Transcriber’s Note:
The cover image was created by the transcriber and is placed in the public domain.
PUBLICATIONS FROM THE UNIVERSITY OF PITTSBURGH SCHOOL OF MEDICINE
| Page | ||
|---|---|---|
| History and Epidemiology of Epidemic Influenza | 9–33 | |
| James I. Johnston, M.D., F.A.C.P., Assistant Professor of Medicine. |
||
| A Clinical Description of Influenza as It Appeared in the Epidemic of 1918–19 | 35–63 | |
| J. A. Lichty, Ph.M., M.D., Associate Professor of Medicine. |
||
| The Urine and Blood in Epidemic Influenza | 65–79 | |
| P. I. Zeedick, M.D., Demonstrator in Medicine. |
||
| The Treatment of Influenza | 81–95 | |
| W. W. G. Maclachlan, M.D., C.M., Assistant Professor of Medicine. |
||
| The Prevention of Epidemic Influenza with Special Reference to Vaccine Prophylaxis | 97–153 | |
| S. R. Haythorn, M.D., Director of the Singer Memorial Research Laboratories. |
||
| Physiological and Physiological Chemical Observations in Epidemic Influenza | 155–160 | |
| C. C. Guthrie, Ph.D., M.D., Professor of Physiology. |
||
| The Bacteriology of Epidemic Influenza with a Discussion of B. Influenzæ as the Cause of This and Other Infective Processes | 161–205 | |
| W. L. Holman, B.A., M.D., Professor of Bacteriology. |
||
| The Pathology of Epidemic Influenza | 207–293 | |
| Oskar Klotz, M.D., C.M., Professor of Pathology. |
||
This report is based upon a series of investigations carried on during the epidemic of influenza at Pittsburgh. This epidemic reached Pittsburgh about the last week of September, 1918, rapidly spreading through the community during the first days of October. Pittsburgh had been warned of its coming through the experience of Boston, where the epidemic made its appearance during the late days of August. To a certain extent the warning from the East permitted the making of preparations to control its ravages. But even with the attempt for the protection of public health the epidemic advanced with all its virulence, rapidly picking out the susceptible individuals and leading to a high death rate.
At the time of the coming of the epidemic there were stationed at Pittsburgh two military camps, comprising about 7,000 men. It was with the presence of the disease among these men that our investigations were chiefly concerned. The men at their respective camps (on the campus of the University of Pittsburgh and at the Carnegie School of Technology) were housed in barracks which had been erected only a short time previously. These barracks contained large dormitories, in which the individuals freely mingled with each other. In them there was no opportunity of complete isolation, and by this means of housing good opportunity was available for the propagation of any communicable infectious disease. The ordinary sanitary arrangements for these groups were well provided. The first cases of recognized influenza made their appearance on October 2. On this day two men were found with the disease and were isolated. On the following day there were four, and on the third day eight. It was soon recognized that the increasing number of the infected cases was growing so rapidly that definite arrangements for their segregation and care had to be undertaken. This was provided for on October 4, when the Elizabeth Steel Magee Hospital was in part taken over by the military authorities and wards were rapidly adapted for the coming epidemic. For the foresight in making the adequate arrangements for its control and management we shall always remain indebted to Major E. W. Day. His 6indefatigable work in the early days of the epidemic will always be remembered, and the fact that the epidemic was kept within reasonable bounds of control was the result of his stringent quarantine regulations along with the organization of his medical forces. Working under his direction, Capt. H. H. Hendershott undertook the management of the hospital and rendered most efficient service. The capacity of the hospital was soon overburdened, so that from a normal 150–bed institution it was on the sixth day of its conversion into an emergency hospital carrying more than 300 cases of influenza. This hospital in itself was unable to accommodate all of the cases falling ill, and provision for these had to be made in some of the municipal institutions. On October 5, 1918, the Medical School of the University of Pittsburgh undertook to provide the laboratory facilities for the emergency Military Hospital. It was at first intended to equip only those laboratory departments which were deemed essential for the clinical care of the patients in the wards. Inasmuch, however, as the epidemic of influenza was spreading with alarming rapidity throughout the city, it was deemed advisable to close the Medical School and to place at the disposal of the Military Hospital all the laboratory facilities which could in any way be of use in the care and study of the influenza patients. This permitted the establishment of departments in pathology, bacteriology, physiology, physiological-chemistry and clinical microscopy. The following workers partook in the investigations which were here carried out: Dr. Oskar Klotz, director of laboratories; physiology, Dr. C. C. Guthrie (chief), Dr. A. Rhode, Dr. M. Menten, Mrs. C. C. Macklin, Miss S. Waddell and Miss M. Lee; bacteriology, Dr. W. L. Holman (chief), Miss A. Thorton, Miss C. Prudent and Miss R. Jackson; pathology, Dr. Oskar Klotz (chief), Mr. A. D. Frost, Mr. J. L. Scott and Miss A. Totten; clinical microscopy, Miss R. Thompson, Mr. M. Marshall and Mr. H. Mock; records, Miss H. Turpin. Intensive work was undertaken by each over a period of about five weeks, when the epidemic was again on the road to disappearance and few new cases were being admitted. These laboratories discontinued their work at the Military Hospital on November 9.
The clinical observations which are contained in this report were made at the Mercy Hospital. This institution set aside upward of 100 beds for the care of the overflow which could not 7be accommodated at the Military Hospital. It is unfortunate that the clinical observations and the laboratory findings contained in this report were not made upon the same cases. With the number of cases suddenly thrust upon the medical staff of the army, it was not possible for them to devote detailed attention to clinical investigation. Furthermore, during the progress of the epidemic these medical officers were transferred to new posts, so that it was impossible to obtain a summary of the clinical findings at the Military Hospital by any of the officers who had but recently been detailed to the work. We were fortunate, however, that the clinical investigations were carried out on a similar group of cases to those studied by the laboratory, and it might be said that their clinical findings on the patients housed at the Mercy Hospital are parallel with those observed in other institutions. Necessarily the researches carried out during such an epidemic were intensive, and all the workers in the various branches feel that if they had to live through another such plague they would be much better prepared to approach their problem. During the heat of such investigations valuable time is often lost in perfecting methods of technique, and one sorrowfully finds oneself without available material when the technical work has been accomplished but the epidemic has passed by. In the studies in bacteriology we were fortunate in having some of the technical difficulties for the isolation of the B. influenzæ previously solved. It may be that this in part explains the broad success which Dr. Holman has had in isolating the B. influenzæ from so many cases. In other fields the road was less broken, and it was not until late in the course of the epidemic that results were obtained in the investigation which seemed to point to valuable leads.
Dr. S. R. Haythorn, director of the Singer Memorial Laboratory, early in the epidemic became interested in the protection of individuals against the infection. In certain quarters much was claimed for the immunity which could be conferred by vaccination, either by the inoculation of pure B. influenzæ vaccines or by mixed vaccines. Hoping for some results by the use of such vaccines, Dr. Haythorn undertook the preparation of these materials. The value of this procedure could only be estimated after the lapse of some time and at a period when the epidemic was again waning.
8The clinical work at Mercy Hospital was carried on under the direction of Dr. J. A. Lichty, and assisted by Dr. W. W. G. Maclachlan, Dr. P. I. Zeedick, Dr. F. Klein and Dr. W. J. Fetter. By the close co-operation of the members of this group it was possible to put the clinical findings of one or other member to severe test, so that the recorded observations and deductions are of the greater value and less flavored by the personal element. This is of the more value, since, with the great amount of work which had to be done at the time of the height of the epidemic, it was often not possible for the same individual to bestow the amount of time upon each and all cases as he desired.
We are much indebted to Dr. Ogden M. Edwards, dean of the School of Medicine, for making available the facilities for carrying out the work, and for encouraging the publication of the reports.
The history of epidemic influenza extends back with definite authenticity to the Middle Ages, with a fair amount of assurance to the beginning of the Christian Era and with presumptive reliability even before that period. Beyond this statement, nothing definite can be said until the first epidemic reported by Short and found in the English Annals in the year 1510. This, the first reliable record, presented some features not unlike those occurring in the present epidemic. Two or three striking things stand out in this record—namely, the presence of nose bleed, pneumonia and the very great danger to gravid women. Here, for the first time, the meteorological conditions were elaborately studied and persistently dwelt upon. One other impressive thing, also reported by Short, was that in 1580 the disease showed a tendency to return after a period of quiescence. Attention is called to this because the epidemic, while it was exceedingly prevalent in the months of August and September, became pandemic in October and November. Another feature was that during the years intervening between 1580 and 1658 sporadic cases of this disease were frequently reported. During the latter year another epidemic appeared in the month of April. In 1657 and 1658 at London the summer was very warm, the winter came on early, there was much snow and the spring was very moist.
The prevailing opinion at this time, and the first stated by Willis, was that the widespread disease was due to the weather influences on the circulation, poisoning the blood of the patients, and “not blasts of malignant air.” The disease prevailed in the large cities, recurring again in the autumn in an extensive form through the villages and country. Sydenham, in his communication on the epidemic in 1675, wrote emphatically on the influence of the infection on pregnant women, and here used the term “tussis epidemicus” as a name for the disease. The summer of 1675 was wet with an inconstant autumn. La Grippe prevailed in 10France and Germany, according to Atmuller. In England in 1676, the autumn was pleasant, but suddenly became cold and moist. La Grippe then started in Germany during September after a summer and a beginning autumn which was very rainy. Molyneux in his description of the epidemic of 1693 in Dublin called attention to a feature, very striking to the recent pandemic, that the aged to a great extent escaped the infection. This would seem a somewhat unique feature until that epidemic is compared with the present one. In 1729 Morgagni and others stated that over all Europe the winter of 1728 was very rigorous, the spring was cold and the summer and autumn very variable, while January and February of that year were very moist. Huxham in his record of 1729, the fifth extensive one on record in the English Annals, which extended into 1733, stated from his study at Plymouth that the epidemic was exceedingly mild in the year 1733, and, with the exception of infants and consumptive old people, the mortality was very low. Like many of his predecessors, he emphasized greatly the conditions of the weather at the time and presented an elaborate study of it. The epidemic of 1732 was one of the longest and most persistent, extending up to 1737. All authors do not hesitate to attribute as a cause the very frequent variations of temperature which characterized this period. Of this epidemic Arbuthnot also emphasized the importance of the air, assigning the prevalence and widespread features of the disease to the thick and frequent fogs. From November, 1732, until March, 1733, this disease spread from Germany to Italy and thence to England. He called attention to a very striking feature—namely, that people in prisons and in hospitals escaped the disease. This, as we know, where such institutions are placed under preventive quarantine, is not such a unique feature during this present scourge. He, more than former writers, devoted pages to the elaborate and accurate description of instruments for meteorological observation and their findings, which meteorological records were published in detail, covering the whole period of a year—June, 1732, to June, 1733—with almost daily regularity. Huxham in 1737 in his record first used the term “epidemic catarrhal fever”—a name often used subsequently to describe this disease. Here attention was first called to the prostration which characterized the convalescents, and his belief that consumption frequently followed the disease. The 11next epidemic, which occurred in 1742 and 1743, was also reported by Huxham, who stated that the weather was very rigorous. This disease, according to his description, extended over all Europe, and the term “influenza” seems to have been first used by him during this time. The cases were mild in England, but more severe in Southern Europe. Whytt in his record of the epidemic of 1758 was the first who did not consider that the air condition or the seasons had the significance attributed to them by former writers, since the weather conditions during the prevalence of the disease were generally mild and dry. In Edinburgh at this time not even one out of seven escaped. Nevertheless, he did not hesitate to express his opinion that the disease did not spread by contagion from one person to another. One other observation of his is worthy of note, which is: that frequent relapses occurred when patients were re-exposed too soon after the first infection and such relapses were much more severe than the original disease.
The epidemic of 1762 called forth the opinion of Baker, emphasizing an opinion already expressed by Whytt, that the origin of epidemic disease is not due to changeable winds nor to their nature or character as recorded by the barometer. This epidemic also prevailed over all Europe and appears to have begun following sharp alterations of cold and moisture. In 1766 in Spain, France and other parts of Europe the epidemic appears to have begun after a warm summer, followed by an autumn moist and cold. In 1767 Heberden placed on record his observations during this period, but nothing new was reported. In 1775 the disease began in Germany in the summer after a dry and warm spring and spread over all Europe. During the prevalence of the disease in 1775 a questionnaire was sent to the leading English physicians, and letters from Fothergill, Sir John Pringle, Heberden, Reynolds and others seemed to express a consensus of opinion that weather conditions had nothing to do with the prevalence or spread of the disease, and that the cause and reason for its spread were unknown. Following sharp alterations in temperature in 1780, the disease appeared in France and then throughout the world. The epidemic of 1782 began in Russia, starting January 2 at St. Petersburg. The thermometer underwent a variation of 40 degrees and the same day 4,000 were afflicted with La Grippe. It reached Koenigsburg in March, Copenhagen in April, London in May, France in June and July, Italy in July and August, Spain 12and Portugal in August and September, and then reached America. Edward Gray, writing of the epidemic of 1782 for the first time, expressed emphatically his opinion on the contagiousness of the disease and stated what we now know—that close contact is necessary. To him also is attributed the opinion first mentioned by him, that there is a possibility of carriers in this disease. During this time Dr. Hamilton, in a published letter, protested against venesection in influenza, a practice long prevalent, and Hogarth called attention to the fact that the disease began in cities and villages first and that it was brought to these places by visitors from without.
The first American writer on this subject was Noah Webster in 1647 and 1655. Following him was Warren, writing of the epidemic of 1789 and 1790, just 100 years before the last and greatest epidemic which preceded the present one. Rush and Drake also reported this epidemic. During that epidemic which prevailed in America from September to December, 1789, and appeared again in the spring of 1790, President Washington suffered a very severe attack. The year before, in 1788, when the epidemic prevailed abroad, the summer temperature in Paris was very variable, variations of 8, 10 and 12 degrees occurring on various days. La Grippe predominated all the time. The same variations were true in Vienna. At the end of the year 1799 the epidemic struck Russia, following very cloudy, misty weather, was prevalent in Lithuania in January of the year 1800 and in Poland during February.
The next great epidemic occurred in 1802 and 1803, was very general, beginning in France and coinciding with a cold and moist autumn following a very dry summer. It was of six months’ duration in England. Many schools, jails, asylums and workhouses, although located in the area swept by this plague, at first escaped. As mentioned before, this striking feature has not been so unique in subsequent epidemics. One feature noticed here and commented upon freely was that elsewhere throughout the country there seemed to arise endemic foci. During this time there was also the prevailing belief that the disease was followed by phthisis. One other observation made here, which was accurate, lasting and is accepted today, was that no family was affected en masse, but always one individual case occurred first, to be followed by general infection of the others. At this time 13early bleeding was still adhered to. The French spoke of seven varieties of the disease, but one can only see in the classification emphasis laid on certain individual symptoms in this disease of complex symptomatology. During this epidemic pneumonia is said to have been very infrequent. The disease was particularly fatal to pregnant women, and the patients suffering from pulmonary tuberculosis were hurried off by the influenza.
Burns, writing of the epidemic of 1831, mentioned that in 1810 the disease was very widespread in China and Manila, and also emphasized the fact mentioned in many works that certain epidemics prevailed among animals at the same time, stating that in 1831 these diseases were of choleric nature. This epidemic began in 1830 in the East, reached Paris in the summer of 1831, reappeared in Europe in 1833, following the same route that cholera had taken in 1832. In the epidemic of 1833, Hingeston also laid great stress on the fact that horses were often affected. These features, as mentioned by Burns and Hingeston, are frequently quoted by authors, and such observations seem to have been widely accepted.
One of the greatest epidemics of influenza began in 1836 and extended until 1837, and was called at this time epidemic catarrh. It began in England in January, spread to France, and during all the time that it was in Paris there were continual penetrating rains with cold and humidity. At Montpelier on February 20, 1837, the thermometer passed from 12 to 15 degrees above to 2 and 3 degrees below zero, and it was then that La Grippe appeared suddenly. In reply to the circular letter sent out by the Council of the Provincial Medical Association of England, comprising 18 questions, the following opinions prevailed. The disease was greatest from September to February; the great prevalence of the epidemic in all parts of the kingdom was recognized—attacks were irrespective of age, sex or temperament; it was milder in children, and the aged suffered most from it. Further, the disease was extensive in all neighborhoods; the mortality was 1 in 50, old age predisposed to fatal termination, and the duration of the disease occupied two periods, one terminating in 4 or 5 days and one in 5 to 14 days. Also relapses were frequent; those exposed to employment in the open air were not more liable to the disease than others; there was no proof of the disease being communicated from one person to another, and influenza 14aggravated an existent pneumonia or pulmonary phthisis. And finally previous attacks of influenza offered no protection; the symptoms were uniform; the most common of unusual symptoms were those of meningitis, inflammation of the lungs and syncope, and aside from ordinary care and treatment, general venesection was not endorsed. Evidence of fine weather and good telluric conditions were at this time also appended. The same symptoms and complications, particularly those of the lungs, occurred irrespective of seasons, civilization or place. It was believed and stated that the plague described in Homer was probably influenza. For the first time there is noticed here a point well worth consideration—the association of other epidemics with influenza, either anticipating, following or superseding. That some such association may follow the present pandemic is not to be entirely ignored. For example, cholera is already reported as prevailing abroad, following an earlier influenza outbreak. During the period, as if anticipating bacteriology, one writer explained the epidemic in an article called “The Dust of Regular Winds,” and Groves (1850) wrote on “Epidemics Examined, or Living Germs as a Source of Disease.”
In 1846 and 1847 a slight epidemic occurred in London, Paris, Nancy and Geneva. In France during the last week of 1857, and extending into January and February, 1858, there was a mild epidemic. During this period there alternated frequent frosts with soft weather, misty and humid. Among the numerous small epidemics between 1837 and 1889, one occurred on the continent of Europe in 1860, but little of value or interest was noted. In Paris in March, after great and sharp variations in temperature, a series of epidemics extended from 1870 to 1875. These were unimportant. Atmospheric modifications occupied first rank in the minds of some as a cause for the outbreaks. Rapid changes from hot to cold or from cold to hot were given weight. Other undetermined modifications of conditions were probably important.
In a recent article published by Loy McAfee (J. A. M. A., 1917, 72, 445) he discussed the confusion which existed between the diagnosis of cerebro-spinal meningitis and epidemic influenza in 1863. These were believed the same by some—that is, the same disease of varying degree. There was a great diversity of opinion among clinicians at this time, and the American Medical Association 15appointed a committee to make an investigation. McAfee quotes from the Medical and Surgical History of the War of the Rebellion that in 1861 and 1862 an epidemic existed among the troops called epidemic catarrh, which was afterward changed to read acute bronchitis. In September, 1861, there existed an epidemic of influenza in one of the regiments which lasted more than two weeks, and in another camp there was a similar epidemic at the same time. It is stated that there were in all 168,715 cases among the white troops, with a mortality of 650, and 22,648 among the negro troops, with a mortality of 255, making about 4 per thousand, and over 11 per thousand, respectively.
The next great epidemic, and the last until the present, occurred in the years 1889 and 1892, and was pandemic in its nature. The death rate during this time was lower in the cities than in the country. This was probably due to the fact that the greatest mortality was among children and old people, and as old people were generally left in the country, this explains the observation. The highest number of deaths was among males, believed to be due to the exposure and fatigue of work. Forty per cent. of the world’s population was said to have been attacked during this period. The yearly or seasonal repetition, as shown in this pandemic, had occurred in other epidemics. In the great pandemic of 1889 and 1890, five decades after the last important epidemic, it was stated that the medical profession found itself confronted by a new disease of which it had knowledge through medical history, so also in our time few physicians recognized at first the reappearance of influenza. This 1889 epidemic is extensively reported in the literature, and has been elaborately worked out by many observers. One important feature has been emphasized by Leichtenstern, which, although recognized by the profession after the last epidemic had been fully reported and recorded, is not appreciated by the profession during the present epidemic—namely, that while shortly after the last epidemic there were smaller relightings of the infection throughout various parts of the country, those diseases which we erroneously call grippe or influenza, occurring commonly in the spring and fall, are in no way connected with the disease with which we are dealing, and which occurs at rather long intervals. Any speculation in regard to these periods, which history has shown to be fairly wide apart, has very little basis. This pandemic, like 16many of former days, is believed to have originated in Asia, and from there to have spread over Europe and hence over the world. The disease spread rapidly over countries, affected probably about 40 per cent. of the world’s population, disappeared rapidly after several weeks, was thought to have had nothing to do with weather conditions, had a great morbidity but small mortality, and affected all ages and occupations. There is no doubt, as stated by some, that the development of traffic and travel was a large factor in the rapid and extensive spread of influenza during this pandemic. The course which the disease followed, springing from its supposed beginning in Asia, has been fully and amply described by writers after that period, but the great rapidity of its dissemination over all countries is the most remarkable feature in the epidemiology of any disease. This, during 1889, made many prominent physicians disregard the opinion that influenza spread by contagion and accept again the opinion expressed by observers of epidemics in former ages, that miasma as a pathogenic agent was responsible for its distribution; but anyone who reads closely the history of this epidemic, and in the light of modern medical science, must feel that the rapidity of distribution was nowhere greater than the most speedy means of transportation. This very necessary close connection was demonstrated also in regard to the mode of spread of the disease; the large cities and the commercial centers were affected earlier, smaller and country districts followed later, railroad towns were more frequently attacked than isolated villages, and even from jails, prisons and workhouses, where quarantine was immediately attempted, as well as from remote villages where the disease had been brought, there could be traced a zone of infection spreading into the country. One interesting point was raised at this time—namely, that in some places it seemed to spread by leaps and bounds, and at other places radiating as stated above.
The old controversy of whether influenza is distributed in a radiating manner or in so-called leaps and bounds is believed to be settled by consensus of opinion that it occurs in both ways. An opinion expressed by the study at this time as to whether influenza spreads more rapidly than any other infectious disease is found in the statement that the contagion is markedly virulent, the micro-organisms are easily conveyed from their original seat 17in the mucous membrane by coughing, sneezing and expectoration, the great number of persons who, though slightly affected, carried on their ordinary way of life without hindrance, the probable longevity of the organisms in convalescents, the brief period of incubation of two or three days, the susceptibility of all people of every age and vocation, and the possibility of carrying the contagion by merchandise and even through short distances in the air, are all suggestive reasons for this. No one at present accepts the so-called miasmatic nature of the contagion. Proofs are ample to show that one case must be present in a locality or even family, although it may be frequently overlooked, from which the epidemic spreads. During this period of 1889 and 1890 the duration of the actual epidemic period in different localities in Europe was from four to six weeks. This was subsequently shown to be consistent with the recorded reports from the various cities in the United States. Following this pandemic in the first part of the year in 1891 there were numerous epidemic outbreaks in various parts of America, including New Orleans, Chicago, Boston, and simultaneously in England. Strange to say, at this time neither Germany nor France had such epidemics, although both were exposed by travelers, particularly from England and America. The question was raised at that time whether the Germans, French or other continental nations were more immune than Americans and English. In the fall of 1891 and the entire winter of 1892 the disease was extensively prevalent both in Europe and Northern America. In these later epidemics there was no definite direction of spread. They probably would come more clearly under the so-called radiation from numerous rural districts. In almost every case at the point of its origin in these countries the epidemic developed and spread slowly, lasting months and with very varying morbidity and mortality. They had none of the explosive characteristics of the pandemic. The general diminished morbidity of the later epidemic, the diminished geographic distribution of the disease and the scarcely recognizable character of its contagion, its slow development and extension over several months, the continuous diminution in frequency and in intensity since its onset in 1889, have been explained by presumptive successive lessening of susceptibility of the population, possibly due to acquired immunization. Observers at that time, as well as ourselves, could question this last statement.
18There was observed one noteworthy thing about seasons. While the great pandemic of 1889 and 1890 had no definite connection with seasons, the epidemic types which followed in 1891 and 1892 seemed to show a lighting up in either spring or fall, remaining dormant in the summer months. It has also been shown by the history of former epidemics that almost all the pandemics started from Russia in the fall, winter and spring months. Such was the case in 10 of the great pandemics of 1729 to 1889. This, no doubt, was the reason so many of the former historical writers were impressed by seasons and meteorological conditions. The statement made by observers during the epidemic that influenza presented two phases, one pandemic and the other endemic, and that each follows different epidemiological rules, seems possible. The question raised during the last epidemic of the spread of the disease in families, the disease occurring at high altitudes and even at sea, we know does not interfere with the recognition of its spread by direct contagion. Definite examples of families or villages being infected by a returned member of such family or citizen from abroad are reported frequently, and even the appearance of the disease in isolated places has often been traced and verified from a definite source, to say nothing of the question of carriers and those supposed to be suffering from other diseases.
Striking examples are shown also in this epidemic that many institutions, frequently those isolated from the world, were markedly exempt until, through servants or outside visitors, the disease gained access to them. This gave a most favorable field for the study of invasion, spread and decline of the disease. Observations made at this time in regard to hospitals seemed to suggest that certain institutions were more or less exempt, although not closed institutions, while others suffered from the first. These two types of hospital invasion are hard to reconcile.
Great stress was laid in this epidemic upon the very great morbidity and the low mortality. Simple, uncomplicated influenza at this time was looked upon as a disease that was rarely dangerous to life. Studies have shown that after this period there seemed to have been lessened morbidity. As previously stated, nearly all the numerous pandemics at various times have had their origin in Russia and arose in the late autumn or winter months. This pandemic of 1889 and the succeeding severe epidemics 19in Europe and North America in the years of 1891 and 1892 occurred almost exclusively in the cold weather, the summer remaining free. It is generally believed now, and was at the end of that pandemic, that atmospheric or telluric conditions had nothing to do with the spread. The origin of epidemics following the pandemics seemed to be influenced in their recurrence by the season of the year. It was conceded by observers in that pandemic also that contagion might be carried by merchandise and even flies and healthy individuals.
In the city of Boston during the week ending August 28, at the Naval Station at the Commonwealth Pier, 50 cases of influenza occurred and within the next two weeks more than 2,000 were reported in the naval forces of the First Naval District. Of these 5 per cent. developed broncho-pneumonia with a mortality of more than 60 per cent. From here it probably spread to Camp Devens and thence ran rapidly over the country. There can hardly be a question that it spread along the lines of traffic. Up to November 9 there were reported 3,339 cases among the civilian population of Boston. There were 3,430 deaths from influenza, the presumption being that these were due to bronchial pneumonia, although not reported as such. The deaths from all forms of pneumonia were reported as 942, making in all 4,372 deaths from September 7 to November 9. This discrepancy—that is more deaths than reported cases of influenza—is due to the fact that influenza was not made a reportable disease until the date of October 4, fully a month from the time the epidemic appeared. The weather conditions were generally fair and no noted abnormality is recorded as compared with other years. The statement of the Health Department of this city was that, after a practical disappearance of influenza in October, there was a slight recurrence in November and a more pronounced recurrence about the first of December, since which time the cases have slowly but steadily decreased, until at present—December 21—the fatalities attributable to influenza are about 20 daily.
In the city of New York the epidemic first appeared September 18. Up to and including December 27 there were reported to the Department of Health 136,061 cases of influenza and 21,388 20cases of pneumonia. The number of deaths since September 18 was 11,725 attributed to influenza in the death certificates filed in the Health Department and 11,601 attributed to pneumonia. The epidemic reached its peak during the week of October 19, slowly subsided and was practically at an end on November 9. While the epidemic is reported as ending on this date, the mortality rate from influenza and pneumonia is still very much above normal. No particular features concerning the meteorological conditions were noted, except that in this city the weather was clear and delightful during the months of September and October when the epidemic was rampant.
In the city of Philadelphia on July 22 the Health Department issued its first health bulletin on so-called Spanish influenza, announcing the possible spread of this disease into the United States. On September 18 a warning was issued against an epidemic, the department starting a public campaign against coughing, sneezing and spitting. On September 21 the Bureau of Health made influenza a reportable disease. At this time the authorities stated an epidemic of influenza was recognized as existing among the civil population of similar type to that found in the naval stations and cantonments; that a large percentage of cases was accompanied by pneumonia; that patients should be isolated and attendants wear masks; that isolation be practiced for a period of ten days after recovery to prevent carriers; that patients be guarded against relapse and that the public be cautioned against large assemblages and crowded places, as well as to avoid coughing, sneezing and spitting. On October 3 the churches, saloons and theatres were closed, funerals were made private and food handlers were required to protect their wares. The number of cases reported from September 23 to November 8 was 48,131, but the Bureau states, from a rough estimate, the number of cases was probably 150,000. The total number of deaths reported was 7,915 from influenza and 4,772 from pneumonia in all its forms, the presumption being that the deaths during this period were due to influenzal pneumonia. The weather condition during this time is recorded as mild and fair.
The influenza cases began to be reported in Cleveland on October 5, and up to December 20, 22,703 cases had been recorded. Certificates recording deaths due to influenza alone numbered 2,497, while pneumonia amounted to 833. The epidemic was at 21its height in the latter half of October and the weather was spoken of as pleasant fall weather. During the week of October 26 the epidemic reached its greatest height, abated in the week ending November 23, increased later, but showed a drop for the week ending December 21.
The epidemic first reached Chicago on September 21, and from that date on it rapidly increased throughout the city for a period of 26 days until October 17, when it reached its maximum both in the number of deaths from influenza and from pneumonia. On that day the total number of deaths from influenza and from pneumonia reported was 2,395. From September 21 until November 16 there were reported 37,921 cases of influenza and 13,109 cases of pneumonia. On September 8 at the Great Lakes Naval Training Station, which is 32 miles north of the city, an extensive outbreak of influenza occurred. This was 13 days before the outbreak in the city of Chicago itself. Camp Grant, located at Rockford, 92 miles northwest of the city, suffered an outbreak on September 21. A suggestion of the likelihood that influenza was prevalent in this country in a mild and unrecognized form in the spring of this year is shown by the fact that numerous local outbreaks of acute respiratory diseases were brought to the attention of the Health Department of Chicago. These occurred especially in large office buildings and in industrial departments. The total number of deaths from influenza and pneumonia during 14 weeks was 51,915. This would indicate that a very great number of cases were not reported to the Bureau of Health until they died or else there must have been a large number of deaths due to lobar pneumonia. One naturally obtains from these figures the impression that the disease was not recognized for a long time, that the pneumonia must have been called lobar pneumonia, and that the actual figures gathered by this city, as well as others, must have been greatly confused at the onset of the epidemic. It is not unlikely that records from many of the army cantonments and naval stations may be considered from the same viewpoint. Weather conditions were considered normal at the height of the epidemic, the weather being dry. There has been a flare-up of influenza recently, but not in sufficient numbers to justify calling it epidemic.
In the city of Louisville, Ky., the epidemic started September 26, and the total number of cases up to December 21 is reported 22as being 9,445. Out of this number 772 deaths occurred from pneumonia. No distinction is made here between broncho-pneumonia and lobar pneumonia, but the presumption from the records of other cities at this time is that these were cases of broncho-pneumonia following influenza. The weather was described as being delightful fall weather. The statement is made by the authorities that while the epidemic is still prevalent, it is confined largely to children and is rapidly abating.
The first case in the city of St. Louis was reported about October 7, and up to December 23 there had been 31,531 cases reported to the Bureau of Health. They recorded 1,920 deaths with influenza given as a contributing cause. Preceding the time when the epidemic was at its height the weather was fair and warm, and the statement is made that, “without going into the matter exactly, we have been of the opinion that damp, rainy weather has been a help in controlling the disease.” The opinion was expressed by the Commissioner of Health that the disease had now abated.
No information could be obtained as to when the epidemic first reached the city of New Orleans, but during the months of October and November 43,954 cases of influenza were recorded. Of this number 2,188 died from a combination of influenza and pneumonia. They stated in their health report that during the period from January 1 to December 31 there were 239 deaths attributable to broncho-pneumonia. The weather was mild and on December 24 the epidemic was stated to have abated.
The city of Minneapolis recorded its first case on October 7, but the authorities expressed their belief that a few cases had appeared before that date. Up to December 21, 15,000 cases had been reported to the Bureau of Health and of these there had been 735 deaths from broncho-pneumonia. They had in their city a late, rainy fall and up to that period they had had no cold weather.
The record obtained from the city of San Francisco stated that the epidemic first appeared September 23 and that it was very widespread in that city early in October. There were two invasions and 53,260 cases reported. At the height of the epidemic more than 2,000 cases were reported in one week; 188 deaths occurred from influenzal pneumonia. The following week, after the institution of mask wearing, in which between 80 and 90 per cent. of the population concurred, it was stated that the number 23of cases decreased to about 200. It was stated that the weather was generally very fair during the epidemic.
From the city of Portland, Oregon, the following information was obtained: The epidemic first appeared October 11, with a second one toward the end of the year. There were 8,079 cases reported, with 658 deaths from influenza and 250 from pneumonia. Weather conditions were stated to be varied, but the health officer believed that during the worst wave the weather was clear and dry, with easterly wind. He believed that a decrease in influenza was noticed immediately after a Chinook wind and warm rain. Similar observations were made by Coutant in Manila.
A weather comparison of 12 large cities, well distributed over the United States, studied during this pandemic of influenza and checked with normal weather during that of many years, shows: Boston, fair with no abnormality; New York, clear and delightful, no abnormality; Philadelphia, mild and fair; Pittsburgh, mild and cloudy; Cleveland, pleasant fall weather; Chicago, normal and dry; Louisville, delightful fall weather; St. Louis, fair and warm-damp, rainy weather later seemed to control the epidemic; New Orleans, mild; Minneapolis, a rainy fall and no cold weather, which is unusual there; San Francisco, generally fair, and Portland, Oregon, clear and dry.
At Bryn Mawr College, in Pennsylvania, an institution devoted to the higher education of women, located within 10 miles of the city of Philadelphia, the epidemic occurred at the beginning of the college year—October 1. This college at the time had an enrollment of 465 students. There were 85 cases of influenza, with an additional 25 who suffered from influenza in their homes. There were no deaths from pneumonia. The weather conditions were clear and warm, and since November 29 there have been no new cases occurring in the college and only three or four of the students have been ill at their homes since that time.
Dates of the Appearance of Influenza Endemic in various Cities of the UNITED STATES
1918.
25The enrollment at Smith College, Northampton, Mass., was 2,103, and the first case of influenza appeared with the arrival of the students on September 18 and reached its height on September 30. All group gatherings indoors were stopped from October 3 to October 18, and the epidemic was over by October 20. A recurrence began November 15 and continued until December 17. There were 182 cases in the first epidemic and 100 cases in the second. There were only two deaths from influenza pneumonia. During the rise of the epidemic the weather was rainy, followed by good, clear weather. The change in weather conditions seemed to make no difference. The second epidemic was still prevalent when the students left for their holidays.
In Wellesley College, where there were enrolled 1,593 students, the epidemic first appeared on September 18. Up to the middle of December they had had 280 cases. During six weeks of the epidemic 265 cases were reported and only one death occurred from broncho-pneumonia. For the most part, bright and sunny days were present, with only a few cloudy and rainy days. This college has not been without cases since September, but the epidemic lasted only about six weeks.
In a communication from Columbia University it is stated that the epidemic appeared during the week beginning September 22. No records were available for the student body at the time of inquiry, but in the Student Army Training Corps of 2,200 men between 8 and 9 per cent. had the disease during the period from October 1 to December 14. In this army group during this period two deaths from influenza and pneumonia occurred. The weather conditions in the city during this time were considered normal for fall weather—that is, mostly clear, with high winds. The opinion expressed was that the epidemic was still prevalent and increasing, and that a return wave seemed to be more virulent and affected the children of the city more than had the first one in the early fall.
There were enrolled at Harvard on October 1, 3,193 students. The first case of influenza occurred on September 20. There were 227 cases of influenza reported; of these there were 46 cases of broncho-pneumonia, with five deaths. There were two waves to the epidemic; the first wave height was in October and the second the last of November. The weather conditions were not severe nor particularly unfavorable at either time. The epidemic abated at the university largely because of the demobilization of the Student Army Training Corps. At that time it was still prevalent in Cambridge and Greater Boston.
26At Yale University the disease first appeared in the New Haven Hospital on September 21. There were registered in all departments of the university 2,265 students. Up to the date of December 24, 1,013 cases have been treated. The number of deaths from broncho-pneumonia has been 249. At the height of the epidemic, which occurred in the third week of October, typical fall weather prevailed. An unusually clear, dry October with very little rain, much sunshine and rather low humidity was the weather report.
During the period of the epidemic at Princeton that university had 1,050 students, and the first cases appeared shortly after the opening of the college term on September 24. As a precautionary measure, every case, when even only suspicious, was sent to the infirmary. In all, there were about 70 cases in the university and about 45 cases from the United States School of Military Aeronautics. Only one member in the latter school died of pneumonia. There were no deaths among the students at the university. In this part of the country the weather was most delightful all autumn, being warm and dry, very little rain having occurred since the end of July. At the date of the inquiry the epidemic had disappeared—that is, about December 21—there being only two very mild cases under suspicion. In the town of Princeton, outside of the university, the conditions were much more serious than in the university itself. Influenza appeared in the homes of many of the poor people of the immigrant class, so that it was not uncommon for four or five members of one family to be infected at once. In one family of seven, five serious cases of pneumonia developed. An emergency hospital was opened by the authorities and 40 cases of pneumonia were treated. Of these approximately one-half died. At the time this report was furnished the epidemic seemed to have disappeared.
The number of students enrolled at the University of Virginia was 957. The first cases occurred as early as September 24. There were 290 of these in number, and three died of broncho-pneumonia. The epidemic was reported as having abated on December 15, but a few cases appeared after that date.
At the Army General Hospital No. 24, located at Hoboken, a few miles outside of the city of Pittsburgh, on September 28 27two soldiers were taken ill and, with the disease unrecognized, they were removed to the cantonment hospital at Point Breeze, within the city proper. The men were found a few days later to be suffering from influenza, and from this presumable source an epidemic spread rapidly among the troops and student soldiers located here.
From September 28 until November 20, 1,392 cases of influenza occurred among the enlisted men. How the infection reached the first two cases at Hoboken is not known. The command here consisted of the Student Army Training Corps of the University of Pittsburgh, and Carnegie Institute of Technology, Motor Mechanics of the University of Pittsburgh and the Ordnance and Quartermasters’ Department on detached service. The strength of this command was approximately 7,000. The first case appeared on September 30 and the diagnosis was made on the following day. Beginning October 13, all soldiers of this group were inoculated with two 1 cc. doses of vaccine, obtained from the New York State Board of Health. At the height of the epidemic there were about 840 soldier patients in the several hospitals of the city at one time. Cubicles were used in the hospitals, and in the barracks a floor space of 50 square feet was allowed to each man. The men slept alternately head to foot, with paper screens intervening, which were changed daily. In company formation they were instructed to gargle their throats and clean their teeth morning and night under the supervision of their officers. Strict military quarantine was maintained throughout the entire camp, no congregating was allowed, classes were suspended and only open-air drills were permitted. For the entire command there were 220 cases of pneumonia, with 99 deaths, an average mortality of 44 per cent. The dishes were boiled in the hospitals, and sanitary dishwashers were used in all mess halls. The kitchen help and personnel were inoculated with influenza vaccine, with apparently good results. The Magee Hospital, with 375 beds, was under strict military control. When this was full, all others were treated in the civilian hospitals.
In the city of Pittsburgh the disease was not made reportable until October 5. However, one case was reported on October 1, and it was known that there were a few isolated cases in Pittsburgh previous to that date. During the months of October, November and up to December 21 there were 23,268 cases of influenza reported, and the deaths were 1,374 from lobar pneumonia 28and 678 from broncho-pneumonia. We cannot but feel that most of the deaths reported during the period of the epidemic as lobar pneumonia were broncho-pneumonia associated with influenza. It was well known among civilians that true lobar pneumonia was exceedingly rare and has remained so up to the present time. This is especially noticeable, as this is the time of the year when lobar pneumonia is usually widespread in Western Pennsylvania. This district was particularly favored with a mild fall and winter. On October 1 the first case was reported, on October 15 the epidemic reached its peak—on that day 957 persons being reported ill with the disease. From October 16 until October 28 it maintained an average of 600 cases daily; from October 29 until October 31 there was a sharp decline from 600 cases daily down to 200 cases daily. From November 1 until December 21 the decline has been uniform, and on this latter date 58 cases of influenza and 7 of pneumonia were reported. The height of the epidemic was reached between October 15 and October 29. During the period of the epidemic in Pittsburgh, from October 1 until December 15, 62 days were recorded as cloudy, or partially cloudy, and only 14 days as clear, although the cloudy days seemed distributed and not in decided groups. The mean temperature for October was 58 degrees, with normal 54.9; for November, 44 degrees, normal 42.9; for December, 41 degrees, normal 34.7. The precipitation in October was 3.08, as against a normal of 2.36; in November, 1.79, with normal 2.55; and in December, 3.50, normal 2.73. From a study of these weather reports we see that the epidemic occurred during a period of abnormally warm, cloudy and slightly more moist autumnal season than usual, but these variations were relatively slight and far from decided. The confusion of diagnosis between lobar pneumonia and broncho-pneumonia, associated with or following influenza, occurred in the Pittsburgh health reports as well as in other cities. The presumption that almost all, if not all, of the cases reported as pneumonia of different types were really cases of influenzal pneumonia, seems justified.
During the time the epidemic was at its height in Pittsburgh the Western Pennsylvania Institution for the Blind was in session. 29This school is located in the heart of the educational center and was surrounded by the barracks of the Student Army Training Corps of the University of Pittsburgh and the Carnegie Institute of Technology. When the influenza was recognized as epidemic in this neighborhood, the attending physician at this institution advised a quarantine against the public. The children were refused visitors in the buildings, and the usual week-end trips home were forbidden. This school was continuously in session from September 24 until November 30. During this time there was not a single case of influenza in the school and the children were free from any infectious disease. On December 1 the pupils returned to school after the Thanksgiving holiday, and one week later, on December 8, the first case of influenza appeared. In a period of five days following 15 cases developed. It was considered wise to close the school, and all well children were sent to their homes. The institution was kept closed until January 1, since which time no cases have developed. Very few of these children had influenza at home, and only one death occurred.
A reliable report, subsequently confirmed by the health officer, stated that in Masontown, Pa., the start and course of the epidemic were very striking. A dance was held in the town and the musicians were brought from nearby cities. One of the musicians employed was not very well upon his arrival, and became so ill that after the dance he was put to bed in the hotel. He was found to be suffering from influenza when examined the following day, and from him as the primary case the town was swept by the epidemic.
In Mercer, Pa., the physician to the Board of Health reported that during September they had a general epidemic of coryza and sneezing, with slight fever, which lasted for three or four days. This was looked upon by the people as hay fever. In the midst of this, or about September 16, a man, 74 years of age, who had been away from home, developed true influenza, followed by pneumonia, from which he recovered about October 10. Another man, employed in Greenville, a nearby town, where influenza was already prevalent, returned to his family here suffering from the disease. The whole family and all who were exposed to this family were infected. From this family as a focus the disease spread rapidly in every direction. There were 30about 350 cases in the town of 2,000 inhabitants, and there were 9 deaths. Sporadic cases have occurred since, ranging in number from one to a dozen at a time. These numbers do not include scores of cases called colds by the people, but it seems that all these cases had an influenza element.
In the town of New Castle it was not possible to trace the onset of the influenza epidemic to a definite case. As the health officer stated, several cases were reported at once.
The first case of influenza in Indiana, Pa., of which there was any definite knowledge occurred on September 15. A clothing merchant who had just arrived from New York, where he had been buying stock for his store, was the first case identified. The next case occurred several weeks later, the disease being contracted at the mining town of Coal Run, in Indiana County.
A man resident in Sharpsburg who had suffered from influenza visited friends in Fraser Township, Allegheny County, to convalesce. Previous to his coming that section had been free from the disease. He was still coughing at the time, and, moreover, he is said to have been a great talker and visited largely among the neighbors of his host. Threshings in that part of the township were going on and these he also attended. The date of his coming was October 13. By October 15 his hostess was taken ill. By October 16 some of the threshers were affected, and by October 17 enough were sick to break up the work of threshing. Eventually all the men engaged became ill, and 11 families were infected from this source.
Reviewing the history of former epidemics and pandemics, I have gained the impression, as have many others, that we are not dealing with any new disease. Further, our knowledge of this pandemic with its high incidence of broncho-pneumonia shows that it is in no way markedly different from that of former manifestations of influenza. One is impressed by the fact that in different outbreaks of this disease of complex symptomatology certain symptoms or complications have been prominent, overshadowing others, and making such complications the striking feature at the time. The failure to recognize that these varying features are merely different manifestations of one disease has 31resulted in much confusion. The observation made in the last epidemic—and one which can be endorsed during the present plague—is that influenza has been and is the most widespread, rapid and extensive of all diseases. One thing also that attracts attention at the present time is the long period existing between the several pandemics. Whether, as one observer during the present pandemic has stated, it requires a long period for the infection to become active and easily carried, or whether any possible reason can be suggested for these phenomena, admits of no satisfactory explanation. The outstanding feature during this epidemic is the complication of broncho-pneumonia, and yet, from very early times, this complication has been repeatedly spoken of as a striking characteristic. Reviewing the health reports from the large cities of deaths from pneumonia, the presumptive opinion seems justified that almost all, if not all, pneumonias reported as associated with influenza were of the broncho-pneumonia type. The infrequent presence, indeed the rare finding, of lobar pneumonia during this period in Pittsburgh seems to verify the aforesaid opinion. The great frequency and the high mortality of broncho-pneumonia were particularly noted during the present epidemic. During the present epidemic the great mortality among pregnant women was another striking feature, and yet this is by no means new, having been recorded by some of the earliest writers. Such also may be said of the recurrence of the disease in the same patient. One important observation brought out in the study of the pandemic of 1889 to 1892 was that the ordinary infections occurring in the spring and fall known as grippe or La Grippe are in no way connected with the pandemics which have occurred. There seems to be a consensus of opinions among the records of the more recent epidemics, as well as during the present pandemic, that weather conditions in no way influence the spread of the disease. Furthermore, a study of weather conditions throughout the United States, and particularly those of our own city, seem to bear out the truth of this observation. While clinicians during other epidemics expressed their belief in the incident of a primary case producing infection, it has only been during the present one that such an opinion has not been assailed. The large number of military training camps and cantonments have undoubtedly offered splendid opportunity for the spread of influenza. The 32futility of attempting to control it even under normal conditions is still questionable. Consistent with former reported invasions of the disease, the present epidemic lasted a definite period. This period was about six weeks in most of our large cities, colleges and institutions, extending approximately from October 1 to November 15.
It is imperative to note the accurate clinical observations recorded from the numerous epidemics of the past by men with far less data to go upon than is available at the present day. The high morbidity among the personnel of many of our hospitals and institutions where the infection occurred and the relatively low mortality deserve attention. This may be partly explained by the methods of treatment of those infected, but not entirely. The great likelihood of carriers of influenza, who either are not ill or who are suffering from very mild infection, is an observation also noted by former writers which cannot be ignored. The value of the masks has not been established, although they have been extensively used in many parts of the country. Frequent throat lavage was generally accepted as a rational preventive measure. Relightings of the disease have been noted in most of our cities after the subsidence of the epidemic. Vaccination against influenza is fully discussed in Dr. Haythorn’s paper in this series.
The presence of influenza in San Quentin prison, California, in April, 1918 (Public Health Reports, May 9, 1919); an epidemic of respiratory disease in Chicago in the spring of 1918; the report of Soper of influenza in our army camps in March and April, 1918; the occurrence of influenza in Porto Rico in June; influenza on a United States Army transport from San Francisco, as reported by Coutant, seem to point to the possibility that influenza had a footing in America long before the disease became pandemic. The view held by some that the beginning of influenza was in America, subsequently being transferred to Europe and then reimported here, is worthy of consideration. Coutant believed the disease originated in Manila, others that it traveled from “a permanent endemic focus in Turkestan,” and there are many other theories which attempt to discover the original source of the disease. The question is today an unsettled one. The pandemic of influenza in its severest form swept so suddenly over the world that before the profession realized it or had become 33stabilized it had changed its character and the great plague was gone. The consequence has been that we have really learned little that is new and have done scarcely more than establish on a firm basis many of the opinions formed after the great outbreak of some 30 years ago. Because transportation is today more rapid than it was at that time, so the spread of the disease has been correspondingly swift. Our modern life, the congregating crowds in theatres, moving-picture houses and in lecture halls, as well as of the men in our training camps, the development of street cars and the more frequent traveling by train—these and many more changes in our mode of living have served to aggravate the conditions favoring the widespread distribution of the infecting agent. A higher proportion of the population was, therefore, attacked than in any previous pandemic, and the period during which the disease was widely prevalent has for the same reason been relatively much shorter.
The characters differed somewhat in different regions, but the evidence shows clearly that we are not dealing with any new disease. It will be years before we are able to fully analyze the data that have been collected from such wide sources and by so large a body of trained men, so that important epidemiological facts may still be forthcoming from the material already at hand. We are too close to the events to get the most helpful perspective, and the object of this report has been to add, in however small a degree, to the general knowledge of this great pandemic as it has appeared to us in Pittsburgh and its surroundings.
The epidemics of influenza which have been recorded from time to time during the past few centuries have always contributed an interesting chapter to the history of medicine. The protean character of the disease with its many complications is always an excuse for another attempt at the description of the clinical manifestations of a recent epidemic. This is not, however, the only incentive at the present time for describing the clinical aspect of the disease as it appeared in the epidemic through which we have just passed. The study of the disease from other aspects, such as the pathological, the bacteriological and the physiological, by well-organized groups of workers has made it necessary to co-ordinate, if possible, the clinical findings in every detail with these apparently basic principles. It would be interesting to review here the peculiarly fortunate circumstances which have led to the investigations. On account of the great war many temporary laboratory organizations which otherwise would not have existed were in operation, and these organizations, moreover, were keen to undertake any laboratory problem which might arise. The present epidemic presented the opportunity, and that the work was taken up with great enthusiasm is evidenced by the reports coming from the various army hospitals, base hospitals and civilian hospitals throughout the world. The permanent laboratories connected with medical schools and with institutions for medical research took up the problems with equal endeavor. This brief reference is made only to call attention to the fact that from such organizations a great mass of information has come which must be critically reviewed and coordinated before it can add to the permanent fund of our knowledge of the disease under consideration.
36The material upon which the following clinical observations have been made is peculiarly adapted to review because it consists of two distinct groups of patients which were admitted to the Mercy Hospital. One group of 153 men was composed of soldiers between the ages of 18 and 23, which had been recently inducted into the Student Army Training Corps, and were living in barracks in the immediate vicinity of the hospital. Another group consisted of civilians (394), ranging from youth to old age, which came from various parts of the city and surrounding towns and country. The first group came to the hospital early, or as soon as the disease was recognized; the second group came usually after several days of illness had elapsed, or when a complication had already arisen. Many of this group had been ambulatory cases for the first part of the disease. The entire number of patients admitted to the Mercy Hospital from the first admission, September 21 to December 1, the end of the quarantine, was 547. After December 1 very few simple influenza cases were admitted. These 547 cases form the basis of the observations which will be referred to in this paper.
From the last great epidemic or pandemic of influenza, that of 1889 and 1890, have come clinical descriptions which should be reviewed before speaking of the clinical manifestations which have characterized the present epidemic as shown in the two groups studied.
One of the best descriptions of that epidemic was given by Dr. O. Leichtenstern in Nothnagel’s Encyclopedia of Practical Medicine. This contribution, among many others, describing the epidemic of 1889 and 1890 is one of the first to refer to the Pfeiffer bacillus as being etiologically associated with the disease. It differs, therefore, greatly from descriptions of previous epidemics. Leichtenstern says: “The typical influenza consists of a sudden pyrexia of from one to several days duration, commencing with a rigor, and accompanied by severe headache, generally frontal, with the pains in the back and limbs, by prostration quite out of proportion to other symptoms and marked loss of appetite.” He continues by saying that to these characteristic symptoms may be added the catarrhal phenomena arising from the affection of the respiratory tract, particularly the upper (coryza) and “occasionally” the lower, the trachea and bronchi. This description is so in accord with the symptoms of uncomplicated 37influenza as found in the present epidemic that very little need be added. Any difference which may occur in the description of the disease is likely to be accounted for by the peculiarity of onset, whether in the upper or lower respiratory tract, and by the different ways of interpreting complications which may have arisen. It is evident from this description that the upper respiratory tract was affected more generally than the lower in the epidemic of 1889 and 1890. In the present epidemic it can safely be said that the reverse was the usual state of affairs. It was a rather unusual occurrence when the affection was limited only to the nose, pharynx, larynx, trachea and larger bronchi. A very large number, no doubt, had a peculiar œdema, a so-called “wet lung,” which we shall discuss later; others went on to a capillary bronchitis or a bronchiolitis, and a large number had broncho-pneumonia. This sequence we shall attempt to show in the statistics at hand. In some cases the lesion in the lower respiratory tract seemed to be primary, there having been no initial coryza. At least none was observed and no history was obtained.
The length of the prodromal stage—the stage from the time of contact to the earliest onset of symptoms—has always led to interesting observations and discussion. In this epidemic we have rather definite information bearing upon this subject.
A young married farmer living in a rural community where no influenza had occurred up to the time of the present experience went to a city about 40 miles distant. On the train he sat in the same seat with a man who was apparently ill, and who was sneezing and coughing. He was in the city only a few hours, and was not in any place of congregation except the railway train. Forty-eight hours after his return to his home he noticed the first symptoms and began a mild course of influenza. About 50 hours later his wife was taken with the same symptoms, and in two days more their only child was afflicted. Other members of the household were also afflicted, and one of them died of pneumonia.
It might be interesting to quote a similar observation made by Macdonald and Lyth, of York, England, published in a recent issue of the British Medical Journal (November 2, 1918, p. 488), which corroborates this experience. They say: “We traveled 38from London together on Thursday, October 3, by train, leaving King’s Cross at 5.30 P. M., arriving in York at 9.30, and as we were leaving the carriage a young flying officer, who had come the whole way with us and was coughing and sneezing at intervals, informed us that he was ill and had had influenza for several days. On Saturday, October 5, we both became ill and had developed typical attacks of influenza. With both of us the illness developed suddenly with laryngitis; in both the first signs were a severe attack of coughing; and in both the time was noted fairly accurately as being between 2 and 2.30 P. M. One case was quite mild, the temperature never over 101. The other was more severe; the temperature arose to 104½ and the catarrh extended to the bronchi. His wife and two children also developed influenza, and in their case the symptoms showed suddenly, about 2 P. M., on Monday, October 7. Now we are convinced that we became infected from our traveling companion during the train journey—more likely toward the end of the journey; and if we take the time of infection as 9.30, this fixes the incubation period for both of us at a minimum of 41 hours, with a maximum margin of error of 4 hours. The three cases developing in the family of one of us point to a similar incubation period, as their illness started almost exactly 48 hours after his, and as it is likely that the infection would not take place until a few hours after the first symptom, the incubation period in these three cases must have been nearly the same as our own two.
“It can be readily understood that we were in no position to conduct extensive bacteriological examinations, but a culture taken from the posterior nares of one of us on October 10 with a guarded swab showed colonies of Pfeiffer’s bacillus and of micrococcus catarrhalis.”
This observation is so convincing, I have quoted it at length and in full.
The communicability of influenza has been observed by all, and the ease with which it passes from one individual to another noted. One observation made by us was of considerable interest. In a house where a patient lay sick with a severe attack of influenza for nearly three weeks several members of the household passed the door of the sick room a number of times daily, and yet they did not contract the disease. This is in marked contrast with the immediate contact between the two physicians 39and the young flying officer, who sat in the same railway carriage compartment for four hours. The same observation was made in the hospital among nurses in direct contact with patients. A large number of these contracted the disease, while those not immediately associated with influenza patients almost invariably escaped. This speaks strongly against the idea that the epidemic was a so-called “plague,” or that it passed without intermediate means through the air and pervaded all places.
From information thus far at hand it seems, therefore, that the prodromal stage, or stage of incubation, is one which covers about 48 hours, and that it is usually without symptoms unless it be a peculiar prostration which had been described by some patients. It would also appear from the experiences just narrated that it was necessary to be in rather close contact with a patient, so that there could be an exchange of respired air before infection could take place.
In all descriptions of the disease the duration is spoken of as “several days, more or less,” “a three-day fever,” or “a seven-day fever.” Because of the careful supervision under which the soldiers were kept while in the barracks an excellent opportunity was afforded to note the duration of uncomplicated cases. The shortest time observed was 1 day, and the longest 10 days. The average duration of temperature among 87 soldiers without inflammation of the lungs or other certain complications was 6⅓ days. Among the civilians the shortest time of pyrexia was a few hours only, while the longest in 73 male patients was 14 days, and in 84 female patients was 16 days. The average length of pyrexia in the males was 4⅝ days, and in the females was 5¼ days.
While the very definite clinical description of the former epidemics of a so-called uncomplicated influenza seems to have served satisfactorily to the present time, the laboratory studies and the possibly more thorough clinical observations which have been carried out recently in this epidemic make it necessary to present anew the whole disease picture of influenza, with the hope of suggesting a classification more in accord with our present knowledge of the disease.
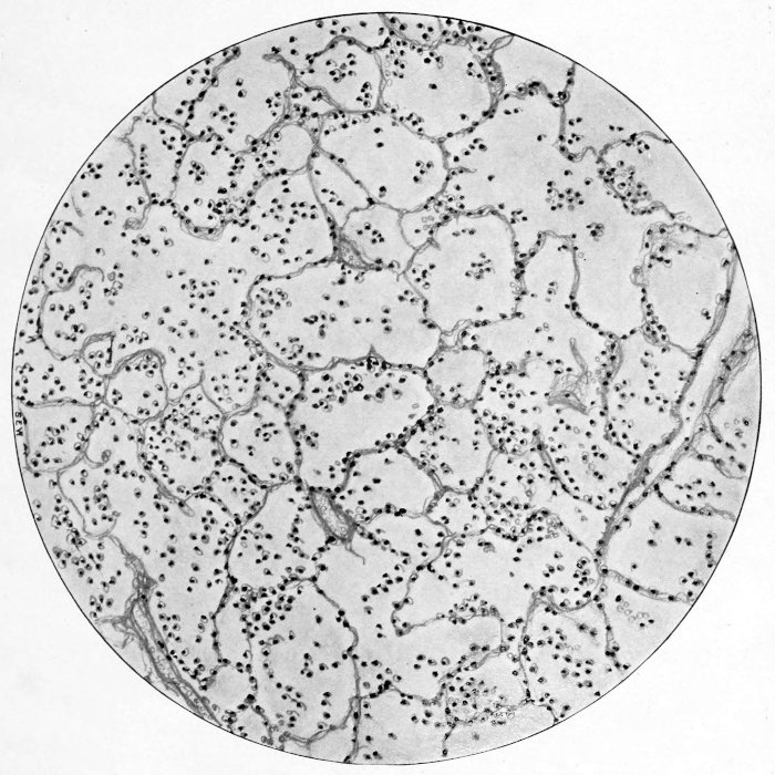
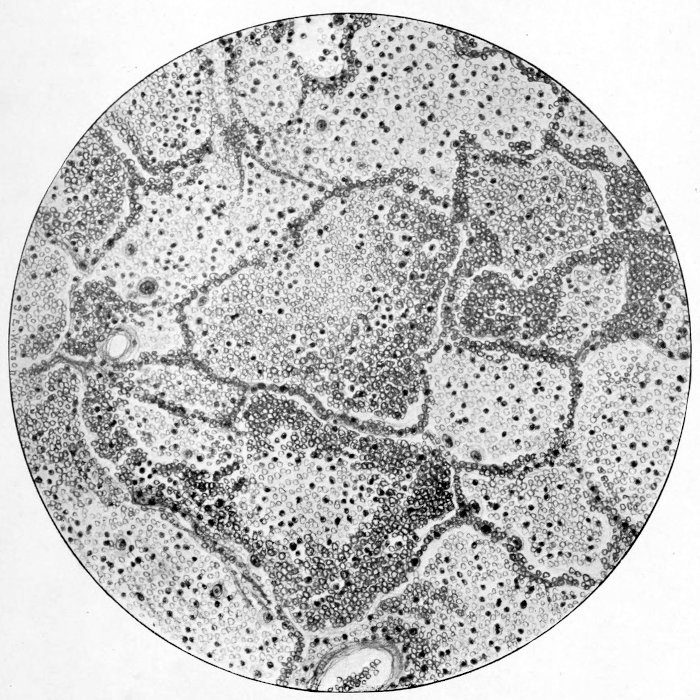
A few words as to “forms” or varieties of influenza might be helpful before suggesting a classification of symptoms. In former epidemics of influenza considerable importance was attached to the early manifestations or first symptoms as characterizing the “form” of influenza which was in evidence in the individual patient. These were reported as a “respiratory form,” a “nervous form,” a “gastro-intestinal form,” and other forms—circulatory, renal, psychic, etc. In the epidemic of 1889 and 1890 particularly these types were noted, and they have been described in the subsequent small epidemics, practically characterizing them as being of one or the other, and frequently as being without any respiratory symptoms. In the study of our group of cases in the present epidemic every effort was made to recognize the non-respiratory cases, but we were unable to find a single case which did not have definite respiratory symptoms, either early or late, in addition to any other symptoms present. Only occasionally were nausea, vomiting and diarrhea or tachycardia, or certain neuroses or psychoses, the leading symptoms. The respiratory symptoms in some cases seemed to be at the onset primarily of the lower respiratory system—that is, without the preliminary coryza. These usually ran a rapidly fatal course, characterized by marked cyanosis and confusingly irregular chest signs. We would say, therefore, in so far as our experience goes in this epidemic, we are not justified in speaking of any particular forms except the respiratory form, and whenever pronounced manifestations occurred justifying a characterization of any other form they could more easily be interpreted as a complication, or the manifestation of a coincident disease, or of a severe toxæmia.
The classification of the symptoms, therefore, takes into consideration largely those symptoms arising from the respiratory system. We are of the impression that the pathology demonstrated by Dr. Klotz and described by others justifies the following classification. Clinically we would recognize two distinct groups of epidemic cases.
The first includes those without lung involvement having symptoms arising from the upper respiratory tract, including the trachea and the larger bronchi. These were practically without any chest signs except for the rather indefinite signs of an acute 41bronchitis, and the only symptoms referable to the respiratory tract were a coryza, soreness of the throat, hoarseness and a cough of varying degree and character. If to these symptoms are added those of Leichtenstern just mentioned, one will have a good description of a so-called simple, uncomplicated influenza.
The second includes those with lung involvement and associated with physical chest signs, in some indefinite and confusing, while in others definitely conforming with the existing pathology. These symptoms and chest signs were those associated at one time with what appeared to be an acute œdema of the lungs. At another time the physical signs were those of a bronchiolitis (capillary bronchitis), or most frequently of a broncho-pneumonia, of an isolated type or of a massive type. Finally there were some forms of lobar pneumonia which at times we were unable to differentiate from a true lobar (croupous) pneumococcic pneumonia.
Of the group without lung involvement nothing further would seem necessary to be said in addition to what one finds in standard text-books describing the disease picture of former epidemics. The incidence of influenza of this type among our group was as follows: Of 153 soldiers 93, or about 60 per cent., had a so-called simple, uncomplicated influenza, and of the 394 civilians 185, or about 52 per cent., had no lung involvement. There are a few points in which the symptoms of the present epidemic seem to be so peculiar that they merit special consideration.
This can be described as showing a sudden rise to 102–104, at which point it is maintained for a few days, and subsides by lysis in a few days more. A typical chart is as follows:
CHART I
Or the temperature might fall one or two degrees for a day or so after the first rise, and then go up again for one or two more days, and subside by lysis as is shown in Chart II.
CHART II
This would occur without our being able to find any lung lesion unless we accept the acute œdema or wet lung as a complication, 43and this we were rarely able to recognize by any definite physical signs in the chest. Cyanosis frequently accompanied this second rise of temperature, and was later interpreted as being associated with the so-called wet lung. When the temperature remained up longer than five days it could safely be concluded that lung involvement must be present.
The pulse was invariably slow, or rather out of proportion to the temperature. Even when the patient seemed very ill the pulse remained from 84 to 96, and of surprisingly good quality. This was noted also when some of the more severe pulmonary involvements or some complications arose. The pulse frequently did not become rapid until shortly before death. The respirations in an uncomplicated case also remained about normal. The rate was not accelerated until lung complications arose, and then a gradually increasing rate was often the first herald of oncoming danger and a sign of grave prognostic import. The relation of the pulse phenomena toward the end of a fatal case was most remarkable. The respiratory rate was accelerated, as has been noted above, but the pulse rate frequently remained unchanged, being characteristically slow. In a patient seen in consultation with Dr. Lester H. Botkin, of Duquesne, Pa., death took place while we were in the sick room. It was a case of apparently uncomplicated influenza of seven days’ duration. The respirations were rapid and the pulse was only 96. In the last five minutes of life the heart beats as observed with the stethoscope never varied, until they suddenly ceased; during the same time the respiratory efforts were only three agonal ones, the last being a minute or so before the last heart beat. There were no physical signs of consolidation at any time recognized in this case, but we feel that the lung, had we seen it at autopsy, would in all likelihood have shown the peculiar hemorrhagic and œdematous character so often observed in the fatal cases.
There were, of course, marked exceptions to the description of slow pulse and later rapid respirations observed. In some the pulse rate and respirations increased, together with or without definite signs of a grave complication.
