of rot, but the most common are the black rot, soft rot, and the mold growths in cracked tomatoes, either those which have cracked deeply around the stem end during their growth, or have been cracked or mashed in shipment. Just as soon as the skin is broken, either in a natural or unnatural way, molds start growing on that broken surface immediately, and develop very rapidly.

There is also the brown spotted tomato, which is not so common, but which has been very bad in some localities. I remember one field of tomatoes in southern Ohio several years ago which was absolutely worthless for canning purposes, due to the fact that practically all of the tomatoes were covered with brown spots, and under each one of these spots was a lump of white mold and mold spores. This field was plowed up before half of the tomatoes were picked, as the pulp plant which had contracted them refused to receive any more after having cooked several batches of pulp on which the mold ran very high due to this condition, which had never been met with before. The brown spots were soft and concave, and if once the character of the spot was fixed in the memory one could never fail to quickly detect that type of tomato if it was run across again.

The disease appeared in both central and southern Indiana the following year and I sent samples of the tomatoes to the Department of Agriculture at Washington and to the Indiana state experiment station, but it was new to them and they had no remedy for it. Whether it has appeared since I do not know, but it was very bad while it lasted. It is almost impossible to sort such tomatoes, as the spots are so numerous on the surface, and every spot would have to be cut out. When the spots are small, as they frequently are, they are very apt to pass by the sorters unnoticed, or at any rate considered harmless, but it doesn’t take many bushels of such tomatoes to send a batch over the limit in mold count.

18Extremely soft spots which will yield to very slight pressure with the finger are usually receptacles for the growth of yeasts and bacteria and should be cut out. Nine times out of ten such spots are offensive to the nose when the skin of the tomato is broken. However, one quickly learns to pick them out by sight.

It is important that the sorting belt be well lighted with 100–watt lamps overhead provided with large reflectors. On dark days good sorting is impossible unless the belt is adequately lighted, and, of course, for sorting in the early morning or late evening adequate light is absolutely essential.

Cleanliness of Equipment

To dwell upon the necessity of thoroughly cleaning all washing and sorting equipment each night, as well as to frequently change the water in water baths, in case a water bath is used, would seem almost unnecessary, yet there are many packers who do not comprehend the trouble that can be caused by inadequate cleaning of the washing, sorting, and conveying equipment.

Does the sorting and washing equipment in every pulp plant impart a clean, fresh, sweet smell when the morning’s work is begun? It does not, and the reason is that it was not properly cleaned the night before. Those surfaces which were easy to get at and which are easily seen in a hasty inspection are clean, of course, but how about the dark corners and almost inaccessible places that are hard to clean? Can you run your fingernail over the surface of one of the bucket conveyors, or “flights,” for example, and scrape off a thin, slimy film? If you can, you can be sure it is mold, and that the only way to get it off is with a very stiff brush—even a wire one may be necessary—hot water, and soda ash. If the bucket conveyors or “flights” are covered with a thin film of mold, the tomatoes will carry along a small part of this mold with them every time the conveyor is used, and as fast as the mold is rubbed off the conveyor by the tomatoes more mold will grow on again.

The same care should be taken with this equipment as is given to the equipment in a milk bottling or condensing plant. My experience has been that the only safe way to check up the thoroughness of the cleaning job is to go over it with a spot light, with particular attention to the most inaccessible parts, and to do everything possible to make every part of the equipment accessible.

19

Molds, Yeasts and Spores, and Bacteria

An understanding of the nature of molds, yeasts and spores, and bacteria is very helpful to any packer. A knowledge of the rapidity of their growth and the conditions under which they multiply most rapidly is also helpful. The average packer has a very vague idea of this subject, yet it is easy of comprehension. In CHAPTER VII a discussion of it will be found, which it is hoped will help to clear up the misty atmosphere surrounding this subject, and in the same chapter the government attitude toward micro-organisms is also discussed.

20

CHAPTER III
PRINCIPAL METHODS IN USE FOR PULPING

The chief methods in use for preparing the tomatoes for the cooking kettle are: first, cold pulping; second, hot pulping; third, crushing without cycloning.

Cold Pulping

The cold pulping method is probably the most common, and requires less equipment than the hot method, with results that are considered by many packers just as good, if the pulp machine is operated by a careful man who will not feed it too fast, and who will keep it clean. Sometimes, with this method, the tomatoes are run through a crusher before pulping, and sometimes not.

Care of Cyclone

It is important that the outlet from the receiving box under the cyclone be directly from the bottom, and not from the side of the box near the bottom. The box must drain completely so as not to leave any tomato juice lying in it to ferment. A tapering enamel lined receptacle which drains itself completely is best to use under the cyclone.

The steam hose should be turned into both the cyclone and receiving box several times during the day to arrest growths of micro-organisms, and clean out adhering tomato fiber. It is particularly important to do this just before the noon hour, as considerable fermentation can take place in the cyclone during that hour if it is not cleaned out beforehand.

Hot Pulping

By the hot pulping method the tomatoes are conveyed, usually by means of a series of “flights,” or a bucket conveyor, to “breaking tanks” which are arranged above the cyclones. These “breaking tanks” hold about 1000 gallons, and are usually constructed of cypress. At the bottom of the tank are open brass steam pipes running horizontally in four directions. These pipes are about 21two feet in length, and are open at the ends so that the steam comes directly in contact with the tomatoes. The tomatoes are conveyed direct from the sorting belt to the “breaking tanks,” and as soon as the brass pipes are covered the steam is turned on full and the breaking up process begins. It usually takes about 30 minutes to break up the tomatoes, and they are then cycloned. The tank should have a concave bottom and large outlet, preferably 3 inch, so that the broken up tomatoes can be let out of the tank easily. Iron pipes should, of course, be avoided, as the acid of the tomato attacks the iron, producing an iron salt which is apt to discolor the product, particularly if it is to be used for catsup, and this dissolved iron comes in contact with the tannic acid of the spices. This will be discussed further under the manufacture of catsup.

Some packers object to brass and copper coming in contact with the tomatoes on account of the slight amount of copper which goes into solution by the action of the tomato acid. In the case of the “breaking tank,” however, the few short brass pipes offer a very small surface to the action of the tomato acid, and the amount of metal dissolved would be negligible. These brass pipes can be plated with tin if it is desired to avoid contact with brass altogether, and this is frequently done.

Advantages Claimed for Hot Pulping

Those who use the hot pulping method like it for a number of reasons. In the first place, the tomatoes are brought to a boil while they are still whole, and this eliminates any chance of fermentation due to the crushing of the tomatoes before they are cooked. By bringing the tomatoes to a boil quickly, that is, as soon as the washing and sorting is completed, any incipient fermentation is arrested immediately. As the tomato juice is near the boiling point when it is cycloned and delivered to the cooking kettles, no multiplication of yeasts, bacteria, etc. can take place between the sorting and the final condensing, unless the juice is allowed to cool considerably at some point between the “breaking tank” and the cooking kettle.

Another advantage claimed for the hot process is that the pulp of the tomato is more completely separated from the seed and skin than when the tomatoes are pulped cold, and therefore the tomatoes will give a slightly larger yield of pulp. It is also claimed that a better color can be obtained by the hot pulping process, as the color cells of the tomato lie in greatest abundance 22directly next to the skin, and by making a clean cut separation of the skin from these color cells by boiling in a “breaking tank,” none of this color will be lost in the pumice during the cycloning. Although this argument does appear reasonable, I have failed to see that tomatoes which are pulped by the hot process give any better color than those which are pulped cold.

The hot process is also liked where the tomatoes are to be manufactured directly into catsup or tomato soup, as the “breaking tank” can be filled up to a certain mark with the boiling tomatoes and that gives the measure of tomatoes for the catsup or soup batch, and no other measuring devices for this purpose need be employed.

Objections to Hot Process

The chief objection to the hot process is that it requires a lot of additional tanks for breaking the tomatoes, which are entirely dispensed with when cold pulping is used. The tanks are not only an additional expense to the equipment, but require one or two operators to tend to them, and they take up a lot of room, and consume a lot of steam. No seed can be saved from tomatoes which are pulped hot, as the cooking either kills the germ or renders it impotent. Quite a few canners save the seed from cold pulped tomatoes, and the revenue from it proves to be a profitable item.

As to whether the slightly increased yield to be obtained by the hot pulping method, and the decreased danger of multiplication of yeasts and bacteria, more than compensate for the advantages to be obtained by the cold process is a question which the individual packer must decide for himself.

Crushing

Crushing the tomatoes without cycloning them is a very good method where the tomatoes are going to be made into pulp or puree, as the finishing machine will convert the crushed cooked tomatoes into a very smooth product. Where catsup is to be made direct from the tomatoes, however, cycloning is to be preferred to crushing. If the final product is to be soup, cycloning is necessary. This will be discussed further in the chapters on catsup and soup.

When a crusher is used it takes the place of the cyclone or pulp machine, although it performs an entirely different kind of an operation, and the tomatoes go through exactly the same 23process as in cold pulping, except that instead of removing the seeds and skins from the tomatoes before cooking, the tomatoes are chopped very fine and conveyed to the cooking kettles—seeds, skin and all. It is obviously somewhat harder to gauge the finishing point of a batch of pulp where the skins and seeds are present, however a little practice largely eliminates this difficulty, and there is always the method of determining the specific gravity by weight to fall back on. The seeds and skins will not interfere with making the specific gravity test as it is usually carried out in the cook room with a large copper flask, small trip balance, and set of weights.

Conveying to Kettle

If the plant is so arranged that the pulped or crushed tomatoes can be conveyed to the cooking kettles by gravity, that is an advantage, as it does away with a pump and someone to tend to it, and the fewer the pumps, the better; however, in most plants it is necessary to pump the pulped or crushed stock into the cooking kettles. Unless the plant consists of several floors and the tomatoes start at the top and come out as finished pulp at the bottom, or the plant is built on a terraced plan, as one plant is in Indiana, which is built on the side of a hill, it is necessary to do a certain amount of pumping. An ordinary pump will not do, as there would be contamination by iron, and considerable rusting, while the pump was idle, of those parts of the pump with which tomato juice comes in contact, this rust to be carried along with the tomato juice the first time the pump is used again. The rotary pump constructed partly of bronze or nickel is very good for this purpose, and offers as little opportunity for metallic contamination as any pump does.

The pipe used for the conveying of this tomato stock should by all means be enamel lined. Enamel lined pipe, if properly made, will last for many years without chipping or cracking. Just how long it will last on the average I cannot say, but I have often taken down lines of enamel lined pipe that have been in use for several years, and it looked practically as good as new. The flanged pipe with flanged fittings is better than that with the ordinary screw ends, as it makes practically a continuous white tube without any pipe threads in which molds, yeasts, and bacteria can lodge and multiply.

Wooden troughs are still used in many plants for conveying tomato juice and pulp, but they are a relic of the old days, 24and have no place in the modern pulp or catsup plant. Wooden troughs are hard to keep clean, they mold very quickly after they become damp, they are open to contamination from ceilings and roofs which aren’t always in good condition, and they are usually wasteful. It will pay any packer who still uses even a few wooden troughs to invest in enamel lined pipe. Wooden pipe is also unsanitary for this purpose, as mold grows in it and clings so tightly to the porous, damp surface that it cannot possibly be flushed out.

Value of Pumice

This chapter, which deals principally with cycloning, seems to be a fitting place to discuss the value of the pumice which comes as a waste product from the cyclone. Although it has been repeatedly demonstrated by chemical analysis that this pumice or tomato waste is a valuable by-product, every time the question has come up of its utilization and preparation into a salable product or products, the decision has been that the expense involved would be too great to make it pay. This by-product is profitably handled in Italy, producing an oil of commercial value, and an oil cake which is used for stock feed; however, the conditions in Italy and in this country are very different. In the Parma district of Italy there are forty factories very close together, and little expense is involved in bringing the waste to a central point where enough of it can be had to keep a drying outfit and an oil press or oil extraction outfit busy. Labor is also very cheap and plentiful, and there is a ready market for the product, the oil being used as a soap stock, and the oil cake finding ready sale as a stock feed. In this country, however, there is not enough waste at even one of the largest plants to pay for the operation of a drying outfit and the pulp plants are so scattered that hauling or shipping charges to a central point would be expensive. Furthermore, labor is scarce and expensive.

That quite a little labor is involved in the preparation of the waste is soon discovered by a little experimenting. As the waste ferments quickly it must be handled as produced, or preserved in some way, which would be a questionable operation, as the oil cake is used for stock feed. As the skins are practically valueless, they must be separated from the seeds in which all the value lies. This separation can either be carried out in the moist state by a gravity separation in water, in which the seeds, being heavy, sink, and the skins float; or by the use of a fanning mill 25after drying, in which case the dried skins, being very light, are blown out. Before drying either the seeds alone or the unseparated waste, the excess moisture must be pressed out with a hydraulic press. The pressed product must then be broken up and put through a steam or hot air dryer of the rotary, cylindrical type. After the seeds are dried to a 10 per cent moisture basis they must then be ground, and the oil extracted either by pressure, or by dissolving it out with a chemical agent, such as carbon tetrachloride. The oil cake which remains would then be sacked for stock feed.

This briefly gives an idea of the labor involved, and the difficulties surrounding the situation. It may be successfully worked out some time, but will require close co-operation from a number of large pulp plants which are near each other to be a success. Some plants are giving the waste to farmers if they will haul it away, and I know of one farmer who has for years fattened a bunch of hogs cheaply during the tomato season in this way. It is a queer thing, though, that most farmers turn up their noses at the idea.

The seed, when dried to a 10 per cent moisture basis, contains about 23 per cent protein and from 20 to 25 per cent of fat. After the fat is extracted the protein in the cake will run close to 30 per cent.

In a test made by the U. S. Department of Agriculture the ground cake ran 37 per cent in protein, which puts it in about the same class with cottonseed meal. They also refined some of the oil and are of the opinion that it has the qualities of an edible oil.

If a factory uses the cold pulping method the most profitable way to handle the pumice is to ferment it and then separate the seed and dry it, and use it for planting the following season. Care must be taken, however, to keep out undesirable strains and varieties foreign to the one which is being grown.

26

CHAPTER IV
CONDENSING THE STRAINED OR CRUSHED TOMATOES

Vacuum Pan

Practically all of the tomato products made in this country are cooked in an open kettle under atmospheric pressure—either a copper-jacketed kettle, or a tank with a closed coil. The vacuum pan is used, however, in several plants, and makes a very high grade product—a better product as a rule than can be made by condensing under atmospheric pressure. When tomato juice is condensed in vacuum it boils at anywhere from 54 degrees F. to 175 degrees F., depending upon the degree of vacuum obtained. At sea level, under atmospheric pressure, it boils at 212 degrees F. By employing a low temperature, and condensing rapidly, which can be done in the vacuum pan, the natural bright red color of the tomatoes is affected very little by the cooking. High temperatures and continued boiling are the agents which destroy tomato color as well as flavor. The vacuum pan produces a pulp of not only fine color, but of very fine flavor. The reason the vacuum method is not used more frequently than it is is undoubtedly due to the difficulty in getting the vacuum equipment, and also to the expense of the equipment when it can be obtained.

Types of Open Kettles

The open kettle method produces a very satisfactory product when the proper precautions are taken, and if the cooking and subsequent processes are carried out intelligently, the finished product compares very favorably with that which is condensed in vacuum. The types of kettles in most common use are the copper jacketed kettle, the glass-lined tank with closed copper coil, and the cypress tank with closed copper coil. All of these give good results where the jacket or coil is properly constructed, the steam trap is of the right type and takes care of all of the condensation without allowing it to back up into the coil, and the kettle has a good head of steam so that a vigorous boil can be maintained throughout the cooking.

27

Steam Pressure

If the steam pressure at the boiler is kept above 75 lbs., and too much is not lost by radiation from uncovered pipes, and by leaks at poorly packed flanges, etc., there should be no difficulty in maintaining a vigorous boil. The evaporation should be so rapid that the vaporizing steam will burn the hand, even if placed over the kettle for a second. If you can hold your hand over a kettle of boiling pulp, even for a few seconds, you can be sure that you are not getting a proper boil. A pressure of 100 lbs. is, of course, to be preferred to 75, as it will effect a quicker condensation, however there is not a large percentage of boilers in tomato pulp plants that are permitted to carry as much as 100 lbs.

The kettles should be close to the boiler room, and the steam pipes feeding them should be as straight and short as possible, and covered with magnesia pipe covering to prevent excessive loss of heat by radiation. It is not an uncommon sight in canning plants to see the main pipe from the boiler to the cooking kettles pass through an areaway between two buildings, and have no protective covering whatever. Such sights, however, are becoming more infrequent, as packers are plugging up many of the leaks through which dollars have escaped every day in years gone by. The condensation from the steam traps can, of course, be used right over again in the boilers.

Copper-Jacketed Kettles

Copper-jacketed kettles used for condensing tomato products range all the way from 50 gallons capacity to 500 gallons, the larger size making a batch of finished pulp of about 250 gallons as a rule. A larger batch than this can be cooked in a 500–gallon kettle, but it is not advisable to keep pumping fresh tomato juice into the kettle too long, as it gives too long a cook to the first that goes in. Forty-five minutes should be the absolute limit for a batch of pulp, no matter what kind of a kettle it is cooked in, and it is much better to confine the cooking time to 30 minutes or less. The shorter the cook, the better the color and flavor of the finished product, other things being equal.

Tinning Kettles

Copper kettles are frequently lined with block tin to prevent the acid of the tomato from dissolving some of the copper. The 28desirability of this is argued both from a standpoint of health and flavor, as dissolved copper, even in small quantity, has a very bitter taste. It should be remembered, however, that the acid of the tomato, which is generally thought to be citric acid, is a weak organic acid, and the amount of copper dissolved in a batch cooked not over an hour is exceedingly small; certainly so small as to have no ill effect upon health. As to the question of flavor, it would indeed take a very delicate palate to detect among a half dozen samples which ones were cooked in an unlined copper kettle, and which in a kettle lined with block tin or silver. The latter is said to be used by some packers.

It is a good idea, however, to play safe, and line all kettles with block tin, as we know that there is a small amount of copper taken up in solution in the pulp. This is more important in the case of catsup and chili sauce than where the kettles are used for pulp alone, as vinegar and salt act on the copper much more severely than tomato acid does. As to the thickness of the block tin lining, an inspection of the kettles used by various packers shows this to run all the way from a good half-inch thick to a coating so thin that in one season’s use it is almost all scraped off by friction in cleaning the kettle. The kettles should be plated heavy enough to last several seasons without re-tinning, however a coating a half-inch thick is unnecessary and wasteful of steam. The same remarks apply to the tinning of copper coils.

Advantages of Various Types of Kettles

Although copper-jacketed kettles have the advantage of being very easily cleaned, and also the advantage of wasting very little of the product when the finished batch is being discharged, the large tanks of either cypress or glass-lined steel are coming into use more and more because of their greater capacity. It is true that they are very slightly more wasteful than the jacketed kettles, but this really amounts to very little if the tanks are built with a concave bottom. They take up no more room than the jacketed kettles, and will hold a much larger volume, as they can be built so much higher. If one were to buy a series of copper-jacketed kettles to cook batches as large as are commonly cooked in tanks equipped with copper coils, the expense would be very heavy, there would be much exposure to metal, and the results obtained would be no better, or possibly not as good. In the tank equipped with a coil, batches of 300 or 400 gallons are often cooked, and the juice can generally be condensed to a specific gravity of 1.035 in 25 to 30 minutes.

29

Glass-Lined Tank

During the last few years quite a few packers, when adding to their cooking capacity, have put in glass-lined steel tanks. The glass-lined tank is equipped with coil and steam trap in the same manner as the cypress tank, and it has certain advantages which make it very nice to work with, even though the first cost is considerably more than that of a cypress tank of equal capacity. The only objection I have heard to the glass-lined tank is that it radiates more heat than a wooden tank, and on very hot days, unless it is insulated, makes the cook room more uncomfortable than the same capacity in cypress tanks would. However, when the tank is covered with cork insulation, or asbestos, or even wood staves, it radiates no more heat than a cypress tank.

The glass-lined tank is perfectly sanitary, and is very easily cleaned. It is really the most sanitary thing we have to cook in. The surface is smooth and entirely free from any irregularities such as there are bound to be between the staves of the cypress tank. It is always ready for use, and does not have to be swelled and then scrubbed for a half day after standing idle for a while before it is fit to use again. There are no places for molds to creep in and multiply. Furthermore, being of metal and all in one piece, a battery of glass-lined tanks will not shake like cypress tanks will when you are running heavy and have several tanks going full blast at the same time. This may seem rather unimportant, but it is quite a relief to the cook and his helpers, as they can go about their work without having their nerves rattled. Just how long a glass-lined tank will last under average conditions in a pulp or catsup plant is not known, as they have not been in use a great many years for this purpose; however, one would guess that they would be serviceable almost indefinitely.

Cypress Tank

Cypress tanks should be constructed of 2–inch material and made with a sloping or concave bottom, preferably the latter. They will not impart any foreign taste to the product, as is sometimes thought, even after becoming charred by long usage, and if kept clean they will remain sweet as long as they are kept in continuous use. A musty taste is sometimes imparted to pulp or catsup cooked in a cypress tank if it has been standing idle for a long time and is not thoroughly cleaned and boiled out with soda before it is used again. Cypress tanks have the 30advantage of being cheap, and also of having large cooking capacity.

Cleaning Kettles

Cooking tanks and kettles should be cleaned thoroughly after every batch. If the steam trap is working properly the burning on the coils and sides of the kettle will be so slight that almost all of it can be washed off with the hose if the water pressure is strong and the hose is bushed down to one-eighth inch. The best things to use to take off the material which burns on hard and black is a pot chain for coils, and for the jacketed kettles a wire brush or very stiff fiber brush does very well. If any of the baked on pulp is not removed before the next batch is cooked it will interfere with the cooking by lengthening the time required to finish the batch, and by causing the coils to burn still harder next time. The cook should be instructed to get down in the tanks frequently, and feel underneath his coils to see that they are properly cleaned. The manager should also make it a point to do this several times a day. His quality will depend in no small degree on the way his coils are cleaned.

Coil Leaks

Leaks in coils should be attended to immediately, as they cut down the available steam pressure, and soon become so large that it becomes impossible to cook satisfactorily. An ordinary soldering job will only hold them for a day or two, and it is necessary to take out the coil and braze it if the leak is to be permanently mended.

Starting the Cooking

We will say that we are now pumping over the cycloned or crushed tomatoes into the cooking kettle. Some packers pour a cupful of cottonseed oil in the kettle to assist in breaking the boil, others rub the sides of the kettle with fat, such as a piece of cocoa butter, while others use no oil or fat at all, but take care to feed the kettle slowly and carefully, and cut the foam with a sharp spray of water from the hose to assist in breaking the boil. The oil or fat does seem to help some, but it is not necessary if the kettle is fed carefully. As soon as the coil or jacket is covered the steam can be turned on full; however, the exhaust should be opened immediately, and not closed until all the condensation which has collected in the coil or jacket runs 31out and the steam comes through perfectly dry. The condensation of the pulp should then be conducted as rapidly as possible, pumping over more of the tomato juice as the kettle is able to take care of it, and boiling continuously. The eye soon learns to judge the approach of the finishing point, and then the exact finishing point must be determined. There are many ways of doing this, and a number of ways have been recommended. No method can succeed which is not simple and quick, and which offers scarcely any chance for error when used by a cook, whom, it must be remembered, is a man of very ordinary intelligence.

Methods of Gauging Finishing Point

The simplest method is gauging the finishing point by the eye, but this method is also the least accurate in the hands of the average cook. Cooks who have had years of experience with tomato pulp sometimes get to be very expert in gauging the finishing point by the eye, and can determine it with surprising accuracy. Such a cook is the exception, however, and most packers have to use some sort of a mechanical method by which at least fair accuracy can be counted on. These methods consist of: first, condensing the pulp to a certain mark on the kettle, a definite volume of juice having been taken to start with; second, cooking a certain length of time; third, determining the specific gravity of the hot pulp by weighing a definite quantity on a small balance; fourth, estimating the gravity by the use of a hydrometer.

Cooking to a Gauge on Kettle

With the first method the amount of tomato juice pumped into the kettle, or the number of bushels of tomatoes from which this juice was derived, must be measured. This is a nuisance, and is not necessary with any of the other methods except the second. Furthermore, even though every batch of pulp cooked during the season be made from a measured quantity of tomatoes or tomato juice, and cooked to the same point on the measuring stick, the pulp will not all be of the same specific gravity, because tomatoes are very watery at some seasons of the year and very firm and solid at other times. The watery tomatoes will make a thin pulp, and the firm tomatoes will make a heavier pulp.

32

Cooking a Definite Length of Time

Cooking for a certain length of time is not dependable because the steam pressure is not always the same, the coils do not always condense the pulp with the same efficiency, and the character of the tomatoes varies during the season. With this method it is also necessary to start with a definite quantity of tomato stock for each batch.

Determining Specific Gravity by Weight

The third method—that of determining the specific gravity by weight—is used as commonly as any of the others. The specific gravity of pulp merely means the comparison between the weight of a definite volume of the pulp and the weight of the same volume of water at the same temperature. If pulp has a specific gravity of 1.035, that means that a gallon of it is 1.035 times as heavy as a gallon of water.

The determination, as carried out in the cook room, is made with a small trip balance, a set of weights, and a copper flask which is tin lined. The weight of the empty flask is taken. Then the weight of the flask filled to the top with boiling water is taken. The difference between these two weights is the weight of water at the boiling point which the flask contains. When the boiling pulp approaches the finishing point, the flask is filled to the top with the boiling pulp. This should be done rapidly, as the pulp cools quickly, and as it cools, decreases in volume. The weight of the flask filled with pulp at the boiling point is taken. This weight, minus the weight of the empty flask, equals the weight of pulp at the boiling point which the flask contains. You now have the weight of boiling water the flask contains, and the weight of boiling pulp the flask contains. Divide the former into the latter, and the result (the quotient) is the specific gravity. For example, if the water weighs 1,000 grams, and the pulp weighs 1,035 grams, the specific gravity is 1.035. If the specific gravity of cold pulp is taken, then cold water of the same temperature must be taken as the comparison. The weight of cold pulp must not be compared with the weight of hot water, and vice versa.

Objections to Weighing Method

One of the objections to the use of this method is that there is usually a certain amount of air bubbles and foam in the boiling 33pulp and this causes an error, as the air takes up volume but does not weigh anything. Another objection is that the determination is often not made rapidly enough, with the result that while the flask is being filled with boiling pulp, the pulp is cooling and correspondingly decreasing in volume, and by the time the flask is full, it contains more pulp than it should, that is, instead of containing 1,000 cubic centimeters of pulp at 210 degrees F., it will contain about 1,010 cubic centimeters of pulp at 200 degrees F., or possibly lower. One reason for this delay is that the foam caused by filling the flask with boiling pulp rises in the neck of the flask, and makes it hard to judge when the flask is exactly full. The main difficulty with the method, however, is that pulp cooks do not have scientific minds, they do not appreciate the importance of doing the determination in a strictly scientific way, and the results they get are not very accurate. I have frequently checked up on pulp cooks using this method, and sometimes they were very decidedly off.

Testing With Hydrometer

The estimation of the gravity of the boiling pulp by the use of a hydrometer is not in very general use, and it has been stated by some scientific men that a hydrometer is no good for tomato pulp or catsup except where the sample on which the test is made is previously filtered so as to get a clear liquid. A test which involves filtering, is, in my opinion, entirely unsuited for everyday use on the cooking platform.

I have used the hydrometer for testing pulp and catsup direct from the kettle for seven years, and have had more success with this method than with any other.

The hydrometer was never intended to be used with semi-solid substances such as tomato pulp, but only with liquids such as brine, sugar syrup, etc., in which there is no solid matter in suspension. With liquids, the number of degrees registered on the hydrometer when it is immersed in the liquid is equal to a definite specific gravity. This is not true with semi-solids such as tomato pulp, as each packer must work out the relation between the degrees of the hydrometer and the specific gravity on pulp under the conditions which obtain in his plant. This is a very simple thing to do, and once the packer has established this relation, it will hold good as long as he is in the pulp packing business. The reason why this relation is not the same for all packers is because tomato juice is not screened to the 34same degrees of fineness in all plants, and because all hydrometers having the same scale will not work the same on pulp. This is because they have different shapes. The shapes may only vary slightly, which will not interfere with their accuracy on clear liquids, but it will make a difference when the hydrometer is used in tomato pulp. Furthermore, some of the hydrometers will probably have too much variation in their diameter at different points, which is a disadvantage when they are used in tomato pulp. I have therefore always had the hydrometers which I have used for this test made to order and to conform to certain specifications which I laid down.

Fig. 3. Special hydrometer for testing tomato pulp and catsup.

(C. J. Tagliabue Mfg. Co.)

In Fig. 3 is illustrated a hydrometer which is manufactured by the C. J. Tagliabue Mfg. Co. of Brooklyn, and which is made to conform to these specifications, which are: first, perfect balance; second, a minimum amount of variation in the diameter of the various parts of the spindle with the slope very gradual; third, a Beaume scale reading from 0 to 50 degrees; fourth, that it can be obtained in exact duplicate in any quantity.

If the diameter at various points in the spindle is slight, with the slope very gradual, it seems to be an advantage. It is, of course, necessary that exact duplicates can be obtained to use when the first one, on which your calculations are based, is broken.

In order to avoid disappointments which would be very apt to result from the use of a hydrometer which was not particularly adapted to this test, and which would very likely be difficult of exact duplication, the type illustrated above should be adhered to, and it will be found to give good results when used as directed in this chapter.

Two pulps of the same specific gravity, and of practically the same degree of fineness, if tested hot, will register the same on the same hydrometer, or on two hydrometers which are exactly alike in every respect. (The hydrometer does not work well on cold pulp unless the pulp is thin.)

35Two pulps of the same specific gravity, showing a very marked difference in their degree of fineness, will not register the same on the same hydrometer, because, even though a definite volume of each will weigh the same, the two pulps are of different thicknesses, which will have an effect on the degree to which the hydrometer will sink when placed in the pulp. However, if a packer cyclones his tomatoes before condensing them, and uses the same mesh of wire screen in his cyclone all the time, his pulp will all be of the same degree of fineness, and this point is eliminated. Every pulp packer who cyclones his tomatoes, and who uses the same mesh of screen in his cyclone throughout the season, can use the hydrometer for testing his pulp and can obtain uniformity without the use of any complex apparatus.

The relation between the hydrometer reading and the desired specific gravity is arrived at as follows:

When the boiling pulp approaches the finishing point, pour a sample into a tall gallon measure and take the hydrometer reading immediately. Save this sample, put it through the finishing machine along with several additional gallons dipped from the kettle so as to get a good sized sample through the finisher, taking care that the brushes are dry so as not to dilute the sample, and have the specific gravity determined on this finished sample when it gets cold. Take other samples from the kettle at five-minute intervals, and save them for the same purpose, after getting the hydrometer reading. We will say that one of these samples, when tested for specific gravity, ran 1.035. The packer looks up the hydrometer reading he got on this sample, when taken hot from the kettle, and finds the reading was 18 degrees. He then knows that for pulp of the degree of fineness he gets from his cyclone, 18 degrees on his hydrometer equals specific gravity 1.035 after finishing. He may also find that for the sample that was taken from the kettle five minutes later, specific gravity 1.04 is equivalent to 24 degrees under the same conditions. He now has established a relation between the degrees on his hydrometer and the actual specific gravity. (The reason for putting the pulp through a finisher before determining the specific gravity is that he wants to make this test under the same conditions that the buyer would make it.)

Now, if the packer decides that he wants to condense his season’s run of pulp to 1.035, he simply cooks it all to 18 degrees 36on his hydrometer, providing this is the comparison he got. Under his conditions he may find that 16 or 20 degrees equals specific gravity 1.035. As stated before, each packer must determine this for himself.

Method of Using Hydrometer

The cook should fill a tall gallon measure with the boiling pulp and allow the spindle to sink into it slowly. Do not drop it into the pulp so that it will fall suddenly, as the weight of the mercury or shot in the bottom will carry it farther than it should go. It will be noticed that the spindle will sink rapidly for a few seconds and then almost come to a standstill. At this point—when a standstill is almost reached—the reading should be taken. It requires quite a little time to reach an absolute standstill, and this is not necessary, as it is easy, with a little practice, to catch the other point and take the reading. After the reading is taken, lift out the spindle, stir the pulp with it, and allow it to sink again as a check determination, merely for the satisfaction of being doubly sure. You will find that you get the same reading unless you wait so long before making the check determination that the sample has had a chance to cool considerably. As the test only takes ten seconds, the two tests can be made in a half minute at the most, which gives the pulp no chance to cool.

The hydrometer method is not absolutely fool proof, but it is as near fool proof as anything I know of. Neither is it the acme of perfection in a pulp testing method, but it is, in my opinion, far better than anything that has been suggested to date. It is simple, and accurate enough for all practical purposes, and any ordinary laborer can be shown in a few minutes how to make the test, and the chances of error are very small indeed.

This method will not work where crushed tomatoes are being condensed. It is necessary that the tomato juice be previously cycloned. The pulp must be homogeneous and not lumpy and full of skins to be capable of being tested by the direct hydrometer method. When determining the finishing point on crushed tomatoes it is best to use either the eye or the specific gravity test by weighing.

Finishing the Cooking

The steam should be kept on the kettle continuously until the batch is done. While testing is being done it is not necessary 37to shut off the steam. If salt is used it should be scattered over the batch slowly a few minutes before it is done. Salt increases the specific gravity, and also the hydrometer reading. The relation between the hydrometer reading and the specific gravity can be worked out just as well where salt is used as when it is not used.

The addition of salt does add to the flavor, and some buyers prefer it, while others do not. I have seen buyers pick out a poor quality pulp with salt in it in preference to a much better quality with no salt.

As soon as the steam valve is closed the exhaust should be opened to discharge the steam from the coil or jacket and allow it to cool as quickly as possible.

It is often necessary to hold batches in the cooking kettles for some time after the cooking is finished. This darkens the pulp some, both because of contact with the air, while hot, and from long contact with the sides of the kettle or coil, which remain hot. Cooked pulp should therefore be discharged from the kettle just as soon as possible. If held over 30 minutes in the kettle it should be given a momentary boil before letting it down. Be careful to avoid contamination in the kettle after the steam is shut off, such as cold dirty water dripping in from rafters overhead, and leaks from pipes over the kettles through which cold tomato juice is flowing. Such material will not become sterilized merely by contact with the hot pulp, and may cause swells in the canned product if there is very much of it.

38

CHAPTER V
CONVEYING THE CONDENSED, STRAINED, OR CRUSHED TOMATOES TO THE FINISHING MACHINE AND FINISHING SAME

Conveying to Finisher

The fewer pipes and receiving tanks the condensed pulp passes through before being filled in the cans, the better. All of this conveying and finishing equipment offers possibilities of contamination, and allows the cooked pulp to cool to some extent before it is filled. Eliminate as much equipment as possible between the cooking kettle and the filler, and have the pulp enter the cans at at least 170 degrees F., and if possible, at 180 degrees or above. A receiving tank between the cooking kettles and the filler should be dispensed with if possible, and the finishing machine draw the cooked pulp direct from the kettle by means of a short line of enamel lined pipe.

Receiving Tanks

Unfortunately the arrangement of many plants is such that it is almost necessary to use a receiving tank; at least in such cases it would be a disadvantage not to have one. Where a tank must be used here it should be in such a position that it is easily accessible, so that it will not be necessary for a man to be an acrobat to get into it, inspect it, and see that it is kept clean, and that an inch of pulp is not allowed to lie in it and get cold while waiting for another batch to come down.

The best kind of a tank for this purpose is an enamel or glass-lined tank with a rounded, tapering bottom so that it will almost drain itself completely, and what little adheres to the sides can be scraped down in a few seconds if it is necessary to wait five or ten minutes for a fresh, hot batch to come down. Even if it isn’t scraped at all it will probably not cause any trouble in a tank like this. Wooden tanks will do, of course, but it would pay a packer who must use a tank here to throw out his wooden one and put in a tank such as is recommended above. It is hard to construct a wooden tank so that it will 39drain well; in fact, nine out of ten scarcely drain themselves at all; they are never kept as clean as they should be, and wet wood seems to be a favorite spot for molds to grow, so that frequent scrubbing is necessary if it is kept sanitary. It is most important to inspect the receiving tank carefully before it is first used in the morning, as they sometimes mold slightly over night, or dirt falls into them from overhead. A steam hose should be kept close to a wooden tank to sterilize it at night after it is scrubbed out.

Finishing

Whether or not a receiving tank is used, the finishing machine should be as close to the cooking kettles as possible, and should receive constant attention from a careful operator who can comprehend to some degree the importance of keeping it clean. If the filling department gets ahead of the cooking department and is obliged to wait fifteen minutes or a half hour for a fresh batch of pulp to come down, the man who tends to the finisher should take it apart at once, wash it off, steam it off thoroughly with the steam hose, and put it together again so that it will be clean and practically sterile when it receives the next batch. Otherwise the screen and the brushes will be clogged up with cold pulp when the fresh batch comes down, which is a bad condition, especially if the pulp is not to be sterilized after it is filled, which is usually the case with 5–gal. pulp. Even though the finisher is operated continuously through the day, it should be taken apart and cleaned at least twice during the morning and twice during the afternoon.

The finishing machine should be operated slowly, so that the pumice will come out dry. The small receiving box under the finisher should drain completely so that it does not have a foot of cold pulp lying in it when the finisher is idle.

Screen Metal for Finisher

The best kind of screen for the finisher is made of monel metal. The brass screen is more common; however, the same thing can be had in monel metal, and it does not offer the opportunity for metallic contamination that the brass screen does. The monel metal screens wear very well and have proven themselves to be satisfactory in every respect. Aluminum should not be used, as it is eaten up by the tomato acid and will not last long.

40

Effect of Finishing on Mold Count

The opinion has often been expressed that the brushing of the pulp through the fine meshes of the screen breaks up the small clumps of mold and scatters them in small threads throughout the mass, thus increasing the mold count, since this count is not based on the total quantity of mold present, but upon the number of microscopic fields containing molds. Thus, by scattering the mold, instead of allowing it to be retained in comparatively large clumps, the number of microscopic fields containing mold threads would be increased.

Although one might reasonably expect this to take place, experiments have proven that it does not take place. Several years ago, in order to determine this point, I analyzed thirty batches of catsup just before entering the finisher and again just after coming through the finisher. In every case the percentage of microscopic fields containing molds after finishing was practically the same as before finishing. A cone-shaped finisher with three revolving brushes and fine mesh screen was used for this test.

Finishing Before Cooking

Although the finishing machine, if properly tended to, is probably responsible for very little of the spoilage in pulp, it has been suggested to use the finisher before the pulp is condensed. Then the pulp can be drawn direct from the kettle to the cans, and the chance of contamination and cooling in the finisher can be eliminated. This idea is well worth experimenting with, as the pulp could be filled at almost the boiling point. I have not tried out this idea, but offer it here as a possibility which has advantages which are well worth looking into. Packers who are having spoilage trouble which they cannot attribute to other causes would do well to experiment with it. As to whether both the pulp machine and finisher would have to be used before the cooking, or whether the finisher alone would do, providing the tomatoes were previously crushed, or cooked in a “breaking tank,” would have to be determined by experiment. The method may be in use now by some packers; however, I have not heard of it being used.

41

CHAPTER VI
FILLING THE FINISHED PULP AND STORING THE CANNED PRODUCT

Filling Devices for Five Gallons

The most commonly used containers for pulp are the five-gallon can, the No. 10 and the No. 1 can.

The usual method of filling 5–gal. cans is to draw the pulp from the finishing machine by means of a large, heavy wall, single line hose filling one can at a time. Some packers use a manifold by which five cans can be filled at once. This requires a lot of valves and enamel lined pipe fittings, and unless the operator is very expert the manifold will not do the work any faster than a single line hose.

Square Can and Round Can

The square 5–gal. can is preferred by nearly all packers to the round can. The round can is hard to handle, hard to stack, and is very wasteful of space wherever it is stacked. The square can is to be preferred in every way.

Testing for Leaks

When new cans are being used it shouldn’t be taken for granted that they are absolutely free from leaks, as it is sometimes found that a large percentage of a car of cans will run bad, and the packer should test representative samples from the car as soon as it is received, so that he can reject it and secure other cans if the car doesn’t test up right. The best way to do this testing is with a small tank of water, a one-eighth inch air line, giving about four pounds pressure, and a can tester. A simple kind of can tester can be easily constructed in any blacksmith shop, and merely consists of an iron brace to fit around the can and which can be quickly tightened over the can and released, and a soft rubber semi-circle to fit tightly into the cap hole and which is gripped at the top and held in place by one side of the brace. The one-eighth inch brass air pipe passes through the center of the rubber semi-circle and 42into the can. As soon as the can is tightly clamped and the cap hole sealed by the rubber, the air is turned on and the can is immersed in the water. The leaks show up very quickly under a four-pound pressure, and a dozen cans can be tested in as many minutes.

Washing and Steaming

New cans, as well as old ones, should be thoroughly washed and steamed before filling. There is often a fine, light colored dust in new cans which a good strong spray of water properly directed into the inverted cans will remove. Through the same pipe which directs the spray of water into the cans, the cans can be steamed by means of a simple arrangement of valves on the steam and water pipes. A washing and steaming rack can easily be fitted up which will wash and steam a half dozen cans at once. A single stream of water entering the cap hole of the inverted can is not sufficient to clean it. The pipe which enters the cap hole should be capped, and about three holes drilled into this cap at a slight slant so that the upward spray of water will strike three different spots in the bottom of the inverted can, and make the washing thorough.

If the average packer could see just how little of the inside surface of his 5–gal. cans is actually washed, he would be surprised. About fifteen seconds is sufficient time to spray the inside of the cans, and then the water valve can be closed and the steam valve turned on. The steam should be kept on for a full minute and kept on strong. The idea is not merely to heat the can but to sterilize it, at least to some degree, before the pulp is admitted. The average employee steaming 5–gal. cans leaves the steam on ten seconds at the most, and often not more than three seconds. Such a short steaming does very little good. The space of time between the steaming and filling should be just as short as possible. The employees should not be permitted to keep a half dozen cans steamed ahead all the time so that they are cold by the time the pulp enters them.

Filling and Capping

As stated in the previous chapter, the temperature of the pulp when it is filled should be at least 170 degrees F. and preferably above 180 degrees. The cans should be filled clear to the top with the pipe or hose which conducts the hot pulp from the finisher; they should not be topped off out of a dipper which contains luke 43warm pulp and is used for topping purposes. It is not necessary to do this topping and the practice should not be permitted. The sponges which are used for wiping the edges of the cap hole should be kept in a bucket of clean, hot water, and put back in the bucket after being used on a truckload of cans. The capping and tipping job should undergo inspection before the cans are trucked away.

Handling Filled Cans

Cans of filled pulp should be handled carefully. The cans should be set down easily, so as to strain the seams as little as possible. Of course the laborer wants to let go of cans of red-hot pulp just as quickly as possible, but it is not necessary to drop them several inches, and the employees should be taught to set the can on edge and then let its weight straighten it up. If the employee is given good thick gloves it is just as easy to handle the cans carefully. I had occasion at one time to check up on the percentage of swells resulting from one pile of pulp which was stacked by an old hand who knew how to handle pulp easily and carefully, and another pile from the same day’s run which was stacked by a gang of new and uninstructed help who simply picked the cans off the truck and dropped them in place. These were second-hand cans, and the difference was considerable.