This was recognized early in the epidemic. It was sometimes preceded by a peculiar flushing of the face, such as accompanies belladonna poisoning. It might be noticed in the very first days of the attack. The cyanosis was looked upon as being a very early symptom of lung involvement. With our later knowledge from autopsies, and especially as shown by Dr. Klotz, we feel it was surely an accompaniment of, or may even have preceded, the changes in the lung which have been designated as œdematous, “wet” or cyanotic. At the earliest appearance of the cyanosis we were frequently unable to find any change in the physical signs of the chest. Of course, the indefinite signs of an acute bronchitis were present, and in some cases an additional “impaired resonance” was noted over one or both lower lobes, but when this was definitely present other more definite signs soon followed, and our case was shifted suddenly from Group I, i. e., without apparent lung involvement, to Group II, i. e., with definite lung involvement. This cyanosis was noticed first in the face, and frequently was marked on the dorsal surface of the hands. It was not unlike the cyanosis which may sometimes be seen when large doses of certain coal tar derivatives are taken. In fact, the question arose whether in the epidemic of 1889 and 1890, when the coal tar derivatives were prescribed with such freedom and with accompanying cyanosis and apparently such deleterious effects, the cyanosis may not after all have been due more largely to the infection than to the medication. After that epidemic it was said: “Influenza has slain its thousands, but the coal tar products have slain their tens of thousands.” There was no gross hæmaturia or hæmoglobinuria present in these cases, although a few red blood cells were seen microscopically. There was, however, epistaxis, sometimes early in the disease or later associated with the cyanosis. In a few cases there was hæmoptysis, which we regard as always arising in cases where the wet or hemorrhagic lung was present. Cyanosis in disease of the lungs, and especially in the terminal stage of lobar pneumonia, is a familiar and common occurrence, but the cyanosis observed in this epidemic seemed quite different from the ordinary. The points of difference were these: (a) it came early in the disease; (b) it seemed to be more generally present when very little lung involvement could be demonstrated physically, and was just as likely to 45disappear when more definite chest signs were demonstrable; (c) it was not associated with embarrassment of respiration; (d) it had no relation with a demonstrable circulatory disturbance. The pulse did not become rapid; the quality of the pulse did not change; the right heart was not dilated, as is so frequently the case in the terminal stage of a lobar pneumonia when cyanosis appears; (e) and finally there was no associated œdema of the lungs, or at least that œdema of the lungs which occurs in the later stage of lobar pneumonia, when the pulse becomes rapid, when there is rapid and labored respiration, when the right heart dilates, when there is cold perspiration, and when the signs of impending death are plainly evident. The cyanosis of influenzal pneumonia seemed to be due to an entirely different cause or combination of conditions from those present in lobar or pneumococcic pneumonia. The cyanosis of influenzal pneumonia was, therefore, most confusing, and became all the more so when it was recognized that it did not yield to the respiratory and circulatory stimulants usually employed when cyanosis is present. The inhalation of oxygen was resorted to rather routinely early in the epidemic. It seemed to temporarily influence the cyanosis, but the results were not permanent, and the outcome of the cases did not seem to be different from those in which oxygen inhalations were not used.
The blood pressure in those cases in which cyanosis was observed was invariably low. This seemed to be due to the infection, for in several private patients not belonging to this group of patients with previously known high blood pressures the blood pressure was observed as much lower throughout the course of the infection.
The peculiar behavior of the white blood corpuscles will be discussed more fully in another paper of this series. Our remarks will deal more particularly with the clinical observations and interpretations. The leucocytes fell below the normal from the very onset of the disease; they varied very little regardless of great changes in temperature; they did not always increase, or if they did increase at all it was comparatively little, even in an extensive invasion of the lungs or in severe complications. Concerning the leucopenia we have no explanation to suggest, save 46that it is a clinical characteristic of the disease. Our first thought was that the infection came on so suddenly and profoundly there was no time for a leucocyte reaction. But when we recall other diseases associated with a leucopenia, notably typhoid fever, which does not come on with such suddenness, our explanation for the leucopenia of influenza does not seem to hold. The leucopenia must be simply a peculiar toxic blood reaction characteristic of the Pfeiffer bacillus invasion. Such an explanation has long been accepted in the Eberth bacillus infection.
A condition which was frequently noted by the patient was an indescribable weakness and prostration which appeared early, sometimes before any other symptoms were noted or before any elevation of temperature. The young soldier was in apparent perfect condition when he arose in the early morning. During the “setting up” exercises he did not feel so fit, and a few hours later appeared extremely weak. When his condition was called to the attention of the medical officers he was found to have a slight elevation of temperature and was sent to his bed.
In former epidemics, as also in this one, marked prostration was recognized as coming at the height of the disease and remaining persistently during convalescence. But it does not seem to be recorded as among the first symptoms.
Of the group with lung involvement much may be written from a clinical standpoint, and much confusion may be brought about. Especially is this so if one has no definite idea of the pathology present, or if one enters into a discussion of the character of the infection—a point upon which there is as yet no unanimity of opinion. From the many reports which have been put forth from the base hospitals of the various cantonments, and also from the reports coming from civilian practice, it is evident that scarcely any two groups of laboratory men or any two individuals of those separate groups have the same idea as to the bacteriology and the pathology peculiar to this epidemic.
As long as there is this confusion and element of doubt in the minds of those to whom we are accustomed to look, the clinician 47must necessarily speak with considerable hesitancy, especially when he attempts to interpret the physical signs observed. In our own group the observations of Klotz, Guthrie, Holman and others have given us an interpretation of our clinical findings which, at present at least, is more or less satisfactory. We shall definitely keep in mind their observations and conclusions as we go on with the description of the physical signs of the chest in cases having lung involvement.
In the description of this group it will readily be seen that the lower respiratory tract stood the brunt of the infection. Of the 153 soldiers under our care, 60, or about 40 per cent., were recognized as having pneumonia. Of these, 34 had undoubted demonstrable signs, while 26 were questionable, and yet from the temperature and other symptoms we concluded there was a pneumonia. Of the 394 civilians, 189, or about 50 per cent., had pneumonia. Of this group there were again some 28 or 30 in which the diagnosis was doubtful, according to the ordinary way of making a diagnosis, but we felt sure from the temperature course that more than a simple influenza was present. In the description of the physical findings of the chest in these influenzas with lung involvement it will be readily seen why the diagnosis must sometimes be in doubt.
Before referring to the physical signs it might be well to describe the condition and general appearance of the patient when the lungs became involved. The patient who had been progressing with an apparently simple influenza, with no chest signs except those of bronchitis or tracheitis, occasionally slightly cyanotic, became more cyanotic, the elevation of temperature continued longer than three to seven days, or if it came to the normal began to rise again, his respirations gradually increased and the pain in the chest became well localized. One could safely assume that the patient had developed a lesion in the chest. This could not always be localized during the first few hours or on the first day. The evidence of increased bronchial disturbance was frequently recognized, and later impairment of resonance and diminished breath sounds associated with “a few crackles” were noted. This, so far as we can tell, may have been the only evidence of the stage of œdema or “wet lung.” After this, as the disease advanced, definitely increased vocal fremitus and rather definite tubular breathing with greater impairment of resonance 48were noticed. These signs were usually observed first at the apex of the left lower lobe, and from here they extended forward along the inter-lobar sulcus, or downward along the spinal column. If the lesion was noticed first on the left side, in a day or two it was found more or less definitely in the right lower lobe also. It seemed to occur more frequently first in the body of the right lobe, instead of in the apex of the lobe as on the left side. In both lobes it might spread to contiguous areas and form a massive consolidation, or it might be found in small separate areas, some of which would clear up in a day, while others would persist.
The expectoration was frothy, containing either blood or masses of yellowish, greenish purulent material floating in a watery sanguiolent or clear fluid, or enmeshed in frothy mucus. The amount of expectoration in some cases was enormous, but as a rule it was scanty. It was thick and ropy at times and distinctly annoying to the patient.
At this stage the physical signs were very much in accord with those of broncho-pneumonia. In a few hours sometimes, or in a day, the small areas of consolidation became confluent and massive consolidation was formed. It appeared as though the whole lobe would in time become solid, as in a true lobar pneumonia. Or the original areas may apparently have cleared and other areas involved, became the centers of massive consolidations. In many cases both lower lobes were thus similarly affected, and one had the physical signs of a double lobar pneumonia. However, nearly always a small angle of the lobe remained clear, thus differing from the entire lobe involvement characteristic of a true croupous pneumonia. Other signs, such as the absence of vesicular breathing and presence of the crepitant râle, moist râles of all sizes to very coarse râles, could be noted. As in certain stages of a complete consolidation, the lung might be dry; no râles present, but definite tubular breathing present. This in a day or two, or after a longer time, might give the signs of resolution. The stage of resolution, however, was almost invariably prolonged, sometimes extending over weeks. With these variable lung signs were often mingled the signs of a fibrinous or serofibrinous pleurisy, which occasionally but remarkably infrequently went on to effusion or empyæma.
49As stated above, the demonstrable pathology was in the lower lobe, and more frequently in the left than in the right, only occasionally in the middle lobe, and never, we might say, in the upper lobes. The very earliest definite signs were found at the apex of the left lower lobe.
This observation seems to be entirely contradictory to that of the pathologist, who found in 65 per cent. of all cases coming to autopsy a lesion in all the lobes of the lungs (Klotz). The only explanation we can give which seems at all satisfactory to us is that the pathology in the upper and middle lobes must not have been sufficient, or must have been of such a nature that it did not yield the physical signs, i. e., definite impaired percussion resonance, increased vocal fremitus and tubular breathing, with varying shades of moist râles—signs upon which we insisted before we were willing to state definitely that there is a demonstrable pneumonia present.
In this description it has been attempted to follow the order of invasion in a lung which seemed to go through the entire course of the disease. There were, necessarily, all degrees of the process, some cases showing few signs and yet being remarkably ill, and others all of the signs with very little other evidence of serious illness.
We were continually impressed with the notion that the pathology in the lung, at least the pathology demonstrable physically, did not tell the whole story of the case, and that the outcome depended as much or possibly more upon a general infection or toxæmia of which the recognized condition in the respiratory system was only a small part. We were particularly impressed with this in the success or failure following the application of any therapeutic measures. It was quite a common remark, therefore, in the wards of the hospital among those associated in the work that “the patient died too quickly to permit of the succession of the various stages of pneumonia”; or, in the autopsy room, that if the patient had lived long enough he would have had demonstrable, well-recognized pathology of the lung, instead of the cyanotic, wet, spongy lung which was found.
The temperature course in the pulmonary cases was characterized by its irregularities, and by its being entirely out of harmony with the extent and severity of the lung invasion in so far as it could be interpreted by the physical signs. The temperature as described in a simple influenza might not come to the normal in the time of three to seven days, and might even go higher, with 50no demonstrable chest signs, but with every other evidence of lung involvement. Later the temperature might come down by lysis, which was the usual way, and the chest signs gradually or suddenly become evident. The temperature might remain normal throughout the rest of the course, and a lobe or even both lower lobes of the lungs be as solid as in a true lobar pneumonia. Occasionally the temperature fell by crisis, but there was no associated change in the physical signs of the chest. In short, the temperature seemed to run a course entirely independent of the physical signs in the chest. In two remarkable cases seen in consultation on two consecutive days the physicians in charge declared that no signs of consolidation could be found, though all other evidences of pneumonia were present. In the 12 hours which had elapsed from the time the last examination was made the temperature fell by crisis. At the consultation, to the surprise of the family physicians, we found both lower lobes consolidated, it having occurred apparently with the crisis. Both patients were healthy-looking, robust, young men, and both recovered with delayed resolution. In the convalescence of such cases, if the patient got up too soon or if any other indiscretion took place, a relighting of the lung occurred. From the above description it can be readily seen that a diagnosis of the conditions in the chest in influenzal pneumonia was frequently impossible, because one had to abandon all his previous ideas of pneumonia, in so far as onset, crisis, blood picture, sputum, temperature, respiratory and circulatory phenomena, physical signs and prognosis were concerned.
Assistance from the laboratory was meager, especially in the early days of the epidemic. This was due largely to the inability to get laboratory workers in sufficient numbers to follow the work through, but more largely to the fact that we were unable to interpret the unusual laboratory results which were available. When we were once fully aware of the difficulties in diagnosis which confronted us, we utilized every practical means at our disposal. Among these was an examination of the chest with the X-ray. On account of lack of facilities and of help, it was impossible to make routine X-ray examinations of the chest in all cases. Besides, it was difficult to interpret the X-ray findings, on account of the unusual character of the lesions. Also, many of the patients were so desperately ill one hesitated to disturb 51them. We hear that other clinics had similar experiences, and that very little substantial help came from the X-ray, except in cases with complications. Several attempts were made to determine the kind of shadow, if any, the “cyanotic, œdematous, wet” lung would make, but no satisfactory observations have been forthcoming. From our own observations and from the discussions of other observers, it would seem to us that the stereoscopic examination of these chests is the only possible way of getting satisfactory plate readings in these cases where the pathology seems so lawless in its extent and peculiar in its distribution. This method of examination, however, demands facilities convenient at the bedside and perfect co-operation of the patient—difficult conditions to meet under the circumstances. In the acute cases, when the desire to make a diagnosis not only of the presence but of the extent of the disease was keen, X-ray examination was largely impractical. In cases of delayed resolution, or in cases with complications with prolonged convalescence, X-ray examinations were extremely helpful.
In the consideration of any disease the well-trodden path of a painstaking history, a thorough physical examination, and reliable laboratory investigation, together with an intelligent interpretation, will usually lead to a definite diagnosis. In certain diseases, as is well known, the stress must be placed about equally on all of these factors, while in others one or other factor predominates. In influenzal pneumonia, until more is known of the etiology (bacteriology) and of the pathological changes and of the physiological disturbances, the controlling factor in the diagnosis (we feel embarrassed to admit) must be the history. This is true not only of the diagnosis of influenza with or without pulmonary involvement, but is also true of the diagnosis of the various complications, and will be found to be particularly true in the recognition of the bizarre sequelæ, which no doubt in the succeeding months or years will be attributed to or will follow in the train of influenza.
With the knowledge that there is a prevailing epidemic of influenza and that the manifestations are largely in the respiratory tract, any pulmonary disturbance will necessarily make one 52suspicious of the presence or the oncoming of an influenzal pneumonia in the patient under consideration. The history of the onset, as of simple influenza, is the greatest factor. This with a continued temperature, cough, cyanosis, slow pulse, continued asthenia, or even an unusual leucopenia, may have a greater weight in determining the diagnosis of lung involvement than will the apparently definite or, as it may happen, the confusing chest signs. To differentiate from ordinary bronchitis, broncho-pneumonia and catarrhal pneumonia, one need only refer additionally to the severity and persistency of the disease when it is of the influenzal type, as compared with the mildness of the ordinary type. To differentiate it from croupous pneumonia, one need only compare the confusing symptom picture of the influenzal pneumonia with the definite, clear picture of ordinary pneumonia; or the confusing kaleidoscopic chest signs of the one with the definite, clear-cut signs of the other. The laboratory thus far has been the smallest factor in making the diagnosis, in that sputum examinations, blood examinations, blood cultures and urine examinations are mostly negative in their results, or at least the findings are not specific. We do not, however, mean to indicate that these tests are not of the greatest value. The leucopenia is the one outstanding feature which seems to have separated this infection from other acute lung infections, excepting miliary tuberculosis. The differentiation of influenzal pneumonia from an acute tuberculous process in the lung may be difficult, especially if there is no reliable history available. However, the fact that pulmonary tuberculosis usually begins at the apices of the lungs and influenzal pneumonia at the bases or at the apices of the lower lobes is quite helpful. Of course, the examination of the sputum for tubercle bacilli will be a deciding factor.
The differentiation between influenzal pneumonia and diseases of the pleura is one which practically rarely needs to be made, for there seem to be very few cases of influenzal infection of the lungs in which the pleura is not also involved to a greater or lesser extent.
In considering the complications of influenza one again comes up squarely against the question: What is influenza and what is the specific micro-organism responsible for it? If the Pfeiffer 53bacillus is the specific cause, what pathology can be attributed to it? It has been an almost universal observation that the lesions in the lungs and pleura which characterized the group of cases with lung involvement rarely yielded a pure culture of the Pfeiffer bacillus, and that secondly in a large percentage of cases the Pfeiffer bacillus apparently was absent, and that other micro-organisms, such as the pneumococcus, streptococcus, micro-organisms commonly found in the pneumonic processes, were present and predominated. The question arises, therefore, may not all the influenzas with lung involvement be complications of influenza? It is our feeling that Pfeiffer bacillus is present throughout the respiratory tract in all cases, and while it may of itself produce a lesion like a broncho-pneumonia or a lobar pneumonia, it chiefly prepares the soil for other germs which may happen to be present, and which are more commonly found in the pneumonias. We, therefore, look upon the lesion commonly found in the lung as being a part of rather than a complication of influenza, and look upon lesions elsewhere, due to the influenzal or other micro-organisms, as a definite complication.
There is no doubt that the most frequent complication of influenza, especially in the present epidemic, is in connection with the pleural membranes. When one recalls that pneumonia rarely occurs without there being also a pleuritis, and also when one recognizes that in an influenzal infection of the lungs the specific micro-organism, together with any other micro-organism which may happen to be present, seems to run riot, apparently abandoning its usual mode of invasion, it can be readily understood why this complication is so frequent and so varied. The pleurisy was usually of the fibrinous type, and rarely was accompanied with demonstrable fluid. Of the 153 soldiers in only 3 was fluid detected in the chest, and of the 394 civilians only 10 showed fluid. In many more cases fluid was suspected, but X-ray examinations and free needling of the chest showed that we had misinterpreted the physical signs.
After our experience in the epidemic of pneumonia in the spring of 1918, when the disease was also so prevalent in the cantonments, we of course expected to see many cases of empyæma and lung abscess in the present epidemic. In this we were agreeably disappointed. Only one case of empyæma and only one case with abscess of the lung were found up to the time of collecting 54our data and the compiling of our statistics. Both of these were among the civilians. From our experience since the compiling of our statistics, we are inclined to believe that this low incidence of empyæma may not altogether represent the real state of affairs, as we have since received in the hospital several cases of empyæma, as well as of abscess of the lung, which seemed to have followed an influenzal infection which had occurred three or four months previously. One of these cases was a particularly remarkable one, in that the patient had already been admitted to the hospital twice since his initial attack of influenza in October for suspected pleurisy with effusion. We were unable to find any fluid with the needle, though we felt certain of having demonstrated it a number of times physically and with the X-ray. About eight weeks after the second admission, however, pus was found after several needlings in the left chest, axillary space, apparently along the inter-lobar sulcus. This case was a good example of many we have seen in which a pneumonia, or possibly, as we see it now, a pleurisy, or even a localized empyæma, seemed to confine itself about the sulcus or fissure between the upper and lower lobes of the lung. Frequently the process began posteriorly, apparently at the apex of the lower lobe, and traveled forward and downward across the axillary space until it appeared in the anterior part of the chest. In most cases we interpreted our signs as those of a consolidated lung, and scarcely knew whether the consolidation was in the upper part of the lower lobe or in the lower part of the upper, or in both. In some cases we suspected a localized empyæma or an abscess in the sulcus, but in none did we find pus after exploring with the needle until this recent case occurred. The passage of the needle in this case, which was done several times before pus was found, always gave the impression that it was going through dense fibrous tissue for some distance before the abscess was finally found. From this experience, and from the extensive and irregular invasion of the pleura which we have seen demonstrated at autopsies, there can be no doubt that the clinical history of the complications of influenza in this epidemic is not a closed chapter.
In six patients there was a purulent inflammation of the pharynx, larynx and trachea. It was extensive and produced profound general symptoms, dyspnœa and profuse purulent expectoration. The lungs were clear, but the patient seemed for 55a time in danger of death. The condition was considered a grave complication. There was only one case of acute sinusitis, one case of antrum disease, and only four cases of middle ear infection were recognized. This is in marked contrast to other epidemics which have occurred to our knowledge in the past fifteen years or more, and which have been spoken of as influenza or “grippe.” Disease of the tonsils, middle ear disease, mastoid disease and sinus disease occurred with great frequency in those sporadic epidemics. This again seems to show that the deep respiratory tract was more generally and more severely affected in this epidemic than the upper respiratory tract.
With the exception of the pleura, the serous membranes were remarkably free from infection. Only one case of acute endocarditis, three cases of meningitis (all pneumococcic), none of pericarditis, peritonitis or arthritis were recognized among the 547 cases of influenza.
The kidneys did not seem to be involved in the infection. Albumen was present in the urine, as might be expected in febrile conditions, but no evidence of acute clinical nephritis, such as suppression of urine, general œdema or uræmia, was recognized. The condition of the urine in this epidemic will be described more in detail in another paper of this series.
A peculiar pathological process in the muscles was brought to our attention by Dr. Klotz, who demonstrated a myositis or hyaline degeneration of the lower end of the recti abdominalis. This lesion is carefully described in the pathological section. After our attention had been called to this lesion we recognized several cases clinically having the same condition. One was in the right sterno-cleido-mastoid muscle and another was in the left ilio-psoas muscle. This last patient while he was convalescing developed a severe pain in the left hip, extending upward into the lumbar region and downward into the thigh. His decubitus was like that of one suffering with psoas abscess. Every test available was made to confirm this diagnosis, but all the findings were negative. The patient rested in the hospital, in bed, for some time, gradually improved, and eventually made a complete recovery.
In several cases we also detected an osteitis, especially of the bodies of the vertebræ. One was of the cervical vertebræ and the other of the dorsal. The first died after intense suffering. 56An autopsy was not obtained. The other had a plaster cast applied as in Pott’s disease, and improved sufficiently to leave the hospital in comfort. One hesitates under the circumstances to attribute these bone lesions definitely to the same infecting micro-organism which was responsible for the epidemic of influenza, as it might easily have happened that a coincident quiescent tuberculous lesion was present and relighted during the epidemic. However, in one case from the service of Dr. J. O. Wallace the possibility of the bone lesions being due to the Pfeiffer bacillus was demonstrated. This was a child of 16 months with an epiphysitis of the upper end of the tibia. The inflamed area was incised and pus was found. A smear at the time showed the B. influenzæ, which was grown in pure culture.
A most interesting complication noted in a few of our cases was a transient glycosuria. The first case brought to our attention was a middle-aged female, who complained of failure of vision. Upon making an ophthalmoscopic examination a papillitis of a mild type was noticed. This led to a careful study of the urine, and sugar was found in a small amount for a short period of three days, although the glycosuria readily disappeared by cutting down the carbohydrate intake, the vision came back to normal more slowly. In fact, it was almost one month before the symptoms and signs of the retinal change had entirely disappeared. It is interesting in this connection to recall similar cases referred to in Allbutt’s System of Medicine, vol. vi, on influenza, following the epidemic of 1890 in England. Other transient glycosurias showed no visual changes. We do not consider these to be true cases of diabetes mellitus. In all a transient hyperglycæmia was also noted.
A condition which can scarcely be considered as a complication of influenza, but which, however, was a large factor in increasing the mortality among women, was pregnancy. Among the cases included in this study were five pregnant women, who came to the hospital and were referred to the medical service. As soon as a complication relative to the existing pregnancy arose they were referred to the Obstetrical Department. On account of the 57great amount of work in caring for the influenzal patients, and on account of the scarcity of physicians and nurses, we were unable to follow these cases closely enough to give any such definite data as we wish. Three miscarried or went into premature labor. Happily only one of them died. The two which did not miscarry recovered and left the hospital well.
We very soon recognized in consultation with the obstetricians
that the pregnant woman was in a really dangerous condition
if she contracted influenza. She was likely to have a termination
of her pregnancy in the height of the infection, no matter
how recent or how remote pregnancy had taken place. If pregnancy
did not terminate, the chances of recovery were less than
those of the non-pregnant woman; if it did terminate, the
chances for recovery were still less. To the pregnant woman
with pneumonia very little hope of recovery could be offered. I
am indebted to Dr. Paul Titus, of the Obstetrical Department of
the School of Medicine, University of Pittsburgh, for a report
which includes the cases seen by himself and his assistant, Dr.
J. M. Jamison, during this epidemic. Dr. Titus was kind enough
to include in his report certain conclusions which merit consideration.
The report is as follows: “A series of 50 cases, at
all stages of gestation. Interruption of pregnancy occurred in
21, or 42 per cent., of the cases; 29, or 58 per cent., in which
pregnancy was uninterrupted. Mortality of pregnant women
developing epidemic influenza is higher than that of ordinary
individuals, even though their pregnancy is undisturbed, since
14 of the 29 in whom pregnancy was not interrupted died, an
incidence of 482
10 per cent. If a pregnant woman miscarries or
falls into labor, the mortality increases to 809
10 per cent. (17 of
the 21 in whom pregnancy was interrupted died). The period
of gestation has less influence on the outcome than the interruption
itself. Of 10 at term, 3 lived and 7 died after delivery.
“Two main features of this condition as a complication of pregnancy are: First, pregnant women developing epidemic influenza are liable to an interruption of their pregnancy (42 per cent. aborted, miscarried or fell into labor); second, the prognosis, which is already grave on account of the existence of pregnancy, becomes more grave if interruption of pregnancy occurs.
58“The cause of the frequency of interruption of pregnancy is probably a combination of factors: (1) The theory of Brown-Sequard that a lowering of the carbon-dioxid content of the blood causes strong uterine contractions sufficient to induce labor. (2) The toxæmia causes the death of the fœtus, particularly if not mature, when it acts as a foreign body and is extruded (10 premature fœtuses were born dead, while 1 was born alive, although 9 out of 10 at full term were born alive and survived).
“The cause of the frequency of death following interruption of pregnancy is also due in all probability to a combination of factors: (1) Shock incident to labor. (2) Increase from muscular labor of carbon-dioxid in blood already overloaded by the deficiency of the diseased respiratory organs. (3) Sudden lowering of intra-abdominal pressure by the delivery. (4) Lowering of blood pressure by the hemorrhage of the delivery. (5) Strain of labor on an already impaired myocardium.”
If one had been told a year ago that an epidemic could occur which would result in the death of 60 per cent. of all pregnant women affected, it would have been thought too unlikely to warrant any consideration. Though the effect upon pregnancy of the acute infectious diseases forms an important chapter in the pathology of pregnancy, it seems that the profession, and in this the obstetrician is no exception, has never realized how pernicious and tragic the results of an influenzal epidemic can be in a community. From the experience in previous epidemics we cannot but feel that the infection in the present epidemic was unusually fatal. Whitridge Williams (“Text-book of Obstetrics”) speaks of the interruption of pregnancy as having occurred in 6 out of 7 cases with one observer, and in 16 out of 21 in another, while a third has found it only twice in 41 cases. However, none of these writers speaks of having had a death.
In referring to some of the associated conditions of influenza one scarcely knows whether to consider them as complications or sequelæ. The pathological process certainly had its origin from the influenzal attack, but at times apparently assumed an inactive stage. The patient is usually free from any specific influenzal symptoms, but retains for a long time other symptoms 59referable to various organs, or he may have been normal for a shorter or a longer period and then suddenly develop symptoms apparently independent of the previous infection. It may be well to consider all such conditions which followed the febrile attack, whether immediately or more remotely, as sequelæ, and I shall therefore speak of them as such.
The first and probably the most interesting and confusing are the conditions found in the lungs following influenza. A chronic bronchitis, an old bronchiectasis, or a previous tuberculous lesion in whatsoever stage, may present acute symptoms and signs which are difficult to interpret. The question always arises in the individual case—is this a process due to the recent influenzal attack, or was it there before the attack? Is it of streptococcic, pneumococcic, or tuberculous origin? The history of previous diseases of the lungs may help to arrive at a diagnosis. The history of the severity of the influenzal attack is of very little help, because the apparently mildest attack may be followed by the most profound changes in the lungs, and the gravest attack with a history of definite lung infection may leave the lungs without a trace of the previous pathology. The physical examination is helpful, of course, in determining whether the lesion is at the apices or at the bases, and from this a reasonably safe inference may be drawn as to whether it is from a previous tuberculous lesion or a recent influenzal infection. The Roentgenologist depends almost entirely upon this localization. If the linear striæ are only at the apex, it is probably tuberculous; but if they are only at the base, or also at the base, it is likely to be an influenzal lung. In fact, the Roentgenologist with his present information is ready to admit that it is most difficult to speak definitely of the lungs in these cases. The possibility of confusing the post-influenzal lung with a tuberculous lesion is not peculiar to this epidemic. After the epidemic of 1889 and 1890 the same condition was observed by clinicians. Dr. Roland G. Curtin, of Philadelphia, in 1892 and 1893 conducted a series of clinics at the Philadelphia Hospital, in which he spoke of the “non-bacillary form of phthisis,” and showed case after case which he said might be diagnosed as pulmonary tuberculosis, but because of the recent epidemic and the absence of the tubercle bacillus he diagnosed them as post-influenzal lung.
60In the present stage of our knowledge, many of these post-influenzal lungs will not be diagnosed properly until sufficient time is given for either the lung to clear up or the tubercle bacillus to appear in the sputum. We would emphasize the importance at the present time of finding the tubercle bacillus in all suspicious lung lesions before giving a positive opinion as to the tuberculous nature, even though the physical signs are very definite.
Another group of sequelæ is that due to thyroid disturbance, or disturbance of the endocrin system in general. Since the epidemic a number of patients have been seen who noticed an enlargement of a previously normal thyroid gland or greater enlargement of a previously hypertrophied gland. In the same way the symptoms of hyperthyroidism appeared, new in some or a recrudescence in others.
In some of these there was a disturbance of carbohydrate metabolism, as shown by an occasional glycosuria and an increase in the blood sugar, or by a possible disturbance of the suprarenals, as brought out by the administration of adrenalin hypodermatically (Goetsch test). In the application of this test in post-influenzal patients it appeared that the whole endocrin system was in a state of imbalance.
It appears to us not at all improbable that the so-called psychoneuroses of which fatigue, nervousness, irritability and tachycardia play such an important part might also be explained in the same way. These constitute a group of sequelæ which were frequently recognized after previous epidemics, and which are again coming to the foreground.
We are of the opinion, on account of the apparent absence of any specific pathology of the gastro-intestinal tract and its appendages during the attack of influenza, that the sequelæ referred to the digestive system are largely due to exacerbations of previous physiological disturbances or pathological processes. The patient with a previous peptic ulcer has a recurrence of his ulcer. The patient with an infection of the biliary tract has an acute exacerbation, or may have an attack of biliary colic. In fact, there seem to have been many more cases of this kind since the epidemic than before, and most of the patients date the time of the onset from a period soon after recovering from influenza.
61Very few, if any, patients in our experience have exhibited sequelæ due to disease of the cardio-vascular or genito-urinary systems. It may be that these will appear later when the more remote effects of an acute infection are recorded.
A very commonplace sequel, but of more or less interest, is the tendency to furunculosis. Our attention was particularly called to the associated hyperglycæmia. The blood sugar readings varied from 0.2 to 0.41. There was no glycosuria, acetone or diacetic acid. We have no explanation to offer for this, although one might dilate readily on many attractive theories. The hyperglycæmia, one may add, was readily reduced by a lowered carbohydrate intake, which also had a curative action on the furunculosis.
Finally we would mention the peculiar epidemic which has been observed apparently over the world, encephalitis lethargica. We do not for a moment put ourselves on record as regarding this disease as a post-influenzal affair, but no one will deny that it has a peculiar time relation to the epidemic; and further, that its distribution is apparently identical. Its bacteriology seems to be unknown. Its local pathology in the mid-brain is not peculiar or at variance with encephalitis produced by known organisms. We have seen five cases; three of whom had had undoubted influenza, while the other two were entirely free from even the slightest suggestion of any type of illness previous to the attack. All of these cases recovered. It has been stated that following the 1890 epidemic a clinical condition was observed in Europe which bears a close resemblance to what has been termed at the present time encephalitis lethargica.
In giving a prognosis of influenza one has to take into consideration the peculiar manifestations of the disease, especially the possible and sudden changes which are liable to take place in the lungs. The points which lead one to feel that the outlook is grave occur in about the following order, which is also about the order of the severity of the symptoms. First, cyanosis. This usually appeared quite early and was considered a forerunner of definite lung infection. It may have been a symptom only of the “wet lung,” to which reference has been made, but it was usually followed with definitely recognized pathology in 62the chest, and it immediately made the outlook unfavorable. Second, continuation of elevated temperature. If the temperature fell to normal in three or four days, the outlook was, of course, good; but if it went up again, or if the temperature did not fall in that time, the chances were that there was a lung involvement, even though the chest signs were negative or only those of an acute bronchitis. Strange to say, however, when definite chest signs were once recognized, the height of the temperature or the continuation of fever was not so important a prognostic factor. Third, increase in pulse rate. The pulse, as was noted before, was unusually slow, even though the patient seemed desperately ill; when, however, it began to increase in rate the condition was usually very grave. Fourth, the extent of lung involvement. This was of very little prognostic value. Both lower lobes might be solid, and yet if there was no cyanosis and the pulse and respirations were satisfactory, the outlook was rather good. On the other hand, there might be the slightest involvement of the lung, and if the pulse were rapid and cyanosis present the outlook was grave. Fifth, depression and stupor, or loss of so-called “morale.” If the patient remained clear in his mind, bright and hopeful, no difference how extensive the involvement or how grave the symptoms, the prospect of recovery was better. This is, of course, not peculiar to influenza, but it seemed particularly striking during the epidemic. Sixth, a gradually rising rate in respiration, which often was not more than two per minute per day, if progressive, even in the absence of other untoward signs, conveyed a serious prognosis.
Our mortality among the civilians in comparison with the soldiers was exceedingly high. The first cases seen by us were among the soldier patients sent to the hospital. These were as fine a lot of healthy young men as one can well imagine. They came to the hospital comparatively early in the infection. After the first week it appeared as though our experience would be entirely different from those in other localities, for we had very few deaths. In another week our mortality began to rise, but never as high as among the civilians, as will be seen by the following figures.
Of the 153 soldiers 87 were without lung involvement, and of these none died; 66 had lung involvement, and of these 16 died. Mortality among the 153 was 10 per cent. Of the 394 civilians 63157 were without lung involvement, and of these 1 died; 237 had lung involvement, or some other complication, and of these 93 died. Mortality among the 394 was 23.6 per cent.
It will be seen that the mortality in the civilians was more than twice as high as in the soldiers. It has already been mentioned that the soldiers were ordered to the hospital promptly. The civilian patients, on the other hand, were later in coming to the hospital, some of them appearing when they had already developed serious complications. Another factor in determining the mortality were the ages of the patients. The soldiers ranged from 18 to 34 years, with an average of 20 years. The civilians ranged from 6 months to 73 years, with an average of 30 years. Generally speaking, the greater the age the higher was the mortality.
A third factor which should be considered in determining the actual mortality is the result of later complications and sequelæ. The figures as given are those of 547 patients, 110 of whom had died in the Mercy Hospital and 437 of whom had been discharged therefrom between September 22 and November 30, 1918, the length of the quarantine. Those who were discharged had been up and about for a week or 10 days before leaving the hospital. From our experience with post-influenzal patients admitted to the Mercy Hospital since November 30, we are of the opinion that some of the patients discharged before November 30 as recovered may have later developed sequelæ which might have proved fatal. No follow-up system has been pursued as yet which enables us to speak definitely and statistically of the present condition of those discharged.
This compilation does not readily lend itself to drawing any more specific conclusions, but we cannot desist from expressing our opinion that in the clinical study of this recent epidemic we find very little that may not have been observed by clinicians in previous epidemics.
Epidemic influenza, unlike other acute infectious processes as diphtheria and scarlet fever, seemingly attacks the kidney in a rather mild manner. This statement refers only to the uncomplicated cases, as other bacterial or toxic agents do play a part in the nephritides occurring so often with the pneumonias or other complications following influenza. It is, however, true that in many simple epidemic cases there is evidence of a transient mild nephritis, or possibly, more correctly stated, a nephrosis. Some writers observed albuminuria in 80 per cent. of the cases, while the incidence in other reports varies from 4 to 66 per cent. It is not always stated with reference to these figures that the patients clinically were free from the common complication—pneumonia. The findings of various observers differ greatly, but they all agree that acute nephritis as a serious sequel is somewhat rare.
In the literature of the past epidemics general acknowledgment has been accorded to the presence of albumin in the urine during the acute stage of the disease. Many times this has received no further notice or comment than “febrile albuminuria.” The association of occasional hyaline and granular casts has also been mentioned. One is impressed with the fact that the older observers laid but little emphasis on the urinary findings. It also seems to be true that nephritis as a clinical entity is not prone to follow the epidemics. In general, our conclusions from the last epidemic are about the same.
The data for this paper was obtained from examination of 994 specimens of urine from 750 patients; of this number 517 specimens were examined at the Magee Hospital, where members of the S. A. T. C., all young men, were treated, and 447 specimens from the Mercy Hospital, where, in addition to the S. A. T. C., we had men, women and children. On account of the large 66amount of material and work on hand, as a rule only one specimen of urine was examined from each patient, but where complications were suspected repeated daily examinations were made. We have grouped our results in tables, so that the various points may be more readily followed.
Table I shows the urinary findings of uncomplicated influenza cases admitted to the wards of the Mercy Hospital. None of these cases developed pneumonia and, after running the usual course, recovered. We would call attention to the fact that 25 per cent. showed albuminuria. The amount of albumin was never excessive, and very often was little more than a faint trace. On the other hand, we have had a few patients where a previous kidney lesion was known to be present, and naturally in these cases a heavy cloud of albumin was met with. The albuminuria was almost always a transient affair, lasting only during the acute part of the illness, and would rightly come under the class of febrile albuminuria. We regard it as being more the evidence of nephrosis than a nephritis. As a rule, the time for the appearance of albumin was after the fever had been present for at least two or three days. One rarely met with it in the short attacks of influenza where the temperature came to normal in less than 72 hours. A certain time factor appeared to be necessary in order for the nephrosis to develop. Another point of interest is the presence of red and white blood cells seen relatively frequently during the early days of the illness. One wonders if this finding is analogous to the bleeding from the nose and lung so often met with at the onset of the disease. The red blood cells were seen microscopically, and only very rarely did we encounter a smoky urine.
| Day of Disease | Total No. of Specimens | Specific Gravity | Alb. | R.B.C. | Casts | |||
|---|---|---|---|---|---|---|---|---|
| 1001–10 | 1011–20 | 1021–30 | 1031–40 | |||||
| 2 | 118 | 8 | 31 | 61 | 18 | 29 | 17 | 8 |
| 3 | 97 | 8 | 15 | 62 | 12 | 23 | 10 | 11 |
| 4 | 51 | 9 | 22 | 17 | 3 | 11 | 7 | |
| 5 | 24 | 4 | 2 | 14 | 4 | 5 | 3 | 4 |
| 6 | 11 | 8 | 3 | 4 | ||||
| 7 | 25 | 10 | 14 | 1 | 8 | |||
| 8 | 12 | 2 | 8 | 2 | 6 | 3 | ||
| 9 | 4 | 2 | 1 | 1 | 2 | |||
| 18 | 2 | 1 | 1 | |||||
| Totals | 344 | 29 | 95 | 186 | 44 | 88 | 37 | 26 |
| Day of Disease | Total No. of Specimens | Specific Gravity | Alb. | R.B.C. | Casts | |||
|---|---|---|---|---|---|---|---|---|
| 1001–10 | 1011–20 | 1021–30 | 1031–40 | |||||
| 1 | 101 | 6 | 22 | 49 | 24 | 5 | 3 | |
| 2 | 127 | 1 | 17 | 75 | 34 | 13 | 3 | |
| 3 | 82 | 3 | 13 | 55 | 11 | 13 | 1 | 4 |
| 4 | 36 | 1 | 14 | 18 | 3 | 4 | 2 | |
| 5 | 40 | 2 | 9 | 24 | 5 | 6 | 1 | 2 |
| 6 | 23 | 1 | 5 | 15 | 2 | 7 | 1 | 3 |
| 7 | 5 | 1 | 4 | 3 | 2 | |||
| 8 | 5 | 1 | 4 | |||||
| 9 | 2 | 1 | 1 | |||||
| 10 | 10 | 1 | 3 | 5 | 1 | 2 | 1 | |
| 11 | 3 | 3 | 2 | 1 | ||||
| 12 | 3 | 1 | 2 | 2 | 1 | |||
| 13 | 1 | 1 | 3 | |||||
| 14 | 1 | 1 | ||||||
| 15 | 5 | 1 | 4 | |||||
| Totals | 447 | 17 | 87 | 263 | 80 | 57 | 4 | 21 |
The results shown in Table II illustrate the urinary findings at the Magee Hospital, and, as in the previous table, include cases of influenza which did not develop pneumonia. The specimens examined were obtained from young, healthy men, between the 68ages of 20 and 32, and showed albumin in 13 per cent. of the cases. This age factor probably accounts for the lower incidence of albuminuria for this group.
| Day of Disease | Total No. of Specimens | Specific Gravity | Alb. | R.B.C. | Casts | |||
|---|---|---|---|---|---|---|---|---|
| 1001–10 | 1011–20 | 1021–30 | 1031–40 | |||||
| 1 | 47 | 4 | 14 | 25 | 2 | 36 | 7 | 6 |
| 2 | 22 | 1 | 8 | 9 | 4 | 19 | 1 | 4 |
| 3 | 9 | 2 | 3 | 3 | 1 | 7 | 1 | |
| 4 | 6 | 1 | 3 | 2 | 4 | 1 | ||
| 5 | 6 | 1 | 5 | 5 | 1 | |||
| 6 | 16 | 2 | 7 | 7 | 13 | 2 | 7 | |
| 7 | 9 | 5 | 3 | 1 | 8 | |||
| 8 | 3 | 1 | 2 | 3 | ||||
| 9 | 3 | 2 | 2 | |||||
| 10 | 1 | 1 | ||||||
| 11 | ||||||||
| 12 | 3 | 2 | 1 | 2 | ||||
| 13 | 4 | 1 | 3 | 3 | 1 | |||
| 14 | 2 | 2 | 2 | |||||
| 15 | ||||||||
| 16 | ||||||||
| 17 | ||||||||
| 18 | 1 | 1 | 1 | |||||
| 19 | ||||||||
| 20 | 1 | 1 | ||||||
| Totals | 133 | 11 | 47 | 63 | 8 | 106 | 13 | 19 |
Table III includes the urinary findings of patients diagnosed as influenzal pneumonia. In this table the term “Day of Disease” indicates the day on which the physical signs of pneumonia could be demonstrated, and not the day on which the patient was taken ill with influenza. The incidence of albuminuria—79 per cent.—is very high, while the presence of casts and red blood cells is low. These results are really what one would expect. As we have noticed in the late stages of uncomplicated influenza a greater tendency for urinary changes to become apparent, one would, therefore, most likely find considerable urinary disturbance in the pneumonia immediately following the epidemic disease. Pneumococcic pneumonia is prone to be accompanied by 69an albuminuria. So when we have both influenzal and pneumococcic etiological factors involved, it is but natural to have most of the patients showing signs of kidney disturbance. The amount of albumin present, although generally greater than in uncomplicated influenza, was not excessive. At times there was little more than a trace. We noted the relative scarcity of casts—a condition which differs greatly from our past experience in the ordinary lobar pneumococcic pneumonia. On the transient nature of this kidney involvement we have considerable positive evidence, but there is no question that the time required for the urine to return to normal is longer after pneumonia than uncomplicated influenza. We have observed but one or two cases which afterward returned to us presenting clinical signs of acute nephritis. In fact, in going over our hospital records of the winter and spring we noted that an unusually small number of acute nephritics have been admitted. This would seem to be evidence that, as has been noted in the past, the kidney is not a vulnerable organ in this epidemic disease.
| Day of Disease | Total No. of Specimens | Specific Gravity | Alb. | R.B.C. | Casts | |||
|---|---|---|---|---|---|---|---|---|
| 1001–10 | 1011–20 | 1021–30 | 1031–40 | |||||
| 1 | 3 | 2 | 1 | 1 | 1 | |||
| 2 | 12 | 1 | 10 | 1 | 8 | 6 | ||
| 3 | 4 | 4 | 1 | 1 | 1 | |||
| 4 | 9 | 1 | 2 | 4 | 2 | 6 | 6 | |
| 5 | 8 | 4 | 4 | 6 | 5 | |||
| 6 | 8 | 5 | 3 | 7 | 2 | 6 | ||
| 7 | 4 | 2 | 2 | 3 | 2 | |||
| 8 | 10 | 2 | 8 | 5 | 2 | 5 | ||
| 9 | 4 | 2 | 2 | 4 | 3 | 4 | ||
| 10 | 6 | 1 | 5 | 6 | 3 | 5 | ||
| 11 | 1 | 1 | 1 | 1 | ||||
| 12 | 1 | 1 | 1 | |||||
| 13 | ||||||||
| 14 | ||||||||
| 15 | 2 | 2 | 1 | 1 | ||||
| Totals | 70 | 1 | 20 | 45 | 4 | 49 | 11 | 40 |
70Table IV includes specimens obtained at the Magee Hospital from patients diagnosed as pneumonia. The results among these young students were very similar to those of the previous chart, where all ages were included. However, casts and red blood cells were more regularly noted.
From the four tables, we are able to note one or two common facts. In acute uncomplicated influenza albuminuria occurred 57 times in 447 specimens, or 13 per cent., at the Magee Hospital. Here we dealt entirely with the young adult. At the Mercy Hospital 88 positive results of albumin in 344 specimens, or 26 per cent., from patients of all types were recorded. The common total would be 781 specimens examined, and 141, or 17 per cent., showing albumin.
With the advent of pneumonia the incidence of albuminuria was increased. At the Magee Hospital it was seen 49 times in 70 examinations, or 70 per cent.; while at the Mercy Hospital 106 positive results were found in 133 specimens examined, a percentage of 79. The combined figures, therefore, would show 155 out of 203, or 76 per cent.
The incidence of albuminuria for the epidemic in all its phases would be, from our figures, 400 in 994 specimens, or 40 per cent.
Red blood cells were present in 5 per cent. of the influenza cases, and in 11 per cent. of the pneumonias. This was always a microscopic observation, save in the case of a slightly smoky urine. Even microscopically the red cells were not numerous. We noted them at times quite early in the disease in some of the severe cases which presented epistaxis and hematemesis. Possibly one might consider the early presence of red blood cells in the urine as a condition analogous to those just mentioned, although we never saw anything suggesting free hemorrhage from the kidney. It is probably better to regard the red cells as a manifestation of an acute nephrosis of toxic origin.
Casts were found in 35 per cent. of the cases showing albuminuria. We are inclined to feel that this observation is somewhat low, but at the same time we have noted that in uncomplicated influenza one frequently sees albumin without casts. We were also impressed with the fact that casts were not as prominent a feature in the influenzal pneumonias as they are in frank lobar pneumonia of essentially pneumococcic origin.
71During the course of routine examinations several transient glycosurias were seen. Their transient character was the outstanding feature. The quantity of sugar was very moderate—our figures were never above 1 per cent.—and the daily amount of urine was always within normal limits. Acetone and diacetic acid were absent. A few observations on the blood sugar showed a rise (.2 to .25), which readily came to normal with treatment. Clinically these cases were not classed as diabetes mellitus, but rather as a nervous complication of influenza, involving in some way the carbohydrate metabolism, probably through the central nervous system. One case of special interest, which is mentioned elsewhere, was the association of glycosuria with almost total blindness from a very intense optic œdema. Sugar (1 per cent.) was present on the day of admission, while only a trace was noted on the two following days, and from then on the urine was free from sugar. How many days the sugar had been present before admission to the hospital we cannot say, but we could trace the failure of vision back to almost the day of its onset, which was three weeks previous to our first examination. The eye symptoms were the only complaints. The patient had had a moderately sharp attack of influenza a little over two weeks before the first sign of failure of vision had appeared. We may add that the vision returned slowly to normal several weeks after admission. The urine and blood sugar were normal, on a general diet, over a period of one month while in the hospital. Unfortunately, we have had no further record of this patient regarding the urine, but her vision still remains normal. Cases of this type were observed in England after the 1890 epidemic, and are referred to in Allbutt’s “System of Medicine,” vol. i, on influenza. Our other glycosuria cases did not present changes in the fundus of the eye. The glycosuria and glycæmia were transient, and we feel that they do not represent diabetes mellitus. Most of the patients of this class had long since recovered from an attack of influenza, and came to the hospital usually for treatment of various nervous conditions, which at times simulated neuritis, or otherwise one saw manifestations of general nervousness, not unlike hyperthyroidism. In all probability, we were dealing with a hyperglycæmia associated with a hyperactive thyroid gland. So, after all, the glycosuria, even though rare, is not bewildering. Symptoms and signs of toxic goitre in direct relation to the 72epidemic we claim to have seen, and one is justified, temporarily at least, in having the thyroid gland father our transient glycosuria.
In relation to the positive sugar findings, we have had numerous negative examples of almost equal interest. Furunculosis is a very common sequel of the epidemic. It is well known that in furunculosis there is a hyperglycæmia, but no glycosuria and no acetone or diacetic acid in the urine. All our blood sugar readings were above the normal, and at times unusually high. They varied from .2 to .41. This last unusually high amount was in a young physician with recurrent furunculosis following influenza. There was no glycosuria at any time. Elimination of carbohydrates not only brought the blood sugar to normal limits in the course of a week, but also assisted in the cure of the furunculosis, but in a longer time. In all of this group we saw no incidence of polyuria or glycosuria.
There is very little evidence, as shown in the literature, that special study on the blood during past influenzal epidemics has been made. A few references to alterations in the count of cells have been reported for the last epidemic (1890), but they are, as a rule, very brief statements. Cabot notes a normal leucocyte count in two-thirds of the cases, and a moderate increase in the rest. Several observers call attention to the leucopenia during the height of the disease, with a subsequent rise after the temperature has fallen to normal. According to Rieder and Herman (American Journal of Medical Science, 1893, cv. 696), the leucocytes were not increased in simple influenza, and only very slightly in the pneumonia following this disease. Herman also noticed a decline in the leucocytes in pneumonia as a fatal ending ensued. This finding was one of the few recorded for the 1890 epidemic. Emerson (Emerson Clinic Diagnosis, 1911, 558) found in influenza almost one-half of the cases showing more than 10,000 leucocytes, some even reaching 25,000. He further notes that early in the disease the count may be low, 3,000 to 5,000, but it usually rose sharply, to fall again when the temperature comes to normal. He lays stress on obtaining a leucocyte curve for each case in order to get a true picture of what changes occur. The past epidemic has brought out many observations on this subject. 73They vary somewhat, as is to be expected, but a common factor seems to be more or less basic—namely, a leucopenia or a normal count is the most significant single blood picture we have of uncomplicated influenza. Further, a leucocytosis is fairly generally, and we believe correctly, interpreted as evidence of a secondary bacterial invasion in this particular epidemic, and usually of the respiratory system. The leucopenia is as much a part of the clinical picture of influenza as it is of typhoid fever. Leucocytosis always means secondary invasion by other organisms.
During the recent epidemic the clinical laboratory department of the School of Medicine, University of Pittsburgh, has made 747 blood counts on influenza cases. In most of the cases blood counts were made as a routine, while repeated counts were done only on selected patients.
The following table indicates the leucocyte count for our series, comprising the epidemic in all of its phases. There are a few general points which appear striking that we may refer to at this time, and leave until later the discussion of the minor details. One-third of the counts, including, as they do, many cases of pneumonia, showed a leucopenia, while 70 per cent. of the total number fell under 10,000. This last group contains more pneumonias and other complications than simple influenza. But 5 per cent. of the cases counted showed more than 20,000. All of these undoubtedly had pneumonia or some other complication. Comparing this finding with our experience in the past before the epidemic with the pneumococcic lobar pneumonia, one sees at once that, as far as this type of clinical observation is concerned, the two pneumonias are totally different. The writer remembers but one case of lobar pneumonia which showed a persistent white count falling below 10,000. Certainly in this community lobar pneumonia and low leucocyte counts were unusual combinations until the present epidemic. Further, the evident depression of leucocytosis even where there was an actual increase is indicated by 95 per cent. of our counts being below 20,000. This leads us to state that the pneumococcus, although present in practically all of our pneumonias, produced in only a small percentage of the bloods we examined its characteristic increase. The toxic factor of this influenzal epidemic certainly causes a marked change in the white cells of the blood.
| MERCY HOSPITAL | MAGEE HOSPITAL | ||||||||
|---|---|---|---|---|---|---|---|---|---|
| Leucocyte Count. | Influ. | Influ. Pn. | Influ. Compl. | Total | % | Influ. Influ. Pn. Influ. Compl. |
% | Total | % |
| 2000 or less | 2 | 2 | 38 | 1 | 28 | 3 | 32 | ||
| 2000–3000 | 3 | 3 | 1 | 7 | 13 | 20 | |||
| 3000–4000 | 7 | 12 | 4 | 23 | 34 | 57 | |||
| 4000–5000 | 14 | 13 | 9 | 36 | 41 | 77 | |||
| 5000–6000 | 17 | 16 | 6 | 39 | 42 | 81 | |||
| 6000–7000 | 15 | 13 | 6 | 34 | 40 | 59 | 37 | 93 | 38 |
| 7000–8000 | 7 | 8 | 5 | 20 | 36 | 56 | |||
| 8000–9000 | 8 | 14 | 8 | 30 | 37 | 67 | |||
| 9000–10000 | 15 | 9 | 8 | 32 | 39 | 71 | |||
| 10000–12000 | 4 | 12 | 9 | 25 | 20 | 44 | 27 | 69 | 25 |
| 12000–14000 | 1 | 1 | 8 | 10 | 28 | 38 | |||
| 14000–16000 | 5 | 3 | 2 | 10 | 22 | 33 | |||
| 16000–18000 | 3 | 2 | 2 | 7 | 16 | 23 | |||
| 18000–20000 | 2 | 2 | 2 | 6 | 15 | 21 | |||
| 20000–22000 | 1 | 1 | 2 | 2 | 4 | 5 | 6 | 3 | |
| 22000–24000 | 1 | 1 | 8 | 9 | |||||
| 24000–26000 | 1 | 1 | 4 | 5 | |||||
| 26000–28000 | 2 | 2 | |||||||
| 28000–30000 | 1 | 1 | 3 | 4 | |||||
| 30000–32000 | 3 | 3 | 3 | 2 | |||||
| 32000–34000 | 3 | 3 | |||||||
| 34000–36000 | 3 | 3 | |||||||
| 36000–38000 | |||||||||
| 38000–40000 | 1 | 1 | |||||||
| 40000–42000 | 2 | 2 | |||||||
| 287 | 460 | 747 | |||||||
The blood picture in uncomplicated influenza is a normal one for the red cells and the hæmoglobin, but the white cells are characteristically altered. We have made many observations on the red blood cells, and from all aspects the picture appears to be normal. Similarly, there is nothing significant about the hæmoglobin estimations. Where we have slight alteration in the red count and in the hæmoglobin it is probably safer not to attribute the change to the epidemic. We have no records showing a secondary anæmia due to the initial epistaxis.
75A leucopenia or a normal count is what one should see in most of the uncomplicated influenzal cases. We are almost ready to say that any estimation above normal limits means secondary bacterial invasion. The count may remain low throughout the illness, rising to the normal rapidly as the temperature falls. We do not regard a leucocytosis at the end of an epidemic case as part of the blood picture. Our experience is that with convalescence the normal count returns and remains within normal bounds. Very often hidden sinus infection is responsible for some of the post-influenzal leucocytoses. The leucopenia may vary from a slightly subnormal count to a point well below 2,000. Most of the simple epidemic cases showed some degree of leucopenia. As far as we have been able to estimate, we are led to believe that one should not lay any special stress on the grade of leucopenia as being of prognostic significance in uncomplicated influenza. Many of the mildest clinical types showed very low counts, and vice versa. There is, however, a prognostic relation to be noted with reference to a falling white count in the pneumonia, but this we shall mention again later. The onset of the leucopenia corresponds to the onset of the disease. It was present with the earliest cases we examined, and remained fairly stationary, although we have records of its fluctuating slightly one way or the other. But one must remember in this regard the personal error in blood counting, and also particularly the error of the apparatus. For careful work only those counting chambers and pipettes should be used that have a Bureau of Standards certificate. The duration of the leucopenia was fairly close to the duration of the disease.
How many cases of influenza of several days’ illness having about 12,000 leucocytes, a few sticky râles in the chest, but no signs of definite consolidation, have been observed by the clinicians? These cases recover without further change, and the diagnosis is handed in as influenza without a complication being mentioned. In collecting the blood reports from this group the 12,000 cells accordingly must be considered as having occurred in a simple influenza. We hold that this is not a case of uncomplicated epidemic disease. There is undoubted evidence, as is acknowledged by the clinician, of a bronchiolitis; and how many lungs showing a bronchiolitis at autopsy fail to have a broncho-pneumonia? True it may not be demonstrable by our physical 76examination. This is often the origin of many high counts in what apparently is considered uncomplicated influenza.
The blood picture of the pneumonia following the epidemic was more or less constant, although at the same time the features of the count may be quite different. One could roughly divide the results into three groups: (1) leucocytosis, (2) leucopenia, (3) intermediate or normal. Some pneumonias could be followed during their course through all of these classes. Before discussing the white count we can briefly dismiss the other phases of the blood examination by stating that the red blood cells and hæmoglobin presented nothing by the usual examinations which was of special significance, or in any way characteristic.
As an example of the group showing a leucocytosis let us follow a patient through an acute influenzal attack, followed by a pneumonia with a subsequent recovery. An initial leucopenia, gradually or suddenly changing into a very moderate leucocytosis (10,000–15,000), was noted at the onset of the pneumonia. During the course of the complication the number of cells in the majority of cases increased, but rarely advanced beyond 20,000. With lysis or crisis the count dropped toward normal, and by the time the lung signs had disappeared the white cells were at the usual number, or very slightly increased. The point which seemed to us to be of importance was that, even although we had a leucocytosis, it was nothing like the count that one would expect for a lobar pneumonia. Of course, there were a few high counts, but looking at the group as a whole they were relatively low. There are a number of variations to this form of blood picture which we might briefly consider. We have observed secondary rises in the leucocyte count concurrent with a new lung involvement. This type was the one so prone to develop into a condition of non-resolution, fibrosis and ultimate death, with a continuous moderately high leucocytosis to the end. Another variation which we learned to fear was the fall of leucocytes to normal or subnormal after a primary rise, when the clinical course of the case in no way indicated a crisis or lysis pending. Seemingly, the longer the primary leucocytosis had been present the more serious was the subsequent leucopenia. We regard this form of secondary leucopenia, if one may use such a term, as a prognostic sign of some value. As in lobar pneumonia, a high leucocyte count has been, as a rule, a favorable feature.
77The second group, or those showing a leucopenia throughout their course, was by no means an unusual thing. This is a cardinal point—in fact, one of the most striking clinical features of the epidemic. The leucopenia here does not have the prognostic value that it seems to have in the group just referred to previously. We have observed cases go through a pneumonia with 4,000–5,000 white cells in a relatively easy manner. When, however, the leucocytes fall to 3,000 or under, one may be reasonably sure that the outcome is doubtful, even with the general condition of the patient at the time favorable. In the pneumonias of this group which died the leucocytes have always fallen to about 2,000 cells. We have a number of observations taken from one-half to four hours before death showing counts in the immediate neighborhood of 2,000, but never below this number. Where recovery has taken place the cells go forward to the normal, more or less keeping pace with the general clinical picture.
Of group three there is not much to say, except that on one hand it tends toward a leucocytosis, and on the other to a leucopenia. This group comprises a considerable number of the pneumonias. We are not in a position to say anything regarding the relative mortality of this group. The development of a leucopenia from these cases after a period of some stability in the leucocytic curve is of bad prognostic import. Not infrequently we have noticed rather wild abrupt rises to 20,000 in the leucocytes toward the late half of the disease. This curve was nearly always sustained until the end, which, as a rule, was recovery.
We do not need to consider at any length the effect on the leucocyte count of complications not of lung origin. Acute sinuses in head, otitis media and meningitis always produced a variable moderate leucocytosis. The change was not so marked in meningitis, as our cases were all preceded by a pneumonia which had independently invoked a slight leucocytic response. As a complication of the pneumonia we have noted an abrupt rise following an acute pleuritis with effusion, and similarly after the onset of an empyema. These complications seemed to be able to induce a leucocytosis with more certainty and ease than the more serious pneumonic condition. Possibly, as they occurred toward the end of the infection, the toxic factor of the epidemic influenza was more or less spent, and the secondary invader had a freer hand to act in its normal way.
78Differential counts were made in 194 cases, including influenza, influenzal pneumonia and influenzal complications. We have taken the average percentage of each type of cell for the groups, which are purely numerical divisions based on the leucocytic count. No differentiation is made for the various clinical divisions of the epidemic in the following table:
| Leucocytes 2,000–8,000. | |||||
| P. | E. | L.M. | S.M. | Trans. | |
| Total counts 86 | 66% | 1% | 13% | 17% | 3% |
| Leucocytes 8,000–10,000. | |||||
| P. | E. | L.M. | S.M. | Trans. | |
| Total counts 33 | 69% | 1% | 11% | 16% | 3% |
| Leucocytes 10,000–20,000. | |||||
| P. | E. | L.M. | S.M. | Trans. | |
| Total counts 45 | 76% | 2% | 10% | 19% | 3% |
| Leucocytes 20,000–30,000. | |||||
| P. | E. | L.M. | S.M. | Trans. | |
| Total counts 17 | 79% | 2% | 8% | 7% | 4% |
| Leucocytes 30,000–40,000. | |||||
| P. | E. | L.M. | S.M. | Trans. | |
| Total counts 13 | 85% | 1% | 5% | 6% | 3% |
The differential count in general indicates an increase in the polymorphonuclear leucocytes as the total leucocytic number increases. This is really what one would expect. There also seems to be an increase of the large mononuclear cells, with a slight diminution in the small mononuclear elements, particularly in the count below 10,000. Abnormal cells were encountered very seldom. One can hardly say that the epidemic has a characteristic differential blood picture, except, perhaps, that an increase of the large mononuclears is present in the low counts. This, however, may hold true for any leucopenia.
1. Epidemic influenza is often accompanied by a transient slight albuminuria with a few red blood cells and casts. Acute nephritis as a clinical entity does not appear to be other than a rare sequel.
792. Epidemic influenza tends to produce a leucopenia.
3. A leucocytosis in influenza, as a rule, indicates a secondary infection.
4. The pneumonia following influenza shows, as a rule, but a very moderate leucocytosis, while, on the other hand, the presence of a leucopenia is by no means infrequent.
We are greatly indebted to Miss R. Thompson, Messrs. Mock, Frost, Marshall and Scott for their assistance in this work at the Magee Hospital.
One may frankly say there is no specific treatment for influenza. Possibly we are in error in introducing the discussion, particularly on treatment with such a definite and unsatisfactory conclusion. The same statement has been made after all the previous pandemics, and one wonders whether a like remark is going to apply to the next similar scourge. The past two or three months should bring to the medical profession a certain humility which should stimulate a keener sense of research, especially as we now have at our disposal highly organized laboratories where unsolved problems can be viewed from almost any angle. Yet we are really, save here and there, putting our forces together in the study of the disease. It is obvious that a fleeting epidemic makes a most difficult subject for study, especially during a time when there is a paucity of physicians. May we not hope, however, that some researches on the disease may be forthcoming, so that we may safely feel that at least preventive or protective measures will be possible?
There is no one who is able to say that this or that drug has not been thoroughly tried. The alkalies, salicylates, antipyretics, quinine and the sedatives have all been freely used in the last as well as the present epidemic. Each group of drugs has its following, although it appears to be a general rule in this epidemic to use the antipyretics (coal tar products) as little as possible. From the distant past we have numerous records of treatment. Willis (1658) emphasized the value of sweating and the use of diaphoretics, but at the same time he states that in mild cases the cure is left to nature; Sydenham (1675) claimed considerable value in fresh air. He also paid more attention to restricting the diet, and was not favorable to the use of anodynes. One certainly obtains the impression from the records of past epidemics that many of the general principles in treatment were similar to what are now in vogue. Medicinal remedies, of course, varied greatly, but to enumerate them would be merely giving a résumé 82of the progress of therapeutics. Sufficient is it to say that influenza has certainly, since the earliest days, given therapeutists an ample opportunity to test their wares.
The outstanding respiratory complication, pneumonia, has added a very undesirable phase to the disease. In fact, the greater part of the mortality was due to this serious sequela. Some interesting points have been brought out in serum and blood therapy for this type of pneumonia. The use of whole blood or serum from convalescent patients in cases of pneumonia opens up a new and not unlikely fruitful means of treatment. The method of treatment possibly may be applicable as an emergency measure in other diseases, as has been shown in the case of scarlet fever and poliomyelitis. We also have the anti-pneumococcic sera available for therapeutic use. The drugs and the general treatment of the pneumonia are virtually the same for the last two epidemics.
The protean manifestations of the 1890 epidemic, with its unusual nervous sequelæ, have not been seen to any extent, as far as we yet know. In fact, the present epidemic appears to be relatively free from complications other than those occurring in the lung during the acute course of the disease. Hence, in all likelihood, there will be less of the nervous after effects to be treated. It is, however, too early to hope that the nervous system is going to escape.
In another part of this volume the vaccine therapy is discussed in detail, so that we shall not repeat what has been brought out in that article. We would, however, emphasize the value of honest and accurate clinical reports of the use of vaccines, in order to establish their present status in epidemic influenza. Overestimation and commercialism are very likely to ruin a method of treatment, even when it may be of value in a certain phase of the disease. If we do not carefully weigh the pros and cons of the vaccine treatment in this epidemic from a purely scientific and coldly neutral attitude, we are simply doing the public and ourselves an injustice.
The treatment of influenza as the disease presented itself to us in this community will be considered under three divisions—acute influenza, pneumonia, and other complications.
There is one important thing to be done in the treatment of influenza, whether the infection be mild or severe. Have the patient go to bed as soon as possible. In most of the acute attacks the individual went to bed of his own accord; but there were, unfortunately, too many instances where the patient refused to surrender, trying, as we say, to fight the attack. Some appeared to be able to accomplish this feat. But how many of our cases of fatal pneumonia can be clearly linked up with this group of the mild or subacute preliminary course? No matter how light the attack may appear to be, the patient should be told of the necessity of remaining in bed until the pulse, respiration and temperature have returned to the normal and remained normal for at least five days. At the onset a hot bath, with care to avoid chilling, followed by a drink of hot lemonade and a Dover’s powder, gave considerable relief to the patient.
The value of good nursing cannot be overestimated. The nurse must see that the patient is always well covered and kept warm, not even permitting him to rise in bed to reach for a drink; also the regulation of the temperature of the room should be carefully watched. The main point is to have plenty of fresh air. We have noticed that the patient appeared more comfortable if the air was slightly warmed. Water should be given at regular intervals. Under no consideration should an acute influenza case be allowed to get up to go to the toilet.