Both filled cans and empty cans should be handled almost like eggs. One large pulp packing concern is particularly cautious about this, and it is certainly soothing to the nerves to see their employees handling 5–gal. cans after witnessing the rough and tumble methods in the average plant. They know that it pays to be particular, and that they can get three years’ use out of almost all of their 135–lb. plate cans, and not have many swells either. This concern rarely sells any of their pulp, but puts it up for their own use, to be made into bean sauce, catsup, soup, etc., during the winter months.

Advantages of Separating Batches

Some packers stack their pulp away without dating it; others date each day’s run; while others stack each batch separately. The latter system is practicable where the pulp is cooked in large batches of about 300 gallons or more and in working up the pulp during the winter months it is a great help. For instance, suppose part of the pulp is to be used for catsup and part for bean sauce. The packer can take batches one to fifty, for example, 44open one can from each batch, examine it for color and microscopical analysis and he knows exactly what he has in that stack of pulp, which may be three thousand cans. He can select the various batches to be used for the purpose to which they are best adapted, and he can be absolutely sure that each can in a batch is exactly the same in every respect.

Take another example: We will say that the packer is selling his pulp. His records show that on September 20th and on October 2nd, for instance, he had a lot of bad tomatoes; shipments received on those days were unavoidably held up and he had to make the best of the situation. He knows, however, that on those same dates he had a lot of good tomatoes which came in by wagon haul and that they were run up at the same time. He has a large order for pulp from a catsup maker who is very particular about the microscopical analysis of the goods he buys. In order to play absolutely safe, the packer can take a sample from each batch of the pulp run on September 20th and October 2nd, and if a half dozen batches run too high he can omit them when he makes the shipment to this buyer. If he preserved a sample from each batch run on these dates at the time they were run, which is the better way, it makes the sorting out of this pulp a very easy matter. He thus eliminates the danger of the loss of a good buyer by sending him even a comparatively small quantity of pulp which is high in micro-organisms.

It may seem to one who has never tried it that stacking each batch of pulp separately would involve an awful lot of extra labor, and loss of valuable space when stacking. As a matter of fact, it involves no extra labor at all and no extra space. I have had a season’s pack of pulp amounting to 75,000 5–gal. cans at one plant and cooked in batches of 300 gallons each, stacked each batch separate and it was no trouble at all. The inspector who examined the tipping and capping job, or the tipper, if the inspecting was done by him, merely took a fine stiff brush and a marking pot and marked the batch number on the cap of each can. This only takes a half minute for a truck load. The date was not marked on the can, as a record of the batch numbers run on each date during the season was kept at the office. When the pulp was piled away each batch was stacked together, and where one batch left off and another one began a slip of wood was inserted between two of the cans.

On days when the tomatoes are running bad, or there is a scarcity of help for the sorting belt, it is wise to preserve a sample from each batch and have an analysis made of it for reference 45when the pulp is shipped out. On days when a good grade of tomatoes are being run it is hardly necessary to analyze every batch, but a sample of about every third batch can be taken.

Stacking each day’s run separate is, of course, better than no separation at all. However, there are not many days when the entire run will have a similar analysis; the best becomes inseparably mixed up with the worst, and when the pulp is worked up the packer is working in the dark. To stack a season’s run away without any system of separating various divisions of it is the worst kind of folly, and is almost sure to lead to trouble.

How to Stack

When the pulp is stacked away a space of at least an inch should be left between each can to allow the air to circulate and prevent stack burning. If this is not done, a pile of pulp may hold the heat for a week or ten days, and the pulp, particularly that on the inside, will become brown or even black, due to the long exposure to the heat. The quicker the pulp can be cooled, the more the bright red color of the tomato will be retained.

The height to which the pulp is stacked depends upon the heaviness of the plate of which the can is made, and also, of course, upon the weight the floor of the warehouse is able to stand. As a rule it is not wise to pack 5–gal. cans of 107–lb. plate over four high, and not over five high for cans of 135–lb. plate. Dry, sheltered storage should be provided for pulp, and it will be found to pay in the end. Exposure to the elements is very hard on the cans, and alternate freezing and thawing of the pulp is a great strain on the seams of the can. A comparison of the leaks and swells on pulp stored in shelter, and that stored in the open, will convince the packer that it pays to construct dry storage space.

Narrow aisleways should be provided for between the stacked pulp so that it can be frequently inspected for leaks and swells. By pulling out a leaker in time, several other cans are prevented from becoming leakers, as the leaking pulp from one can will run down on several others, and the pulp, in connection with the oxygen of the air, will eat through the tin plate, causing rust spots, and then pin holes. Frequent inspection of the pulp pile and pulling out cans when they are just beginning to leak or swell will save the packer a lot of money.

Cans should not be stacked on thin boards which will leave the surface of the can close to the ground, as the moisture of the 46ground will quickly rust the tin. It almost seems foolish to mention such a point, but much pulp is stacked this way and the entire bottom layer when turned up will be moldy and rusty on one side. The surface of the can should be at least two inches from the ground. Lacquering will help some, but will not prevent rusting if the cans are close to the ground.

Processing

Nothing has up to this point been said about the processing of 5–gal. pulp. Very few packers process their pulp, and many unprocessed packs have been put up that have not shown over 1 per cent of leaks and swells where new cans were used and the various manufacturing processes were carried out as they should be. In many cases a long shipment of such pulp, after having been stored in a sheltered place for several months, has produced very few additional swells.

One large packer of pulp has for years given his 5–gal. cans a 30–minute process in boiling water, having them pass slowly through a boiling water bath on a chain carrier, the speed of which is regulated so as to give each can the required time in bath. The cans are placed on the chain as soon as they are capped and tipped. Although this packer is very careful in his manufacturing methods he processes as a matter of insurance, principally because a great deal of his pulp is shipped long distances. He must figure that it pays him or he wouldn’t keep it up, as the processing involves quite a little extra handling and extra equipment, and of course has a tendency to darken the pulp somewhat.

Thirty minutes at boiling temperature is, of course, not sufficient time to bring the center of the can near the boiling point, but it will sterilize the can itself and that portion of the pulp which is near the outside. If the pulp is filled very hot, that portion of it which is in the center of the can, being the last to cool, should practically sterilize itself.

Life of Cans

Where a packer puts up pulp in 5–gal. cans for his own use during the winter months he ought to be able to get two years’ use out of all of his cans, and three years out of a large percentage of them. It is questionable whether it is ever advisable to use a can over three seasons. One reaches a point where the percentage of swells is so large with old cans that the saving of 47the cans is unprofitable. When a new can is first used, the year should be indelibly stamped on the can, so that at any time the packer can go through his stock of used cans and tell how many seasons’ use each can has had. This will prove a help in making a decision on which cans are worth holding over for another season, and which ones are not. It also gives him a line on the kind of can that gives him the most value for his money.

Enamel lined cans are now being used a great deal, and as a rule they seem to give a little better service than the plain tin, although this is not always the case. Some packers think the enamel imparts a very slight foreign taste to the pulp, but I have never been able to detect it. Enameling or lacquering of the outside of the cans is essential if there is not sufficient sheltered storage for the pulp, or if it must be stacked in a damp warehouse. An excessive amount of moisture in the air will quickly start the tin to rusting on plain cans, and many cannery warerooms are entirely too moist for stacking cans, as they are near the process room, and the air is often misty with the presence of condensing steam from the process tanks. If there is ample dry storage space, the outside enameling of the cans does not seem to be an advantage.

Washing and Drying Cans

When the season’s pack of pulp is being worked up, the cans which are to be saved for another season’s use should be thoroughly washed out in a tub with hot water. Spraying devices will not work, as the top of the can will probably have a layer of pulp stuck to it, due to the receding of the pulp in the can when it cooled, and even a heavy spray will not remove all of this. The cans must be partially filled with hot water and shaken hard to properly clean them. The foreman should inspect the washed cans at frequent intervals by means of a small electric light which is wired to a short rod and which can easily be inserted in the can through the cap hole. If the washing is not thoroughly done this will show it up quickly.

After as much of the water as possible is shaken out of the cans they should be put in a drying oven and left over night. In the morning the cans should be thoroughly dry if sufficient steam is kept in the oven radiators. The oven is made with a partition which divides it into two parts, and one part can be filled with the wet cans while the other side is being emptied of the dry cans.

48

Protection From Dust

After the cans are dried, a pasteboard insert should be placed in the cap holes to keep the dust out of them while they are in storage during the winter and spring. One of the can companies at least, supplies these pasteboard inserts or inverted caps with their cans, and they fit snugly into the cap hole.

Testing Used Cans

Before the old cans are used the following year they should all be tested for pin hole leaks and the leaks patched up. They should then be re-tested and not used until they are shown to be tight under air pressure when immersed in water. This can be done during the spring and summer months, and the packer can then be reasonably sure that his old cans are in good shape for the next season’s run. If the cans are very old and the seams are very rusty, new pin holes will be opened up every time air pressure is put in them. Such cans should, of course, be thrown away.

Packing 10’s and 1’s

Pulp packed in No. 10 and No. 1 cans is usually filled with a rotary filling machine, although No. 10’s are often filled from a single line pipe and the filling can be done quite rapidly where the operator is expert at the job. If it is necessary to top any of the cans, it should be done from a small jacketed kettle which is connected up near the filler, so that the pulp used for topping can be kept hot. The cans should be put through a can washer and steamer before filling.

No. 1 pulp should have a much larger call from the consumer than it has, and it could be made very popular if a high standard of quality was set and maintained, and the advantage of its use advertised to the housewife. Many consumers who have purchased the small size pulp or puree for use in making tomato sauce, spaghetti, tomato soup, etc., have been disappointed in the quality, and after one trial have gone back to canned tomatoes for these purposes.

For No. 10’s a process in boiling water of 40 minutes in the old style straight process tank is usually considered sufficient; this is to be followed by a very gradual cooling in water so that the cans will not buckle badly. For the No. 1 size a 20–minute process in boiling water is sufficient. It is always well to cool 49the cans about ten minutes so they will not retain the heat a great length of time. A better color and flavor can be maintained if the goods are cooled in water after processing. If a continuous agitating cooker is used for processing the lengths of time given above can be cut down at least 60 per cent.

Packing Barrel Pulp

Barrel pulp is scarcely being packed any more, as the barrel has shown itself to be unfit for pulp which is packed without preservative. The use of barrels today is usually only resorted to in emergency cases when cans for the purpose are not available. If the pulp is to undergo long storage and shipment, or any great amount of handling, barrel goods will usually show quite a big loss, not only because much of the pulp is spoiled so that the spoilage is evident at once upon inspection, but because of the growth of yeasts and bacteria in the pulp while it has been in storage, and because of loss of color due to the action of air seeping into the barrel. Wooden barrels as a rule are not absolutely air tight, and it is hard to make them so.

I have packed pulp in good uncharred whisky barrels, using 5 lbs. of salt to the barrel, and rolled the barrels to a sheltered place where they would not be disturbed until they were ready to open, and after two or three months’ storage the pulp was all right. If this pulp had been moved, or held until a spell of warm weather came on, it is doubtful if it would have shown up so well. The barrels should be washed out well and steamed for about five minutes before being filled, and the bungs should be burlapped.

Metal Drums

Ingot iron drums, such as are used for shipping oil, have been recommended for tomato pulp and I have tried them, but they will not do, as the tomato acid dissolves too much of the iron.

A Method of Preserving Pulp in Barrels

As a method of preserving pulp in barrels one packer for a number of years put hydrochloric acid in it. This, being a strong acid, is also quite a good preservative, and evidently kept the pulp in good shape. When the pulp was worked up, enough bicarbonate of soda was added to neutralize this acid, and the result of the neutralization was sodium chloride, or common salt. 50There evidently could be no objection made to this from a pure food standpoint, as none of the acid was left in the pulp after the neutralization, and sodium chloride is a common ingredient of pulp. However, the process darkened the pulp, which was an objection. As to whether or not the flavor was impaired by this treatment I do not know.

51

CHAPTER VII
THE MICRO-ORGANISMS OF TOMATO PRODUCTS; THE ATTITUDE OF THE PURE FOOD AUTHORITIES TOWARD THEM; AND THE INTERPRETATION OF ANALYSES

Micro-Organisms; What They Are

By micro-organisms we mean molds, yeasts, bacteria, and their spores. The term “micro-organisms” takes in all of these.

This chapter will deal with the subject in as short and concise a manner as possible, with the object of giving the manufacturer a working knowledge of it that will help him in his everyday factory routine. Although volumes have been written about micro-organisms in food, it is not necessary for the packer of tomato products to have an accurate, detailed scientific knowledge of the subject in all its ramifications, but a general understanding of it will suffice for practically all purposes.

What are molds, yeasts, spores, and bacteria? Are they animals or plants? Where do they grow, and under what conditions do they multiply most rapidly? Are they harmful, or are the kinds found in tomatoes all harmless varieties? If they are harmless, why does the government object to them? Why is a product containing a certain number considered all right, while when a larger number is present the product is said by the government to consist in whole or in part of a filthy, decomposed, putrid vegetable substance? Aren’t such foods as Roquefort cheese, cottage cheese, buttermilk, and sauerkraut fairly swarming with the same kinds of germs as tomato pulp? Aren’t these foods all considered healthful? Then why object to these germs in tomato pulp? Aren’t the germs all killed by the boiling, anyway? These are questions often asked by pulp packers, and it is hoped that the following will throw some light on the subject.

Molds, yeasts, spores, and bacteria are very tiny plants, not animals. They are so small that they can only be seen by the naked eye when there are very large masses of them together, consisting, in the case of bacteria and yeasts, of hundreds of 52millions of small individual plants, and in the case of molds, of many individual mold plants closely massed together.

You have all seen large tufts of white mold on tomatoes, and black mold covering a loaf of bread, but you probably did not realize the enormous numbers of individual mold plants that were present, or the rapidity with which they multiplied themselves. You have all seen swelled cans of tomato pulp, and after the cans were opened you have noticed the bubbles rising in the pulp, and have noted the very sour taste and often an extremely disagreeable odor. In every thimbleful of that sour pulp there were hundreds of millions of bacteria and yeast cells, so small in size that many thousand could collect at the same time on the point of a pin and they would not be noticed by the naked eye. It was these tiny bacteria and yeast plants which caused the physical and chemical changes in that pulp. Just as a parasitic vine winds itself around a tree and sucks the life out of it, so these millions of bacteria and yeast plants sucked all the goodness out of this tomato pulp, and left nothing but sour, decomposed tomato fiber, acid, and foul-smelling gas.

Molds

The structure of the mold plant is similar to that of a very small vine, the branches of which are many and are closely massed together. The tiny threads or filaments of mold resemble the vine and its branches. These threads keep sending out new shoots which spread rapidly all over the surface the mold is growing on, and the fruit of the mold plant, which is called spores, is similar to the little berries which grow at the ends of the branches of a vine. These berries are the fruit of the vine; spores are the fruit of the mold plant. Just as the berries contain seeds which reproduce the plant, so the tiny spores contain the seed which will reproduce the mold plant. These spores grow at the end of the mold threads or branches, and when ripe, either fall on the surface directly beneath, or are carried away by a breath of air and move along with the dust.

The spores of the mold plant will remain alive for months in a dry state, floating in the air, or if the air be very still, falling to the surface. The air everywhere is full of them, and as soon as they light upon a moist surface, such as tomato juice, for example, which contains nourishment for them, they begin to send out shoots of mold threads and reproduce another mold plant.

53

Fig. 4.—Mold filament from catsup. (×150.)

Mold grows most rapidly upon a warm surface, preferably about the temperature of the human body. It will not grow on a surface which is at freezing temperature, or on a very hot 54surface. Under these extremes of temperature it is unable to multiply itself. Boiling kills the mold plant, and continued boiling of 15 minutes or more also kills the seeds or spores of practically all species. That is one reason why it is desirable to bring peeled tomatoes or tomato juice to a boil as soon as possible—so that the mold and mold spores which are always on these surfaces will be killed before they have an opportunity to grow.

There are many different species or varieties of mold plants which thrive on tomatoes and tomato pulp, but they are all very similar; they reproduce themselves in exactly the same way, and they are all arrested in their growth by extremes of temperature, and are killed by continued boiling. It should not be thought, however, that boiling for a very few minutes will kill all mold spores, as they have a tough surface which has considerable resistance to heat. I have seen 5–gal. pulp packed which was only given a very short boil on account of low steam pressure, and molds grew in the sealed cans after packing to such an extent that the pulp all had to be thrown away. It is safe to assume, however, that a 15–minute boil will kill mold spores and prevent the growth of molds in the cans after they are sealed, providing, of course, that the pulp is filled hot into cans which are clean and almost sterile.

Bacteria

Bacteria and yeasts are very much smaller plants than molds. While an individual mold plant, growing as stated above like a very small vine, branches out and spreads over considerable surface, bacteria (that is, those forms in which the pulp packer is interested) are very short, single rods, which, when multiplied in size 500 times by the microscope, appear to be from 1
32
to ⅛ of an inch long. Yeasts, when multiplied in size 500 times, usually appear to be from two to five times as large as a pin head.

The rod-shaped bacteria referred to above are mainly the lactic acid, and acetic acid bacteria, both of which produce fermentation in tomato products. The lactic acid germ is the same one which causes milk to sour, while the acetic acid germ is the one which produces the acetic acid of vinegar. There are many other kinds of bacteria in tomato pulp, many of which are small, round cells. However, the bulk of these probably come from the soil and are natural to the tomato, and are not counted when the number of bacteria per cubic centimeter are estimated. The rod-shaped types indicate fermentation.

55

Fig. 5.—Rod-shaped bacteria from tomato pulp, common in bad catsups. (×500.)

Bacteria reproduce themselves with amazing rapidity. It has been found out by watching them multiply under the microscope that under favorable conditions one germ reproduces itself every 30 minutes, and in some cases reproduction is known to have been even more rapid than that. The method of reproduction is by simple division. The rod-shaped bacterium is just like a match in shape, only many thousand times smaller, and in the space of about 30 minutes it will divide itself 56in the middle, thus changing itself into two shorter rods. Each of these rods grows in length, and each of them then divides, making four rods. In 30 minutes more the four rods change into eight, etc. It is the simplest method of reproduction there is.

Bacteria also have another method of reproducing themselves which they resort to when conditions become unfavorable for their growth and they can no longer multiply themselves by the simple division method. Such an unfavorable condition would be the drying up of the moist surface on which they are growing. In this case the rod-shaped bacterium forms one or more spores within itself. These bacteria spores are somewhat similar to mold spores, but are much smaller. However, they are only produced by bacteria under unfavorable conditions, while the mold plant produces them under all conditions. The bacteria spores, like mold spores, have a tough surface which gives them high resistance, and they contain the germ of bacteria life which can reproduce the species when favorable conditions for growth are again encountered. The bacteria spores, therefore, float through the air as do the mold spores, remaining in the dry state without nourishment for months at a time, and as soon as they light upon a moist surface containing the elements for growth, even to a very small degree, they reproduce the rod-shaped bacteria form, which begins to multiply itself again by the simple division method.

Although most bacteria spores are killed by boiling for 10 or 15 minutes, there are a few species of extremely high resistance which have been known to remain alive after several hours’ boiling. Spores of this nature are infrequent, however, and the packer might as well forget that they exist. Not one case of spoilage out of a hundred is caused by the presence of such spores, and if all food products were cooked a length of time sufficient to kill all bacteria spores which might possibly be present, the foods would be cooked to death, and unfit to eat.

Yeasts

Yeasts are very tiny individual cells, and multiply by budding, instead of by simple division, as bacteria do. Instead of the yeast cell dividing in half, thus producing two cells, it remains intact, but a bud forms on its outer surface. This bud grows in size until it becomes almost as large as the cell which produced it, and then it separates from the mother cell, and 57we have two yeast cells. Each of these two cells then produces buds, which again separate, and so on. Like bacteria, the multiplication is very rapid under favorable conditions. Favorable conditions for yeasts and bacteria are the same as they are for mold, that is, a warm temperature, preferably near blood heat, and a moist substance which is not too strongly acid, and which contains the elements necessary for growth, preferably the natural sugar of fruits and vegetables.

Fig. 6.—Yeasts and spherical bacteria from decaying tomatoes. (× 500.) [The oval bodies are the yeasts, some in budding stage; the bacteria appear as small spheres, or pairs of spheres.]

Yeasts are the principal gas-forming agents in the fermentation 58of pulp. In the production of this gas they consume the natural sugar of the tomato. They will multiply by the budding method described above as long as they are in a medium which is favorable for their growth. As soon as this medium drys up, or for some other reason becomes an unfavorable medium for the multiplication of the yeast cells, the yeasts resort to spore forming, just as bacteria do. These spores are formed within the yeast cell, and when the cell wall breaks the spores pass off into the air. Like all other spores, they have a high resistance, and will float around in the dry state and remain alive for a very long time. When they light upon a medium in which they can grow they reproduce the yeast species, in the same manner in which the bacteria spore reproduces the bacteria species from which it was derived.

Spores

The spores, then, which are found in tomato products are of three different kinds, namely, mold spores, yeast spores, and bacteria spores. The greater number are almost always mold spores, since the mold plant produces spores under all conditions, while yeasts and bacteria only produce them under unfavorable conditions. When microscopical analyses of tomato products are reported, the mold spores and yeast spores are included with the yeasts in the term “Yeasts and Spores.” This is because a large number of the spores are very similar to yeast cells in appearance, and as it would be a laborious process for the analyst to separate them, the yeasts and spores are included in one figure, which greatly simplifies the analysis. The bacteria spores are not included in the count of “Yeasts and Spores.”

How Germs Retard Their Own Growth

We will say that we have stacked away a 5–gal. can of pulp which contains several living spores of bacteria, as is apt to be the case, since the air is full of them, and the pulp is constantly open to contamination from the air after it is cooked; also the spores may be in the empty cans at the time they are filled. Why is it, since these few spores are alive, and in a favorable medium for their growth, that the rod-shaped bacteria forms which they produce do not multiply to such an extent that they will ferment the can of pulp. It was stated above that bacteria do not multiply in a strongly acid medium. 59Since the bacteria produce acid as a by-product of their own growth, they surround themselves with an acid medium, and they thus retard and finally stop their growth by the product of their own reproduction. When this acid medium reaches a certain strength the bacteria can no longer multiply, and if that can is not moved until used, the chances are it will be all right when opened. But if the can is moved, the contents are agitated, and these living bacteria are shaken away from the acid medium in which they have been suspended, and they are shaken into a fresh, sweet medium in which they can again begin to multiply. It may therefore follow that if this can is moved several times it would be at least partly fermented when opened, while if it was left alone it would have remained sweet. This illustration shows the desirability of moving pulp as little as possible, and as carefully as possible when moving becomes imperative. The lack of air in the can will, of course, also retard bacterial growth, but there is usually a small amount of air in the can, and many species of bacteria do not need any air whatever for their growth.

Fig. 7.—Mold spores and filaments. A type frequently found in decaying tomatoes. (×300.)

60

Rapidity of Growth

Yeasts and bacteria multiply more rapidly than do the molds, and that is why pulp which is made from tomatoes or tomato peelings which are handled slowly or carelessly usually shows a high content of yeasts and bacteria, while the molds may be low. As a rule, most of the mold found in pulp was present in the original tomatoes, and is found in the pulp because it wasn’t eliminated in the sorting. But, as a rule, tomatoes are not full of yeasts and bacteria unless they are very soft and mushy, and it is evident on looking at them that they have fermented to some extent. If pulp contains a high count of yeasts or bacteria it usually means that this fermentation took place in the factory at some stage in the manufacturing process, or that the product has been contaminated by fermented tomato substance lodged in pipes, troughs, and conveying equipment. Often it is due to delay in getting the tomato stock to a boil. The laxness in this regard in some factories is surprising, and their pulp is almost always high in yeasts and bacteria.

When you consider the extreme rapidity with which these germs multiply, the folly of allowing tomato peelings or tomato juice to be very slowly conveyed to a large tank for an hour or more before the steam is turned on becomes apparent. Much has been written about the rapidity of bacterial reproduction, and yet extreme delay in working up tomato stock continues in many plants, and we frequently see bacteria counts of a hundred million or more per cubic centimeter, all of which could be easily avoided if the packer would just make up his mind to get to the bottom of the cause and apply the simple remedy.

Just as an illustration we will say that we are putting up trimming pulp, and the tomato receipts are rather light and the peelers are working slowly, or that there aren’t many peelers working. The trimmings are passed along on a belt conveyor 61where they go to a bucket carrier and are lifted to a large cypress tank with a coil. They drop into the tank slowly, and it may take two hours for the coil to be covered so that the steam can be turned on; or after a foot or two of the trimmings have been put in the tank it is lunch time, and it is an hour before the filling of the tank continues. This may make it three hours before these peelings are brought to a boil. Suppose at the time those peelings go into the tank they contain enough bacteria so that if they were cooked at once, the pulp would run 10 million to the cubic centimeter. This is very probable. However, they are not cooked at once and at the end of 30 minutes you have peelings which, when condensed and cycloned, would show close to 20 million bacteria. In an hour the first peelings which entered that tank would yield 40 million, and in 1½ hrs., 80 million. This is on the basis of the bacteria reproducing themselves every 30 minutes. Even if they multiply much more slowly than that you can see that in the course of a little over an hour you are getting into dangerous ground, and in the course of two or three hours the bacteria have multiplied to such an extent that the product would almost be sure to be condemned if it was picked up by an inspector. If the tomatoes had quite a few soft spots in them when they were peeled it is very likely that the peelings would yield 20 million bacteria if worked up immediately, and then if delay of an hour or more comes on top of that you can see where you will be on the bacteria count. The yeasts are also probably multiplying at the same time, and the molds are growing to some extent.

Now what this packer should do is to put a small open steam jet in the bottom of his cypress tank, with four pipes running horizontally, as in a “breaking tank,” and turn on the steam as soon as the peelings cover these pipes, which lie right on the bottom of the tank. The peelings are thus kept at a boil until the steam can be turned on the coil, and then the steam from the open jet can be shut off. This is a very simple arrangement to make and will save no end of trouble.

It must not be thought that because micro-organisms multiply most rapidly in a warm medium they will not multiply in a cold medium, or one which is considerably warmer than blood heat—the degree of temperature most favored. The only safe extremes are 33 degrees F. for the lower extreme, and 150 degrees F. or above for the higher extreme. Anywhere between these two extremes of temperature there is danger of germ 62activity, and the nearer the medium is to 98 degrees F., the more rapid is the multiplication of the germs.

As tomato juice contains all the nutritive requirements for the growth of micro-organisms, and is not strongly acid, it is an ideal medium for them to grow in. There doesn’t seem to be any medium whatever that molds, yeasts, and bacteria prefer to tomatoes and tomato juice.

The Government Attitude on Micro-Organisms

What are the objections of the pure food authorities to the presence of large numbers of micro-organisms in tomato products, and how do they substantiate their objections? We know that all of these germs that grow in tomato products are harmless. Even if an occasional harmful germ should enter it would not be discovered by the method of analysis employed, and unless it was in the spore form and of extremely high resistance it would be killed by the boiling.

We know that buttermilk and sauerkraut are full of bacteria, and that the latter is also full of yeasts, and that these two foods are recommended by physicians as being particularly healthful because of the lactic acid they contain, which is produced by the lactic acid bacteria—the same kind that are condemned in tomato products.

In sauerkraut we know that these lactic acid bacteria and yeasts are killed by the cooking, just as they are in tomato products, which seems to make the two cases analogous. In buttermilk and cottage cheese, however, they are alive and growing, and these products are considered healthful. Roquefort cheese is full of a green mold which gives it its characteristic flavor and color, and it is considered healthful. Then why object to molds in tomato products?

The difference is that in one case we have a controlled and regulated fermentation, which is confined to one or more species, which in combination with the characteristic elements of that particular food produce a healthful by-product or desirable flavor. In the other case we have an unregulated and uncontrolled fermentation, produced by a variety of species of micro-organisms. In tomatoes we have a number of species of molds; we have a great many different species of wild yeasts, many of which produce by-products of a disagreeable character; and we have a number of species of bacteria, chief among which are the lactic acid and acetic acid types, which change the 63tomato pulp from a sweet product, as it should be, to a sour one.

The objections of the government are therefore more confined to the by-products which are produced by the growth of these germs than to the germs themselves. It is the contention that the by-products produced in tomato products by many of these germs are such as to be classed as a filthy, putrid, decomposed vegetable substance. Just how many of these germs a product may contain before it is sufficiently decomposed to be classed as filthy and putrid is a question. The government tries to play safe in the matter, and give the packer a fair deal. When they condemn a tomato product as unfit for food it isn’t because it contains only an average quantity of micro-organisms, but because the number of germs present, and the decomposition produced, is such as to indicate extreme laxness in sanitation and lack of care in the manufacturing processes, or the admittance of quite a large percentage of rotten material. The spoilage may be either primary or secondary, that is, it may be due to the use of a lot of partly rotten, moldy tomatoes at the start, which were not carefully sorted, or it may be due to fermentation which takes place in the factory, caused by extreme delay or by unsanitary equipment. In primary spoilage the mold is usually very high and the yeasts and bacteria may be low, while in secondary spoilage either the yeasts or bacteria, or both, will be high, and the molds may be low. This will be explained further later in this chapter.

Government Regulations

When the government regulations on tomato products were first published it was stated that for catsup the microscopical counts should not run above the following:

Molds in 25% of the microscopic fields.
Yeasts and spores—25 in 1/60th cubic millimeter.
Bacteria—25 million per cubic centimeter.

It was also stated that pulp which was to be converted into catsup should not contain more than half this number of micro-organisms, as allowance must be made for the increase due to concentration.

The fact that pulp and catsup can be made to keep within these limits has been demonstrated a number of times, but I have yet to see a season’s run, all of which, or even 50% of which, will come within these limits. It is easy enough to run 64individual batches which by careful supervision over the sorters will have a very low count of molds, etc., but regardless of the precautions a man will take to safeguard himself, there is almost bound to be at some time in the season some manufactured goods that will run over these limits. The packer, however, should keep these limits in mind as an ideal to work to, not on one batch, but on a season’s run, but it is not an easy goal to attain, and in my opinion the government doesn’t expect it to be attained very often. The packer has to contend with a glut of tomatoes in September almost every year; it is difficult to get good help to do the sorting and to supervise the sorting; unfavorable weather conditions make the tomatoes moldy and full of rot; delayed shipments come in in very bad condition; machinery breaks down at the most unexpected times, and necessitates delay in the factory at critical moments; the help get careless about the cleanliness of the equipment, and run through some goods before the unclean parts are discovered; accidents occur in the power plant and the plant may have to run on inadequate steam for two or three days, etc., etc. Every packer has been up against these things, but as a rule pure food inspectors have not, and they are sometimes slow to appreciate the packers’ side of the case. This is particularly true of local health inspectors who have had no experience with food manufacturing problems, and sometimes permit a packer to receive a lot of unfavorable and unjust newspaper publicity.

The heads of the government pure food departments, that is, the high officials of the Bureau of Chemistry, intend to play very fair with canners, and it must be admitted that they will go a long way with a man who is making an honest and determined effort to pack his goods in the right way, and who is taking advantage of the opportunities he has to post himself on modern methods of packing his products. The packer should remember that the product of a plant that is run in an unsanitary way is always under suspicion by the government, and that shipments from these plants are the ones which are apt to be watched by the government agents. The government can go into any railroad office, whether government or privately controlled, ask the agent to show them the bills of lading on shipments, and notify their inspector at destination to take samples of the car on arrival.

Getting back to the subject of established limits for micro-organisms, in the fall of 1916 the government authorities named the point at which they were recommending condemnation proceedings. 65The notice, which was issued by the Bureau of Chemistry of the Department of Agriculture, stated that at the present time they were not advising condemnation of tomato products unless the micro-organisms exceeded at least one of the following counts:

Molds in 66% of the microscopic fields.
Yeasts and Spores—125 in 1/60th cubic millimeter.
Bacteria—100 million per cubic centimeter.

This is a long way from the limit of 25 on each count, which the government formerly stated should not in their opinion be exceeded. At the same time, however, Mr. Howard of the Bureau of Chemistry made a statement to the effect that they still considered it possible under manufacturing conditions to make these products to comply with the original 25–25–25 limit, and that it was their intention to approach the original limits more closely. It should not be understood that the government thinks that products which run below the higher limits are good enough, because they decidedly do not, but at present they are not recommending for condemnation those products which run below these figures.

State Food Officials

What about the state pure food boards? Do they follow the government lead in this matter or act according to their own ideas? Some follow the government and some do not. Some state officials are quite lenient while others are very strict. A product which one would pass as being all right, another would condemn. I have seen state officials condemn catsup which I am quite sure the government would pass, although it wasn’t as good as it should have been. If the manufacturer had cared to carry it to the courts there would have been an even chance of him winning out. However, the loss of prestige due to the publicity of such action is often greater than the loss of the manufactured goods would be and as a rule the manufacturer does not contest the case. Publicity is a powerful whip in the hands of the government and state officials.

Checking Up Daily Runs

What is the manufacturer to do about checking up his daily runs of pulp and catsup during the season? Is it better for him to send his samples to a commercial laboratory, or to employ an analyst to work at his factory, or to do the best he can 66in the sorting and in the factory routine, assuming that if he uses proper care here his products are sure to analyze all right and he doesn’t need to worry.

This problem has been discussed a great deal. To employ an analyst on the place is usually rather expensive for a small packer if the man is fully competent to do the work, and unless he is, he is worse than useless. To send samples to an outside laboratory often involves considerable delay in getting the reports, and by the time the results are known the goods are stacked away and almost forgotten. If they ran high in micro-organisms there was some cause for it, and that cause should have been remedied at once, and probably would have been had the analysis been reported within a day or two. Therein lies the chief advantage of getting an analysis quickly. An analysis on products which have been run a week previously is, of course, better than nothing, but it is far from being satisfactory.

The third method, that is, relying upon care in the factory and having no analysis made, was at one time recommended, but it is not now considered good policy. In a great many cases where this policy was adopted it was found out when it was too late that much of the goods that was thought to be all right was decidedly off. There were undiscovered errors in the manufacturing process, and they remained undiscovered because there was no means of checking them up.

My advice in this matter is to have an analyst trained for this work and employ him at your factory if you are so far from a reputable analyst that it will take some little time to get a report. The Research Laboratories of The National Canners Association at Washington is undertaking the training of men in this analytical work for those companies that desire it. If the packer is close enough to a reputable analyst to get a report within a day or two he will find that such an arrangement is usually satisfactory, and he should rush his samples with all possible speed, and request the analyst to wire the report if the analysis is high.

Then there is the problem of what laboratory to send samples to. Will any reputable chemical or bacteriological laboratory do for this purpose? Many packers have made a mistake right here, and the analyses they have received have been worse than nothing because they were not only grossly inaccurate but misleading. They have gone on thinking their goods were all right and have found out later by some accident that they were all wrong.

67Although an analyst may be a good microscopist and fully competent to do general bacteriological or biological work, he cannot possibly get a correct microscopical analysis on tomato products unless he is familiar with the Howard method as used by Mr. Howard. This means that he must use the exact technique that Mr. Howard uses in his laboratory. Every manipulation, no matter how slight, must be made in precisely the same manner that Mr. Howard makes it; otherwise the results are worthless. An analyst, in order to be competent to use the method, must either work with Mr. Howard until he can check him on all kinds of samples, or he must work with one of the analysts that have been closely associated with Mr. Howard in this work. If the analyst has had factory experience and can assist the packer in running down the causes of high counts, that is a great advantage.

How to Interpret Analyses

We will say that a sample of pulp taken from one of the daily runs has been sent to an analyst, and the report on it is as follows:

Molds in 70% of microscopic fields.
Yeasts and Spores—10 in 1/60th cubic millimeter.
Bacteria—12 million per cubic centimeter.

What does that analysis mean?

The first item means that the analyst examined through the microscope 50 views of a thin layer of the pulp on a slide, and that out of these 50 views, 35 of them contained sufficient mold to count them as positive fields, so that molds were found to be present in 35 out of 50 fields, or in 70% of them.

The second item means that from another prepared slide of this pulp (which slide is so ruled that the volume of liquid on any given space of it can be measured) there were found to be 10 yeasts and spores in 1/60th of a cubic millimeter. A cubic millimeter is about ⅕th of a drop, and 1/60th of a cubic millimeter is therefore about 1/300th of a drop—an exceedingly small quantity, almost inconceivable. The best way to conceive it is to think of one drop of pulp mixed in 299 drops of water, and a drop taken from this exceedingly dilute mixture. In this almost inconceivably small amount of pulp there were 10 yeasts and spores.

The third item means that in the same slide in which the 68yeasts and spores were counted there were found to be 12 million rod-shaped bacteria in each cubic centimeter. A cubic centimeter is about 20 drops.

More important to the packer than the above, however, is the interpretation of the analysis from the factory standpoint. What does it indicate about the way the tomatoes were handled and worked up? The molds are high and the yeasts and bacteria are low. It means that in all probability the tomatoes were not properly sorted, but that they were worked up rapidly enough after the sorting. It indicates primary spoilage, but little or no secondary spoilage. If there had been secondary spoilage, either the yeasts or bacteria or both would be high. It is a tip for the packer to watch the sorting belt closely.

We will say that the report on another sample is as follows:

Molds in 20% of the microscopic fields.
Yeasts and Spores—70 in 1/60th C. M.
Bacteria—110 million per C. C.

What is indicated by that analysis?

It shows that the tomatoes were probably sorted all right, and that the primary spoilage is probably small, but that there is a very strong indication of secondary spoilage, that is, spoilage which took place in the factory. Unless the tomatoes were extremely soft and partially fermented when they were run up, there was probably great delay at some stage in the manufacturing process, or some of the equipment was in a very unsanitary condition and the fresh goods became contaminated with fermented tomato substance which was carried over with it a little at a time.

Suppose the analysis ran as follows:

Molds in 20% of the microscopic fields.
Yeasts and Spores—25 in 1/60th C. M.
Bacteria—110 million per C. C.

This also indicates secondary spoilage. The same conditions are indicated in this analysis as in the preceding one. The only difference is that instead of the fermentation being conducted by both yeasts and bacteria, it was conducted by bacteria alone. In other cases the yeasts and spores may run high and the bacteria low, indicating that the fermentation was one of yeasts, and not bacteria. If all three of the counts run high it indicates that either the tomatoes were very moldy and soft to begin with and were improperly sorted, or that they were 69both improperly sorted and that the pulped juice was improperly handled in the factory. It is almost a sure indication of primary spoilage, and points very strongly to secondary spoilage also.

There has been considerable criticism of the Howard method of analyzing tomato products, and it cannot be denied that the method is far from being ideal. It is the best method that we have, however, and the packer can be sure of one thing, namely, that if his products are made right they will never show a high test by this method. It is true that all improperly made goods do not give a high test by this method, and that is one objection to it. These cases, however, are infrequent. The method of estimating all three counts has also been criticized as being unfair and not in accordance with the best bacteriological practice. If anything better was suggested the Bureau of Chemistry would no doubt be glad to adopt it, but so far as I know, no improvement has been offered.

71

PART II
The Manufacture of Tomato Catsup, Chili Sauce, Trimming Pulp, and Tomato Soup

73

CHAPTER VIII
A DISCUSSION OF PRESERVATIVE AND NON-PRESERVATIVE CATSUPS, AND THE MOST FREQUENT CAUSES OF INFERIORITY

Unfavorable Publicity on Preservatives

When the pure food movement first swept over this country the subject of preservatives got very wide publicity, and the sensational press fed the people up on the news that their food was being doctored with all sorts of chemicals. Tomato catsup came in for its share of this publicity, and the two preservatives most commonly used in catsup, namely, benzoate of soda and salicylic acid, were classed among the chemicals that were ruining our stomachs.

Although salicylic acid has been ruled out, benzoate of soda is still being used to some extent. The great bulk of the catsup now being manufactured, however, is made without preservative, because packers realize that a good percentage of the public became prejudiced against preservatives of all sorts during the pure food agitation, and a great many are still prejudiced against even so mild and harmless a preservative as benzoate of soda. There are those who still maintain that this preservative is or may be harmful when used to the extent of one-tenth of one per cent, which is the permissible amount according to the federal law; however, the Remsen board appointed by President Roosevelt to decide the benzoate question unanimously decided that when benzoate of soda is used in condiments to the extent of one-tenth of one per cent it is perfectly harmless. It was even found to be perfectly harmless in much larger proportions.

These facts, however, have never reached the masses, most of whom never heard of the Remsen board, and even if they had, a great many people would still remain prejudiced. Most packers think, therefore, that it is best to play safe and make their catsup without chemical preservative, relying solely upon sterilization to keep their product from spoiling up to the time the bottle is opened, and upon so called “natural” preservatives to keep it from fermenting after the cork is drawn.

74

“Natural” Preservatives

That these “natural” preservatives, when present in large quantity, as they sometimes are, may be more harmful to the stomach than a minute quantity of benzoate of soda, is surely a reasonable supposition. I have known of people getting sick directly after a meal by eating a good deal of catsup of high acidity on a steak and drinking milk along with it. At least the sickness was attributed to this combination, and it doesn’t seem unreasonable. A high acetic acid acidity will keep catsup as well or better than ⅒th of 1% of sodium benzoate will. There are catsups on the market made “without preservative” that would probably never ferment, even if exposed to the air for a year, because they contain so much acetic acid. The raw acetic acid is, of course, not permitted to be used, but a very strong distilled vinegar is used containing about 10% of acetic acid.

The “natural” preservatives of catsup are the vinegar, sugar, salt, and spices. The vinegar probably exerts 80% of the preserving property, the sugar about 10% and the salt and spices together 10%. The sugar would have much greater preserving properties if it was present in higher concentration as in preserves or jelly. It is doubtful if the preservative properties of sugar are very great when it is only present to the extent of about 10 or 15%, and the product is of a liquid nature like catsup.

Proper Acidity

The proper thing for a packer of non-preservative catsup to do is to strike a happy medium on acidity; use enough vinegar to keep it under almost any conditions, but not so much as to almost entirely mask the tomato flavor and require sugar in such large quantity as to make the final product resemble tomato preserves. A good total acidity is 1.25%, figured as acetic acid. This figure includes both the acetic acidity of the vinegar and the natural acidity of the tomato. If a catsup is properly manufactured, this acidity should answer practically all purposes. The catsup packer should not be expected to make catsup which will keep in perfect condition in restaurants where absolutely no care or intelligence is used in handling it. This class of restaurant proprietor is fortunately in a decided minority, but rather than make a catsup that will be so strongly acid that it will stand up under his treatment, he should be educated to use a little care in the handling of the catsup.

75The following is a common abuse in restaurants. We will say, for example, that three catsup bottles are on the tables containing from a half inch to two inches of catsup. The waitress does not like to put a bottle which is almost empty before a customer, so she pours the contents of two of the three bottles into the other one. The catsup in these bottles may be a week old. When the contents of the bottle containing this mixture are almost gone she pours the rest of it into another partly filled bottle and so on, so that some of the bottles may contain catsup which is over a month old, and in a warm, poorly ventilated restaurant it is apt to start fermenting. The proprietor should be educated to the fact that when using a non-preservative catsup he must not pour it from one bottle to another, but must leave it in the original container until almost gone, and then use the balance for making tomato sauce, spaghetti sauce, and for flavoring soups, gravies, etc.

One advantage the packer using benzoate of soda has over the non-preservative packer is that he can make his catsup so that it will keep properly and at the same time maintain the natural tomato flavor to a high degree. The tomato flavor is maintained because it is not largely masked by the use of a lot of vinegar and sugar. The packer using benzoate rarely uses more than a third as much vinegar or half as much sugar as the non-preservative packer.