At the onset, and while the febrile attack is still present, there is little desire for food—but one does not need to worry about the question of nourishment in such an acute illness. Milk, cream, cocoa, gruels and fruit juices may be given at first, and as the fever subsides the diet increased. We have found that the appetite returned to normal very readily. In view of the urinary findings indicating a slight transient nephritis, meat broths are to be avoided until the convalescent stage is reached. We have been very guarded in recommending cold sponging in acute influenza. As a rule, it was not necessary. The icebag to the head is often of great value in the intense headache, which is so frequent. It is our opinion that in the treatment of uncomplicated influenza what has just been mentioned constitutes the important part. Most physicians would agree with this. However, when we 84advance to drug therapy, we come into the personal realm of likes and dislikes of drugs and methods of usage.
We do not intend in any way to give our views in a dogmatic manner, nor to touch upon all of the remedies that have been advanced. At the onset of the disease a moderate calomel purge, followed by a saline, was given in all cases. We were practically free from the so-called intestinal type of influenza which was seen in some other communities, consequently we did not hesitate to use calomel. Castor oil or magnesium sulphate was given afterward, as was found necessary. Abdominal distention was rarely seen, and when it occurred a plain soapsuds enema with turpentine was administered.
Quinine sulphate (gr. iii-v, three times a day) combined with phenyl-salicylate (gr. v) was a routine measure. We often noticed deafness after a very few doses of quinine. It was then discontinued. Acetyl-salicylic acid (gr. v, three to six times a day) seemed to have a palliative effect on the severe headaches, although during the height of the disease the general muscular aching did not appear to be relieved by its use. It was not used routinely. These drugs possibly made the patients more comfortable, but we were very skeptical as to their influence on the general infection. The raising of the leucocyte count by quinine in influenza appears very unlikely. The use of alkaline salts has been a general procedure, particularly as we are now on the alkaline wave of therapeutics. Sodium bicarbonate was added to the drinking water of all patients (two drams to the quart). We gave this salt for its diuretic effect. In a few cases more active diuresis by the alkalines was readily and easily produced by the use of “imperial drink” three or four times a day. We felt that good kidney elimination was of considerable importance.
The use of tartrates and citrates, as in “imperial drink” in a condition where we know some kidney impairment is present, is possibly flying in the face of danger—especially in view of the fact that these salts are so available in the production of experimental nephritis. But we have only to see their application in the human in mercury bichloride poisoning, where an intense nephrosis usually develops, to fully realize that these salts may be given without danger to the kidney. We do not suggest that the kidney lesions of influenza and mercury bichloride poisoning 85are the same. We are merely bringing out this point of analogy in support of their use in certain desirable cases.
The respiratory symptoms gave us more concern than any other phase of the uncomplicated case. The irritating, distressing, non-productive cough suggested both a sedative and expectorant. Ammonium chloride (gr. iii-v, t. i. d.) was the usual expectorant. It seemed to increase in value with the more chronic type of case. It is our impression with those acute hacking coughs that the sedatives produced more gratifying results. Elixir terpin hydrate with heroin, codeine and occasionally morphine were preferred. When good results were noted sedatives were given liberally. Steam inhalations combined with tr. benzoin co., followed by spraying the throat with medicated liquid petroleum, gave some relief. The tendency to œdema, however, as we saw it in the cases complicated by pneumonia made us hesitate to use inhalations. Possibly the fear was groundless. Morphine (grs. ⅙) was given for sleeplessness, and it was repeated if necessary.
Cardiac stimulants were rarely needed. The tincture of digitalis was the choice, but in the uncomplicated cases was very seldom used.
At the beginning of the epidemic we prescribed whisky in almost every case. Our idea was that it would have a sedative action. At the present time we are very doubtful of its value. Toward the end of the epidemic we used it very moderately. The results obtained possibly depended for the most part upon the type of patient. Some of the soldiers asked to have it discontinued, not from any moral point of view, while others wished more frequent doses. The elderly patients seemed to appreciate this remedial agent to a fuller extent.
The pneumonia following the original infection was, from the standpoint of physical diagnosis, often difficult of diagnosis in its early stages. The infection commencing as an influenza would at times pass imperceptibly into pneumonia, and obviously the points brought out in the previous paragraphs on treatment were applied until the diagnosis of pneumonia had been established. 86Some new factors were peculiar to the pneumonia and demanded further changes in the handling of the cases.
We would again emphasize the value of careful nursing to conserve the patients’ strength. They should be kept warm, well covered, with plenty of fresh air. Water should be given regularly and abundantly. The diet should be light, one depending a good deal upon the severity of the case. We believe it is safer to limit the diet to fluids while the infection is still pronounced, but as soon as the crisis has passed one may increase the diet freely and fairly rapidly.
Regular elimination from the bowel should be helped by the use of castor oil every other day, the dosage made to comply with the patient. We noticed much less abdominal distention in this form of pneumonia than one is accustomed to see in the ordinary lobar pneumonia. If distention were present, plain soap enemas with turpentine gave very satisfactory results. Turpentine stupes also are of considerable value. Rest at night is needed. When a hypnotic was necessary we gave morphine (gr. ⅙), and repeated if the desired results were not obtained.
The day is coming when we are going to isolate our pneumonia cases. This was almost an impossibility during the stress of the past epidemic, but we know that temporary and fairly satisfactory methods can be applied. Many hospitals provided for a type of isolation. In a pneumonia ward sheets stretched between the beds keep the fine spray which a heavy cough always produces from spreading over the next two or three beds. This method is simple and can be easily carried out. We feel almost certain of having seen convalescent influenza cases develop pneumonia from the adjacent pneumonia patients. As much as is physically possible, the uncomplicated influenza and the pneumonia cases should be separated. Further, it is to be kept in mind that reinfection by another group of pneumococcus is quite possible, even in a ward containing only pneumonia patients.
We did not observe any special effect of quinine, salol, salicylates after the pneumonia had developed and, therefore, these drugs were discontinued. Digitalis in the form of the tincture was at first made a routine measure, but toward the middle of the epidemic we stopped this routine usage and gave it only as it appeared to be indicated. Our impression was that the heart 87was not involved as it is in ordinary pneumonia. A slow, full pulse, as was so often the rule, did not seem to require digitalis. For more rapid action of the drug one of the hypodermic digitalis preparations or strophanthin was given.
Caffein sodium benzoate or salicylate seemed to be of considerable value given hypodermically every two or three hours, the last dose at 4 P. M. Its action as a respiratory stimulant and also as a diuretic was what we desired to obtain. The drug was used fairly early in the pneumonia, and although it was never prescribed routinely we gave it frequently.
Atropine was indicated whenever signs of œdema were evident.
Its action was not always successful, but in certain severe cases
we believe that large repeated doses of atropine saved a few lives.
One-fiftieth (1
50 gr.) grain hypodermically, repeated every hour
for several doses, was usually well borne. We noticed twice in
each of two cases after using small doses (1
100 every four hours)
a peculiar rapid cyanosis not associated with dyspnœa develop.
This reaction remained, however, for only a short time, about 15
to 20 minutes, but it was rather alarming while it lasted.
The drug therapy is not very satisfactory in lobar pneumonia, and it is less so in the form of pneumonia which follows influenza. There is practically nothing essentially new in the drug and general treatment of this serious complication over what was shown in 1890, or even in the earlier epidemics, save that our nursing and hygienic measures are undoubtedly better.
The addition of an immune serum (anti-pneumococcus serum No. 1) to the treatment of pneumonia is a milestone in the history of the handling of this disease, but we must keep in mind that the pneumonia of the past epidemic was not the usual pneumococcic lobar pneumonia. That the pneumococcus was present in a great many cases is shown in another article of this series, but we also know that the B. influenzæ was present in many, and that it played an active part in the disease is evidenced by the constant low blood count or actual leucopenia. A leucopenia in true lobar pneumonia is most unusual in the United States. The rarity of Type I pneumococcus was noteworthy. We were practically unable to get any anti-pneumococcic serum which was known to be of value at the time of the epidemic, so naturally could not apply this method of treatment as was desired. About 88half a dozen 50 cc. bottles were in possession of the army medical officers here, but they unfortunately could get no further supply after this was used. We would have liked very much to have combined the anti-pneumococcic serum in Type I cases with the citrated convalescent blood, as was used by us during the epidemic. The anti-pneumococcic chicken serum of Kyes should also be considered. This serum has had but a very localized trial, but from competent observers who have given it to a considerable extent in some of the army camps we are led to believe that it has a very definite value. Major Lawrence Litchfield informed the writer that he had observed excellent results with Kyes chicken serum during the past epidemic in the treatment of pneumonia. This serum was not available for our use. It is to be hoped that further experience with Kyes serum will be favorable, because from the practical standpoint in the treatment of pneumonia it has many commendable features. Again, we desire to point out that the use of anti-pneumococcus sera in influenzal pneumonia may not be a fair test of their true value.
Very early in the epidemic we realized that the pneumonia was of unusual severity and most difficult to treat satisfactorily. We were at once impressed by our helplessness, particularly in those patients showing cyanosis. Nothing we did seemed to vary the course of the pneumonia after this sign was evident.
Our work in the epidemic began about October 10 on receiving a large batch of soldiers, about 100, from the Student Army Training Corps of the University of Pittsburgh. At the end of the first week several points were impressed on our mind. Firstly, in the severe cases of pneumonia; and in the early part of the epidemic most of the pneumonia was severe, the mortality was excessive, much higher than we have been accustomed to experience in Pittsburgh, where, as a rule, our hospital ward pneumonia is a very severe infection. Secondly, the wide variation in the severity of the epidemic as presented in the student soldiers coming from identical surroundings and conditions, the mildness on the one hand and the malignant character of the influenza on the other, was a very striking feature. This led to our adopting a form of treatment which was quite successful.
We worked purely on the hypothesis that those individuals recovering from a mild or moderate influenza infection developed 89a higher grade of immunity than those in whom the disease was more severe or fatal, and this immunity could be transferred to another. This, of course, was merely inference. If the mild cases did present a higher immunity, one would naturally think that immune bodies would be present in the blood, and that in transfusion from cases which had recovered one might have a measure of therapeutic value for this epidemic. Recently Spooner, Scott and Heath and others have demonstrated specific agglutins in the serum of patients convalescing from the epidemic. On October 17 we gave whole citrated blood from a convalescent case of uncomplicated influenza to an influenzal pneumonia patient. The result in this case was strikingly good, and for the following five or six weeks this method was frequently used. We decided to give the whole blood instead of the serum, as we were able to treat the cases more readily and rapidly in this way. Our method of transfusion was, fortunately, very simple.
We had treated but a few cases when the report of McGuire and Redden appeared. These observers working in the Naval Hospital at Chelsea, Mass., presented very excellent results in the use of immune serum from convalescent influenza cases in the treatment of pneumonia. They reported 30 recoveries out of 37 cases, with 1 death, and 6 cases still under treatment at the time of their report. This form of treatment began at Chelsea on September 28, 1919. In Texas, on October 15, Brown and Sweet gave two cases of influenzal pneumonia citrated blood from convalescent influenza patients. Their two cases recovered. Our published results, although not showing such excellent figures as from the Chelsea observers, agree very well with their work.
Since that time a number of confirmatory reports have been brought forward. Ross and Hund have shown that this method has been of value in their hands, and recently a further statement from McGuire and Redden tends to confirm their first views as to the value of immune serum from convalescent patients. Their last report giving a mortality of 6 in 151 cases of pneumonia cannot be other than positive proof of the value of this method of treatment.
As the technical side of the work has been given in several articles, we hardly think it necessary to again review it in detail. A few phases should, however, be recalled. It would seem that 90either serum or the whole citrated blood may be used. Solis-Cohen and his group of workers believe that whole blood has stronger bactericidal properties than defibrinated blood or the plasma. But yet one cannot complain, even on a theoretical basis, against the results obtained with serum by McGuire and Redden. The use of whole blood increases the detail of the procedure, in that the agglutination reactions must be estimated. Unfavorable results in this regard also naturally cut down the supply of available donors. In a military hospital a dearth of donors does not arise, but in civilian practice the problem is very different. In our work we never gave more than 100 cc. of whole blood; usually the amount varied between 50 cc. and 75 cc. On account of the small amount we felt that isoagglutination would not be a serious factor, and in more than 200 injections we failed to see any evidence of ill results from this source. Giving up to 500 cc., as was done by Ross and Hund, is probably a different affair, and accurate agglutination tests are essential. We feel that if the case is treated sufficiently early in the disease as much good can be shown to occur after 50 cc. as after 100 cc. of blood. We do believe, however, that the pooling of sera, where one is able to carry out this method, as it means a liberal supply of donors, is really the method of choice. Syphilis must be ruled out, both clinically and serologically.
As we emphasized previously, the problem presented in the army hospital and in civilian practice is a little different. We have had some experience with both sides. Fortunately, the greater part of our work was with the Student Army Training Corps, where army conditions were more or less carried out. There was never any difficulty in getting donors. In fact, the idea of giving blood appealed to these young fellows. In civilian life it is, in our experience, a more difficult problem. The usual personnel of the public ward has always its fair percentage of positive Wassermann reactors, and the type of individual is quite different from the young soldier. For a relative or friend we could easily get a donor, but this group would cover only a small percentage of the cases one wished to treat. The technique of giving blood can be reduced to a very simple procedure, and by no means should be regarded as a difficult surgical undertaking. Combining the receiving apparatus of Ross and Hund 91(J. A. M. A., 72, 1919, p. 642) with the syringe method for giving the blood which we suggested in our previous article makes an ideal arrangement.
The results depend upon the time of treatment. The earlier the pneumonia is recognized the better are the chances of recovery. It is our belief that the majority of influenza cases which kept a fairly high temperature for more than four days had a lung lesion, even if we could not make out definite consolidation. As the convalescent influenza serum may have value only for the influenza infection, it would, therefore, appear but logical that a late pneumonia which almost always has other organisms present would not react as favorably. We have seen very few of the deeply cyanotic type recover even with serum. The essential rule is to treat them before this stage develops.
We have observed little or no change in the leucocyte count, even after successful treatment, and taking our group as a whole we are rather surprised at this result. Other observers have noticed a marked increase in the leucocytes as the case reacted favorably to the injections. We agree with McGuire and Redden that the patients with counts below 10,000, as a rule, show the best results. This possibly indicates that the influenza infection is predominating, and that the usual secondary invaders (pneumococcus and streptococcus) are at this time playing but a little part. Hence the value of early treatment is apparent.
From the published results of different workers and our own experience, we feel that influenza immune serum or whole citrated blood given early in the pneumonia is of undoubted value—in fact, almost specific. If the epidemic reappears next year, unless some other better method is forthcoming, we would advise its more general use, and would suggest the collection of pooled serum as early as possible in the epidemic.
At the end of this article there is appended a series of our ward record charts of patients who developed pneumonia following the influenza. These charts are shown to indicate the results of giving immune convalescent citrated blood in pneumonia. The ones presented are from some of the group which recovered. We have, of course, the charts from the fatal cases, but as they do not bring out any special point, save that there was little or no change after treatment, we are omitting them. It is not our 92idea, however, to give the impression that we have had nothing but success with this method of treatment. It might be well to emphasize some of the salient points which are brought out.
(1) The regularity of the drop in temperature after the injection is almost generally demonstrated.
(2) The occasional chill following the injection seemed to have no untoward results.
(3) The leucocytes show, as a rule, little or no variation after transfusion. Our work agrees with McGuire and Redden’s statement that the cases with a leucocyte count under 10,000 give the best results with immune serum.
(4) The time of injection in many of the cases was by no means ideal, in that the disease was advanced; and again in many the injection should have been repeated sooner. This, however, is no fault of ours.
(5) One injection of 50 cc. of citrated blood from a good donor, if given early enough, may be all that is necessary. Several charts bear out this statement.
(6) The day of disease is dated from the onset of the influenza. The demonstrable signs of pneumonia correspond roughly to the initial rise in temperature following the influenza. The day of disease of the pneumonia is not indicated on the chart, as this information we have obtained from the daily notes.
The epidemic was well spent before we observed many complications, save those referable to the lung. Later various forms of sequelæ have been appearing. One must guard, however, against the danger of attributing all of our ills to the past epidemic. We are not going to give in detail the treatment of these various conditions, nor even mention all of the many complications. The main points, however, we desire to emphasize.
We have previously considered pneumonia, which is the principal complication with simple influenza, and the two are closely allied. As an end result of the pneumonia, non-resolution and fibrosis of the lung are of first importance. We cannot say very much on the treatment of this condition. The duration varied from a few to several weeks, and recovery was infrequent. Our treatment aimed at supplying as much nourishment as was possible 93to give, with, in addition, good nursing. The treatment otherwise was purely of a general hygienic type. Tepid sponging appeared to give considerable relief from the profuse sweating these patients so often had. Drugs were of value only for some local effect. We wonder if carefully handled vaccine therapy at the onset of such a complication might not prove of some value. The autogenous would be the one of choice.
Empyema was not found to be as prevalent as one would imagine. With so much non-resolution of lung following the pneumonia we were surprised to see so little empyema. All delayed resolutions we explored with the needle, so we feel that the condition, if present, would have been recognized. The treatment of empyema need not be given any special emphasis. It is, as of old, a surgical affair. One or two new points in the technique have been brought out in the way of drainage, but possibly they have not been sufficiently tried to lay any stress upon them at present. Dakin’s solution in certain chronic cases appeared of value. Our empyema cases did well.
Pleurisy with effusion was observed a number of times, although it has been our experience to find a very few large effusions. Pleural puncture often gave negative results, even when the signs did appear to indicate the condition. We aspirated the fluid when present. The end results were always good. In only one case did we have to repeat the aspiration for reaccumulation of fluid.
Chronic bronchitis, accompanied at times with considerable dyspnœa, has been seen on several occasions. There is very likely associated with this condition some fibrosis of lung, and probably some organization of small bronchioles themselves. Expectoration has been variable, profuse or scanty, mucoid or purulent. We consider rest in bed, with as full a diet as possible to build up the general condition of the patient, the best form of treatment. These cases had little or no temperature, and consequently at first absolute rest was not considered necessary, but we now regard it as the essential part of the treatment. Atropine and heroin are of value at certain times. We confess to have seen very little benefit from the expectorants. We are rather surprised that this sequela is not of more frequent occurrence.
94Phlebitis, in our series usually of the formal vein, occurred about as often as it does in typhoid fever. The end result, however, is much better than in typhoid. We have seen only one case where “the milk leg” has resulted. Rest and elevation of the limb were all that we required. In the acute stage, if pain was present, a light, carefully applied icebag was added. It is important to rest the limb for at least two or three weeks, and to caution the patient against remaining on the feet too long for some weeks after recovery.
We saw a great deal of acute sinus infection, often occurring even while the attack of influenza was present, but, as a rule, this complication followed the attack. At times several weeks intervened. The ethmoidal sinuses are most susceptible, but a considerable number of acute frontal sinus infections were noted, the latter often immediately following or occurring during the acute period of the influenza attack. The majority of these infections appeared transient, and disappeared with a little local treatment. In fact, in frontal sinusitis cold applications seemed to be all that was necessary. With some of the more chronic infections nose and throat surgery has been followed by relief of symptoms. Acute suppurative otitis media, considering the number of influenza patients, was not common. Ear drum puncture was done if necessary. We saw one case of acute mastoiditis develop. The mastoid process was opened and drained.
Acute suppurative meningitis, following or associated with pneumonia, appeared on three occasions. The pneumococcus was cultured from the spinal fluid in all cases. Anti-pneumococcus sera intraspinally (Type I or the Kyes serum) should be given. The Type I serum is of value in a similar group infection. We have had no experience with this method, but some recoveries from pneumococcus meningitis have been reported after the early use of serum given into the spinal canal.
Following the 1890 epidemic cases complaining of blindness or partial loss of vision, with optic œdema or neuritis and a glycosuria, were occasionally observed. We have seen one of this type, and several transient glycosurias without eye signs or symptoms. The glycosuria may be of nervous origin. Our method of treatment was one of elimination and rest. The gastro-intestinal tract was emptied with calomel, and afterward a morning saline was given for a few days. Hot packs were 95administered, one a day for about two weeks. The patient was instructed to drink as much water as possible, and we eliminated sugar, bread and the 20 per cent. vegetables from the diet. The glycosuria lasted for three days, while the vision, although beginning to improve at once after treatment, took five weeks to return to normal. The patient was kept in bed for three weeks. How long the glycosuria had been present before admission to the hospital we do not know. The transient glycosuria group without the eye manifestations required very little treatment. They also showed a transient hyperglycemia. A carbohydrate free diet very rapidly cleared up these cases. After a time we decided to watch the course of this group on a non-restricted diet, even with sugar, and we found that they all returned to normal (blood and urine), in a few days clearly indicating their transient nature. We do not regard this process as a diabetes mellitus. We do not give the hot packs, although free elimination by bowel was attained in all. These cases were recognized only through routine urine examination.
Furunculosis with a high blood sugar, in one case 0.41, without glycosuria was a very interesting complication. We saw a great deal of furunculosis, always with the increased blood sugar from 0.2 to 0.3, but never with glycosuria. Reducing the carbohydrates, or even a fast day with good intestinal elimination, had excellent results.
Neuritis and general debility have often been associated with nasal or tonsilar infection, which when surgically corrected led to the disappearance of symptoms and improvement of health.
Finally, we wish to refer to an isolated case of acute osteomyelitis which was incised, and from the purulent fluid present in the bone B. influenzæ was grown in pure culture. This is a very unusual complication, and is of particular interest on account of the positive bacteriological finding. The patient made an uneventful recovery.
| McGuire and Redden | Jour. A. M. A., 1918; lxxi, p. 1311. |
| McGuire and Redden | Jour. A. M. A., 1919; lxxii, p. 709. |
| Brown and Sweet | Jour. A. M. A., 1918; lxxi, p. 1565. |
| Ross and Hund | Jour. A. M. A., 1919; lxxii, p. 640. |
| Spooner, Scott and Heath | Jour. A. M. A., 1919; lxxii, p. 155. |
| Maclachlan and Fetter | Jour. A. M. A., 1918; lxxi, p. 2053. |
| Heist and Cohen | Jour. Immunol., 1918; iii, p. 261. |
| Kyes | Jour. Med. Res., 1918; xxxviii, p. 495. |
In developing practical measures for the prevention or control of influenza epidemics, preventive medicine faces one of the most difficult problems of modern times. By means of quarantine, protective vaccination and instructions in personal hygiene many of the diseases which formerly ravaged the world have been brought under control. At first glance it would seem to be a simple matter to apply the principles which we have found successful against these diseases to influenza and let it go at that, but in the recent epidemic many of the formerly successful measures were tried and found to be either inefficient, inapplicable, or at least of doubtful value.
During the pandemic there was little time to think collectedly, and no time to analyze procedures, and even now it is far from easy to determine what things were done wisely and what things were of no practical value. There exists the greatest difference of opinion as to what measures should again be used when the need arises, and what ones should be discarded. For instance, there are confirmed exponents of prophylactic vaccines, and equally able men who are convinced of their uselessness; enthusiastic advocates of the face mask, and almost as many objectors; those who would close schools, churches, theatres, etc., and those who claim that such measures serve only to prolong the epidemic. One naval officer is said to have stated that he had accumulated figures either to prove or to disprove the usefulness of any preventive measure yet recommended. There is, in short, a chaos of opinions with followers who vary from the one extreme of believing there is “virtue in all things” to those of the other extreme who state that every susceptible person develops the 98disease in the degree of his susceptibility, regardless of any and all preventive measures used. While there remain so many points on which definite, concrete knowledge is lacking, and so much controversy over the relative value of various measures, this paper can do little more than state the facts and discuss their bearing on prevention as impartially as possible.
Great progress has been made in controlling contagious diseases in recent years—a fact which can be easily verified by anyone who will compare the sick reports of the Great World War with those of any war previous to the beginning of the present century. The diseases which have been most easily controlled have been those against which prophylactic vaccines or prophylactic sera have been developed. Smallpox, dysentery and typhoid fever have lent themselves readily to control by protective vaccination, while reliable temporary immunity can be afforded by the administration of sera for protection against diphtheria and tetanus. These are by no means all, but are probably the most striking illustrations; and with such examples before us, the greatest hope for the prevention of influenza apparently lies in the development of a prophylactic vaccine against it.
The name vaccine came from “vacca,” or cow, and was originally applied by Jenner (1796) to the virus taken from cowpox pustules for prophylactic inoculation against smallpox. It has come to be loosely applied to all forms of preventive inoculations except sera. We have, therefore, a variety of vaccines which differ in their nature and method of preparation. Some are produced by growing the virus in insusceptible animals, some are composed of attenuated viruses, and most common of all are the bacterial vaccines, sometimes called “bacterins,” which are prepared from killed cultures of bacteria. Sera are used in prophylaxis, as well as treatment, and are made by bleeding and separating off the serum from animals which have been immunized against the cause of the disease in question. Sera and vaccines are wholly different products, and the distinction should be made in discussing them, although there is a common tendency, particularly among lay writers, to use the words interchangeably. 99Smallpox is the classical example of a disease which can be completely controlled by universal vaccination. The parasite causing smallpox has never been certainly demonstrated, but over a century ago Jenner showed that cowpox, a localized, non-fatal disease, protected against smallpox. Modern methods have proven that a cow inoculated with smallpox virus develops cowpox, and that thereafter the virus loses its power to produce smallpox when it is returned to man. Instead, it causes a local pustule, and confers immunity to smallpox over a considerable length of time. Rabies is another example in which the exact cause of the disease is still in doubt, and in which a protective vaccine has proven of great value. Rabies vaccine was developed by Pasteur, and is prepared by drying the spinal cords of rabbits that have been killed by a highly virulent rabies virus. Typhoid, dysentery, pneumonia and several other diseases of known etiology have been more or less controlled by the use of vaccines made from their respective bacterial causes. These vaccines are of the “killed bacteria” type of vaccines, and credit for their application to human disease belongs to Sir Almroth Wright (1896). The preparation of bacterial vaccines is very simple. Bacteria which are known to cause a certain disease are isolated in pure culture, grown on artificial media, killed either by chemicals or heat, standardized either by counting, or drying and weighing, and suspended in salt solution for subcutaneous injection. Salt suspension vaccines are usually given in three or four increasing doses, about one week apart. Le Moignic and Pinoy (58) first elaborated a lipovaccine for triple typhoid vaccination, which was used extensively in France during the war. Whitmore, Fennel and Peterson have recently also advised the drying of killed bacteria and the suspension of them in oil. This method makes it possible to give a single massive dose of bacteria which is sufficiently large to completely immunize the individual against the disease, and which prolongs the immunizing period by allowing slow absorption over a period of several weeks. These vaccines are called lipovaccines, have been adopted in the United States Army as the standard typhoid vaccine, and promise in time to supersede the salt suspensions entirely from a commercial standpoint. Many other modifications in the preparation of bacterial vaccines have been advised, notably the class known as sensitized vaccines. These are prepared by incubating 100bacterial vaccines for a time with the serum taken from animals already immunized against them. The serum apparently absorbs many of the toxic substances, and permits the injection of more efficient doses. Besredka advised the use of living cultures which had been incubated with immune sera, on the basis that vaccines so prepared were very active and non-toxic. The sensitizing treatment, however, does not stop the growing powers of the bacteria, and vaccines of the Besredka type are generally considered dangerous and so are little used. Sensitized killed bacterial vaccines, on the other hand, are quite popular.
When a sufficiently large dose of vaccine is given to an individual there is usually a transient rise in temperature for from 12 to 48 hours; the local focus of injection becomes sore and inflamed, and a white count often shows an actual increase in the number of polymorphonuclear leucocytes in the general circulation. A series of doses are usually given. If after a few days blood is withdrawn from the patient and immuniological tests made, it will generally be found that the patient’s leucocytes take up bacteria, and particularly the type of bacteria of which the vaccine was composed, more readily and in greater numbers than the leucocytes of the ordinary individual. Wright and Douglas (52) and Neufeld and Rimpau (53) have shown that this effect of increased phagocytosis is brought about by the vaccine through the production of substances which act specifically on the bacteria and render them more susceptible to inclusion within the white cells. These substances belong to the group of antibodies, and are known as “opsonins” or “bacteriotropins,” and are specific for any given bacteria. Moreover, the serum of the patient will, as a rule, be found to have developed the faculty of agglutinating and bacteriolysing suspensions of the specific organism injected and of fixing complement in the presence of an antigen prepared from that organism. In animal work it has been possible to go still farther, for it can be shown that the resistance of the animal can be raised until it is no longer possible to kill it with the same dose which is found to be fatal for the unimmunized animals. Not only has animal work made it possible to determine the protective powers of vaccines, but it has also served to show the specific nature of the protective power and the relative extent to which “group” or “crossed” protection can be conferred by vaccinating with closely allied 101organisms—as, for instance, paratyphoid bacilli in typhoid fever. The non-toxic nature of vaccines is also determined by animal experiment before such preparations are injected into humans.
The most successful prophylactic bacterial vaccine which has been developed so far is that for typhoid fever. A comparison of the occurrence of typhoid fever in the United States Army before and since the use of anti-typhoid vaccine is all that need be cited to convince one of its value. At the time of the Spanish War there was no vaccination against typhoid fever, and there were 20,738 cases, with 1,580 deaths, among 107,973 men who remained in the camps in the United States during the war (54).
During the summer of 1911, the maneuver division of the United States Army, having 12,801 men, all of whom had been vaccinated against typhoid fever, were stationed at San Antonio, Texas. Two cases of typhoid fever developed among them, and neither case died. Among the civilian population of the city, living under usual conditions during the same time, there were 49 cases of typhoid fever, with 19 deaths. Since 1912, typhoid vaccination has been compulsory in the United States Army, and the largest epidemic of typhoid fever which I have found reported so far during the late war was that at Camp Greene (55), Charlotte, N. C., where 18 cases developed. Only 12 of these men had received the complete series of immunizing doses. For a complete discussion of the value of typhoid vaccine the interested reader is referred to Gay’s Monograph (56) on typhoid fever.
The hope of finding an early solution to the vaccine problem in influenza appeared to be in the development of a prophylactic “bacterial vaccine” similar to that which proved so efficient for typhoid. In his discussion of the vaccine problem in pneumonia, Fennel pointed out that, theoretically, any disease of microbic origin in which spontaneous recovery is at all possible should yield to specific prophylactic measures. The difficulty, however, of preparing a bacterial vaccine for influenza comparable to that for typhoid fever is that the unquestioned cause of influenza has yet to be determined. The probable cause of influenza is the Pfeiffer bacillus, but its relationship has not been proven beyond question. On the other hand, the innocence has likewise not been proven, as Dr. Holman in his article of this series has ably shown. 102It is not my intention to go deeply into the question of etiology, but simply to bring out a few points which a priori seemed to indicate that the reasonable solution of vaccine prophylaxis was in the preparation of a pure Pfeiffer bacillus suspension.
The experiments in man lead to very surprising results. Rosenau, Keegan, Goldberger and Lake, at Gallops Island, Boston, Mass., (1) inoculated volunteers with pure culture of B. Pfeiffer, with secretions of the upper air passages and with blood from typical cases of influenza. Sixteen men, of whom 13 were supposedly non-immune, had Pfeiffer bacilli installed into their nasal passages, and none of them developed the disease. Secretions filtered and unfiltered also gave negative results. Contact with well-developed early cases also failed. McCoy and Richey (1a) conducted similar experiments in San Francisco, with negative results. The men of the latter group had been vaccinated with a mixed streptococcic vaccine, which may have played some part. Had the experiments with the Pfeiffer bacillus been negative and the other experiments positive, they would have shown that the bacillus of Pfeiffer was not the cause of influenza; but since all attempts were negative, it merely brought out the fact that there had been a change, due probably to some immune factor, which seemed to have acted alike on the Pfeiffer bacillus and all other types of virus present, and to have made them all innocuous. These experiments still leave the cause of influenza in question.
Those who are opposed to the Pfeiffer bacillus being the cause of influenza in its epidemic form base their position on the points that the common finding of the bacillus might be accounted for on the grounds of its being a secondary rather than a primary invader; that while it is not so common at ordinary times, it does occur with other organisms in whooping cough and sometimes in chronic diseases of the air passages, and that the rules of Koch have not been complied with in that the organism has not been found in every case of the disease; that where it has been grown in pure culture and inoculated into man and animals, it has either produced no disease, or the lesions which followed have not been typical of epidemic influenza. On the side of those who believe that the Pfeiffer bacillus is the chief cause, or, at any rate, that it is partly responsible for epidemic influenza, are the facts of its fairly constant presence in the purulent bronchial secretion of patients suffering from epidemic influenza; 103its relatively uncommon occurrence at other times; its known pathogenicity in occasional cases of meningitis, and in the inflammation of the bony sinuses of the head and face; the relative immunity of nearly all common laboratory animals and the fact that the attempts to transfer epidemic influenza from man to man failed not only when Pfeiffer bacilli were used, but also when direct contact and direct coughing by the patient into the face of the volunteer were tried. The argument that many cantonment laboratories failed to find the organisms loses weight when we find that the percentage of positives increased where the material examined was removed directly from the lungs at autopsy, where special cultural methods were in use and where the laboratory personnel was large enough to devote a sufficient amount of time to each individual culture. All of these points indicate that the organism was overlooked in a great many instances. In our laboratory we found the examination of sputa very unsatisfactory because of the great amount of contamination, and because the bacillus seemed to lose its ability to grow after a relatively short time in the sputum in vitro. Moreover, I am convinced that the bacillus changes its morphology to such an extent under varying conditions as to make it impossible of identification when present among other organisms in sputum smears. The failure of animal inoculations is also not conclusive evidence against the Pfeiffer organism, because guinea pigs, rats and mice have a natural immunity for them. Rabbits are only slightly susceptible, and then only to intravenous injections. The mixture of the Pfeiffer bacillus with any one of several other pathogenic organisms will increase the pathogenicity of both. Monkeys inoculated intracranially develop a typical Pfeiffer bacillus meningitis.
Whatever the ultimate outcome of the investigations as to the parasitic cause of epidemic influenza, the Pfeiffer bacillus was the generally accepted cause at the beginning of the 1918 epidemic, though it was at once realized that most of the deaths were due to complicating pneumonias and to secondary infections with other organisms. Under the circumstances, one of two courses was open: (a) the acceptance of the Pfeiffer bacillus as the presumptive cause of influenza and the preparation of a specific prophylactic vaccine against infections with that organism; or (b) the use of a mixed bacterial vaccine containing the 104common and most deadly secondary infecting organisms, designed to increase the patient’s general resistance by decreasing his susceptibility to the allied, collateral and secondary infecting agents. Attempts were made along both lines, with more or less unsatisfactory results.
By a specific prophylactic vaccine for any given disease, we mean a material which when inoculated into an individual will actively protect that individual against the given disease. In infectious diseases, the immunizing material is usually of microparasitic origin (in contrast to desensitizing substances used in pollen diseases and those due to unusual sensitiveness to foreign proteins), and is specific only for the disease caused by the microparasite from which the material was prepared. With the knowledge in hand during the epidemic, the logical plan seemed to be to prepare a pure Pfeiffer bacillus vaccine, the object of which was to eliminate primary infection with that organism and thus prevent the secondary invaders from obtaining a fertile soil.
While specific Pfeiffer bacillus vaccines had been tried in treatment, the field was a comparatively new one so far as prevention was concerned. Many of the biological products companies had so-called influenza vaccines on the market for treatment purposes, and many of these contained Pfeiffer bacilli. A few preparations of pure strains of the bacilli were also available, but I was unable to find any records of their use for prophylaxis. Lacy (2) reported two cases of sinusitis treated with autogenous vaccines made from pure Pfeiffer strains—one patient improved rapidly and the other showed no change. Investigation of several of the other references on influenza vaccines showed that mixed vaccines had been used in each instance. The work of Flexner and Wolstein (3, 4 and 5) indicated that active immunizing substances could be prepared from the Pfeiffer bacillus, although they worked with serum instead of vaccines. They prepared an anti-influenza-meningitis serum by immunizing goats and horses. These sera cured monkeys of experimentally produced influenzal meningitis. The sera showed agglutinins and bacteriotropins for Pfeiffer bacilli, as well as positive fixation tests in dilutions of 1 in 100, but they contained no lysins. The serum was offered 105for intradural use in treating influenzal meningitis, but was found to have no value when used in human cases.
The first references which we have found on the use of pure Pfeiffer bacillus vaccines for the prevention of epidemic influenza were those of Leary (6), (7), and of Rosenau (8). Shortly after the appearance of the first influenza cases in Boston, Leary used a vaccine prepared from several strains of Pfeiffer bacilli both for the treatment of influenza and for its prevention. The vaccine for the latter purpose was given to medical students and nurses, and the first results were apparently very encouraging. Continued use has not been convincing. Barnes (9) reported an attempt to protect the employees and patients of an institution near Woonsocket. On October 9 a case of influenza developed in the female ward, and was followed five days later by another. On October 22 the disease appeared in the male ward, and the same day 172 employees and patients were given their first inoculation with Leary’s vaccine. Doses of 400, 800 and 1,200 million bacilli were given at 24–hour intervals. All persons who had developed influenza before the three doses had been completed were excluded from the computation of the disease incidence, which was found to be 20 per cent. both among vaccinated and unvaccinated individuals. The mortality rate was 16 per cent. for the 25 cases among the vaccinated, and 15.8 per cent. among 57 unvaccinated patients. The result failed to show any protective qualities for the vaccine.
The best controlled vaccine experiment in which Leary’s vaccine was used was that reported by Hinton and Kane (10), and was carried out at the Monson State Hospital for epileptics. The hospital had a population of 979 inmates, ranging from 4 years of age to senility; of these 461 were vaccinated and 518 were not. Vaccination was begun on October 6, and three doses of 400, 800 and 1,200 million were given at 24–hour intervals. The first case of influenza developed a few hours after vaccination was completed, but there were no more cases before October 12, when five cases developed. The table shows the result of the work, and that the vaccine failed to protect.
| Population. | No. of Cases. | % of Cases. | No. of Deaths. | % of Deaths. | |
|---|---|---|---|---|---|
| Vaccinated | 461 | 163 | 35.4% | 28 | 17.1% |
| Unvaccinated | 518 | 178 | 32.4% | 24 | 13.4% |
106Attempts to protect by the use of Leary’s influenza vaccine were made in 11 other Massachusetts institutions, but the results cannot be used to compare the incidence and mortality rates between the vaccinated and unvaccinated, because the epidemic was either on the wane, or at least well advanced when the vaccinations were begun. The reports are of great interest in showing the large number of vaccinations which failed to protect.
In the Taunton State Hospital about 800 were vaccinated, and among them there were 81 cases of influenza and 17 deaths from pneumonia, even though the epidemic was on the wane when vaccinations were begun.
In the Gardner State Colony 834 were vaccinated after the peak of the epidemic had passed. This number included all but 15 of the inmates who had not contracted influenza up to that time. Out of this group, 62 vaccinated individuals developed the disease.
At the Massachusetts School for Feeble-Minded 457 inmates were selected for vaccination and controls. Of the 234 vaccinated, 56 developed influenza. Of the 223 unvaccinated, 185 developed influenza, with 16 pneumonias and 12 deaths. The vaccinated group, however, were a more vigorous group of individuals to begin with, and represented a higher mental grade than the unvaccinated group, so that the evidence was considered of questionable value.
At the Wrentham State School the influenza epidemic was well under way before vaccinations were begun, and hence the susceptible individuals were in a large part either affected or infected with the disease. Of 1,198 unvaccinated persons, 758 developed influenza, giving a morbidity rate of 63 per cent. Of 128 vaccinated, 13 developed influenza and 1 died. Physicians in this institution believe that the vaccinated were not as ill as the unvaccinated patients.
In the Medfield State Hospital, having a total population of 1,940,421 cases of influenza, with 63 deaths, had occurred before vaccinations were begun. Of the remaining unattacked inmates 902 were vaccinated. After the completion of vaccination one new case appeared among the unvaccinated, and there were none among the vaccinated.
107At the North Hampton State Hospital there were 9 cases of influenza, 4 of whom died, among 444 unvaccinated individuals, and 9 cases, with 1 death, among 563 vaccinated patients.
Among 506 patients vaccinated at the Westborough State Hospital there developed 15 cases of influenza, 2 of which terminated fatally. Of the 415 unvaccinated controls, 25 developed influenza and there were no deaths. At the time vaccinations were completed only 13 had developed influenza.
In the Worcester State Hospital vaccination was carried out after the epidemic had entirely subsided.
At the Bridgewater State Hospital no vaccines were used, but the morbidity rate was 29.9 per cent., as contrasted with 32.9 per cent. among the unvaccinated at Monson.
At the Danvers State Hospital the population of 853 adults was divided into three sections. One section was vaccinated with the Leary vaccine, one section with an unheated influenza vaccine prepared by Dr. Rosenau at the Chelsea Naval Hospital, and one section held as controls. The epidemic had, however, reached its height before vaccination was begun, and no information as to the relative value of the vaccines could be determined.
In Hinton’s (11) report the analysis covered the studies on about 6,000 vaccinated individuals, which represented slightly less than half of the population of 12 Massachusetts State institutions. Hinton’s conclusions were as follows: “The heated suspension of influenza bacilli used as a prophylactic vaccine did not prevent influenza, lessen its severity nor its complications, and, as far as could be ascertained, resulted in no harm.”
About the same time that Leary was working on his vaccine, Rosenau prepared an unheated suspension of Pfeiffer bacilli, isolated from cases of influenza of the existing epidemic, which he used at the Chelsea Naval Hospital and in an experiment at the Pelham Bay Naval Training Station. The writer is indebted to Surgeon-General of the Navy W. C. Braisted for the data from which this report was compiled—the report of the Sanitary Officer of the station not having been completed at the time the information was furnished. The vaccine experiment was made in the isolation regiment, which had remained practically free of influenza. Inoculations were begun on September 30, when 638 men were given the first dose of vaccine, 833 men being held as controls. On October 4 the second dose was given to 589 men, 108and vaccination was completed on October 8, when 565 men were inoculated. This group comprised the total number who received three inoculations. On October 14 practically all of these men were transferred, so that it was very difficult to get a complete record. Those cases which developed influenza prior to October 10 have been omitted by the writer, both from the control and vaccinated groups, because it is unfair to consider the incidence of influenza among controls which developed prior to the time the inoculations were completed in the vaccinated group. Between October 10 and October 24 there were 27 cases of influenza which developed among the vaccinated, and 30 among the controls, giving a morbidity rate of 3.6 per cent. among the 833 controls, as compared to 4.7 per cent. among the 565 vaccinated men. Emphasis is laid on the fact that these morbidity rates were calculated for both groups on the number of cases that appeared after vaccination had been completed. The result failed to show protective qualities in the vaccine.
Influenza vaccines for prophylaxis were also prepared in great quantities by the New York City Board of Health, and were made under the direction of W. H. Parke. No reports on the value of their vaccines have as yet appeared, and the writer has been unsuccessful in obtaining any data on the matter. The Parke vaccine was made in the following way: A large number of strains of Pfeiffer bacilli were isolated from cases of influenza during the epidemic. These were grown on a veal infusion agar containing 1 per cent. peptone, 0.5 per cent. of sodium chloride, 5 per cent. chemically pure glycerin, and the reaction of which was made neutral to phenolthalein in the cold. The agar was melted, and from 3 per cent. to 5 per cent. of citrated horse blood was added to it at a temperature above 95° C. The media was then slanted and cooled in 6 × 1 inch test tubes. Most of the vaccines contained about 17 different strains of Pfeiffer bacilli. The strains were inoculated separately on a series of slants, and at the end of 24 hours the cultures were washed off with sterile water and the washings from each series were placed in a separate bottle. Smears were then made to determine whether or not gram positive organisms were present, and as soon as each bottle was found to be free from contamination the contents were pipetted off into a 1,000 c.c. flask, and the dilution with sterile salt solution containing 0.25 per cent. phenol made. All 109of the strains were mixed together in the large flask. A sample was then removed for standardization by Wright’s method, and the flask was submerged for one hour in water at 53° C. Transplants for sterility were made and watched for 48 hours. The vaccine was then diluted so that each cubic centimeter contained 1,000,000,000 Pfeiffer bacilli. Prophylactic vaccination was carried out by giving ½ c.c., 1 c.c. and 1½ c.c. doses at seven-day intervals.
At the request of the Department of Public Health of the city of Pittsburgh, the writer undertook to prepare Parke’s vaccine in large quantities. The vaccine was to be prepared under the direction of a committee consisting of Drs. Oskar Klotz, W. L. Holman, E. W. Willetts, George L. Hoffman and the writer, and the vaccine was to be turned over to the City Health authorities for distribution in the community. The work was carried out at the Singer Memorial Laboratory, and was begun the same day that the committee was appointed. Thirteen strains of Pfeiffer bacilli were used. Holman contributed six strains, isolated at autopsies done by Klotz at the Magee Hospital. Other fresh cultures were furnished by Willetts; Wiese, of the City Laboratory, and by the Singer Laboratory. The media used was that recommended by the New York Board of Health, save that sheep’s blood was used instead of horse blood because of convenience. The same technique was employed, with the exception that a modification of the Hopkins method of standardization was used instead of the Wright method. This was done because Pfeiffer bacilli are extremely small, tend to form unbreakable clumps and tangles, and so increase the difficulties of making satisfactory counts, either by means of the Wright method or with the Helber-Glynn counting chamber, that the methods are independable. Opalescent standards permit of such enormous variations that it was decided to use the Hopkins method, or a slight modification which we found so satisfactory that we will give our method here in detail.
When the sample was removed for standardization it contained
not only a thick suspension of Pfeiffer bacilli, but also bits of
110agar and blood-stained debris. It was necessary to rid the suspension
of the gross contamination, and this was done at first by
filtering it through sterile glass wool filters, and later by centrifuging
it at slow speed for about 10 minutes. The suspension
then contained little but the Pfeiffer bacilli, and was placed
in the Hopkins tube and centrifuged for ½ hour on the sixth
contact of the rheostat. This gave the per cent. of Pfeiffer
bacilli in the suspension, and the necessary dilutions to make
1,000,000,000 per cubic centimeter were readily determined. The
Hopkins tube consists of a centrifuge tube, with a capillary tube
sealed on at the smaller end. The centrifuge tube is graduated
in 10 c.c., 5 c.c. and 1 c.c. amounts, and the capillary portion is
graduated in 0.01, 0.02, 0.03, 0.04 and 0.05 c.c. amounts. To
standardize the vaccine, 10 c.c. of the sample was centrifuged in
the tube and the amount of sediment read on the capillary scale.
If the amount of bacilli fell between the graduations, an additional
amount of sample was added, so that the sediment reached
one of the graduated lines, the exact amount of sample added
being noted. The percentage of the suspension could thus be
determined by dividing the number of c.c. of sample used into
the amount of the sediment obtained, and the number of bacteria
calculated according to Hopkins table. The table available to
us did not list the Pfeiffer bacillus, but according to it a 1 per
cent. suspension of staphylococcus contains 10 billion organisms
to the cubic centimeter, and we estimated that Pfeiffer bacilli
were about half the size of staphylococci. This assumption was
borne out by a number of Wright’s method counts on standardized
suspension of bacilli. We, therefore, calculated that a 1
per cent. suspension of Pfeiffer bacilli should contain about 20
million organisms. Then, if 10 c.c. contain 0.02 c.c. of bacterial
sediment, the per cent. was calculated by taking 0.02
10 = 0.2 per
cent., the strength of the suspension. If 1 per cent. contains
20 billion, then 0.2 per cent. contains 4 billion per c.c. In order
to get a 100 million per c.c. suspension, it would be necessary to
dilute the original suspension 40 times.
Every method of standardization is more or less inaccurate, but the above described method gave a fairly uniform product. Drying and weighing is claimed by many to be more accurate, but even with this procedure a fair amount of non-bacterial sediment is present in the material to be weighed.
111After the vaccine was completed, cultures were made from the final dilutions and were watched for 48 hours. Mice and guinea pigs were injected with the first samples to make certain that the material was non-toxic. Two laboratory employees also volunteered and received full doses before the first batch of vaccine was released. The first five litres were turned over to the Red Cross on October 31, one week from the day the work was begun. In three more days the laboratory reached a capacity of 10 litres a day, and on the fifth day the order was received to discontinue preparation of the vaccine.
Relatively little of our vaccine was given out, and in the rush it was not possible to determine which physicians had been given our vaccine and which had received commercial mixed products, so there is no data on its protective powers.
As soon as we found that there was no call for prophylactic vaccines, we planned some animal experiments; but inasmuch as we were unable to get our cultures of Pfeiffer bacilli virulent enough to kill mice or guinea pigs, the minimum lethal dose could not be determined, and without it it was impossible to determine the protective value of the vaccine. Mr. Purwin, in our laboratory, injected a 25–gram mouse intravenously with 2 c.c. of a milk thick suspension of Pfeiffer bacilli without killing the animal. He was successful in getting a small needle into the tail vein and in slowly injecting the whole amount. The mouse was sick for about 36 hours, but entirely recovered. Guinea pigs were insusceptible to very large doses. Had we succeeded by means of a vaccine in completely immunizing a man against Pfeiffer bacilli, we still would have been uncertain that he was immune to influenza in its “epidemic” form.
The absence of virulence in our laboratory strains may not mean that the cultures were non-virulent when first isolated, but it suggests the uselessness of attempting to make active vaccines from strains kept on artificial media for months or years, such as those commonly offered for sale by commercial houses.
The loss of virulence in strains that have been isolated for some time is interesting in the light of Parker’s (12) work upon toxine production by Pfeiffer bacilli. She found that toxic filtrates appeared in infusion broth cultures in from 6 to 8 hours, and that 2 c.c. of a 20–hour filtrate would kill a medium-sized rabbit in from 1 to 3 hours. It was also found that the poison 112deteriorated so rapidly that, in order to determine its toxicity, the tests had to be made on the same day that the filtrate was obtained. Parker succeeded in making an anti-serum against the poison, which appeared to be antitoxic for it both in vitro and in vivo. This work is interesting, and may be a step toward the development of a practical prophylactic serum.
From the above data, it is apparent that there is very little to indicate that an immunity to epidemic influenza is conferred by the use of a prophylactic vaccine composed of inert Pfeiffer bacilli alone. If a desirable vaccine is to be obtained through the use of these organisms, there must be radical changes in the mode of preparation of the vaccine or in the size of the doses given.
For some years commercial houses have been carrying mixed vaccines for the treatment of colds, which they called influenza vaccines. These preparations were made up usually of six or more different varieties of bacteria, and all of them were of similar composition. There was more or less variation in the doses, both as far as the total number of bacteria and the relative number of the different types were concerned. A typical example of a so-called “mixed influenza vaccine” may be given about as follows:
| B. Influenza (Pfeiffer) | 25 | to | 400 | million per c.c. |
| M. Catarrhalis | 25 | to | 400 | million per c.c. |
| B. Friedlander | 25 | to | 400 | million per c.c. |
| Pneumococci | 25 | to | 400 | million per c.c. |
| Streptococci | 25 | to | 400 | million per c.c. |
| Staph. Albus-Aureus | 50 | to | 800 | million per c.c. |
| Totals | 175 | to | 2800 | million per c.c. |
These vaccines were recommended in the various catalogues for use either alone or together with other vaccines in the prophylaxis and treatment of common colds, and in acute and chronic diseases of the respiratory tract. As a matter of fact, they had 113been used very little in prophylaxis, and had failed to show very much value in treatment. In discussing these vaccines from the standpoint of treatment, R. M. Pearce (13) had the following to say: “A mixed vaccine for common ‘colds’ containing several organisms (staphylococcus, streptococcus, pneumococcus, micrococcus catarrhalis group, bacillus of Friedlander group, diphtheroid group, bacillus influenza) is one of the most recent bacterial ‘shotgun’ mixtures, which takes the chance of one lucky bull’s-eye in seven shots.” “No one can claim a scientific or even a common-sense basis for the treatment of a cold by such a mixture.” Catarrhal mixed vaccines of a similar kind were refused acceptance by the committee on “New and Non-efficial Remedies” of the American Medical Association, in June, 1918 (14), on the grounds that insufficient evidence of their therapeutic value had been furnished by their manufacturers.
While the above illustrates the status of “mixed vaccine” for therapeutic purposes, it is a well-recognized fact that it is possible to produce an immunity for most of the bacteria composing such vaccines, if killed cultures of the various strains are injected in sufficiently large doses. Again referring to Pearce’s article, we find the statement: “Prophylactic vaccination rests on a sound, scientific basis of experimental studies and clinical observation.”
The attempt to protect against epidemic influenza by the use of mixed vaccines was based largely on the following points. The medical profession was confronted by a rapidly approaching deadly epidemic, against which ordinary measures of control had failed. The epidemic was supposed to be due to a primary infection with Pfeiffer’s bacillus, but all of the fatal cases were found to have profound secondary or symbiotic infections, with one or more of the strains contained in the “mixed vaccines.” It was known that mixed bacterial proteins, even though they were not actually specific, possessed certain qualities of producing reactions unfavorable to infections in general, which were characterized by a temporary rise in temperature, by an increase in the number of leucocytes, and by a more or less demonstrable amount of active immunity against each one of the contained bacterial toxins. The artificial production of a leucocytosis was especially desirable, because a characteristic of epidemic influenza was the failure of leucocytosis on the part of the infected individual. In other words, mixed vaccines were used because they were the 114only available substances which offered the hope of creating a reaction against the secondary invaders which were so commonly the cause of death in influenza.
Since Pittsburgh’s experience with prophylactic vaccination had chiefly to do with the use of commercially prepared mixed vaccines, a brief history of the local experience with them may be of interest.
About the time that the first cases of influenza were being reported from the Pittsburgh district, articles on preventive vaccines as used in Boston and at some of the camps began to appear in the daily papers, shortly after which came the announcement that the Carnegie Steel Company was offering free vaccination to their employees and to the families of their employees. Dr. W. O. Sherman, chief surgeon for the company, advocated the use of the vaccine because he hoped to increase the immunity to secondary infection and to produce an active leucocytosis in the vaccinated individuals, and at the same time to allay panic among the employees at a time when an interruption of manufacturing and mining pursuits might be disastrous to the entire country; and he did it with the assurance that if the vaccine did no good, it would at least do no harm. He took steps to arrange for the collection of data by which he hoped to determine whether or not the vaccine as used by their company did any good. His report has not yet appeared. Other large corporations at once instituted prophylactic vaccinations with commercial “mixed vaccines.”
In contrast to the altogether laudable efforts of these companies to protect their employees, a complete history of the vaccine episode in this community necessitates the recounting of a very different phase in the matter. When it became known that corporations were vaccinating their employees, people in general naturally began to investigate. Physicians’ offices were besieged by persons who either demanded vaccination at once or wanted to know whether or not there was “anything in it.” Conscientious physicians in their turn called up the offices of the medical societies, the various laboratories, and telegraphed everywhere trying to get some definite data before recommending the vaccine to their patients. It was impossible to answer the question definitely, because it was a new procedure and purely in the experimental stage. On the whole, the medical profession 115handled the situation in a competent and dignified manner, for the great majority gave vaccines only after a full explanation to the effect that its value was in doubt, or else refused to give it altogether. There were some, however, who were not conscientious, and the unscrupulous practitioner seldom had a better chance to impose upon the public. The demand for vaccine soon exceeded the supply, and it is claimed that there were doctors who gave any type of vaccine they could obtain without regard to its bacterial make-up or intended purpose. Anti-diphtheritic serum was given in many instances, and it is said that even normal salt was used. Statements to the effect that exorbitant sums were being charged and that guarantees of prevention were being made resulted in the Red Cross Society undertaking the distribution of the vaccine. To protect itself, the Medical Society issued the following notice in the weekly bulletin for October 26, 1918:
The Society wishes it understood that at present there is no vaccine, serum or inoculation which will secure anyone against influenza. It is desirable that everyone should avoid hysteria and consider only the reports which are officially given out by the Health Department, since of late various methods of prophylaxis and treatment have found their way into the daily newspapers, and these may prove harmful rather than do good.
Almost simultaneously the daily papers published the report of Surgeon-General Blue, of the United States Bureau of Public Health, which expressed practically the same opinion. It was not the intention of either of these articles to criticise the practice of vaccination, but merely to warn the public against profiteering and fraudulent guarantees. They had the unexpected effect, however, of causing people to completely lose faith in prophylactic vaccines, and in many instances to become actually antagonistic to them. It was during this period that the preparation of vaccines from pure influenza strains was undertaken, under supervision of the County Society and for distribution through the Department of Public Health. Two days after the first supply of this vaccine was ready the Red Cross authorities telephoned that there was no further call for vaccine. The man in charge of the distribution stated concretely that “the bottom had dropped out of the vaccine business.” A few days later the 116Department of Health issued an order to stop the preparation of the vaccine.
Many pharmacies, having small supplies of vaccines, realized the great call for it and the difficulty of obtaining a new supply, and were also guilty of commercialism. Certain of the large biological product companies were no exception. One house issued a hand-bill, printed in red on a yellow background, which stated: “Epidemic influenza is due to the influenza bacillus. The present epidemic of influenza has a tendency to develop pneumonia. The use of our influenza bacillus vaccine No. —— will abort the influenza and avoid pneumonia and other sequelæ. When pneumonia has developed, it can be reduced to less than one-third the mortality and duration usual with other methods of treatment,” etc. Practically all of the above statements are still unproven, and probably will never be shown to be true. Such a bulletin undoubtedly lays this firm of vaccine manufacturers open to prosecution under the law protecting against false and fraudulent advertising. Several fairly well-authenticated incidents occurred in which the representatives of vaccine houses offered factory managers and others share and share alike in the profits, if the brand of vaccine made by them was used. It is on such happenings as the above that the writer advocates legal measures, allowing Boards of Health to control the advertising of remedies and distribution of biological products during epidemics.
How much Pittsburgh will learn from the experience with vaccines will depend on the numerous analyses of data which were acquired during the epidemic.
Proof of the prophylactic value of mixed vaccines for epidemic influenza depends entirely upon the results of its practical application to human subjects in times when the disease is prevalent. Animal determinations are out of the question, because it has not been possible to produce the epidemic form of influenza experimentally. If all people were equally susceptible and were equally exposed, it would be a simple matter to compare the number of vaccinated persons who developed the disease with the number of unvaccinated persons who contracted it; but since many thousands were vaccinated and some of them contracted 117the disease in spite of it, and a greater number of persons who were not vaccinated entirely escaped, the analysis is extremely difficult.
The time element is a big factor. In instances where vaccination was completed in a community before the epidemic appeared there, the figures are worth more than those in which vaccination was undertaken after the epidemic had become established. This is true, because the most susceptible persons in a community developed the disease as soon as they were exposed, the less susceptible ones were not attacked until later, and the insusceptible ones escaped altogether. Whenever vaccination is begun during an epidemic, the persons vaccinated for prophylactic purposes are necessarily chosen from those who have not yet developed an attack. The later in the epidemic that vaccination is begun, the greater will be the number of persons selected for vaccination from among those more or less naturally immune. Then, if the total number of cases among the vaccinated is compared with the total number of cases among the unvaccinated, the apparent value of the vaccine is increased; but the estimation is not a fair one, because the vaccinated group is unavoidably selected from among relatively immune persons, while the controls include all of the very susceptible people who were suffering from the disease at the time vaccination was begun. Where vaccination is begun after the epidemic is advanced, the only figures worth while are those obtained by a day-by-day or a week-by-week comparison between the number of cases developing among controls and the number of cases appearing among those vaccinated, and by beginning that comparison at a time subsequent to the day on which the prophylactic inoculations were completed.
Aside from the interpretation of the results there is possibly a more serious reason for objecting to the beginning of vaccination during an epidemic. This lies in the danger of producing a temporary negative phase in the patient, which makes him somewhat more susceptible to natural infection for a few hours immediately following each administration.
McCoy (15) outlined the requirements necessary for an ideal vaccine experiment as follows: 1. The community should be as large as possible, and should number at least 10,000 persons. 2. The conditions under which they live should be as nearly equal as possible. 3. The turnover, or rather the change in population, 118should be as small as possible. 4. The social service should be efficient and reliable, so that it can be definitely ascertained when anyone becomes sick and what the disease is from which he is suffering. 5. Fifty per cent. should be vaccinated before the epidemic arrives, and the other 50 per cent. should be held as controls.
No examples were found which came up to the above requirements, but there were some instances in which vaccination was completed before the epidemic appeared, and some in which we were able to get a week-by-week comparison between vaccinated and unvaccinated groups. Most of the data which has been reported shows that vaccination was begun about the last of the second or the first of the third week of the epidemic, and in some instances not until after the peak was passed. Add to this the fact that the vaccine was given in from three to four doses, at from three to seven day intervals—a course which required in the neighborhood of two weeks for completion—and it is obvious that the full protective powers of the vaccine were not acquired by the individual until the worst of the epidemic was over and the number of cases were rapidly subsiding.
In order to get the best understanding from these experiments, the data will be presented in three series: I. Those instances in which vaccination was completed before the epidemic appeared. II. Those instances in which it is possible to compare the relative occurrence of influenza in both the vaccinated and unvaccinated groups after vaccination was completed. III. Those instances in which vaccination was begun after the epidemic appeared and in which comparisons of total figures only are available.
1. The only instance in the Pittsburgh community in which vaccination was completed before the epidemic appeared is that reported from the Dixmont Hospital, Dixmont, Pa., and furnished me through the courtesy of Dr. Hutchinson (16). The institution had a population of about 1,000 patients and 300 employees. Prophylactic vaccination was begun on October 20, and was completed about November 6. Each c.c. of the vaccine used contained 200,000,000 each of B. Pfeiffer, Micrococcus Catarrhalis, B. Friedlander, 119Pneumococci, Streptococci and Staphylococci, both Aureus and Albus. Four doses were given of 4 minims, 8 minims, 12 minims and 16 minims, respectively. Inoculations were carried out at four-day intervals. Owing to the isolation of the institution from the general community, the first case did not appear until two weeks later—namely, on November 20. The results are shown by the table.
| Population. | No. of Cases. | % of Cases. | No. of Deaths. | % of Deaths. | |
|---|---|---|---|---|---|
| Vaccinated | 600 | 44 | 7.3% | 0 | 0% |
| Unvaccinated | 700 | 69 | 9.8% | 9 | 1.2% |
None of the vaccinated patients developed pneumonia, though there were 15 cases among the unvaccinated.
This experiment shows a slight percentage in favor of vaccination, and indicates that there was some decrease in the severity of the secondary infections.
2. The experiment reported by McCoy, Murray and Teeter (17) showed quite opposite results from the above, and was an excellent example of a small though completely controlled test. In an asylum for the insane in San Francisco all of the patients under 41 years of age were divided into two groups—one group was kept as controls and the other was given a vaccine furnished by F. O. Tonney, of the Chicago Health Department. The vaccine contained 500,000,000 each of B. Influenza, Pneumococcus I, II and III, 1,500,000,000 Pneumococcus IV, 1,000,000,000 Streptococcus Hæmolyticus and 500,000,000 Staphylococci. Doses of 0.5 c.c., 1 c.c. and 1½ c.c., which were given at 48–hour intervals. Inoculation was completed on November 15, and the first case of influenza appeared on November 26. The table shows the result.
| Vaccinated. | Not Vaccinated. | |
|---|---|---|
| Persons in group | 390 | 390 |
| Cases of influenza | 119 | 103 |
| Cases of pneumonia | 23 | 17 |
| Number of deaths | 10 | 7 |
3. The report of Minaker and Irvine (18) included several groups of men, the first two of which apparently belonged in our first series. They used a vaccine, each c.c. of which contained 5,000,000,000 B. Pfeiffer, 3,000,000,000 each of Pneumococcus I 120and II, 1,000,000,000 Pneumococcus III, 100,000,000 Streptococcus Hæmolyticus. In all, they vaccinated 11,179 persons.
(a) Their first group numbered 4,950 persons in quarantine at the Naval Training Station. The quarantine was maintained for 24 days, and no influenza appeared during that time. Three thousand five hundred and fourteen of them were released at a time when there were still 200 to 300 cases of influenza being reported daily in San Francisco. Out of the 3,514 men, 15 had influenza, and there were no deaths.
(b) At the Mare Island Navy Yards 1,950 marines were released immediately after completion of the inoculation. They were turned into Valejo and San Francisco, where influenza was at its height. Only 35 cases, with 1 death, occurred, and these developed shortly after the men were released in San Francisco. This group was controlled with an unvaccinated group of 8,232 persons who remained at Mare Island, and 1,296 cases of influenza, with 65 deaths, occurred among the controls.
(c) At San Pedro 3,100 were vaccinated, and of these 53 had influenza, and there were no deaths. The occurrence among these was compared with the prevalence of the disease in Los Angeles, but this part of the report leaves much to be desired in the way of the relative dates, etc.
(d) The fourth group, consisting of 1,080 civilians, developed 14 cases, with no deaths. However, vaccination of this group was not completed until 21 days after the pandemic had appeared in the community. Minaker’s and Irvine’s analyses show a favorable percentage for vaccination in the first two groups, but their groups three and four were not sufficiently well controlled to be of much help.
4. In a report which appeared during October, 1918, Eyer and Lowe (29) published the results of prophylactic inoculation of 1,000 New Zealand troops with a mixed catarrhal vaccine. They controlled their experiments with 19,000 New Zealand troops who were not inoculated. A comparison of the incidence of acute respiratory disease and influenza during the primary wave of the epidemic as it appeared during June and July, gave two cases among the vaccinated troops and an average of 43.2 cases per thousand among the controls.
Later they reported (58) the results of much larger experiments as carried out at 17 different camps and hospitals. The vaccine which they used was a typical “mixed” vaccine, save that 121the authors emphasized the advantage of using strains not more than three generations removed from the body. At some of the camps their reports were unfavorable, but upon the whole their results, as summarized below, were most encouraging. In most instances inoculations were completed just prior to the arrival of the autumn epidemic.
Out of a total average strength of 21,759, approximately 16,104 men received full prophylactic vaccination, and approximately 5,700 were uninoculated, or had received only 1 dose; 3,366 cases of influenza developed—15 per cent.; 1.3 per cent. occurred among the vaccinated, while 4.1 per cent. developed in the uninoculated; 8 per cent. of the severe cases among the protected died, as compared to 23 per cent. among the uninoculated. The death rate for all infected cases was 0.26 per cent. among the inoculated and 2.2 per cent. among the uninoculated.