Many non-preservative catsup makers who read this will think a total acidity of 1.25% is higher than necessary. They will say to themselves that the acidity on their catsup never runs over 1%, and they have never had any complaints. It may be that they do not have a very big restaurant trade where so many of the fermentation complaints come from, or that they do not have a very wide distribution of their product so that it is subjected to all sorts of climatic conditions, or it may be that they are having a case of fermentation now and then in households but never hear about it. In that case the housewife usually merely drops that brand and buys another one next time. But where a restaurant or hotel is having fermentation trouble, the manufacturer is sure to hear about it quick.

It is wise to allow a fair margin of safety, and my experience is that a total acidity of 1.25% is not too high. Quite a few catsup packers maintain an acidity between 1.50% and 1.75%, and one large concern has for years kept the acidity of their catsup around 2%. This, however, seems unnecessarily high. Acidity will be discussed further in the next chapter.

76

Processing Catsups

Non-preservative catsups should either be processed after filling and sealing, or the bottles should be sterilized before filling and the catsup filled very hot without giving an after-sterilization. Catsups made with the addition of benzoate of soda are not processed; however, the fact that benzoate is used should not cause laxness at any stage in the manufacturing process. It is a mistake for manufacturers to think that ⅒th of 1% of benzoate of soda will keep their product in perfect condition regardless of how careless they are in their manufacturing processes.

Advantage of Benzoate Catsups

Some brands of benzoate catsup enjoy a very good sale, and are popular with those who do not like a strongly acid and sugary catsup, but prefer one which is mild and in which the predominating flavor is one of tomato blended with mild spicing. A restaurant using a catsup or chili sauce of this character will almost always use more of it than they will of a strongly acid catsup which is highly spiced. If the catsup is mild, more of it is usually used at a time.

Causes of Poor Color and Flavor

The chief objections to most of the catsups on the market are a lack of bright red color, and a more or less scorched taste. This may be due to a number of causes. The brownish color may be due to underripe tomatoes, or to tomatoes which were picked during a spell of cold, dark weather. It takes sunshine to give tomatoes a brilliant color, and when there is an absence of sunshine for a week or ten days many of the tomatoes will rot before they attain a bright red color. At such times during the season it is impossible to get a brilliant color, but if the packer will exercise as much control as he is able to over the picking, persuading the farmers to hold their tomatoes back just as long as possible, he will not have a great deal of such goods and he can get a fair color out of what he does get, out of these dull colored tomatoes. He should be careful not to mix brownish tinted catsup with the brilliant red goods. If he will keep similar shades of catsup in the same shipment he is not nearly as apt to have complaints as he will have if he mixes different colors. It is even more important that all the 77bottles in one case should be very nearly alike. A grocer who receives a case of catsup all of which is very slightly off in color will usually not complain unless it is decidedly off. If, however, off colored bottles are mixed in the same case with bottles of a brilliant red color, the poor colored goods suffer greatly by comparison, and then there is apt to be a complaint.

The other causes of poor colored catsup are scorching at some stage in the manufacturing process and too much cooking. By too much cooking is not only meant too long a cook at one time, but also too much cooking in the aggregate. For example, a packer receives tomatoes of good color and he cooks them into pulp, which requires a cook of thirty minutes. He packs the pulp in No. 10 cans and sterilizes it about forty minutes, and he has a good colored pulp, as it has only received two short cookings. He stores this pulp for several months, and then makes it into catsup. It is reheated, which is hard on the color, as heat applied to cold pulp for five minutes to bring it to a boil seems to hurt the color as much as a half hour added on to the cook after the pulp is hot. After reheating, it is cooked into catsup, which requires about thirty minutes, and after being bottled it is sterilized at a high temperature for about an hour, which makes the fourth cooking those tomatoes get. This is what is meant by too much cooking in the aggregate. Too long a cook at one time will, of course, also darken the product.

Scorching is more frequent with catsup made from pulp than with that made from fresh tomatoes. Much of the catsup made from pulp, although not actually scorched, has a very faint scorched flavor to it.

It is hard indeed to make catsup from pulp which tastes like the goods which is bottled from freshly run tomatoes. It falls behind in both color and flavor. One finds that color and flavor are very closely associated in catsup. A bright red catsup is practically always a fine flavored product, while a dull colored catsup with a brownish cast to it very frequently has a more or less unpleasant taste with the suggestion of being somewhat scorched.

Advantage of Direct Conversion of Tomatoes Into Catsup

Many catsup makers are doing away with winter packing almost altogether. They bottle at least 90% of their catsup direct from fresh tomatoes. Half of the remaining 10% is made from 50% fresh tomatoes and 50% pulp, the pulp being added about 78ten minutes before the cooking is completed. This fresh tomato and pulp mixture makes a much better flavored product than one can expect to get from straight pulp. Pulp can always be used in combination with fresh tomatoes at the beginning and at the close of the season when the tomato receipts are light.

Catsup made direct from tomatoes is not only of superior quality, but it can be manufactured at least 20c a dozen cheaper for the pint size than catsup made from canned pulp. In many cases the difference will run more than that. Packers who put up a general line of tomato products will do well to reserve their fresh tomatoes for catsup, and to use their pulp for bean sauce, spaghetti sauce, tomato soup, etc., all of which can be made better from pulp than one can make catsup from pulp.

Thickness

The thickness of catsups found on the market is fairly uniform, and there is rarely a cause for complaint on this score. When catsup is packed in cans, the thicker it is the better the buyer likes it as a rule; however with bottled goods excessive thickness is not a virtue but a cause of much annoyance to the consumer. It is better to have it just a shade too thin than too thick.

Spicing and Sweetness

Improper spicing of catsups is not a common fault either. Even where essential oils are used exclusively for spicing, a real good flavor can be had if the oils are properly administered. As to sweetness, many catsup makers are coming to the conclusion that the public is demanding a slightly sweeter catsup than was generally packed eight or ten years ago. There is very little doubt but what a composite sample from a half dozen prominent brands of today, if compared with a composite sample taken from the same brands ten years ago, would show quite an increase in sweetness. One of the largest selling brands on the market has a distinct sweetish taste, and the public, at least a large percentage of it, seems to like it. There are still many who like a tart or slightly sour taste, but the tendency is unquestionably in the other direction.

“Black Neck”

A rather common defect in bottled catsup is what is commonly called “black neck,” which is a darkened space in the 79neck of the bottle, all the way from a half inch to over two inches in depth. Several years ago I made a very thorough investigation of the causes of black necked catsup, and every thing seems to point to the fact that in nine cases out of ten it comes from leakage of air into the closure of the bottle. The space between the surface of the catsup and the top of the bottle should be a vacuum if the seal is perfect, as this space is left by the contraction of the catsup in the bottle when it cools. Many closures, no matter what style, do not seem to be entirely impervious to air, and the catsup gradually darkens as the air is gradually admitted. A suggestion for overcoming “black neck” will be given later under the head of “stacking catsup.”

General Attractiveness

The general attractiveness of the package is, of course, important. A cheap, unvarnished label which quickly becomes dirty looking, and a cheap tin cap which gets black and filthy looking on the inside after the catsup has been open a few days, do not enhance the sale of a product, and only make a very slight reduction in the manufacturing cost. The packer should by all means use either a re-tinned cap or an inside enameled cap. Ordinary plain tin caps should be absolutely barred, as they are entirely unfit for a bottled condiment which contains as much acid as catsup.

Although the remarks in this chapter have been confined to catsup, it should be understood that they apply equally to chili sauce, which only differs from catsup in that it is made from peeled instead of strained tomatoes, and is usually a little bit more spicy.

80

CHAPTER IX
A DISCUSSION OF THE INGREDIENTS OF CATSUP; WHEN AND HOW THEY SHOULD BE ADDED; AND THE AMOUNTS OF EACH PER 100 GALLONS OF FINISHED CATSUP

Practically all of this chapter will be devoted to non-preservative catsup. The use of benzoate of soda and the changes in the formula which its use involves will be briefly discussed at the end of the chapter.

Measuring the Volume of Tomato Juice

When catsup is being manufactured direct from tomatoes the tomatoes should be previously cycloned, either by the cold or hot process. I have never cooked catsup direct from crushed tomatoes, as it is evident that crushed stock is open to at least two objections. The first is that the finishing point would be rather hard to gauge accurately, due to the presence of so many peelings, and the second is that when the peelings and seeds are screened out by the finishing machine they would no doubt carry some of the ingredients with them, chiefly sugar, which would be a waste.

If the tomato juice is delivered to the catsup cooking kettle from a “breaking tank,” as it is in the hot pulping method, the volume of tomatoes to be used per batch of catsup is measured on the “breaking tank,” and the cycloned juice is delivered from this tank to the catsup cooking kettle as the condensation gradually allows more and more of it to be taken care of.

If the cold pulping process is used some other method of measuring the tomatoes for each batch must be used. One way is to have the catsup cooking kettle built high enough so that it can hold the entire volume of cycloned juice required for the batch without boiling over when the steam is turned on. The juice is then pumped over to a certain measure on the kettle before the cooking is begun. This requires very high cooking tanks. Another way is to take over as much juice as the kettle will hold and concentrate it, and then shut off the steam and take over another measured volume according to a gauge 81on the inside of the tank which reaches from top to bottom, and is marked off in gallons. If this method is used the cooking kettles need not be so high. Another way is to use a meter on the pipe line between the cyclone and the cooking kettles, which will register, within twenty-five gallons, the volume of tomato juice being pumped over.

It is, of course, an advantage to start the cooking as soon as the coil or jacket is covered, so as to kill growing micro-organisms as quickly as possible, and it is also an advantage to keep the contents of the kettle vigorously boiling from the time the coil or jacket is covered with the fresh juice until the batch of catsup is finished.

None of the ingredients should be added until all of the tomato juice for the batch is in the kettle, with the exception of the bag of spices.

It is usually not considered advisable to cook batches of catsup of over 300 gallons when finished. I have cooked as much as 400 gallons at a time, but it requires quite a long cook to complete the condensation unless the tank has a large surface for evaporation and a coil with a very large cooking capacity, and a high steam pressure is available.

Amount of Tomatoes

In discussing the proper amounts of the various ingredients to use, a batch of finished catsup of 100 gallons in volume, when measured hot, will be taken as the basis throughout this chapter.

The amount of tomatoes required to make 100 gallons of finished catsup varies according to the season of the year and the quality of the stock. If the tomatoes are watery, or contain so much rot that 25% or more must be cut away, that of course makes a big difference. If, on the other hand, the tomatoes are large and meaty, and contain scarcely any rot, a comparatively small amount of them are required. Taking tomatoes of average size, containing an average amount of solid matter, and from which 10% by weight of rotten material is sorted out, it is safe to figure on 37 bushels of tomatoes or 59⅝th bushel baskets for 100 gallons of finished catsup.

Keeping Batches Uniform

If the catsup batches are to be kept uniform in size throughout the season, as they should be, the quantity of tomatoes per 82batch will have to be changed slightly from time to time according to the amount of water they contain. The only safe way is to put a gauge on each cooking tank which marks the desired volume of catsup when cooked, and to vary the volume of tomato juice per batch to the extent which is indicated by the gauge. If the batches are running two inches low, the cook will know by a little experimenting just how much extra juice will be required per batch to make it right.

Having all the batches come out exactly the same in size is important, both in preservative and non-preservative goods. In the former, the percentage of preservative cannot, of course, be kept uniform unless the batches are kept uniform in size. In non-preservative goods it is advisable to keep the percentage of acetic acid—that ingredient upon which the keeping quality chiefly depends—as nearly uniform as possible. Of course, if a batch runs large, the acetic acid percentage will be low, while if the batch runs small, the acetic acid percentage will be higher than necessary. The spicing will also be more uniform if the batches are uniform in size.

Use of Spices in a Sack

Where the spices are put in a sack, the sack is usually tied to the coil, if this type of cooking tank is being used, and where a jacketed kettle is used, there being no place to tie the sack, it is usually just thrown on top of the boiling tomato juice and allowed to float around near the surface during the boiling. One concern uses a long pole which is suspended from overhead and reaches to within a foot of the bottom of the jacketed kettle. The sack is tied to this pole, and it is thus held down during the boiling. As to whether any flavor is actually lost by allowing the spice bag to float near the surface is a question. This could easily be determined by an analysis of the spice residue.

Use of Spices Direct and When to Add Them

As far as I know, whole spices are always used when the spices are placed in a sack, and when they are thrown into the catsup direct, ground spice is used. It is claimed by some that the latter method gives just as good results as the former, and that no advantage is to be gained by the use of sacks. As to whether or not this is true I cannot say, as I have never used ground spices in catsup with the exception of pepper, ginger and paprika. The reason for using sacks, of course, is to allow 83the flavor of the spice to be extracted without having the spices come in direct contact with the catsup. If you will macerate some ground allspice or cloves in dilute acetic acid for a while, you will notice the black substance which is extracted, and it is surely reasonable to suppose that at least some of this will be extracted in catsup when the ground spices are thrown in direct. As for the cassia, there probably would be no objection to the use of the spice direct.

The flavor of mace is lost by continued boiling, and the use of it in a sack which stays in the boiling liquid for thirty minutes or longer is a waste of the mace. If mace is boiled long in direct contact with the catsup it imparts a very bitter taste. The proper way to add mace is to throw it in direct in the broken form about three minutes before the batch is done. Ginger should be added at the same time as mace, as its volatile oil passes off very rapidly, and if cooked long it will practically all be lost by volatilization. As to the pepper and paprika, they are added direct in the ground form at the beginning of the cooking. Mustard is also said to be used in catsup, but it apparently isn’t used extensively.

Use of Spices in Two Batches

If the whole spices are placed in a sack it is a good idea to cook each sack of spices in two batches. In this way more of the flavor is extracted than would be taken out by one boiling. This can be proven by cooking a batch of catsup with no spice other than a sack of spices which has been previously cooked in a batch of catsup. Note the flavor which is extracted by the second cooking, and you will see where you are losing valuable material when you throw away a bag of spice residue after one cooking. Of course the cook will then have two sacks of spices in each batch—a new one and an old one, and he must mark them in some way so he can tell which is which when the batch is drawn off. A good way is to tie the new sack with a single knot, and the old one with a double knot. This method seems to be less confusing to the cook than any other.

It is also important to tie the spices in the sack loosely. If a cook is not instructed about this he will invariably tie a cord around the sack so close to the spices that there is no room for them to move around while the sack is being agitated by the boiling. Undoubtedly a better extraction can be obtained if the spices have freedom of movement in the sacks.

84

What Is Extracted

What we really get from the spices is a water extract. The acetic acid of the vinegar probably extracts a little more, but as the vinegar is only cooked in the catsup about three minutes, a great deal of extraction could not be expected from that source. Not only the volatile oils, but organic compounds called esters, and also some of the non-volatile oils are extracted from the spices. The volatile oils produce most of the flavor, however the esters also add to the flavor considerably. The non-volatile or “fixed” oil of cayenne pepper has quite a strong spicy flavor, although not nearly as strong as the volatile oil of cayenne. The fixed oils of cassia, allspice, and mace have no flavor at all.

Even though a bag of spices be boiled in two batches of forty-five minutes each, a great deal of their flavor is still left in them. This has been proven by chemical analyses of spice residues. Even quite a large percentage of the volatile oils still remain in the spice residue, and, of course, a larger percentage of the non-volatile or fixed oils. It is a question, however, as to whether the extraction of the volatile oil of these spice residues would be a paying proposition. So far as I know, none of the distillers of essential oils seem to be interested in them.

Storing Spices

Spices should not be held in storage for a long time, particularly in open bins, as some of their volatile oils pass off little by little into the air and are lost. This is especially true of cassia, either ground or broken. They should be stored in a dry place, as some of them are apt to mold if left in an atmosphere of condensing steam, and of course this mold would contaminate the catsup to some extent. I have seen mace which was in a very moldy condition due to its having been stored in the cook room for some time, and having collected moisture. Some of the milder varieties of pepper are also known to become moldy on exposure to extreme dampness.

Quality of Flavor

A great deal could be written about the quality of various varieties of the same spice. All of these varieties will not be discussed here but I will try to show how the packer is sometimes mislead by spice salesmen who show chemical analyses of their spices as positive proof of the actual value that they 85contain. As a matter of fact, the true value of a spice cannot be shown by a chemical analysis.

Take, for example, cassia. The finest flavored cassia is the Saigon cassia, which can be obtained in the thin quill, the medium bark, and in the thick bark. At the other extreme we have the China cassia, which is considerably cheaper than the Saigon. If the catsup packer is going to judge his spices according to strength, he may find that he gets more strength from the cheap cassia than from the expensive one. The chemical analysis may show that the China cassia contains more essential oil than the Saigon does. In fact, this is often the case. However, what about the quality of that essential oil? There is the point. The essential oil extracted from the Saigon is different from that extracted from the China cassia. It has a more delicate, refined flavor. Its flavor is more pleasing to the palate, and is free from “harshness,” and “strength” of an unrefined nature.

This does not mean that one cannot make a nice flavored catsup with China cassia, as such is not the case, but a better flavor can be obtained with Saigon. The point is that quality of flavor as well as quantity of flavor must be considered. Chemical analyses are only of value when exactly the same variety of two or more samples of spice are compared.

When it comes to cayenne pepper, the quality of the flavor is not the important factor that it is in the milder spices. Cayenne is used to give “hotness” to the catsup, and the hotter the cayenne is, the greater its value to the packer. The Mombassa and the Japan chillies are the hottest, although in recent years they have been so expensive that it is more economical to use some of the others, even though a slightly larger quantity may be required.

For allspice, it is not necessary to use a large, fancy berry, but a small size which is fairly free from sticks, stones, and decayed or pithy berries will answer the purpose just as well. The relative values of samples can be compared by inspecting them and noting the percentage of foreign and decayed material.

As to cloves, it is again not necessary to use a fancy article, although all varieties will not impart exactly the same flavor, just as in the case of cassia a different flavor is obtained from Saigon and China cassia. Some packers like the flavor of the Zanzibar cloves, while others give another variety slight preference, chief among which are the Penang, Amboyna, and Pemba.

Penang and Banda are the fanciest varieties of mace, but 86some of the other varieties are all right for catsup, with the exception of Bombay mace, which has no flavor, and is considered an adulterant.

Use of Essential Oils

In many cases spices are not used at all, but their essential oils are used instead. In other cases both spices and oils are used. Some packers object to the use of cloves on account of the large amount of tannic acid they contain (usually from 16 to 20%), which it is thought has a darkening tendency, especially if any iron is present, and it is also thought that other darkening substances are extracted from the cloves. If the essential oil is used, this is avoided.

Essential oils, when added properly, produce a catsup of good flavor, and the product is in every way acceptable. A better flavor, however, can be obtained by the use of whole spices. A water extract obtained from whole spices is different from the essential oil of the spice. It contains the essential oil, part of it at least, but it also contains other substances which impart flavor. The flavor produced by whole spices is not quite as harsh as that produced by essential oils. “Harsh” is not exactly the word, but it comes about as close to it as anything I can think of. The whole spices impart a wealth of flavor, but there is freedom from “strongness,” or any faint suggestion of a “drugstore taste.” I have tasted catsups made with oils in which this “drugstore taste”—I use the term for lack of a better one—was apparent, and it may have been due to the quality of the essential oils used, but more than likely was due to the fact that they were not properly administered. It is necessary to get the oils thoroughly and evenly incorporated into the catsup without volatilizing too much of them.

How to Add Essential Oils

The best way I know of to do this is as follows: Add the oil from a small lipped container, like an 8 oz. glass graduate, after the catsup is cooked, that is, just as soon as the steam is shut off of the batch, spreading it slowly over the entire surface of the catsup, not dumping it in one spot; then turn the steam on full, and leave it on five seconds; then shut it off immediately, and open the exhaust. This will not make an absolutely perfect mixture of the oil in the catsup, but it will do the job better than agitators, and by only leaving the steam on five 87seconds very little of the oil is lost by volatilization. The brushing of the catsup through the finishing machine also helps in more thoroughly mixing in the oil, and if the catsup is then pumped from the finisher to a receiving tank over the filling machine, as is often done, the mixing is made still more complete by the pumping process. If a number of different essential oils are used they are mixed together before adding. One large manufacturer whose catsup is well liked uses no whole spices at all, even using oleo resin capsicum instead of ground cayenne pepper. Oleo resin capsicum is much hotter than the ground cayenne, and, of course, a very small quantity of it is required.

Paprika

Paprika is used to a very large extent in catsup, chiefly because of its bright red color, which assists to some extent in toning up the color of a catsup that would otherwise be rather unattractive because of its brownish cast. If any appreciable help is to be obtained from paprika, it must be used in large quantity, and it must be of the most brilliant red variety. Much paprika has a dull brick or brownish color, and it might as well be left out. The use of only a pound of paprika to 100 gallons of catsup scarcely produces any effect on the color. If paprika is used, at least two pounds should be used for this quantity of catsup, otherwise it might almost as well be omitted. Of course, paprika is a spice as well as a color, and on that account it can be used in catsup without any statement on the label to the effect that the product is colored artificially. It does impart some flavor, but the flavor isn’t particularly desirable in catsup. If paprika was yellow or brown, instead of red, it is doubtful if it would be used at all in catsup; certainly it would not be used extensively.

Most of the best catsups on the market are made without paprika, and these catsups are as a rule the most brilliant in color, as they are made almost entirely from fresh tomatoes. The color is not killed by a long succession of cooking processes, and therefore the use of paprika is unnecessary and would add absolutely nothing to the color.

Paprika is a rather poor excuse for a coloring matter anyway. The coloring principle in the spice is not soluble in the catsup, and all of the color is retained within the grains of the powder. If this coloring principle dissolved in the catsup, as does cochineal, the effect would be very good. The use of paprika 88is very easily detected by pouring out a bit of the catsup on a piece of paper, and making a thin layer of it. The grains of paprika then stand out very prominently.

Some catsups are literally “loaded” with paprika, and they have a sort of brick color, which is somewhat different from the color produced by fresh, ripe tomatoes. This catsup would no doubt be brown if so much paprika wasn’t used. As to flavor, such goods are usually not very good, and are often very poor indeed.

Quantities of Spices and Oils per Batch

As to the quantity of spices to use per 100 gallons of catsup, I would suggest 3 oz. of ground cayenne pepper, 1½ lbs. of medium bark, broken Saigon cassia, 1¼ lbs. of whole allspice, and 1¼ lbs. of whole cloves. The cassia, allspice, and cloves go in a sack, and the cayenne goes in direct at the beginning of the cooking. If paprika is used it is put in with the cayenne. If the essential oil of cloves is preferred to the whole spice, 1 oz. of it will give a pronounced clove taste, although not too pronounced.

If it is desired to use essential oils altogether, with the exception of the cayenne pepper, a good mixture is ½ oz. oil of cassia, 1 oz. oil of cloves, and ½ oz. oil of pimento. A good flavored catsup can also be obtained with the amounts of pepper, oil of cassia, and oil of cloves given above, but with no oil of pimento.

It should be remembered that with these oils the most important point is the successful administration of them. Giving proper quantities to use amounts to nothing if they are improperly administered. In fact, any kind of a formula for making a tomato product amounts to very little in itself. It doesn’t make any difference how fine a formula a man has, it by no means assures a good product. When the formula is obtained a bare start is made. In the hands of one manufacturer excellent results will be obtained with the use of a formula, while another man who has practically the same formula will make an absolute failure of his manufacturing.

Essential Oils Economical

The use of spice oils is more economical as far as the actual expense of the formula is concerned, and it is also very convenient, as you have your flavoring in small packages in a highly 89concentrated form. As these oils are distilled from spices which are wormy, or for some other reason not marketable as whole spices, the spice from which they are distilled can be obtained very cheap. As a rule the oils are distilled where the spices are grown, and only the essential oil is imported. In order to make the oils comply with the regulations of the U. S. Pharmacopoeia, it is usually necessary to re-distill them here, as they often contain lead from being transported in lead containers.

Adulteration of Ground Spices

If ground spices are used they should be bought from a concern of very high standing, as their adulteration is by no means an uncommon practice. Deception is, of course, difficult in whole spices. Such adulteration as the use of ten or twenty per cent of ground pepper shells in ground pepper has frequently been discovered by government chemists. Ground olive stones, sawdust, brick dust, ground cocoanut shells, and many other inert substances have also been found in ground spices. Adulteration can almost always be detected by either microscopical or chemical examination, but there have been cases where the adulteration has been so cleverly done that the only way it could be verified was by detective work on the part of government agents.

Onions and Garlic

Onions for catsup need not be carefully peeled, as a little peeling will not impart any foreign taste. It is well, however, to remove that part of the peeling which is dry and comes off easily. The finishing machine will remove that portion of the peeling which is left.

The sweet Bermuda onions are not as good for catsup as are the stronger kind, as it takes too many of them to impart a distinct onion flavor. The onions should, of course, be washed if they are not clean when taken from the sack. Some firms use an onion washing and peeling machine and they like the machine very much. A coarse grinding of the onions is sufficient.

Some packers use garlic and some do not. Garlic is treated in exactly the same way as onions but should be ground rather fine. The cloves of the garlic should be removed from the enveloping tissue, but it is not necessary to separate the individual cloves from the hard, fibrous coating which surrounds them.

90Onions and garlic should be added as soon as all of the tomato juice for the batch is boiling in the kettle. For a 100 gallon batch, two gallons of chopped onions and ½ lb. of ground garlic are about the right amounts. Ground onions and garlic should not be left standing over night, as they get black and lose their flavor. In cases where some are unavoidably left over, they should be covered with vinegar and salt.

Sugars

The sugars most commonly used in catsup are granulated cane, clarified cane, granulated beet, and raw, unrefined sugars.

The purest of these are granulated cane and granulated beet, which are equally good. There is a prejudice against beet sugar by many people in the east, who think it is not as good as cane sugar, but this is a mistaken idea. Any food chemist will tell you that they are the same, and are equally good. All granulated sugar, whether cane or beet, must contain at least 99.5% of sucrose (pure sugar) to comply with the federal standard. And remember that sucrose is sucrose, whether derived from sugar cane or sugar beet. Almost all granulated sugar will test 99.8% sucrose, which is slightly above the minimum established by the government. This leaves a negligible quantity of impurities, which in the case of beet sugar are derived from the beet, and in cane sugar from the cane. If there is any difference between the two sugars it lies in this very minute quantity of impurities and such a difference can surely not be objected to. Granulated sugar, whether cane or beet, is the purest food article in commerce.

Clarified cane sugar is not quite as pure as granulated, but when used in catsup will make equally as good a product as granulated will; however, as the percentage of sucrose is not so high, a little more of it has to be used. A considerable saving can often be made by buying clarified instead of granulated sugar, but the purchase should be made on polariscope test, so the buyer knows exactly what he is getting.

Raw sugars are slightly less pure than clarified, although there is very little difference between the best grades of raw sugar and clarified. Good centrifugal raw sugar will contain about 96.5% of sucrose. The lower grades of raw sugars should not be used, as they are dark and will darken the catsup to some extent, but there is scarcely any color to the better grades, and they give good results. The use of raw sugars often permits 91quite a saving on the sugar bill. They should be bought on polariscope test, and when received should be tested against the sample on which they were bought.

Sugar Syrups

“Cane sugar syrups” have for several years been offered to canners and preservers, and they are advertised to be equal pound for pound to granulated sugar and to be considerably cheaper. The samples of these heavy, colorless syrups that I have tested have contained a considerable percentage of invert sugar, and also moisture. The moisture is, of course, worthless, and as the invert sugar is less sweet than sucrose it is ridiculous to claim that such a product is equal in sweetness to granulated sugar. These syrups are said to be used by some catsup makers, however the saving that is effected by their use is probably imaginary.

The sugar can be added at any time after all the tomato juice for the batch is boiling in the kettle. Some prefer to add it at the end of the batch so as to run less danger of scorching; however, if the coils are clean, and there is a good head of steam, and the taps are working right, there need be no fear of burning, even if the sugar is added twenty minutes before the batch is done. The sugar should be put in small pails or boxes, so that it can be scattered easily over the surface of the boiling pulp. If it is put in heavy containers it is apt to be dumped in one spot, and may not all dissolve, as much of it may fall in a lump below the coil where the circulation is not good.

If the coils or traps are not working properly, or the tomatoes are a little green, and the cook is having trouble with the catsup burning on the coils badly, it is advisable to not add the sugar until a few minutes before the batch is done.

If 10½ gallons of 100 grain vinegar are used to a 100–gallon batch, about 105 pounds of granulated sugar will be required.

Use of Sugar in Large Quantities

It should not be thought that extra sugar is going to increase the volume of catsup in proportion to the volume of extra sugar added. I am reminded in this connection of a conversation I had with a large catsup packer, in which we were discussing the large amount of sugar and vinegar required to insure the keeping quality of non-preservative catsup, as compared with 92the amounts usually used in benzoate goods. This packer made non-preservative goods altogether, and he surprised me by remarking: “What if we do have to use a hundred pounds or so more sugar to the batch; we buy the sugar at 8c a pound, and sell it for about 11c a pound in catsup. Where do we lose anything?” I was surprised at the remark because I thought he should know better than that. If catsup was bought and sold by weight that argument might hold good. However, regardless of the fact that the net weight in pounds and ounces avoirdupois is always stated on the label, the public buys catsup by volume. Your pint bottle may hold 17 oz. avoirdupois, or it may hold 18 oz; however, in the eyes of the consumer it is a pint, and it will not bring more money because its net weight is slightly greater than that in the pint size of some other brand. It is the same way with the 10 oz. and 11 oz. sizes. The public buys by volume. When we quote prices on the larger sizes, it is so many dozen No. 10 at so much per dozen, or so many dozen gallon jars at so much per gallon. Who cares what the net weight is in the No. 10 can, or the gallon jar, as long as the container is full—or as full as it should be?

Therefore, the subject of gain or loss caused by the addition of extra sugar resolves itself into the question of the additional volume produced. If I add a hundred pounds more of sugar per batch, how much will my volume be increased? That is the question. It is one which I cannot answer definitely, and I have never seen any figures on it, but I can say this much—that every pound of sugar added to catsup in excess of the minimum amount required is a very great loss to the packer. A 5–gal. pail of granulated sugar will not add anywhere near five gallons to the catsup. One gallon will come nearer to it. The reason for this is that the sugar dissolves in the tomato juice, and although it increases the specific gravity of that juice, it adds very little to its volume.

As to the extra vinegar which must be added to counteract the sweetness of this extra sugar, this is an absolute loss as far as volume is concerned. The catsup must be reduced to a definite thickness, no matter how much vinegar is used, and if more vinegar is used, more water must be boiled out to allow for the thinning down caused by this additional vinegar.

Salt

An air dried salt of a fair degree of purity (about 98 per cent on a moisture-free basis) is perfectly satisfactory for catsup. 93The purer salts are often desirable in the canning of vegetables where lime and magnesia are apt to have a toughening or hardening effect, but in catsup a very small quantity of lime and magnesia salts have no ill effect.

Salt should be added a few minutes before the vinegar is put in. It is desirable to add the salt toward the end of the cooking, as it acts to some extent on the copper of the coil or kettle. Great care should be used in so adding the salt that it will all dissolve. I have often seen a large mass of undissolved salt in the bottom of a cooking tank after a batch of catsup was let down, even when the salt had been thrown in a half hour before the cooking was completed. The reason for this was that the salt was thrown in without scattering it, and it fell quickly to the bottom of the tank in one mass. Owing to the fact that the circulation below the coil was poor, and that salt does not dissolve readily in boiling water or boiling tomato juice, a large proportion of it remained undissolved.

Salt is less soluble in hot water than in cold water. It should be placed in small containers, such as small pails or boxes, so that it will be light in weight and can easily be scattered over the surface of the boiling pulp. If this is done, and done slowly, there is no need of agitating devices to dissolve the salt. Agitators are also unnecessary to dissolve the sugar if it is added in this way, although sugar dissolves more readily than salt.

Thirty pounds of salt is about the right amount for a 100–gallon batch.

Vinegar

The kind of vinegar usually used in catsup is the strong distilled vinegar—about 100 grain, which contains 10 per cent of acetic acid. The stronger the vinegar, the better, as the weaker vinegars require too much volume to be handled, and dilute the catsup too much when they are added.

Most manufacturers buy their vinegar in barrels. However, some of the larger ones have it shipped in tank cars from which it is pumped at the factory into a large storage tank, and siphoned off as needed. This is the better way when it is used in large enough quantities to warrant buying it in this manner. Barreled vinegar often contains very finely divided charcoal, which is sometimes hard to strain out; the barrels are often full of nails from which the vinegar dissolves iron, and this iron, in combination with the tannic acid of spices, produces a chemical compound (iron tannate) which is as black as ink; 94and sometimes the barrels contain some foreign liquid, which was left in them when they were filled with vinegar. The use of barrels also requires a lot of handling, and the waste by evaporation through the wood is considerable when the vinegar is held over a long time. One might imagine that the evaporation from a large storage tank would be greater than from barrels. However, such is not the case, as there is much more surface per gallon for evaporation in the barrel than in the large tank. Vinegar shipped in tank cars is free from contamination and is easily and economically handled. Barreled vinegar should always be strained through fine cheesecloth.

Transference of Vinegar

The use of steam pumps and ejectors, in fact any kind of steam appliance for hoisting vinegar, should not be used, as the steam passes into the vinegar, dissolves in it, and dilutes it. If you pump 100–grain vinegar into a storage tank with a steam pump you may find that you have 90–grain when you get it up there. If it is necessary to pump the vinegar, and it usually is, a small electric pump should be used. Either enamel lined or wooden pipe should be used for vinegar. All iron pipe and fittings should be eliminated.

Adding the Vinegar

Vinegar should be added about three minutes before the batch is done. To do this it is usually necessary to cook the catsup just a shade heavier before the vinegar is added than it will be when it is done. If a hydrometer is used, about two degrees is enough. Five minutes should be the outside limit for cooking the vinegar. Vinegar is a volatile liquid and vaporizes rapidly. It should therefore only be cooked long enough to insure its being thoroughly incorporated in the catsup, and three minutes boiling is ample for this purpose. For a 100–gallon batch, 10½ gallons of 100 grain vinegar is about the right amount, and when properly added will give an average total acidity of about 1.25 per cent calculated as acetic acid.

Acidity

It should be understood that this total acidity will by no means be constant, as there is such a great variation in the natural acidity of tomatoes. Tomato pulp made from tomatoes 95all grown in the same locality, and condensed to a specific gravity of 1.035, will run as low as 0.40 per cent in natural acidity, and as high as 0.70 per cent. This will cause the total acidity of the catsup to vary accordingly. When in doubt as to whether you are getting the proper acidity, send samples to a chemist and have the acetic acidity determined. This is the acidity of the vinegar alone. It should not run below 0.60 per cent. This figure should be taken as the absolute minimum for acetic acidity.

Testing the Finishing Point

For testing the finishing point of catsup I recommend either testing by the eye or the hydrometer method as described under the testing of pulp. The eye cannot often be relied upon, although some experienced cooks are very good at judging by the eye, and they do not need a mechanical device of any kind. The specific gravity determination by weight, and cooking to a certain gauge, or for a certain length of time, will not do at all for catsup. I have used the hydrometer method on catsup for a number of years, and it is entirely satisfactory. A little experimenting will indicate the number of degrees on the hydrometer, when immersed in the hot catsup, at which the catsup is heavy enough so that it will be of the right thickness when cold. After this point has been determined every batch should be almost exactly alike if it is cooked to this point.

Holding Batches

Catsup should not be held in the cooking kettle very long, as the sugar is apt to caramelize where the catsup is in contact with the hot surface of the kettle or coil. Also, the air darkens it somewhat. Of course, if the jacket or coil is completely exhausted, and the valves are absolutely tight, there should not be this burning or caramelization while holding a batch. However, there is often a very slight leak in the valve, and the coil or jacket is thus kept hot constantly. The quicker the cooked batch is let out of the kettle, the better.

Making Catsup From Pulp

Many catsup makers make their catsup from pulp altogether. They feel that during the season they have their hands full packing pulp, and they can work this pulp up into catsup 96during the winter months when there would otherwise be little or nothing to do. When pulp is used, about 29 5–gal. cans of specific gravity 1.035 is sufficient for a batch of catsup of 100 gallons. Do not add water to the pulp, even if it is a little heavy. The only danger from not getting a very long cook is that there will not be a very complete extraction of the spices, when whole spices are used in a sack. If, however, each spice bag is cooked in two batches, this danger is greatly minimized.

The question now arises—if I am making catsup from pulp which has been put through a catsup finisher I am working with material which is screened fine, whereas my hydrometer test is based on tomato juice from my cyclone, which is coarser than this, and this finely screened stuff will give me a different hydrometer reading. If you cook your catsup to, say, 32 degrees, when making it direct from cycloned tomato juice, you will probably find that 28 degrees is enough when making it from pulp which has been put through a catsup finisher. The finisher makes this much difference.

Use of Benzoate of Soda

The use of benzoate of soda in catsup permits of the use of a much smaller quantity of vinegar and sugar than is used in non-preservative goods. About 3 gallons of 100 grain vinegar to a 100–gallon batch is all that is usually used, and this only makes it necessary to use about 50 lbs. of sugar.

The benzoate of soda is added just about a minute before the batch is done.

It should be remembered that if ⅒th of 1% of benzoate of soda is being used, this percentage is by weight, and that a gallon of cold catsup weighs 9 or 9½ lbs., depending upon the amount of sugar that is used.

97

CHAPTER X
FINISHING, BOTTLING, STERILIZING, AND STORING THE CATSUP

The Receiving Tank and Finisher

From the cooking kettles the catsup is usually run through the finisher, and then conducted to a receiving tank, either by gravity or by pumping. If a pump is used, care should be taken that the pump parts which come in contact with the catsup are of bronze. Needless to say, enamel lined pipe should be used. The receiving tank should be either of wood, or enamel, or glass-lined steel.

Regarding the finishing of the catsup, the action on the metal screen is more severe than in pulp, and it is best to use a monel metal screen. It will usually be noticed that the frothy catsup which collects at the large end of the cone of the screen blackens quickly. This is probably due to the air, and this catsup should be scraped off into a pail as it collects, and mixed back in the cooking kettle, just giving it a minute cook. It is also very important to see that the screen fits absolutely tight, and to frequently inspect it for small cuts which are often made by pieces of tin or glass accidentally getting into the catsup.

Filling and Sealing

If the catsup is to be sterilized after bottling it is usually just run through an ordinary enamel lined pipe from the receiving tank to the filling machine, but if it is not to be given an after-sterilization a steam-jacketed pipe should be used here. This will be discussed further later in the chapter.

Rotary fillers are being used quite commonly for catsup now, and they do the work rapidly, with little waste, and with a small labor outlay per gross for bottling. The more simple types of fillers, operated either with a foot or hand lever, are less expensive, and also do the work quite well, although not as rapidly as the rotary fillers.

The empty bottles should be washed in hot water on a 98rotary bottle washing machine, and filled directly after washing if an after-sterilization is to be used. If the catsup is not to be processed after bottling, the empty bottles should be given a hot air sterilization after they are washed, and the bottles conducted to the filling machine from the sterilizer.

If an automatic rotary filler is used, the bottle capping machine is usually regulated to operate at the same speed as the filler, and the whole line becomes automatic. The type of closure most commonly used now is the crown style, either plain or of the self-opening type. The cork is getting to be a thing of the past for catsup. These closures come either with a composition cork insert or with a solid cork insert, the former being a little cheaper, and for catsup it is just as good. For chili sauce, or any bottle having a wide mouth, I do not like the composition cork insert, as the vacuum produced in a wide-mouthed bottle on cooling is too great a strain on the composition, and is apt to cause it to crack. For narrow-mouthed bottles such as catsup, the composition cork is all right.

Washing the Filled Bottles

Whether or not an after-sterilization is used, the filled bottles should be run through a warm water bath immediately after sealing to wash off any catsup which adheres to the outside of the bottle before it has a chance to bake on. If this water bath has a couple of jets of compressed air entering it to keep the water vigorously agitated, the bottles will come out nice and clean. Of course, a continuous flow of clean water must be allowed to pass into the bath, with an overflow at the opposite end. If bottles of catsup are put into processing tanks with catsup adhering to the outside of the bottle, the soluble part of the catsup will be dissolved in the process water but there will be flakes of insoluble tomato fiber floating in the process water everywhere, and these will bake on the bottles so hard that it is very hard to remove. After a few days this condition in the process tanks becomes very bad, and the bottles become increasingly hard to clean. If the bottles are clean when they are put into the tanks, and the tanks are clean, they will come out of the tanks clean and ready to be labeled.

Processing

The process method is probably used by the majority of catsup packers, first, because they feel that an after-sterilization 99is an insurance which is well worth paying for, and they can have more peace of mind knowing that they have processed their goods; second, because by processing carefully and intelligently the color and flavor of their goods will be scarcely effected, except when made from pulp which is a little overcooked; third, because they don’t know much about packing catsup so that it will keep without processing, and they don’t care to experiment, as they feel that in the end the experimenting may prove disastrous to their business.

In this attitude no one can blame them. There is nothing more trying on a manufacturer than having complaints on fermentation coming in from every corner of the country. The natural inclination is to let well enough alone, and take no chances.

At the same time it must be admitted that thousands of cases of catsup are being manufactured every day without processing, and it is giving little or no trouble. Those who use this system say it is a waste of time and money to process, and that years of experience have shown that processing is unnecessary.

Advantages of Omitting Processing

There are certain advantages in not processing. In the first place a better colored and flavored product is often obtained, particularly if the catsup is made from pulp, and especially is this true if the pulp is a little overcooked, and consequently a little dark in color. Then there is the advantage of the saving on labor and on steam, which is a large item. Running a half dozen or more process tanks constantly draws heavily on the steam supply, and the processing means more handling of the bottled product, and therefore more labor. It also means more equipment, with the floor space which this equipment takes—not only a lot of tanks, in case stationary tanks are used, but iron baskets to hold the bottles, electric or steam hoist, and trolley track. Not only the original cost but the maintenance of this equipment is considerable. Then there is a certain amount of breakage during processing. Also, steam must be kept up late at night for no other purpose than processing.

When no after-sterilization is used all of this is done away with, and the only equipment needed to supplant the above is a steam-jacketed pipe to conduct the catsup to the filling machine, and a continuous hot air sterilizer for the bottles, which 100usually consists of a vertical shaft, and takes up practically no floor space.

Process Method

I will discuss in detail the process method first. The catsup should be filled as hot as possible, and it is a good idea to use a steam-jacketed pipe in this case, as well as in the non-process method, because the hotter the catsup is when bottled, the quicker the center of the bottle will be raised to the desired temperature, and the quicker the sterilization can be accomplished. The catsup should be 180 degrees or above when it enters the tank of the filling machine, and it should be placed in the process tanks as soon after sealing as possible.

The process tanks may be large stationary iron tanks, or a continuous pasteurizer such as is used in beer bottling plants may be used. The latter is the better way, as it is compact, automatic, takes up very little floor space, and there is no danger of over-sterilization, or of scorching by leaving the bottles in the tanks after the water is drawn off, where the air cannot get at them to cool them off. The reason continuous pasteurizers are not used more commonly is their expense, although they should pay for themselves in a few years by the labor and steam they save, it being only necessary to keep one large tank in operation instead of a half dozen or more.

If stationary tanks are used, which is usually the case, the catsup should be taken out of them as soon as the water is drawn off, so that the air can get at the bottles and cool them off. To leave the hot, bottled catsup in the tanks over night is almost as bad as piling a lot of hot pulp close together, the only difference being that there is a little more room for air circulation between the catsup bottles, but not much.

Time and Temperature

There is a great difference between the time and temperature employed for processing in different factories. Some packers process as low as 170 degrees F., it is said, while others use a temperature very close to the boiling point. In some plants pint bottles receive only a 30–minute process, while in others they get over an hour.