Notanda.—All of the above reports, comprising the “Series I” experiments, indicate that mixed vaccines reduced the number of severe illnesses and lowered the death rate to some extent.
1. The report on prophylactic vaccination at the Hospital for the Insane at Retreat, Pa., was very kindly furnished by Dr. Charles B. Maberry (20). When the epidemic approached, the institution was placed in quarantine and remained free from influenza until October 28, when two cases appeared in nurses who had broken quarantine. Influenza spread in the male ward, but the female wards were kept free during the whole of the epidemic. There were 370 male patients, but 60 were in the infirmary and were not included in the calculation. Out of 310 patients, 210 received vaccines. Ordinary commercial mixed vaccine was used, and vaccination was begun two days after influenza appeared. During the first week there were 40 cases of influenza, 6 of which occurred among those who had received a single dose of the vaccine. After the first week there were 38 cases of influenza, with 10 pneumonias and 5 deaths, among the unvaccinated, giving a morbidity rate of 38 per cent. and a 122mortality rate of 5 per cent. In the vaccinated group there were no cases after vaccination was completed. Maberry states further that in ward III the only cases which appeared subsequent to vaccination were in six patients who refused preventive inoculations. This appears to be the most favorable of any of the reports.
2. Nurses on duty in hospitals everywhere suffered greatly from influenza, and those of Pittsburgh were no exception. Some of the hospitals vaccinated the nurses during the epidemic and some did not, and it was hoped that by getting a week-by-week comparison of the number of cases among vaccinated and non-vaccinated nurses some reliable data would be obtained. A circular letter sent to all of the hospitals in the community contained a blank asking for the number of nurses, date of appearance of the epidemic, use of vaccine, dates of inoculations, and for a week-by-week occurrence of influenza in each group. Only 7 hospitals complied with the request, and of them only 5 sent complete data. Complete reports were received from the Allegheny General, Columbia, Presbyterian, South Side and St. Francis Hospitals. Of a total of 336 nurses in these 5 institutions, 38 developed influenza in the first week, 48 in the second, 39 in the third, 43 in the fourth, and 45 subsequent to the fourth week, making a total of 213—a morbidity of 63 per cent. The Mercy and St. Margaret’s Hospitals reported the total number of nurses and the occurrence of influenza among them, and adding in their reports there were 521 nurses on duty in 7 hospitals, with 257 cases of influenza, giving a morbidity rate of 50 per cent.; 28 cases of pneumonia and 11 deaths, giving a 2 per cent. mortality rate. The total figures from hospitals where vaccines were used are against vaccination, due partly to the fact that vaccination was started late. In these hospitals the morbidity was 66 per cent. and the death rate 3 per cent. In the hospitals where vaccines were not used the morbidity rate was 20 per cent. and the death rate 1.2 per cent. No dependable data was obtained, but the report from the South Side Hospital was interesting. Of 60 nurses on duty, 36 had influenza and 2 died. Of this number 19 were stricken the first week. Three days after the first cases were admitted to the hospital vaccination was begun, and was given to most of the nurses still on duty. Of those taking vaccines 20 developed influenza and 1 died during the period of 123immunization, but after the inoculations were completed there were no more cases in either group.
During the epidemic it was said that benefit was derived from the use of vaccines on nurses at the West Penn Hospital, but the writer was unable to obtain a report from this institution. The collected data on nurses was useless, though it is interesting, in that it shows the possibility of making figures prove almost anything you want them to prove.
Undoubtedly the largest attempt at prophylaxis against epidemic influenza through the use of “mixed vaccines” was that made under the direction of Dr. W. O. Sherman for the Carnegie Steel and H. C. Frick Coke Companies. The results which Dr. Sherman hoped to attain when he planned using the vaccine and collecting the data have already been given. Commercial mixed vaccines similar to those described under the “Series I” experiment were used, and four doses, three days apart, were given. Inoculations were begun on October 20, 1918, and were completed during the first week of November. Vaccine was administered to the employees and their families without charge. Later cards were given to all employees, and they were made to fill them out and return them. On the cards were blanks calling for the name, age, sex, color, number of inoculations, whether or not the employee himself or any member of his family had had influenza, and how many days the sick individuals had been in bed. Each mill and mine was then supplied with a set of blank forms providing for a complete statistical record of the number of inoculations and the total incidence of influenza, pneumonia and death. From the reports of the respective mills and mines the total figures given in the charts were compiled.
Difficulties were encountered in every part of the work. The vaccine demand was so great that the products of three different firms were used. So many doctors were in service that most of the vaccine had to be given by carefully coached nurses. The bulletins of the United States Bureau of Public Health and of the Allegheny County Medical Society, with their warnings about influenza vaccines being only in the experimental stage, appeared 124just at the time the work was begun and caused a great many to refuse to complete vaccination after one or two doses had been given. So few medical men were left that it was impossible to have them see all cases and so determine the nature of many of the illnesses which were occurring. It was assumed, therefore, that any employee who had fever and was sick for a period of three days had influenza, and that any who were confined to bed for seven days or more had pneumonia. The figures of the central offices were made up from the reports of 14 steel mills, 1 cement factory, 4 warehouses and 57 mining districts. The accuracy of data depended on the careful work of a great many local statistical workers, which made individual variations hard to control. The greatest difficulty of all, however, lay in finding a common basis for comparisons of the incidence of influenza, pneumonia and death in the vaccinated and non-vaccinated groups, since the data on the former group included the occurrence only after the peak of the epidemic had been passed, and that of the latter group included the occurrence for the entire epidemic.
The total figures are given in the three charts.
| CHART I. | |||
|---|---|---|---|
| Carnegie Steel Company. | |||
| All Works Except Homestead, City Mills, Columbus, Lucy and Isabella. | |||
| Statistical Report on Inoculation Against Influenza. | |||
| 1. Number of employees who had influenza | 5,728 | 18% | |
| 2. Number of employees who did not have influenza | 24,956 | ||
| Total number of employees | 30,684 | ||
| 3. Total number of persons inoculated | One inoculation | 2,983 | |
| Two inoculations | 3,675 | ||
| Three inoculations | 4,626 | ||
| Four inoculations | 10,053 | ||
| Total | 21,337 | ||
| 4. Cases influenza developed after | No inoculations | 2,133 | 23% |
| One inoculation | 745 | 25% | |
| Two inoculations | 776 | 21% | |
| Three inoculations | 794 | 17% | |
| Four inoculations | 1,280 | 12% | |
| Total | 5,728 | ||
| 1255. Cases influenza pneumonia developed after | No inoculations | 804 | 37% |
| One inoculation | 356 | 48% | |
| Two inoculations | 403 | 52% | |
| Three inoculations | 321 | 40% | |
| Four inoculations | 459 | 36% | |
| Total | 2,343 | ||
| 6. Deaths from influenza and “flu Pneumonia” after | No inoculations | 104 | 4.7% |
| One inoculation | 32 | 4.3% | |
| Two inoculations | 33 | 4.2% | |
| Three inoculations | 21 | 2.6% | |
| Four inoculations | 33 | 2.5% | |
| Total | 223 | 3.9% | |
| CHART II. | |||
| H. C. Frick Coke Company. | |||
| Statistical Report on Inoculation Against Influenza. | |||
| 1. Number of employees who had influenza | 5,248 | 31.4% | |
| 2. Number of employees who did not have influenza | 11,464 | ||
| Total number of employees | 16,712 | ||
| 3. Total number of persons inoculated | No inoculations | 3,122 | |
| One inoculation | 2,483 | ||
| Two inoculations | 2,548 | ||
| Three inoculations | 3,550 | ||
| Four inoculations | 5,009 | ||
| Total | 13,590 | ||
| 4. Cases influenza developed after | No inoculations | 1,495 | 47.9% of (3 |
| One inoculation | 634 | 25.5% | |
| Two inoculations | 770 | 30.2% | |
| Three inoculations | 1,078 | 30.4% | |
| Four inoculations | 1,271 | 25.0% | |
| Total | 5,248 | ||
| 1265. Cases influenza pneumonia developed after | No inoculations | 94 | 6.3% of (4 |
| One inoculation | 33 | 5.2% | |
| Two inoculations | 42 | 5.4% | |
| Three inoculations | 69 | 6.4% | |
| Four inoculations | 85 | 6.7% | |
| Total | 323 | 6.1% of (4 total |
|
| 6. Deaths from influenza and “flu | No inoculations | 30 | 2.0% of (4 |
| One inoculation | 13 | 2.0% | |
| Two inoculations | 21 | 2.9% | |
| Three inoculations | 16 | 1.5% | |
| Four inoculations | 37 | 2.9% | |
| Total | 117 | 2.2% of (4 |
|
| CHART III. | |||
| Bessemer & Lake Erie Railroad. | |||
| Statistical Report on Inoculation Against Influenza. | |||
| 1. Number of employees who had influenza | 1,275 | 24% | |
| 2. Number of employees who did not have influenza | 3,986 | ||
| Total number of employees | 5,261 | ||
| 3. Total number of persons inoculated | No inoculations | 3,091 | |
| One inoculation | 232 | ||
| Two inoculations | 249 | ||
| Three inoculations | 479 | ||
| Four inoculations | 1,210 | ||
| Total | 2,170 | ||
| 4. Cases influenza developed after | No inoculations | 705 | 55% |
| One inoculation | 111 | 48% | |
| Two inoculations | 91 | 36% | |
| Three inoculations | 129 | 27% | |
| Four inoculations | 239 | 19% | |
| Total | 1,275 | ||
| 1275. Cases influenza pneumonia developed after | No inoculations | 283 | 40% of (4 |
| One inoculation | 75 | 67% | |
| Two inoculations | 59 | 64% | |
| Three inoculations | 51 | 42% | |
| Four inoculations | 69 | 28% | |
| Total | 537 | ||
| 6. Deaths from influenza and “flu Pneumonia” after | No inoculations | 40 | 5.6% of (4 |
| One inoculation | 5 | 4.5% | |
| Two inoculations | 0 | ||
| Three inoculations | 0 | ||
| Four inoculations | 3 | 4.3% | |
| Total | 48 | ||
Charts I and III show a decrease in the incidence of influenza in direct proportion to the number of inoculations given. This finding would have been very important had vaccination been completed before the epidemic appeared. There is, however, no convincing evidence in either of these charts that the vaccine cut down the relative number of pneumonias, or decreased the death rate to any appreciable extent. Chart I also shows the interesting fact that influenza occurred slightly more often among those who had one inoculation than among those who were not vaccinated at all.
Chart II would indicate that influenza occurred much less frequently in the vaccinated than in the control group, but a closer analysis brings out the contradictory finding that influenza occurred at the same rate in the group of 634 persons who had only 1 dose that it did in the group of 1,271 who completed the course.
The reports from the separate communities were so conflicting that to attempt to analyze them leads only to confusion.
No reports of harmful effects from the use of the vaccine were received, and several physicians who attended sick employees say that, even though the figures do not show it, they feel certain that the vaccinated persons in general were not as sick as those who were not vaccinated.
On account of the conditions under which the vaccinations were done and the reports compiled, Dr. Sherman has not felt 128justified in making a report, fearing that erroneous conclusions might be drawn from the data. We are greatly indebted to him for the use of his reports, without which our account of the influenza epidemic in Pittsburgh would have been very incomplete.
2. Another large steel corporation who used vaccine but asked that their names be withheld furnished the following report. During the epidemic the company offered free vaccination to its 27,000 employees and their families. Commercial mixed vaccines were used, three injections given, and vaccination begun on October 19, which was about the time of the peak of the epidemic in Pittsburgh. The results include a record of all employees who lost over six days between October 1 and November 30.
| EMPLOYEES | Morbidity | Pneumonia | Mortality | ||||
|---|---|---|---|---|---|---|---|
| No. | % | No. | % | No. | % | ||
| Received only one dose | 3,895 | 511 | 13.13 | 31 | 0.8 | 28 | 0.72 |
| Received only two doses | 3,329 | 414 | 12.44 | 40 | 1.2 | 19 | 0.57 |
| Received all three doses | 9,897 | 468 | 4.75 | 46 | 0.46 | 32 | 0.32 |
| Total of above | 17,119 | 1393 | 8.14 | 117 | 0.68 | 79 | 0.46 |
| Received no doses | 10,036 | 1522 | 15.17 | 154 | 1.53 | 106 | 1.06 |
| Total for both groups | 27,155 | 2915 | 11.66 | 271 | 1.10 | 185 | 0.76 |
Before satisfactory conclusions can be drawn from these figures it is necessary to know how many of the 10,036 persons became sick before vaccination, and whether or not the rate of decrease in this group was not similar to that shown by the number of patients who developed influenza during the intervals between their doses of vaccine. The relatively high percentage of cases following the first and second doses are capable of explanation on one, or perhaps on all, of the three following grounds: (a) the general subsidence of the epidemic, which showed a rapid decrease by the time the third dose was given; (b) the increased protection afforded by the three doses of vaccine, and (c) the broken resistance of the patient following sudden sensitization by the vaccine.
3. Rosenow (21) prepared a mixed vaccine by growing the various bacteria in glucose broth, for from 18 hours to 36 hours, 129centrifuging and suspending the sediment in salt solution and making up the vaccine on a percentage basis.
| Pneumococci, Types I (10 per cent.), II (14 per cent.) and III (6 per cent.) | 30 per cent. |
| Pneumococci Group IV and the allied green-producingdiplostreptococci described | 30 per cent. |
| Hemolytic Streptococci | 20 per cent. |
| Staphylococcus Aureus | 10 per cent. |
| Influenza bacillus | 10 per cent. |
Most of the vaccine was distributed within a radius of 200 miles of Rochester, Minn., but samples were furnished to physicians all over the country, who agreed to return statistics on its use. No evidence was found that this vaccine caused a temporary break in the resistance of the user. Out of a total of 20,972 persons vaccinated, 14.6 cases of influenza, 1.8 cases of pneumonia, with 1.8 mortality, occurred per thousand in the six weeks following vaccination. As controls, he took “such persons in institutions, colleges, factories and communities where vaccine was used, and included only those reports which contained accurate data as to the incidence and mortality among them.” Among 61,753 such controls he found 229 cases of influenza, 15.7 cases of pneumonia and 3.4 deaths per thousand. He concluded from his results that “it appears possible to afford a definite degree of immunity by prophylactic inoculations to persons against the more serious respiratory infections during the present epidemic.” It is quite difficult to agree with Rosenow in his interpretation of the figures as presented by him, inasmuch as he made no allowance for the stage of the epidemic at which vaccination was carried out, either among the vaccinated or the non-vaccinated. Such a comparison would be well nigh impossible where the vaccine was sent in varying quantities to such a large number of places.
4. League Island Report (22). Vaccines were used as a preventive in 50 persons, most of whom were hospital apprentices and in the wards 12 to 15 hours a day. Other precautions were used, such as masks, but not a single case developed in the group. The vaccine was used as a curative agent in 50 uncomplicated cases; none of the patients injected early developed pneumonia.
1305. Puget Sound Navy Yards Report (23). The vaccine used at this station was made from hæmolytic streptococci, no other organisms being used; 4,212 men were vaccinated, and not one died from influenza. Among 111 Philippinos isolated and vaccinated there occurred only 2 cases. Among 361 marines vaccinated early there occurred 2 cases. Among 62 marines at the ammunition depot who were vaccinated early there occurred 3 cases, only 1 of which occurred after completion of vaccination. Among 662 bluejackets at Seattle Training Camp only 10 men developed the disease. Among 83 at the aviation corps there were 32 cases—31 of them developed the disease within a few hours after the first injection. There were no deaths in any of the above groups. The period of observation was closed on October 21, and so few cases of influenza appeared subsequent to that date that it seemed that the epidemic was practically over at the time the data was obtained.
6. Kitano (24) used a vaccine for prophylaxis containing 0.2 m.g. of Pfeiffer bacilli per c.c. on 10,300 persons with encouraging results. He used vaccine for treatment on 87 patients, without any deaths. In the same group were 270 cases treated in the usual way, with 23 per cent. mortality. The vaccine lessened the severity, shortened the period of illness, and lowered the mortality.
7. Wynn (25) used mixed vaccines in the treatment of influenza, and believed they aborted the disease if given early.
8. Norman White (26) states that vaccination in India would be impractical, because the disease is so brief and severe that it would be over before innumerable doctors could complete inoculations.
9. Whitingham and Sims (27) reported the use of a mixed vaccine in an institution where 156 were inoculated and 149 were not. The case incidence was 5 per cent. among the vaccinated and 12 per cent. among the controls. No statement of the stage of the epidemic at which vaccination was done is mentioned in the report.
10. Cadham (28) reported on inoculations in a military hospital and in the civilian population near Winnipeg. Of 282 vaccinated soldiers admitted to the hospital, 17 had pneumonia and 5 died. Of 238 not vaccinated, 41 had pneumonia and 17 died. Among 24,184 civilians given two doses, 9.7 per cent. had influenza 131and 0.5 per cent. had pneumonia and 0.09 per cent. died. Among 85,941 controls, 24.8 per cent. had influenza, 2.2 per cent. pneumonia and 0.66 per cent. died. Cadham states that most of the inoculations were made early in the epidemic, but no accurate statistics were kept on the point.
11. A conference was held at the British War Office on October 14, 1918 (30), to discuss prophylactic vaccination and vaccines for treatment of influenza. Elaborate plans regarding dosage and gathering of statistics were made.
Notanda.—For reasons already given, the reports in Series III fail to give very reliable data on which to base a knowledge of the value of preventive vaccination against epidemic influenza.
Whitmore, Fennel and Peterson (31) developed a method of preparing an oily suspension of killed bacteria which they called “lipovaccine.” The method was used at first in making typhoid and dysentery vaccines. The advantages of lipovaccines (32) over salt suspensions are: the prevention of autolysis of the bacteria, thus increasing the length of time during which the vaccine remains active; the slow absorption of the dose, allowing the patient to continue to absorb immunity-producing substances over a period of days or weeks; the administration of a single massive dose, which does away with the three doses necessary when salt suspensions are used; and perhaps, also, the direct reduction in the toxicity of the dose by the lipoid material.
Based upon the classification of pneumococci by Dochez and Gillespie (33) in this country, and by Lister (34), (35), (36) in South Africa, and upon the latter’s successful use of anti-pneumonia vaccine on the Rand, an anti-pneumonia lipovaccine was prepared at the Army Medical School which contained approximately 10,000,000,000 each of types I, II and III pneumococci. The vaccine was made by growing the pneumococci in dextrose broth, centrifuging them out of the broth with a sharpless milk centrifuge, drying the sediment at 55° C., weighing it out so that each cubic centimeter of the finished vaccine contains 0.83 m.g. of each type, and making a suspension of them in olive oil. More recently cotton-seed oil has been used.
132The result of the use of a salt suspension pneumococcus vaccine at Camp Upton was published by Cecil and Austin (37). A study of the agglutination and protective power of the serum of 42 persons vaccinated against pneumococcus types I, II and III demonstrated that a definite immune response could be secured to types I and II but not to type III. Twelve thousand five hundred and nineteen men were vaccinated at the camp, and most of the men received three or four inoculations at intervals of from five to seven days. The men were under observation for ten weeks, and during that time no cases of pneumonia of the three fixed types occurred among those who had received two or more injections. In a control of approximately 20,000 men there were 26 cases of pneumonia of types I, II and III. The incidence of pneumococcus type IV pneumonia was less among the vaccinated than among the unvaccinated groups. There were, however, 17 cases of pneumonia among the vaccinated men, compared to 173 cases of pneumonia among the controls. The annual pneumonia death rate for vaccinated groups in the army was 0.83 per one thousand, and for unvaccinated groups was 12.8.
Fennell reported the use of pneumo-lipovaccine in Washington during the influenza epidemic, but the number of cases cited by him were too small to permit of definite conclusions. His results appeared favorable.
Cecil and Vaughan (37a) reported on the results of vaccination with pneumo-lipovaccine at Camp Wheeler; 13,460 men, comprising 80 per cent. of the camp, were inoculated. Most of these men were under observation for 2 or 3 months after vaccination, and there occurred among them 32 cases of pneumococcus types I, II and III pneumonia. In one-fifth of the camp which was not vaccinated there occurred 43 cases of pneumonia. They observed that influenza caused a marked reduction in the resistance to pneumonia among vaccinated as well as non-vaccinated men. Of 155 cases of pneumonia of all types, which developed one week or more after vaccination, 133 were secondary to influenza. The death rate among vaccinated men one week or more after vaccination was 12.2 per cent., whereas the death rate for 327 cases of all types of pneumonia which occurred among unvaccinated groups was 22.3 per cent. The death rate for primary pneumonia among vaccinated groups was 11.9 per cent., and among unvaccinated 31.8 per cent. It was found that protective bodies do not 133begin to appear in the serum after lipovaccines are given until the eighth day after the injection. Twenty-four cases of pneumonia occurred in the first week after vaccination. In their conclusions Cecil and Vaughan state that there was no evidence whatever that pneumococcus vaccine predisposed the individual, even temporarily, toward either pneumococcus or streptococcus pneumonia. Most of the reactions after vaccination were mild, but one disagreeable feature was that in a certain percentage there persisted a small fluctuating mass at the site of the injection. Lacy saw a number of these cysts aspirated, and the contents were found to be a sterile, oily fluid, with many leucocytes present. In one instance the primary reaction disappeared within a few days after vaccination, but recurred after four months and persisted for several weeks.
Notanda.—The army lipovaccine apparently offers a certain definite amount of protection against pneumonia, which was the most dangerous complication of influenza. The protective substances do not appear in the serum until eight days have elapsed after the vaccination, and while no definite evidence has appeared to show that there is a temporary increase in susceptibility immediately after vaccination, the best results would undoubtedly be obtained where the dose is given something more than eight days before the appearance of the epidemic. The indications are that the vaccine will not protect against influenza, but that the complication of pneumonia is less likely to occur in the vaccinated than in the unvaccinated individual.
Records of attempts to confer immunity to influenza by the use of vaccines have been separated into related groups and studied. Those where pure Pfeiffer strains were used have been considered in one group. Those where mixed vaccines were used have been analyzed in three sub-groups or series, depending on the relation between the times of vaccination and of the advent of the epidemic, upon whether or not a week-by-week comparison of the occurrence of influenza among vaccinated and unvaccinated groups was made, and upon whether or not statistics for total comparison alone were available. The third group included the reports of the use of army pneumo-lipovaccines for the prevention of the secondary pneumonia complications of influenza.
From our statistics we conclude that:
1. There is as yet no evidence that vaccines composed purely of strains of Pfeiffer bacilli will confer immunity to epidemic influenza.
2. The only data which can be used as a basis for estimating the value of mixed vaccines as a preventive for epidemic influenza must be obtained from experiments in which vaccination was either completed before the epidemic appeared, or in which week-by-week comparisons between the number of cases occurring in the vaccinated and unvaccinated groups can be made.
3. Data obtained from experiments conducted under the above qualifications is inconclusive, but presents little evidence of the value of mixed vaccines in protecting against influenza. There is, however, an indication that mixed vaccines used prior to the arrival of the epidemic will lessen the number and the severity of secondary pneumonias, and will probably lower the death rate to a small degree.
4. The army pneumo-lipovaccine apparently offers some protection against primary infections with types I, II and III pneumococci, and a somewhat lesser amount of protection against secondary pneumococcic infections with these strains following influenza.
5. While it is impossible to say that the large number of influenza cases developing almost immediately after vaccination would not have occurred anyway, it is at least suggestive that a temporary break occurs in the resistance after the inoculation, and that unusual care should be taken by persons who have been recently vaccinated, particularly when they are in the midst of an epidemic disease.
One of the most remarkable things about the 1918 pandemic was the great rapidity with which it spread to all parts of the world. From the report of the first cases which landed in Boston until the epidemic arrived in San Francisco the time consumed was less than two months, and the peaks of the two epidemics were just about one month apart. Apparently no part of the world escaped. Asia, Europe, Africa, North and South America, 135and some of the remote islands of the Pacific, all reported large epidemics, with high mortality and great suffering. The deplorable failure of precautionary measures in controlling the spread, or at least in limiting the disease, may be offset in a measure by the unusual conditions under which almost everybody had been living. Vast numbers from all over the world were gathered together because of the war. Thousands of men were housed together in army camps or in training cantonments. Other thousands were doing relief work or engaged in the manufacture of munitions. Most of those at home were doing double duty, and were on a severe nervous strain. Everyone everywhere was working to the limit and was consequently fatigued. The necessities of war had cut down the amounts of food generally, and sugar and fat rations particularly. Traffic, both between nations and at home, had never been so great nor accommodations so insufficient. So that it is likely that all of these and many more changes in the daily routine of individuals led to a condition of lowered resistance, and at the same time increased their chances of exposure. One point, at least, stands out prominently, and that is that “influenza as it occurred clinically during the first great wave was different from those cases which appeared later.” This was seen in the acuteness of the onset, in the severity of symptoms, and in the high mortality rate. Therefore, any measure which afforded protection, if only for the time being, is worthy of retrial.
In view of the fact that recurrences have followed closely in the wake of all former influenza epidemics, and with the hope of stimulating concerted investigation of preventive measures, the American Public Health Association (57), at its meeting in Chicago in December, 1918, appointed a committee to outline “a provisional working formula, based on the facts and opinions brought out at the meeting.” A summary of the opinions as taken from the report of the committee is given here. They reported that the disease was probably due to some micro-organism or virus as not yet identified; that while it was known as “influenza,” it was not known to be identical with the disease generally known under that name; that there was no known laboratory method of differentiating it from ordinary colds, bronchitis, etc.; that there was no known laboratory method of determining when a patient ceased to be infective; and that the 136deaths from influenza were due to secondary pneumonia resulting from an invasion by one or more forms of streptococci, or by one or more forms of pneumococci, or by the so-called influenza bacillus or bacillus of Pfeiffer. Because of the clear and concise manner in which this report brings out the opinions held, at the time, by a majority of the medical profession a portion of the report is given here verbatim.
“Evidence seems conclusive that the infective micro-organisms or virus of influenza is given off from the noses and mouths of infected persons. It seems equally conclusive that it is taken in through the mouth or nose of the person who contracts the disease, and in no other way except as a bare possibility through the eyes by way of the conjunctivæ or tear ducts.
“If it be admitted that influenza is spread solely through discharges from the nose and throats of infected persons, finding their way into the noses and throats of other persons susceptible to the disease, then, no matter what the causative organism or virus may ultimately be determined to be, preventive action logically follows the principles named below, and, therefore, it is not necessary to wait for the discovery of the specific micro-organism or virus before taking such action.
“1. Break the channels of communication by which the infective agent passes from one person to another.
“2. Render persons exposed to infection immune, or at least more resistant, by the use of vaccines.
“3. Increase the natural resistance of persons exposed to the disease by augmented healthfulness.”
The ways and means of carrying out these principles are many and varied, and it is merely the intention of this paper to put together a sort of digest of some of the more important arguments for and against some of the seemingly more important measures proposed.
(a) Rigid quarantine for all persons suffering from the disease and all contacts. During the epidemic quarantine was advocated by many people. It was pointed out that the disease spread most rapidly in camps, in ships, and in quarters generally where large numbers of persons were closely associated; that it was quite as 137contagious and more rapidly fatal than most diseases which are regularly quarantined; that while it was admitted that there is no laboratory method to make certain the diagnosis, and no method of telling how long convalescents are capable of transmitting the disease, as there is, for instance, in diphtheria, still there is no question of the value of the arbitrary quarantine used in measles, scarlet fever and smallpox, all of which are diseases in which the parasitic causes are not known. Further, the opinion was expressed that complete isolation and quarantine would not only protect the community from influenza, but that it would also in a measure protect the patient from contact with numerous outside strains of pneumococci and streptococci, and so lessen secondary infection and reduce the general mortality.
There are many reasons why quarantine is not applicable in epidemic influenza. Most important of all is probably the inability to make certain the diagnosis, especially during the early stages in light cases. This would work detrimentally in several ways. Really ill patients would delay calling a physician until late, for fear of unnecessary quarantine. Many needless and unjust quarantines would result when the diagnosis was uncertain and the physician anxious to carry out quarantine measures efficiently. Many patients would have contacts running about and infecting their neighborhoods while a delayed diagnosis was being made. Influenza was so contagious during the epidemic that it would have necessitated general quarantine not only of all infected persons but also of all contacts to have obtained any favorable results, and since nearly everyone was either a patient or a contact, all lines of business would literally have been paralyzed by the procedure. If it is true that the infected person is most dangerous to others before he has developed symptoms himself, he is a carrier impossible of detection and control. Points in favor of the hypothesis that infected persons spread the disease before they develop symptoms are found in the following facts. As the disease passed from community to community officials became alert for the appearance of the first case. In army barracks and in large institutions it was often possible to determine the first case at its development. The case was, in many instances, removed at once and isolated, but I have seen no instance in which such a measure was successful in curbing the disease. As subsequent cases appeared they 138were likewise immediately removed, but the cases continued to spread just the same. Bloomfield (38) cited the incident of a student who spent a few hours visiting his sister in a part of the country where there had been no influenza. He appeared well at the time, but six hours after his return to school he developed influenza. Two days after the contact the sister came down with the disease. On the other hand, he told of a student who did not contract the disease, though he slept for two nights in the same bed with his roommate, who had returned to school with a well-developed case of influenza. The unsuccessful attempts to transmit influenza in the experiments of Rosenau (37), McCoy (37a) and others already cited would indicate that the cases from whom the material was taken were no longer infectious, although some of them had been showing symptoms for only about 12 hours. Bloomfield observed that the general use of face masks in the wards did not alter the course of the epidemic, and stated that if face masks are protective, infection from early unisolated cases must be assumed.
Provided influenza is generally transmitted during the period of incubation, a theory which seems consistent with the facts, rigid quarantine for epidemic influenza is impracticable and probably useless.
The so-called cubicle system consists in the dividing of rooms, or more particularly of wards, into small compartments by means of suspending sheets from wires so that each bed is separated from its neighbor. Capps (39) reported favorably on the method as used at Camp Grant, where sheets or halves of tents were suspended from wires or from the mosquito netting frames which were a part of the standard beds. Doctors, nurses and attendants were forced to wear masks in the wards, and patients were not allowed out of the cubicles without them. In discussing this paper Thayer emphasized the value of screening, masking and the wearing of gowns, and also recommended thorough washing of the hands between the examination of each two patients; and Emerson called attention to the fact that the first demonstration of the cubicle system as an adequate means of preventing acute respiratory diseases was made at the Pasteur Institute of 139Paris, where it had been in operation for 10 years. The latter stated that the system had been used in various hospitals in America and was essential for the care of diphtheria, measles and scarlet fever. He further indicated that if the technique of personal cleanliness of nurses, doctors and attendants could be perfected, it was probable that the height of the cubicle partition could be reduced to that of a “red string.” The method certainly seems worthy of consideration and trial, particularly in large general hospitals and public institutions.
The question of the value of wearing a gauze mask over the mouth and nostrils during an influenza epidemic is still an open one. Masks, however, have been found useful in protecting against some other diseases of respiratory origin. In December, 1917, Weaver (40) reported favorably on the use of gauze masks in the Durand Hospital of Infectious Diseases. The masks were used by nurses in attendance upon patients with contagious diseases, and also by patients who were convalescing from diphtheria, meningitis or pneumonia and who were in the same wards with those having other respiratory diseases. In a later article Weaver (41) stated that by the use of masks they had been able to reduce the percentage of diphtheria carriers among their nurses in the diphtheria wards to 5.2 per cent., as compared to the average of 23.25 per cent. during the 20 months immediately preceding their adoption of their use. He recommended the general use of masks for physicians when in contact with all types of respiratory diseases. In March, 1918, Capps (39a) reported encouraging results in the control of infections through the masking of all patients at Camp Grant. During the epidemic the wearing of masks became quite general, and was very popular in many sections.
Several sets of laboratory experiments have been carried out recently to determine whether the masks are of practical value or not. The experiments have generally consisted in spraying cultures of living bacteria over sterile bacterial plates which were protected by one or more layers of gauze. A number of variations were made in the manner in which this was done: (a) the distance between the nozzle of the spray and the mask was 140varied, and the distance between the plate and the mask kept constant; (b) the distance between the plate and the mask varied, and the distance between the nozzle and the mask kept constant; (c) the use of masks both over the nozzle of the spray and over the plate being kept constant, and the distance between the two masks varied. In a somewhat different set of experiments the mask was placed over the mouth of a person, who was told to talk or cough over an agar plate, and the bacterial plate being held at various measured distances from the face. By counting the number of colonies which developed upon the plates it was possible to get fairly reliable data as to the efficiency with which the bacteria were intercepted by the gauze. Weaver (42) found that if enough gauze was used, it would filter out all of the bacteria passing from the spray in the direction of the plate. The efficiency of the mask being in direct proportion to the fineness of the mesh and the number of layers employed. Doust and Lyon (43) made a series of experiments to determine the distance through which droplets are carried when expelled under different circumstances. They found that in ordinary speech infected material is projected for about four feet, and that during coughing the material is carried about ten feet. They demonstrated that masks of medium meshed gauze, two to ten layers thick, worn by the person coughing did not prevent the passage of infectious material into the air, but that a three-layer buttercloth mask was much more efficient. Haller and Colwell (44) used three distinct sets of experiments—one with the mask over the mouth of the patient, one with the mask over the plate, and the third with masks over both—and concluded that a five-layer mask made up of 24 × 20 mesh protected the plate in the second series of experiments. They suggested marking one side of the mask, so that it would always be worn with the same side out. Leete (45), in England, by a similar series of experiments concluded that a dry mask of six to eight layers of butter muslin worn by a contact would protect him against droplet-carried infections. Dannenberg (46) suggested making the gauze mask over a copper screen wire frame to give it shape and keep it away from the mouth, thus keeping it relatively dry. All observers agree that masks while dry are more efficient than they are after they have become moist.
141The efficiency of the mask has also been widely discussed from the clinical standpoint. Mink (47) in discussing their use at the Great Lakes Training Station said that he had no objection to the mask as it is “intended to be worn,” but that as it “was worn” by the medical corps men at the station 8 per cent. of those who used the mask developed influenza, as compared to 7.75 per cent. of those who did not; 30 per cent. of the dental officers at the station developed the disease in spite of the fact that they were all accustomed to wear masks during their work. In discussing the mask Vaughan (48) said: “With reference to the mask, I am strongly of the opinion that we have overestimated its value. * * * When I went to Camp Devens they were not using the mask. I called the doctors together and told them its use was not compulsory, but I said: ‘Every doctor who took care of cases of pneumonic plague and did not wear a mask died from it, and every man who cared for pneumonic plague cases and didn’t wear a mask did contract it.’” They were then allowed to choose for themselves. It has been pointed out that the epidemic dropped off at once in San Francisco with the universal compulsory use of the mask on the street, but it is also said that the epidemic in Los Angeles, which ran a course parallel to that in San Francisco and in which masks were only indiscriminately used, began to drop off simultaneously. While it is difficult to get at the facts, it seems that, provided epidemic influenza is carried through the air or by means of droplets, the universal use of masks should decrease the number of exposures. The claim has been made that masks merely tend to prolong the epidemic, and that susceptible persons develop the disease after the epidemic proper has passed. If the mask will protect the susceptible individual until the virulence of the disease has decreased, it will better that individual’s chances for recovery, and so is worth the trouble.
In most large cities orders were issued closing churches and theatres and prohibiting public gatherings of all kinds. In New York these places of public gathering were not closed, and it has been pointed out, as an argument against closing orders in the future, that the death rate there was less than in Boston, Philadelphia, 142Pittsburgh, etc. Copeland (49), of the New York Board of Health, stated that the unventilated picture shows were closed, but that the theatres were used as places of public instruction. New York’s relatively low death rate was difficult of explanation, but it is very certain that it had nothing to do with the fact that closing orders were not in vogue. If it were possible to obtain the figures, it would be interesting, indeed, to compare the death rate from influenza among New York’s theatre-attending public during the epidemic with the death rate of the community in general.
Generally speaking, any unnecessary public gatherings are inadvisable during any epidemic. While our exact knowledge of the mode of transmission of influenza is incomplete, it is unquestionably a contact disease. People who have been exposed and who have not yet contracted the disease are known to have transmitted it to a third person. A certain number of people from infected homes will attend public gatherings as long as they are able, for it is impossible to get together any large group of persons all of whom are going to play fair. It is true that these meeting places may be used in a measure to allay panic and to instruct the public in health measures, but there are many efficient and far less dangerous methods of accomplishing the same results. Vaughan in discussing assemblies in large halls mentioned that in a hall at Camp Forest, which held 9,000 people, the individuals had a space of about 16 inches laterally between their noses. He pointed out that if many of them were talking, coughing or sneezing, the air contamination would soon become so great that it could make little difference whether there was a roof over the building or not. He emphasized the fact that it is just as possible to crowd men in the open as it is indoors. Ventilation is undoubtedly an important factor, but it cannot correct overcrowding. As far as the educational value of the public gatherings was concerned, it may be observed that regular attendants of theatres and moving-picture houses during the year of 1918 had become quite accustomed to appeals regarding all sorts of public movements from speakers who appeared between the acts, or pictures, but that the closing of these places threw a wholesome scare into them which made them pay far closer attention to prophylactic measures than almost anything 143that could have happened. “Object-lessons are always superior to didactic teaching.” In Chicago a new argument for the closing of theatres was advanced. It was said that with no place to go many people retired earlier and obtained more than their accustomed amount of rest. It was believed that this aided in increasing their natural resistance. The argument that the closing of these places served only to delay the epidemic is an argument in favor of the measure, because the virulence of the disease decreased rapidly as the epidemic progressed.
Boards of Health generally were opposed to the closing of the public schools. This position gave rise to innumerable clashes with anxious parents. The health authorities took the position that children were relatively insusceptible to influenza; that while they were quiet in a well-ventilated schoolroom they were little exposed; that those who coughed or sneezed could be examined at once, and that daily school inspection would lead to early discoveries of all cases, so that doctors and nurses could take immediate steps to treat the patients and to protect the families from which they came. Copeland advocated the continuance of the schools in New York, and based his position on the fact that out of 1,000,000 children in New York City 700,000 came from tenement homes. He believed these children were far better off in school, where they received daily medical attention, than upon the streets or in unhygienic homes.
In Pittsburgh the school children were quizzed as to the number of sick at home, and this gave valuable information on the stage of the epidemic. They were sent home with printed warnings against sneezing, coughing and spitting, and were thus used as a means of instructing their parents. The Pittsburgh schools were kept open until the sickness of a number of teachers and the withdrawal of many scholars made it advisable to close.
Three very potent arguments have been brought forward in favor of closing the schools: (1) As long as the schools are open children from infected homes are forced into contact with children from uninfected homes, and we are at present unaware of the extent to which the disease may be carried by a third person. (2) Children in as yet uninfected homes which are comfortable 144and hygienic are far better off than they are in school, and can hardly be considered in the same class with children from unclean tenements. (3) If the period of greatest contagion is before symptoms develop, inspection, while valuable for the institution of treatment, cannot hope to aid in curbing the epidemic. It is evident that different measures must be employed in applying closing orders to crowded cities, moderately large towns and rural districts. The difficulty lies in determining the best means for serving each community.
Public dances should undoubtedly be prohibited during epidemics. They not only present all the bad features of other public gatherings, but during the dancing people are brought in very close contact and often breathe directly into each other’s faces. In addition, air currents are stirred up and a certain amount of dust is raised. During the exercise the dancers breathe more rapidly and deeply, thus inhaling unusually large amounts of dust, droplets and contaminated air. Another feature is found in the “resistance-breaking” element of alternate overheating and rapid cooling of the body.
Public eating places are a necessity and cannot be closed. People should be cautioned against using them as places of amusement and of congregation during epidemics. Boards of Health should feel it just as much their duty to see to the sterilization of dishes and eating utensils as they do to the enforcing of any other public health functions, and they should also insist on the daily inspection of the employees of such establishments. The beer saloon question may be passed over for the present, but the soda-water fountain as conducted during the 1918 epidemic was undoubtedly a great menace. Ice cream, syrupy mixtures, etc., of various kinds are readily contaminated by pathogenic organisms which may serve as secondary infectors, if in no other capacity. The syrups, moreover, adhere to the spoons and glasses, which are rarely thoroughly washed and are practically never sterilized between customers. The use of paper 145dishes and glasses is probably a step in the right direction, but the spoons should be thoroughly washed and sterilized. The fact that soda-water employees are not always selected for high-grade intelligence, and are generally left largely to their own hygienic procedures, makes the chances of transferring infections at these places enormous. If soda fountains are allowed to continue business at all during the epidemics, it should be only under the very strictest supervision by Boards of Health. The scalding of all utensils should be enforced by law.
People generally should be cautioned to use exceptional cleanliness in the preparation of all foods in the home. In discussing the recent epidemic Lynch and Cummings (50) stated that “the mess-kit wash water proved the major route of transmission from sick to well in the army.” Vaughan said: “I am pretty certain, not convinced, that hand-to-mouth infection is of more importance than droplet infection.”
Business must be conducted in epidemic as well as in normal time, and employees must go to and from their places of occupation. In cities where the distance from the residence to the business districts is great, street cars and other public conveyances must be used. Their use undoubtedly increases the number of contacts and leads to a wider distribution of the disease, but, like eating in public restaurants, it is a chance which many have to take. Few places offer better opportunities for exposure than street cars—where people of all grades of intelligence, representing all states of health and degrees of cleanliness and uncleanliness, are crowded closely together, breathe into each other’s faces, and handle the same straps and supports.
In Pittsburgh the cars have a seating capacity for from 30 to 50 persons, but during the morning and evening hours they are crowded to capacity, and are commonly seen to carry more than 100 passengers at a time. Here, too, the unkempt, indifferent foreign element is conspicuous, and these people are known to disregard all hygienic teachings. A few days after the appearance of the epidemic the street cars were placarded with warnings against coughing, spitting and sneezing. The cards instructed people who became ill to go home, to go to bed and 146to remain there until they were well. Later a second order appeared which gave notice that all windows in street cars were to be kept raised six inches and that no heat was to be allowed in the car. The order was intended to improve ventilation, and, for a wonder, it was enforced. During the first few days the weather was fine, warm and clear, and the draught caused by the open windows brought no discomfort; but later the weather became cold and several days of drizzling rain set in. The cars with open windows became very uncomfortable, but the streetcar employees insisted upon obeying the order to the letter. No judgment was exercised by them, and the windows were kept open night and day, cold or warm, crowded or empty, in fair and rainy weather alike, and no heat was allowed to be turned on. Many people preferred standing to exposing their backs and necks to the cold draughts, and it is more than likely that such use of open windows did far more harm than good. As above quoted, Vaughan pointed out that crowding is just as dangerous out of doors as indoors, and it is certain that crowding in cold, draughty cars is dangerous, both from the close contact and because of the added danger of lowering bodily resistance.
In an attempt to decrease the crowding on public conveyances the so-called “stagger-hour” system was adopted in New York. Under this arrangement manufacturers and business houses changed their working hours in such a way that the morning and evening travel was spread out and the average number of people carried per hour was proportionately decreased.
Looking backward over the methods used to decrease the spread through the use of public conveyances, it seems that the following procedures have the best claims for retrial: (1) Placarding the cars. This appeared to reduce the amount of coughing and sneezing, even in face of the fact that the cars were unusually draughty and chilly. (2) The adoption of the “stagger-hour” system where the practice is feasible. (3) The instruction of the people to use the street cars as little as possible.
All street cars and trains carry anti-spitting notices either to the effect that spitting will be prohibited on penalty and fine and imprisonment, or giving stated amounts of the fine. Yet 147spitting is constantly indulged in in these places and one rarely sees or hears of the enforcement of the law. If the ordinance was worth making a law, it is certainly worth enforcing, and yet there is probably no law so flagrantly broken. Ordinary police officers pay no attention to the enforcement of the spitting ordinance and have been known to refuse to even reprimand spitters. The incident of a sanitary officer wearing a uniform and a cap, indicating to the public his official position, who was seen sitting in the smoking car in a local suburban train and spitting profusely on the floor has been recounted on very reliable authority. Another incident is known in which a street car conductor was asked by one passenger to stop another who was expectorating abundant mucoid sputum upon the floor. The conductor replied that he had orders not to notice such things. It is no wonder that people are indifferent to such impotent measures. Whether it is possible to convey epidemic influenza or not by means of sputum, it is certain that tuberculosis is spread in this way, and that influenza predisposes to tuberculosis and causes old healed tuberculous foci to become active. People should be made to understand that they may have tuberculosis without knowing it themselves, and that by spitting it may be transmitted to other persons. Spitting by persons aware that they have tuberculosis is criminal negligence and such persons should undoubtedly be prosecuted. If a person knows that he has tuberculosis and deliberately spreads about the infection so that other persons contract the disease and die from it, he is directly responsible for the deaths. It would be hard to imagine trying to control manslaughter committed in any other way by merely putting up signs in conspicuous places forbidding the act. The average boy acquires the spitting habit between the ages of 8 and 12 years, and in many instances carries it to the grave. The one possible way of stopping spitting seems to lie in teaching the dangers of it to children, beginning in the kindergarten and emphasizing it throughout the child’s education. It is possible that in this way spitting may become obsolete in two or more generations.
If there is any way of increasing the natural resistance against epidemic influenza, it is a most desirable goal toward which to work, but it must first be determined along what lines the effort 148is to be directed. It was not the aged, the unconditioned nor the physically unfit who suffered most from influenza, but was rather the best trained, most healthful and most robust young persons we had. Those in the army had been selected because of their physical fitness and they had further received excellent physical training in the various camps and cantonments. It would not be possible to bring any large percentage of the general public up to such a stage of “augmented healthfulness” as healthfulness is generally understood. It has been said that men in the military camps were more commonly infected because they were more active, went about more and were, therefore, more frequently exposed. In one particular this statement is true, for men marching rapidly and exercising violently breathe more deeply and at a faster rate than they do under ordinary conditions, so that they naturally draw greater quantities of air into their lungs. It was an obvious fact that those persons given to sedentary lives were less often affected than the active and vigorous. Practically speaking, it would seem that during influenza epidemics people should be instructed to take more than the usual amount of sleep and rest, to indulge only in mild exercises, to eat good, wholesome food, to wear warm clothing, to seek mental and physical relaxation at home, and, above all, to avoid crowds and public gatherings.
In some instances the constant use of oils in the nose and throat was advised, the theory being that the oil served the double purpose of preserving the healthy condition of the mucous membranes by lessening crusting, crevicing and drying, and of mechanically protecting from infection by the presence of the layer of oil. Many of the different liquid paraffins, both medicated and in the natural state, were used. It is probably advisable to apply such oils either with a swab or from a medicine dropper, rather than to attempt to spray them, since in the latter method there is some danger of blowing infectious material down into the trachea and larynx.
It is hardly necessary to point out the importance of augmented cleanliness of the mouth, teeth and throat by means of mild antiseptic washes and tooth-cleansing materials during an epidemic.
Unless one had had a wide experience in the administrative 149side of public health matters, it would be useless for him to try to discuss the details of handling any sort of an epidemic, and even then local conditions vary so much in different cities and States that each administrator’s experience must differ greatly. The difficulty with reports of epidemics by public health officials is usually found in the fact that the reports are impersonal compilations and convey no idea to the reader, or rather to the student (for no mere reader is attracted to them), of what situations were faced, of what difficulties were in the way, of how the conditions were met, or what the administrator after due reflection would advise doing next time under similar circumstances. In the face of inexperience the writer ventures the following suggestions for improvement, though no originality is claimed for the ideas.
The administrative powers should be centralized in one individual, or in an executive officer acting for a competent board of advisers, who should be endowed with the powers to carry out the measures which seem best suited to meet the situation at hand, and who should be beyond the pale of political interference and in position to prevent political fiascos, built more or less directly on health regulations.
The United States Public Health Service should work toward standardizing health laws and penalties for all States.
Thorough enforcement of ordinances requiring the reporting of all cases and all deaths as now demanded by public health rulings should be insisted upon. These reports are so important to a knowledge of the progress of the epidemic that the section on preventive medicine of the American Medical Association (51) has just advised the consideration of eliminating from membership in the Association any physician who willfully fails or refuses to comply with the regulations requiring the reporting of communicable diseases. Additional information can be obtained by daily canvasses of the schools, when open, of the large industries, and of the daily admissions to hospitals. Data on the daily facilities for the handling of additional cases in hospitals should be on file in the office of the administrator of health.
Printed instructions giving in detail the proper procedures for isolation of the patient and the protection of the family should be supplied to physicians for distribution at the first visit to suspected cases.
Some specific laws governing the following points would be of great advantage during the progress of an epidemic: (a) A law providing for the commandeering by boards of health of vaccines, sera or other substances for which a sudden unusual demand may occur, and for the distribution of such substances by the authorities to the public at the prices ordinarily asked. (b) A law permitting the exclusion from the daily papers by boards of health of advertisements containing obviously false and fraudulent statements relative to the epidemic. (c) A law permitting the health authorities to go into public eating places and demand proper sterilization of dishes and eating utensils with the alternative of closing the establishment. (d) A set of laws making the penalties sufficient to prevent violations of the regulations.
From the beginning to the end of an epidemic the health authorities, aided by the medical profession, should take the public wholly into their confidence. At the first news of the approach of the disease a general bulletin should be issued giving all of the main facts that are available. This was done in a way by the American Public Health Service, but the bulletin reached only a small fraction of the people, and although parts of it appeared later in the daily papers, it was pretty generally missed. The papers should be used freely and the space paid for when necessary, so that the news of the epidemic is featured emphatically. The establishment of a question and answer department or a bureau of information would take care of a great deal in the way of denying misinformation. The public should be encouraged to report helpful facts of all kinds, but with the understanding that no rumors would be published without investigation and confirmation. In this way it would be possible to prevent articles advising harmful and useless remedies from reaching the press, and aid in suppressing some of the “Sure Cures,” so many of which appeared to abuse the confidence of the unwary during the 1918 epidemic. Several such cures have been most interestingly discussed in a recent bulletin of the United States Public Health Service. The bulletin divides the “Sure Cures” into three different classes, as follows: “First 151comes the individual who has a specific remedy, the formula of which he will sell for a price * * *; next comes the person with a pseudo-scientific treatment, e. g., isotonic sea water, ‘orzono therapy,’ ‘harmonic vibrations.’ * * * Still another type, who gives freely of his advice that humanity may be spared from pestilence.” Among the latter are found advice for placing sulphur in the shoes, wearing of amulets, inhaling of alcohol, chloroform, etc., as well as numerous religious and mental science treatments, etc. A frank statement of facts and a discussion of the ridiculous side of many of these claims would undoubtedly benefit the entire public. The placarding of the cars and the warnings posted in conspicuous places no doubt helped greatly, and this method undoubtedly should be continued. As long as theatres are allowed to remain open, speakers may be used to advantage to emphasize important points. The County Medical Societies should be asked to appoint committees for supplying information or for seeing that the information given to the public is authoritative. In large cities committees may be organized among hospital superintendents, so that the heartiest co-operation between health authorities and hospitals will be available. The ever-ready aid of the Red Cross and of every other auxiliary body should be employed to the fullest extent to allay apprehension and relieve suffering.
The exact knowledge of the mode of transmission of epidemic influenza is still wanting, but it is known to be spread by contact. Attention should be directed toward every practical means of decreasing the number and intimacy of contacts. Publicity campaigns and other educational measures should be pushed strongly. Health Departments should adopt a policy of preparedness during inter-epidemic times, should make every effort to centralize and standardize their work, and should take steps to obtain sufficient legal backing, so that upon the appearance of the epidemic they can take the lead, speak with authority and enforce their ordinances and measures. The physician’s duty is to inform himself on the value of the various measures, and if he is at odds with the public health methods, he should settle them between epidemics, so that when he is called upon to carry out public health 152orders he can do it to the letter and without criticism. Laymen should learn that quiet living without violent exercise, the keeping of good hours, the avoidance of public gatherings and of unnecessary exposure is the best policy to pursue during influenza epidemics. They should strictly obey the orders of those who have specialized in the control of epidemics, and all business men must stand ready to help in every possible way and to make their business interests subservient to the public good.
| 1. | Rosenau, Keegan, Goldberger and Lake | Public Health Report, 1919; xxxiv, No. 2, p. 33. |
| 1a. | McCoy and Richey | Public Health Report, 1919; xxxiv, No. 2, p. 34. |
| 2. | Lacy | Jour. Lab. and Clin. Med., 1918; iv, p. 55. |
| 3. | Wollstein | Jour. Exper. Med., 1911; xiv, p. 73. |
| 4. | Flexner | Jour. Amer. Med. Assoc., 1913; lxi, p. 1872. |
| 5. | Park and Williams | Bacteriology, 1914 Edition; p. 437. |
| 6. | Leary | Jour. Amer. Med. Assoc., 1918; lxxi, p. 2098. |
| 7. | Leary | Amer. Jour. Public Health, 1918; viii, p. 755. |
| 8. | Rosenau | Preliminary report furnished through Surgeon-General of the Navy W. C. Braisted. |
| 9. | Barnes | Jour. Amer. Med. Assoc., 1918; lxxi, p. 1849. |
| 10. | Hinton and Kane | The Commonwealth Mass. State Dept. Health, 1918; vi, Nos. 1 and 2, p. 28. |
| 11. | Hinton and Kane | Hinton’s Report. |
| 12. | Parker | Jour. Amer. Med. Assoc., 1919; lxxii, p. 476. |
| 13. | Pearce | Jour. Amer. Med. Assoc., 1913; lxi, p. 2115. |
| 14. | Committee on New and Non-Official Remedies | Jour. Amer. Med. Assoc., 1918; lxx, p. 1967. |
| 15. | McCoy | Personal Communication. |
| 16. | Hutchinson | Dixmont Hospital Report. |
| 17. | McCoy, Murray and Teeter | Jour. Amer. Med. Assoc., 1918; lxxi, p. 1997. |
| 18. | Minaker and Irvine | Jour. Amer. Med. Assoc., 1919; lxxii, p. 847. |
| 19. | Sherman | Report. |
| 20. | Maberry | Report from Hospital for Insane, Retreat, Pa. |
| 21. | Rosenow | Jour. Amer. Med. Assoc., 1919; lxxii, p. 31. |
| 22. | Beaver, Boles and Case | Jour. Amer. Med. Assoc., 1919; lxxii, p. 265. |
| 23. | Ely, Lloyd, Hitchcock and Nickson | Jour. Amer. Med. Assoc., 1919; lxxii, p. 24 |
| 24. | Kitano | Jour. Amer. Med. Assoc., 1919; lxxii, p. 1575. |
| 25. | Wynn | Pract. London, 1919; cii, p. 77. |
| 26. | Norman White | Lancet., 1919; i, p. 707. |
| 27. | Whitingham and Sims | Lancet., 1918; ii, p. 865. |
| 15328. | Cadham | Lancet., 1919; ii, p. 885. |
| 29. | Eyre and Lowe | Lancet., 1918; ii, p. 485. |
| 30. | Conference British War Office | |
| 31. | Whitmore, Fennel and Peterson | Jour. Amer. Med. Assoc., 1918; lxx, p. 427; also p. 902. |
| 32. | Fennel | Jour. Amer. Med. Assoc., 1918; lxxi, p. 2115. |
| 33. | Dochez and Gillespie | Jour. Amer. Med. Assoc., 1913; lxi, p. 727. |
| 34. | Lister | Publications of the South African Institute for Medical Research, No. 2, 1913. |
| 35. | Lister | Publications of the South African Institute for Medical Research, No. 8, 1916. |
| 36. | Lister | Publications of the South African Institute for Medical Research, No. 10, 1917. |
| 37. | Cecil and Austin | Jour. Exper. Med., 1918; xxviii, p. 19. |
| 37a. | Cecil and Vaughan | Jour. Exper. Med., 1919; xxix, p. 457. |
| 38. | Bloomfield | Johns Hopkins Bull., 1919; xxx, p. 1. |
| 39. | Capps | War Med., Vol. ii, p. 371. |
| 39a. | Capps | Jour. Amer. Med. Assoc., 1918; lxx, p. 910. |
| 40. | Weaver | Jour. Amer. Med. Assoc., 1918; lxx, p. 76. |
| 41. | Weaver | Jour. Amer. Med. Assoc., 1918; lxxi, p. 1405. |
| 42. | Weaver | Jour. Infect. Dis., 1919; xxiv, p. 218. |
| 43. | Doust and Lyon | Jour. Amer. Med. Assoc., 1918; lxxi, p. 1216. |
| 44. | Haller and Colwell | Jour. Amer. Med. Assoc., 1918; lxxi, p. 1213. |
| 45. | Leete | Lancet., 1919; i, p. 392. |
| 46. | Dannenberg | Jour. Amer. Med. Assoc., 1918; lxx, p. 99. |
| 47. | Mink | Jour. Amer. Med. Assoc. 1918; lxxi, p. 2175. |
| 48. | Vaughan | Jour. Amer. Med. Assoc., 1918; lxxi, p. 2100. |
| 49. | Copeland | Jour. Amer. Med. Assoc., 1918; lxxi, p. 2173. |
| 50. | Lynch and Cummings | Jour. Amer. Med. Assoc., 1918; lxxi, p. 2174. |
| 51. | Amer. Med. Association | Public Health Report, 1919; xxxiv, p. 1413. |
| 52. | Le Moignie and Pinoy | Compt. rendu. Soc. Biol., 1916; lxxix, pp. 201 and 352. |
| 52a. | Wright and Douglas | Proc. Royal Soc. Med., 1904; lxxiii, p. 128, and lxxiv, p. 147. |
| 53. | Neufeld and Rimpau | Zeitschr. f. Hyg., 1905; li, p. 283. |
| 54. | Rosenau | Prevent. Med. and Hyg., 1918. |
| 55. | Brown, Palfrey and Hart | Jour. Amer. Med. Assoc., 1919; lxxii, p. 463. |
| 56. | Gay | Typhoid fever. (Published by Macmillan Co., 1918.) |
| 57. | Eyre and Low | Lancet. I, April 5, 1919; p. 557. |
The material consisted of cases in the acute stage of epidemic influenza with and without clinical pulmonary involvement (alveolar); of convalescents, and of normal individuals without influenzal history.
It was hoped that it would be possible to follow selected cases over considerable time periods, observation to compromise coordinated clinical as well as laboratory data, but the exigencies of the situation rendered this impossible. Unfortunately, this limits the value of the studies. But since similar observations were made on cases ranging from normal to the gravest severity—in fact, preceding death but a few hours in some instances—and from the nature of the findings, certain conclusions are clearly warranted.
It is regrettable that the data on certain points is not more extensive, and particularly that other methods of observation were not employed. As an example of the latter, measurements and analyses of expired air may be given, as this was planned from the beginning and unsuccessful efforts made to provide the required apparatus. In view, however, of the circumstances of the investigation, it is felt that the studies made are, on the whole, reasonably comprehensive and complete. And it is only fair here to acknowledge that this was rendered possible by the cordial and practical support of the Medical School, the military authorities, the director of the laboratories, clinical colleagues, particularly Dr. W. W. G. Maclachlan, and last, but not of less importance, of the members of the department who made the studies.
In presenting the results, it is deemed most expedient and practical to omit extensive tabulations and to summarize the data under each subject.
From the report it will be obvious that certain studies were in preliminary stages at the termination of the investigation. This 156was due in certain instances to the lateness of their undertaking, or time consumed in providing essential equipment and methods; or to disappearance of suitable cases due to waning of the epidemic.
For the most part, cases showing marked clinical symptoms were studied. The pulse in severe cases frequently was weak and rapid but regular. In some cases it was less rapid than the clinical state would seem to indicate.
Arterial Blood Pressure was low; systolic pressure in severe cases ranging downward from 95, and diastolic down to 40 or under. In patients in early stages of convalescence the pressure showed a marked advance toward normal levels. Arterial blood pressure seemed a reliable general index of the condition of the patient.
Venous Blood Pressure.—The observations included patients who a few hours later expired. The Von Recklinghausen method was used. No marked abnormality was observed, so other methods of observation were deemed superfluous.
In severe cases, frequently it was rapid and of shallow character; but, like the pulse, often it was less rapid than the clinical state would seem to indicate.
Cyanosis of dark hue and marked degree was prevalent in the earlier severe cases, and in some cases appeared entirely out of proportion to the state of circulation and respiration and to the post-mortem findings as reported by Dr. Klotz.
Hemorrhage being not uncommon, the blood was tested for coagulability, but in this respect no marked departure from the normal range was noted.
Coagulation.—Coagulation time was observed by stirring blood in a test tube with a wire and noting the time of the appearance of fibrin and by means of a Biffi-Brooks coagulimeter. The extreme ranges observed were from 2½ to 5½ minutes. The 157average by defibrination was 3 minutes and 36 seconds, and by the Biffi-Brooks method 4 minutes and 38 seconds.
Red Corpuscles.—Osmotic resistance. A number of bloods were examined by observing their resistance to osmotic laking by exposure to a series of hypotonic sodium chloride solutions. Though some differences were observed, from the evidence obtained, it is not permissible to conclude that such variations were constant or of a significant magnitude.
Color on exposure to air. It was early observed that venous blood from cyanotic patients was very slow to take on arterial hue on exposure to air.
Plasma Bicarbonate.—The plasma bicarbonate was determined in seven cases by Miss Waddell by the method of Van Slyke and Cullen. In all except one of these the results were within the normal range as given by Van Slyke. Three were in the lower normal range, being 54.1, 55.1 and 60.5 respectively, expressed in terms of cubic centimeters of CO2 reduced to 0°, 760 mm. Hg. pressure, bound as bicarbonate by 100 c.cm. of plasma. Three were in the median range, being 64, 65.5 and 71 c.cm. In one case the bicarbonate CO2 was reduced to 46.6 c.cm.
There seemed to be no constant relation between the apparent severity of the clinical condition of the patient and the bicarbonate reading. In the one case in which this was found to be reduced below Van Slyke’s lower normal limit the blood was taken only a few hours before death.
Hemoglobin Per Cent.—As determined by the Sahli hemoglobinometer (by Miss Lee) and as estimated by the total oxygen capacity (Van Slyke method) (by Dr. Rohde and Mrs. Macklin), the hemoglobin content ranged within normal levels.
Relative Volume of Corpuscles.—A limited number of hematokrit tests on severe cases gave results in normal levels.
Spectroscopic Studies.—Sera obtained from 20 post-mortem bloods were examined spectroscopically. In eight an absorption band in the red was observed. In some instances such a band was observed in blood obtained shortly after death and before coagulation had occurred, while other similar bloods, as well as bloods obtained at longer intervals after death, exhibited no such band. A similar band was observed in one case from blood obtained from a patient about 12 hours before death from pneumonia following influenza. Medication was not a causative 158factor. To ammonium sulphide the band in the red reacted as methemoglobin and the position (as estimated by Dr. Menten) corresponded with methemoglobin. Oxyhemoglobin bands in such bloods occupied normal positions as determined by Dr. Menten. On diluting such bloods with water no abnormality in character or position bands was observed, save in one instance (No. 778 below). This does not, however, disprove the possibility of such abnormality in the hemoglobin within the cells, for moderate dilution only of serum rendered the band in the red invisible, presumably by dilution.
Detailed examination of the absorption bands was made with a direct reading wave-length Hilger Spectroscope (which was calibrated by line spectra derived from salts added to an alcohol flame) by Dr. Menten. This spectroscope had an accuracy of about two Angstroms. In all, seven post-mortem bloods were examined, viz. autopsy numbers 756, 761, 763, 773, 778, 784, and 787. In five of these, sufficient serum was obtained to make readings. All gave the two characteristic oxyhemoglobin bands in the blue-green with centers of the bands at λ 758μμ λ and 542μμ. The second oxyhemoglobin band varied slightly in width in the different samples. In addition to the two oxyhemoglobin bands in each of four of the above sera, viz: Nos. 756, 763, 767 and 787, an absorption band in the red was found with the center of the band as follows: Number 756 at λ 627μμ, number 761 at λ 634μμ, number 763 at λ 625μμ, and number 787 at λ 634μμ. These bands varied considerably in intensity and could only be identified when the two oxyhemoglobin bands were merged and appeared as one broad band. As controls for the position of the oxyhemoglobin bands two normal bands were examined, which showed two bands with centers also at λ 758μμ and λ 543μμ. For comparison of the methemoglobin bands of the above post-mortem bloods, a sample of this hemoglobin compound was made by adding potassium ferricyanide to normal blood until the solution became brownish in color. The center of this methemoglobin band was found at λ 634μμ. In blood from autopsies number 773 and number 778 sufficient serum could not be obtained to make a reading. To each of these bloods distilled water was added. The laked blood of 778 gave a methemoglobin band with the center at λ 632μμ on examination 24 hours after autopsy. Similar treatment of corpuscles five days subsequently gave no indication of the presence of any methemoglobin spectroscopically.
From the serum and from the laked corpuscles of number 784 no trace of methemoglobin was found when the blood was examined a few hours after removal at autopsy.
Oxygen Capacity.—The total oxygen capacity was determined by the Van Slyke method (by Dr. Rohde and Mrs. Macklin). At this stage the more pronounced type of influenza had subsided, but in early convalescence the capacity was within normal ranges.
Other studies using different technique gave concordant results, but there were indications that oxygen was more slowly absorbed than normally.
Oxygen Content of Venous Blood measured by the Van Slyke method (by Dr. Rohde and Mrs. Macklin) on the same bloods examined for total oxygen capacity seemed to indicate a mild deficiency as compared to normal bloods.
159Gases, Kinds, Quantity and Rate Yielded to Vacuum.—In general it may be said that quantitative differences observed are not considered fundamental, but that the studies indicate abnormal slowness in oxygen absorption.
Gases, Quantity and Rate of Absorption on Exposure to Air After Extraction by Pump.—The results emphasize slowness of oxygen absorption as compared to normal blood.
The material to be examined was exhausted for three minutes in the receiver of the Van Slyke apparatus. One c.cm. was then transferred, with as little exposure to air as possible, to a small empty bottle, which was then closed and placed in communication with a calibrated, horizontal tube, containing a segment of alcohol, which served the dual purpose of a seal and an air volume change indicator. (See Fig. 1.) The apparatus was made in duplicate and mounted on a common base, so that simultaneous readings on different samples could be made. After establishing the zero position of the alcohol segment, the base on which the bottles were mounted was vigorously shaken in a uniform manner. Ten seconds after the period of shaking, the volume readings were taken. Successive periods of shaking and reading were conducted at 30-second intervals, until the test was completed. Actual volume changes were then calculated, tabulated and plotted.