The proper time to use depends upon the temperature that can be maintained at the filling machine, and the rapidity with which the processing can be done after the filling. If the packer 101can hold his catsup around 180 degrees at the filler, and is so equipped, either with continuous pasteurizers or stationary tanks, that he can process immediately, an hour is ample time for pints, and 45 minutes is sufficient for half-pints; other sizes accordingly. If, however, the temperature of the catsup at the filler often falls to 170 degrees or below, and the catsup is filled faster than it can be processed, so that at times much of it must stand for an hour before it can get in the process tanks, 15 minutes additional for each size bottle had better be added to the above.

This may seem to some packers like a long time. All one has to do to convince himself that it is not too long is to take one of those thermometers which are made especially for determining temperatures at the center of the bottle, and put it in a bottle of catsup while it is being processed, watch the mercury rise, and note the time it takes to bring the center of the bottle to the temperature of the water surrounding it. You will find that if the water surrounding a pint bottle is 200 degrees, and the temperature at the center of the bottle is 160 degrees, it will take just about an hour to bring the catsup at the center of the bottle up to 200 degrees.

As to the proper temperature, I do not see why as high a temperature as is possible without breaking the bottles should not be used. Why some packers process at 170 degrees or 180 degrees I do not know. They certainly have not carefully investigated the effect of their processing. The temperature I prefer is six degrees below boiling. At sea level this would be 206 degrees. This temperature will not break the bottles, but the steam pipes entering the tank should be so arranged and perforated that there will be as even a distribution of steam as possible. If these pipes are not properly arranged, there is apt to be as much as 6 degrees variation in the temperature at different parts of the tank.

Several years ago I made a large number of tests to determine the number of micro-organisms that remained alive in bottled catsup after processing at 206 degrees F., as compared with the number which remained alive in catsup bottled from the same batch and processed at 200 degrees F. for the same length of time. The difference was surprising. I expected some difference, but not nearly as great as was shown by the tests. That which was processed at 200 degrees for an hour contained quite a few living molds, yeasts, and bacteria per cubic centimeter. This was shown by plating out samples bacteriologically 102on culture media—the media used being dextrose agar and wart agar. The catsup from the same batch processed one hour at 206 degrees contained scarcely any living micro-organisms at all per cubic centimeter. This test was repeated a number of times with the same result each time. These micro-organisms may have been in the form of spores in the catsup, but developed into the vegetative forms of molds, yeasts, and bacteria when placed in the culture media.

Temperature Controlling and Recording Devices

The process tanks should all be equipped with temperature controllers and recording thermometers. The controller holds the steam at the right point, not allowing the temperature to vary more than 2 degrees, if it is a good make. Several years ago it was impossible to find a temperature controller which operated without compressed air that would hold the temperature closer than a variation of 10 degrees, which is too wide a variation for catsup pasteurization. The compressed air controllers worked very well but required an air compressor where the pressure must be held within certain limits, and air pipes to connect with all the controllers. Some plants did not have the air equipment, and in cases where it was put in the pipes gave more or less trouble due to the collection of moisture in them and to occasional grains of dust or rust from the air tank which lodged in the controller and threw it off. It is now possible, however, to obtain controllers which will operate with almost no variation from the temperature desired, and which require no compressed air for their proper functioning. Under these conditions there is hardly an excuse for a manufacturer to operate his plant on the old system of hand control of the steam valves, with the resulting losses in manufactured goods due to pure reliance on human efficiency.

The recording thermometer makes a pen and ink record on a chart showing the temperature and length of time each tank of catsup is given, or, if a continuous pasteurizer is used, it shows up any variations in the temperature of the water in that pasteurizer during the day. The factory manager can look at all of these charts in the morning, and know positively that every bottle of catsup was processed the right length of time, and at the right temperature. If any mistakes were made the chart will show it, and it will show at just what time the mistake was made, and how serious it was. It is a great satisfaction to 103have such a record, and the processor invariably takes great pride in making a perfect chart.

Non-Process Method

When no after-sterilization is given, it is imperative that the catsup be very hot when filled. Boiling catsup runs about 214 degrees F. in temperature, and although running it through the finisher and receiving tank cools it down somewhat, if it is heated in a long jacketed pipe while being conveyed from receiving tank to filling machine it should not be below 180 degrees at the very lowest when filled, and if it can be filled hotter than that, so much the better. As to the pipe above mentioned, the smaller the pipe, and the larger the steam jacket, and the higher the steam pressure, the greater will be the heating capacity of this jacket on the catsup. After a little experimenting these points can be adjusted to give the proper result. If the jacketed area is short, of course a higher steam pressure must be used than if this area is long.

Some packers of non-processed catsup use a jacketed tank or kettle directly over the filling machine to hold the catsup at a high temperature while it is awaiting bottling, with a very short line of enamel pipe going from it to the filling machine. If this is used, a jacketed pipe is not needed.

Guesswork should be eliminated. Do not assume that you are getting the right temperature on your catsup when it is filled, and do not be satisfied with going up to the filler once or twice a day, dropping a thermometer in the liquid, and waiting for the temperature to record itself. Put a recording thermometer in that tank just over the filling tubes, with the dial in a prominent place, so that you can step up to it at any time and know what the exact temperature of that catsup has been every minute of the time for the past ten or twelve hours.

If this is done there is no chance of escape on the part of the man who is supposed to watch this temperature, and if he knows his work is being recorded every minute on a chart he is going to be mighty careful.

The empty bottles, when placed in the filling machine, should be clean and practically sterile. After they have passed around the rotary bottle washer, and had a thorough washing with hot water, they are placed in the hot air sterilizer neck down, so they can drain. The best kind of sterilizer is an endless chain carrying trays to hold about a dozen bottles each, and 104enclosed and protected by either wood or metal. The sterilizer should be vertical, so that it will not occupy much floor space, and inside of the wood or metal covering are steam pipes fitted with a temperature controller or thermostat so that a temperature of about 250 degrees F. can be maintained. The speed of the endless chain is so regulated that it takes about 30 minutes from the time the bottles enter the sterilizer until they come out.

Needless to say, the filling machine should be kept scrupulously clean, and before being used in the morning, or for the afternoon run, should be thoroughly steamed out so that it will be hot and practically sterile to receive the first batch of catsup.

As to the bottle closures, if they are kept in covered barrels in a clean place and not allowed to be contaminated by dust, etc., it is not considered necessary to sterilize them, although they could no doubt be given a hot air sterilization very easily if it was thought necessary. I have seen thousands of cases packed without sterilizing the closures, and the catsup never gave any trouble.

After applying the closure the bottles are rinsed off in a warm water bath, and are then ready to be labeled and cased.

Which Method Is the Better?

Now comes the question which is of vital importance to every packer—what am I going to do—give my catsup an after-sterilization or not? I believe the answer to that question should depend upon the conditions under which the packer operates. I do not believe either method is to be recommended universally, but that there are many cases where it is better not to process, and other cases where processing is advisable.

If a manufacturer makes his product at a large central plant, where he can count on reliable and fairly intelligent help at all times, and where he is so equipped that he is not bothered with frequent breakdowns and delays during the day’s run, he should give the non-processing method his careful consideration, and I believe he will profit by adopting it. If, on the other hand, he has many plants scattered all over the country, many of them dependent to a large extent on an indifferent class of help, with little experience or intelligence, or he has a lot of wornout equipment, and has several breakdowns almost every day in the bottling department, he had better insure his product by processing.

105If I were building a new plant or remodeling an old one, I would most certainly arrange to eliminate processing if I could count on a fairly good class of help.

Labeling and Casing

Most bottles are labeled by machine. The machines do the work much faster than can be done by hand, and also do it neater as a rule. However, in most cases it is necessary to have someone to adjust the neck band after the bottle leaves the machine. Sometimes they are wrapped, and sometimes not. Wrapping in transparent tissue makes a very attractive package, and it will modify the effect of strong light, which some manufacturers think has a discoloring tendency if the catsup is exposed to it a long time.

Both wood and fiber cases are used for catsup, and the fiber cases seem to do all right where the contents do not weigh over about 40 lbs. If they weigh more than that it is usually considered advisable to use wood cases.

Stacking Catsup to Avoid “Black Neck”

In CHAPTER VIII mention was made of the darkening in the neck of the bottle, called “black neck.” It was stated that this was usually due to the fact that the closure is not absolutely air tight, and allows the air to very slowly filter into the space in the neck, which should be a vacuum if the seal is perfectly tight. This condition can be partly avoided by printing the cases so that when the case is stacked right side up the catsup will be neck down in the case. Therefore, the vacuum space will be at the bottom of the bottle, instead of at the neck, and there is no chance for air to filter into the neck because the body of the catsup is right up against the closure. When these cases are shipped out and stacked in a warehouse, the catsup will always be bottom up as long as the cases are right side up. In all probability the bottles will remain in this position until the case is unpacked by the retailer and the bottles are placed on the shelves.

Packing Gallons and No. 10’s

Packing catsup in gallon glass jars and enamel lined No. 10 cans is very similar to packing it in bottles. These sizes can either be processed or not processed, and the same principles 106apply as in packing the smaller sizes. If no process is given, the containers should be put through a hot air sterilizer, just as the small bottles are, and the catsup should be very hot when filled.

With glass jars the breakage is often very great, and they must be heated slowly and carefully, and placed on a warm wooden surface when they are filled. A metal surface beneath the jars will almost always cause a lot of breakage due to the fact that it chills so easily. For the closure a cork is usually used, and the process should not exceed 180 degrees, as a higher temperature will cause the corks to pop out. A process of two hours is sufficient for gallon jars.

If No. 10 catsup is given an after-sterilization, 1½ hours in boiling water is sufficient. It must be understood that it takes much longer for the heat to penetrate to the center of a can of catsup than it does with pulp, as the catsup contains sugar and salt and is heavier in specific gravity. After-sterilization the cans should be cooled gradually in water, and allowed to remain in the water until they only have sufficient heat left to allow the water to evaporate from the surface of the can and prevent rusting.

107

CHAPTER XI
THE MANUFACTURE OF CHILI SAUCE AND THE PULPING OF TOMATO TRIMMINGS

Chili sauce is the finest tomato product manufactured. It differs from catsup in that it is made from whole peeled tomatoes with the seeds and fiber left in, and in that it usually contains more onion than catsup, and is usually a little “hotter.”

Grading the Tomatoes

For chili sauce the tomatoes are peeled as they are for canning. As a rule they are run over a grader and only the large ones are used for peeling, the small ones being pulped or made into catsup. It does not pay to peel the small tomatoes, as it requires too much labor, and the women who do the peeling at so much per bucket try to fight shy of them, and often mash them up in their buckets to avoid having to peel them. They will make just as good pulp or catsup as the large tomatoes will, and much more can be got out of them in this way than if an attempt is made to get them peeled.

Sometimes the small tomatoes and the peelings of the large tomatoes are pulped together. If this is done the whole small tomatoes tone up the flavor of the peelings, and also help to keep the final product within safe limits as to microscopical count.

Some packers throw away the peelings, either because they are so busy with the whole tomatoes that they can’t bother with them, or because they are afraid the pulp which they are worked up into will run high in micro-organisms, and they don’t want to have such pulp on their hands.

Method of Handling Tomatoes

The usual method of handling the tomatoes is to run them first over a sorting belt, where they are inspected by several women, then over a grader, which lets the small tomatoes fall through on to a belt which conveys them to a washing arrangement, and thence to the “breaking tanks,” or to the pulp 108machine, or the crusher, depending upon which pulping method is used. The small tomatoes may or may not be given a second sorting.

If the trimmings are to be thrown away, the large tomatoes don’t need to be sorted, as the peelers will take care of that, and in this case a good way is to put all the tomatoes through a rotary washer first, then over a grader, and have the small tomatoes carefully sorted after the grading is done. The large tomatoes pass from the grader to the scalder, and thence to the peeling table or “merry-go-round,” where they are peeled.

The best method to use if the trimmings are to be pulped will be discussed later in the chapter.

The peeled tomatoes are thrown into a cutting machine which cuts them into good-sized chunks, and drops them on a bucket conveyor which takes them to the cooking kettles. The cutter should be so adjusted that it will not make the tomatoes mushy. A few fair-sized pieces of tomato in a bottle of chili sauce is nearly always pleasing to the consumer.

It is important that the peeling be thorough. Each bucket should be inspected before the tomatoes are thrown into the chopper. Pieces of peeling in chili sauce are very noticeable when the product is used, and make an unfavorable impression.

Amount of Tomatoes and Onions

It takes just about 72 fourteen-quart buckets of peeled tomatoes of average firmness to make 100 gallons of finished chili sauce. For this same amount about 100 lbs. of chopped onions should be used. The onions should be very carefully peeled, and very finely chopped. If this chopping is not done fine enough the pieces of onion will stop up the tubes of the filling machine. It is best to use only large onions for chili sauce, as it takes a great many women to peel the required amount if small ones are used, and the waste on the small ones is considerable when the peeling must be done so thoroughly.

The cooking is carried out the same as in catsup, and the same ingredients are used, with the possible exception of garlic, which, so far as I know, is not often used in chili sauce.

Spices

The spicing is very similar to catsup. In some brands about twice as much cayenne is used as was suggested for catsup, while other brands are spiced mildly. One of the best liked brands 109on the market is quite mild, and another brand which is equally popular is quite hot.

Salt, Sugar and Vinegar

The same amounts of salt and vinegar are used as in catsup, and they are added in exactly the same manner. About 10 lbs. more of sugar is needed for a 100–gallon batch than is used in catsup. This is probably necessitated by the large amount of onions used.

Testing Finishing Point

Testing the point at which the cooking is completed must be done by the eye. The hydrometer can not be used, as chili sauce is too lumpy. A hydrometer can only be used when the product is smooth and homogeneous. By a little experience the cook will soon learn to judge the finishing point. It is that point at which very little water runs from the lumps of tomatoes when the chili sauce is hot, and practically no free water shows when a little of it is cooled in a saucepan. In my opinion the finishing point of chili sauce is easier to judge by the eye than it is on catsup.

Filling, Sealing, and Sterilizing

As to filling, sealing, sterilizing or not sterilizing, labeling, stacking, etc., the same remarks apply to chili sauce as to catsup. The filling is somewhat more difficult, as the product is lumpy, and a special filling tube must be used. As to whether an automatic rotary filler similar to that used for catsup is ever used for chili sauce I do not know. I have always filled it with one of the old style catsup fillers, using a special filling tube.

On account of the fact that a wide-mouthed bottle is used, there is even more danger of air leakage in the neck of the bottle, causing “black neck,” than there is in catsup. It is a common sight to see chili sauce with an inch, or even two inches, of blackening at the top of the bottle. Sometimes the very finest quality of cork is used, and then paraffin is put over that, but even then we find that this darkening is not avoided. I recommend the same procedure here as was given when discussing this subject on catsup.

If a crown seal, either plain or of the self-opening type, is used as the closure, a pure cork insert should be used. As mentioned in a previous chapter, the composition cork insert 110does not work as well on wide-mouthed bottles as it does on those with a narrow mouth.

The remarks which were made on the packing of No. 10 and gallon catsup also apply to the packing of chili sauce in these sizes.

Microscopical Counts

The counts of molds, yeasts and spores, and bacteria in chili sauce usually run very low. I have never seen a sample that ran high in molds, and very few that ran high in the other counts. The molds seldom run higher than 10, and counts of zero are often obtained. This is because practically all of the mold in tomatoes is on the outside and clings to the peeling. When the peeling is removed the mold is removed. As the peeled tomatoes are usually cut and cooked immediately after they are peeled, there is very little opportunity for the multiplication of yeasts and bacteria.

Pulping the Trimmings

Trimming pulp, or “skin and core,” as it is sometimes called, is made from that part of the tomato which is removed when the tomatoes are peeled. This consists of the peeling, with the tomato substance which clings to it, and the hard core at the stem end of the tomato.

In as much as practically all of the mold in or on the tomatoes is retained in the trimmings, it is not an easy matter to work these trimmings up into a product which will mark up to the government requirements, and do it economically. If the tomatoes are firm and largely free from cracks around the stem end it is not so bad, but when they come in badly cracked, with tufts of mold growing in all the cracks, as is often the case late in the season, the amount of labor required to properly sort them makes the working up of trimmings unprofitable.

When the trimmings show up fairly well, and the labor to handle them is available, there is no reason why the chili sauce packer or tomato canner should not utilize what would otherwise be a waste by turning it into pulp or “trimming catsup.”

Government Attitude on Trimming Pulp

The government does not object to the manufacture of tomato products from trimmings, but they demand that the 111product comply with the regulations as to micro-organisms, and that it be sold for exactly what it is, and if put up for sale to the consuming public, that it be labeled—“made from pieces of tomatoes,” or, “made from tomato trimmings,” or, if small tomatoes are worked up with the trimmings, “made from small tomatoes and tomato trimmings,” or, “made from small tomatoes and pieces of tomatoes.”

Method of Handling Tomatoes When Trimmings Are Pulped

If the trimmings are to be pulped the tomatoes must be very carefully sorted, and thoroughly washed, preferably in a rotary washer. As it is practically impossible to sort or wash the trimmings, the tomatoes must be in almost perfect condition when they enter the scalder. Washing the trimmings carries away too much of the tomato substance which clings to them, and sorting is not practicable, as the soft rot and mold becomes incorporated in the entire mass and it is impossible to separate it. The peelers can not be depended upon to sort out any substantial amount of rot when they do the peeling. Therefore the only thing that can be done toward keeping down the micro-organisms is painstaking sorting of the whole tomatoes and thorough washing to keep out the mold, having the conveying equipment and tanks clean, and bringing the trimmings to a boil quickly to prevent multiplication of yeasts and bacteria. It is wise to steam out the peeling buckets and bucket conveyors at noon, as well as at quitting time, as the juice which lies in them is constantly undergoing fermentation.

When the trimmings are pulped, either alone or with the small tomatoes, the tomatoes are all washed and sorted before they are graded. The trimmings should be cooked before they are run through the pulp finisher, so as to get all of the clinging tomato substance cooked away from the skin. The density to which to cook the trimmings can be judged fairly well by the eye, or the specific gravity test by weighing can be used.

The pulp is canned the same as whole pulp.

112

CHAPTER XII
THE MANUFACTURE OF TOMATO SOUP

Convenience and Economy of Canned Soup

Canned tomato soup is a commodity which is increasing in favor with the housewife. The old method of preparing this soup in the home was to open a can of tomatoes, strain it through a colander, and stew it, adding butter, salt, sugar, spices, flour, and perhaps soda and milk. The modern way is to immerse a can of condensed tomato soup in boiling water for five minutes, open it, and mix the contents with an equal volume of hot water or hot milk. How much more convenient the modern way is, and when the quality is just as good and often better than can be obtained the long troublesome way, it is natural that canned tomato soup should become increasingly popular. Buying the canned soup is also cheaper than buying the canned tomatoes and making the soup from them.

Factors Upon Which Success Depends

The maker of tomato soup should be a crank on quality. There is no other tomato product in which quality is at a greater premium. In catsup and chili sauce, heavy spicing and mixing with lots of vinegar and sugar help to mask the tomato flavor, but in soup the spicing is light, no vinegar is used, and being eaten as a food in itself, instead of as a condiment with which to flavor a food, the palate quickly detects inferiority. Also, the palate is just as quick to detect that pleasing fresh tomato taste which should be the basis of all good soup.

The quality of the tomato stock is the real important thing. Fresh tomatoes may be used or a fine grade of pulp may be used, and either will make an excellent soup. With poor tomato stock a good soup cannot be made no matter what you do to it. Spicing artistically, and making rich by the use of plenty of good butter, will not make amends for poor quality of tomato stock.

113To succeed in making tomato soup the manufacturer must at least make good on the following counts: first, his soup must be palatable, that is, pleasing, to the taste with no lingering unpleasant after-taste; second, it must not be too sweet or too sour; third, it must be uniform in consistency, smooth when poured out of the can, and must not get lumpy or grainy after being in storage a long time; fourth, it must not curdle fresh milk, even though the housewife adds no baking soda when mixing milk with it; fifth, it must be reasonable in price and attractively packed in popular sizes.

Unpalatability

I will discuss these points a little further. What makes tomato pulp unpalatable and what causes an unpleasant after-taste? The most common cause is poor tomato stock, or tomato stock which has been overcooked. Such a foundation for soup will almost invariably leave a lingering unpleasant after-taste in the mouth. Another thing is too much flour, masking the flavor of the tomato and giving it a somewhat “pasty” taste. Another thing is the injudicious use of spices, producing unpopular flavors, or using one spice, such as bay leaves, for instance, in such large proportion that almost every other flavor is masked. None of these defects are rare in tomato soups, and they all cause unpalatability to some extent.

Proper Sweetness

Getting proper sweetness is not nearly so easy as one might suppose. It is not so difficult when the soup is made from fresh tomatoes, although even then every batch must be tasted after all but a few pounds of the sugar is added, and the amount of sugar varied according to the sweetness of the tomatoes. When the weather is moderately dry, with plenty of sunshine, the tomatoes are usually sweet and do not require so much sugar, but tomatoes which ripen during rainy, dark, cold days are not so sweet, and a little more sugar is needed.

When making soup from canned pulp it is necessary to watch the sweetness of the pulp very close, and it may be necessary for the cook to vary the sugar on a 100–gallon batch ten or fifteen pounds during a day’s run. Canned pulp often varies greatly in sweetness, and if held in storage for many months it often loses some of its sweetness on account of the 114action of living, acid forming bacteria, which may not be present in large amount, but nevertheless, in time, have a noticeable effect on the sweetness of the pulp.

When pulp is purchased for the purpose of making soup its sweetness should be one of the first considerations in passing judgment on it.

Gradual Souring of Pulp

When the soup manufacturer makes his own pulp and works it up into soup during the winter months he will probably find that he will save on his sugar bill if he will pack the pulp in No. 10 cans and sterilize it—at least that part of the pulp which must be held in storage several months. In this way living, acid forming bacteria are killed, and the danger of the pulp losing its sweetness during months of storage is greatly minimized.