The greater confidence is placed on the results obtained by observing the color of the blood, as described below; but since then the method has been checked up and the results indicate that the findings were of sufficient accuracy to warrant their inclusion in this report.[1]
1. Studies along this line are being made with improved apparatus, the results of which, together with the description of the apparatus, will be published elsewhere. (See Am. Gr. Physiol., 1920, li, 195.)
FIG. 1.
Effect of Addition of Serum on Behavior on Exposure to Air.—The persistence of venous hue of blood exposed to air was noted above. It was observed that the addition of serum from the same blood conspicuously shortened the time required for such blood to acquire an arterial hue. The addition of normal serum was more effective in this respect than pathological serum. Measurements of the rate of absorption of such blood after the addition of serum indicated acceleration of oxygen absorption. 160From this it would seem that the oxygen transmitting capacity of the serum was diminished.
Effect of Addition of Dry Sodium Bicarbonate on Behavior on Exposure to Air.—The addition of a small quantity of dry sodium bicarbonate to a blood refractory to arterialization on exposure to air enormously accelerated the process, as judged by the color. To what extent the change in color may have been due to causes other than oxygen absorption was not determined.
The most significant positive findings were evidence of deficiency of serum oxygen transmitting capacity or rate, and the detection in serum of an absorption band in the red corresponding to methemoglobin. The presence of the abnormal substance giving rise to the absorption band is considered of special interest as indicating abnormal chemical conditions in the blood, rather than material change in hemoglobin oxygen capacity.
In a study of the bacteriology of a respiratory disease such as influenza, the technical difficulties encountered are very great and must be overcome before we can draw useful conclusions from the results obtained or attempt to determine the etiological factors. The important methods of attacking such a problem include: (1) the study of stained smears and cultures from the various available materials, along with the demonstration of the bacteria in the lesions found in the disease by a study of sections; (2) tests with the various materials to determine the presence of the causative agent, which includes experiments on man and animals and is more inclusive than the mere study of the bacteria isolated; (3) immunological studies of man suffering from the disease, or of man and animals treated with the materials from the disease; (4) pathological, clinical and epidemiological studies linked with the above.
Many of the difficulties and sources of error in these methods are manifest to all, but certain points may be indicated as more important in the phases of the work on which I am to report.
Stained smears from the material available. The choice of the material is of first importance. Sputum to be of any real value must be obtained from the deeper portions of the respiratory tract, should be as free as possible from the secretions of the buccal cavity, and should be washed in saline before it is used. These are considered among the first requirements in the study of lung infections by the pneumococci and are equally important in influenza. Swabs from the nasopharynx should be obtained with the same precautions as are demanded in meningococcal 162work. The other available material—such as blood, lung puncture fluid, pleural fluid and spinal fluid—must be collected with the greatest care.
The staining methods should, naturally, include those which will bring out the various types of bacteria, and must include the Gram method, using dilute alcoholic fuchsin (1-20) as the counterstain. The varying morphology of the B. influenzæ and its frequent minute size make it difficult to detect. It is not the only Gram negative small bacillus seen in smears from the throat, but when it occurs in the typical schools, or where there are numerous bacilli to be seen, its characteristics are quite definite. I have recently isolated an anærobic Gram negative bacillus from a series of swabs from the buccal cavity which suggests in many ways the morphology of the B. influenzæ, which will indicate one of the many difficulties to be met with in the study of stained smears. They are, nevertheless, of great use as a control on cultures, and most helpful in the study of the material from sources other than the respiratory tract.
Cultures of the bacteria from the various materials. Here we have the greatest difficulty of all. The medium chosen determines the bacteria which will appear to predominate, and there is no single medium that will answer all purposes. Streptococci will appear to be in excess when serum broth is used, as I have previously shown; pneumococci with Avery’s pneumococcus medium; and staphylococci, the Gram negative cocci, and the diphtheria group with Loeffler’s serum. Ordinary blood agar is perhaps the best general medium for direct and secondary plating. There have been many special media devised for growing the B. influenzæ, but the one I have used most and found particularly helpful is heated blood agar made after the general method of Voges.
The extremely tiny colony of B. influenzæ on ordinary blood agar makes it particularly difficult to detect, and one is apt to get the wrong impression of its numbers from the macroscopic appearance of the plate. In attempts at isolation there must be a liberal use of media in picking colonies, as many suspicious ones will turn out to be immature growths of B. xerosis, M. pharyngis (or M. catarrhalis), streptococci, or more rarely pneumococci and other organisms. Replating from such picks is frequently necessary, 163and further plates, from the original culture on heated blood agar, must often be made before the B. influenzæ can be isolated. The care required in all stages of the isolation of this organism, the unstinted use of media for plating and for picks, the number of stained smears to be studied, and the further transfers necessary to verify results, all these limit the amount of material which can be studied with any degree of accuracy. If further the streptococci, the pneumococci, the Gram negative cocci, the capsulated Gram negative bacilli and many others are to receive any attention, it can readily be appreciated that a few cases carefully studied are of far more value than a large number hurriedly examined in an uncertain routine.
The pathological study of the same cases on which I have done the bacteriology will be found in Dr. Klotz’s paper in these communications, and I will merely refer to some of the bacterial findings in the sections of the lungs and bronchi. The more inclusive methods which have been used in attempts to determine the etiological factor in influenza we have been unable to attempt, but I will refer later in this paper to the findings of the investigations of others. Immunological studies have been limited to a few investigations on the presence of agglutinins, complement binding substance, skin reactions and the amount of complement present in the sera of certain patients. The epidemiological and clinical studies are reported by Drs. Johnston and Lichty in this series of reports.
The material used in the study I am reporting included swabs from the large bronchi and fluid from the lungs and pleural cavities of 32 autopsies, as well as blood cultures from 22 patients and swabs from the nasopharynx of 31 individuals. Fifteen sera were tested for fixation of complement with an antigen made from several strains of B. influenzæ. Fourteen other sera were tested for agglutinins. Complement content was determined in the sera of 25 patients. Skin tests after the Von Pirquet method were done on 14 convalescents, and carefully stained nasopharyngeal smears without cultures were studied from 48 patients.
164The chief attention was given to the study of the autopsy material and we concentrated on the isolation of B. influenzæ. At the same time we did not neglect the other bacteria making up the flora of the bronchi, lungs and pleural cavity in these cases. The various types were isolated and most of them fully identified.
Direct smears were made on sterile slides of all material studied and stained by Gram’s method. The counterstain was always alcoholic fuchsin diluted 1-20 in distilled water. Direct cultures were made on a human blood agar plate containing 5 per cent. blood, which was further smeared just before use with defibrinated blood. This latter procedure was later discarded, as it did not appear to assist to any marked extent the growth of B. influenzæ. Blood broth containing a few drops of defibrinated blood and blood agar slants smeared with blood were also used. Heated blood agar (2-3 c.cm. of defibrinated human blood added to 100 c.cm. of ordinary agar at a temperature of from 90 to 100° C., or as the agar comes from the sterilizer) was used in the last nine cases to replace the blood agar slant in the direct cultures and as the medium of choice for transfers of the B. influenzæ.
I prefer the ordinary blood agar plate to the heated blood plate because the former gives readings which are very helpful in distinguishing colonies of various types. B. influenzæ appears as clear, tiny, pinpoint, inert colonies. B. xerosis or the pseudodiphtheria group gives more opaque but often rather similar colonies. Gram negative cocci as M. pharyngis siccus have dry, raised, soon becoming wrinkled, inert colonies, varying greatly in size; M. catarrhalis, more moist, inert colonies. The cocci of the streptococcus viridans group appear as very small colonies with greening, or are not infrequently inert, while thin, flattened colonies with central thickening may sometimes be noted. Those of the streptococcus hemolyticus group occur as small, frequently nipple-like colonies with clear, wide zones of hemolysis; pneumococci as moderately small, moist, dewdrop-like colonies with center collapsing early and with greening; streptococcus or pneumococcus mucosus as larger, watery, sticky colonies with greening and frequently an early clearing near the colonies.
| Autopsy Number. | Date. | Day of Disease. | Hours P.M. | DIRECT SMEAR—GRAM’S METHOD. | B. Influenzæ | Pneumcocci. | Strept. Mococci. | Hemolytic Strept. | S.P.A. | Other Cocci. | Other G—B. | Other Bacteria. | NOTES. | ||
|---|---|---|---|---|---|---|---|---|---|---|---|---|---|---|---|
| Bronch. | Lung. | Pleural Fluid. | |||||||||||||
| 741 | 1918 Oct. 9 | 3 | 16 | G +staph. Few pneumo-like. Few chains of elong. cocci. | 0 | + | 0 | + | G+ diploc. | Nine plates used to isolate B.I. Sp.a. overgrew all cultures. B.I. seen in blood smear agar in 24 hours. | |||||
| 743 | 11 | 5 | 8 | Br. G—bac. from coccoid to short threads. Mostly scattered. Some phagocyted. Fewer G +cooci in short chains. | + | 0 | – | Pleural fluid and seen as diplos in direct smear. | Br. G + diploc. not like pneumo. | Br. lux. white almost coccoid. | Pericard, fluid and liver juice, no growth. | ||||
| 744 | 11 | 7 | 11 | Br. G—bac. moderately stout about in small groups and scattered. G+diploc (pneumo) also G— threads. Phago. of both in a few cells. | + | – | 0 | Lung + | M. tetrag. in Br. M. pharyng. in Br. | Pneumococcus from lung. No attempt after first plate to isolate B.I. | |||||
| 745 | 12 | 10 | 6 | Br. G +–large bac., strept. short, G—B, few, very short, no threads. | + | 0 | – | Pleural fluid, also seen in smear. | Pl. fluid, also seen in smears. | Swab from ruptured rectus. Sterile. No material from lung. | |||||
| 746 | 12 | 5 | ½ | Br. G—B very short, no threads. Irregularly scattered. More seen in left bronchus. A few cells phagocyted. | + | – | 0 | Strept. viridans from bronchus. | B. coli from bronchi and lung. | B. xerosis from bronchus. | The overgrowth of B. coli in lung material prevented further attempts to isolate B.I. | ||||
| 747 | 13 | 6 | 3 | Br. G+diploc, fairly numerous. G—B tiny, as diplos and in long threads scattered or in small groups. Pleural fluid and lung no bacteria seen. | + | – | – | Bronchus and pleural fluid. | Strept. viridans from bronchi and lung. | B. subtilis group from pleural fluid. | Five picks from blood agar plate failed to recover B.I. from lung. | ||||
| 748 | 13 | 4 | 4 | Br. nothing like B. I. seen. G+ small elong. diplo. Numerous G + diploc. in lung. Comparatively few Q-B, very short. | – | + | 0 | Lung+, not isolated from bronchus. | Strept. viridans from bronchus. | B.I. not seen nor isolated from the bronchi. | |||||
| 749 | 14 | 4 | 15 | Br. G+large pneumo like, many G+large bacilli, single and in pairs. Few G—B very tiny and widely scattered; lung, heavy mixture as in bronchi. | – | – | 0 | Bronchus Lung? | Bronchus and lung. | B. coli from bronchus and lung. | The overgrowth of B. coli prevented any further attempts to isolate B.I. | ||||
| 750 | 14 | 9 | 6 | Br. G+B large like B. welchii, G—rather stout coccoid forms, G+C in pairs and short chains. Tiny G—coccoid forms like B. I. Lung G+ pneumo-like and caps, chains; no B. I. | – | – | 0 | Bronchus? Lung? | B. coli from bronchi and lungs. | B. coli again present as in No. 749. Direct smear suggests heavy contamination. | |||||
| 751 | 14 | 7 | 6 | Br. G +cocci large elong.? caps, also G +C in flat pairs. G—coccoid forms. Lung, numerous bacteria. G+strept. with flattened cocci. Some G-short forms? | – | – | + | Pleura. Lung. Bronchus. | M. tetragenous from bronchus. | Spore-bearer with tiny cols, pleur. B. xerosis from bron. | |||||
| 752 | 15 | 13 | 15 | Br. G+pneumo-like. G+B smaller than B. welchii, occasionally tiny G -diplobacillus. Lung, G+chains of cocci Gram weak. Few G—tiny bacilli scattered or in groups. | – | + | 0 | Bronchus and lung. | Strep. viridans from bronchus and lungs. | B.I. like seen in original culture on blood agar but not isolated from bronchus. | |||||
| 756 | 16 | 8 | 18 | Br. numerous G+B. B welchii like. G—B large and few tiny. G+round diploc. Pl. fluid almost pure pneumo-like, few G-forms probably the same. | – | 0 | – | Pleural fluid. | Strep. viridans from bronchus. | B. coli from bronchus and pleural fluid. | B. xerosis from bronchus. | Compare No. 749 and 750. Fluid from lung not obtained for culture. | |||
| 757 | 16 | 6 | 14 | Br. G—B tiny, to medium. G—like M. catarrhalis. G+cocci, pairs and chains. Few B. W. like. Lung, many G—B like B. I. Some cells filled, also G—cocci. M. catarrhalis like and rare B. welchii like. | + | + | 0 | Bronchus and lung. | Bronchus and lung. | M. tetragenous? from lung. | B. xerosis from bronchus. | This case 14 hours P. M. gave B.I. from all the material. | |||
| 758 | 16 | 14 | 16 | Br. pneumo-like in excess. G—B from tiny to forms stouter than B. I. Few strept. rare M. catarrhalis. Lung, pneumo-like. Phago. | + | ? | 0 | Bronchus and lung. | M. catarrhalia-like from lung. Strep. viridans from lung and bronchus. | B. coli from bronchus. | The B. coli did not prevent the isolation of B.I. like seen in original blood agar cultures of lung. | ||||
| 761 | 17 | 7 | 19 | Br. pneumo-like. B. I. like common, M. catarrhalis like. Both B.I. and M. catarrhalis phagocyted. B.I. single or in threads. Some typical groups. Lung, pneumo, caps, rare, M. catarrhalis like. | + | – | 0 | Bronchus and lung. | Bronchus and lung. | B. coli from bronchus. | Even after 19 hours P. M. the B.I. was isolated. | ||||
| 762 | 17 | 10 | 12 | Br. numerous B.l. like typical, also many pneumo. and M. catarrh. Lung same. M. catarrh. phagocyted. B.I. smear, many phagocyted, many pneumo. | + | + | + | Pleural fluid and bronchus. | M. catarrh. like from lung and bronchus. | B. xerosis from lung. B. subtilis from bronchus. | |||||
| 763 | 17 | 11 | 13 | Lung, pneumo-like, slight phagocytosis. Pl. fl., pneumo and few strept., slight phagocytosis. | 0 | – | – | Pleural fluid. | No growth from lung on plate. B.I. like seen in original culture from pleural fluid. No material from bronchus. | ||||||
| 764 | 17 | 9 | 6 | Br. B.I. smear. Cells crowded. Pneumo-like fewer, occasional G—stouter thread. | + | 0 | 0 | Bronchus. | Staph, albus from bronchus. | Material only from bronchi. | |||||
| 765 | 17 | 9 | 16 | Br. pneumo. B.I. few scattered. G+flattened diploc. Phago. of B.I. and pneumo. Lung, pneumo-like, rare strept. very questionable G—B free and in cells. | + | + | 0 | Lung. | M. catarrh. from bronchus and lung. | B. coli from bronchus and lung. | |||||
| 767 | 18 | 10 | 14 | Br. rather round pneumo-like with caps. B.I. few. Scattered, also in cells. Lung, few bacteria. G+strep. often phagocyted. | – | – | 0 | Bronchus. | Lung. | Bronchus. | Blood culture 15 10 gave pure growth of pneumo. mucosus. |
||||
| 770 | 19 | 11 | 9 | Br. crowded with B.I. like. Few G+cocci and fewer M. catarrh. like. Pl. fluid G+flattened pairs, pus cells, phagocyted. | + | + | – | Bronchus. | Bronchus, lung, pleural fluid. | ||||||
| 773 | 21 | 20 Recurrence. | 3 | Br. few bacteria G+and G—pneumo-like. Rare G+–thread. Lung, pneumo and rare strept. Pl. fluid, pneumo-oat shapes, etc. | – | – | – | Bronchus. | Strept. viridans bronchus. Sarcina albus lung. | B. xerosis from bronchus. G + B lux. white pleura. fluid. | No growth from lung except sarcina. Only 2 colonies from pleural fluid on blood agar plates. | ||||
| 778 | 24 | 23 | 17 | Br. B.I. smear. Fewer large pneumo. Lung, G + small diploc. Few B.I. like. Pl. fluid, few cells, no bacteria. | + | + | – | Bronchus and lung. | Lung. | Non-motile, non-fermenting, lux, white from bron. | Ten plates and 30 picks were done for the isolation of B.I. | ||||
| 781 | 26 | 5 | 4 | Br. crowded with staph. like. Fewer G—B, larger than B.I., few M. catarrhalis like. Lung G+ small staph. like, caps, cocci in pairs and chains. Few tiny G—B. Pl. fluid pneumo-like and elong. cocci in chains capsulated. | – | + | – | Lung and pleural fluid. | Bronchus and lung abscess. | Staph. albus and sarcina from pleural fluid. | B.I. like seen from 24 hour Ht. blood agar from bronchi and lung but only isolated from lung on replating. Bl. culture 25 10 sterile. |
||||
| 782 | 26 | 8 | 3 | Br. numerous B.I. like scattered, some phagocyted. Fewer G+ flat pairs with capsule. | + | – | 0 | Bronchus and lung. | No B.I. like on 24-hour Ht. blood agar from lung. | ||||||
| 783 | 26 | 8 | 1 | Br. G+small caps, pneumo-like. Lung poor smear, occasional pneumo-like. | + | – | 0 | Lung. | Bronchus. | M. catarrh. like bronchus. | No B.I. like on 24-hour Ht. blood agar from lung. | ||||
| 784 | 28 | 8 | 6 | Br. capsulated pneumo-like, few strep. Lung, chiefly pneumo-like. few G—B like B.I., also G—pneumo-like. | + | + | 0 | Bronchus and lung. | Bronchus and lung? | M. catarrh. like bronchus. | Numerous B.I. like on 24-hour Ht. blood agar of bronchi and fewer from lung. Isolated by replating. | ||||
| 786 | 29 | 4 | 2 | Br. G+cocci in round pairs and rather flat chains, suggested caps. Tiny G—B very rare. Lung streptococci flattened, often phagocyted. | + | – | 0 | Bronchus. | Bronchus and lung. | Staph, albus from bronchus. | Pleural fluid not collected sterilly, Haemol. strept. isolated. | ||||
| 787 | 29 | 8 | 2 | Br. numerous pneumo-like, bacillary forms. A rare suspicious B.I. like, some of these in cells. Lung, caps, elongated diplos, and chains of elong. cocci. | + | + | 0 | Bronchus and lung. | B.M.C. from bronchi. | All the bacteria isolated were seen in 24-hour Ht. blood agar cultures from bronchi and lung. | |||||
| 791 | Nov. 1 | 6 | 6 | Br. few bacteria. G+pneumo-like round, G—B and threads, size varies, like B.I. Lung, G + caps, pneumo. G+Large B. few suspicious G—coccoid forms. Pl. fl. caps, pneumo and caps, elong. chains. | + | + | – | Bronchus and pleural cavity. | Bronchus and lung. | Replated from Ht. blood agar to isolate B.I. from lung. | |||||
| 792 | 2 | 6 | 3 | Br. caps, pneumo-like bac. forms and chains. G-caps, pneumo-like. Few G—B. questionable. Lung. caps, pairs and chains of elong. cocci, in cells. Pl. fluid, numerous caps, chains of diploc. | + | + | – | Bronchus, lung and pleural fluid. | Staph. albus, lung, strept. viridans lung, M. catarrh. like lung and bronchi. | B.I. like seen on 24-hour Ht. blood agar from bronchi and lung but not pleural fluid. | |||||
| 793 | 4 | 10 | 3 2 |
Br. M. catarrh. and G+cocci, few bacteria, few G—B. Ear, G+cocci. | – | – | – | ?Throat. | Bronchus, lung, arm vein, spleen ear. | Throat, ear and bronchus. | Strept. viridans from throat. | B. coli from throat. | B.I. like never seen except from throat which may have been B. coli. | ||
| Total | 20 | 13 | 2 | 20 | 6 | 4 | 16 | ||||||||
| B. influenzæ found—Percentage | 66½ | 46 | 14 | ||||||||||||
| Total percentage for B. influenzæ | 78 | % | |||||||||||||
165Staphylococci develop opaque, paint-like colonies of varying size, with or without hemolysis, and so do other less frequently found bacteria give more or less distinctive colonies. The heated blood agar does not show these differences.
The colonies most liable to be confused with those of B. influenzæ are, therefore, those of B. xerosis, immature colonies of the Gram negative cocci and certain colonies of the streptococcus viridans group. Transfers should always be made to heated blood agar of all colonies suggestive of B. influenzæ, or when the growth of the B. influenzæ has only occurred in the more crowded portions of the plate, and it is difficult to pick pure cultures, attempted pickings should be made to this medium for further platings. It is frequently necessary to make further blood agar plates from the original blood agar, blood broth or heated blood agar cultures after longer incubation periods, depending on the findings in smears from these media. The heated blood agar is the best of these to encourage the growth of B. influenzæ. It must, however, be used at once, or within a very few days of its preparation, and cannot be kept on hand as a stock medium. I have not found it as useful for plating because of the difficulty of differentiating colonies. The phenomenon of the star-like and more luxuriant growth of the colonies of B. influenzæ about colonies of other bacteria has often been noted, and will be referred to in a later portion of this report. Here it may be said that this is at times a marked feature of certain mixtures and must be recognized in studying the plates. The finding of B. influenzæ in picks from apparently isolated colonies of other forms is not uncommon, and is the same type of difficulty which I have discussed in papers on streptococci. It is important to recall, in connection with cultures taken from the lungs at autopsy, the experimental work of Norris and Pappenheimer, who showed that B. prodigiosus put in the mouth immediately after death could be recovered from the lungs in over 50 per cent. of the cases studied.
In Table I are shown my results from the 32 cases which came to autopsy. The B. influenzæ was isolated from one or more sources in 25, making a total of 78 per cent. Most of the negative 166cases probably also had this organism, but I did not grow it from the material which I used for culturing. The work of others would indicate that it may have been present in other regions, such as the sinuses of the head or other portions of the lung and respiratory tract. The positive results show B. influenzæ present in 20 out of 30 cases from the bronchi; in 13 of 28 from the lungs; in 2 of 14 from the pleural cavity; in 9 of 26 from both bronchi and lung where both were cultured; in 8 of 26 from the bronchi with the lung negative; in 3 of 26 from the lung with the bronchi negative; once of 10 from the pleural cavity with both the bronchi and the lung negative, and once from all three sources.
The negative results occurred in seven cases. In three of these (749, 750, 756) B. coli overgrew the cultures from the bronchus, in two also from the lung, and in one, without lung culture, from bronchus and pleural cavity. The mere presence of B. coli, however, did not preclude the isolation of B. influenzæ, as is seen in cases 746, 758, 761 and 765. The finding of B. coli would suggest a post-mortem invasion. The hours after death before the autopsy was done were in these seven cases, ½, 15, 6, 18, 16, 19, 16, respectively. That delay in performing the autopsy, as emphasized by Spooner, Scott and Heath, adds to the difficulty is self-evident, but successful isolations of B. influenzæ have been obtained after even longer periods than in the negative cases (761). In the fourth negative case (763) the bronchus was not cultured. A pneumococcus was grown from the pleural cavity and no growth was obtained from the lung. In the original culture from the pleural cavity influenza-like forms were seen but could not be isolated. In the fifth case (767) a blood culture three days before death gave a growth of pneumococcus mucosus which was also grown from the lung at autopsy. Direct smear from the bronchus showed very few influenza-like forms. Our sixth negative finding was in a case of 20 days’ illness, the patient having had a recurrence (773). Staphylococcus pyogenes aureus, streptococcus viridans and B. xerosis were grown from the bronchus. Only a sarcina form grew from the lung, and a further probable air contamination occurred on the media from the cultures of the pleural cavity. The B. xerosis colonies were confusing, picked as possible B. influenzæ, 167and, before this was discovered, the overgrowth prevented further attempts to isolate the influenza bacilli. The last unsuccessful case was one with a general infection of a hemolytic streptococcus from an acute otitis media. The streptococcus was isolated from the bronchus, lung, spleen, arm vein and the middle ear at autopsy.
It will be seen that in these seven negative cases technical difficulties prevented the isolation of the B. influenzæ, even if it had been present. I would not, therefore, conclude that the organisms were necessarily absent, but rather that we have failed either to secure material from the focus of infection or on account of the other reasons mentioned.
It is very evident that a variety of secondary organisms very frequently overgrow the field and become numerically predominant. In our first case staphylococcus pyogenes aureus overgrew all the other organisms present in cultures from the lung material. B. influenzæ was, however, seen in the original 24-hour blood agar culture. It required 9 blood agar plates before the organism could be isolated. In another case 10 plates were used for the isolation.
The findings of the bacteria in the lung sections are particularly interesting and instructive. The entire series of cases have not been completely studied, so I am unable to tabulate the findings. In cases 761 and 762 sections of the lung showed influenza-like bacilli to be almost pure in the earlier stages of the process, while in areas with purulent foci pneumococcus-like and other Gram positive cocci were also numerous. In some cases B. influenzæ-like organisms were to be seen in overwhelming numbers. In others they were scarce, while in some nothing resembling B. influenzæ could be found in the sections. Positive cultures were often independent of whether the influenza-like forms were to be seen in smears or sections or not, although they were found in the great majority of the cases. The findings in the direct smears and the bacteriological results make useful material for comparison.
Swabs from the nasopharynx were cultured from 31 individuals; nearly all of these were cases suspected of diphtheria or as carrying the diphtheria bacillus, and no particular effort was made to isolate the B. influenzæ. They were seen in the 168mixed culture occasionally. In the last eight cases the heated blood agar, ordinary blood agar and Loeffler’s serum were seeded from the throat swabs. B. influenzæ practically overgrew all the other bacteria from seven of these cases on the heated blood agar medium and was isolated without difficulty; all eight showed M. catarrhalis. The two other media gave little or no evidence of the presence of B. influenzæ. As I have said above, our attention was concentrated on the autopsy material. These cultures from the throat were simply made to demonstrate the usefulness of the heated blood agar.
| Type of Disease. | Number of Patients. | B. Influenzæ-Like. | Pneumococcus-Like. | M. Catarrhalis-Like. |
|---|---|---|---|---|
| Early | 24 | 14 | 17 | 6 |
| Serious | 13 | 13 | 13 | 9 |
| Convalescent | 11 | 8 | 11 | 6 |
| Total | 48 | 35 | 41 | 21 |
| Percentage of positives | 73 | 86 | 43 |
It is recognized by most of the modern investigators that little reliance can be put on the finding of B. influenzæ-like bacilli in direct smears. The organism is markedly pleomorphic, occurring as extremely small coccoid forms up to threads of various lengths. Notwithstanding these morphological variations the organisms are usually seen as tiny bacilli, and these are considered as the typical form. We carried out a series of microscopical examinations of carefully made smears from the throats of patients with influenza. Particular attention was given to the occurrence of organisms resembling in morphology and staining B. influenzæ, pneumococci and M. catarrhalis. We have divided the cases roughly into three types—early, serious, and convalescent. Table II shows our results. The term B. influenzæ-like was used for the typical morphological picture so often described. Dr. Frost and Mr. Scott carried out this portion of our work and their results are interesting.
169Blood cultures were done on 22 cases. Pneumococcus mucosus was grown from one patient who three days later came to autopsy (Case 767). In another case pneumococcus-like organisms were seen in smears from the dextrose broth flask after 24 hours’ incubation. These, for some unknown reason, did not grow on blood agar plates. After 48 hours smears made on blood agar from the original flask gave a growth of B. influenzæ and a M. catarrhalis-like organism. I consider this result a very unsatisfactory one, being quite unable to explain the failure to grow the pneumococci-like forms on transfer. Possibly the acidity developed might account for it.
| Dilution of Serum | + | +– | – | |
|---|---|---|---|---|
| Convalescents | 1-1 | 3 | 0 | 2 |
| 1-10 | 5 | 2 | 7 | |
| 1-40 | 2 | 3 | 9 | |
| 1-80 | 0 | 1 | 13 | |
| 1-160 | 0 | 0 | 14 | |
| Normal Controls | 1-10 | 1 | 2 | 0 |
| 1-40 | 0 | 1 | 2 | |
The complete agglutination as would be indicated by +++ or ++ was not seen.
Agglutination tests were carried out with the sera of 14 convalescents and 3 normal individuals. A polyvalent emulsion of strains of the influenza bacillus isolated from our cases was used. The results are shown in Table III. Tubes were incubated at 37.5° C. The results did not indicate anything in the nature of a specific reaction. Dr. Frost carried out this work during the height of the epidemic, but we were unable to continue it further. A short review of the work of others will be found near the end of this paper. Miss Thompson and Mr. Mock studied complement fixation, using the sera of 15 convalescents against an antigen of B. influenzæ. Their results were negative. The antigen appeared to be slightly more anti-complementary than were 170emulsions of staphylococcus or B. coli. Huntoon also noted this anti-complementary character of emulsions of B. influenzæ.
Attempts were made to estimate the amount of complement present in the fresh blood serum of influenza patients. The technique was to use a 1-4 dilution of the patient’s serum, adding measured amounts of this to a 1 per cent. blood emulsion, with 1 unit of amboceptor and determine the smallest amount necessary to bring about complete hemolysis. This test was carried out on eight patients ill for only a few days. The average amount of the dilute serum was 0.181 c.cm. Fifteen patients, convalescent after a moderate illness, gave an average of 0.276 c.cm. Two patients seriously ill with temperatures of 104.3° F. and 105° F. required 0.4 c.cm. to bring about complete hemolysis. We would not like to draw any very definite conclusions where we are dealing with such small fractional differences. This lessening of complement has been noted in other infectious diseases and may be important in the questions of immunity in influenza. Dr. Frost carried out a number of cutaneous tests after the method of Von Pirquet, using a polyvalent, weakly alkaline emulsion of influenza bacilli in 25 per cent. glycerin. Eleven convalescents were tested and none of them showed any local or general reaction. The suggestion that these results may indicate an increase in resistance is discussed in another place. A number of strains of pneumococci which we had isolated from our autopsy cases were differentiated by the agglutination method. Type I was found 3 times; type II, 10 times; type IV, 9 times. Four showed agglutination with both type I and type II sera. Type IV pneumococcus was isolated in one case from the right and left bronchus as well as the lung. In another case the same type pneumococcus was recovered from the lung and pleural fluid. These results are similar to those found by numerous workers.
The discovery by Pfeiffer of the hemophilic character of the bacillus found by him in cases of influenza opened up a new group of micro-organisms known as the hemophilic bacteria. Davis (1915) has laid particular stress on the group character of these bacilli, and the more they are studied the more clear does it become that there are several distinct members. The B. influenzæ 171is by far the most important as well as the most frequently found of the group and is considered as the type organism.
All these bacteria require for their growth the presence of some form of hemoglobin. The actual amount necessary may be very small, and Davis suggested that it may have a catalytic action. A great deal of work has been done in attempts to discover just what portions of the hemoglobin are necessary to bring about this phenomenon. In our discussion on media for the influenza bacillus we will briefly describe some of the various hemoglobin preparations that have been used successfully. It must at this point be emphasized that blood is very useful in many media to stimulate the growth of a great variety of bacteria, and the transfers made from such luxuriantly growing cultures may grow very poorly or not at all on ordinary media, and this might easily lead to erroneous conclusions on the hemophilic character of the organisms studied. There are certain bacteria which grow so much better on media containing blood that such media are sometimes necessary for their isolation, although after a few transfers they will grow on ordinary media. This is true for bacillus pertussis, and throughout the literature a good deal of confusion has arisen in not recognizing this temporary hemophilic character of certain bacteria. The true hemophilic bacteria do not grow except in the presence of hemoglobin in some form or other. The problem becomes almost academic when we consider the small amounts of hemoglobin that are necessary. Davis has shown that a dilution of 1 in 180,000 is sufficient, and in the interesting discussion between Cantani and Ghon and Preyss it was demonstrated that hematin or other hemoglobin product was necessary in the agar before B. influenzæ would grow in the presence of other bacteria, and that this hematin could be derived from the blood in the meat which was used in making the basic infusion.
Symbiosis.—The fact that other bacteria can bring to growth the influenza bacillus on media otherwise unsuited to its needs brings up the interesting problem of symbiosis, which is one of the most important characters of the influenza bacillus. Not only do other bacteria make possible the growth of B. influenzæ on media on which the influenza bacillus will not grow, but they stimulate a better growth on blood agar and other more or less favorable media. Grassberger first noted this stimulating character of 172other bacteria and described and illustrated the very large colonies of B. influenzæ which develop in the neighborhood of colonies of staphylococcus and other bacteria. Staphylococci killed by heat were found to have a similar effect. Meunier nicely described this phenomenon by using the term satellites for the circles of B. influenzæ colonies which develop about the colonies of other bacteria. A great number of workers have since noted this characteristic relationship between B. influenzæ and other bacteria, and occasionally have laid stress on its importance in the problems of the infections by the influenza bacillus. Allen particularly emphasized the probable importance of this in discussing the problem of carriers of B. influenzæ as sources of danger. There seems no doubt that this symbiotic relationship depends on so altering the hemoglobin products as to render them more readily available for the influenza bacillus. This is indicated by the fact that on various media containing hemoglobin, altered so that it encourages the growth of B. influenzæ, no such symbiotic stimulation can be demonstrated. This phenomenon is quite peculiar to this bacillus, distinguishes it from most of the other members of the group, and should be always determined before an organism is classed as B. influenzæ.
Other Hemophilic Bacteria.—The question of a pseudo-influenza bacillus was first raised by Pfeiffer and has been studied by many workers after him. Grassberger, who carefully investigated this problem, worked more particularly with two strains showing the extreme of variation between the small characteristic morphology of the B. influenzæ and the thread forms supposed to be characteristic of the so-called pseudo-influenza bacillus. The great majority of workers have agreed with him in concluding that this morphological variation is not sufficient nor constant enough to justify separating two such groups. Nevertheless many reports indicate peculiar tendencies of certain strains toward thread formation. There seems to be suggestive evidence that the organism described by Cohen in 1909 under the name B. meningitidis cerebrospinales septicemicus is different from true B. influenzæ. Although the cultural characters were apparently identical, this organism was definitely pathogenic for guinea pigs and rabbits. The involvement of joints in the cases reported by Longo and others would suggest a greater pathogenic power for these strains. Prasek and Zatelli reported a similar bacillus 173from meningitis, and Davis found that his meningitis strains were more pathogenic for rabbits than were others. Wollstein has studied this question very carefully and found a marked difference between the strains from the meninges and those from the respiratory tract in their pathogenicity for rabbits. The strains with a tendency to thread formation were usually also those grown from the meninges, but she concluded from the results of serological tests that all strains of B. influenzæ are of one race, irrespective of their origin or virulence. The question is still an open one, as Batten and others described strains from the meninges which are non-pathogenic, and Ritchie found his strains from meningitis pathogenic for guinea pigs but not for rabbits. The irregularity and wide divergence in the results of blood cultures may have a definite relationship to these differences in the pathogenicity of strains.
Other hemophilic bacteria include the bacillus described by Friedberger under the name of B. hemoglobinophilus canis. This organism is to be found in the preputial secretion of dogs. It does not show the phenomenon of symbiosis, and I have found that it grows rather more freely and is more resistant to drying than is the influenza bacillus. Krage has confirmed Friedberger’s findings growing this bacillus from 60 per cent. of his dogs, and believed it a pyogenic organism just as B. influenzæ may be.
The hemophilic and hemolytic organisms described by Davis, which he isolated from pathological urine, were non-symbiotic and non-pathogenic. Koch has described a similar organism from puerperal infection. Whether the hemophilic organism described by Thalhimer from the uterus in a case of puerperal infection, those found by Cohen in urethral discharge in one case and the pelvic exudate of another, and the findings of Kretz in pyelitis, Wright in pyelonephrosis and Klieneberger in cystitis cases, possibly refer to this same bacillus is, of course, uncertain. Pritchett and Stillman found a somewhat similar bacillus, which they called Bacillus X, from the mouths of 24 persons. It was hemophilic and hemolytic, stouter than B. influenzæ and showed long tangled threads in blood broth. It was non-pathogenic and is probably the same as Davis’ organism.
Davis described another hemophilic bacillus from a patient with purulent foci which was non-hemolytic and non-symbiotic. It was grown from an abscess of the shoulder joint, the blood 174and the bronchial secretion of an infant. Cyanosis was a marked feature of this case. Paranhos described a hemophilic bacillus from meningitis, which, however, was Gram positive, and Moon reported an anærobic hemophilic bacillus from an infection of the ethmoid sinus. The work of Jordan would suggest that there may be two groups of B. influenzæ based on the indol production.
Morphology.—The morphology of B. influenzæ has received more than usual attention. In what we consider its characteristic form, it is an extremely small bacillus, usually single but sometimes in pairs, and not infrequently exhibiting polar staining. In direct smears, where there are many bacteria present, they are frequently arranged in the schools so frequently described. The development of thread forms is today considered quite characteristic for B. influenzæ. The organisms vary from moderately long bacillary forms to very long twisted or curled threads suggesting leptothrix. In such cultures chains of tiny bacilli are also quite often noted. At the other extreme we have exceedingly tiny coccoid forms, resembling in size the B. bronchisepticus, which, as Ferry has shown, are small enough to pass through many grades of filters.
It is the thread forms, as discussed above, that have received most attention in relation to the so-called pseudo-influenza bacillus. The observations of Wollstein, Lacy and many others showed these forms to be common in meningeal infections and that, as a rule, they are more pathogenic for animals than other strains. Another interesting and important observation is that emphasized by Dick and Murray of the possible confusion of these forms with Gram negative leptothrix. That this confusion is liable to occur is illustrated by reports such as Macdonald finding leptothrix in a meningeal infection, now looked upon as an example of influenzal meningitis, and the probable B. influenzæ reported by Dick, and, as quoted by Dick and Murray, the finding of a Gram negative leptothrix as the cause of broncho-pneumonia by Kato. The 2 per cent. leptothrix reported by Nuzum and his co-workers from the recent epidemic may be still another example. Equally important is the recognition of the great frequency of this thread development in the majority of B. influenzæ cultures on ordinary blood agar media, or even in the water of condensation of fresh blood agar tubes. The delayed growth of this bacillus on ordinary blood agar would lead to its 175being frequently overlooked unless smears are made, and the irregular thread forms are recognized as being the B. influenzæ. This development of thread forms was particularly noted in my work before pickings were made to the Voges heated blood agar, but because I had been forewarned by discussing these morphological variations with Lacy, I was able to recognize them as forms of B. influenzæ. Most of my early isolations showed these predominating, and they were also noticed in cultures sent from the Public Health Laboratory at Washington. These cultures on further transfer, however, showed in 24 hours the typical small form on ordinary blood agar as well as on the Voges medium. On the latter the development of thread forms was greatly delayed and frequently did not appear at all, although after long periods other abnormal, swollen and irregular shapes sometimes developed.
The discovery of the hemophilic character of B. influenzæ has been confirmed by a long list of investigators. The agar smeared with pigeon blood as used by Pfeiffer has not, however, been found fully satisfactory and many modifications have been made. The fact that hemoglobin in some form is necessary for the growth of these bacteria has led to a great deal of study in attempts to discover the chemical part, or parts, essential for this purpose. Hemoglobin in very small amount, as shown by Davis and others, is sufficient to make media suitable for growing B. influenzæ. This fact has led to much confusion, owing to the difficulty of eliminating all possible sources from which some form of hemoglobin might enter the media. Kitasato used a glycerin agar and succeeded in growing the influenza bacillus for 10 transfers. Pielicke, however, did not consider that Kitasato was actually dealing with the influenza bacillus, but that he as well as Babes, Bruschettini and Markel had most probably streptococci in their cultures. Besson held the same view of Kitasato’s organism. It would further appear from the illustrations of Klein that he also grew streptococci and not the B. influenzæ. The first culture of the influenza bacillus was probably obtained by Bujiwid in February, 1890. He grew on agar smeared with the spleen pulp of an influenzal patient a tiny bacillus which he was unable to grow on blood free medium, but 176he did not appreciate its importance until Pfeiffer’s article appeared. Teissier in his book on “L’ Influenza en Russie” mentioned this culture.
The hemophilic character of these bacteria indicates that they are rather strict parasites, and despite the researches of Nastjukoff with various egg media, and Cantani with a number of supposedly non-hemoglobin additions to the agar, as well as the studies on symbiosis, with other bacteria, by Cantani, Neisser, Luerssen and many others, it still remains true that some form of hemoglobin is necessary for their growth. Fresh blood either incorporated in the medium or smeared on the surface is not the best medium for these bacteria. Altered hemoglobin is much more favorable, and a variety of methods have been devised to bring about those alterations which stimulate the growth of B. influenzæ. One of the earliest, as well as one of the very best, of these is the method of Voges, who added blood to melted agar at a temperature of about 100° C. I have found this medium exceptionally suited to growing B. influenzæ, and I consider it excellent for the primary culture from the original material, for pickings from plates and to obtain a heavy growth of B. influenzæ for any purpose. The medium was used by Delius and Kolle (1897), Grassberger (1898), who spoke very highly of it, and Paltauf (1899), who said that the use of this medium made the demonstration of B. influenzæ possible when only a very few were present. A great many other workers have used it with success, and during the recent epidemic it has gradually found its place. Levinthal’s medium (1918) is practically the same, although he boiled and filtered the agar after the addition of the blood. The growth of B. influenzæ on the Voges agar can properly be described as luxuriant, and to anyone only accustomed to the use of ordinary blood agar it is an agreeable surprise to see this supposedly delicate bacillus growing so remarkably well.
Various other methods have been used to bring about this beneficial change in hemoglobin. Gioelli (1896) used a medium made up of 1.1 per cent. hemoglobin and 21.5 per cent. malt extract. This is reddish brown in color, becomes clear when neutralized with potassium hydrate and remains so on heating. This added to agar is reported as very favorable in growing this bacillus. Ghon and Preyss described a medium made up of meat, 177peptone, salt and agar prepared in the ordinary way, but not filtered for at least a week, and then only roughly. This medium is favorable for symbiotic growths. He further used beef blood heated in a soda solution and blood heated in water as hemoglobin preparations to be added to agar. Thalhimer found an amorphous hemoglobin medium to be more favorable than when a purer hemoglobin was used. W. F. Robertson found a hemoglobin agar, prepared by allowing sheep’s blood to clot, decanting off most of the serum, freezing and then thawing what remains and adding 1 c.c. of this to an agar tube at about 60° C., to be very favorable for the growth of B. influenzæ. Cantani used a blood treated with pepsin and hydrochloric acid, digested some days in the incubator, filtered and made weakly alkaline. This mixture was heated for a few minutes, refiltered and added to the medium. He speaks of it as extraordinarily good for B. influenzæ. Blood treated with trypsin has been used by Matthews, Averill, Young and Griffiths, Harris, A. Fleming and others. Fleming further found that this alteration in hemoglobin can be brought about in a number of other ways. Blood boiled in agar (suggesting the Voges agar) and the tubes slanted while hot, blood boiled in water, the clotted blood precipitated and the clear fluid added to agar, or more rapidly by adding equal quantities of sulphuric acid to the blood and a similar amount of potassium hydrate he obtained altered blood suitable for media. He reported that by any of these methods he could obtain a medium very stimulating to the growth of B. influenzæ. By the addition of brilliant green (1 in 500,000) he inhibited the growth of staphylococcus, streptococcus and pneumococcus. For storing cultures of B. influenzæ Fleming found a minced meat medium with the addition of blood to be the best. I have found this medium without the blood to be an excellent one for keeping a great variety of cultures. Bernstein and Loewe have reported the use of gentian violet (1 in 5,000) for the same purpose as the brilliant green used by Fleming. Avery’s oleate blood agar medium he reported to be largely selective. It checked the growth of pneumococci and streptococci, but gave luxuriant growths of B. influenzæ. Pritchett and Stillman have used it with excellent results recovering B. influenzæ from a very high percentage of the cases studied.
178The use of symbiotic bacteria has been extensively studied in investigations of the biology of B. influenzæ, and it has been shown, as noted elsewhere, that such accessory bacteria will bring to growth B. influenzæ on media otherwise quite unsuited to its needs. It has been further found that on various preparations of hematin agar, on which B. influenzæ refused to grow, such media could be rendered favorable for their growth by the addition of living or freshly killed cultures of staphylococcus and many other bacteria. And although the method is well known, it has not been extensively used for the purposes of isolation. Many of the workers, however, have pointed out the importance of looking for growth of the influenza bacillus in the neighborhood of the more easily grown bacteria which almost always develop in cultures from the respiratory tract. Grassberger has particularly studied this problem and has made practical application of the method. Accidental contamination of plates with air bacteria have made possible, in some instances, the isolation of B. influenzæ—as, for example, in the finding of Heyrovsky from a case of empyema of the gall bladder—while other workers have pointed out the difficulty of demonstrating growth where B. influenzæ is pure in the material cultured, and the comparative ease and relative luxuriance of growth where other bacteria are present. To just what this stimulating effect is due has been much discussed, and it is generally agreed that the hemoglobin is markedly changed and rendered more available by the action of these germs. It is to be noted that on a medium containing blood altered by heating or by the various methods as described by Fleming the foreign bacteria no longer show any symbiotic action on B. influenzæ. Grassberger considered the effect of the bacteria on the blood to be the same as that of heating. Allen laid particular stress on this symbiotic character. He used a staphylococcus, either living or killed, in making his cultures and noted the difficulty of growing B. influenzæ from material in which it occurred pure. W. F. Robertson made use of these facts of symbiosis for both isolation and stimulation of growth. He employed alternate drills of M. catarrhalis or pneumococcus with the B. influenzæ, and Brown and Orcutt used strains of hemolytic streptococci for the same purpose. The latter authors considered that the beneficial effect of the streptococci was merely due to the setting free of the hemoglobin. The fact that 179similar results are to be obtained by the use of non-hemolytic bacteria as well as forms giving green color changes to the blood makes this explanation untenable. In my own studies I have confirmed the results of several previous workers. I have found that B. influenzæ is stimulated in its growth by the presence near it of colonies of staphylococcus pyogenes aureus and albus, pneumococci, streptococcus viridans and hemolyticus and other bacteria. The largest colonies of the bacillus I have obtained were those growing near the periphery of a colony of an air nocardia. I have also noted that emulsions of a staphylococcus killed by boiling for five minutes, when added to ordinary blood agar, had a marked stimulating effect, although no evidence of hemolysis was present. This effect was practically absent if the emulsion was boiled for 15 minutes, or after being killed was left at room temperature for several days. There was no evidence of these stimulating effects by any of these methods when heated blood agar was used, the colonies on this medium growing equally large by themselves. Comparative studies of the effect of different bacteria can be simply carried out as follows: Smear evenly the surface of an ordinary blood agar plate with an emulsion of B. influenzæ. Seed this plate at various points with minimal amounts of the various bacteria. After various periods of incubation the size of the B. influenzæ colonies about the other bacterial growths can be estimated, and impression preparations on cover glasses will give very interesting pictures.
The growth of B. influenzæ in primary cultures from sputa and similar sources is to be explained by the probable presence of traces of blood or altered hemoglobin as well as the symbiotic relationship with other bacteria. Fichtner used fresh heated sputum (60 to 65° C.) in place of blood, and Richter a medium made with sterilized pus. Parker, in her study of a filterable poison produced by the B. influenzæ, found veal infusion broth with 10 per cent. defibrinated blood heated to 75° C. until the blood coagulated and settled on standing to be the best for the purpose. Jordan in his study of indol production by these bacteria used a meat infusion broth with 5 per cent. sheep’s blood added at 90° C. or over and filtered through cotton or paper. Wittingham and Sims noted that in using blood from influenza cases the bacteria frequently did not grow, more especially B. influenzæ; and Rivers found human blood poorer than cat or 180rabbit blood for growing this organism, as did Minaker and Irvine. It would seem clear from this review of some of the suggestive work on the methods of growing B. influenzæ that little attention should be given to the results of many workers, where ordinary media were used, particularly when the difficulties of isolation were not appreciated.
If B. influenzæ is the causative agent in clinical influenza, there is certainly ample evidence that it is pathogenic to man. The symptoms of toxemia, which are so manifest in the pandemic disease as well as in the sporadic cases, would indicate that the etiological agent is markedly toxicogenic. Animal experiments by Pfeiffer, and a long list of investigators following him, would seem to show that the majority of cultures of B. influenzæ do not have any power of establishing themselves in the animal tissue. Killed cultures showed equally as high toxic effects as the living, and so it was generally concluded that many of the general effects in influenzal infections were of a toxic nature.
There are many exceptions to the above-mentioned failures to produce infections in animals. Cantani obtained very constant positive results by subdural injections. He first clearly showed that killed cultures were markedly toxic and that virulence could be raised very definitely by animal passage. By injecting brain emulsion with a culture he obtained a subcutaneous abscess in a rabbit which after eight days still contained the living organism. Nastjukoff found that animals with a lowered resistance, or definitely ill from, for example, an artificial tuberculosis, became infected while others did not. Jacobson showed that B. influenzæ injected with streptococci caused a definite mixed infection, and that after six passages the influenza bacillus alone could produce a fatal infection. Saathoff (1907) confirmed Jacobson’s findings and found pneumococci equally effective. Davis (1915) also confirmed the principle established by Jacobson of the symbiotic relation of other bacteria to infection with B. influenzæ. He used a culture of a non-virulent staphylococcus pyogenes aureus, and was able to produce death invariably in guinea pigs after intraperitoneal injection. From the heart’s blood, as a rule, only the hemophilic bacillus was recovered. He also found animal passage increased the virulence, and further 181that M. catarrhalis and an avirulent streptococcus had the same effect as the staphylococcus. Slatineanu (1901) found that he could infect animals with B. influenzæ if the cultures were injected along with weak solutions of lactic acid, and that after animal passage by this method the bacillus became more virulent and would eventually kill by itself. It must not be forgotten in this connection that strains of B. influenzæ from meningitis cases are frequently definitely pathogenic for animals. The importance of considering these various factors in a discussion of infection by this organism is, of course, very evident. Ecker found his strains pathogenic for mice after subcutaneous injection, and the bacilli were readily obtained from the heart’s blood. Spooner and his co-workers from their results of more than a hundred intraperitoneal injections concluded that the organism is not pathogenic for mice.
In all animal experiments it is of the greatest importance that the bacteria be known which may interfere in the experiments through spontaneous infection (often liable to be induced by the injection) from the animal’s own flora, as well as the greater susceptibility of previously diseased animals (Nastjukoff). It would appear from the results of Bruschettini and Cornil and Chantemesse in the early days of the influenza bacillus, and those of Lamb and Brannin in their recent study, that these authors did not seriously consider the spontaneous infection of guinea pigs and rabbits with B. bronchisepticus or the bacillus of rabbit septicæmia, both morphologically, very similar to B. influenzæ. Rosenow in his experiments with streptococci from cases of influenza has also apparently failed to realize the importance of the lung lesions produced by the B. bronchisepticus in guinea pigs as reported by Theobald Smith, myself and many others.
Parker has found a filterable poison from the influenza bacillus which developed rapidly (6 to 8 hours) in a special heated blood broth medium, deteriorated rapidly even in the cold, and killed rabbits in quantities of 2 c.c. in from 1 to 3 hours. Rabbits could further be immunized against this poison, and their sera protected other rabbits against fatal doses. This is the first time that a true powerful toxine has been obtained. Couret and Herbert obtained toxine from B. influenzæ in Avery’s oleate broth. Huntoon and Ross also clearly demonstrated toxine production 182by this organism so that it would appear, with this confirmation, that the B. influenzæ can be definitely classed among the toxine producers. Toxemia being the most striking clinical characteristic of influenza, we have in these findings very strong evidence of the etiological importance of this hemophilic bacillus to the disease. A very interesting observation was made by Latapie that the serum of a goat immunized against influenza bacillus is toxic if it is used shortly after the injection of the microbes, but that this toxicity is absent three weeks after the last injection. It would appear to me that the evidence of a filterable virus from the secretions of the respiratory tract does not eliminate the very probable toxine from such materials. The production of toxine by this organism probably depends, as is the case with very many of our toxine formers, on the most favorable combinations of conditions. That it is not readily formed in artificial cultures, or that it is very unstable if formed, is evidenced by the frequent failures of a great many workers. It has been suggested that different symbiotic conditions in the respiratory tract determine the amount of toxine produced. Huntoon found a high toxine production in mixed cultures with streptococci. This, however, does not appear to be necessary, as there is ample evidence of severe toxemia from pure infections with B. influenzæ in various parts, such as the accessory sinuses of the head, the meninges, the lungs and other parts of the respiratory tract.
It is not fundamentally necessary that a toxine producing organism be present in overwhelming numbers before it can be accepted as the cause of the toxemia. Nor, on the other hand, must we have toxemia every time the organism is found. The prevalent idea among bacteriologists would appear to be the reverse of what I have just stated. It would, indeed, be extremely difficult to make bacteriological diagnoses of a great many of our diseases, where the etiological factor is well established, if these conditions were required. We do not do so, for example, in diphtheria, examinations of stools for typhoid, nor in infections with the tetanus bacillus. We recognize carrier cases of meningococcus, B. typhosus, hemolytic streptococci and many others, without detracting seriously from their importance in definite types of infection. Formerly the specificity of the different bacteria for definite disease processes was very rigid, but today 183we interpret more broadly the finding of gonococcus in endocarditis, the meningococcus in bacteremia, B. typhosus in osteomyelitis, streptococci and pneumococci in all manner of infections and many other bacteriological results. True it is that the various bacteria show predilections for attacking certain tissues, but the varying susceptibilities bring about the greatest variations in the manifestations of these infections.
The B. influenzæ is not confined to the causation of severe pandemic or epidemic influenza, but includes in its field purulent bronchitis, meningitis, sinusitis, conjunctivitis and many other pathological processes. It further should be recognized as a relatively frequent cause of complications in measles and other diseases.
The disease influenza is primarily an infection of the respiratory tract. It varies from one of the most acute and fatal diseases we know of through all grades of severity—from chronic infections lasting over years to the familiar three or five day fever. This graduation is to be found more or less marked in all our bacterial infections, but would seem to be not generally recognized or appreciated as occurring in infections with the influenza bacillus. That Pfeiffer was dealing with one phase of the disease when the influenza bacillus was discovered does not invalidate the results of numerous workers which have been added since then.
Probably the greatest confusion in attempts to get a clear picture of this protean disease has been and is a non-recognition of influenza as a frequent complication of other diseases, such as measles (Jochmann, Susswein, Tedesko and very many others). The second cause for this confusion has been the misinterpretation of the facts demonstrating the rather frequent occurrence of carriers. During an epidemic the vast majority of patients show the disease as an upper respiratory infection of varying degrees of intensity, but which usually subsides after periods of from three to five days of fever. Along with this we have other graded manifestations of further involvement of the tract with laryngitis, bronchitis, bronchiolitis and all degrees of broncho-pneumonia. To prevent the severe lung involvement prompt treatment must be carried out, under which rest in bed is by 184long odds the most important. This will be discussed in another paper of this series, and was particularly well demonstrated in the results at the Naval Hospital as verbally reported to me by D. G. Richey. The interesting point is that the infection can be controlled, but this does not indicate the etiological factor as different from that acting in the more severe cases.
The epidemiological evidence would seem to show very clearly that the incubation period is approximately two days, and that a period of six weeks is the usual limit for the severe wave of the epidemic in different localities. In my opinion, during this period every exposed individual in a community has received the influenza bacillus in the respiratory tract, and that all the susceptible individuals are attacked and show more or less evidence of the infection. As a consequence of this general distribution we have great numbers of individuals carrying the organism, and the aftermath is to be noted in other and later manifestations of the same infection.
Sporadic cases of influenza appear during inter-epidemic periods and more or less healthy carriers are frequent. Scheller’s study in Königsberg showed, if we can rely on his figures, that the carriers were very numerous during an epidemic year (winter 1906-1907), being 24 to 33 per cent.; that as the epidemic became less widespread (winter 1907-1908) it fell to 10 to 13 per cent.; as it was disappearing (summer 1908) he found only 1.5 to 3.3 per cent.; while when the epidemic was completely over (winter 1908-1909) there were no carriers of B. influenzæ found. These results are taken from studies of sputa and throat smears of 138, 218, 155 and 185 cases, respectively, for the periods mentioned. The monumental work of Tedesko, who reported the results of 1,479 cultures, covering 11 years (1896-1906), would indicate that B. influenzæ is continually present in the population. However, in carefully analyzing his results, it is very clear that in the great majority of his cases it was of definite etiological significance. Lobular pneumonia, acute, purulent and chronic bronchitis, and most frequently clinical influenza, are the prominent diagnoses in all his tables. He was able to grow B. influenzæ repeatedly from individual patients for many months.
Lord in similar studies (1902, 1905, 1908) brought out somewhat similar facts. He laid particular stress on the cases of 185chronic bronchitis with numerous B. influenzæ in the sputum and a probable confusion of these with pulmonary tuberculosis. He was able to follow a number of his patients for several years. B. influenzæ was grown in culture from the sputum of one of these in 1902; in November, 1903; in February, 1904, and in February, 1905. In other cases the organism was shown to be present by culture practically continuously for months and even years. Lord, with Scott and Nye, in a recently published article (1919) reviewed his former results and showed a relatively high incidence of B. influenzæ in the respiratory tract of apparently healthy people. Davis studied 534 cases, further indicating the prevalence of this organism in the community.
The B. influenzæ has been recovered from the respiratory tract during the clinically pure influenza, from the sputum and lung in influenzal pneumonia, and from the purulent sputum in all grades of bronchitis. These should all be looked upon as true infections by the influenza bacillus, the varying manifestations merely differing with the resistance of the individual. In the epidemic in the fall of 1918 pneumonia was the outstanding feature. Preceding this in the English publications we have reports of outbreaks of purulent bronchitis. Macdonald and his co-workers, finding the B. influenzæ frequently present, considered the condition as one indication of a virulent infection by this organism. Hammond, Rolland and Shore reported similar cases, and Abrahams and his co-workers looked upon the cases of purulent bronchitis as occupying a position, without any definite line of demarcation, between those with definite broncho-pneumonia on the one side and those with simple bronchial catarrh on the other. H. E. Robertson emphasized the serious nature of influenzal purulent bronchitis and the almost epidemic character and rather high mortality of the outbreak in the winter and spring of 1917-1918. There were also numerous mild outbreaks of influenza before the overwhelming culmination of the last three months of 1918, as reported by Orticoni and many others and noted by Johnston in this series of papers. Greenwood in an epidemiological study emphasized the point, previously made evident by Parsons for the pandemic of 1889-1892, that the mass attack is preceded by numbers of individual cases. In this country it was noted during the winter of 1917-1918 and the following spring that the B. influenzæ was rather frequently 186found in the respiratory infection in our army camps (Soper, Cole and MacCallum and others).
It is well recognized that when the actual epidemic struck there were comparatively few bacteriologists familiar with the B. influenzæ. The real difficulties of isolation, the more favorable media, the facts of symbiosis, the importance of carriers, the varying manifestations of the infection and many of the other vitally important points, although more or less fully reported in the literature, were nevertheless practically unknown. It was my own experience, and that of many others. This must be seriously considered in analyzing many of the reports on bacteriological findings throughout the period of the severe wave and even after.
It will be impossible to review the numerous reports on the recent epidemic that have appeared. Many of these can be discounted, as far as the finding of B. influenzæ is concerned, for the reasons mentioned above. The often quoted report of Little, Garofalo and Williams, who did not even use a hemoglobin medium, will serve as an example. Little attention should be given to others where the large numbers of cases precluded the requisite time and media necessary for such a difficult problem. Friedlander and his co-workers in their report from Camp Sherman made no mention of the number of sputa, throat swabs or autopsies which they examined bacteriologically. The incidence of influenza showed a total of 10,979 cases, 2,001 of pulmonary œdema or pneumonia and 842 deaths. They recorded one culture from the sputum with pneumococcus predominating which gave two colonies of B. influenzæ, and this bacillus was grown from the lung exudate at one autopsy. Their conclusions that “B. influenzæ (Pfeiffer) has not been demonstrated as the causative organism” is certainly true from their results, but that “the frequency of its detection has not exceeded the frequency of its existence under normal conditions” can hardly be considered as established, if we accept the many results mentioned above as indicating its presence during inter-epidemic times, unless they mean by normal conditions practically complete freedom from this organism.
187The prevalence of B. influenzæ in various sections of this country may be indicated by the following reports chosen from many available ones. Keegan, from the First Naval District Hospital, found B. influenzæ 19 times from 23 in cultures grown from the lungs. In 6 cases these cultures were pure. Medalia reported from Camp McArthur the following. Out of 2,279 sputa of influenza suspects, 76.8 per cent. showed “B. influenzæ” in smears, and 445 sputa from cases of broncho-pneumonia showed it in 54 per cent. It was found in culture in only 10.6 per cent. of these last cases. He considered sputum smears of practical diagnostic help. He further grew B. influenzæ twice from the blood during life, once with a pneumococcus and once alone. Necropsy cultures gave B. influenzæ in 2 of 3 cultures from the brain, 19 of 34 from the heart, 19 of 36 from the spleen, 54 of 65 from both lungs, 50 of 62 from the right pleura and 47 of 62 from the left pleura. The percentage of positive results ranged from 53 in the spleen to 83 in the lungs. Nuzum and his associates only found B. influenzæ in 4 of 100 cases from the bronchial secretions, but it is interesting to note that he grew it in practically pure culture from both lungs of one case at autopsy. Synnott and Clark in Camp Dix found streptococci and pneumococci predominating, and, although making no particular effort to study the B. influenzæ or determine its frequency, they found it in the majority of cases when it was looked for. Blanton and Irons reported as follows from Camp Custer. From cultures of the nose and throat of 357 examined before the epidemic struck, B. influenzæ was found in 5.1 per cent.; in 366 throat cultures of influenza cases without physical signs of pneumonia the same organism was grown in 44, or 8 per cent.; sputa typed for pneumococci 740 times from influenza cases with pneumonia gave isolations of B. influenzæ 38 times, or 5 per cent.—8 times alone, but here it should be remarked that these latter isolations were only attempted after the organism was suspected from the morphological picture of the smears; from 280 autopsies B. influenzæ was recovered 8 times from the lung and 3 times from the heart’s blood. This report covered the period from the outbreak of the epidemic, October 5 (or as given by Soper, September 30) to October 22, at the outside a period of 22 days. During this time 366 throat cultures, 510 blood cultures, 740 sputa typed for pneumococci, 280 autopsies with cultures from both lung and 188heart’s blood, made a total of primary cultures of well over 2,000. The technical difficulties would make it almost impossible to handle such a mass of material and get reliable results for the incidence of B. influenzæ.
Brem, Bolling and Casper in Camp Fremont found B. influenzæ in 259 from 537 selected cases in swabs from the nasopharynx. It was also noted in a fair number of other examinations. Opie and his co-workers found B. influenzæ to be very frequent at Camp Pike. Spooner, Scott and Heath isolated B. influenzæ at Camp Devens from the sputa of 104 cases, from nasopharyngeal swabs in 11 out of 18 attempts and from the pleural fluid 8 times out of 45, twice pure. From 37 autopsies they found B. influenzæ in 23 and in pure culture in at least 1 lobe of the lung in 16. From 82 blood cultures at autopsy B. influenzæ was recovered twice. Nichols and Stimmel studied lung punctures during life and grew the B. influenzæ from 7 out of 10 attempts, 5 times in pure culture. Stone and Swift at Fort Riley found B. influenzæ in 18.7 per cent. of 928 sputa and in 5.2 per cent. of 77 sputa from fatal cases. He recovered it from autopsy material; 21 times from 51 lungs, once alone; twice from 26 pleural fluids; twice from 30 heart bloods; 19 times from the sinuses of 40, and 9 times from the ear and mastoid of 17 cases.
Lamb and Brannin at Camp Cody examined 80 typical cases early in the epidemic. They found B. influenzæ predominated in 46 per cent. being present with pneumococci on 41 per cent. of the plates. They also grew the influenza bacillus from a fair number of other cases.
Wollstein and Goldbloom in the Babies Hospital of the City of New York found the B. influenzæ in 13 of 17 sputa during life and in both lungs of all 18 autopsies as well as in the heart’s blood of one. Kotz found it in half of his 30 cases. Pritchett and Stillman grew the influenza bacillus from 41 of 49 cases of influenza, from 40 of 43 cases of influenza with broncho-pneumonia, from all of six other broncho-pneumonia cases and from 11 of 20 cases of lobar pneumonia, making a total of 98 positive findings from 118 or 82 per cent. They further found 25 positives from 54 convalescent and 74 from 177 normal sputa. Wolbach found this organism in pure culture in one or more lobes of the lungs of 9 from 23 cultured cases. It was demonstrated in 23 of 28 either by culture or in section.
189Similar results are to be found in reports from Great Britain. Martin noted a great increase in the numbers present as the sputum became more purulent. Hicks and Gray found B. influenzæ by culture in 75 per cent. of their cases. They were seen in direct smears in only 70 per cent. Gotch and Wittingham considered M. catarrhalis to be the etiological factor as it was found in all of their 50 cases. B. influenzæ was grown in 8 per cent., although B. influenzæ-like bacilli, were seen in 62 per cent. of their smears. Averill, Young and Griffiths studied the sputum from 41 cases and found B. influenzæ in 32. It is interesting that Macdonald and Lyth determined the incubation period to be 41 hours as a minimum in their own experience and that from the posterior nares of one of them B. influenzæ was obtained.
Schofield and Cynn found the B. influenzæ in Korea. Kraus in Brazil found it in the sputum in 62 per cent. of his cases of influenza. It was also found in the organs of 27 who had died, being in pure culture in five. It has further been found in France, Italy and practically all parts of the world where investigations have been made. The German literature is at present only available in the report of the British Medical Research Committee which is written in a more or less popular manner with a rather strong tendency against the importance of B. influenzæ. Dietrich, Simmonds, Bergmann and others, however, found B. influenzæ rather frequently. Such quotations as “Uhlenhuth, a diehard of bacteriologic orthodoxy, has clearly shown signs of uneasiness” and “one empyema and one throat swab yielded the looked for growth” will indicate why this review is of little use. It is certainly necessary to “look for” the B. influenzæ to get results of any worth.
Secondary, ancillary or symbiotic bacteria are of cardinal importance in these infections. It has been considered by some writers as characteristic for the influenza bacillus to be followed so frequently with such a variety of secondary invaders. Sahli looked upon the complex of B. influenzæ, pneumococcus and streptococcus as the true etiological cause of influenza. Abrahams and his associates discussed the symbiotic effect of the B. influenzæ in raising the virulence of pneumococci previously present in the patient and many other investigators lay stress on these symbiotic relationships.
190Pneumococci appear to be the commonest of these secondary micro-organisms judging from the various published reports, but the fact must not be overlooked that, particularly in America, the typing of pneumococci has drawn a disproportionate attention to this group. Hemolytic streptococci have received much attention (Ely and his co-workers and several others). M. catarrhalis (Gotch and Wittingham and several of the British writers), members of the B. mucosus capsulatus group (Nichols and Stimmel, Rucker and Wenner), staphylococcus aureus (Patrick), various ill-defined streptococci (Rosenow and several British writers), capsulated cocci apparently different from pneumococci, B. pestislike forms and many others have been given more or less attention, often as clearly recognized secondary infections, but not infrequently as of primary significance.
B. influenzæ, however, is the organism most regularly found in this pandemic where carefully looked for, and the evidence of its lowering the general resistance to bacterial invasion is very strong. The experiments of Ghedini and Fedeli showing the effect of the toxine on muscular tone and those of Ghedini and Breccia who found a similar effect on blood vessels are worthy of note.
The fact that the flora differs so widely in various regions is what one might expect and many investigators have emphasized the significance of this. Bacteria in the mouth and throat are readily transmitted from individual to individual and under the conditions in the training camps and our modern life, the development of local flora is not surprising. That it is of very great importance is recognized by all and it is often a determining factor in the severity of the infection. Nevertheless, influenza in this pandemic has been almost equally severe whatever the secondary organism may have been.
I have discussed in another place the suggestion of the stimulating effect of various bacteria on the growth and toxine production of B. influenzæ. Huntoon showed the effect of hemolytic streptococci in cultures to be helpful in toxine production. An important point, however, is that no one bacterium has been shown to be exclusive in thus affecting the growth on media of the influenza bacillus, and in the animal experiments in raising the invasive and pathogenic power of this organism the same appears to be true. The infection in influenza, in the vast 191majority of cases, rapidly becomes a mixed one. The secondary organisms at times completely dominating the field, at least as far as numbers go, most frequently invade the blood stream and it would appear often play the important role in many of the secondary conditions.
B. influenzæ is a frequent finding in the sputum of patients with chronic bronchitis, pulmonary tuberculosis and other chronic conditions in the respiratory tract. Boggs recovered this bacillus from two cases of bronchiectasis, Richards and Gurd had a similar case and Tedesko reported several. The literature is filled with references to the finding of B. influenzæ in cases of chronic bronchitis. Those reported by Lord, Madison and Tedesko quoted above will serve as examples. The frequent positive cultures in cases of pulmonary tuberculosis so often referred to in reviews of the literature and the significance of these findings, as pointed out by Scheller, are important as bearing on the much debated subject of the effect of influenza on this disease. These types of chronic infection by the influenza bacillus should be more generally recognized as they undoubtedly will become more numerous following this last epidemic if we can judge from the experience of the past.
The recovery of B. influenzæ from the pleural cavity is not uncommon as is shown in the above review. The findings of MacCallum, Cole and others during the spring of 1918 are particularly interesting. Beall in 1906 reported a case of empyema with large quantities of green pus in which B. influenzæ was found in pure culture.
Infection of the accessory sinuses of the head has long been recognized as occurring in influenza. Frankel found B. influenzæ in 4 from 40 infected antra. Lindenthal, who was particularly interested in the question of sporadic influenza, found the bacillus in one or more of the head sinuses in six of eight carefully studied cases. He considered that the B. influenzæ remained in these 192areas during inter-epidemic times and from hence caused the sporadic outbreaks of influenza. Howard and Ingersoll reviewed the literature up to 1898 and grew B. influenzæ from one of three acute antral diseases. They did not find it, however, in 12 chronic cases. Clemens believed the influenza bacillus to be present in the sinuses rather frequently in cases where it was overgrown or difficult to culture from the lower respiratory secretions. Moszkowski grew it in one case from the pus of the antrum. Tedesko recorded several positive results and many others are reported in the literature.
The two cases reported by Lacy (1918), the findings during the present epidemic by Stone and Swift of B. influenzæ in 13 of 28 sphenoidal and 6 of 12 ethmoidal sinuses cultured at necropsy, those by Spooner, Scott and Heath, of B. influenzæ in four frontal sinuses and in eight sphenoidal, and the recovery by Wolbach of B. influenzæ in cultures from the sinuses in certain cases where the lung cultures were negative, emphasize the importance and frequency of the infection by this organism in these cavities. Keegan, who laid particular stress on lung punctures and autopsy examinations, pointed out that in throat cultures the probability that the influenza focus is often not in the pharynx but in some recess of the nasal cavity.
H. E. Robertson in the spring of 1918 reported the infection of the sinuses in seven cases of tracheo-bronchitis with patches of broncho-pneumonia and the growth of B. influenzæ from sphenoid, ethmoid or frontal sinuses of all these cases. He also found this organism in the sphenoid of six cases dying with various diseases as well as in two accident cases with death under 24 hours. The importance of these results was laid stress on by the author, not only on account of the probable toxic absorption and the general menace of spread, but, more particularly, because such individuals, acting as carriers, could furnish foci for the spread of epidemics.
Infections of the eye by the influenza bacillus are quite common. This subject is fully discussed by Axenfeld (text-book, “The Bacteriology of the Eye”). Giani and Picchi found it in the eye in 66 per cent. of influenza cases, in 90 per cent. of epidemic conjunctivitis, and in the normal eye of 5.8 per cent. Wynekoop, 193in 1903, reported having found this organism in cases of conjunctivitis in 1899. Guiral, in the recent epidemic, found influenza bacillus constantly present in the secretions in cases of what seemed to be Week’s conjunctivitis. Ulceration of the cornea was rather common. One such case is mentioned in which there was no pain in the eyes, but general symptoms of influenza. The middle ear is also sometimes infected. Between the report of Kossel in 1893 and that of Stone and Swift in 1918, who found the middle ear and mastoid to contain B. influenzæ in 8 of 17 cases, there have been many references in the literature to this complication by the influenza bacillus. The evidence indicates, however, that in the middle ear, as in the pleural cavity, the secondary bacteria are far more often the important ones.
Influenzal meningitis seems to stand by itself as a manifestation of the pathogenic effects of B. influenzæ. The literature is too voluminous to review in this place, but the evidence would seem to point to a more invasive and pathogenic type of this organism, if not to a separate member of the group.
The evidence in clinical influenza would suggest at times a bacteremia in addition to the severe toxemia, which is such a constant feature of the disease. Simultaneously with the discovery of B. influenzæ, Canon reported finding bacilli of similar morphology in blood smears, but was unable to grow them, and it would appear at least doubtful that he was dealing with the influenza bacillus. Meunier is probably the first who grew this organism from the blood. He recovered it from 8 blood cultures out of 10 in cases of broncho-pneumonia following measles, and in one other case of broncho-pneumonia. A very full discussion of this question is to be found in Canon’s book on “The Bacteriology of the Blood in Infectious Diseases.” Of particular interest are the results of Ghedini, who made a careful study of 28 influenza patients. B. influenzæ was grown from the blood in 18 of these at the height of the fever, while in the 10 negative cases the disease was milder or the blood was taken only after 194the temperature had fallen. The amount of blood used was 20-30 c.c., and it was cultured in lecithin broth. In practically all of his cases several cultures were taken, and in a number of the positive cases negative results were obtained both before and after the acme of the fever. He also grew the bacillus from 8 of 14 spleen punctures of these patients. Madison (1910) reported the recovery of this bacillus from the blood of a patient with a primary broncho-pneumonia who recovered. This author also used about 30 c.c. of blood. Thursfield, in 1910, also reported two cases of B. influenzæ bacteremia in which the organisms were recovered at the height of the temperature. One had influenza, the other phlebitis, and both recovered. Tedesko and several others have found it in the heart’s blood in many cases, more especially in broncho-pneumonia after measles.
During the present epidemic the positive cultures of this bacillus from the blood have been rather infrequent. J. S. Fleming had 2; 2 are quoted in the report of the Influenza Committee of the Advisory Board to the D. G. M. S. (Peters and Cookson); Medalia had 2 during life and 19 of 34 at autopsy; Orticoni, Barbie and Leclerc in 5 of 10 blood cultures in one series, and 7 of 19 in another; Stone and Swift 2 at autopsy; McKeekin, in Australia, influenza-like bacilli in 4; Blanton and Irons three times in the heart’s blood, one of these pure; Spooner, Scott and Heath twice in the heart’s blood at autopsy, and Wollstein and Goldbloom from the heart’s blood in one child. In the majority of these findings the bacillus was not found in pure culture. Abrahams and his associates found the B. influenzæ along with a pneumococcus and M. catarrhalis from the heart’s blood in one case. In our positive blood culture there was evidence of the same mixture being present.
Before drawing sweeping conclusions against the invasion of the blood by B. influenzæ it must be remembered that the quantity of blood used has been generally only about 10 c.c., and often much less, the difficulty of observing growth if the culture is pure has been largely overlooked, the use of more favorable media than blood agar and the possible inhibitory action of influenzal blood, as suggested by Wittingham and Sims, Rivers and others, has not been considered, and further that sufficient care has not been exercised to obtain blood at the most favorable period in the disease. It may be recalled that the problem is quite similar 195to that of demonstrating the organisms in the blood in patients with streptococcus viridans bacteremia.
All the available evidence, however, points to the invasion of the blood in influenzal infections as being a very fleeting one. Unless this is true, it would be surprising in the many hundreds of blood cultures which have been taken in the concentrated study of patients during the recent pandemic, if more successful cultures had not been obtained. General infections with localization of B. influenzæ in different parts of the body are here of interest—such as that reported by Slawyk and others. Whether the strains causing meningitis, and which apparently more frequently invade the blood, are really different members of the hemophilic group or only forms with a higher invasive power is still, I believe, an open question.
In endocarditis the B. influenzæ is probably, after streptococci, the organism most frequently isolated from the blood. Rosenthal from heart’s blood at autopsy, Schlangenhaufer, Jehle two cases, Horder (1907) six cases, and who believed he was the first to isolate B. influenzæ from the blood, Tedesko in a number at autopsy, Spat, F. J. Smith, Saathoff, Libman four cases, Sacquepee, McPhedran, Mann, Rainaford and Warren three cultures from two patients, and a number of others all bear witness to its frequency.
Other organs of the body are sometimes found to contain B. influenzæ. Adrian, Schultes, Basile and Tedesko have all recovered this organism from the diseased appendix. Several years ago a bacillus, considered, to be B. influenzæ, was grown from the pus of an appendix abscess in our laboratories. Wright found it in pyelonephrosis. Klieneberger found influenza-like bacilli in cases of cystitis. Menko reported the bacillus from orchitis, and Cohn found numerous influenza-like bacilli in the discharge from urethritis. Meunier found it in pure culture in a case of osteoperiostitis. Huyghe, Besancon and Griffon recovered it from infected joints, as did Pacchioni in a general infection. Weil found it in the pus about the hip joint one month after an attack of influenza. This short review serves to illustrate that the influenza bacillus, although generally limited to 196infections in the respiratory tract, is, nevertheless, capable of infecting other parts.
Phagocytosis of the B. influenzæ has been very frequently noted in the study of sputum smears. It has been observed, moreover, that this phenomenon occurs most frequently when the patient is on the road to recovery (Pfeiffer, Martin, and others), and it may indicate an important reaction on the part of the body to this organism. Tunnicliff in a recent report, however, did not find the opsonic index to be raised above the normal in her patients, and Tunnicliff and Davis had difficulty with a spontaneous phagocytosis of this bacillus. This difficulty was to a large extent absent in her later study.
Agglutination tests have been used by many investigators in attempts to determine a specific reaction in the sera of persons suffering from influenza. Such reactions develop, as we know, against secondary infecting bacteria, so that unqualified conclusions cannot be drawn that agglutinins in the sera of patients against B. influenzæ indicate the etiological importance of this organism. Vagedes using a dilution of 1-50 found 8 positives among 27 patients tested. Lord found the test most inconstant. Ghedini obtained useful results by using serum in dilutions 1-20 to 1-30, and had 17 positives from 28 influenza cases. He found agglutinins present three to four days after the height of the infection, and noted that the sera became practically normal after three to four weeks. Fichtner, although he obtained agglutination with sera of influenza patients in high dilutions (1-100 and 1-750), found his controls were often agglutinated, and consequently drew no conclusions. Wollstein (1906) did a series of agglutination tests, using various strains of B. influenzæ. The sera of patients she found very unsatisfactory, but by immunizing rabbits with this organism she obtained sera with titres up to 1 in 400. She could find no differences among the various strains studied. Somewhat similar results were obtained by her in 1915 working with strains from the meninges and the respiratory tract. Odaira carried out a rather extensive series of tests, using 197immunized rabbit sera and a special method of making his bacterial emulsions. He was able to distinguish B. influenzæ from both B. pertussis and the so-called Cohen’s bacillus of meningitis. Friedberger’s dog bacillus, however, could not be differentiated from B. influenzæ by this means. A. Fleming during the recent epidemic had good results with the sera of 21 patients. He incubated at 50° C. for two hours. He also used sera of immunized rabbits and got marked agglutination against the homologous strain, but varying results with other strains. He noted some strains agglutinated readily, while others did not. Eyre and Lowe noted an increase in agglutinins in the sera of people vaccinated against the influenza bacillus. Couret and Herbert could distinguish two types and a possible third among their strains. Park and his co-workers found numerous types by means of agglutination. Absorption of agglutinins was found helpful by these last two workers. There are so many factors capable of altering the sensitiveness of bacteria to agglutination, as in the well-known experiments of Neufeld, that we must recognize that much work is still to be done before we can properly interpret the results of these agglutination tests.
Complement fixation tests were carried out by Odaira but his results were much less satisfactory than those he obtained by means of agglutination. Rapaport made an extensive study of this test, using the sera of patients in various stages of convalescence. Three hundred and fifteen convalescents showed 54.5 per cent. positive while 300 controls only gave 9.5 per cent. positive results. Most of the positive cases were in patients three to five days after their illness, but the reaction was found in convalescents after from 1 to 45 days. Sera from acutely ill patients at times showed negative or slightly positive reactions but these same sera after keeping for some days and retesting often gave strongly positive results. This would appear to be a promising field for investigation.
Hypersensitiveness was noted by W. F. Robertson in chronic infections with B. influenzæ. Wollacott in a letter to the British 198Medical Journal suggested that the severity of the recent outbreak of influenza may possibly be due to the development of a state of anaphylaxis. There would seem to be at least some evidence in favor of such a view in the fact that the severe outbreak was preceded by epidemics of a milder form of influenza and that the influenza bacillus was probably widely spread during this time. Greenwood, as quoted above, noted that primary cases always precede the mass attack. Of course, the term anaphylaxis has been used to explain almost everything. Nevertheless, the theory is interesting. The skin tests which we did for hypersensitiveness were, as I have noted above, negative but there is a possibility that the failure of the reaction may indicate a higher resistance or even an antitoxin, now that the bacillus can be classed as a toxicogenic one. Anti-influenza sera have been produced by a few investigators (Latapie, Wollstein) but have not found any practical application during this pandemic. Vaccination is discussed elsewhere in these studies.
There has never been in the history of medicine so many experiments on human beings as have been carried out in the attempts to discover the etiological factor in the recent pandemic of influenza. Davis has called attention to a successful human inoculation with pure cultures of B. influenzæ which he performed in 1906. During the present investigation at least 200 men have volunteered as experimental subjects, and the results of many different methods of attempting to transmit the disease, have been disappointing and inconclusive. I will not attempt to review the reports at present available, as a great deal of the work done has not yet appeared in print. The important point is that the results do not affect the various views held as to the causative agent in pandemic influenza nor the massive evidence for transmission of the disease under natural epidemic conditions.
It is my opinion, as expressed above, that practically all of the population are rapidly infected during such a pandemic as we have had. The resistant have escaped, and it would appear to be very difficult to break down this resistance. The human experiment carried out by Pettenkofer on himself and his assistant 199with vibrion choleræ is an example, but we have numerous others demonstrating the same kind of phenomena in most of our diseases of established bacterial origin. In diphtheria we have an explanation in the varying antitoxic content of the sera, but we really know very little of what are the actual factors in preventing or determining infection among exposed individuals in the natural history of most diseases. The reports of Leonard Hill and Gregor are well worth reading in this connection, as well as the editorial in the same number of the British Medical Journal. We are not in a position to be very dogmatic on the causes of epidemics. The mere presence of the bacteria or any other living virus is not in itself sufficient to explain the phenomenon, and one of the chief objects of this paper is to indicate from the collected facts, that in the words of Flexner, “the case against the influenza bacillus is not proved.”
1. B. influenzæ is one of a group of hemophilic bacteria and there are probably strains of this organism which may be differentiated which will lead to further subdivisions of the group.
2. B. influenzæ as we understand it today, is distinguished by its morphological and staining characters; its requiring hemoglobin in some form for its development; its showing symbiotic reactions with other bacteria which stimulate its growth; the production of a toxine and its usual low pathogenicity for animals.
3. The media found most favorable for its growth are those containing blood with the hemoglobin content altered in certain ways, (1) by heating, (2) the addition of various chemicals, (3) by the action of other bacteria or their products. The heated blood agar I have found to be a most efficient and readily prepared medium.
4. Since B. influenzæ is so difficult to isolate, it is necessary to be very cautious in interpreting results unless the greatest effort has been made to demonstrate the presence of this organism.
5. B. influenzæ should be considered, from the evidence at hand, as the bacterial causative agent in epidemic influenza, and it should be recognized that secondary infections following the 200primary attack by this organism are both frequent and important. This view I believe the logical one, unless much more convincing evidence than we have today may demonstrate another more probable living virus as the cause.
6. B. influenzæ is a frequent etiological factor in purulent and chronic bronchitis, broncho-pneumonia and other acute and chronic respiratory infections, in meningitis, endocarditis, sinusitis, conjunctivitis and other conditions, as well as in complications of many other diseases.
7. There are many carriers of the bacillus among our population, both in apparently normal individuals and in those suffering from chronic infections of bronchi, sinuses or other parts.
8. The problem of what constitutes resistance or susceptibility to this infection are as far from solution as they are in most other respiratory diseases, and the attempts to explain the reasons for epidemics have been as futile as they are for meningitis and many other respiratory epidemics.
9. It would not appear that the immunological reaction against this infection has been discovered, but the possibility of its being of an antitoxic nature opens an interesting field for investigation.
| Abrahams, Hallows and French | Lancet., 1919; i, p. 1. |
| Abrahams, Hallows, Eyre and French | Lancet., 1917; ii, p. 377. |
| Abstract of Foreign Literature on Influenza | Jour. A. M. A., 1918; lxxi, p. 1573. |
| Adrian | Quoted by Tedesko, q. v. |
| Allen | Lancet., 1910; i, p. 1263. |
| Averill, Young and Griffiths | British Med. Jour., 1918; ii, p. 111. |
| Avery | Jour. A. M. A., 1918; lxxi, p. 2050. |
| Babes | Deutsch. Med. Wochen., 1892; xviii, p. 113. |
| Batten | Lancet., 1910; i, p. 16. |
| Basile | Baumgarten Jahresb., 1907; xxiii., p. 284. |
| Beall | Jour. A. M. A., 1906; xlvi, p. 1442. |
| Bernstein and Loewe | Jour. Infect. Dis., 1919; xxiv, p. 78. |
| Besancon and Griffon | Quoted by Scheller, q. v. |
| Besson | Text-book, translated by Hutchens, 1913. |
| Blanton and Irons | Jour. A. M. A., 1918; lxxi, p. 1988. |
| Boggs | Amer. Jour. Med. Sci., 1905; cxxx, p. 902. |
| Brem, Bolling and Casper | Jour. A. M. A., 1918; lxxi, p. 2138. |
| 201Brentz and Frye | Woman’s Med. Jour., 1908; xviii, p. 73. |
| Brown and Orcutt | Jour. Exper. Med., 1918; xxviii, p. 659. |
| Bruschettini | Cent. f. Bakt. Abt. i., 1892; xi, p. 412. |
| Bruschettini | Cent. f. Bakt. Abt. i., 1892; xii, p. 34. |
| Bruschettini | Cent. f. Bakt. Abt. i., 1893; xiv, p. 253. |
| Bujivid | Cent. f. Bakt. Abt. i., 1893; xiii, p. 554. |
| Canon | Die Bakteriologie des Blutes bei Infektionskrankheiten Jena, 1905. |
| Canon | Deutsch. Med. Wochen., 1892; xviii, p. 28. |
| Cantani | Zeit. f. Hyg., 1896; xxiii, p. 265. |
| Cantani | Cent. f. Bakt. Abt. i., 1897; xxii, p. 601. |
| Cantani | Cent. f. Bakt. Abt. i., 1900; xxviii, p. 743. |
| Cantani | Zeit. f. Hyg., 1901; xxxvi, p. 29. |
| Cantani | Cent. f. Bakt. Abt. i., Orig., 1902; xxxii, p. 692. |
| Cantani | Zeit. f. Hyg., 1903; xlii, p. 505. |
| Capaldi | Cent. f. Bakt. Abt. i., 1896; xx, p. 800. |
| Clemens | Munchen. Med. Wochen., 1900; p. 925. |
| Cohen | Annales de l’Instit. Pasteur., 1909; xxiii, p. 273. |
| Cohen and Fitzgerald | Cent. f. Bakt. Abt. i., Orig., 1910; lvi, p. 464. |
| Cohn | Arch. f. Gyn., 1907; lxxxii, p. 695. |
| Cohn | Cent. f. Bakt. Abt. i., ref., 1906; xxxviii, p. 23. |
| Cole and MacCallum | Jour. A. M. A., 1918; lxx, p. 1146. |
| Cornil and Chantemesse | Cent. f. Bakt. Abt., i., 1893; xiii, p. 489. |
| Couret and Herbert | Report at meeting of Amer. Assoc. Path. and Bact., 1919. |
| Coutant | Jour. A. M. A., 1918; lxxi, p. 1566. |
| Davis, D. J. | Jour. Infect. Dis., 1907; iv, p. 73. |
| Davis, D. J. | Arch. Int. Med., 1908; ii, p. 124. |
| Davis, D. J. | Jour. Infect. Dis., 1910; vii, p. 599. |
| Davis, D. J. | Amer. Jour. Dis. Child., 1911; i, p. 249. |
| Davis, D. J. | Jour. A. M. A., 1915; lxiv, 1814. |
| Davis, D. J. | Jour. Infect. Dis., 1917; xxi, p. 392. |
| Delius and Kolle | Zeit. f. Hyg., 1897; xxiv, p. 327. |
| Dever, Boles and Case | Jour. A. M. A., 1919; lxxii, p. 265. |
| Dick, G. F. | Jour. A. M. A., 1918; lxx, p. 1529. |
| Dick, G. H. and Murray | Jour. A. M. A., 1918; lxxi, p. 1568. |
| Dujarric de la Riviere | Jour. Med. Res., 1918; xxxix, p. 39, review. |
| Dunn | Jour. A. M. A., 1919; lxxi, p. 2128. |
| Ecker | Jour. A. M. A., 1918; lxxi, p. 1482. |
| Ely, Lloyd, Hitchcock and Nickson | Jour. A. M. A., 1919; lxxii, p. 24. |
| Eyre | Jour. Path. and Bact., 1909; xiv, p. 160. |
| Eyre and Lowe | Lancet., 1918; ii, p. 484. |
| Ferry | Jour. Path. and Bact., 1915; xix, p. 488. |
| Fichtner | Cent. f. Bakt. Abt., i, Orig., 1904; xxxv, p. 374. |
| Fichtner | Baumgarten’s Jahresb., 1906; xxii, p. 207. |
| Finkler | Cent. f. Bakt. Abt., i, 1896; xx, p. 807. |
| Fleming, A. | Lancet., 1919; i, p. 138. |
| 202Fleming, J. S. | Jour. A. M. A., 1918; lxxi, p. 2137. |
| Fraenkel | Quoted by Howard, q. v. |
| Friedberger | Cent. f. Bakt. Abt., i, Orig., 1903; xxxiii, p. 401. |
| Friedlander, McCord, Sladen and Wheeler | Jour. A. M. A., 1918; lxxi, p. 1652. |
| Ghedini and Breccia | Cent. f. Bakt. Abt., i, Ref., 1911; lvii, p. 567. |
| Ghedini and Fedeli | Cent. f. Bakt. Abt., i, Ref., 1910; xlvii, p. 358. |
| Ghedini | Baumgarten’s Jahresb., 1906; xxii, p. 207. |
| Ghedini | Cent. f. Bakt. Abt., i, Orig., 1907; xliii, p. 407. |
| Ghon and Preyss | Cent. f. Bakt. Abt., i, Orig., 1902; xxxii, p. 90. |
| Ghon and Preyss | Cent. f. Bakt. Abt., i, Orig., 1904; xxxv, p. 531. |
| Giani and Picchi | Cent. f. Bakt. Abt., i, Ref., 1906; xxxvii, p. 239. |
| Gioelli | Cent. f. Bakt. Abt., i, 1898; xxii, p. 853. |
| Goodpasture | Jour. A. M. A., 1919; lxxii, p. 724. |
| Gotch and Wittingham | British Med. Jour., 1918; ii, p. 82. |
| Grassberger | Zeit. f. Hyg., 1897; xxv, p. 453. |
| Grassberger | Cent. f. Bakt. Abt., i, 1898; xxiii, p. 353. |
| Greenwood | British Med. Jour., 1918; ii, p. 563. |
| Gregor | British Med. Jour., 1919; i, p. 242. |
| Guiral | Reviewed Jour. A. M. A., 1919; lxxii, p. 80. |
| Guizzetti | Reviewed Jour. A. M. A., 1919; lxxii, p. 1111. |
| Hammond, Rowland and Shore | Lancet., 1917; ii, p. 41. |
| Harris | Lancet., 1918; ii, p. 877. |
| Heyrovsky | Wien, Klin. Woch., 1904; xvii, p. 644. |
| Hicks and Gray | Lancet., 1919; i, p. 419. |
| Hill, Leonard | British Med. Jour., 1919; i, p. 238. |
| Holman | Jour. Infect. Dis., 1914; xv, p. 293. |
| Holman | Jour. Med. Res., 1916; xxxv, p. 151. |
| Horder | Lancet., 1918; ii, p. 871. |
| Horder | 36th An. Rep. Loc. Govt. Bd., 1906; p. 279. |
| Howard and Ingersoll | Amer. Jour. Med. Sci., 1898; cxv, p. 520. |
| Huntoon | Report at meeting of Amer. Assoc. Path. and Bact., 1919. |
| Hurley | Letter. Boston Med. Surg. Jour., 1918; clxxix, p. 691. |
| Huyghe | Quoted by Scheller, q. v. |
| Influenza Committee Advis. Bd. to the D. G. M. S. | British Med. Jour., 1918; ii, p. 509. |
| Jacobsohn | C. r. Soc. Biol., 1901; xix, p. 553. |
| Jehle | Quoted by Madison, q. v. |
| Jochmann | Cent. f. Bakt. Abt. i, Ref., 1906; xxxviii, p. 661, and quoted by Scheller, q. v. |
| Jordan | Jour. A. M. A., 1919; lxxii, p. 1542. |
| Keegan | Jour. A. M. A., 1918; lxxi, p. 1051. |
| Keeton and Cushman | Jour. A. M. A., 1918; lxxi, p. 1962. |
| Kinsella | Jour. A. M. A., 1919; lxxii, p. 717. |
| Kitasato | Deutsch. Med. Wochen., 1892; xviii, p. 28. |
| 203Klein | British Med. Jour., 1892; p. 170. |
| Klieneberger | Quoted by Scheller, q. v. |
| Koch | Quoted by Davis, 1915; q. v. |
| Kossel | Quoted by Ritchie, q. v. |
| Kotz | Jour. Lab. Clin. Med., 1919; iv, p. 424. |
| Krage | Baumgarten’s Jahresb., 1910; xxvi, p. 1063. |
| Kraus | Jour. A. M. A., 1919; lxxii, p. 292. Medical News. |
| Kretz | Cent. f. Bakt. Abt., i, 1898; xxiii, p. 24. |
| Krumbhaar | Lancet., 1918; ii, p. 123. |
| Lacy | Jour. Lab. and Clin. Med., 1918; iv, p. 55. |
| Lamb and Brannin | Jour. A. M. A., 1919; lxxii, p. 1056. |
| Latapie | C. r. Soc. Biol., 1904; lv, p. 1272. |
| Latapie | Jour. Med. Res., 1918; xxxix, review. |
| Levinthal | Zeit. f. Hyg., 1918; lxxxvi, p. 1. |
| Libman | Trans. Assoc. Amer. Phys., 1912; xxvii, p. 157. |
| Lindenthal | Wien. Klin. Wochen., 1897; x, p. 353. |
| Little, Garofalo and Williams | Lancet., 1912; ii, p. 34. |
| Longo | Baumgarten’s Jahresb., 1908; xxiv, p. 660. |
| Lord | Boston Med. and Surg. Jour., 1902; cxlvii, p. 662. |
| Lord | Boston Med. and Surg. Jour., 1905; clii, pp. 537 and 574. |
| Lord | Jour. Med. Res., 1908; xix, p. 295. |
| Lord, Scott and Nye | Jour. A. M. A., 1919; lxxii, p. 188. |
| Luerssen | Cent. f. Bakt. Abt., i, Orig., 1904; xxv, p. 434. |
| MacCallum | Monog. of Rockefeller Instit. for Med. Res., 1919; No. 10. |
| Macdonald and Lyth | British Med. Jour., 1918; ii, p. 488. |
| Macdonald, Ritchie, Fox and White | British Med. Jour., 1918; ii, p. 481. |
| Madison | Amer. Jour. Med. Sci., 1910; cxxxix, p. 527. |
| Madison | Jour. A. M. A., 1910; lv, p. 477. |
| Mann, Rainaford and Warren | Med. Surg. Rep. of Roosevelt Hosp., 1915. |
| Martin, C. J. . | British Med. Jour., 1918; ii, p. 281. |
| Matthews | Lancet., 1918; ii, p. 104. |
| Medalia | Boston Med. Surg. Jour., 1919; clxxx, p. 323. |
| Menko | Quoted by Scheller. |
| Menschikow | Cent. f. Bakt. Abt., i, Ref., 1906; xxxvii, p. 490. |
| Meunier | Cent. f. Bakt. Abt., i, 1897; xxi, p. 689. |
| Meunier | La Sam. Med., 1898. Quoted by Lord and Scheller, q. v. |
| Minaker and Irvine | Jour. A. M. A., 1919; lxxii, p. 847. |
| Mix | New York Med. Jour., 1918; cviii, p. 709. |
| Moon | Quoted by Davis, 1915; q. v. |
| Moszkowski | Cent. f. Bakt. Abt., i, Ref., 1902; xxxii, p. 272. |
| Munro | British Med. Jour., 1919; i, p. 338. |
| Muir and Wilson | British Med. Jour., 1919; i, p. 3. |
| McMeekin | Reviewed Jour. A. M. A., 1919; lxxii. |
| 204McPhedran | Canadian Med. Assoc. Jour., 1913; iii, p. 548 |
| Nastjukoff | Cent. f. Bakt. Abt., i, 1895; xvii, p. 492. |
| Nichols and Stimmel | Jour. A. M. A., 1919; lxxii, p. 174. |
| Norris and Pappenheimer | Jour. Exper. Med., 1905; vii, p. 450. |
| Nuzum, Pilot, Stangl and Bonar | Jour. A. M. A., 1918; lxxi, p. 1562. |
| Odaira | Cent. f. Bakt. Abt., i, Orig., 1911; lxi, p. 289. |
| Oertel | Canadian Med. Surg. Jour., 1919; ix, p. 339. |
| Opie, Freeman, Blake, Small and Rivers | Jour. A. M. A., 1919; lxxii, pp. 108 and 556. |
| Orticoni and Barbie | Reviewed Jour. A. M. A., 1919; lxxii, p. 228. |
| Orticoni, Barbie and Leclerc | New York Med. Jour., 1918; cviii, p. 730. |
| Paltauf | Wien. Klin. Wochen., 1899; xii, p. 576. |
| Paranhos | Cent. f. Bakt. Abt., i, Orig., 1909; l, p. 607. |
| Park | Reported at Meeting of Amer. Assoc. Path. and Bact., 1919. |
| Parker | Jour. A. M. A., 1919; lxxii, p. 476. |
| Patrick | Lancet., 1919; i, p. 137. |
| Pfeiffer | Deutsch. Med. Wochen., 1892; xviii, p. 28. |
| Pfeiffer | Zeit. f. Hyg., 1893; xiii, p. 357. |
| Pfeiffer and Beck | Deutsch. Med. Wochen., 1893; xviii, p. 465. |
| Pieliche | Berl. Klin. Wochen., 1894; xxxi, p. 534. |
| Poliak | Wien. Klin. Wochen., 1908; xxi, p. 973. |
| Pritchett and Stillman | Jour. Exper. Med., 1919; xxix, p. 259. |
| Rapaport | Jour. A. M. A., 1919; lxxii, p. 633. |
| Richards and Gurd | Montreal Med. Jour., 1907; xxxv, p. 541. |
| Richter | Cent. f. Bakt. Abt., i, 1894; xxxi, p. 832. |
| Ritchie | Jour. Path. and Bact., 1911; xiv, p. 615. |
| Rivers | Bull. Johns Hopkins Hosp., 1919; xxx, p. 129. |
| Robertson, H. E. | Jour. A. M. A., 1918; lxx, p. 1533. |
| Robertson, W. F. | British Med. Jour., 1918; ii, p. 680. |
| Rosenow | Jour. A. M. A., 1919; lxxii, p. 1604. |
| Rosenthal | These. Paris., 1900. |
| Rucker and Wenner | New York Med. Jour., 1918; cviii, p. 1066. |
| Saathoff | Munch. Med. Wochen., 1907; p. 2220. |
| Sacquepee | Paris Med., 1913; xxxv, p. 208. |
| Sahli | Reviewed Jour. A. M. A., 1919; lxxii, pp. 686 and 111. |
| Scheller | Cent. f. Bakt. Abt., i, Orig., 1909; l, p. 503. |
| Scheller | Kolle and Wassermann, 1912; v, p. 1257. |
| Schlagenhaufer | Quoted by Scheller, q. v. |
| Schofield and Cynn | Jour. A. M. A., 1919; lxxii, p. 981. |
| Schultes | Quoted by Scheller, q. v. |
| Slatineanu | C. r. Soc. Biol., 1901; xxix, p. 850. |
| Slatineanu | Cent. f. Bakt. Abt., i, Orig., 1906; xli, p. 185. |
| Slawyk | Zeit. f. Hyg., 1899; xxxii, p. 443. |
| Smith, F. J. | Lancet., 1908; i, p. 1201. |
| Smith, W. H. | Jour. Boston Soc. Med. Sci., 1899; iii, p. 274. |
| 205Smith, Theobald | Jour. Med. Res., 1913; xxix, p. 291. |
| Soper | Jour. A. M. A., 1918; lxxi, p. 1899. |
| Soper | Jour. Lab. Clin. Med., 1918; iii, pp. 560-567. |
| Spat | Berl. Klin. Wochen., 1907; xliv, p. 1173. |
| Spooner, Scott and Heath | Jour. A. M. A., 1919; lxxii, p. 155. |
| Stone and Swif | Jour. A. M. A., 1919; lxxii, p. 487. |
| Strause and Bloch | Jour. A. M. A., 1918; lxxi, p. 1568. |
| Susswein | Wien. Klin. Wochen., 1901; xiv, p. 1149. |
| Synnott and Clark | Jour. A. M. A., 1918; lxxi, p. 1816. |
| Tedesko | Cent. f. Bakt. Abt., i, Orig., 1907; xliii, pp. 322, 432, 548. |
| Thalhimer | Bull. Johns Hopkins Hosp., 1911; xxii, p. 293. |
| Thalhimer | Cent. f. Bakt. Abt., i, Orig., 1914; lxxiv, p. 189. |
| Thursfield | Quart. Jour. Med., 1910; iv, p. 7. |
| Tunnicliff | Jour. A. M. A., 1918; lxxi, p. 1733. |
| Tunnicliff and Davis | Jour. Infect. Dis., 1907; iv, p. 66. |
| Vagede | Baumgarten’s Jahresb., 1903; xix, p. 244. |
| Voges | Berl. Klin. Wochen., 1894; xxxi, p. 868. |
| Weil | Cent. f. Bakt. Abt., i, Ref., 1910; xlvii, p. 359. |
| Wittingham and Sims | Lancet., 1918; ii, p. 865. |
| Wolbach | Bull. Johns Hopkins Hosp., 1919; xxx, p. 104. |
| Wollstein | Jour. Exper. Med., 1906; viii, p. 681. |
| Wollstein | Jour. Exper. Med., 1911; xiv, p. 73. |
| Wollstein | Jour. Exper. Med., 1915; xxii, p. 445. |
| Wollstein and Goldbloom | Amer. Jour. Dis. Child., 1919; xvii, p. 165. |
| Woollacott | British Med. Jour., 1918; ii, p. 530. |
| Wright, J. H. | Boston Med. Surg. Jour., 1905; clii, p. 496. |
| Wynekoop | Jour. A. M. A., 1903; xl, p. 574. |
The discussion to be entered into in this report will be limited to an experience dealing with epidemic influenza as it was met with in the emergency Military Hospital in Pittsburgh. We shall largely confine our attention to the observations which came directly under our supervision, and in as much as this investigation was continued during the epidemic as it swept over this district, the intensive study was limited to a time period of about five weeks. During this period much material was collected, which since then, has taken us a considerable time to analyze. We have thought it more valuable to restrict our discussion to this material in that it illustrates the pathological lesions as they occurred during the acute stage of the disease. We have not entered upon a discussion of the sequelæ or the chronic lesions which are not uncommonly found following in the wake of an acute epidemic nor do we deal with the lesions arising in cases of sporadic influenza, such as are always with us. As is so well illustrated in the literature, there is probably no disease which has so many late complications and sequelæ as influenza. The investigations upon the protean lesions have been fully reported in numerous papers during the intervals between epidemics. A comprehensive bibliography upon influenza will be found at the end of the extensive report by Leichtenstern (1905). There is very much less accurate information available upon the actual lesions present during the acute disease when present in epidemic or pandemic form, than upon the many clinical complications in various systems and organs. In fact, our knowledge of the pathology of influenza lies more largely in the field of associated lesions such as the late events in the bronchi, the sinuses of the head, abscesses, meningitis and other conditions, rather to be viewed as complications than as portions of the disease. There are relatively few thorough pathological analyses of the influenza lesions as they are found in the acute epidemic disease.
208A fair literature has already appeared upon epidemic influenza from the many countries and regions over which the present pandemic (1918) has swept. These reports by various authors are offered from different viewpoints, some investigators being impressed with certain features which they bring into marked prominence in their reports. It thus happens that up to the present there is a decided lack of uniformity in the opinions expressed upon different phases of the subject. The nature of the pathology of the past epidemic has given rise to many expressions of opinion as well as dogmatic statements, which are found to differ from those of others. It seems to us that this apparent confusion arises partly through the somewhat different characteristics of the disease as it has made its appearance in different centers. We hear it repeatedly stated that the types found in different military camps and urban communities were quite unlike those of other regions. It is evident that such differences in the clinical course actually did exist and that the epidemic though having a common foundation upon which the disease process was built differed in what might be looked upon as symbiotic complications during the early and acute stages. Differences in the nature of the findings in various communities also probably lay in the fact that the bacterial flora associated with the causative agent of influenza was quite different in different regions. We mention this here so that a full appreciation will be obtained for the differences in the pathological characters of the disease as they are found in one region or another. We appreciate, of course, that if the concomitant bacterial flora associated with the underlying cause of influenza, differs in different regions, so, too, will the bodily reactions differ within certain degrees. We are becoming more familiar with different types of bacteria, and the resulting inflammatory reaction which is often unique or at least particular, and that not uncommonly the nature of the inflammatory process suggests the type of bacterium involved. This argument, of course, must not be driven too far, for we well know that the same micro-organisms under different conditions can cause types of inflammatory reactions wholly divergent.
In as much as our observations are confined to a particular group of cases and the study of these was undertaken during the five weeks of the acute epidemic, these results are not to be compared with the collected statistics on influenza as they shall 209be made over a period beginning with the onset of the epidemic and ending with the last vestiges remaining after months or it may be years of time. Our observations are to be considered only in the light of the events taking place during the height of an epidemic wave. In as much as influenza presents itself during an epidemic in different forms, we shall again mainly limit the report upon our investigations of those cases having respiratory lesions. Our acute observations were made upon the tissues of those who had died of this disease. It is impossible, or nearly so, to fully study the tissues of those with lesser lesions and who recover. Hence, if we divide the influenza cases into those (1) without pulmonary lesions and (2) those with pulmonary lesions, we must state that all of our cases coming to autopsy fall in the second group. It is true that one of these having pulmonary lesions was not brought to his fatal termination by them but by a septicæmia arising in the middle ear. He had distinct lesions in his lungs. In other words, our autopsy material represents epidemic influenza in which the lung was definitely involved in an inflammatory state. In all but one of these the pulmonary lesion was the cause of death.
No doubt, if opportunity had presented itself to follow a large epidemic through months of its progress, during which late complications in various portions of the body would make their appearance, our analysis would give a different picture and the pulmonary factor for the fatal termination would not be in such prominence.
Of the first group, those cases of epidemic influenza not showing pulmonary lesions, we will have very little to say, in as much as the pathological investigations of them is impossible, or nearly so, during the height of the disease.
Such cases apparently do not die at this period. I am willing to admit that individuals without pulmonary involvement may succumb, but I question whether their death has been due to the result of the influenzal lesions, be it in nose, pharynx, larynx or trachea, or be it in the intestine, but rather that the fatal termination occurred later in the course of this complex disease, when distant vital organs became involved or incapacitated in a toxemia or secondary bacterial invasion. We must clearly distinguish these cases from the clear-cut ones of epidemic influenza, looking upon the new circumstances as complications aside from 210the original disease. Such, for example, is the case we have mentioned where a fatal streptococcus bacteriæmia followed in the wake of an otitis media. In our experience we have not had a fatal case of the acute epidemic disease in which the lung was not involved.
In types of epidemic disease such as we have just had, where the epidemic wave has passed over in a period of four or five weeks, there is always much to be regretted which has been left undone. We tried as far as possible to gain all the information available at the time of collecting our materials and of laying aside such of the work which could be accomplished at a subsequent date. The materials were collected from divergent sources in the cadaver, and the more perishable substances were analyzed immediately. During the period of the epidemic 32 autopsies were performed and as much use as possible was made of each for a thorough comprehension of the lesions.
During the period of our work 639 patients were admitted to the hospital suffering from clinical influenza. The cases varied in type from the very mild to the extremely ill. The majority of the cases were of the type of “three-day fever.” Clinically 81 cases developed pneumonia, and of these, 35 died. It would, of course, be impossible to say how many other individuals had a pulmonary involvement which could not be recognized clinically. In fact, some of the cases which did come to autopsy were only recognized as having a pulmonary involvement when the lungs were examined outside of the body. The physicians freely admitted that the physical signs were quite unusual and unlike those of the ordinary forms of pneumonia. In fact, except for the fact that we were living in the midst of an epidemic of respiratory infections, there was nothing to make the clinician suspect that many of these cases had a pulmonary involvement. Obviously, when the recognized signs of different types of pneumonia made their appearance, the clinician did not fail to make proper interpretation of the lung involvement. This, as we shall discuss later, is an event superadded to a lung condition which pathologically must be recognized as pneumonia (inflammation) and which differs so decidedly from what we know of as croupous or lobar pneumonia, as well as ordinary broncho-pneumonia that 211it would be incorrect to include them under this heading, although the distribution of the lesion may have lobar, bronchial or lobular characters.
| Date 1918 | Patients Admitted | Patients Discharged | Cases in Hospital | Deaths | |
|---|---|---|---|---|---|
| October | 5 | 65 | 0 | 65 | 0 |
| 〃 | 6 | 23 | 0 | 88 | 0 |
| 〃 | 7 | 61 | 0 | 149 | 0 |
| 〃 | 8 | 77 | 0 | 225 | 1 |
| 〃 | 9 | 42 | 1 | 266 | 0 |
| 〃 | 10 | 35 | 1 | 300 | 0 |
| 〃 | 11 | 9 | 0 | 307 | 2 |
| 〃 | 12 | 2 | 16 | 290 | 3 |
| 〃 | 13 | 10 | 0 | 298 | 2 |
| 〃 | 14 | 1 | 18 | 278 | 3 |
| 〃 | 15 | 4 | 13 | 266 | 3 |
| 〃 | 16 | 9 | 23 | 248 | 4 |
| 〃 | 17 | 10 | 19 | 235 | 4 |
| 〃 | 18 | 16 | 34 | 217 | 0 |
| 〃 | 19 | 38 | 29 | 225 | 1 |
| 〃 | 20 | 27 | 0 | 252 | 0 |
| 〃 | 21 | 37 | 43 | 245 | 1 |
| 〃 | 22 | 33 | 7 | 270 | 0 |
| 〃 | 23 | 14 | 20 | 263 | 2 |
| 〃 | 24 | 20 | 17 | 266 | 0 |
| 〃 | 25 | 27 | 21 | 272 | 0 |
| 〃 | 26 | 10 | 29 | 250 | 0 |
| 〃 | 27 | 18 | 3 | 265 | 1 |
| 〃 | 28 | 10 | 31 | 243 | 3 |
| 〃 | 29 | 6 | 16 | 231 | 0 |
| 〃 | 30 | 11 | 27 | 215 | 1 |
| 〃 | 31 | 2 | 15 | 202 | 2 |
| November | 1 | 2 | 18 | 185 | 0 |
| 〃 | 2 | 4 | 18 | 170 | 1 |
| 〃 | 3 | 5 | 1 | 174 | 0 |
| 〃 | 4 | 2 | 19 | 156 | 1 |
| 〃 | 5 | 5 | 0 | 161 | 0 |
| 〃 | 6 | 4 | 16 | 149 | 0 |
| Admissions. | 639 | 35 | |||
The individuals admitted to this hospital were obtained from the two military camps at the University of Pittsburgh and the Carnegie School of Technology. All of them were enrolled in 212the army service and ranged from the ages of 18 to 30. They were vigorous individuals, who had passed their physical examinations for the army. The epidemic made its appearance in these camps on October 2, rapidly ascending from a report of two ill on October 2, four on October 3, eight on October 4, to 65 on October 5. On October 11 there were 307 cases in the hospital.
Of these cases 35 died, the day of death being indicated in the following table.
| Day of Disease on Which Death Occurred | Number of Cases |
|---|---|
| Third | 1 |
| Fourth | 3 |
| Fifth | 4 |
| Sixth | 4 |
| Seventh | 4 |
| Eighth | 5 |
| Ninth | 3 |
| Tenth | 4 |
| Eleventh | 3 |
| Thirteenth | 1 |
| Fourteenth | 1 |
| Twentieth | 1 |
| Twenty-third | 1 |
The time as indicated in the above table has no relation to the length of time that the patients were ill of pneumonia, but refer to the period of illness from the beginning of the influenza. The duration of the pneumonia is indicated in another table.
Of the 35 fatal cases 32 came to autopsy. Facilities were available to do the work very satisfactorily, in that the hospital was well provided with a modern post-mortem room and its accessories. The notes on the autopsies were taken immediately and fully, and the materials for subsequent study were collected in different types of preserving fluid. Portions of tissue were collected from all of the organs for microscopical study, while fluids from the chest, lungs, bronchi and heart were obtained for bacteriological investigations and for some chemical analyses.
Added to the above material we also had the opportunity of reviewing and studying the lesions of 18 autopsies performed by 213Dr. J. W. McMeans. These cases were very similar to our own series, in that they were cases of epidemic influenza amongst soldiers who were being cared for at the St. Francis Hospital. The disease processes were quite alike in the two series, and the analyses made by Dr. McMeans are comparable in our own and serve as a means of checking our results obtained in another institution. The similarity of the lesions in the lungs and other organs serve to indicate that what is reported in this paper is an index of the nature of the lesions of epidemic influenza as it occurred in the Pittsburgh district. In a few instances the autopsies performed by Dr. McMeans revealed more advanced pulmonary lesions with abscess and gangrene than were noted in the cases autopsied at the Military Hospital. The process, however, in the two series of autopsies was identical.
There were no external characteristics of the bodies which were autopsied by us which were constant. Some features were more commonly present than others. Of these the cyanosis of the face, head, neck and shoulders, and in a few instances of the upper extremities, attracted our attention more than any other. This cyanosis was present in over one-half of the number of cases, and it was confined almost always to the upper part of the body. The face, ears and neck were always more affected than other parts. This cyanosis bore no relation to the length of time after death when the body was viewed, as we found that when it was present during life it maintained its prominent appearance for a long time after death.
The cyanosis differed from the bright hue or flush as it is at times observed in ordinary pneumonia, the color in these instances being of a dark purple, or better a purplish blue. The lips and ears showed the most intense color. The cyanosis was not associated with any evidence of œdema. The capillaries of the tissues were filled with blood which was of a very dark character. Cyanosis could also be seen in the finger tips about the nails. This was more marked in the upper extremities than in the lower. The skin of the body rarely showed any cyanosis, these tissues being quite pale, or at times showing a slightly yellowish tinge. In one instance the cyanosis of the head and 214neck was accompanied by a slight purplish rash upon the upper portion of the chest. This rash was of a petechial kind, there being slight hemorrhage into the tissues. The lesion, however, was not of the blotchy purpuric type which has been observed by others during this and past epidemics (Cole). This single case is the only one where we had evidence of superficial hemorrhages into the skin.
| Cyanosis | No Cyanosis | ||
| No. | Degree | Distribution | |
| 741 | + | Chest and upper extremities | 747 |
| 743 | + + | Face, neck and ears | 748 |
| 744 | + + + | Head and neck (upper portion of chest and thighs mottled and purple) | 749 |
| 745 | + + | Head and neck and upper extremities | 751 |
| 746 | + + | Ears, neck and shoulders | 752 |
| 750 | + + | Face, ears and neck | 764 |
| 756 | + + | Neck, jaw, shoulders and upper extremities | 765 |
| 757 | + | Face, neck, shoulders, arms and chest | 778 |
| 758 | + + + | Face, ears, neck and upper chest | 782 |
| 761 | + | Face, ears, neck and upper chest | 784 |
| 762 | + | Ears, neck and chest | 786 |
| 763 | + | Head and neck | 793 |
| 767 | + | Face, ears and neck | |
| 773 | + + | Neck, ears and cheeks, extending moderately to upper chest. Hemorrhage into conjunctiva | |
| 781 | + + | Eyes, lips, ears and neck | |
| 783 | + + | Face, lips, neck and fingers | |
| 787 | + + + | Ears, neck and shoulders | |
| 791 | + + | Ears, neck and upper chest | |
| 792 | + + | Ears and back of neck | |
| 19 | + Blotchy or slight 6 | 12 or | |
| or | ++ Moderate 10 | 38.6% | |
| 61.4% | +++ Well marked 3 | ||
| 770 | Fine petechial rash over upper chest. |
Occasionally we met with small hemorrhages lying in the upper layers of the subcutaneous tissue. These lesions were small and could not be seen from the external surface. Nevertheless, 215some of them seemed to have occurred in direct contact with the deep cutis and surrounded portions of the deep skin appendages. From an examination of our cases there was no reason at the time of autopsy to lay any particular stress upon the occurrence of these hemorrhages. Subsequently, it has come to mind, and since learning of the unusual frequency of boils and deep pustules making their appearance as post-influenzal sequelæ, that these minute lesions may have a bearing upon the localization of infection in the skin tissues. We must appreciate, of course, that other factors of a constitutional nature probably render the individual more susceptible to the invasion of the staphylococcus, and that such factors are all-important in allowing this organism to gain a foothold. Whether the decreased sugar-tolerance with hyperglycemia, which has been observed in the late stages of influenza, bears a relation to the increased susceptibility, as appears to be the case in diabetes mellitus, is an interesting point for further investigation. Other constitutional states are also undoubtedly involved in the increased susceptibility to the infection which the patient suffers. Elsewhere (Dr. Holman) it is shown that the natural complement content is considerably depressed during the height of the influenza. With such factors present and with the available infecting micro-organisms, it is possible that the minute deep skin hemorrhages bear a relation to the immediate localization of the infection.
In two instances slight hemorrhages were observed into the conjunctival tissues. In each case they were unilateral and occupied the tissues contiguous to the inner canthus. In one case there was well-marked icterus with yellow coloration of the scleræ and skin. In this case the icterus was associated with degenerative changes in the liver, there being no recognizable obstruction to the bile passages. The icterus had come on quite acutely and without any special clinical manifestations. In the epidemic of 1890 jaundice was present in a considerable number of cases (Medical Record, 1890, xxxvii, 473). Cole made similar observations in the epidemic of influenza amongst the Canadian soldiers. Œdema of the skin was not met with in any of our cases. This point is worthy of comment, inasmuch as some authors have been impressed with the serious damage taking place in the kidney and the resulting incapacity of these organs. 216Although, as we shall point out later, the kidney tissues in these cases showed a decided toxic degeneration, there was no evidence that a glomerular damage of serious degree ever occurred. The urinary excretion, as is pointed out in a report by Dr. Zeedick, varies considerably with the intensity of the disease. It is unusual to find derangement of kidney function to a degree to reflect seriously upon the general bodily state. At least this has been our experience in the present epidemic. Even where subsequently we were able to demonstrate a considerable tubular degeneration in the cortex of the kidney the change in the kidney function was not of sufficient magnitude to lead to a water-retention to be recognized in an anasarca. I wish to distinguish clearly at this point the difference in finding an œdema in certain involved tissue structures in various parts of the body and arising through an inflammatory reaction due to the presence of peculiar focal irritation, as compared with the accumulation of fluid in many and irregular situations as it occurs through retention and faulty excretion by the kidneys. Various organs as we have found—as, for instance, the lung, heart and liver—showed a condition of œdema which was not to be reconciled with an inadequate circulation because of a cardiac or renal incompetency. These œdemas, which we will discuss later, are local and are the result of damaging influences inducted in and upon the tissues where they are found.
In all of our cases we have been struck with the excellent physique of the individuals succumbing to this epidemic. All were youths in the best of health, of good muscular build and strong bony frame-work. Post-mortem rigidity set in fairly rapidly after death. Where this rigidity had “set” for six or more hours it required much force to change the position of the muscles. The voluntary muscles of the thorax and abdomen were always carefully observed, and in a number of instances the muscles of the thigh were also examined. It was not possible routinely to dissect the muscles of the extremities, so that we are unable to give an accurate account of the occurrence of degenerations in these structures. We have, however, observed the reactions taking place in the pectorals, psoas and muscles of 217the abdominal parietes. Changes were observed with greatest frequency in the recti of the abdomen. Degeneration occurred in these muscles in 14 instances, while the same tissues suffered rupture, in part or completely with hemorrhage, in six instances. It was not uncommon to find marked degeneration in the lower segment of the rectus muscle on one side, while degeneration and hemorrhage had occurred in its fellow on the opposite side. In four cases rupture of the entire belly of the muscle had taken place, so that a considerable space had occurred between the broken ends and a large clot of blood filled the intervening space. This degeneration, which was seen only in the voluntary muscles, was quite interesting and in its milder degrees was rather difficult to detect. All gradations of loss of muscle color were seen. In some instances the muscle simply seemed to have lost its meaty lustre, while again in the more severe instances the muscle color had changed from the bright red to an insipid yellow or clay color. The most marked degeneration occurred in the midportions, while the ends of the muscle masses at the points of attachment were less involved. Complete rupture of the rectus always occurred in the lowermost segment, a short distance above the insertion into the pubic bone. At times the distribution of the degeneration within the muscle was quite patchy, and irregular islands of yellow about 2 cm. in diameter were splashed through the muscle masses, which in themselves were paler than normal. Where the muscle degeneration was advanced the tissue was soft and at times even buttery. It resembled the character of the degeneration observed in typhoid fever, although I have no recollection amongst many enteric cases of having seen the degeneration of the muscle occur so acutely. Recklinghausen claimed that these hemorrhages were most unusual in influenza. This is contrary to our findings.
Degenerations of a similar kind as those of the abdominal recti were found in both pectorals. In the chest region, however, the degeneration was less frequent and less severe. We observed it only twice, and in neither instance had the degeneration led to a rupture and hemorrhage of the muscle bundles. Kuskow observed a single case of degeneration and hemorrhage of the pectoral muscles. In the psoas muscle we observed degeneration on two occasions, in one of which the lesion was associated with a partial separation of the muscle fibers and hemorrhages into 218its substance. In one case clinically, but not coming to autopsy, a lesion, which from its character we presume to have been a degeneration, occurred in the sterno-mastoid, being accompanied by hemorrhage and the development of a firm clot the size of a hazel nut. In the subsequent history of this case the lesion passed through an aseptic process of organization with contracture so that the patient has recently been developing a “wryneck.” Kohts in 1890 reported the finding of muscle degeneration and abscesses in the arm. The condition arose as a late complication of influenza.
From our experience at the autopsy table in observing the relative frequency with which muscle degeneration occurs in the severe cases of epidemic influenza, we feel convinced that numerous cases which recover pass undiagnosed of this condition. Furthermore we have evidence, as illustrated in a case observed by Dr. McMeans, wherein a lesion which occurred in the gluteal muscles was followed by a localizing infection at this site that these muscle degenerations and hemorrhages may have serious consequences. There are a number of instances in which post-influenzal complications of the nature of deep-seated abscesses of the extremities, thorax, and abdomen may have their explanation for the localization in a primary muscle damage accompanied by hemorrhage and followed by an infection of variable type. Cole also comments upon the development of abscess in the deep muscles where degeneration had taken place. In illustrating some of our findings to Dr. J. Anderson he immediately recognized such a condition in the pectoral muscles of a patient in which he was unable to arrive at a conclusion of the pathological events which had taken place. It is one of the noteworthy features in this disease that the voluntary muscles of certain regions are apt to suffer severe damage, while the heart and the various unstriped muscular tissues are little if at all affected by a similar process. It would be interesting to know whether the lack of response and the delayed functional recovery on the part of the muscles of the extremities in so many patients who have suffered influenza is the result of the damaging influence of a peculiar intoxication present in this disease. One of the features in influenza is the prostration of the patient, and with it there is definite muscular weakness. We have been prone to lay the responsibility of this state entirely at the door of the nervous 219tissues. Here, however, we are able to offer evidence that quite aside from the lesions arising in the nervous tissue, there is definite muscle damage which, as we shall again discuss when describing the microscopic features, incapacitates even to the point of complete destruction the muscle elements in various fields of the body. Before, however, being able to state that the muscular weakness of the extremities is the result of such damage by toxins it is necessary to obtain more definite information regarding the frequency with which these degenerations occur in the limbs. In our own material we are unable to discuss the matter with adequate figures. We are, however, impressed with the changes observed in the muscles which were available to us. Naturally, too, a certain number of muscle degenerations have escaped our detection because of our unfamiliarity with the mildest grades. In fact, we have already discovered in our microscopic studies that certain cases, which in the macroscopic had escaped us, showed well-marked lesions under the microscope.
| Abdominal Recti | Pectoral | Psoas | |
|---|---|---|---|
| Toxic Degeneration | Hemorrhage Into Rectus | Toxic Degeneration | Toxic Degeneration |
| 745 on 10th day | 745 both on 10th day | 756 on 8th day | 756 on 8th day |
| 749 on 4th | 752 both on 13th | 770 on 11th | 792 on 6th |
| 752 on 13th | 756 both on 8th | ||
| 756 on 8th | 764 both on 9th | ||
| 757 on 6th | 765 both on 9th | ||
| 762 on 10th | 778 both on 23d | ||
| 763 on 11th | |||
| 764 on 9th | Rupture of | ||
| 765 on 9th | Rectus | ||
| 767 on 10th | |||
| 770 on 11th | 745 right on 10th day | ||
| 778 on 23d | 756 both on 8th day | ||
| 783 on 8th | 778 right on 23d day | ||
| 791 on 6th | |||
We have convinced ourselves that the marked hemorrhage taking place in the muscle tissue follows upon a primary degeneration of this tissue and its spontaneous rupture. The amount 220of hemorrhage is in proportion to the degeneration and fracture of the muscle elements. The hemorrhage does not precede the muscular change, nor does it have any antecedent relation to the actual tearing of the muscle fibers.
A much better appreciation of the muscle degeneration was obtained in the microscopic studies of these tissues. The various gradations of tissue change could be followed, which was not possible in the naked-eye examinations. Some points respecting this degeneration were quite noteworthy. Firstly, the process of degeneration in its early stages and advancing through the acute destructive periods was not accompanied by any inflammatory reaction. Evidence of inflammatory exudate was obtained only when the degeneration had proceeded to a degree permitting of rupture with hemorrhage, or in the late stages when the areas of marked muscle dissolution were undergoing repair. We have no evidence to indicate that bacteria were present during the beginning of the degenerative process. Bacteria could not be demonstrated in section. The appearance of the tissue suggested a purely toxic process which was selective in its action, picking out voluntary striped muscle tissue and attacking certain muscle groups in preference to others. It was also interesting to observe in the early stages of the degeneration that individual fibers lying amidst healthy and unchanged muscle elements would show degeneration in many of its stages. This appearance was often unique, particularly when in the early stages of the process the involved fiber would still retain its normal position and shape though markedly altered in its staining and chemical qualities.
The degeneration as observed in these cases showed many of the characters like that of waxy degeneration seen in typhoid fever. Similar appearances to these have also been described in connection with the toxic degenerations which occur in the vicinity of infections by the gas bacillus. In fact, all the stages observed in the one can be seen in the other. They differ, however, only in the degree to which final destruction takes place and in the speed with which the degeneration is accomplished. The character of the degeneration is well studied in sections stained with hematoxylin and eosin, eosin-methylene blue, and best of all in the phosphotungstic acid hematoxylin. By the latter method one is able to follow clearly the grade of degeneration as it effects the muscle striations. On the 221other hand, the peculiar waxy appearance of the early degenerating fibers is best seen in sections stained with eosin or fuchsin, where the striated muscle fibers are found to be changed to a more intensely staining red body of homogeneous character and devoid of all evidence of their original internal architecture. These bland waxy fibers were often of the size and shape like the normal. On the other hand, the fibers are also not uncommonly swollen, stretching the sarcolemma to almost the bursting point. Following this primary bland degeneration the fiber takes on irregular shapes, becoming constricted and collapsed at irregular intervals, so that islands of the waxy contents lie within the sarcolemma, being separated from each other by constricted areas in which the original myoplasm has undergone decomposition and sometimes complete absorption. This irregular destruction of the muscle contents often has a granular stage in which the original muscle substance has become disintegrated. The sarcolemma follows the condition within it, stretching when the fiber is swollen and shrinking, or even becoming collapsed when the inner substance is becoming liquified and absorbed. The sarcolemma does not suffer the degenerative changes of the inner fiber, nor can one observe nuclear changes in this sheath which are significant.
When first studying this process of degeneration it appeared to us that the earliest change was a loss of the transverse striations and the subsequent disappearance of the longitudinal fibrillæ. We have subsequently found that this is incorrect and that the changes observed in the markings of the fibers were not constant. At times the muscle substance would progress through stages of degeneration up to the point of disintegration and dissolution while the transverse striæ were still discernible in the altered fiber. The one constant change that we have observed in the degenerating fibers was the early loss of staining qualities as obtained by the phosphotungstic acid hematoxylin. In such preparations the earliest effect of the intoxication upon the muscle fiber was a change in reaction to this stain. Sometimes within a given fiber small irregular and poorly staining blotches could be observed, while the remaining portion of the fiber was normal in its appearance. Later these poorly staining areas became larger, occupying the entire width of the fiber and being distributed at irregular intervals in its length. Finally the characteristic 222staining quality was entirely lost, although in the poorly colored cell transverse striations were still discernible and a true waxy stage had not yet taken place.
At times the waxy degeneration advanced into the stage of disintegration by an irregular destruction within the fiber. When this occurred the fragments of waxy substance took on curious coiled and grotesque shapes, while a granular destruction was taking place in their periphery. Neither inflammation, œdema nor a vascular reaction could be determined in these tissues of mild or severe change. The reaction as is indicated in the table occurred quite acutely and was not accompanied by fatty products commonly seen in the slower forms of degeneration.
Gradually the debris of the degenerated fibers is absorbed and the sarcolemma shrinks and collapses upon itself. During this stage a reaction occurs in the sarcolemma with nuclear proliferation. At times the last vestiges of the muscle fiber are seen to be surrounded by a crown of nuclei and cells reminding one of the appearance of the degenerating nerve cells in the Gasserian ganglion in hydrophobia. The involved area becomes active in appearance, showing proliferation of fibroblasts and the appearance of occasional lymphocytes and plasma cells. Scar tissue continues to develop in proportion to the amount of damage done. In areas where hemorrhage had taken place the amount of scar tissue is exaggerated, owing to a process of organization which is taking place quite apart from the muscle degeneration. Thus not a few scars scattered through the voluntary striped muscles are the final outcome of this toxic degeneration occurring in epidemic influenza. Some of these lesions may account for the indefinite pains and symptoms of which the patient complains for so many months after his acute illness. I refer particularly to lesions occurring in the psoas and muscles of the back as possible explanations for the partial invaliding of some individuals.