The fact that the gradual souring of pulp in 5–gal. cans, even though very slight, is due to the action of living, acid forming bacteria can hardly be doubted. Bacteriological tests supplemented by chemical analyses would determine the matter definitely, but there is evidence in the experience of every canner to show that this souring is due to the fact that the pulp is not sterile.

Canned tomatoes are always sterilized and can be kept in storage for years without losing their sweetness. Pulp packed in 5–gallon cans is not sterilized and quite a after-sterilization percentage of it will lose much of its sweetness on being stored for six months, and after being stored a year still more is lost. It takes hundreds of pounds of expensive sugar to make up for this loss of sweetness when the pulp is made into soup.

Sampling

Of course, a cook is not infallible in his judgment as to just what is the right sweetness and he needs the co-operation of others at the factory. The factory manager should make it a point to sample the soup several times a day, and also to have others sample it. It is better to have it just a little less sweet than it should be than to have it too sweet. The consumer can always add a little sugar but cannot take any out.

The third point mentioned above—that of uniform consistency and smoothness, will be discussed fully under the cooking and shaking processes.

115

Proper Acidity

I stated as the fourth point that the soup should not curdle fresh milk, even though no soda is added by the housewife. One of the favorite ways of preparing canned tomato soup in the home is to mix it with an equal quantity of hot milk. The experienced housewife knows enough to add a pinch of soda to the milk before adding the soup, and she may also know that she will get a smoother mixture if she slowly pours the soup into the milk, stirring constantly, than if she pours the milk into the soup. The inexperienced housewife does not know these things, and often she opens the can and mixes it with milk without reading the admonition on the label as to how the cream of tomato soup should be prepared. Sometimes she forgets to add the soda, or does not thoroughly dissolve it, or does not add enough of it, and then there is disappointment. In order to guard against such disappointments the soup canner should so prepare his product that curdling of the milk cannot occur under any method of mixing. The way to do this is to add enough soda to the soup to reduce the acidity to a point where it will not curdle fresh milk, whether the soup is poured into the milk or the milk into the soup. The canner can then print a notice on the label of the can to the effect that it is not necessary to add soda to this soup when preparing it as “cream of tomato,” as the soda is already in it.

The acidity of the tomato is the active principle which causes the milk to curdle. If this acidity runs 0.60% it will curdle the milk badly. If it is reduced to 0.50% it will still curdle the milk, but if it is reduced to 0.40% it will not curdle the milk, if the milk is fresh. The aim of the soup maker should therefore be to keep the acidity of the soup between 0.30 and 0.40%, not allowing it to go above or below these limits. If it is reduced below 0.30% the flavor of the tomato begins to be effected—in fact, if possible, it is best to keep the acidity between 0.35 and 0.40% to avoid any possibility of loss of tomato flavor.

Now, the packer will ask—“How am I going to do this acidity testing? I’m not a chemist, and have no chemist at my factory, or any laboratory.” The acidity test on pulp and soup is a very simple one. The equipment required scarcely amounts to anything, as the sample can be taken by volume. Any chemist will be glad to show you how to make this test and to secure for you the few accessories needed.

116Why is there less danger of curdling if the soup is poured into the milk than if the milk is poured into the soup? The soup contains all the acid, and the milk contains none. If the soup is poured into the milk slowly, with stirring, the acid is slowly added to the milk, and is diluted, there being at the beginning of the mixing a very small volume of acid and a large amount of milk. If, however, the milk is added to the soup, a small volume of milk is at first being thrown into a large volume of acid, and naturally the danger of curdling is considerably increased. But if the acidity of the soup is not above 0.40% and the milk is fresh, there will not be an appreciable amount of curdling no matter which way the two are mixed. A statement as to the proper way of mixing with milk should be made on the label.

Price and Quality

That the soup, to be a success, must be popular in price and packed in convenient sizes is self evident, and there is no need of dwelling on this point. Practically all of the tomato soup on the market is packed either in the 10½ oz. or 16 oz. size, and almost all of it is cheap in comparison with other foods, but it is a mistake to cut the quality one iota in order to shade the price. The mark for quality should be set at the highest point possible and the price to correspond. The canner may book a lot of new business with a low price and mediocre quality but he is not likely to hold it. Almost anyone would rather pay a cent a can more and get better quality.

Microscopical Counts

The first operations in soup making are the same as in pulp. The same care must be taken in sorting and washing the tomatoes, and the government authorities put soup on the same basis as other tomato products when it comes to microscopical analysis. The fact that soup contains flour and butter makes the counting of yeasts, spores, and bacteria under the microscope a difficult operation. The molds, however, show up almost as well in soup as they do in pulp.

Beginning the Cook and Adding Soda

The tomatoes must be cycloned before they are converted into soup. Crushed tomatoes will not do. The cycloned juice for each batch is measured in the same manner as for catsup, 117and any of the types of cooking kettles that are used for catsup are satisfactory for soup. For a 100 gallon batch of finished soup, using the amount of flour I am going to recommend, about 28 or 29 bushels of tomatoes will be required. As soon as all of the tomato juice for the batch is boiling in the cooking kettle the soda is added. The amount of bicarbonate of soda to use depends upon whether the soup is being made from fresh tomatoes or pulp, and if made from pulp the soda should be varied according to the pulp’s acidity. It is nearly always necessary to use more soda in pulp than in fresh tomatoes, and if the pulp is old goods which has lost much of its sweetness, and in which the acid has been increased by the slow but telling action of living bacteria, still more soda must be used.

For fresh tomatoes 18 to 20 oz. of soda is enough for a batch of 100 gallons when finished, but for pulp, as high as 30 oz. may be required. If it takes more than this to reduce the acidity of the pulp to the proper point, that pulp had better be used for some other purpose than soup. There is a limit as to the amount of soda that can be added without loss of tomato flavor.

The soda is added a little at a time while the pulp or tomato juice is boiling. The cook must allow considerable room for effervescing, so that the formation of the carbonic acid gas will not cause much of the contents to be lost by flowing over the top of the kettle. Cutting the foaming tomato juice with a sharp spray from the hose will help to keep the effervescing mass down.

Butter, Spices and Onions

After the effervescence from the addition of the soda has stopped, the butter, spice, and onion are added. Of course, the more butter that is added the richer the soup will be, but the idea should be to give the soup the butter flavor without adding so much that the cost will mount up beyond a reasonable limit. I would suggest 6 or 7 lbs. of butter to 100 gallons of finished soup. The butter will so thoroughly distribute itself during the boiling that every drop of the soup will contain practically the same amount. It is not necessary to use a fancy print of butter. If the butter is a little mottled, or the salt isn’t quite as evenly incorporated in it as it should be it makes no difference, as the butter fat and salt all become evenly distributed in the soup after boiling for a minute or two. The butter, however, should be sweet and clean. Rancid butter should not be used.

118Soup should not be heavily spiced, as many people do not like highly seasoned soups, and if it isn’t hot enough for some consumers they can add as much pepper as they want to. So far as I know the spices most commonly used are white pepper, paprika, cassia, mace, cloves, bay leaves, and celery salt. Black pepper should not be used at it makes black specks in the soup which are apt to be mistaken for dirt. About 7 oz. of white pepper to 100 gallons of finished soup will give it sufficient spiciness. If paprika is used this can be cut down somewhat. Cassia, mace or cloves are used in small amount, 1 oz. of either being ample.

Pepper, cloves, and cassia are added at the beginning of the cooking and mace is added just a few minutes before the flour. It is said that celery salt gives tomato soup a very nice flavor but I have never tried it. Some people like bay leaves, but I have tasted canned tomato soup with a very decided bay leaf taste which I thought was about as poor as any soup I have ever tasted.

The onions are chopped the same as for catsup, and 4 lbs. is about the right amount for 100 gallons of soup.

Sugar and Salt

The sugar can be added at any time after the spices, butter, and onions, but about 5 lbs. should be held back from the average amount being used, figuring that we are cooking a 100 gallon batch, and after the sugar and salt is in, the contents of the kettle should be tasted before the balance of the sugar is added. It may be that the last 5 lbs. are not needed, or it may be that all of it is needed and also an additional 5 lbs. For fresh tomatoes about 25 or 30 lbs. of sugar may be sufficient for a 100 gallon batch, and for pulp it may be necessary to use as much as 50 lbs. or even 60 lbs. in some cases.

After the condensation has continued until the boiling mass is of the consistency of thin pulp the salt is added. The same grade of salt is used as for catsup, and about 14 lbs. is the right amount. The sugar and salt should be put in small containers or pails and scattered slowly over the surface of the boiling pulp.

Testing Thickness Before Adding Flour

Now the contents of the kettle contain all of the ingredients except the flour and the water which is mixed with the flour when it is added. Before this flour mixture is added the contents 119of the kettle must be condensed to a definite thickness. If this thickness is not measured with a fair degree of accuracy the finished soup will either be so thick that it will be lumpy in the can, even after shaking, or it will be so thin that the housewife is apt to feel that she is getting cheated when she pours the soup out of the can. The object to attain should be to have the soup as thick as the consumer could reasonably expect, but at the same time to have it of such consistency that it will pour out of the can easily and smoothly. Nobody wants soup that will come out of the can like a brick, but at the same time they expect condensed soup to be reasonably thick.

I prefer to gauge the point at which it is time for the flour to be added with a hydrometer. The use of the hydrometer here is subject to the same precautions as were described under the testing of pulp, and it is used in the same way. Whatever reading pulp of specific gravity 1.04 gives on the hydrometer you use, that is the reading you should take for the point at which to add the flour mixture on soup. If you follow this rule you will come out all right. We will say that pulp of the degree of fineness you have reads twenty degrees on your hydrometer when it is at a specific gravity of 1.04. Then twenty degrees on this hydrometer is the point at which the flour mixture should be added on soup.

It might occur to you that it would be a good idea to use the specific gravity test by weighing to determine the point at which to add the flour. This would work all right if you used the same amount of sugar all the time, but as varying quantities of sugar will vary the specific gravity without materially varying the thickness of the pulp, using the specific gravity test by weighing at this point is apt to throw you off. This varying amount of sugar will have a slight effect on the hydrometer reading also, but not enough to make an appreciable difference. What you really want is to have your partially completed soup at a uniform thickness before adding the flour, rather than at a uniform specific gravity. Thickness and specific gravity do not always correspond. Tomato fiber may be very thick and still have a rather low specific gravity, and it may be thin and have a high specific gravity due to the fact that it contains added sugar in solution. For determining the point which we are trying to gauge, the hydrometer is much less apt to throw you off the track than is a specific gravity test by weighing, as increasing thickness will change the hydrometer reading very quickly but will only alter the specific gravity slowly.

120We will say that we have found out that 20 degrees on the hydrometer is the proper point at which to add the flour mixture—that this degree of thickness, with the added thickness produced by the flour mixture, produces a soup, which when cold and well shaken, will be thick enough, but will also pour out of the can easily and smoothly. We test the boiling liquid several times; it runs 14 degrees, then after a few minutes 18 degrees, then 20, and it is time to add the flour.

Adding Flour

The flour must be smoothly mixed with water in a flour mixer with sifter attachment. For a 100 gallon batch of soup I would recommend 40 lbs. of hard flour and 13 gallons of water. The hard flour seems to give the best results. The water is placed in the bottom of the mixer and the mixing attachments (paddles and sifter) set in motion either by a separate motor or by a belt from a line of shaft. The flour is then poured through the revolving sifter and is brushed through as a fine powder, which the paddles slowly work into the water without allowing lumps to form. When the total amount of flour is added to the water, and the paddles have worked the mixture up smooth, the flour mixture is added to the boiling contents of the kettle, either in pails or by means of enamel lined pipe running from the mixer to the cooking kettles. The contents of the kettle should be at a vigorous boil when the flour is added, and the flour mixture should not be thrown in so fast that it will kill the boil. During this process the boiling mass should be stirred vigorously with a long paddle. After all the flour is in the kettle the boil is continued for ten minutes, after which time the batch of soup is done and ready to be let down into the finishing machine.

Filling and Processing

From the finisher it is conducted to a receiving tank, and thence to the filling machine. A large volume of soup should not be kept ahead in the receiving tank as it cools and may get somewhat lumpy. The hotter it is canned, the better, and it should be placed in the process tanks immediately after canning.

It is usually canned in No. 1, 16 oz., and No. 10 cans, and is filled with a rotary filling machine of the type used for heavy liquids.

It may be processed either in straight process tanks or in 121a continuous agitating pasteurizer. If the straight stationary tanks are used the following time is given in boiling water: No. 1, 30 minutes; 16 oz., 40 minutes; No. 10, 1 hour. If a continuous agitating pasteurizer is used this time can be cut down about 60%.

As soon as the processing is completed the cans should be gradually cooled in cold water and left in the cold water until the outside has cooled sufficiently to allow them to be handled easily. On account of the flour it contains soup holds its heat a long time, and it should be properly cooled before stacking away.

Shaking and Labeling

Before shaking and labeling it is wise to let the soup stand for about ten days, both to give leaks a chance to show up, and to give the contents of the can a chance to thoroughly “set.” If the soup is shaken too soon after it is canned there is a possibility of it coagulating again, but this will be avoided if the soup is allowed to stand long enough before shaking—10 days being ample.

Before the soup is shaken it will be in a jelly-like mass, and if dumped out of the can just as it is it will have this jelly-like appearance and look lumpy. Shaking makes it smooth, and also makes it flow easily from the can. The shaking should be thorough, and the type of shaking machine that is used for canned corn answers the purpose better than anything. Shaking by hand is very tedious and trying on the employee, and as a rule hand shaking isn’t as thorough as it should be. The shaking is done at the same time as the labeling, and from the shaker the cans pass through the labeling machine without a second handling. The small sizes are usually packed four dozen to the case, and the No. 10’s six cans to the case. 122


“TAG” INDICATING THERMOMETERS

Handled Top Thermometer

Adjustable Connection Thermometer

FOR TOMATO PULP BOILING, CATSUP KETTLES, SCALDING TANKS, PASTEURIZERS, STERILIZERS, TANKS, VATS, Etc.

have been especially designed to meet the exacting requirements of tomato product manufacturers and represent the ultimate perfection of 150 years of thermometer development and progress.

Permanent accuracy is guaranteed because each tube is “seasoned” to prevent future false readings due to shrinkage of the glass.

Actual temperature conditions are reproduced similar to those which the instrument will encounter in later use due to the “TAG” method of “pointing” and making a special scale for each thermometer.

Bulletin T–305 will provide further details of interest
C. J. TAGLIABUE MFG. CO.
18–88 Thirty-third Street
Brooklyn, N. Y.

Adjustable Clamp Hook

Regular Angle Union Connection

Wood Threaded Hub

Straight Flange

Pipe Threaded Hub

Straight Form Fixed Connection

Adjustable Clamp Flange


123
“TAG” Recording Thermometers
For Cookers, Scalders, Pasteurizers, Sterilizers, Vats, Tanks, Etc.

are extremely accurate and reliable because they have been designed along sound and correct principles, also due to their simplicity of construction.

Uniformity of results is assured because these instruments faithfully record every temperature operation, day or night, thereby promoting efficiency and helpful competition among the workmen in their efforts to produce praise-worthy charts.

Made in both full-nickeled bronze and japanned iron cases with nickel ring, in 8, 10 and 12–inch sizes, with 12, 24–hour or seven day charts.

For further details write for Bulletin T–305
C. J. TAGLIABUE MFG. CO.
18–88 Thirty-third St. Brooklyn, N. Y.
124
“_The Reeves_”
Variable Speed Transmission

is ideal for regulating the speed of your Tomato Sorting Belt. You can get any speed even to a fraction of a revolution at any time by simply turning a small hand wheel. It is so simple that even a child can operate it and get variation as low as two to one or as high as ten to one. It is admirably adapted for regulating not only the Tomato Sorting Belt but Cappers, Fillers, Exhausters, Pea Blanchers, Viners or any kind of vegetables or fruit packing machines where a variation of speed is desired.

Write for Canner’s bulletin C–170 and see how other Canners have profited by the use of “THE REEVES” Variable Speed Transmission.

REEVES PULLEY COMPANY
Columbus, Indiana
125
Members of
Wholesale Grocers’ Exchange. Chicago
National Pickle Packers’ Association
National Kraut Packers’ Association
National Canned Goods and Dried Fruit Brokers’ Association
C. J. Sutphen & Co.
Brokers and Manufacturers’ Agents
140 North Dearborn Street
CHICAGO
Pickles
Sauer Kraut
Tomato Products
Vinegar
Canned Goods
Twenty-five Years’
Experience
Pickles and Condiments
Jeffrey Canning Machinery

The Jeffrey Binless Peeling Table. Absolutely Sanitary. Built in sizes to accommodate 44 to 400 peelers.

Includes a complete line of
Peeling-Tables.
Conveyers for handling all kinds of materials.
Chains—all types.
Power Transmission Machinery.
Sprockets—Buckets.
Write for Catalogues
The Jeffrey Manufacturing Co.
940 N. 4th Street Columbus, Ohio
126
Pfaudler Cooking Kettle
For Tomato Pulp, Catsup, Chili Sauce, Tomato Soup, Etc.

This tank is 72 inches inside diameter, 72 inches deep and has a capacity of 1,336 gallons. It is made in one piece of sheet steel without any joints or crevices, and is lined with Pfaudler Glass Enamel. It may be equipped with any standard coil.

The outside and bottom should be insulated with asbestos to prevent loss of heat by radiation.

Quick cooking.
No burning.
Long lived.
Easily cleaned.
Always ready for use.
Prevents discoloration of the product due to metallic contamination.
Lined with Pfaudler Glass Enamel
New York
Chicago
San Francisco
Detroit
St. Louis
The Pfaudler Company
Rochester, New York
127
Hot Tomato Pulp and Catsup
(For holding at predetermined temperature after cooking and while awaiting bottling.)

The Jacket is connected with a small expansion tank and is thus kept filled with water. Steam is passed into the coil in the jacket heating this water. This method of heating has been found to give a close control of temperature so that super-heating of the contents is avoided.

The Brass Agitator gives a slow, thorough mixing without violent disturbance of the contents and thus avoids driving off the more delicate aromatic flavors.

Lined with Pfaudler Glass Enamel

Can be had in different capacities from 150 gallons upwards.

New York
Chicago
San Francisco
Detroit
St. Louis
The Pfaudler Company
Rochester, N. Y.
128
Cooking Kettle for Tomato Pulp
ELYRIA GLASS-ENAMELED EQUIPMENT
“The Acme of Canning Apparatus”

ELYRIA GLASS ENAMEL—tough, elastic, a part of the fiber of the steel itself—is the ideal equipment for the manufacture of tomato products. The sanitary qualities of glass and its acid-resisting properties are combined with the rugged wearing qualities of steel. Seams, rivets, crevices for the lodgment of waste substances are eliminated, and the smooth, hard, polished interior of the tank presents the finished surface of a glass bowl and can be cleaned easily, quickly and absolutely.

Send for our Special Bulletin of Canning Apparatus—it will prove interesting and instructive
The Elyria Enameled Products Co.
Elyria, Ohio, U. S. A.
New York
Chicago
Pittsburgh
San Francisco
Los Angeles
129
Kelso Pulp and Catsup Finishing Machine

A Machine adapted for making Tomato Pulp for Catsup and for finishing Catsup and for preparing Fruit Products such as Apples, Plums, Prunes, Strawberries, etc., for canning.

Victoria Paring Machine

For Peeling Onions, Potatoes, Beets, Sweet Potatoes, Horse Radish Roots, etc., in large quantities. Working Capacity 1 bushel per minute. Saves 75% labor and 25% material.

Send for our Catalogue of Special Machinery and supplies for Cider and Vinegar Manufacturers, Picklers, Canners, Preservers, Bottlers.

KELSO & COMPANY
559 W. Quincy St. Chicago, Ill.
130
World Can Labeler
An up-to-the-minute machine, made by manufacturers of broad experience in various kinds of labeling problems.
Quickly adjustable to different sizes.
Only one kind of gum needed.
No dripping of gum—no wasted labels.
Speedy and durable—mechanically correct.
You should know all about it.
Send for particulars.
Economic Machinery Co.
Worcester, Mass.
Makers of the well-known World Labeler for bottles, jars, tumblers, and other packages
131

SPRAGUE WORKS—THE HOME OF THE SIGN OF QUALITY

Builders of Complete Equipment for Canning and Preserving Plants

The only manufacturers who are prepared to supply your requirements in canning factory machinery, complete, in every detail, backed up by thirty years of experience and a money back guarantee of satisfaction.

Sprague Canning Machinery Co.
General Offices: Chicago, Ill.
Factory: Hoopeston, Ill.
Eastern Branch:
Sheppard Supply & Equipment Co.
37 So. Charles St.,
Baltimore, Md.
Western Agents:
Premier Machinery Co.
16 California St.,
San Francisco, Cal.
132

Set It and Forget It

NO
COMPRESSED AIR
SKILLED LABOR OR
COSTLY SPOILAGE
TAG
SELF-OPERATING
TEMPERATURE
CONTROLLERS

Uniform processing, an economic necessity in the manufacture of tomato products, depends upon a uniform temperature constantly maintained within the cookers.

Fluctuating temperatures, common to hand regulation of the steam inlet valves, therefore, must be eliminated.

A simple solution is provided by installing “TAG” Self-Operating Temperature Controllers—a device which requires no compressed air and is so simple to operate that all the workman need do is to “set” the controller for the desired temperature and “forget it.”

Pasteurizing, sterilizing, etc., to an efficient degree can also be easily accomplished with these anti-spoilage and self-paying controllers.

For further details ask for Bulletin T–386
C. J. TAGLIABUE MFG. CO.
18–88 Thirty-third St., Brooklyn, N. Y.

TRANSCRIBER’S NOTES
  1. Silently corrected typographical errors and variations in spelling.
  2. Archaic, non-standard, and uncertain spellings retained as printed.
*** END OF THE PROJECT GUTENBERG EBOOK 65287 ***