In a certain number of cases of acute influenza the patients complain of severe abdominal pain, in the absence of any localizing symptoms or evidence of intestinal derangement. Such was the case with a number of the above cases coming to autopsy, and the sole evidence we could offer was muscle degeneration with or without massive hemorrhage. The abdominal pains complained of were more of the nature of dull aches with occasional exacerbations and shooting or lancinating “stitches.” Rarely was the 223patient able to define the position of the pain, not being able to state whether it was within the abdomen or in the parietes. Most frequently they claimed it was internal. We have on no occasion demonstrated an intra-abdominal lesion which could account for such pains. None of our cases was of the type of “intestinal influenza.” We are, therefore, led to the conclusion that the muscle degenerations of the various degrees, from the slight with few muscle elements involved to the severe with rupture and hemorrhage, account for a proportion of the clinical symptoms of (muscle) pains and aches as well as weakness. We cannot claim that coughing was a necessary factor in inducing rupture of the abdominal recti. In some of the cases with rupture severe coughing had not been observed during the illness.
The pathological changes found in the nose, pharynx and larynx were of relatively slight importance and most variable in their severity and incidence. The majority of individuals had few clinical manifestations of disease in these parts. Some, however, complained of dryness of the pharynx with slight feeling of fullness. An examination of these parts revealed some congestion, varying from a red injected mucosa to a bluish cyanosis. In the nose the reaction was rarely as acute as is seen in infectious coryza, but even where relatively little change was to be seen in the tissues hemorrhage from the erectile tissue was not uncommon during the acute stages. No particular lesion was to be found associated with nose bleed. There was an unusual absence of excessive secretion from nose and pharynx in the majority of cases. One was also struck with the infrequency with which the larynx was involved. A certain number of individuals complained of hoarseness, and in them injection of the vocal cords with some swelling was found. In many others, however, even where an intense infectious process was present in the lower respiratory tract the larynx was almost without change. It was from the level below the larynx that the acute reaction in the respiratory system was found.
In all of our cases the trachea showed definite inflammatory reaction. Of the 32 cases there were 26 having an acute tracheitis, 5 with an acute mucopurulent inflammation and 1 with a 224reaction in the subacute stage. In the majority of the cases with acute tracheitis there was a thin layer of exudate lying upon the mucosal surface. At times the trachea was filled with a frothy serous fluid, the greater part of which had its origin in the lung. Nevertheless, as we shall point out later, we did obtain microscopical evidence indicating that during the early acute stage of the tracheitis a considerable serous exudate escapes from its mucosa. This serous inflammatory reaction is an important one for all of the mucosal structures upon which the virus of influenza obtains a footing. This we have found true for the trachea, bronchi and alveoli of the lungs. In some cases the exudate was grey and lay in close contact with the injected tissues. At first sight this grey exudate suggested necrosis, but it was readily wiped from the underlying structure. Some leucocytes and cell debris with many bacteria made up the content of this grey exudate.
The macroscopic appearance of the trachea was that of an intensely injected structure which had largely lost its normal lustre. The naked eye could distinguish that anatomical change had occurred in the surface tissue of the trachea and that there was unusual evidence of intensely injected vessels lying in the submucosa. In only one instance was there an appearance of a true necrotic membrane lying upon the surface of this intensely inflamed layer. This apparent membrane was found to consist of a wide patch of desquamated epithelial cells which was lying as a delicate necrotic plate upon the surface. This thin layer was devoid of a meshwork of fibrin threads as usually accompanies a true false membrane of other sources.
The early intense inflammatory reaction of the surface membrane of the trachea was characteristic, and in our experience was never exceeded in intensity by other infections. A desquamation of the lining membrane was also a common finding. Naturally this intense reaction so commonly found in the trachea extended without interruption into the main bronchi and their divisions. The finding of this continuous surface inflammation is good evidence of the mode of spread of the infectious process along these membranes, beginning in the upper portions and by direct continuity involving more and more of the respiratory tubes toward the lung.
225The varying grades in the intensity of the inflammatory reaction upon the inner surface of the trachea was well illustrated in the microscopic sections. Even with the different degrees of the reaction there was a fairly constant character to the inflammation. In this way the response was found to differ from that commonly observed in ordinary infections of the respiratory tract. The first striking feature is the marked response of the vascular channels, both blood and lymphatic. The vessels lying in the submucosa were found intensely engorged so that their walls were stretched to the point of bursting. In fact, not a few vessels were seen whose walls, probably under the stress of intoxication and dilatation, had given way leading to a flooding of the neighboring tissue with their contents. Where such vessels lay close underneath the surface the hemorrhage escaped into the lumen of the trachea. Accompanying this early vascular response there was found a marked serous exudate leading to a stretching of the submucosal tissues by distention of the interstitial spaces. This reaction resembled an acute inflammatory œdema and occupied the area between the mucosa and the inner border of the cartilage rings. Beyond this region no response was found. Thus in the earliest stages, and where the mucosa was still intact, the main reaction was of the nature of an intense serous inflammation with congestion of the blood vessels and frequent interstitial hemorrhages.
Shortly following the development of the serous exudate in the submucosal tissues, the epithelial lining is found to suffer from the reaction. The serous exudate does not remain confined to the interstitial tissues, but is poured out through the mucosa into the trachea. It would appear that the amount of this clear exudate may become greater than can be dealt with by the mucosa, with the result that an accumulation of this serous fluid takes place between this epithelial layer and its basement membrane. We have repeatedly seen considerable stretches of the mucosa lifted from the basement membrane and shed in large plaques into the lumen. These mucosal cells at the time of their desquamation retain fairly well their morphological characters, and do not show evidence of necrosis prior to their removal. Disintegration of these cells naturally occurs while lying in the secretion of the trachea, and a variable cellular mass in stages of disintegration may often be found both in smears and sections. 226When the epithelial cells are lifted in wide plates, a type of bleb develops which is easily broken and then disintegrates.
The desquamation of the lining membrane is a fairly constant occurrence in the cases coming to autopsy. In the majority of those which we have examined the greater portion of the trachea was completely denuded, save for small islands lying in the recesses near the mouths of the mucous ducts. In one case this lesion was accompanied by a process of ulceration, due in all probability to the invasion by other micro-organisms. The denuded tracheal surface usually shows a further inflammatory reaction in which a cellular exudate then makes its appearance. This reaction is mainly one in which lymphocytes and plasma cells infiltrate the spaces previously occupied by the serous fluid. The reaction is limited to the submucosa and does not extend into the tissues beyond the cartilages. We have found only occasional polymorphonuclear leucocytes lying close below the surface. During this period, however, varying grades of degeneration may occupy the upper layers. The basement membrane particularly seems to suffer by losing its characteristic outline and staining qualities. This membrane becomes swollen, softened and indefinite. At times a homogeneous precipitate occurs along its free surface giving rise to an appearance resembling a false membrane. This deposit is, however, distinctively different from the diphtheritic membrane of other infections. It is interesting, however, that where such deposits and degeneration occur in the basement membrane more or less degeneration and necrosis also occur in the connective tissues immediately neighboring to it. These tissues show a peculiar granular destruction and alter their staining qualities. Moreover, and what is more important, under these conditions the dilated blood vessels are found to suffer from the injuries taking place in their neighborhood. We have repeatedly found partially or completely thrombosed capillaries, arterioles and venules in these surface layers. These thromboses took place while the vessel was in its distended state and thus produced a mold of the dilated vessel. This observation is of importance in indicating the severity of the effect of the virus and toxin upon the tissues of the trachea, and it is also of importance to appreciate that this damaging influence is very different from that which we encounter in pneumococcus infections, and we shall point out in our discussion on lung a reaction 227very similar to that which takes place very superficially in the trachea may also occur in the alveolar walls of the lung.
Having referred to the intensity of the responses of the blood vascular system, we must also indicate the part played by the lymphatics. Simultaneously with the reactions taking place about the blood vessels of the trachea we observed similar responses in the lymphatic channels. At first these dilated structures contained only fluid. Later the migration of the lymphocytes took place along these routes, and rarely micro-organisms could be demonstrated either free or within an occasional leucocyte. The sharp response of the lymphatics during the serous inflammation is noteworthy, inasmuch as we have found that the lymph glands lying about the respiratory tubes and lungs were early in their response to the irritating virus.
Bacteria were demonstrated in the secretions lying upon the surface of the trachea. In those specimens in which the mucous membrane was still intact we attempted to demonstrate the clustering of the micro-organisms about the ciliated cells as was described by Mallory in whooping cough. Although the organisms, and particularly small Gram negative bacilli, could be demonstrated lying about these cells no characteristic arrangement was found. Furthermore where the mucosa was still attached to its basement membrane we were never able to demonstrate organisms below the surface of the epithelial layer. In several cases where the mucosa was lifted in bleb-like structures a number of organisms were detected below the epithelial layer and in contact with the basement membrane of the submucosa. We have rarely demonstrated bacteria in the interstitial spaces of the submucosa, even where large numbers of organisms were lying upon the inner denuded surface.
The distinction which was made by the gross examination of the trachea between the acute tracheitis with serous exudate, subacute tracheitis and mucopurulent tracheitis was not so readily distinguished in the microscopic sections. In the gross the character of the exudate lying upon the surface was the main guide suggesting the nature and intensity of the inflammatory reaction. In the microscopic sections this exudate was largely wanting, or was not sufficiently characteristic to confirm the gross findings. On the other hand, differences in the nature of the injury were to be found mainly in the reaction of the submucosa. 228As we have indicated above, the early inflammatory reaction of the trachea is mainly evident in an intense congestion accompanied by an inflammatory œdema of the submucosal tissues, hemorrhage sometimes accompanying this response. In the later stages of the reaction a cellular deposit takes the place of the inflammatory œdema and usually consists of lymphocytes and plasma cells. It is only in those cases where the intensity of the irritant continues to act over a longer period of time that a superficial necrosis with leucocytic infiltration makes its appearance. The epithelial layer of the trachea is desquamated early in the acute reaction, and hence a denudation of the surface is to be found in all stages of the acute lesion. The mucous glands have not been found to show any particular involvement in the inflammatory process, and in the majority of instances they were found to have escaped entirely the damaging effect of the virus. Their response in an over-secretion of mucus may be the outcome of a stimulation by toxins or soluble irritants; but on the other hand, may also probably be a reflex response to the injury of the mucosal surface, which being bared of its covering is highly sensitive. The increased discharge of mucus from the deep glands may well be a protective response to such injury.
The lesions in the bronchi were in every way comparable to those in the trachea. The main bronchial tubes differ in no material way from the structure of the trachea, and the extension of the inflammatory process from above downwards leads to a reaction in their walls similar to what has been above described. As we follow the subdivisions of the bronchi we gradually lose some of the characteristics contained in the larger tubes. The mucous glands gradually become fewer and eventually disappear. The cartilage rings become smaller and no longer completely encircle the bronchus, and with the further diminution in the size of these structures disappear entirely. A relatively greater amount of muscle tissues takes the place of the cartilage rings. This change in the anatomy of these structures has a certain influence in modifying the character and distribution of the inflammation.
| Acute bronchitis and tracheitis | 26 |
| Subacute bronchitis and tracheitis | 1 |
| Acute mucopurulent tracheitis | 5 |
| Acute purulent bronchitis | 2 |
| Acute mucopurulent bronchitis | 7 |
| Ulcers of trachea | 1 |
| Acute bronchiectasis | 1 |
Thus whereas we have indicated that the inflammation of the trachea and of the large bronchi is of a peculiar kind and remains confined to the tissue lying inwardly from the cartilage rings, we found that where these structures give place to a loose muscle tissue with a more extensive lymphatic drainage the zone of inflammation is not so limited, but proceeds outwardly into the neighboring tissues. We often use the terms bronchus and bronchioles very freely without clearly distinguishing any real difference. In a study of the inflammatory reactions of the respiratory tubes in epidemic influenza (as well as in other infections) it is best to accept the anatomical definition that the bronchioles not only represent the minute tubules passing to the alveoli, but also those small air passages which devoid of cartilage, mucous glands and heavy connective tissue stroma are in close relation to the parenchymatous tissues of the lung. These soft muscular tubes possess blood and lymphatic vessels which freely communicate with the blood vessels of the lung alveoli. It is in association with these distant tubes that concomitant inflammatory reactions are found in the alveoli and in the bronchial tubes.
Desquamation of the epithelial lining is to be found in every size of bronchial tube where the infection has caused an acute inflammatory reaction. Throughout the pulmonary tissues where the lung is found in some stage of influenzal pneumonia the bronchial tubes, both large and small, are either entirely denuded of the mucosa or show only remnants attached to irregular areas. In the smaller passages dense clusters of desquamated cells are sometimes found within the lumen and indicate the accumulation of a desquamated epithelium obtained from portions 230of the tubular system in deeper portions of the lung. In the early stages, this desquamation is accompanied by a serous exudate and a certain amount of hemorrhage. Later we find masses of leucocytes which fill up the tube, and though appearing to arise from these structures have in fact largely come from the lung alveoli. Like the larger bronchial tubes the distant ramifications show relatively little cellular reaction in their walls in the early period. It is only when the neighboring lung tissues are extensively implicated in a purulent inflammation that we find a similar exudate occupying the tissues of the bronchioles. Polymorphonuclear leucocytes are equally distributed through the region of the basement membrane, submucosa, muscular coat and outer connective tissue layer. Some grades of degeneration may occupy the inner surface wherein the basement membrane first shows a homogeneous swelling and later a granular degeneration. In a few instances where the small bronchioles have communicated with regions with abscess formation an ulcerating surface occupied the inner boundary.
The evidence in the smaller bronchial tubes, both those with cartilage and those without, that an inflammatory reaction of some degree may occupy the muscular coat is of importance. We have found reactions of inflammation in the muscular coat varying from a mild œdema and cellular exudate to an intense polymorphonuclear leucocyte involvement. In the latter the muscle fibers showed evidence of degenerative change and suggested an acute weakening of this layer. We lay particular importance upon this finding as indicating a causative factor in the development of acute bronchiectasis as was met with in one of our cases. In this particular instance the bronchi passing to the lower lobes of each lung were unusually dilated and could be followed, in the gross, to their distant extremities. The dilatation was more or less uniform and no large pouches or cavities had developed. A mucopurulent exudate was found occupying these dilated tubes. Others have likewise observed the development of acute bronchiectasis under these conditions. Goodpasture and Burnett found that as early as the second to the fourth day one of the striking appearances was the gaping dilated condition of the infundibula, and the tendency to dilatation of the air passages was manifested in a bronchiectasis in 4 out of 30 cases. Boggs as well as Lord have reported upon chronic bronchiectasis 231associated with the B. influenzæ and there appeared to be evidence that a certain percentage of cases recovering from influenza permanently develop irregular dilatations of the bronchial tubes.
The recognition of inflamed bronchi or bronchioles was never difficult. In the gross the presence of the abnormal exudate and the intense injection of the mucosal surfaces always attracted attention to the inflammatory state. Furthermore where the mucosa had been desquamated the surface of these tubes was found to be quite granular if closely observed. With moderate magnification by means of a hand lens the granular appearance was shown to be due to the engorged vessels. Much easier, of course, was the recognition of the inflammatory reaction by the microscope. The importance, however, of the bronchitis and bronchiolitis lay in the amount of involvement which had occurred in the neighboring tissues. As we, however, indicated elsewhere, we do not doubt that many of the cases of three-day fever have a state of tracheitis and bronchitis equal to that which we have observed in many of our cases. Whether the inflammatory reaction progressed beyond the firmer bronchial tubes to the softer and more vascular structures would be difficult to say where our evidence rests upon the clinical findings alone. It is, however, probable that a certain number of the severe and sharp attacks of influenza not only cause a tracheitis and bronchitis of the larger tubes, but also extend more deeply into the smaller ramifications tending to simulate the reactions which we have above described. When we ask ourselves, however, how distantly must the infection invade the smaller bronchial tubes before involving the parenchymatous tissues of the lung we are at a loss to enunciate a general rule. It is more than probable that there are modifying influences which determine whether the bronchitis with a certain amount of its bronchiolitis will progress to a true pneumonia or will remain localized to these tubular systems. I can well appreciate that in the event that a bronchitis has an inflammatory reaction accompanied by much serous exudate there is great danger of flooding the neighboring alveoli with this inflammatory fluid and of carrying the large numbers of the micro-organisms within the tubes to the air sacs of the lung. Under these conditions the virus has an unusual ability to develop the disease from one localized in the air passages to that of a true pneumonia. It is probable that the peculiar early acute reaction which is present in the air passages in epidemic influenza is responsible for the extensive involvement of the lung in the severe and dangerous form of inflammation.
| Autopsy Number. | Age. | RIGHT LUNG. | Type of Lesion. | LEFT LUNG. | Type of Lesion. | Pleura. | Abscess of Lung. | Day of Disease. | ||||||
|---|---|---|---|---|---|---|---|---|---|---|---|---|---|---|
| Weight of Lung. | Involvement of Lobes. | Weight of Lung. | Involvement of Lobes. | |||||||||||
| Upper. | Middle. | Lower. | Upper. | Lower. | Right. | Left. | ||||||||
| 741 | 18 | 720 G. | + | + | ++ | Lobar S. & H. | 850 G. | + | ++ | Lobar S. & H. | S.F. | S.F. | 3d. | |
| 743 | 20 | 825 G. | + | + | + | Lobular S. & H. | 1375 G. | +++ | +++ | Lobar S. & H. Early P. | F. | S.F. | 5th | |
| 744 | 30 | 900 G. | + | – | ++ | Lobar and Lobular S. & H. | 900 G. | ++ | ++ | Lobar S. & H. | S.F. | S.F. | 7th | |
| 745 | 18 | 575 G. | + | – | ++ | Lobular S. & H. | 480 G. | – | ++ | B.P. with Necrosis. | S.F. | – | + | 10th |
| 746 | 21 | 900 G. | + | ++ | +++ | Lobar S. & H. | 650 G. | + | +++ | Lobar S. & H. | – | – | 5th | |
| 747 | 27 | 1510 G. | +++ | ++ | +++ | Lobar S. & H. | 1000 G. | +++ | +++ | Lobar S. & H. | S.F. | – | 6th | |
| 748 | 22 | 900 G. | + | + | +++ | Lobar and Lobular S. & H. | 1250 G. | + | +++ | Lobar S. & H. and B.P. | – | – | 4th | |
| 749 | 23 | 1480 G. | ++ | ++ | +++ | Lobar S. & H. Slight Purulent. | 1250 G. | ++ | +++ | Lobar S. & H. Slight P. | F. | – | 4th | |
| 750 | 24 | 1200 G. | +++ | + | +++ | Lobar and Lobular. Early Purulent. | 825 G. | + | +++ | Lobar and Lobular. Early P. | F. | F. | 9th | |
| 751 | 22 | 1250 G. | – | – | +++ | Lobar Purulent. | 610 G. | ± | ± | B.P. slight. | S.F. | – | 7th | |
| 752 | 27 | 1125 G. | +++ | + | +++ | Lobar S. & H. | 775 G. | ± | +++ | B.P. and Lobar P. | F. | S.F. | 13th | |
| 756 | 22 | 1000 G. | ++ | ++ | ++ | Lobar S. & H. Slight Purulent. | 820 G. | +++ | ++ | Lobar and Lobular S. & H. | F. | S.F. | 8th | |
| 757 | 21 | 815 G. | ++ | – | ++ | Lobular S. & H. | 1075 G. | +++ | +++ | Lobar S. & H. and Purulent. | F. | F. | 6th | |
| 758 | 22 | 1150 G. | +++ | + | + | Lobar Purulent | 1400 G. | +++ | +++ | Lobar Purulent. | F. | F. | 14th | |
| 761 | 21 | 1250 G. | +++ | ++ | +++ | Lobar S. & H. and Lobular Purulent. | 550 G. | + | + | Lobular S. & H. | – | – | 7th | |
| 762 | 21 | 680 G. | + | + | + | Lobular S. & H. | 750 G. | + | +++ | Lobar S. & H. and Lobular P. | S.F. | S.F. | 10th | |
| 763 | 22 | 920 G. | + | – | + | B. P. and Lobar S. & H. | 540 G. | – | + | B.P. | F.P. | – | 11th | |
| 764 | 23 | 725 G. | – | + | + | Lobular S. & H. | 550 G. | + | + | B.P. | – | – | 9th | |
| 765 | 25 | 1100 G. | ++ | – | ++ | Lobar S. & H. | 1400 G. | – | +++ | Lobar S. & H. and Early P. | – | – | 9th | |
| 767 | 25 | 1075 G. | + | +++ | +++ | Lobar and Lobular S. & H. and Lobular Purulent. | 850 G. | – | ++ | Lobar S. & H. Lobular P. | – | F. | 10th | |
| 770 | 21 | 900 G. | ++ | ++ | ++ | Lobar S. & H. and Lobular Purulent. | 750 G. | ++ | ++ | Lobar S. & H. Lobular P. | S.F. | F. | + | 11th |
| 773 | 22 | 2050 G. | +++ | ++ | +++ | Lobar S. & H. and Purulent. | 780 G. | – | +++ | Lobar S. & H. Lobular P. | F. | F. | 20th recurrence | |
| 778 | 22 | 1100 G. | ++ | + | ++ | Interstitial Pneumonia. | 975 G. | ++ | ++ | Interstitial Pneumonia. | S.F. | S.F. | 23d | |
| 781 | 21 | 1000 G. | +++ | ++ | +++ | Lobar S. & H. | 540 G. | + | +++ | Lobar S. & H. Purulent. | S.F. | S.F. | + | 5th |
| 782 | 18 | 650 G. | + | – | ++ | Lobular S. & H. Slight Purulent. | 875 G. | ++ | +++ | Lobar S. & H. and Early P. | F. | F. | 8th | |
| 783 | 21 | 1250 G. | +++ | +++ | +++ | Lobar S. & H. | 580 G. | + | ++ | Lobar S. & H. | S.F. | S.F. | 8th | |
| 784 | 21 | 1590 G. | +++ | +++ | +++ | Lobar Purulent. | 1400 G. | +++ | +++ | Lobar S. & H. and Purulent. | S.F. | S.F. | 8th | |
| 786 | 20 | 1100 G. | ++ | +++ | +++ | Lobar S. & H. Slight Lobular Purulent. | 700 G. | – | ++ | Lobar S. & H. and Early P. | S.F. | – | 4th | |
| 787 | 21 | 750 G. | ++ | – | ++ | Lobular S. & H. | 1125 G. | +++ | +++ | Lobar S. & H. | S.F. | S.F. | 8th | |
| 791 | 21 | 775 G. | + | ++ | ++ | Lobular S. & H. and Purulent. | 1050 G. | ++ | +++ | Lobar S. & H. and Slight P. | F. | S.F. | 6th | |
| 792 | 21 | 1050 G. | + | + | +++ | Lobar and Lobular S. & H. | 950 G. | + | ++ | Lobar and Lobular S. & H. | S.F. | S.F. | 6th | |
| 793 | 18 | 500 G. | – | – | + | Slight Lobular S. & H. | 435 G. | – | + | Slight Lobular Purulent. | – | F. | Strep. Bacteriemia. | 10th |
S—Serous. H—Hemorrhagic. P—Purulent. B.P.—Broncho-pneumonia. S.F.—Serofibrinous. F.—Fibrinous. F.P.—Fibrinopurulent.
234It was very evident that the smaller bronchi and bronchioles were much more readily involved in a severe inflammatory reaction than the larger tubes. A purulent inflammation was not uncommonly found in the bronchioles of the lung when a pneumonic state with leucocytic infiltration was present. Even where such purulent infiltration of the walls of the bronchioles was readily demonstrable the trachea and main bronchi were devoid of this intense reaction. These purulent inflammations were not uniformly distributed in the bronchioles of the lung, but only occurred in those regions where the parenchymatous tissues were in themselves involved in a purulent reaction. It was difficult to find the evidence whether the purulent bronchitis preceded or followed the presence of a purulent pneumonia. The intimacy of the lung tissues with those of the small bronchioles makes it impossible for one or other of these structures to escape when one of them is implicated in a purulent reaction. It is equally important to appreciate that to a considerable extent the lung tissue surrounding the small bronchioles becomes involved by a direct radial extension through the walls of the thin respiratory tubes. Such extension laterally is assisted by the free lymphatic communication lying about the bronchioles and stretching into the lung parenchyma. Purulent processes of the small air tubes always showed a similar reaction in the interstitial tissues of the neighboring air sacs.
Our material did not permit of following the bronchial reactions to their conclusion. In some instances we have found that where abscesses developed within the lung the contiguous bronchi and bronchioles either became eroded or suffered intense suppurative inflammatory lesions on their inner surface. The manner in which repair of the more common inflammatory processes of the bronchi is accomplished could not be demonstrated in the cases dying during the acute stage. In one case an organizing bronchitis was associated with an organizing lobular pneumonia. In this instance the connective tissues were proliferating freely from the inner wall of the bronchi, there being no evidence of a basement membrane at the point where the connective tissue was growing. The development of the connective tissue appeared to 235be spontaneous and was not taking place within an unresolved fibrinous exudate. In as much as the fibrosing process was largely scattered through all of the lobes, the numerical involvement of the respiratory tubes was quite great. In this instance the amount of obstruction which was imposed upon the respiratory tissues by the fibrosing pneumonia and bronchitis was sufficient to cause considerable distress and dyspnœa during the last few days of the patient’s life. The amount of dyspnœa was out of proportion to the clinical manifestations of pulmonary involvement, and from a clinical point of view it was difficult to arrive at a conclusion of the nature of the lung lesion.
Undoubtedly during the subsidence of the inflammatory process within the bronchi the gradual restitution of the tissues with little or no fibrosis is accompanied by a reproduction of the lining membrane arising from the epithelial remnants in the small mucous crypts. In a few cases lately coming to autopsy where the patients had suffered an influenza five or six weeks previously, the mucosa of the trachea and bronchi had assumed its normal appearance and was fully clothed by a normal epithelial covering.
We have just discussed the importance of the inflammation of the trachea and bronchi in the cases of influenza. It is our belief that every case of influenza has some tracheitis, and a great many have both tracheitis and bronchitis. This is true in the absence of localizing signs and symptoms, as was evident even in these cases in which the simple influenza passed into its more severe type with its pulmonary lesions. In many of these instances clinical evidences of an inflammatory reaction in the respiratory tubes were wanting, while the reactions observed at autopsy were often astounding.
Just as we feel that simple influenza and inflammation of the respiratory tubes go hand in hand, or better that these respiratory localizations are the all-important ones in every case of simple influenza, so, too, we are of the belief that the pulmonary lesions bear the same relation to all cases of severe and fatal epidemic influenza. We hold that no case comes to his death through acute epidemic influenza without having a lesion in the lung. The pulmonary condition, therefore, is of first importance 236and its analysis is imperative for a proper understanding of this disease. There has been divided opinion as to the part played by the pulmonary lesion in epidemic influenza, some holding that it is to be looked upon as a part of the disease and others that it must be viewed as a complicating lesion. Complications of various kinds are very common, and there are a number of conditions arising in the lung (abscess, gangrene, necrosis) which must be viewed as complications. There is, however, a type of pneumonia, and here I use the term in its broad sense, which is not in truth a complication but merely a wider extent of involvement of the respiratory tract by the same virus which is always present to cause lesions in the respiratory tubes. The reaction within the lungs is distinctive and differs from the pneumonias which are met with under other conditions and with various bacterial agencies. Nor are our findings in this matter unique for this epidemic. They have been described and discussed in the past. True it is that, like in the epidemic which has just passed us, the incidence of clinical and pathological pneumonia varied quite widely in different communities, so, too, the reports of past epidemics do not give a uniform description of a pulmonary lesion. Where, however, the analysis has been made during the four weeks’ period of the acute epidemic and where the descriptions have been recorded by painstaking observers, the similarity with our present findings is very striking. I would refer in particular to one report made in 1893 in Petrograd by Kuskow. His report deals with 40 carefully studied cases in which records both macroscopic and microscopic were accurately made.
One of the great difficulties in placing an accurate interpretation upon the pulmonary findings lies in the fact that true pneumonia as seen in epidemic influenza in man has not been reproduced in animals. Furthermore, as the majority of the fatal human cases of epidemic influenza with their associated pneumonias present a mixed infection of the lung tissues, it is difficult, if not impossible, to indicate the lesions which have resulted through the activity of one of these as against those induced by the other bacteria present. In our own carefully studied cases wherein bacteriological cultures were taken from every lung there was not a single instance in which the influenza bacillus was present in pure culture. This is more fully commented upon 237in the studies by Dr. Holman, but the point we wish to make here is the difficulty in arriving at a conclusion in our material as to the actual effects induced by any one type of organism. As it is fully discussed by Dr. Holman we are convinced of the importance of the influenza bacillus in this epidemic. We also appreciate that pneumonia lesions in animals have been induced by a variety of materials gained from influenza patients, but yet in view of the abnormal manner of producing such lesions these are hardly comparable to those in man. We may well expect severe œdema, inflammation and hemorrhage, if in guinea pigs, rabbits and monkeys we introduce by intra-tracheal insufflation large quantities of fluid suspensions of bacteria. And thus we find positive results obtained by the use of a filtrable virus, streptococci, influenza bacilli and other organisms. The lung is a sensitive tissue which quite readily responds to a variety of irritants. In many respects some of these lesions simulate those in influenza, but still we are far from the conclusion that the disease, influenza, with all its manifestations has been actually reproduced.
The pathology of the pulmonary lesions in acute epidemic influenza is so distinctive that except for the late purulent stage which may resemble types of reinfected and unresolved pneumonia the condition cannot be confused with the stages of frank lobar pneumonia. We appreciate that this is a very positive statement, and that opposition will be taken by those who resting their opinion upon individual factors may claim that a clear distinction from other forms of pneumonia is not available. We, however, base our opinion not upon a single feature, but upon the combined pathological complex observed in many individual cases. These features are mainly those seen in the type of the lesion, the character of the distribution, extent of involvement and the multiple stages so commonly present at one time in different portions of the lung. The type lesion that has become so well known in pneumococcus lobar pneumonia has its distinctive stages which for teaching purposes are divided into the stage of (1) congestion, (2) red hepatization, (3) gray hepatization and (4) resolution. In dealing with lobar pneumonia from the standpoint of illustrating these stages the majority of teachers annually confess their inability to present for the student’s study the stage of congestion. The student is impressed that 238the congestive stage of lobar pneumonia is very transient and rapidly passes into the stage of red hepatization. Patients do not die with pneumococcus pneumonia in the stage of congestion. And this is also largely true of the stage of red hepatization, which is but rarely seen at the autopsy table. This community (Pittsburgh) gives its large quota to the mortality statistics of pneumococcus pneumonia, but it is most unusual to meet with a specimen of red hepatization except for the borders of the advancing gray area. And, furthermore, red hepatization even when found in the unusual cases shows remarkably little of this character when seen under the microscope. True it is that a certain number of red blood cells will be found in the alveoli and a certain degree of congestion will occupy the alveolar walls, but its extent is far less than what we may have hoped to demonstrate to others. So that broadly speaking the intensely congested lung with or without red hepatization is unusual in our frank lobar pneumonia. This was quite the reverse in our cases of acute epidemic influenza-pneumonia. Furthermore lobar pneumonia in the great majority of instances illustrates a distribution distinctive for the name. Massive lobar, or pneumococcus pneumonia is found to occupy one or more lobes or parts of lobes. The involved lobe is fairly uniform in the stage of the inflammatory process. If it is in the early gray stage, this will be seen with equal intensity in the different areas of the lobe. Patches of pneumonia in different stages within the same lobe are not to be found, while this finding is not uncommon in the pneumonias of acute epidemic influenza. And lastly, the frequency with which an inflammatory œdema occupied the lungs in the cases of influenza was in quite striking contrast with the dry fibrinous lesion of common pneumonia. This wet state of the lung was but a stage in the inflammatory process varying in its extent in the different periods, but nevertheless inducing a character in the early pulmonary lesions which was quite foreign to our usual finding. This wet state also assisted in modifying the subsequent picture so that when the lung assumed its gray appearance it was rather of a slimy character than of the firm dry nature. In this late gray stage the slimy lung somewhat resembled the appearance of unresolved pneumonia where this condition had been brought about by a new infection upon the original cause of the pneumonia.
239It is incorrect in influenza pneumonia to speak of the lesions as lobar pneumonia or broncho-pneumonia if by these terms we have in mind the pathological characters observed in the pneumococcic pneumonia with its lobar or bronchial distribution. Influenza-pneumonia appeared with both lobar and lobular characteristics. Nearly every case had both types of lesions present, but the nature of the inflammatory process is so decidedly different from that of the ordinary endemic pneumonia that a confusion in the interpretation is likely to arise and in fact has already raised a considerable polemic. Influenza-pneumonia is commonly lobar, lobular or bronchial in distribution. It is, however, not of the characters that are associated with the lesions designated under these terms. When, therefore, we here use the word “lobar” we mean lobar in distribution but not lobar in type. As will be seen from our table, it was usual to have multiple lobes involved. But the lesions, not only in the different lobes varied in their character and distribution, but even within the same lobe a variety of types was present.
| Day of Pneumonia on Which Death Occurred | No. of Cases |
|---|---|
| Second | 2 |
| Third | 4 |
| Fourth | 7 |
| Fifth | 6 |
| Sixth | 7 |
| Seventh | 3 |
| Eighth | 1 |
| Tenth | 1 |
| Twentieth | 1 |
To a certain degree we were able to analyze the types of the lesions as they occurred in the different stages and progress of the pulmonary inflammation. Briefly, these were as follows: the earliest stage of congestion following rapidly upon the infection from the bronchi was followed by (1) inflammatory œdema, (2) hemorrhage, (3) cellular exudate (a. mononuclear cells, b. leucocytes, c. interstitial infiltration) and (4) resolution or organization, abscess, infarct and gangrene. The majority of our cases 240died during the stages of congestion, hemorrhage or early purulent infiltration. In the early stages the amount of fibrin was small or entirely absent, later, with the appearance of leucocytes, some fibrin was present.
For the estimation of the time elapsing between the onset of the pneumonia and death we are dependent upon the clinician. This is often quite difficult to do, in as much as with a primary respiratory disease, such as epidemic influenza represents, it is very difficult to determine the time when there is a transition from the inflammatory process of the upper respiratory tubes to that of the pulmonary tissue. In many of the cases where from the onset there was intense prostration and every evidence of marked intoxication the clinical manifestations of localized processes taking place in the respiratory system were very much in the background and often of insidious progress. In four of our cases it appeared as if the pulmonary manifestations had made their appearance with the first sudden and severe onset of the influenza. On the other hand, also, the clinical signs and symptoms of lung involvement were different from those of frank lobar pneumonia. We would, from our experience at the autopsy table, say that where in the cases of epidemic pneumonia there are present the signs of pulmonary consolidation like those of true lobar pneumonia, that there has been an antecedent period of a pulmonary lesion which passed unrecognized by the clinician. To more clearly state the case, whereas in lobar pneumonia the stage of congestion preceding the stage of red hepatization gives rise to no signs whereby the clinician can indicate the time of its onset or determine the time when it has passed into the succeeding stage, and moreover, the stage of congestion is of short duration to be measured in a period of a few hours, this stage in epidemic influenza though equally indefinite in its clinical manifestations is much prolonged, lasting not only a period of hours but even a period of several days. It is this pulmonary state which is difficult or even impossible to recognize in the living. All gradations of it occur and the clinician can only broadly suggest from all the evidence at hand, the period when inflammation with definite exudate began in the lung. In as much as the total length of illness of a number of cases was only three, four and five days, whereas there was nothing at the onset to suggest pulmonary involvement, we can estimate approximately, 241at least, the duration of the lung condition. This makes it possible to give a relative estimate of the character of the lesions present at different periods of time. The outstanding finding, as we will discuss again, was that a distinct and peculiar pulmonary reaction was primarily imposed upon the lung, which made its appearance at periods different from those of frank lobar pneumonia.
We were repeatedly surprised at finding death to have occurred during the stage of acute congestion with some hemorrhage and inflammatory œdema of lung and in the absence of any sign of grey hepatization or purulent infiltration. In many of these cases the involved areas of lung though heavy and œdematous, were still partly air-containing and the amount of lung involvement was insufficient, on the basis of mechanical interference, in accounting for the severity of the clinical symptoms and the fatal outcome. This must have impressed everyone dealing with the autopsies during the acute epidemic. It immediately suggests that in some cases at least the pulmonary lesion, in as far as incapacitating the external respiratory system, was not the sole or even the important cause of death, but that a condition of intoxication, borne out by the evidence of damage in muscles, blood and kidney is a large factor of danger in this disease.
We shall briefly describe the important pulmonary findings as we have met with them in the successive stages of influenza-pneumonia. This, we hope, will make clear the interpretation of the pathology of the lung lesion of the epidemic as it came under our observation.
The earliest pulmonary lesion which we encountered was one of congestion, inflammatory œdema and hemorrhage. These three conditions were usually present at the same time and were found in the height of intensity in all of the cases dying within the first four days of illness. During this early period these manifestations of inflammation were not accompanied by definite red or grey hepatization as might ordinarily be expected. The lesions varied greatly in their intensity, the œdema always being very prominent, while the hemorrhage varied from a diffuse infiltration of the involved lobe or added to this, was localized in massive collections four or five cm. in diameter and commonly occupying the central portions of the lobes. We have seen several hemorrhages lying in close proximity to each other 242with their borders coalescing and leading to a larger central involvement. In the regions where the hemorrhage and inflammatory œdema were diffuse, air was still present within the lung tissue, sometimes to an extent permitting the lung tissue to float on water but more often in quantity sufficient only to suspend the tissue at various depths. On pressure the fine air bubbles were recognized amidst the blood-stained fluid. Acute compensatory emphysema often occupied the anterior borders of the lobes or formed interstitial blebs beneath the pleura. The quantity of fluid, inflammatory œdema and hemorrhage, contained within these bulky lobes was often very surprising. A lobe when compressed would leak fluid with the ease that it could be obtained from a sponge. Out of the lower lobe on one occasion we pressed 700 c.c. of limpid blood-stained exudate. The acute emphysema which may make its appearance suddenly, is
| Degree of Involvement | + | ++ | +++ | Total |
|---|---|---|---|---|
| Left upper lobe | 10 | 6 | 7 | 23 |
| Left lower lobe | 4 | 10 | 17 | 31 |
| Right upper lobe | 12 | 8 | 9 | 29 |
| Right middle lobe | 10 | 9 | 4 | 23 |
| Right lower lobe | 5 | 9 | 18 | 3 |
| All lobes were simultaneously involved in some grade of pneumonia in 18 cases—56 per cent. | ||||
at times quite remarkable. It may appear very early in disease. We have not met with a single case where the emphysema of the lung led to a rupture of the air sacs and an interstitial infiltration of air through lung, mediastinum, neck and subcutaneous tissues. Some very remarkable cases are reported by different authors where this emphysema was of astounding grade leading to a crepitating infiltration throughout the mediastinum, neck and the subcutaneous tissues over the thorax and abdomen as low as the pubis. The milder grade of emphysema consisted mainly of an abnormal expansion of the air sacs which were not infiltrated by exudate and which probably had some effect in preventing the diffusion of the inflammatory fluid from entering 243certain regions. These emphysematous areas could be readily recognized by the naked eye along the anterior borders of the lung as well as between the involved pneumonic patches within the lung.
These lungs, involved in this early serous and hemorrhagic exudate varied considerably in their appearance according to the regional and quantitative involvement. As is seen from Table viii, the lower lobes were more commonly occupied by massive exudate than the upper, and the involvement of multiple lobes was the usual. Still more remarkable is the fact that all lobes were simultaneously involved in some grade of reaction (pneumonia) in 56 per cent. of cases. In complicated influenza-pneumonia Goodpasture and Burnett found the inflammatory reaction in both lungs and involving to a greater or less degree the lobes on each side. Most commonly this involvement consisted of a lobar distribution in one or two lobes with a lobular or patchy disposition of exudate in one or more of the remaining lobes. Where the distribution was lobar the involved lobe was distended to its fullest and the pleura tightly stretched over the lung tissue which, heavy with fluid, was not solid but flabby. The lung could be moulded under the finger and could be compressed into various shapes. At first sight this flabby, heavy lung tissue suggested the appearance of the waterlogged lung which one encounters in renal disease or failing circulation. A closer analysis, and particularly when the lung was sliced, showed an entirely different character.
Where the inflammatory œdema was accompanied by much focal hemorrhage the distribution was nodular and suggested the appearance of the hemorrhagic lung of plague pneumonia. It was this appearance which led to the suggestion that the pandemic was not one of influenza but possibly of an infection related to the eastern plague. The nodular masses of hemorrhage at times occupied areas varying from the size of a walnut to that of a golf ball and were localized amidst a relatively mildly involved lung tissue making a sharp contrast between the involved and relatively normal tissue. With the removal of the lung from the body and the partial collapse of the aerated tissues these nodules became still more prominent. The greater the amount of hemorrhage within these areas the more solid became the occupied tissue. Such sporadic distribution of hemorrhagic 244lesions occurred in the two most intense and rapidly fatal cases. Both of these individuals died within 48 hours of the time of onset of the lung conditions. In these two cases we do not believe that the pulmonary lesions had been prolonged over a time even as long as 36 hours but with the difficulty of estimating the onset of the lung involvement we are giving a liberal estimate of this time.
Besides meeting with the stages of congestion, œdema and hemorrhage during the earliest days of the pulmonary lesions we have found that they are to be encountered virtually through all the stages of the fatal cases either as remnants of the original reactions which had not been entirely obliterated by the succeeding purulent process or as was so commonly found, new reactions occurred in other regions of the lung so that, in the same individual, inflammatory reactions of different stages of development could be defined. I do not recollect a single autopsy of a case dying during the acute period which did not show evidence of some areas in the stages of this early acute reaction. Naturally where resolution is well advanced within the lung all trace of inflammatory exudate of various kinds is removed and where such individuals with their resolved pneumonia are brought to death through succeeding complications the above finding will not be borne out. We limit, however, our statement to the findings in the acute deaths.
We have previously intimated that the œdema present in the early stages of the reaction is to be looked upon as an inflammatory œdema or better as a true serous exudate, and must not be confused with the transudation of fluids in non-inflammatory conditions. We have on several occasions collected the fluid expressed from the soggy lungs and have made some determinations of their chemical qualities. The difficulty immediately arises in separating the materials arising from cellular degeneration from the natural constituents of the serous exudate. We were unable to obtain specimens in which laked blood was not present, so that even though the cellular constituents and fibrin were removed, decomposition products could not be separated. The analyses, however, gave a differentiation from the transudate seen in renal and cardiac conditions.
During the period of the accumulation of this inflammatory fluid the clinician could often recognize a profuse watery exudate 245within the lung or even observed an abundant serous discharge arising in bronchi and trachea. At times the quantity of expectoration was great. Frothy serous fluid accumulated in the air passages and would periodically be expectorated. At other times the hemorrhage was of quite serious extent and the patient would suddenly bring up several mouthfuls or more of bright blood. This pulmonary hemorrhage was without manifestations different from the acute illness with cyanosis of other individuals. The two most acute cases, which we have referred to above, were of this kind, both of them having marked hæmoptysis with the loss of upwards of a pint of blood at a time.
The early pulmonary lesion which we have described, we have called acute serous pneumonia and acute hemorrhagic pneumonia (or we might speak of it as an acute sero-hemorrhagic pneumonia) and is one which is distinctive for epidemic influenza. The cut surface of a lobe involved in this reaction is wet, glassy, meaty and oozes much blood-stained fluid. It contains no visible fibrin and presents no characters of a “cellular consolidation.” As a serous inflammation of the lung it is unique. The further remarkable character to the pulmonary lesion is that in advancing through the other stages, it never passes through a stage of “red hepatization.” Here again we have a distinctive difference from the pneumococcus-pneumonia. From what we have previously said about the nature of this early acute inflammation of the lung in this disease it is apparent that red hepatization has no place in its process. The stage of red hepatization is attained only when the inflammatory reaction is accompanied by certain constituents in the exudate, which upon coagulation (separation out of the fibrin) renders the lobe dry and solid, while there is a sufficient abundance of red blood cells and congestion to maintain a dark red color. The hepatized lung on section is dry, more or less granular, containing fibrin, red cells and leucocytes within the alveoli. Extensive œdema is unusual except in the cases of hypostatic pneumonia, which in well marked cases bears some resemblance to the gross appearance of the early influenza pneumonia. We have not encountered a single case of the red meaty lung of influenza which showed evidence of true red hepatization in the gross.
The microscopical examination of the lung tissue confirmed the observations which were made in the gross. In the early 246stages of congestion the reaction was much more extensive than what could be spoken of as a broncho-pneumonia. The capillary dilatation in the alveolar walls occupied diffuse areas varying from multiple lobules and areas several cm. in size to the common diffuse congestion of an entire lobe. Capillaries were distended to their full capacity and often this engorgement was associated with the leakage of blood or a serous fluid. Not uncommonly a clear serous fluid was exuded into the interstitial tissues of the alveolar wall and collected within the air sacs. The high albuminous content of this fluid was seen in the homogeneous coagulation which occurred when the tissues were placed in fixatives. The microscopical sections of such parts demonstrated the coagulum occupying the alveoli as a clear homogeneous substance containing relatively few cells and looking not unlike the colloid deposit of the thyroid. The alveolar walls, themselves, were infiltrated with fluid so that the distended tissues and vessels made these structures thick and bulky. In our own observations we were impressed by the differences of the early inflammatory reaction from those ordinarily seen in pneumonia. Amongst these differences was the quantity of fluid extruded into the lung with a relative absence of fibrin. In some instances fibrin was completely wanting, although small quantities could be demonstrated in isolated areas. This observation upon the quantity of fibrin can be made only during the early stage of the disease in as much as after secondary infection of various kinds has become implanted the presence of fibrin has become a variable quantity often exceeding that seen in the early stages. This is one of the points upon which the older authors have laid stress in differentiating influenza pneumonia from others. In this we fully concur. Whether this lack of fibrin in the inflammatory exudate is a characteristic to be associated with the infection by the B. influenzæ alone is hard to say, but in as much as it was such a prominent finding we are led to lay some stress upon it. It is, of course, to be realized, as with all other micro-organisms that under certain conditions fibrin will form an important part of the exudate even when the B. influenzæ is present. This is true in the inflammatory reactions of the meninges present in infections due to this bacillus. Under the conditions of epidemic influenza where the lung lesion is the prominent and unique 247reaction this micro-organism fails by itself to bring out this quality in the exudate.
Not uncommonly this stage of inflammatory œdema was accompanied by various grades of hemorrhage, varying from the presence of small aggregations of red cells to a complete flooding of the lung tissue making it look not unlike a red infarct of lung, save that the alveolar walls still showed an active circulation and living cells. It was remarkable that even though there was such an intense reaction taking place in the lung tissue there was little or no evidence of a cellular exudate during this stage of the process. Where much blood was extruded into the alveoli occasional fibrin threads were found in the coagulum. In these early cases the bronchicles and small bronchi were found to contain an exudate similar to that in the alveoli. Not uncommonly the vessels from which the red blood was escaping, could be demonstrated in sections. The appearance of the vascular wall suggested that a definite opening had occurred in the side of the capillary from which the blood escaped. We were not able to demonstrate a fatty or other type of degeneration in the cells of the capillary walls. It is probable that the process of injury was much too acute to permit of the demonstration of the products of degeneration within the surviving cells.
The hemorrhagic lesions which had existed for a longer period of time gradually showed a varying infiltration by wandering cells. The earliest cells not belonging to those of the hemorrhage or œdema appearing within the alveoli were mononuclear elements partly arising from the alveolar walls and partly coming from the circulation. Numerous mononuclear cells of epithelial type desquamating from the inner surface of the alveoli accumulated in the œdematous fluid and the hemorrhage within a short time after their occurrence. These cells either appeared in clusters or as single elements. Accompanying this were also large mononuclear cells loaded with different quantities of pigment which had apparently escaped from the lymphatic channels within the alveolar walls. These latter cells belong to the wandering endothelial type which are active in phagocytosis for foreign material and which assist so largely in inducing the deposit of carbon in the lungs and lymph glands. A third mononuclear cell appearing early in the reaction was the lymphocyte. The numbers and extent of distribution of this cell were not constant. We 248have seen it in some of the reactions where very few leucocytes were to be seen, and where it constituted the main infiltrating cell of the alveolar wall or the air sacs. We have previously mentioned its presence in the inflammatory reactions of the bronchi. Here we find it in the early response within the lung tissue and appearing amidst a reaction which is intensely acute. It is not long after the finding of these various cell elements that the polymorphonuclear leucocyte wanders in large droves to numerically overshadow the mononuclear cells. Nevertheless, the three types above mentioned can be recognized in the exudate through the succeeding stages of reactions in the lung. The large macrophage shows its phagocytic properties in taking up numerous red blood cells, lymphocytes and occasional leucocytes.
It is not difficult to demonstrate that the inflammatory reaction within the bronchi and bronchioles precedes the responses within the alveoli. Quite often one may find an acute bronchiolitis with desquamation of the lining epithelium and the early serous exudate lying amidst the lung parenchyma unaffected by any irritant and reaction. There is every evidence that the bacteria reach the lung tissue by extending along the walls of the respiratory tubes and eventually reaching the air sacs either in the distant extremities of the bronchioles or when they have arrived at the thin-walled structures extend through them into the neighboring air sacs.
It is during this early period that we are able to observe the characteristics of the initial inflammatory exudate as we have described it above. The serous exudate and the infiltration by mononuclear cells appear early while the absence of fibrin also attracts attention. In place of fibrin there appeared in a certain number of cases a peculiar material of a hyaline nature which becomes plastered against the borders of the air sacs forming a fairly thick laminated structure and within which thread-formation is not to be seen. Occasionally a few cells lie within this hyaline substance. Some have referred to this as a type of fibrin. We have found, however, that it does not give the staining reactions for fibrin and does not appear to be of the same composition. These masses are tightly welded to the alveolar walls and the borders are often indistinguishable. In part this material appeared to be made up of necrotic cells of the septum which previously had suffered œdema and circulatory 249interference. We have found in a number of cases hyaline thromboses of the fine capillaries with more or less necrosis of the alveolar septum. At times the septum was entirely destroyed so that a thick hyaline mass alone separated neighboring air sacs. This hyaline necrosis resembles in part the superficial necrosis which was observed along the borders of the denuded bronchi. There is, however, more than necrosis of cells constituting this deposit for the bulk of material eventually deposited is much greater than could arise from tissue cells alone. These hyaline masses have never been found to lie upon the alveolar wall with an intact lining, but it is always accompanied by a loss of the lining cells and more or less destruction of the wall itself. As to the nature of the hyaline deposit which is laid down in lamellae we do not know. Fibrin threads occasionally appear to arise from these hyaline deposits and extend amidst the exudate in the air sac. One cannot assume, however, that the fibrin and the hyaline material have any relation to each other as their chemical characteristics (and mode of deposition) appear to be quite different. It has been suggested by some that this hyaline material represents an imperfectly formed fibrin which has formed a jelly-like clot, not having the property of developing the usual threads.
It is of importance to appreciate that the deposition of these hyaline structures indicates a severe injury of the alveolar walls not commonly observed in ordinary pneumonias.
In different areas of the same lung these constituents of the early exudate may be observed in all proportions of admixture. Each one of the elements of the exudate may largely overshadow the others and prominently modify the appearance of the lesions. Broadly speaking, however, the inflammatory œdema and hemorrhage occupying the greatest part of the exudate in the lungs and the absence of marked leucocytic response as well as the absence of the characteristic fibrinous meshwork in the alveoli give to the early influenza-pneumonia a character different from those which we ordinarily see.
It is during this early phase of the reaction that the influenza bacilli can be shown within the lung structures. The distribution of bacteria is not uniform. Clusters of these minute bacilli are found in the alveoli at irregular intervals, many of the air sacs containing much exudate being quite free from organisms. When present the bacteria appeared in tightly aggregated schools lying 250free amongst cells of the exudate, but also certain numbers being incorporated within the large mononuclear cells. In some regions organisms of the type of the influenza bacilli were alone seen, while elsewhere again, and particularly where the exudate was assuming purulent characters other bacteria of the nature of streptococci, staphylococci and micrococcus catarrhalis, were also found.
Following upon the primary reaction in the lung as above described, a secondary reaction makes its appearance at variable periods. This reaction is one in which the inflammatory exudate resembles more closely but is not identical with the responses which are observed in ordinary lobar, lobular and pneumococcus-pneumonia. Whereas in the earlier period, the reaction is largely one of a serous and hemorrhagic exudate accompanied by peculiar hyaline deposits along the inner borders of the alveoli, later there is seen a change in the quality of the exudate with the accumulation of more cellular elements and some fibrin. The naked eye appearance of the involved tissue changes considerably. The lung tissue loses in weight but becomes more solid. The lung contains less fluid and the cut surfaces are drier and the color of the reaction changes from the dark congested appearance to one showing all varieties of red and gray. This change from the flabby and soggy pneumonia to the more definite type of consolidation occurs in the regions which have been previously involved and is not to be found in the lung areas which have escaped the early reaction. The gray consolidation appears to be either a stage of the influenza-pneumonia or is a new reaction superadded to those pulmonary lesions induced by the primary infection.
It is sometimes difficult to recognize the beginning of this pneumonic stage inasmuch as the gray color does not make its appearance even with the presence of fairly large quantities of cellular exudate. The amount of hemorrhage that originally lay in the affected areas for a long time overshadows the presence of the color of the cellular exudate. This is also true of the characters that may be impressed by the presence of fibrin. Small quantities of fibrin scattered through the congested and œdematous lung are not readily recognized and the beginning of this secondary reaction is also easily overlooked if one relies upon evidence of consolidation. 251More or less solid exudate may occupy a flabby lung without permitting one to appreciate its presence in the gross specimen. When, however, the deposit is of sufficient quantity to change the color of the involved lobe and to alter its consistency, one has little difficulty in recognizing the changes now taking place. The earliest development of this change in the inflammatory reaction was on the fourth day. In the majority of instances the gray color and the consolidation made its appearance about the sixth day. We have, however, on several occasions observed hemorrhagic lesions as late as the seventh and eighth day, at which time it was impossible to recognize a gray hue to the exudate or the character of granular consolidation to the involved lung.
The reaction naturally suggests the stage of gray hepatization as we so well appreciate it in ordinary pneumococcus-pneumonia and from the standpoint of its color and the greater solidification of the lung tissue we might speak of it as such. Here, however, it must be clearly distinguished from the gray hepatization of ordinary pneumonia. This secondary lesion of influenza-pneumonia has but little in common other than its color and the development of a consolidation with true lobar pneumonia. It is never as clear cut as we see it in the latter and the degree of the “gray hepatization” is not uniformly distributed through the involved lobe. One portion of the lobe will show a diffuse gray hue while in other parts more decided lobular or patchy areas are picked out in the advanced reaction. There is not the uniformity of lobar involvement nor is the distribution as regular as one obtains it in broncho-pneumonia. Furthermore, the character of the consolidation differs very decidedly in showing such a variety of hues in reds and grays and the cut surface is not the picture of the dry granular consolidation of our endemic disease. The gray areas are in all states of wetness and ooze a slimy fluid on the cut surface. In the later stages this exudate is most profuse resembling a sticky pus. In its appearance we were reminded of the character seen in unresolved pneumonia as well as in the pneumonias produced by the pneumococcus mucosus, and the B. mucosus capsulatus. We would, therefore, avoid the use of the term gray hepatization and in place of it, as the evidence with the microscope confirms, use the term purulent pneumonia.
252There are three other characters which differentiate this gray stage from those of ordinary pneumonias—(1) the irregular distribution, (2) the friability of the involved tissue and (3) the interstitial reaction. We have never observed such an irregularity in the distribution of a gray stage of pneumonia as we have seen it develop in acute influenza-pneumonia. All types of involvement of the lobes are found in different cases and even sometimes in the same case. The least frequent type has been the broncho-pneumonia in its true form. Broncho-pneumonia as we see it in children and the cases following measles is usually fairly uniformly seeded through several lobes and the size of the individual patches is about that of a split pea. The small bronchus can be recognized about the center of the involvement. In those instances one has studded through the lung tissue numerous small swollen areas which are granular, dry and gray. Differing from this the patchy distribution of the gray stage of influenza-pneumonia had no regularity either in the size of the areas nor the distribution. A lobe may show one or more patches. The patches may be distributed toward one portion of the lobe more than another. Furthermore the areas do not always encircle the small bronchi but involve the terminal portion so that an entire lobule is more commonly affected. The lobular type rather than the peribronchial type is most commonly seen and it is often remarkable how sharply the gray lobule is demarcated from the surrounding congested lung tissue. On several occasions we observed a single lobule in the gray stage while the remaining portion of the lobe was in the serous and hemorrhagic condition. However, multiple lobules are commonly seen closely associated in the advancing inflammatory process. Such lobules show peculiar geographical patches or leaflet-like configuration. Varying with the number of lobules involved the extent of the gray change in the lobes assumed more or less a lobar distribution. There was no uniform position to this pneumonic state sometimes appearing in the peripheral tissues of the lung, at other times lying centrally with less involved or less advanced inflammatory reactions surrounding it. Nevertheless, the gray stage made its appearance more rapidly in the lower lobe than the upper and it was not uncommon to find this condition appearing quite early in the upper posterior portion of the lower lobes. This latter position is the one which is recognized during life by the clinician as one 253of the earliest localizations of the demonstrable pneumonia. It is reported by many that the first physical signs of consolidation are to be obtained close to the lower angles of the scapulae.
There is no doubt that the character of the pneumonic process in the epidemic influenza was not the same in all localities. There have been not a few who have reported a large proportion of their pulmonary lesions as a definite broncho-pneumonia with an interstitial purulent involvement. The prominent reaction was a small circumscribed yellow focus about the bronchioles from which a bead of pus could be expressed. These pea-sized foci were scattered through several or all lobes. It is this type of reaction which appears to develop by a direct extension through the bronchial walls and to remain quite localized in the alveoli about these tubes. This reaction seems to be purulent from its very beginning and does not pass through the stages as we have described them above. There is more or less fibrin present in the exudate, but usually not in the quantity observed in lobar pneumonia. These lesions closely resemble those observed in the post-measles pneumonia, and it is claimed are the result of the same agent; the hemolytic streptococcus. In only one case did we observe a lesion of this kind. The small areas of broncho-pneumonia were confined to the left lower lobe and in the lower portion of the upper lobe. Each area was about the size of a split pea, was quite yellow and in fairly sharp contrast to the background of an acute sero-hemorrhagic pneumonia. The subsequent history of these interstitial purulent broncho-pneumonias is like that in measles, where the tendency toward an organizing pneumonia has been shown. The importance of the hemolytic streptococcus in inducing purulent interstitial lesions of the lung (and also of other organs) cannot be over-impressed. It is not so much the type of the reaction during its acute stage which attracts our attention, but the manner of the healing process. It is more than probable that the organizing pneumonias of influenza, not only of this distinct bronchial type, but also the lobular, confluent and lobar variety have had an associated streptococcus infection. The more intimate discussion of this type of pneumonia has been given by MacCallum.
Our autopsy experience has led us to believe that the definite clinical signs of pneumonia are associated with the development of this gray consolidation of the lung. The lung tissue develops 254characters which permit the physical signs to be recognized. The tissue is more solid and more readily transmits the bronchial sounds. This is not true of the earlier stages where the inflammatory process is contained within a lung tissue which still is partially crepitant and when the so-called consolidation is due to an inflammatory œdema and not to the more solid fibrinous and cellular exudate. With the protean distribution of the gray lesion one does not wonder at the clinical difficulties in mapping out or even finding the consolidated tissues.
As soon as the lobes show this gray character and with the progressive development of an acute interstitial purulent pneumonia, the lung tissue becomes friable. All gradations of flabbiness may still be obtained and in the early stages while the cellular exudate is accumulating to change the color of the lung, little variation from the tough character of the pulmonary tissues can be recognized. When, however, a true gray character is assumed by a portion of the lobe, the tissue becomes so soft that it is handled with difficulty without rupture. The thumb can be pressed into the gray mass and pus will well up around the invading phalanx. The consistency in the late stages reminds one of the pulpy tissues in acute splenitis. In cutting such lobes it is almost impossible to obtain slices of the tissues, their own weight often breaking such a segment. When allowed to rest on the table for a few moments, the cut surface becomes coated with a dirty yellow slime representing pus and products of disintegration arising from the lung. The stroma and alveolar tissues are themselves involved in the inflammatory process and many of them have suffered complete or partial destruction so that they offer but little resistance to pressure and serve as a poor supporting stroma to the pulmonary tissues. The reaction which has taken place within the lung producing both the gray color and the destruction of the tissues is, indeed, an active suppurative one. One would not be surprised to obtain not only a purulent lesion wherein the cellular exudate occupies the air sacs and their walls but also a further stage leading to a destruction of the tissues to the extent that abscess cavities are produced. These we have met with in several instances, some of them being small while others were several centimeters in diameter. An abscess of larger extent and having a destructive process which involved the surrounding tissues so that one would speak of it as a process of gangrene, was 255observed by Dr. McMeans in one of his cases. A lobar distribution of the purulent lesion takes place where multiple involved lobules have fused in their periphery or where a suppurative flooding of the tissues in this violent late reaction has taken place.
The question at once comes to mind whether this gray stage is but the late event of what we have previously spoken of as influenza-pneumonia or whether this condition is superadded to what may begin as an influenza-pneumonia but end in a pulmonary inflammation with a mixed infection. Dr. Holman was not able to demonstrate a sufficient difference in the bacteriology of the lobes in the gray stages from those in the early acute stage to be able to say that the flora changes at a certain time during the progress of the disease in the individuals. It is possible, and there is some evidence in support of this, that the earlier stages of the pneumonic process represent the reaction to the influenza bacillus and that during this period the response is fairly uniform and similar owing to the fact that this infection has but a short incubation period and a high pathogenicity. In such an event the particular micro-organism may bring about a peculiar response of its own before the other organisms with which it is associated have the opportunity of producing damage. Subsequently, however, these secondary organisms impose their peculiar reactions upon an altered lung, thus inducing an inflammatory lesion which differs from the preceding reaction and also differs from the reaction usually induced by those organisms upon relatively healthy tissues. It is difficult to account for the very irregular distribution of the gray lesions by an explanation concerning the influenza bacillus alone, or by the characters peculiar to the secondary infection. There is an entire want of character to these gray lesions which makes them differ from other types of pneumonia known to us.
It is well to lay particular stress upon this peculiarity in the distribution and extent of the lesions within the lobes; and it is also important to appreciate the difference in the appearance of these gray areas from those of true lobar or broncho-pneumonia.
Finally there is another point in which this stage of the pneumonic process differs from that of pneumococcus lobar pneumonia. In frank lobar pneumonia the reactions taking place in the involved portion of the lung are fairly uniform in all its parts. The stage of red hepatization occupies about that amount of lung 256which subsequently shows itself in the state of gray hepatization. In other words, all of those areas which appear gray are preceded by this peculiar red consolidation, and all of the area occupied by the red hepatization will pass through the phases of gray hepatization before entering upon the final stage of resolution.
In influenza-pneumonia, on the other hand, the events taking place in a given lobe are not uniform and various stages and grades of the inflammatory reaction may be recognized at the same time, some appearing red, some congested, some flooded with blood in hemorrhage and others showing the purulent infiltration by the appearance of gray patches upon the background of red. Not only do the various reactions within the same lobe fail to show similar grades of intensity and similar stages or time of involvement, but we find that all of the red and hemorrhagic areas are not destined to pass through the gray stages. At times it is true an entire lung will enter into the purulent phase and if this becomes extreme abscess and gangrene are almost certain to develop. But often the purulent infiltration occupies only a few or scattered lobules and resolution may take place in a lung where the greater part of the lobes is occupied by the inflammatory œdema and hemorrhage and has never become truly consolidated by cellular and fibrinous exudate. This feature that the involved lung tissues need not pass through the sequence of events which is usually observed in frank lobar pneumonia is so distinctive that it differentiates the character of the inflammatory reaction very clearly. It may be that this is an indication of the unequal distribution of the micro-organism and that the first infection presumably by the bacillus influenzæ has been much more diffuse and of wider extent than the secondary invading bacteria which being distributed through the bronchial tree are more or less localized to those lobules most severely involved. It is impossible to claim for influenza-pneumonia as clear and sharp-cut stages as we obtain them in the pneumococcus lobar pneumonia.
During the period of the intense purulent reaction in certain portions of the lung, the intrinsic structures within the area also partake in the damage and response. The suppurative infiltration not only occupies the alveolar walls but also extends through the tissues of the bronchioles, the arteries and the veins. The polymorphonuclear leucocytes seem to migrate into all of the parenchyma indicating some damage by bacterial invasion. On more 257than one occasion have we observed partial or incomplete thrombosis of arterioles and capillaries whose walls showed an acute suppurative reaction. Some of these thromboses are of importance, being associated with the interference with a blood supply not compensated by adequate anastomosis. Necrosis and small areas of gangrene and abscess are to be found in the region of the circulatory disturbances. It is also during this period of the disease when the bronchi and their ramifications contain pus or muco-pus, that the exudate from the alveoli readily finds its way into the air passages and becoming mixed with the mucus from these tracts forms a tenacious discharge.
The presence of large amounts of exudate within the bronchi brought these structures into unusual prominence. This was particularly true in the purulent stage of the reaction when beads of sticky pus would well up from the cut bronchioles. We were tempted on a number of occasions to speak of this in terms of bronchiectasis but with the intense inflammatory reaction occupying the bronchial wall and modifying its contour on this account we avoided this diagnosis. In one instance, however, the lesion was unmistakable. This was a case of purulent pneumonia (764) dying on the ninth day of the disease. The distribution of his pulmonary lesions was distinctly lobular, apparently following the course of the bronchial distribution. The bronchi were followed longitudinally and irregular pouchings of the lumen were very apparent. The bronchi had suffered marked inflammatory reaction which had also infiltrated the muscular tissues of the tubes. Goodpasture and Burnett report finding two cases of acute bronchiectasis associated with abscess and ulceration of the bronchi. In our case the bronchiectasis was found bilateral but was more marked in the lower lobes than the upper.
The lymphatic channels within the lung tissue are found active in establishing an internal drainage to the neighboring thoracic glands. The lymph vessels were often found filled with leucocytes and variable amounts of serum. During this late stage only a few of the endothelial leucocytes were observed wandering to or from the lung with a load of pigment or cell debris. These wandering endothelial cells, however, appeared to become loosened from their normal situations and in the vicinity of lymphatic nodes or communicating channels where these cells are prone to localize with their carbon pigment, again assumed their spherical form and 258took on migratory properties entering into the nearby tissues and scattering themselves in the looser structures. It is an interesting point to note that these pigment carrying cells, ordinarily assuming a latent existence when their cytoplasm has been crowded with foreign particles will assume all the activities of migrating cells when the œdema of the tissues alters the physical properties not conducive to a stationary existence. These cells will then be found to enter the lung alveoli, often appearing as cells which have only recently picked up their carbon load. When, however, the conditions of the experiment, that is, the production of an inflammatory œdema in the lung, are produced in the tissues of an individual with much anthracosis, he will, during the period of his pneumonia and for some time during convalescence, bring up a greater number of these cells in his sputum than are ever obtained during the times when the lung is not involved. We are convinced that inflammatory conditions of the lung tend to reduce the total number of latent pigment bearing cells present in the involved tissues, and in this way somewhat reduce the grade of anthracosis.
A considerable discussion has arisen concerning the proper nomenclature for the pneumonia or pneumonias found in epidemic influenza. From some quarters have come the reports of a true lobar pneumonia, from others a lobular or broncho-pneumonia and others again claim that the reaction is an interstitial pneumonia of varying distribution. It appeared to us that the gross distribution of the lesions is not alone the criterion for a proper appreciation of the inflammatory states which may arise within the lung. I believe it has been amply demonstrated that the pneumonic reactions appearing in different regions of the United States as well as in different countries are not of a constant kind when viewed alone in the light of the gross picture nor are they constant from the standpoint of their bacteriology. We are of the opinion that the earlier phases of the pulmonary reaction are fairly constant in different places and that this constancy is dependent upon the common virus which initiates the respiratory lesion and which then permits a variety of micro-organisms invading as secondary agents. The secondary agents vary with the community and depending upon their nature the character of the reaction differs from that in other places. It has been well demonstrated that in some regions the hemolytic streptococcus 259is the important organism following the primary injury by the initial virus. In other places the pneumococcus or the staphylococcus or the M. catarrhalis is found to be of primary importance. Up to the present it has not been shown that the influenza bacillus is not the important organism causing the initial reaction and being responsible for the opportunity of secondary invaders leading to such diverse reactions in the lung. In our series we have met with lobar, lobular, interstitial and broncho-pneumonic types. We have not observed a case of the miliary bronchial reaction as described and illustrated by Goodpasture and Burnett and fully investigated by MacCallum. Moreover we have not met with the type of purulent bronchitis as a characteristic lesion preceding pulmonary involvement. The occurrence of pus within the bronchi occurred not early in the pulmonary lesion but later after the bronchi and bronchioles had passed through their stages of acute, serous and hemorrhagic pneumonia and were entering upon their secondary stage with pus production. The pulmonary lesion had long preceded the appearance of pus in the bronchi. We do not hold, however, that such relations between the pulmonary lesion and the purulent bronchitis do not exist for there is evidence that in particular regions this sequence of events was closely observed.
We cannot, however, correlate our findings with the classification of pneumonias as given by MacCallum. His claim for specific types of pneumonia as a sequel to influenza is based upon his statement that “no satisfactory evidence has been brought forward to show that the epidemic influenza is a bacterial infection. It is evidently a general or systematic infection not especially affecting the respiratory tract and analogous in many respects, as Bloomfield has pointed out, to the acute exanthematic diseases.” Thus we are confronted by two schools concerning the nature of influenza. The one claiming that epidemic influenza is essentially a disease of the respiratory system and the other completely denying this.
I am unable to understand the claims which are put forward to substantiate the second view.
The classification of the pneumonias as suggested by MacCallum would be valuable if it could be applied in a practical manner. We find, however, that his description for the pneumococcus-pneumonia hardly coincides with common observations on 260endemic pneumonia and if the description is to apply only to the pneumonias associated with influenza wherein pneumococcus alone is isolated we find that our own observations do not coincide with this. The picture offered by MacCallum under this heading was reproduced when the bacteriological findings illustrated the presence of organisms other than the pneumococcus or combinations of these. The most characteristic of his description is the one for the streptococcus-pneumonia which when present alone gives quite a unique picture. The picture, however, is to a certain degree modified by the reactions which precede the streptococcus in the lung. Furthermore to offer as a characteristic picture for the influenza infection of the bronchi the presence of a thick yellow pus is hardly complete inasmuch as this exudate appeared only as a stage in the inflammatory process. The intense serous and hemorrhagic response observed early in this type of infection is more unique than the presence of pus which appears somewhat later and which may occur with infections other than the B. influenzæ. It has long been the hope in pathology to be able to establish by the character of the tissue reaction, the nature of the infecting agent. Up to the present this has been possible only with a very few types of bacteria.
The removal of the infection and the inflammatory exudate from the lung tissue is accomplished slowly. Clinically the pulmonary process clears up by lysis, and it is quite unusual to have a crisis with the rapid disappearance of the serious manifestations. It is difficult to obtain a clear conception of what takes place in any individual case recovering from an influenza-pneumonia, but if we have an understanding of what may occur in the inflamed lung tissue in any one of the stages or varieties of kind, we may visualize the changing character of the lung condition tending toward the final restoration.
We have previously pointed out that the early stage of influenza-pneumonia is one of congestion, œdema, hemorrhage and more or less leucocytic infiltration, and that this reaction differs materially from that observed in pneumococcus lobar pneumonia. There being no stage of true red hepatization, it has also become apparent that this peculiar primary reaction need not pass into the stage of gray consolidation. Scattered areas in the lung pass 261from the condition of acute serous and hemorrhagic pneumonia to a type of purulent pneumonia while much of the remaining tissue continues in the state as seen in the early reaction. A certain amount of cellular exudate makes its appearance but not sufficient to lead to a true consolidation. This variety of reaction is present from the fifth day of the pneumonia onwards and may continue with all of its varieties through until the tenth or twelfth day or even longer when recovery from the infection is beginning. Thus the stage of resolution makes its appearance before the inflammatory reaction in the involved lobes has assumed a common character and where we are able to recognize different grades of severity and different stages of inflammation within the same lobe. Resolution taking place in such a lobe has responses occurring in the different parts determined by the nature of the antecedent reaction. We have found that those portions which have not advanced beyond the stage of œdema and hemorrhage may clear up with the disappearance of this early exudate and its infection. In a neighboring portion the purulent inflammation passes through phases differing somewhat from the preceding but also tending toward the restoration of the parenchyma and the disappearance of the inflammation. It would be incorrect to consider the resolution of the early type of inflammatory reaction as an abortive process inasmuch as it is not yet clear whether this serous and hemorrhagic process is not the characteristic inflammation of a peculiar micro-organism or organisms and that when acting alone these bacteria do not in themselves stimulate a further inflammatory response. Hence if it is true that there is a peculiar inflammatory reaction of a non-suppurative and non-fibrinous kind the manner of resolution will differ somewhat from that where these other constituents of the exudate are present. It becomes clear, therefore, that in influenza-pneumonia all of the lung involved in the early peculiar inflammatory reaction need not pass through those stages and reactions as we recognize them in pneumococcus lobar pneumonia.
The resolution taking place in the areas of serous and hemorrhagic pneumonia is accomplished largely by a reabsorption of the fluid, autolytic disintegration of the red blood cells and a certain amount of phagocytosis of red blood cells and their debris. This resolution is quite rapidly accomplished, and the clearing up of such an area may take place in a remarkably short 262period of time. The leucocytes and endothelial cells which are present with every such reaction become active in phagocytosis of bacteria, and we have repeatedly observed them crowded with small Gram negative bacilli, whose morphology is similar to that of the B. influenzæ. These areas contain but few bacteria of other kinds. The exudate in the alveolar walls is also simple in character and is readily removed. Slight suffusion of blood, serous fluid, and migrating cells may occupy portions of the alveolar walls during the acute reaction, but these, too, are easily removed and the tissue rapidly resumes its normal character. The vascular and lymphatic congestion again disappear and the tissues which once were soggy return to a normal state without leaving behind evidence of the pulmonary incapacity. The lining epithelium of trachea, bronchi and alveoli is restored by proliferation from the neighboring less injured parts.
If this early stage in influenza-pneumonia is to be compared with the early reactions of endemic pneumonia, it is interesting to note with what ease the resolution may be accomplished in the former, whereas in the latter a further sequence of stages must apparently be passed through before the lung is cleared of its inflammatory products. As we have intimated before, the early exudate in these two types of pneumonia differs very essentially, the one being accompanied by much fibrin and leucocytes which are present only in small quantities in the pulmonary lesion of influenza.
Resolution of the other portions of the involved lobes in influenza is not so easily accomplished. Where a progressive lesion with its development of pus occupying both the air sacs and the tissue of the lung, the outcome of attempts at repair are uncertain. Complete resolution with complete disappearance of the purulent exudate may take place as we see it in many other regions occupied by a similar reaction; and where the purulent response is not accompanied by material damage to the tissue the restoration of the lung is so complete that upon its recovery no evidence is left behind of the former injury, but in as much as the presence of a purulent reaction in the lung is often of more severe grade than this, a certain amount of tissue destruction having been accomplished, the repair does not completely restore the tissue to its former normal state. The purulent lesion, however, is not uncommonly accompanied by minute capillary thromboses, 263tissue derangement, organic destruction, with even tissue alteration amounting to abscess or gangrene, and it is too much to hope that the lung may be completely restored. Minute abscesses varying from microscopic size to large cavities, several centimeters in diameter, were not unusual in the tissues severely involved in the purulent reaction. Thus in these areas, resolution can be accomplished only by a process of slow organization of the damaged parts with the final production of fibrosis. These fibroses are of variable extent depending upon the initial damage. We have been very much struck with the speed with which this process of organization may take place and the extent of the lung tissue which may become involved in this late lesion. In one of our cases we have evidence of marked fibrosis present on the twenty-third day of his illness. Patches of organization varying from one to four centimeters in diameter occupied the different lobes of the lung. The new fibrous tissue was well developed and the purulent reaction had largely disappeared. The fibrosis obliterated the normal architecture of alveoli and bronchioles, leaving only irregular islands of epithelium which assumed grotesque glandular shapes and looked not unlike a new growth. One of the interesting features of these late fibroses which come to occupy various extents of the lung and bronchial tissues is that the individual after recovering from his acute influenzal lesions again passes, in about his third week, into a stage of dyspnœa with manifestations out of proportion to the physical signs or constitutional derangements which can be determined. The dyspnœa is often the outstanding sign and the patient may die in a state of asphyxia.
We have observed evidence of organization in its earlier reactions taking place in the patches of gray consolidation. This organization of the lung tissue takes place as an interstitial fibrosis and as an alveolar organization. Masses of granulation tissue grow out into and come to occupy the lumen of the air sacs, while in other instances the new growth of tissue takes place mainly in the alveolar walls converting them from thin partitions to thickened and tough structures. In the cases in which a purulent pneumonia was present for some time, and where some of these tended towards repair, this type of restoration with the new development of connective tissue was found. The amount of fibrosis varied very much, and in many instances 264there was no evidence that obstruction to the bronchioles occurred to a material degree. Hence, although we believe that more or less organization occurs in all of those cases which have passed through a purulent pneumonia, and that a permanent mark is left upon the lung tissue, it is not probable that the amount of involvement and final damage by fibrosis is sufficient to seriously influence the pulmonary respiration. There is, however, a certain percentage of cases in which this organization and fibrosis does involve sufficient of the lung parenchyma and bronchioles to interfere with the pulmonary ventilation.
Where the purulent pneumonia has markedly involved the parenchyma, and particularly where vascular channels both large and small have suffered, some of them by thrombosis, others by a sclerotic thickening, the circulatory disturbance may be sufficiently interfered with to infarct the area. The infarction usually occupies the purulent area itself, and with the complete occlusion of the circulation the resulting necrosis gives rise to an appearance different from that usually seen in pulmonary infarcts. The area may lie in the peripheral portion of the lobe or may occupy deeper parts. The infarct is of a cream-white color, quite homogeneous, and resembles the appearance of a local area of caseous pneumonia. This appearance is brought about through the local purulent consolidation undergoing necrosis. Some of these areas rapidly develop a cavity through liquefaction of the exudate.
The localization of the inflammatory products not only upon the surface of the air sacs but also in the stroma of the alveoli; the interlobular trabeculæ, and about the vascular channels indicates the intense effect of the virus of this disease. The exudate is largely an indication of the point of action of the irritant upon the tissues, and in influenza with its variety of bacteria in the lung this is not limited to the surface membrane of the air sacs. During this second stage of the reaction the purulent exudate was found occupying all structures of the involved area. Damage upon the component tissues was to be seen in the endothelium of the capillaries, the muscle tissue of the bronchioles and arterioles, the connective tissues and the epithelium. It was seldom that bacteria were demonstrated in the interstitial parts, and it would appear that the damage was the result of their toxins.
Hence, broadly speaking, the end result of the pneumonic process in influenza is far more complex and indefinite than that 265in lobar pneumonia. Resolution may take place early with the clearing up of the first products of the exudate; or it may be delayed in association with the secondary purulent process which not uncommonly occupies multiple lobes. Where the resolution begins in purulent regions the final outcome is most variable, depending upon the amount of damage which has been imposed upon the lung tissue during the suppurative inflammation, ending either in complete restoration or slight fibrosis of the lung, or passing on to focal scarring of various degrees, sufficient to alter the pulmonary capacity. In other instances the resolution is delayed by the development of abscess, infarct and gangrene. Here the final outcome is determined by the amount of tissue involved in the destructive process, and the persistency with which the infecting micro-organisms attack the local tissues and the constitutional resistance of the individual. Those individuals in whom resolution begins before there is much purulent pneumonia stand the best chance of having the lung return to its normal characteristics.
Inflammation of the pleura was a complication which varied in its extent and appearance. It appeared to us that a definite interval lapsed between the development of the lesions in the lung and the appearance of an inflammatory reaction upon the pleural surfaces. Although we have recorded evidence of a pleural reaction in 27 cases, this does not indicate that we have met with that number of pleurisies of clinical severity. In this group we include all gradations of pleural reaction from the merest evidence of irritation and slight dulling of the surface to the cases in which definite and marked inflammatory exudate accumulated within the cavity. In many cases we observed a slight increase in the amount of the fluid present in one or other pleural cavity, while there was little or no macroscopic evidence of a cellular or fibrinous exudate. An examination of the fluid showed the presence of lymphocytes and endothelial cells in small numbers, and sections of the pleural surface at points where a slight dulling of the serous membrane was seen at autopsy showed the presence of a very thin layer of a hyaline fibrin. By taking these reactions as indicative of pleurisy we have recorded 2666 cases of acute fibrinous pleurisy, 20 of acute serofibrinous pleurisy, and 1 of acute fibrino-purulent pleurisy.
An increase in the quantity of fluid in the pleural sacs was the most common indication of pleural irritation. The quantity varied from 50 to 500 c.c. of a clear or slightly turbid fluid. Not uncommonly this fluid was blood stained and evidence of superficial extravasation of blood could be recognized directly beneath the pleural membrane. These serous reactions accompanied the early acute stage, while hemorrhage was the accompaniment of the early period of the influenzal pneumonia when similar hemorrhages were found in the lung substance. The pleural reactions were almost entirely confined to the visceral pleura, and only in the very severe responses did we obtain a marked inflammatory reaction with hemorrhage upon the chest wall. Goodpasture and Burnett state that “there is commonly a moderate serous effusion in one or both pleural cavities amounting to 50 or 250 cubic centimeters. The fluid is clear and has the color of blood-stained serum. The pleural surfaces are smooth, shiny and wet, though occasionally a thin, granular fibrinous exudate may be seen by reflected light over limited areas. Often numerous small, red, discrete, or confluent pleural hemorrhages are present over consolidated portions, especially posteriorly on the surface of the lower lobes.” Where organisms other than the influenza bacillus had invaded the pleural sac and had been present for a sufficient time to obtain a reaction, the serous type of exudate observed in the early lesions changed to the turbid type of fluid accompanied by more or less fibrin deposit. There was one case where the intense reaction with fibrin and leucocytes gave rise to a new character to the pleural exudate, a fibrino-purulent pleurisy or empyema.
As we have subsequently learned the pleurisies developing late in the course of the influenza and those which persist after the pulmonary inflammation has passed are prone to be of a purulent kind. There have been a fair number of cases of empyema brought to our attention by the surgical department in the bacteriological laboratory of the hospital, subsequent to the wave of epidemic influenza. If one were to base his finding alone upon observations obtained in the operating room, he would be impressed by the fact that the pleurisy accompanying the epidemic of influenza is of a purulent type. On the other hand, if one were 267alone to consider the findings at the autopsy table during the five weeks of the epidemic, one would be of the opinion that the pleurisy is of very minor consequence and of a serous type. It is this changing picture which is particularly to be kept in mind. And our experience indicates that during the height of the influenzal lesions of the lung when the pulmonary lesions develop so rapidly that we obtain a pleural reaction closely resembling the inflammatory conditions in the lung and also containing bacteria not unlike the pulmonary flora. Dr. Holman has obtained the influenza bacillus and other varieties from the pleura during these early periods of the pulmonary inflammation. It is more than probable that just as in the infection of the lung tissue where there is a change in the type of the bacteria present, so, too, the flora of the pleura alters in the succeeding stages of the pulmonary reaction. In the late event of empyema we have not observed the influenza bacillus. The majority of the empyemas possess hemolytic streptococci and occasionally pneumococci.
During the acute epidemic and while the disease was at its height it was remarkable how few cases showed involvement of the heart. It was the common observation that even during intense illness the heart action remained fairly stable and did not indicate an effect by intoxication as might be expected from the severity of the illness. In as much as the majority of deaths occurred within relatively few days of the onset of the severe infection, the type of lesion that would be looked for in the heart would be either bacterial inflammatory products within the pericardium, myocardium or endocardium or toxic lesions of musculature alone.
In our series we have encountered no cases of pericarditis. This lesion in the experience of others has also been unusual, and it would appear that bacterial invasion of this sac is accomplished mainly in the presence of secondary infections localizing in the neighboring pleura. It was not uncommon to find a slight increase in the serous fluid in the sac, but this on no occasion amounted to a hydropericardium. The fluid was always clear and with no evidence of fibrin or cellular exudate. Petechial hemorrhages scattered over the epicardium were noted in seven 268cases. In the majority of instances these minute hemorrhages were scattered in small numbers over the ventricular walls. In one instance these petechial hemorrhages were also present through the myocardium, suggesting the influence of an intoxication not upon the tissues of the heart as much as upon the finer structures of the vascular channels. This is furthermore borne out in the presence of petechial hemorrhages confined not to one organ, but to various tissues and structures in the body.
More or less cloudy swelling or granular degeneration of the muscle elements of the heart was not uncommon. It was sufficiently pronounced in 12 cases to be readily detected by the naked eye. A lesser amount was also observed in other cases on microscopical examination. In only one instances was the myocardial degeneration of such extent to lead to a definite and recognizable weakening of the musculature. In this instance the autopsy showed a flabby myocardium which was relatively soft and easily broken and in which all the chambers of the heart were decidedly dilated. This was the only case in which we were convinced of a sufficient influence of the toxic effects upon the musculature to permit a stretching of the walls, with failure of function.
In a number of other instances, however, in which there was more or less granular degeneration and cloudy swelling we found that the right ventricle ceased in diastole without, however, the capacity of the chamber being enlarged. We would make this differentiation in speaking of dilatation of the heart. We have met with 11 cases in which the right heart died in diastole, but in which there was no evidence that the right ventricle had been unduly expanded. In four cases there was evidence of an old compensatory hypertrophy of the left ventricle in which the cavity of this chamber was also slightly larger than normal. The lesions in these four cases, however, bore no direct relation to the results from the influenza infection. The appearance of the musculature with moderate grade of cloudy swelling suggested some œdema of the tissues. In the myocardium, œdema is difficult to recognize, and we would not place great stress upon its presence in mild degree.
The microscopic examination of the myocardium showing cloudy swelling gave the usual picture as is seen with a variety of infections. The muscle fibers showed a fine granular deposit 269in their cytoplasm and the staining quality of the tissue was somewhat altered. The transverse striæ were less distinct than normal, while not uncommonly the longitudinal fibrils became more evident. Fatty degeneration was not encountered.
In the single case showing a definite and acute dilatation of the ventricles the cause of the myocardial lesion could not be placed at the door of the influenzal infection. This was the case suffering from a secondary streptococcal bacteriæmia arising in the middle ear. It is more than probable that the streptococcus was the immediate cause of the acute muscle change and weakening. In a number of cases we have studied the tissues of the bundle of His, but we were unable to note any definite change.
It is interesting that the intoxication associated with acute influenza is selective in localizing in certain muscle tissues. We have previously indicated the intensity of muscle degenerations occurring in the abdominal recti. Even in these cases where these striped voluntary muscles were markedly affected the myocardium showed nothing more than a mild or moderate grade of cloudy swelling. We can only account for this in a difference in the constitution of these muscular structures, some being of such composition permitting of the localizing and damage by the unknown intoxicant. It does not appear that the reason for localization in certain tissues is in any way related to the character of the blood supply, nor is it related to the activity of the part.
In three cases we have found an inflammatory lesion of the endocardial tissues. In all of them this consisted of a slight acute verrucose mitral endocarditis. The lesions were very small, consisting only of a fine granular deposit looking like grains of sand localized along the border of the mitral leaflets. In no instance was the leaflet injured or incapacitated. Unfortunately the lesion not being suspected was encountered after the heart had been removed and opened and when it was too late to make bacteriological analyses. This point is greatly to be regretted, in as much as it is of great importance to know whether some distant lesions are induced through the influenza bacillus or its symbiotic flora.
The majority of authors report but little upon the heart lesions in influenza. Many deny that a heart involvement is to be found, a few report an occasional endocarditis. Wallis and Kuskow 270found more or less myocardial change similar to what is usually described as cloudy swelling. This reaction they point out differs in no way from the degenerations arising from other types of intoxications. Keegan in a series of about 23 autopsies found only a single case with acute dilatation.
Abrahams, Hallows and French had an opportunity of observing over 400 autopsies upon the influenza patients, and they comment upon the infrequency of cardiac dilatation. A slight dilatation of the right ventricle was seen in a few cases, and in no instance did they find pericarditis or endocarditis. They comment upon the heart condition as follows: “The most remarkable feature about the heart is the general absence of dilatation. In quite a large proportion of cases there has been no trace of dilatation; in a fair number of others there has been some dilatation of the right side, but this has seldom been extreme, perhaps enough to cause the apex of the heart to be formed about equally by right and left ventricles. Most often the heart has appeared of normal dimensions and the apex has been formed entirely by the left ventricle. This absence of dilatation accounts for the clinical absence of orthopnœa.” In direct contradiction to the above findings, the Advisory Board to the D. G. M. S., France, report the findings in 30 autopsies of clinical influenza. Twenty-nine of these 30 cases showed dilatation of the heart, chiefly of the right side, but very commonly of the left side as well. Twenty-one showed myocarditis and two endocarditis. In this report it is stated that these patients showed evidence of obsolete tuberculosis. It is possible that the condition of the patients and the presence of an unusual complicating infection led to the high incidence of cardiac involvement. The figures in this last series are much too high when compared with the frequency of heart involvement as found by the majority of other investigators.
A number of heart lesions not resulting from influenza were observed. For none of them was there an antecedent history, but in some cases the condition may have had an influence in causing accessory cardiac embarrassment. One case had a chronic interstitial myocarditis of the rheumatic type, three had mild grades of chronic sclerotic mitral endocarditis, one a bicuspid pulmonary valve and three showed old pericardial adhesions, one 271of them having a complete obliteration of the sac. The foramen ovale was patent in six of the hearts.
The arteries in these young adults were remarkably healthy, and in none of them did we observe the characters of arteriosclerosis or leutic lesions. On the other hand, evidence of superficial fatty streaks lying in the intima of the aorta and some of its large branches were not uncommon and are believed to have had a relation to the acute infection of which they died. In only four cases in the series of 32 autopsies was evidence of these fatty streaks wanting. In about one-half of the remaining number these fatty streaks were only slight or moderate in extent, while in the rest of them these lesions were particularly prominent and striking. They formed linear markings on the posterior wall of the aorta, aggregating with particular prominence about the intercostal arteries. The anterior wall was quite free from them. The greater extent of these lesions lay in the descending thoracic and was less marked in the arch and the abdominal aorta. At times these fatty streaks were found to extend into the large vessels of the neck and into the intercostal arteries, and they were also found in the coronaries of the heart. It was uncommon to observe their presence in the arteries of the abdominal viscera.
This type of lesion has been discussed from the standpoint of its etiology and its possible bearing upon true arteriosclerosis. Some believe that the frequency of its finding in autopsy material suggests the non-importance of its presence. This we can hardly agree with. It is true that the presence of these lesions does not materially incapacitate the aorta in acting as the main channel for the distribution of blood. The lesions are quite superficial in the intima and cause but little elevation on the surface. The amount of roughening which the intima presents to the blood is not great. Nevertheless, the presence of these fatty streaks is an index of the disturbed metabolism of the cholesterin products of the body. Under certain conditions they make their appearance when there is a true hypercholesterinemia such as is readily produced in the animal experiments by feeding cholesterin. Under these circumstances the various 272tissues of the body, including the adrenal, the corpus luteum, the spleen, liver and arteries, all participate in localizing cholesterin in the form of cholesterin-ester in peculiar cells which have been termed cholesterin-ester phagocytes. It has been shown that cholesterin metabolism is quite readily altered in the human and that the blood content will vary from the normal. In chronic kidney disease, pregnancy, diabetes, chronic heart disease and arteriosclerosis the blood cholesterin rises, while in many of the acute infectious diseases the cholesterin in the blood is materially diminished. It is particularly in these latter cases where fatty streaks of the intima are prone to occur. Hence in human pathology we more often meet with the development of fatty streaks of the intima associated with a hypocholesterinemia than with a hypercholesterinemia.
The fatty streaks of the intima of the aorta to which we are referring are lesions quite aside from true endarteritis as well as atheroma. In naked eye appearance the lesion is of a fatty nature and suggests atheroma, but it differs from this well-known lesion in the fact that the fatty materials, cholesterin-esters, are contained within cells which are of uniform type and have no reaction in their immediate vicinity. True atheroma may occur in definite levels of the intima, most commonly in the deepest portion, and is characterized by the fact that we are dealing with a variety of fatty materials, neutral fat, fatty acids, soap, cholesterin-ester and free cholesterin which lie between the tissue cells forming a detritus following a process of true degeneration. It is possible that some of the superficial fatty streaks do give rise to a small atheromatous area by death of the cells which primarily contain the fatty substances. Most commonly, however, the fatty streaks do not progress directly to atheroma but may entirely disappear, as we have seen it occur in our experimental animals. At other times these fatty streaks are followed by a slight thickening of the surface of the intima so that the resemblance to early endarteritis is obtained. We do not believe that these fatty streaks in themselves lead to the chronic nodular thickening of the aorta, but that other factors giving rise to a low grade inflammatory reaction must be present.
There appears to be a relation between the development of these fatty streaks and the altered cholesterin metabolism, brought about by pathological change in the blood, adrenal cortex 273and it may be in the liver. It is under these conditions where these tissues are altered particularly by bacterial toxins in a process of marked cloudy swelling that these intimal fatty streaks arise. Analyses in other diseases have shown that such organic changes lead to a diminution in the cholesterin content of the blood, while at the same time there is neither an increased intake nor an excessive output. It would appear that certain types of tissues and cells are stimulated into activity to become depots for the cholesterin which is not being properly handled by the adrenal and other organs. These cells in the intima which become active in taking up cholesterin-esters are types of endothelial cells whose origin is not entirely clear. In these lesions it is observed that the most superficial cells of the intima do not show an overloading with the fatty compound, but that the cells active in absorption lie at a level slightly beneath the endothelial lining and form colonies as if arising through active division of cells which are present in these parts. Active migration on the part of these cells is not to be observed. They do not appear to wander far from the location where they are found during the acute process. The plaque may enlarge by proliferation and thus enlarge the extent of the involved area. We have failed to find, however, that these cells migrate into the lowermost portion of the intima or into the media. The possibility that these cells do arise from the endothelium lining the blood vessels has, up to the present, not been excluded. If such is the case, the cells appear to adopt a function which is not commonly observed in normal arteries nor present in the endothelial cells lying immediately above the fatty plaque.
We have searched various arterial systems in the cases of acute epidemic influenza for inflammatory lesions lying in the adventitia and media. These, up to the present, we have not discovered. Some years ago a number of French authors reported the development of acute non-suppurative influenza lesions in the outer coats of arteries which at times had aneurysm as the outcome. These cases, however, occurred during non-epidemic periods, when the type of influenza of which the patient suffered was quite different from that seen in pandemics. As far as we know none of the reported cases of arteritis and aneurysm occurring under these conditions has shown the presence of the influenza bacilli in the arterial lesion. It is possible that sporadic 274influenza has complicating secondary infections which are of importance in localizing in the arterial wall.
Occasional reports have been made upon the occurrence of thrombosis immediately following an attack of influenza. These thromboses have occurred in diverse regions, the brachial, femoral, the mesenteric, and other arteries. It is possible that the development of the deep hemorrhagic lesions of muscles in the extremities are associated with thrombosis. It is impossible, however, to demonstrate within such blood masses the presence of thrombosed vessels which had preceded the hemorrhagic state. It was, however, possible to demonstrate capillary thromboses through the lung and in the submucosa of bronchi and trachea. In these instances the damage to the vascular walls was brought about by the action of the infection immediately surrounding them, and was not associated with a process beginning within the lumen of the channel. The type of thrombosis within the lung to which we have referred in a previous discussion is interesting in that it does not show the usual type of fibrin clotting, but in place of fibrin threads a gummy homogeneous material is deposited upon the vessel walls within which the red blood cells soon undergo dissolution. It would appear that these thromboses within the lung are dependent upon a toxic action on the vessel wall and its plasma content.
Thromboses within venous channels are met with more often than in arteries. The veins of the lower extremities are most frequently affected, and yet amidst the many cases of influenza it is an unusual occurrence. The various thromboses of larger vessels usually occur as post-influenzal complications rather than as accompaniments of the acute disease. It is possible that factors other than those present during the acute stage play an important part, and that the virus of influenza is not directly the cause of the thrombosis.
One of the prominent reactions which was almost constantly present as the inflammatory reaction involving the lymphatic system of the chest. The lymph glands within the chest responded to a marked degree in hyperplasia and commonly showed enlargement quite out of proportion to what is usually observed in 275lobar pneumonia. These reactions were in direct relation to the inflammatory processes of the lung and appeared to be involved in proportion to the inflammation occupying the tissues drained by them. Elsewhere in the body the lymph glands responded but slightly, and often no change was observed in the lymphatics of the abdomen, axilla and lower extremities. The systemic intoxication thus had no effect upon distant lymph glands, and even the presence of micro-organisms in the circulation did not appear to cause responses in these tissues other than in the neighborhood of the chest. Within the chest the lymphatic system became involved through the presence of the various bacteria migrating along the lymphatic channels as well as through its activity in removing products of inflammation.
The response of the thoracic lymphatics, including those within the lung and mediastinum, is observed in all stages of pneumonia. But in epidemic influenza the reaction was much more prompt, appearing in the early stages and rapidly developing tissue changes along the channels and in the lymph nodes. The lymph channels during the period of the early serous pneumonia became dilated and filled with fluid with relatively few cells. The stroma immediately surrounding became œdematous, so that in the gross specimen the connective tissue between the lobules of lung were sometimes easily seen as gray strands. At this time this tissue was not increased in quantity and did not project above the level of the cut lung. The fibrous tissue remained soft and pliable, but formed quite wide strands. When the pulmonary reaction became hemorrhagic, red blood cells, leucocytes and large mononuclears were found mixed with the fluid in the lymphatics. We had no way of determining the direction of the lymph flow from the pulmonary tissues, but it was assumed that as there was no excessive loss of serous fluid from the lung and the lymphatics beneath pleura into the chest cavities that the fluid was draining through the channels lying about the bronchi and vessels. The further evidence of the direction of flow was seen in the rapid and comparable responses which occurred in the lymph glands along these routes. The glands about the bronchi and at the hilus became enlarged, red and succulent. The glands were often two and one-half centimeters in diameter. Their capsule was thin and stretched and the gland was quite soft. Many of them when cut open were almost diffluent.
276This acute lymph hyperplasia occurred in 30 of our cases. It is impossible to indicate any particular type of infection as being responsible for these lymphatic lesions. The nature of the bacteria present in these 30 cases differed quite considerably: 25 showed influenza bacilli, 15 pneumococci, 18 streptococci, 8 M. catarrhalis and 17 staphylococci. In as much as the pulmonary reaction was fairly constant in certain characteristics in all of our cases, and as we believe that the influenza bacilli were the very important factor in these reactions, it would appear that the lymphatic responses are only a part of the general inflammation of the respiratory organs. Comparison can also be made of the character of the lymphatic changes with that occurring within the pulmonary tissues. The lymphatics were filled with fluid which dilated all the available sinuses; the lymph nodes were œdematous and within them the reaction often had numerous small hemorrhages.
The lesion within the lymph nodes following the early serous inflammation was of a non-suppurative kind. The lymph follicles lost their outline, and the lymphocytes were diffused through the stroma so that no recognition of the germinal centers could be found. The dilated sinuses within the lymph nodes were filled with large mononuclear cells, of the type of endothelial cells, along with some lymphocytes and leucocytes. Subsequently the leucocytes increased very materially so that the lymphatic fluid became purulent. Smears obtained from larger lymphatics showed leucocytes and varieties of bacteria. This was particularly true in those cases where the pulmonary lesion had itself become purulent either localized in a patchy pneumonia or with lobar involvement. Under these circumstances focal areas of purulent infiltration were found within the tissues of the gland occupying the regions of the former follicles and leading to necrosis or abscess. Where such purulent reaction and abscess formation were found within the lymph nodes there was remarkably little reaction in the tissues of the immediate vicinity. No attempt at the development of a pyogenic membrane or granulation tissue was observed, though this probably does take place in the cases recovering.
In only one instance did we observe the development of the peculiar fibrosis along the lymphatic channels where the freshly cut section of lung reveals prominent and raised demarcation 277between the lobules. This response has been described by MacCallum as unique for the streptococcus inflammation of the lung. The character of the exudate within the lymphatics with many mononuclear cells and blood is not to be considered singular for the influenza pneumonia. It has been found that in ordinary lobar pneumonia, as well as in the pneumonia following measles, the early pulmonary reaction is accompanied by the dilatation of the lymphatic channels along the bronchi, containing serous fluid, mononuclear cells, blood and leucocytes, while occasionally thrombosis entangling bacteria is also encountered. It would seem, however, that the lymphatics in epidemic influenza can more readily recover their normal character when a streptococcus infection is wanting.
In the late purulent lesions of the lung we have encountered dilated lymphatic channels whose yellow contents could be recognized by the naked eye. At times this could be followed for short distances along the bronchi as narrow yellow cords, or when cut transversely appeared as small dots close to the bronchi or vessels. On pressure small droplets of pus may be evacuated, or again where fibrin has led to a coagulation of the exudate a yellow plug can be withdrawn from the channel. These small plugs resembled the thick exudate seen within the bronchi and often were misleading when first viewed. The distribution of the purulent lymphatic masses was most irregular occupying only local or patchy fields in the lung, particularly associated with the purulent confluent pneumonia. In one instance such a lymphatic appeared to be associated with the development of a small abscess lying close to the bronchus.
Too much stress cannot be placed upon the importance of the lymphatics in all forms of pneumonia. They play an important role in the drainage of the lung during inflammation. In the normal lung we hardly appreciate the lymphatic distribution except in our observations upon anthracosis. But even under these conditions when much carbon is deposited in conjunction with the lymphatic system we do not gain a true appreciation of the activity of the lymph channels and nodes during an acute process. Bacteria may be demonstrated in acute infections of the lung within the fluid and cells of the lymph channels. Less easily may we demonstrate bacteria in the lymph nodes under similar conditions, although when abscess has occurred their 278presence is readily recognized. The transport of bacteria is accomplished not only by a passive migration of micro-organisms in the fluid as it drains from the lung, but organisms are also found within the leucocytes as they travel with the current. Only occasionally have we demonstrated bacteria within the wandering large mononuclear cells, although we have observed them in a few instances within the cells lining the sinuses of the nodes.
Whether the inflammation of the pleura is directly related to the involvement of the pleural lymphatics we have not been able to determine. In our series of cases pleurisy has not been a prominent feature of the disease, and in many instances the grade of involvement was so slight that it was not easily recognized by the naked eye and showed only a slight reaction microscopically. That the presence of bacteria within the intricate plexus of lymphatics beneath the pleura may be responsible for the development of an inflammation of this membrane may well be the case, and in this way simulate the mode of transmission of the infection as seen in lobar pneumococcus pneumonia and in the streptococcus type of infection.
The lesions occurring in the abdominal viscera were of less importance than those within the thorax. In none of the cases of the epidemic was the intestinal type of the disease, described in previous years, encountered. The changes found in the various viscera were concomitant with evidences of intoxication as observed clinically or at autopsy in other regions of the body. We found no evidence that the bacteria of the disease localized in the tissues of the abdominal viscera, and we were led to believe that the alterations in morphology and function were the result of diffusible toxins. The action of these toxins was either upon the parenchymatous cells of the organs, as in the liver and kidney, resulting in granular degeneration, or upon the capillaries with the development of petechial or diffuse hemorrhage as was encountered in the stomach, intestines and bladder. The absence of definite localized inflammatory processes in these distant tissues, including the abdominal lymphatics, speaks against the probability of a bacteriæmia playing an important role in the 279disease. That transient bacteriæmias by the influenza bacillus do occur has been repeatedly demonstrated, and that the organisms associated with this bacillus may also enter the blood stream has likewise been found. But these states are accessory to the disease, and must be viewed as complications rather than the rule. Hence the occasional observations by some, of bacterial inflammatory reactions in liver and kidney must not be considered a part of epidemic influenza, for in many cases it is wanting. The majority of lesions of the abdominal viscera probably arise through the action of the unknown toxin in the blood.
In the stomach and intestines the lesions were of two kinds, (1) hemorrhage and (2) erosions. Petechial hemorrhages were present in the stomach 15 times, in the intestines 4 times. These small dots of blood extravasation, lying in the mucosa and submucosa, differ in no way from those observed in other acute infections and intoxications, save that the tendency for the leakage of blood into the lumen of the viscera was more pronounced. Often we could observe the presence of free and more or less altered blood in the stomach and intestines, and in 12 cases the amount was considerable, sufficient to be spoken of as melena. It is probable that the oozing of blood takes place not only from the areas visible to the eye as petechial hemorrhages, but also from the more normal-looking mucosa of stomach and bowel. The tendency to hemorrhage was not necessarily accompanied by visible alterations in the epithelial layer of the mucosa, though at times erosions were found. When hemorrhage could be observed, the extravasation of blood occupied the superficial layers of stroma, causing a separation of the tissues beneath the epithelial layer. At times the submucosa was also infiltrated, and in one instance the musculature. The lesions were isolated and sporadic, but always about small capillary loops. It appeared to us that the damage was primarily upon the vascular tissues and particularly upon the endothelial walls of the fine channels. Inflammation was not present, and the hemorrhage was more or less passive—that is, a slow oozing rather than acute hemorrhage by rhexis.
The second type of lesion of the gastro-intestinal canal was erosion. This was of the nature of a defect in the mucosa, usually multiple, small and well circumscribed. The tissue loss was superficial. In their appearance these lesions were similar 280to those encountered in these parts in other infections, and also as described by McMeans in experimental infections of animals. The erosions appear to arise in a process of bland necrosis, limited in the periphery by healthy tissue and not tending to enlarge. It is probable that these erosions are associated in their development with the petechial hemorrhages, being a sequel to the vascular disturbance of the mucosa and subsequent digestion of the injured tissue. Multiple lesions of the stomach were found 10 times and twice in the intestine. The largest was 1.25 cm. in diameter. They are more common on the posterior than anterior wall, and usually toward the lesser curvature. It is probable that these defects are limited in their progress and heal readily.
The changes occurring in the liver were not of striking account. Cloudy swelling was observed 13 times, usually of moderate grade. The usual appearances with enlargement of the organ, bulging of the parenchyma on section and a dull gray cut surface were all that could be found. The one case with icterus was the only one in which the natural discharge of bile from the liver was interfered with through the swelling. Even in this case the obstruction to the outflow of bile in the small channels was not demonstrable in the microscopic sections, nor was there evidence of unusual bile staining of the liver-points suggesting the possible origin of the icterus in an unusual hemolysis. On no occasion did we meet with recent inflammatory reactions in the gall bladder or bile ducts, and we have no evidence that the organisms of the infection are discharged from the body by these routes. The cloudy swelling of the liver was accompanied by slight œdema of these tissues in seven cases; and in six instances focal necroses were observed. These focal necroses were similar in appearance to those seen in typhoid fever, but were much less frequent in the tissue. Only careful search revealed isolated pinhead gray dots with depressed centers. They were most commonly in the mid-zone of the lobule, and in the early stage were without inflammatory reaction. Subsequently, leucocytes infiltrated the area, but not in an amount to form pus. Bacteria were never demonstrated in the areas of focal necrosis. Four cases showed old adhesions about the gall bladder and in one a gall stone was present.
281Lesions of the pancreas were not encountered. In a few cases the lymph glands about the head of the pancreas were slightly enlarged.
The spleen showed relatively little reaction and in only two cases was it enlarged. Fourteen times a diagnosis of acute splenitis was made on examination of the gross specimen. This diagnosis rested upon the finding of a swollen spleen with tense capsule and with a dark bulging pulp. The Malpighian bodies were usually in part or completely obliterated, though in a few instances these grayish nodules seemed even larger than normal. These spleens contained an excess of blood within the pulp. In one case several isolated areas appeared hemorrhagic as if a local rupture of the tissues had occurred. The microscopic examination of these specimens showed mainly a marked congestion of the sinusoids, a diminution in the size of the lymphoid corpuscles and some increase in the number of leucocytes within the blood spaces and reticulum. Only occasionally did we observe a proliferative reaction of the large mononuclear cells lying in the reticulum. This proliferation was not sufficiently marked nor uniformly present to be considered as characteristic. We did not find abnormal deposition of blood pigment indicating an unusual destruction of red blood cells within the spleen. It is interesting to note that 5 of the 32 cases showed obsolete miliary tubercles in the spleen.
Our analysis of the changes occurring in the kidney bore out the clinical findings observed in the wards. Like in so many acute infectious diseases urinary changes were commonly present. These are in part dependent upon systemic changes in the metabolism of tissues and not entirely the result of renal lesions. In acute epidemic influenza there was no common characteristic in the urinary output. The amount excreted in 24 hours was usually diminished to a small extent, the color was darker, the specific gravity slightly increased, as well as the total solids. There was no marked change in the total quantity of output of any one of the constituents as far as they were analyzed by us. Albumin was present in the urine in variable amounts and in the more severe cases casts were also present. There was only one case in which the quantitative output was much diminished and where some fear was entertained of development of acute uremic manifestations. This individual, however, died before these made their appearance 282and before there was any evidence that the retention of waste products was causing definite clinical symptoms.
In 30 cases coming to autopsy more or less cloudy swelling was to be observed in the kidney. This reaction varied from a very mild swelling and granular degeneration of the tubules of the cortex to a decided parenchymatous degeneration with loss of nuclear structure and erosion of some of the cells lining the tubules. The convoluted tubules were always most markedly involved. Occasionally this tubular degeneration was accompanied by a desquamation of the lining cells of the glomerular capsules. We were, however, unable to recognize an acute inflammatory reaction in the interstitial tissue or in the glomeruli in any of the cases, except the one which had developed a streptococcus bacteriæmia as a sequel to an otitis media. The kidney lesion reminded one very much of the toxic lesion which is observed in the kidney in typhoid fever. Differing, however, from the latter there was a variable congestion of the fine vessels associated with the cyanosis which was present in a certain percentage of these cases. At times the kidneys were quite wet with blood from the venous engorgement.
The lesions in the kidney were of a toxic type and did not resemble reactions following the presence of the bacteria in the stroma of the organ. In the majority of instances in other diseases where bacteria themselves locate in tissues we are able to recognize focal lesions of acute necrosis or inflammation. In epidemic influenza where a variety of micro-organisms within the lung are able to reach distant structures in a bacteriæmia, we would, because of their type, expect to find inflammatory reactions of a definite kind. The absence of such reactions is very suggestive that the bacteria do not commonly localize in the kidney, but that their toxins alone affect it during its elimination. We have also entirely missed the finding of any vascular lesions in the renal system. Neither degeneration nor inflammatory reactions of any of the coats of the blood vessels could be distinguished.
The partial incapacity on the part of the kidneys must, therefore, be viewed as a complication resulting from the effect of a diffusible toxin reaching them by the blood stream. The damage performed in this manner may be quite extensive upon the secreting tissues of the tubules leading to an increased or decreased 283output of the urinary constituents. Because of the nature of the lesion, it is probable that the kidney damage incurred during the acute epidemic influenza is only temporary and not permanent. Tubular degeneration is readily repaired, and in the absence of an inflammatory reaction in the interstitial tissue or the glomeruli avoids the development of a permanent mark or derangement in the system. This is as we find it in typhoid fever.
In two cases we observed very interesting lesions in the bladder. These two individuals during life had been excreting markedly blood-stained urine for some days preceding death. In the one case the hemorrhage was so marked that on standing, about one-tenth of the urine was composed of sedimented red blood cells. It was assumed that the hemorrhage was of kidney origin until the autopsy revealed a simple cloudy swelling of the kidney associated with a hemorrhagic state of the submucosa of the bladder. In both cases the posterior wall of the bladder was heavily infiltrated with blood so that the mucosa was raised from the surface and the prominent folds showed a superficial erosion with small points of greenish necrosis. This bladder hemorrhage was concomitant with hemorrhagic foci elsewhere in the body, pericardium, pleura, stomach and intestine. Alone in the bladder however, the hemorrhage formed a distinct mass and allowed a considerable escape from the lesions on the surface. These areas of hemorrhage were not infected and showed no local inflammatory reaction. They also appeared to be toxic in origin and resembled the hemorrhages occurring in the muscles of the abdomen.
Changes in the adrenal gland were noted in 14 instances. In all of these there was the picture of what is commonly known as cloudy swelling of the cortex and, in addition to this, in three cases small petechial hemorrhages were observed. The so-called cloudy swelling of the adrenal consists largely in a loss of the bright golden appearance of the cortical tissues accompanied by soft œdematous swelling. The tissues change color to a brown or clay color, and it is not uncommon to observe that the inner zone of pigmentation is more diffuse. There is no sharp demarcation between the layers of the cortex. With this alteration in the outer structure of the adrenal, the medulla not uncommonly 284appears smaller. This change is more apparent than real, and we have not been able to observe any definite lesion in the nervous portion. At times we believed that the inner tissue appeared more cellular, but it was not possible to determine any specific alteration in the cells.
The changes in the adrenal cortex are comparable to those observed in typhoid fever. The analyses of these tissues showed that the cells were almost devoid of cholesterin bodies and few doubly refractile globules could be demonstrated. This change in the adrenal is by no means specific for any acute disease, it being found in many of the severe infections. We regret that systematic analysis of the blood serum in these cases was not made to determine the cholesterin content. If the comparison bears out with typhoid fever, we would expect to find that the quantitative cholesterin of the blood is diminished. Some importance attaches itself to the study of the cholesterin metabolism, particularly in regard to the development of the peculiar fatty streaks which develop in the aorta and other arteries during these acute infections. It has been claimed that in the human these streaks bear an analogy to those produced in the experimental animals and that the arterial lesions are associated with an altered activity on the part of the adrenal cortex in handling the cholesterin compounds. In influenza there is evidence that the adrenal does not function in a normal fashion and that the storage of cholesterin-esters does not take place. From this, however, we cannot conclude that the blood content is increased, and, in fact, it is more than probable in comparing the other reactions of the disease that it follows the changes as seen in typhoid fever where the blood content of cholesterin is lowered. In this way comparison with the experimentally produced arterial lesions in animals is not clear, in as much as in the experimental work a true hypercholesterinemia was induced. Nevertheless it is possible that with the abnormal function on the part of the adrenal the cholesterin materials are made more available for absorption by other tissues and that a true hypercholesterinemia is not necessarily a constant factor, even with the abnormal accumulation of these substances in the intima. It may well be that the normal activity of the adrenal is related to the presence 285of toxins in the circulation and an attempt by mobilizing cholesterin to diminish the activity of these harmful substances.
The recent epidemic of influenza has afforded a series of interesting autopsies in view of the very extensive and peculiar involvement that occurred in the lungs of the cases examined. Ordinary lobar pneumonia, as we know it, was not observed, although it must be said that the lungs many times exhibited a consolidation of a lobar distribution. The usual dry granular lung of the more common pneumonia was absent, and in its stead a most unusual series of pictures was observed in the several cases. A common feature of all cases was the œdema of the lung tissue, which in the majority of instances contained such an amount of fluid that it ran freely from the cut surface in almost unlimited quantity. This fluid varied in its color and consistence depending upon the age of the process. In the very early cases the lungs were boggy, very congested, and a thin serosanguinous fluid poured forth from the cut surface. It actually appeared as though the fluid within the tissue was under considerable pressure. At times blotchy deep red hemorrhages occurred in the lung substance, and hemorrhages of a bright red color were not infrequent in the pleura. That the circulation of the lungs was much embarrassed was often prettily demonstrated by the dilatation of the fine capillaries and lymphatics beneath the pleura. These small vessels stood out prominently as a meshwork more or less outlining the areas supplied by them. Not only was the peculiar consolidation in lobar arrangement, but also in many cases was there evidence of a lobular distribution. Even in some cases where the entire lobe was consolidated the cut surface presented a peculiar lobulation with patches of lung tissue projecting above the general surface. The wet trabeculated structure of the lung in this stage did not give the impression of true red hepatization, but rather a structure resembling spleen and at times a meaty, compact, glassy picture not unlike thyroid.
286As the process advanced the appearance of the lung changed from deep red to yellowish red and finally to a quite yellowish gray color, still retaining, however, the very moist characters. The fluid found in the lung changed its consistency from the thin red type to a sticky, glairy variety which could be pulled out in long strings. It was noted that the change in the character of the fluid was accompanied by similar changes in the lung structure, advancing in two cases to abscess formation of a grape-bunch type. Here there was a rather extensive necrosis and cavitation of lung substance in communication with the bronchioles. However, there was also marked softening and necrosis of lung in a number of cases where abscesses did not develop, but the lesion was so advanced that the lung substance was almost diffluent. An accompaniment of these advanced cases were irregular yellow islands which appeared beneath the pleura. At times they reached the size of a circle 2 cm. in diameter and were slightly raised above the surrounding pleural surface. When these were opened they were found to be areas of softened lung substance. This reaction was so extensive in some lungs that it resembled to a degree the appearance of a caseous pneumonia. However, the former process appeared to be brought about by the interference with the lymphatic drainage, as it was not uncommon to see engorged yellow channels beneath the pleura as well as enlarged lymph nodes at some distance from the hilus. Another feature of the advanced cases were the plugs of ropy yellow material which were contained within the bronchioles, while in the early cases the bronchi and bronchioles showed intense congestion of the mucosa with blood-stained fluid in their lumina.
Of the more unusual reactions observed in the lungs an infarct was found occupying a considerable part of the lower left lobe in one case. There was a marked softening of the lung tissue with reddish, mucky-looking lung substance arranged about small irregular cavities. This reaction extended into the lung for a distance of 4.5 cm. Bordering close on these softened areas there was a dry mottled yellowish gray and deep red lung tissue. Surrounding this area again were noted a number of small blood vessels in which there were found yellowish granular plugs. One plug in a vessel was found at a distance of 3 cm. from the base 287of the lobe, and another was found at a distance of 8 cm. from the apex of the lobe. On further examination it was observed that the base of this softened area was situated on the pleural surface and that the apex was directed inward about a distance of 6 cm. from the pleura. Bathing the cut surface there was a glairy and very sticky material of a reddish yellow color. Near the apex of this softened area in the lung there was found a vessel about the size of a goose-quill in which there was a grayish yellow granular plug. This plug was adherent to the vessel. Within the small bronchioles there were plugs of a soft yellowish brown material. The striking feature in addition to the softening of the lung in a number of places was the glairy material of a sticky nature which bathed the cut surface. A white infarct was present in the spleen. The lung described above as well as another showed gangrenous change. In the second of these two abscesses had formed, and there was a communication between the lung and pleural cavity in which there was a large amount of sanguino-purulent fluid and a pyopneumothorax.
In a description of these reactions it must be added that the early and late changes were not always observed independently, but in most cases occurred together, giving the lung a peculiar mottled red and yellow glassy appearance. More frequently the congested œdematous reaction was observed singly, while the purulent alteration usually was in combination with the former type. The acute serous pneumonia was noted 13 times, 6 times in combination with the purulent reaction and 7 times alone, while the acute purulent pneumonia was found in 9 cases, 3 times alone and 6 times with an acute serous process. In all but 3 of 18 cases there was evidence of a bronchial distribution. Two of these three cases showed a massive œdematous lung with in one case an extensive hemorrhage, while the third presented an advanced purulent reaction with marked necrosis and softening. An acute bronchitis which varied in character from a hemorrhagic to a purulent one was present in all the cases. The reaction observed within the bronchi in the individual cases corresponded closely to the picture found in the lungs.
In all cases except one there was an exudate in one or both pleural cavities. A serofibrinous pleurisy was noted in 11 cases with, in 2 of this number, a fibrino-purulent reaction present 288in the opposite pleural cavity, while fibrino-purulent pleurisy occurred alone in 6. In 6 cases pleurisy occurred on one side only with the incidence equally divided in each cavity. Both pleurae were involved in 9 cases. Seventeen of the 18 cases showed both lungs involved. One case was an individual who had had clinical influenza and during convalescence developed gangrenous colitis and acute ascending myelitis which terminated fatally. B. influenzæ was isolated from the bronchioles in the lung of this individual.
The reaction of the body generally was evidenced by a widespread distribution of petechial hemorrhages over serosal and mucosal surfaces. However, certain other important lesions were noted such as one acute vegetative mitral endocarditis, two acute serofibrinous pericarditis, three cases in which focal necroses were prominent in the liver and two examples of infarct of spleen. Further, there were four cases of slight dilatation of the right heart. The liver was usually swollen and œdematous and the spleen presented evidence of an acute reaction, softening and reddening of its pulp with at times slight enlargement.
As evidence of the virulent character of the infection from which these patients suffered, there was not only present in the lung a peculiar hemorrhage and purulent process, but also a more or less widespread distribution of hemorrhages in other parts of the body. The gastro-intestinal tract was most affected with the stomach showing petechial hemorrhages in 17 of 18 cases and the small intestine in 15 of the same number. In the gastric mucosa of three cases there were definite erosions, while in two instances the duodenum presented an intense œdematous and hemorrhagic appearance of its mucosa. Further hemorrhages were observed on one occasion each in the mesentery and in the mesenteric and retroperitoneal lymph nodes. In the latter the mesenteric glands were so distended with hemorrhages that a soft pulp spurted out when the glands were sectioned. Next in order of frequency, hemorrhages were noted 9 times in the pleura, 8 in the pelvis of the kidney, 6 in heart muscle and 3 each in pericardium and bladder. In one case of widespread distribution of petechial hemorrhages there was a massive loose hemorrhage into the lower recti abdominis. Further another 289case showed a large amount of a blood-stained fluid in the peritoneal cavity.
In the analysis of the cases of acute epidemic influenza two important features of the disease present themselves, (1) a marked systemic intoxication with localized manifestations in certain organs, and (2) inflammatory lesions of the respiratory tract. These manifestations present themselves both to the clinician and to the pathologist, and to each they have demonstrated their importance in the disease. The pathologist not in touch with the clinical manifestations of the toxæmia has more closely linked the occurrence of these two factors with the actual findings in the cadaver. But there are those who look upon these factors as separate and distinct, viewing the toxæmia as an individual process and as illustrating the uninvolved influenza, while the inflammatory reaction of the respiratory tract is taken to be a complication arising through the activity of secondary invading organisms. This is the view held by MacCallum, who compares influenza with the acute exanthemata wherein the respiratory lesions are but secondary to the production of a lowered resistance and an invasion by a variety of bacteria. Such confusion presupposes an undetermined virus for influenza. In confirmation to such views we have the reports upon a filterable virus. Up to the present, however, the latter has been on insecure grounds.
It would appear to us that, as has been discussed by Dr. Holman, the case against the B. influenzæ not being the important causative agent has not been proved. The demonstration by others of a potent toxin from the B. influenzæ cannot be overlooked, and although the actual disease has not been reproduced in animals, there is evidence that this toxin will induce acute degenerations in various tissues. Furthermore, the in vitro symbiotic relation demonstrated for the B. influenzæ with other organisms, as the pneumococcus, streptococcus, staphylococcus pyogenes aureus and M. catarrhalis, gives ample support to the claim for a similar symbiosis in the human tissues. The evidence for the important primary relation of the B. influenzæ to epidemic influenza is such that we cannot disregard it—at least, 290not before we can produce some definite positive evidence that another demonstrable virus precedes it and produces those constitutional effects which initiate the remaining sequelæ.
We must agree with Christian in the statement that all cases dying during the acute stage of epidemic influenza have inflammatory lesions in the respiratory tract and largely in the lung (pneumonia). It is difficult to conceive of a disease comparable to the acute exanthemata, which beginning as a separate and distinct process ends fatally within 48 hours with a pneumonia which is claimed to be secondary.
Epidemic influenza is an acute infectious process of the respiratory tract, usually localizing in the upper respiratory system, but often and in a fairly constant percentage of cases extending into the lower portion of the same system and causing a type of broncho-pneumonia. Accompanying the initial invasion there is a marked systemic intoxication with lesions of degeneration arising in a variety of tissues. These lesions of degeneration are to be seen both locally in the respiratory system as well as in distant parts, as in the muscles, kidney and liver. The primary damage arising in the respiratory organs, and which we believe to be the result of infection by the B. influenzæ, facilitates attacks by such other bacteria as are available and pathogenic to man. The secondary invaders are not constant in type, but we find variations according to the localities where the epidemic takes place. Just as there is a difference in the bacterial flora which constitutes the secondary invasion, so, too, there is a variation in the picture of the inflammatory process which appears in the lungs. The occurrence of the miliary streptococcal broncho-pneumonia has been met with in certain localities much more frequently than in others; lobular and confluent pneumonia has been the prevailing type in certain regions, while a lobar purulent pneumonia with abscess and gangrene was most frequent with others. There does not appear to be an individual and constant character in the mode of distribution of the pneumonia in the lungs. That the pneumonias were not the usual type otherwise seen, is fairly agreed upon by all. The most astonishing feature presenting itself to us was the frequency of death occurring in the early stages of the inflammatory process and before the gray stage had definitely developed. The gray stage of influenza pneumonia 291is a purulent pneumonia which often also constitutes an acute interstitial pneumonia.
The extensive hemorrhage and inflammatory œdema of the lung are striking during the early stages of the lung involvement. The mononuclear infiltration which appears early and remains for a variable time, until the purulent process is well under way, is also unique. The hyaline deposit in the lung alveoli; the capillary thrombosis and necrosis of the alveolar walls and bronchi are important; while the tendency to abscess, infarct, gangrene and incomplete resolution with fibrosis differentiates this type of pneumonia from the common lobar variety.
As an organic evidence of the acute intoxication, none stands out more prominently than the degeneration of the voluntary muscles. These resemble the waxy degeneration of other bacterial intoxications, and particularly that of typhoid fever. The finding of these acute degenerations does not assist us in arriving at a conclusion as to the nature of the poisonous body, whether a true exotoxin. The presence, however, of such widespread degenerative lesions in cases showing no naked eye change suggests, at least, that the peculiar muscle weakness associated with pain has its origin in this definite process and not in primary nerve lesions.
Very interesting it is that the different muscular structures are not equally affected by the intoxication. This is particularly noteworthy in the heart and intestine. In neither of these structures have we met with lesions comparable to those in the voluntary muscles. Wherein this immunity resides we cannot state. In our own series, as well as in the majority of others, there was an unusual absence of evidence of myocardial weakness. In most of those dying during the acute illness, the heart muscle was found firm and the cavities not dilated. This finding was in striking contrast to that found in acute lobar pneumonia where dilatation of the right ventricle and auricle, along with muscle degeneration, is almost the rule. In but one case of the present series did we find myocardial degeneration leading to dilatation of the cavities and causing death. And in this particular case the intoxication was due to a streptococcus septicæmia arising as a late sequel from the middle ear. The heart in influenza withstands remarkably well the effects of an intoxication from 292the disease and carries the extra load imposed upon it by the involved lung with little evidence of fatigue.
It is also worthy of attention to note that the kidney suffers so little in this severe disease. Bacterial localization with inflammatory concomitants does not occur, and there is no lasting damage upon its structure. As in so many conditions of bacterial poisoning, tubular degeneration, varying from a cloudy swelling to a more acute damage, is to be found in a percentage of cases, but complete restoration is rapidly obtained in convalescence. It is unusual to find such severe renal damage to incapacitate function to a degree to endanger life.
Finally we can add our evidence, gained from a study of the pathology of epidemic influenza, that the primary disease induced by the invasion of the B. influenzæ opens the way for secondary infections of a variety of kinds, whose subsequent effect may be more serious than initial lesions. The many late complications which arise in this manner we have not investigated.
| Abrahams, Hallows and French | Lancet., 1919; i, p. 1. |
| Advisory Board to the D. G. M. S | Brit. Med. Jour., 1918; ii, p. 505. |
| Blanton and Irons | Jour. A. M. A., 1918; lxxi, p. 1988. |
| Boggs | Johns Hop. Bull., 1905; xvi, p. 288. |
| Brooks and Cecil | Brit. Med. Jour., 1918; ii, p. 496. |
| Chickering and Park | Jour. A. M. A., 1919; lxxii, p. 617. |
| Christian | Jour. A. M. A., 1918; lxxi, p. 1565. |
| Cole | Brit. Med. Jour., 1918; ii, p. 566. |
| Cole | Canadian Med. Assoc. Jour., 1919; ix, p. 41. |
| Dever, Boles and Case | Jour. A. M. A., 1919; lxxii, p. 265. |
| Fildes, Baker and Thompson | Lancet., 1918; ii, p. 697. |
| Fletcher | Lancet., 1919; i, p. 104. |
| Friedlander, McCord, Sladen and Wheeler | Jour. A. M. A., 1918; lxxi, p. 1652. |
| Goodpasture and Burnett | U. S. Naval Med. Bull., 1919; xiii, No. 1. |
| Hall, Stone and Simpson | Jour. A. M. A., 1918; lxxi, p. 1986. |
| Hunt | Lancet., 1918; ii, p. 419. |
| Keegan | Jour. A. M. A., 1918; lxxi, p. 1051. |
| Kuskow | Virchows Archiv., 1895; cxxxix, p. 406. |
| Le Count | Jour. A. M. A., 1919; lxxii, p. 650. |
| Lord | Boston Med. and Surg. Jour., 1905; cl, p. 537. |
| Lyon | Jour. A. M. A., 1919; lxxii, p. 924. |
| 293MacCallum | Jour. A. M. A., 1919; lxxii, p. 720. |
| MacCallum | Monog. Rock. Inst. for Med. Res., 1919; No. 10. |
| Muir and Wilson | Brit. Med. Jour., 1919; i, p. 3. |
| McMeans | Archives of Int. Med., 1917; xix, p. 709. |
| Nuzum, Pilot, Stangl and Bonar | Jour. A. M. A., 1918; lxxi, p. 1562. |
| Oertel | Canadian Med. Assoc. Jour., 1919; ix, p. 339. |
| Opie, Freeman, Blake, Small and Rivers | Jour. A. M. A., 1919; lxxii, p. 556. |
| Speares | Boston Med. and Surg. Jour., 1919; clxxx, p. 212. |
| Stone and Swift | Jour. A. M. A., 1919; lxxii, p. 487. |
| Symmers | Jour. A. M. A., 1918; lxxi, p. 1482. |
| Synnott and Clark | Jour. A. M. A., 1918; lxxi, p. 1816. |
| Torrey and Grosh | Amer. Jour. Med. Sci., 1919; clvii, p. 170. |
| Weber | British Med. Jour., 1919; i, p. 8. |
| Wittingham and Sims | Lancet., 1918; ii, p. 865. |
| Fig. i. | Cyanosis of head and neck. |
| Fig. ii. | Acute tracheitis with desquamation of epithelium and superficial necrosis. |
| Fig. iii. | Acute serous and hemorrhagic pneumonia. |
| Fig. iv. | Acute serous pneumonia with massive hemorrhage. |
| Fig. v. | Acute hemorrhagic and purulent lobular pneumonia. The purulent process is seen to be advancing from the focal type to the more diffuse lobar by fusion of the neighboring lobules. |
| Fig. vi. | Acute purulent pneumonia. |
| Fig. vii. | Lobular fibrosing pneumonia. In this specimen the patches of new scar tissue formed irregular islands. The final stage of contraction of the scar had not taken place. |
| Fig. viii. | Acute serous pneumonia with some infiltration by mononuclear cells. |
| Fig. ix. | Acute hemorrhagic pneumonia. |
| Fig. x. | Hyaline deposits upon alveolar walls. In some areas the wall itself has suffered necrosis. |
| Fig. xi. | Acute purulent pneumonia. In other areas of the same lung the interstitial infiltration by leucocytes was more intense. |
| Fig. xii. | Acute lymph adenitis, showing the unusual numbers of endothelial cells while leucocytes are relatively infrequent. |
| Fig. xiii. | Rupture of abdominal rectus muscle with hemorrhage. The degeneration antecedent to the rupture is shown in the belly of the muscle. |
Fig. i
Fig. ii
Fig. iii
Fig. iv
Fig. v
Fig. vi
Fig. vii
Fig. viii
Fig. ix
Fig. x
Fig. xi
Fig. xii
Fig. xiii